medigraphic.com
ENGLISH

Medicina Crítica

  • Mostrar índice
  • Números disponibles
  • Información
    • Información general        
    • Directorio
  • Publicar
    • Instrucciones para autores        
  • Políticas
  • Lineamientos
  • medigraphic.com
    • Inicio
    • Índice de revistas            
    • Registro / Acceso
  • Mi perfil

2021, Número 3

<< Anterior Siguiente >>

Med Crit 2021; 35 (3)


Síndrome de Fisher-Evans asociado a pancreatitis aguda

Domínguez-Pérez, Rafael1; Arrazola-García, Fernando Valentín1
Texto completo Cómo citar este artículo 10.35366/100005

DOI

DOI: 10.35366/100005
URL: https://dx.doi.org/10.35366/100005
Artículos similares

Idioma: Español
Referencias bibliográficas: 7
Paginas: 154-156
Archivo PDF: 175.15 Kb.


PALABRAS CLAVE

Síndrome de Fisher-Evans, pancreatitis, unidad de terapia intensiva.

RESUMEN

Durante su estancia hospitalaria, recibió tratamiento con esteroide; metilprednisolona intravenosa por tres días, prednisona vía oral (1 mg/kg/día) e inmunoglobulina humana (0.4 g/kg/día) por cinco días. Resultados: Presentó mejoría del cuadro clínico, con resolución de la anemia y trombocitopenia. Fue valorado por el Servicio de Nefrología; que instauró manejo con hemodiálisis y realizó biopsia renal con reporte de necrosis tubular intersticial. Conclusión: La detección temprana de dicho síndrome y el manejo oportuno tuvo gran impacto en la evolución clínica del paciente. Fue egresado a domicilio y recibió seguimiento por parte de los servicios de nefrología y hematología por consulta externa.



INTRODUCCIóN

El síndrome de Fisher-Evans o de Evans es la manifestación de anemia hemolítica inmunitaria que puede ser simultánea o subsecuente a trombocitopenia inmunitaria. Debido a que su diagnóstico no es común, en la actualidad no hay cifras exactas acerca de su prevalencia en todo el mundo; se estima que de 0.8 a 4% de los pacientes con trombocitopenia inmunitaria o anemia hemolítica inmunitaria padecen este síndrome.1 De acuerdo con su origen, puede ser un evento idiopático o secundario; aproximadamente 50% es del primer tipo y del grupo secundario, 41% se asocia con enfermedades autoinmunitarias (de manera más frecuente con lupus eritematoso sistémico), 17% se asocia con inmunodeficiencias y con linfomas.2 Se han reportado casos en la literatura de este síndrome asociados a esclerodermia, síndrome de anticuerpos antifosfolípidos y al embarazo, entre otras causas.3,4

Aunque en 2% de los pacientes con púrpura trombocitopénica trombótica (PTT) se desarrolla inflamación pancreática, la PTT secundaria a pancreatitis aguda es un hecho muy infrecuente; en el curso de una pancreatitis se desarrolla principalmente entre las primeras 48 y 72 horas tras el inicio de los síntomas.5

El tratamiento de primera línea para el síndrome de Fisher-Evans es, por lo general, con corticosteroides y/o inmunoglobulina intravenosa, a lo que la mayoría de los pacientes responden; sin embargo, el fracaso al tratamiento es frecuente. Las opciones para el tratamiento de segunda línea incluyen medicamentos inmunosupresores; ciclosporina, micofenolato de mofetilo, vincristina, danazol o una combinación de estos fármacos.6



PRESENTACIóN DEL CASO

Hombre de 58 años, con consumo crónico de alcohol 20 gramos al día desde los 20 años. Consumo de nux vomica (nuez vómica) y sulfur (azufre). Inició padecimiento el 15 de octubre de 2019 con dolor torácico opresivo, dolor abdominal en epigastrio y diaforesis, se trasladó a urgencias, donde presentó lesión renal aguda, elevación de bilirrubinas totales y se sospechó falla hepática aguda, motivo por el que ingresó a la Unidad de Terapia Intensiva (UTI).

