medigraphic.com
ENGLISH

Archivos de Investigación Materno Infantil

ISSN 2007-3194 (Impreso)
Órgano de difusión oficial del Instituto Materno Infantil del Estado de México
  • Mostrar índice
  • Números disponibles
  • Información
    • Información general        
    • Directorio
  • Publicar
    • Instrucciones para autores        
  • medigraphic.com
    • Inicio
    • Índice de revistas            
    • Registro / Acceso
  • Mi perfil

2020, Número 1

<< Anterior Siguiente >>

Arch Inv Mat Inf 2020; 11 (1)


Atresia esofágica tipo I: preservación de esófago nativo

Fernández Ortega, Gerardo1; Morón García, Gabriela del Carmen2
Texto completo Cómo citar este artículo 10.35366/100323

DOI

DOI: 10.35366/100323
URL: https://dx.doi.org/10.35366/100323
Artículos similares

Idioma: Español
Referencias bibliográficas: 18
Paginas: 12-17
Archivo PDF: 258.52 Kb.


PALABRAS CLAVE

Atresia esofágica, brecha amplia, preservación esofágica.

RESUMEN

La atresia de esófago comprende un grupo de anomalías que comprometen la continuidad del esófago, pudiendo tener o no comunicación con la tráquea. En 7% no se encuentra la fístula traqueoesofágica, lo cual implica una distancia entre cabos esofágicos amplia, haciendo difícil su conservación y pudiendo requerir reemplazo esofágico; lo ideal es conservar el esófago nativo, para lo cual existen diversas técnicas descritas en la actualidad. Se presenta el caso de una paciente con una brecha inicial extrema de 12 cuerpos vertebrales, a quien se le practicaron diversas técnicas de elongación esofágica que resultaron exitosas para finalmente lograr la continuidad gastroesofágica, éstas fueron realizadas en un mismo internamiento, en un hospital perinatal de segundo nivel. El esófago del propio paciente es el mejor esófago.



INTRODUCCIóN

La atresia de esófago (AE) comprende un grupo de anomalías que comprometen la continuidad del esófago con o sin comunicación con la tráquea. En 86% de los casos hay una fístula traqueoesofágica distal, en 7% no se encuentra la fístula traqueoesofágica con una distancia entre cabos esofágicos amplia.1 La atresia esofágica ocurre en 1:2 500 nacidos vivos, estos pacientes tienen anomalías asociadas en 50% de los casos, la mayoría de ellos involucra una o más de la asociación VACTERL (malformaciones vertebrales, anales, cardiacas, traqueoesofágicas, renales y de extremidades). La etiología es desconocida. El diagnóstico puede ser sospechado prenatalmente ante una pequeña o ausente burbuja gástrica y polihidramnios alrededor de la semana 18 de gestación.2,3 En la etapa postnatal se debe colocar una sonda orogástrica a todos los hijos de madres con polihidramnios, así como a los pacientes que presenten sialorrea, esto para establecer el diagnóstico.4

