medigraphic.com
ENGLISH

Revista del Centro Dermatológico Pascua

ISSN 1405-1710 (Impreso)
  • Mostrar índice
  • Números disponibles
  • Información
    • Información general        
    • Directorio
  • Publicar
    • Instrucciones para autores        
  • medigraphic.com
    • Inicio
    • Índice de revistas            
    • Registro / Acceso
  • Mi perfil

2021, Número 1

<< Anterior Siguiente >>

Rev Cent Dermatol Pascua 2021; 30 (1)


Pustulosis palmoplantar

Cardona Hernández, Miguel Ángel1; Padilla Desgarennes, María del Carmen2; Maldonado García, César Alfonso3; Ramos Garibay, José Alberto4; Laguna Meraz, José Pablo1
Texto completo Cómo citar este artículo 10.35366/100589

DOI

DOI: 10.35366/100589
URL: https://dx.doi.org/10.35366/100589
Artículos similares

Idioma: Español
Referencias bibliográficas: 12
Paginas: 29-33
Archivo PDF: 267.19 Kb.


PALABRAS CLAVE

Pustulosis palmoplantar, psoriasis, pústulas.

RESUMEN

La pustulosis palmoplantar es una dermatosis poco frecuente. A menudo se le diagnostica como si se tratase de una psoriasis pustulosa. Para realizar un adecuado diagnóstico, se requiere analizar minuciosamente cada caso, solicitando los exámenes pertinentes, entre los que se incluye la realización de una biopsia de piel. Una vez diagnosticada, el tratamiento consiste en indicar medidas generales y la aplicación de corticosteroides tópicos. Si no se observa mejoría, se debe evaluar la administración de terapias inmunosupresoras más agresivas. En este artículo se comunica el caso de una mujer de 58 años, con pustulosis palmoplantar, quien evolucionó en forma favorable con el tratamiento prescrito.



INTRODUCCIóN

Las erupciones pustulosas palmares y plantares incluyen a la pustulosis palmoplantar (sinónimo: psoriasis pustulosa de Barber), la acrodermatitis continua (enfermedad de Hallopeau), y la acropustulosis infantil. Estos padecimientos se manifiestan con erupciones de pústulas estériles, crónicas y persistentes. Los sitios de elección son la piel engrosada de las palmas y las plantas. La característica histopatológica común a todas ellas es la presencia de pústulas estériles en la epidermis.

La pustulosis palmoplantar (PPP) es una dermatosis inflamatoria crónica y recurrente que se manifiesta clínicamente por el desarrollo de pústulas estériles en palmas y plantas. Desde el punto de vista histopatológico, se caracteriza por la presencia de vesículas intraepidérmicas llenas de neutrófilos. Algunos autores consideran a esta entidad independiente de la psoriasis palmoplantar pustulosa; sin embargo, algunos otros sugieren que ambas comparten un mismo origen genético.1-3

Por razones históricas, esta enfermedad ha recibido diferentes denominaciones: Pustulosis palmaris et plantaris, pustulosis palmoplantar persistente y psoriasis pustulosa de las extremidades, las cuales anteriormente se utilizaron como sinónimos. La controversia surgió a partir de la descripción de la denominada "Bacteride pustulosa de Andrews". Se eligió este término por su estrecha relación con las infecciones bacterianas. En 1935 Andrews y Machacek describieron 15 pacientes con vesículas purulentas recurrentes en las manos y los pies, las que tanto en su aspecto clínico, como en su histopatología, eran semejantes a una enfermedad descrita con anterioridad denominada "psoriasis pustulosa de las manos y los pies de Barber". La presencia de focos de infección bacteriana, sobre todo en los dientes y las amígdalas, junto con la ausencia de signos de psoriasis manifiesta, hizo que los autores cuestionasen la naturaleza psoriásica de estos cambios. Debido a que estas afecciones no pueden diferenciarse con certeza ni desde el punto de vista clínico, ni histopatológico, y a que la evidencia de la intervención patogénica de las bacterias es escasa, para esta dermatosis se decidió emplear el término "pustulosis palmoplantar".

La PPP es una dermatosis poco frecuente, con una incidencia de hasta 0.12%.3 Predomina en adultos de edad media entre la tercera y quinta décadas de la vida y es más frecuente en mujeres, en una proporción 3:1. El 24% de un grupo de 272 pacientes con PPP tenía antecedentes familiares de psoriasis; sin embargo, la clasificación HLA de los pacientes con PPP revela que no existe incremento de ninguno de los aloantígenos ligados a la psoriasis.