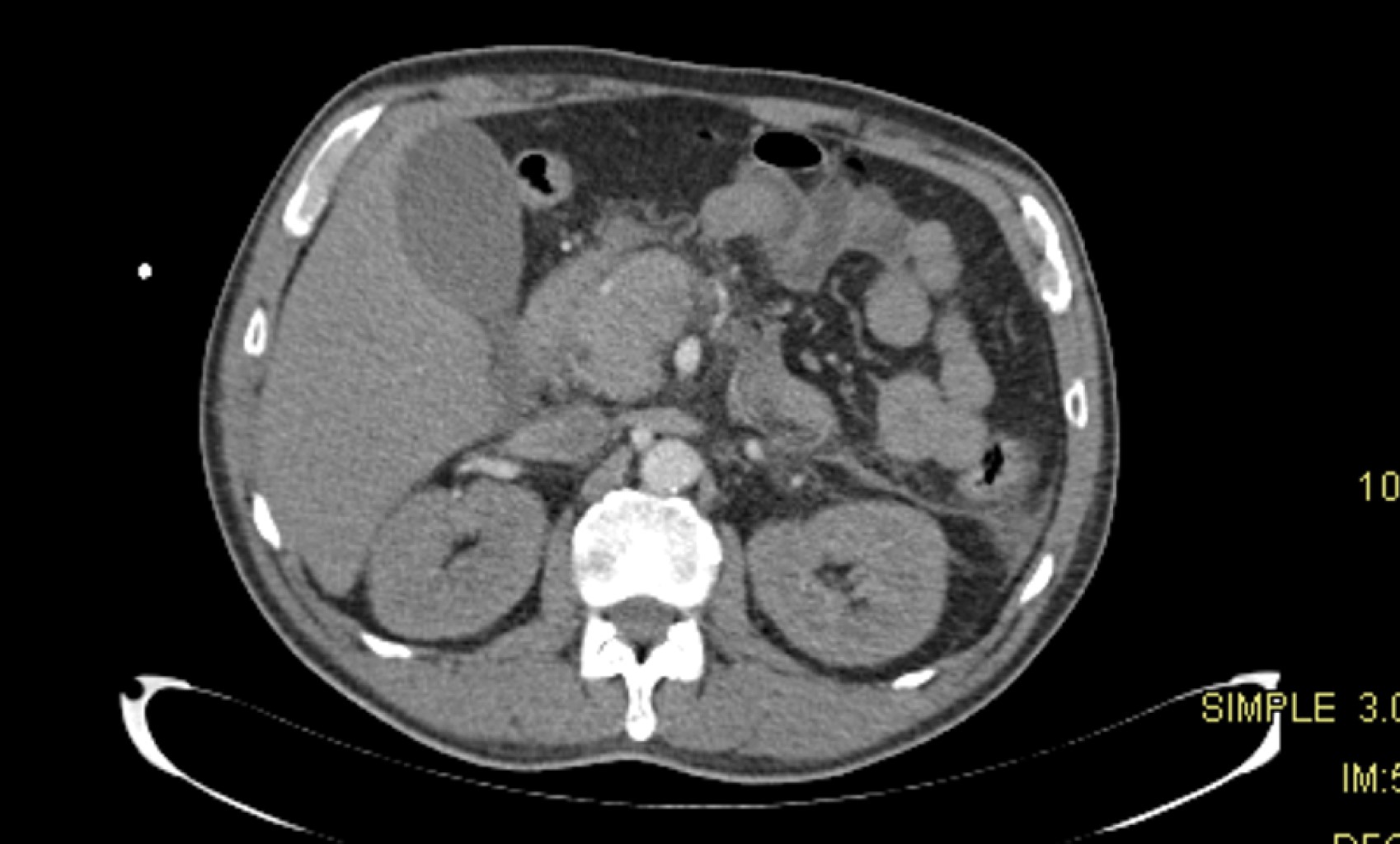
En la UTI se diagnosticó pancreatitis aguda, con base en criterios de Atlanta; elevación de enzimas pancreáticas, lipasa > 1,400 UI/L y estudio tomográfico de abdomen, donde se estadificó como pancreatitis aguda Balthazar C (Figura 1), con datos de severidad por presencia de datos de disfunción orgánica, disfunción renal y hepática.