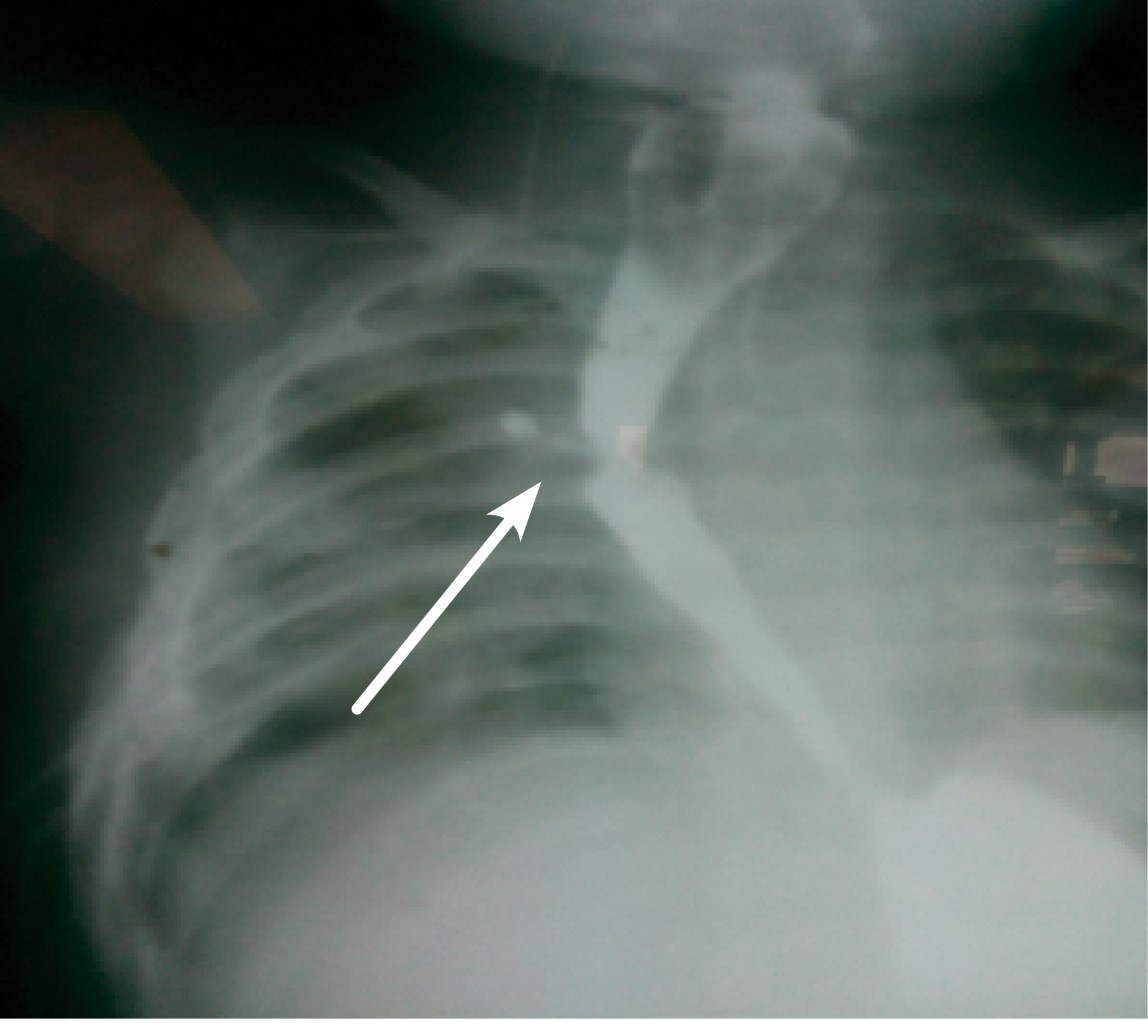
En la AE el tubo no progresa más de 10 cm de la comisura labial, se debe confirmar radiográficamente, lo cual, junto con una broncoscopia, nos ayudará a clasificar el tipo de malformación a tratar (Figura 1). Los pacientes con atresia esofágica tipo I tienen un cuadro clínico similar a los otros tipos de atresias, a excepción de que no presentan gas a nivel intestinal en la radiografía.5-7 Previo al manejo quirúrgico se debe realizar un ecocardiograma, con el objetivo de descartar anomalías asociadas y establecer la posición del arco aórtico, esto es indispensable para definir el sitio de la toracotomía.

El manejo definitivo consiste en cerrar la fístula traqueoesofágica y realizar una anastomosis primaria del esófago.4-6 En casos contados de pacientes con atresia esofágica y fístula traqueoesofágica tipo III, y la mayoría de los casos del tipo I, el tratamiento descrito con anterioridad no es posible, ya que existe una distancia considerable entre ambos cabos esofágicos que no permiten una anastomosis primaria con aceptable tensión.7-10 A esto se le conoce como long gap o brecha amplia, ante lo que se recomienda realizar una gastrostomía en las primeras 24 a 48 horas de vida y tras un periodo de observación (por lo general de ocho a 12 semanas) efectuar una reparación primaria retrasada, ya que existe un crecimiento espontáneo del esófago, favorecido por el reflujo del bolo gástrico.11-13

Por otra parte, existe una variedad de técnicas para facilitar el cierre de la brecha esofágica, entre las que se encuentran la colocación de electromagnetos en ambos cabos, fijación de un hilo de nylon para cerrar la brecha sujeto a olivas de plata colocadas en cada segmento esofágico, elongación extratorácica del esófago mediante repetidas esofagostomías cada vez más distales, tracción de cabos esofágicos mediante suturas exteriorizadas, tracción transquirúrgica de cabos, esofagomiotomía circular que puede ser cervical o torácica, rotación de un colgajo esofágico, movilización total del esófago distal, ligadura y división de la arteria gástrica izquierda para ascenso del cardias y fondo gástrico a tórax; entre otras, todas con el fin de preservar el esófago nativo.

Se tiene un alto índice de complicaciones post quirúrgicas reportadas en estos pacientes, de hasta 60%, las principales fugas son la estenosis de la anastomosis y el reflujo gastroesofágico severo. Si los métodos anteriores fallan será necesario derivar el esófago a nivel cervical, de preferencia del lado izquierdo, y en el futuro reemplazar el esófago, lo que disminuye la calidad de vida del paciente.14-16

Se han establecido diversas clasificaciones pronósticas como la de Waterston, Montreal, Spitz y Okamoto para establecer la supervivencia esperada del paciente (Tabla 1).10

El trabajo que presentamos trata de un caso de atresia esofágica sin fístula traqueoesofágica, con una brecha entre cabos esofágicos muy amplia, lo cual implicó un reto médico y quirúrgico para poder preservar el esófago de la paciente.



PRESENTACIóN CLíNICA

Se presenta el caso de paciente femenino, hija de madre de 32 años, con control prenatal irregular, con ultrasonidos reportados sin alteraciones, obtenida vía abdominal por falta de progresión de trabajo de parto, se encontró polihidramnios, Capurro de 36 semanas de gestación, Apgar 6/8, peso: 2 420 g. Presenta imposibilidad de progresión de sonda orogástrica, únicamente avanzando a 5 cm de la comisura labial, sialorrea, ruidos cardiacos rítmicos sin soplo, no se encontraron alteraciones en el resto de la exploración física.

Radiográficamente: con silueta cardiaca dentro de la normalidad y radiopacidad abdominal total (ausencia de gas intestinal). Se realizó valoración cardiológica y se encontró ducto arterioso sin repercusión hemodinámica y arco aórtico a la izquierda. La broncoscopia (Storz rígido 3.0 d.i.) muestra ausencia de fístula traqueoesofágica, con lo que se diagnostica AE tipo I y se clasifica, según Okamoto, en clase I, por anomalía cardiaca menor y peso al nacer mayor de 2 kg, con una supervivencia esperada de 100%.



TRATAMIENTO QUIRúRGICO

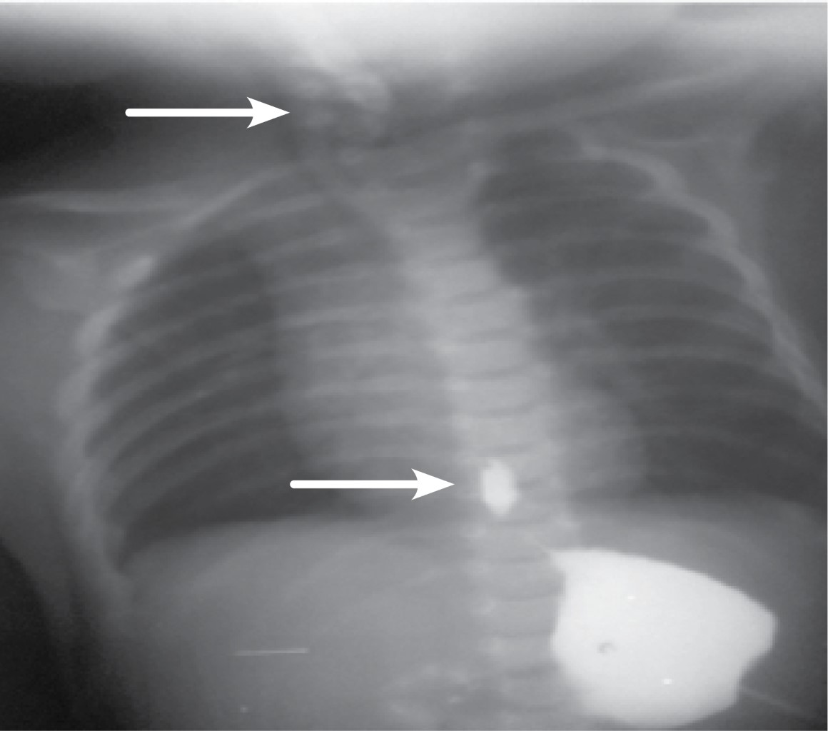
Se realiza gastrostomía Stamm modificada al segundo día de vida, a través de ella se hace estudio contrastado, se encuentra cabo distal en onceava vértebra torácica (intraabdominal), se coloca sonda radiopaca en cabo proximal localizándose dicho segmento a nivel de sexta vértebra cervical, con una distancia inicial de cabos de 12 vértebras (ningún segmento esofágico dentro de tórax). Se mantiene seis semanas sin esofagostomía, con sonda doble lumen de aspiración e irrigación para control de secreciones y con alimentación enteral por sonda de gastrostomía, en este momento se repite el estudio contrastado, en el cual se visualiza cabo proximal en C-7 y distal en T-10 (Figura 2), ya dentro de tórax (hubo ganancia de tres cuerpos vertebrales con respecto al inicio).