El segundo día en la Unidad de Terapia Intensiva se mantuvo hemodinámicamente estable, presentó petequias en extremidades superiores e inferiores, elevación de bilirrubinas totales, descenso de hemoglobina y trombocitopenia. Se realizó prueba de Coombs directo con resultado positivo 3+. Por presencia de anemia hemolítica autoinmune y púrpura trombocitopénica, se diagnosticó síndrome de Fisher-Evans. Se inició manejo con metilprednisolona 500 mg IV cada 24 horas e inmunoglobulina humana a dosis de 0.4 g/kg/día.

Se reportó biometría hemática con leucocitos de 4,000 células/mm3, neutrófilos 3,500 células/mm3, linfocitos 500 células/mm3, hemoglobina 7.2 g/dL, hematocrito 22.1%, plaquetas 29,000 células/mm3, tiempos de coagulación, TP 16 segundos, INR 1.29, TTPa 33.3 segundos. Transaminasas: AST 765 UI/L, ALT 425 UI/L, deshidrogenasa láctica 3,555 UI/L, proteínas totales de 4.7 g/dL. Bilirrubina total 8.29 mg/dL, bilirrubina directa 4.61 mg/dL, bilirrubina indirecta 3.68 mg/dL.

Se midieron anticuerpos antinucleares (ANA), anticuerpos anticitoplasma (ANCA), IgG anticardiolipina, IgM anticardiolipina, anticuerpos anti-DNA doble cadena, anticuerpos anti-Smith y beta 2 microglobulina, el resultado fue no reactivo.

El 22 de octubre de 2019 egresó de Terapia Intensiva al Servicio de Medicina Interna. Se continuó tratamiento médico con prednisona vía oral calculada a 1 mg/kg/día e inmunoglobulina humana 0.4 g/kg/día. Se reportó AST 11 UI/L, ALT 48 UI/L, bilirrubina total 1.63 mg/dL, bilirrubina directa 0.69 mg/dL, bilirrubina indirecta 0.94 mg/dL, leucocitos totales 3,400 células/mm3, neutrófilos absolutos 2,900 células/mm3, plaquetas 48,000 células/mm3, hemoglobina 12.4 g/dL, hematocrito 35.2%, Coombs directo positivo+.

El 25 de octubre del mismo año, se sospechó en piso de medicina interna vasculitis, se sugirió realizar biopsia de nervio tibial, la cual no procedió. El 26 de octubre de 2019, a pesar del tratamiento con hemodiálisis, presentó valores séricos de creatinina de 10.19 mg/dL, urea de 209.90 mg/dL, se realizó por parte del servicio de nefrología biopsia renal que reportó necrosis tubular intersticial.

El paciente fue egresado el 30 de octubre de 2019 a su domicilio, con seguimiento por parte de los Servicios de Nefrología y Hematología.



RESULTADOS

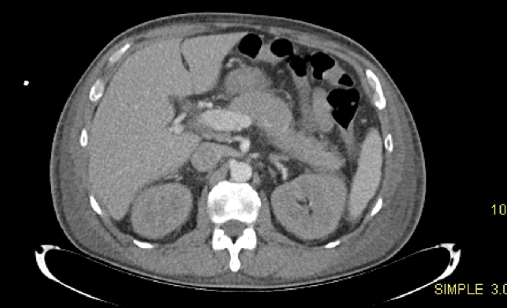
La evolución del paciente fue favorable al tratamiento médico de primera línea para el síndrome de Fisher-Evans, inmunoglobulina humana y esteroides (Figuras 2 y 3). Presentó mejoría de las cifras de hemoglobina, disminución de las cifras de bilirrubinas totales e incremento de la cuenta plaquetaria. Por último, fue egresado a domicilio con seguimiento en la consulta externa de nefrología y hematología. Se reportó por parte del servicio de nefrología recuperación de la función renal, con valores séricos de creatinina de 1.2 mg/dL.



DISCUSIóN

El síndrome de Fisher-Evans es una entidad poco común. Se estima que de 0.8 al 4% de los pacientes con trombocitopenia inmunitaria o anemia hemolítica inmunitaria padecen este síndrome.7 La prevalencia de la enfermedad en México se desconoce. Se han descrito casos asociados a otras enfermedades inmunológicas3,4 en el ámbito mundial, pero no asociadas a pancreatitis. Senosiáin Labiano M y Alberdi Alonso publicaron en 2009 un reporte de caso de púrpura trombocitopénica inmunitaria asociada a pancreatitis.5

El paciente presentó a las 48 horas del diagnóstico de pancreatitis aguda anemia hemolítica inmunitaria, corroborada por la prueba de Coombs directo, hemoglobina de 7.2 mg/dL, deshidrogenasa láctica 3,555 UI/L y púrpura trombocitopénica con plaquetas de 29,000 células/mm3 y presencia de petequias en extremidades superiores; criterios diagnósticos del síndrome de Fisher-Evans.1

Durante la estancia del paciente en la Unidad de Terapia Intensiva se sospechó falla hepática aguda por elevación de transaminasas, elevación de bilirrubinas totales y lesiones petequiales, consumo crónico de nuez vómica; sin embargo se descartó dicho diagnóstico por presencia de tiempos de coagulación dentro de parámetros normales.

Una vez realizado el diagnóstico de síndrome de Fisher-Evans, el paciente recibió tratamiento médico de primera línea. Recibió inmunoglobulina humana (0.4 g/kg/día) durante cinco días, y metilprednisolona 500 mg IV cada 24 horas tres días, seguido por prednisona 1 mg/kg/día vía oral, con respuesta favorable al tratamiento.

Con respecto a la lesión renal aguda, requirió sesiones de hemodiálisis, incluso a su egreso del hospital. Se realizó biopsia renal que reportó necrosis tubular intersticial con resolución de la función renal una semana después del egreso hospitalario.



CONCLUSIóN

El síndrome de Fisher-Evans es una patología rara, asociada principalmente a otras enfermedades inmunológicas, existen factores asociados a la aparición de la enfermedad, en este caso pancreatitis aguda. La detección temprana de dicho síndrome y el manejo oportuno tuvo gran impacto en la evolución clínica del paciente.


REFERENCIAS (EN ESTE ARTÍCULO)

  1. Jaime-Pérez J, Aguilar-Calderón P, Salazar-Cavazos L, Gómez-Almaguer D. Evans syndrome: clinical perspectives, biological insights and treatment modalities. J Blood Med. 2018;9:171-184.

  2. Cimá-Castañeda MA, Ayala-López PM, Lara-Palacios MI, Abblitt-Luengas SM, Jiménez-Báez MV. Síndrome de Fisher-Evans o de Evans. Rev Hematol Mex. 2016;17:144-149.

  3. Silva RM, Urribastera CA, Fernández RL, Del Socorro M, Portelles MA. Síndrome de Fisher Evans asociado con esclerodermia. CCM. 2015; 19(3): 536-541.

  4. Ayala E, Charaja K, Cruz I, Yupari M, Cornejo M, García M, et al. Síndrome de Evans en paciente con síndrome antifosfolipídico secundario: desafío terapéutico. Rev Cubana Reumatol. 2016;18(2):196-199.

  5. Senosiáin LM, Lastra AP, Alberdi AJ. Púrpura trombótica trombocitopénica secundaria a pancreatitis aguda, una infrecuente asociación. Gastroenterología y Hepatología. 2009;32:531-532.

  6. Norton A, Roberts I. Management of Evans syndrome. Br J Haematol. 2006;132(2):125-137.

  7. Michel M, Chanet V, Dechartres A, Morin AS, Piette JC, Cirasino L, Rodeghiero F. The spectrum of Evans syndrome in adults: new insight into the disease based on the analysis of 68 cases. Blood. 2009;114(15):3167-3172.



AFILIACIONES

1 Unidad de Cuidados Intensivos Adultos. Unidad de Terapia Intensiva. Hospital General Regional No. 1 "Dr. Carlos Mac Gregor Sánchez Navarro". IMSS.



CORRESPONDENCIA

Rafael Domínguez-Pérez. E-mail: rafaeldp@hotmail.com




Recibido: 10/10/2019. Aceptado: 23/12/2020.







Figura 1
Figura 2
Figura 3

2020     |     www.medigraphic.com

Mi perfil

C?MO CITAR (Vancouver)

Med Crit. 2021;35

ARTíCULOS SIMILARES

CARGANDO ...