Con este avance se realiza toracotomía posterolateral derecha, con abordaje extrapleural, disecando ambos cabos esofágicos (incluyendo disección hiatal de cabo inferior) y colocando jaretas de seda, las cuales se exteriorizan para una elongación esofágica tipo Foker (Figuras 3 y 4), con tracciones seriadas cada 24 horas y controles radiográficos diarios en los que se permite visualizar la aproximación de los marcadores radiopacos colocados en ambos cabos (Figura 5).

Tras 20 días de tracción esofágica, presenta ruptura incidental de las jaretas de seda para elongación extratorácica, en este momento la brecha se midió de dos cuerpos vertebrales y medio, con una ganancia en el cierre de la brecha esofágica en promedio de 4 mm/día. Pasa a quirófano para segunda toracotomía, aún se encuentra mucha dificultad para la aproximación esofágica, por lo que se hace uso de técnicas combinadas para lograr la anastomosis esofágica con la menor tensión posible, éstas fueron: la técnica de Livaditis (miotomía esofágica), Gough (colgajo esofágico) y Bagolan (tensión transquirúrgica de cabos) (Figura 6). Se logró la continuidad esofagogástrica a los 76 días de vida.

Al séptimo día postquirúrgico se practica esofagograma encontrando una fístula esofagopleural (Figura 7), la cual se maneja de manera conservadora con ayuno, antibióticos y drenaje pleural, remitiendo la misma, pero desarrollando estenosis esofágica, se inicia programa de dilataciones con adecuada respuesta, por lo que se retira gastrostomía.

A tres años de seguimiento y vigilancia tiene buena evolución, se encuentra tolerando la vía oral, se mantiene con medicamentos antirreflujo y un desarrollo neurológico acorde a la edad.



DISCUSIóN

A casi 80 años de la descripción del primer reporte exitoso de tratamiento quirúrgico para atresia esofágica (Haight, 1941), continúa siendo un reto para el cirujano pediatra el manejo de pacientes con una distancia muy amplia entre cabos esofágicos, con imposibilidad para una anastomosis primaria. Numerosos procedimientos quirúrgicos se han ideado para lograr una continuidad gastroesofágica con el esófago nativo y de esta manera evitar un reemplazo esofágico.

En 1997 se dio a conocer la elongación esofágica tipo Foker y desde entonces se han hecho modificaciones a la técnica para hacerla cada vez más factible a cualquier nivel de atención.3 En las guías para el manejo de estos pacientes, publicadas en 2019 por la Asociación Americana de Cirugía Pediátrica, recomiendan una reparación primaria (anastomosis) retrasada, esperando un periodo de seis semanas y en caso de que en este periodo no se logren acercar los cabos esofágicos a 2 cm o dos cuerpos vertebrales de distancia, se deben utilizar procedimientos de elongación esofágica o transposición gástrica; en la actualidad, se hace mención de la posibilidad de hacer estos procedimientos mediante cirugía de mínima invasión.5

En el estudio de Zani y colaboradores, en el que se analizaron a pacientes con atresia esofágica tipo I, encontraron que 58% de los pacientes fueron de género masculino, con una media de edad gestacional de 36 ± 2.4 semanas y peso de 2 353 ± 675 gramos, con 83% de los casos con anomalías asociadas, principalmente cardiacas.16 En el caso que presentamos se trata de una paciente de sexo femenino con peso y semanas de gestación en el rango descrito por el estudio; no obstante, sin malformaciones mayores asociadas. Asimismo, reportaron que su principal estrategia de manejo fue la colocación de gastrostomía seguida por una anastomosis primaria retrasada, sólo 9% de sus casos requirieron la utilización de elongación esofágica tipo Foker y tuvieron como complicación la ruptura de la sutura de tracción al cuarto día; además, encontraron una edad media de 128 ± 91 días al momento de la anastomosis esofágica, su brecha mayor consistió en cinco cuerpos vertebrales, ninguno de sus pacientes requirió sustitución esofágica, reportaron 58% de fugas anastomóticas, 58% de estenosis de la anastomosis y 50% requirieron cirugía antirreflujo. Nuestra paciente tuvo una brecha inicial de 12 cuerpos vertebrales, más del doble de lo máximo reportado en su estudio, y se consiguió realizar la anastomosis del esófago siete semanas antes de la media que Zani y colaboradores reportaron. A pesar de la brecha extrema de nuestro caso, también tuvimos la complicación de ruptura de la sutura de tracción esofágica, pero ésta fue tardía a los 20 días de su colocación (Foker fallido); sin embargo, con el suficiente avance en la distancia entre cabos permitió finalmente, mediante técnicas combinadas, la anastomosis con preservación del esófago. De la misma manera, también tuvimos el desarrollo de fístula y estenosis esofágica como se reporta en la literatura mencionada; hasta el momento, no hay necesidad de realizarle cirugía antirreflujo a nuestra paciente.

Por otro lado, en el estudio de Cobellis y Zani mencionan que el retraso en la anastomosis primaria fue de cuatro hasta siete meses y durante ese periodo el paciente era enviado a su domicilio con manejo de sonda doble lumen por parte del familiar, sin esofagostomía;16 sin embargo, en nuestro medio no se cuenta con la infraestructura para realizar visitas domiciliarias ni otorgamiento de aspiradores portátiles para dar manejo ambulatorio a los pacientes, lo que podría incrementar el tiempo de espera para la realización de plastia esofágica.

Como lo reportan Paran y Friedmacher, los pacientes con ausente o extremadamente corto cabo esofágico inferior, como en nuestro caso, son candidatos para reemplazo esofágico;17,18 el manejo quirúrgico de nuestra paciente consistió en una combinación de cinco técnicas descritas para evitar la sustitución del órgano, y con la diferencia de que se logró la anastomosis primaria en comparación con los estudios ya mencionados, en los que refieren brechas mucho más pequeñas que la del caso que presentamos.

Es importante mencionar que el manejo de nuestro caso se realizó en un hospital de segundo nivel.



CONCLUSIONES

La AE tipo I representa un reto si se quiere conservar el esófago nativo. Para una brecha mayor a tres vértebras se consideran dos opciones: 1) derivar el esófago y después realizar un reemplazo esofágico (transposición gástrica o interposición intestinal) o bien, 2) uso de una o varias técnicas para la elongación y preservación esofágica. En el caso presentado, se realizó una plastia esofágica retrasada, además de cuatro técnicas de elongación descritas, en una paciente con una brecha inicial de 12 vértebras. El esófago del propio paciente es el mejor esófago.


REFERENCIAS (EN ESTE ARTÍCULO)

  1. Spitz L. Oesophageal atresia, Orphanet J Rare Dis, 2007; 2: 24. doi: 10.1186/1750-1172-2-24.

  2. Coran AG, Adzick NS, Krummel TM, Laberge JM, Shamberger RC, Caldamone AA, editors. Pediatric surgery. Chap. 69: Congenital anomalies of the esophagus. Vol 2. 7th ed. Philadelphia: Elsevier Mosby; 2012.

  3. Foker JE, Linden BC, Boyle EM Jr, Marquardt C. Development of a true primary repair for the full spectrum of esophageal atresia, Ann Surg, 1997; 226 (4): 533-543.

  4. Bagolan P, Iacobelli Bd Bd, De Angelis P, di Abriola GF, Laviani R, Trucchi A et al. Long gap esophageal atresia and esophageal replacement: moving toward a separation?, J Pediatr Surg, 2004; 39 (7): 1084-1090.

  5. Baird R, Lal DR, Ricca RL, Diefenbach KA, Downard CD, Shelton J et al. Management of long gap esophageal atresia: a systematic review and evidence-based guidelines from the APSA Outcomes and Evidence Based Practice Committee, J Pediatr Surg, 2019; 54 (4): 675-687.

  6. Foker JE, Kendall Krosch TC, Catton K, Munro F, Khan KM. Long-gap esophageal atresia treated by growth induction: the biological potential and early follow-up results, Semin Pediatr Surg, 2009; 18 (1): 23-29.

  7. Kimura K, Nishijima E, Tsugawa C, Collins DL, Lazar EL, Stylianos S et al. Multistaged extrathoracic esophageal elongation procedure for long gap esophageal atresia: experience with 12 patients, J Pediatr Surg, 2001; 36 (11): 1725-1757.

  8. Kunisaki SM, Foker JE. Surgical advances in the fetus and neonate: esophageal atresia, Clin Perinatol, 2012; 39 (2): 349-361.

  9. Nasr A, Langer JC. Mechanical traction techniques for long gap esophageal atresia: a critical appraisal, Eur J Pediatr Surg, 2013; 23 (3): 191-197.

  10. Okamoto T, Takamizawa S, Arai H, Bitoh Y, Nakao M, Yokoi A et al. Esophageal atresia: prognostic classification revisited, Surgery, 2009; 145 (6): 675-681.

  11. Puri P, Blake N, O'Donnell B, Guiney EJ. Delayed primary anastomosis following spontaneous growth of esophageal segments in esophageal atresia, J Pediatr Surg, 1981; 16 (2): 180-183.

  12. Rothenberg SS, Flake AW. Experience with thoracoscopic repair of long gap esophageal atresia in neonates, J Laparoendosc Adv Surg Tech A, 2015; 25 (11): 932-935.

  13. Spitz L. Esophageal atresia. Lessons I have learned in 40 year experience, J Pediatr Surg, 2006; 41 (10): 1635-1640.

  14. Sroka M, Wachowiak R, Losin M, Szlagatys-Sidorkiewicz A, Landowski P, Czauderna P et al. The Foker technique (FT) and Kimura advancement (KA) for the treatment of children with long-gap esophageal atresia (LGEA): lessons learned at two European centers, Eur J Pediatr Surg, 2013; 23 (1): 3-7.

  15. Till H, Muensterer OJ, Rolle U, Foker J. Staged esophageal lengthening with internal and subsequent external traction sutures leads to primary repair of an ultralong gap esophageal atresia with upper pouch tracheoesophagel fistula, J Pediatr Surg, 2008; 43 (6): E33-E35.

  16. Zani A, Cobellis G, Wolinska J, Chiu PP, Pierro A. Preservation of native esophagus in infants with pure esophageal atresia has good long-term outcomes despite significant postoperative morbidity, Pediatr Surg Int, 2016; 32 (2): 113-117.

  17. Sri Paran T, Decaluwe D, Corbally M, Puri P. Long-term results of delayed primary anastomosis for pure oesophageal atresia: a 27-year follow up, Pediatr Surg Int, 2007; 23 (7): 647-651.

  18. Friedmacher F, Puri P. Delayed primary anastomosis for management of long-gap esophageal atresia: a meta-analysis of complications and long-term outcome, Pediatr Surg Int, 2012; 28 (9): 899-906.



AFILIACIONES

1 Médico Pediatra y Cirujano Pediatra adscrito al Servicio de Neonatología del Hospital de Ginecología y Obstetricia del Instituto Materno Infantil del Estado de México. México.

2 Pediatra, Instituto de Salud del Estado de México. México.



CORRESPONDENCIA

Gerardo Fernández Ortega. E-mail: gerardmapi@yahoo.com




Recibido: 01/11/2019. Aceptado: 14/02/2020.

Figura 1
Figura 2
Figura 3
Figura 4
Figura 5
Figura 6
Figura 7
Tabla 1

2020     |     www.medigraphic.com

Mi perfil

C?MO CITAR (Vancouver)

Arch Inv Mat Inf. 2020;11

ARTíCULOS SIMILARES

CARGANDO ...