La patogénesis de esta entidad no está del todo conocida. Se han propuesto alteraciones genéticas, así como la inmunidad innata y adaptativa como responsables de esta dermatosis.4

Aunque hacen falta más estudios para establecer una relación causal, se considera que el mecanismo por el cual se desarrolla esta enfermedad obedece a la destrucción del acrosiringio de las glándulas sudoríparas ecrinas por la acción del infiltrado inflamatorio involucrado, constituido por linfocitos, neutrófilos, eosinófilos y mastocitos. Estudios previos han demostrado la presencia de células de Langerhans alrededor de los conductos secretores sudoríparos, lo que sugiere la posibilidad de un proceso que responde a la presencia de algunos antígenos; asimismo, se considera que algunos factores quimiotácticos pueden ser los responsables de la propagación de las lesiones en esta dermatosis, como las interleucinas IL8, IL17, TNF alfa, IL22, y el interferón gama.5-7

Otra teoría que intenta explicar su etiopatogenia sugiere que un mecanismo posible es un desequilibrio de los sistemas proteasa y antiproteasa de la piel, coincidente con una actividad disminuida de las antileucoproteasas (elafina y SKALP).4

Para su desarrollo intervienen varios factores genéticos y ambientales, entre los que destacan el estrés, las infecciones, algunos medicamentos, alergias a metales y el tabaquismo.4 En un estudio realizado en Japón, se encontró que la incidencia de PPP se correlacionaba en forma positiva con el tabaquismo grave (más de 20 cigarrillos al día), amigdalitis y factores estacionales como humedad y temperaturas elevadas.

Algunos otros autores han señalado que la hipersensibilidad al metal utilizado en las prótesis dentales puede actuar como factor desencadenante de la enfermedad. Se ha detectado evidencia de una asociación entre las infecciones orales crónicas y la PPP.

En el año 2021, Kageyama y colaboradores publicaron los resultados de un análisis comparativo con el fin de establecer si la microbiota oral juega un papel importante en la patogénesis de este padecimiento.8 Se incluyeron 21 participantes. En el estudio se observó que estos pacientes presentaban menor cantidad de bacterias del género Neisseria, cuya presencia es directamente proporcional a una adecuada salud bucal. En condiciones normales, estas bacterias son comensales no patológicos de la cavidad oral. Una disminución de su población permite el crecimiento de bacterias patógenas, además de actuar como un reductor de nitrato a nitrito, el cual en el estómago se convierte en óxido nítrico. Se ha detectado este desbalance en la PPP. Se observó además que el fillum Synergestetes de la cavidad oral se encontraba aumentado en pacientes con PPP, lo cual está relacionado con el desarrollo de periodontitis crónica.

Los autores observaron que hasta 42% de este grupo de pacientes era portador de disbiosis de la cavidad oral, donde la principal característica es la disminución de Neisseria; sin embargo, debido al pequeño número de participantes en el estudio, no se pudo concluir que ésta fuera un factor determinante en la patogenia de la PPP, por lo que los autores sugieren que se requiere realizar otras cohortes con mayor número de participantes para poder establecer en definitiva dicha causalidad.

La PPP compromete las palmas, las plantas o ambas de forma parcial o total, incluso puede afectar las caras laterales de las manos y los pies. Por lo general es bilateral, aunque al inicio puede ser unilateral.5 Es característico observar la presencia de numerosas pústulas, de aproximadamente 2-4 mm, rodeadas por un halo eritematoso, que al inicio se ubican en el centro de palmas o plantas, e incluso llegan a alcanzar los dedos, con el tiempo coalescen, y generalmente se autolimitan, cambiando de color amarillo a marrón oscuro, y desaparecen en 8-10 días, dejando como secuela manchas residuales postinflamatorias. Son características de la etapa inicial la presencia de placas amarillentas con eritema e infiltración en algunas áreas, cubiertas de fina escama blanquecina, pueden acompañarse de prurito o sensación de ardor.

Con frecuencia, la PPP se desarrolla en los pacientes con osteomielitis multifocal recurrente crónica, así como en otras lesiones óseas inflamatorias no infecciosas. En 1967, en Japón, se describió por primera vez la asociación entre PPP y artrosis de la pared anterior del tórax. Como informaron autores suecos, 6% de los pacientes tenía compromiso de la articulación manubrio-esternal, y 10% afección de la articulación esternoclavicular. Esta afección se denominó síndrome SAPHO (sinovitis, acné, pustulosis, hiperostosis, osteítis).

Se han descrito casos de PPP con lesiones similares a la psoriasis en otras áreas del cuerpo, que generalmente tienden a ser menos graves y con bordes menos delimitados que lo observado en las clásicas placas de psoriasis.6 Pueden coexistir con otras alteraciones como artritis y cambios ungueales que incluyen pústulas subungueales, hoyuelos, onicólisis y alteraciones de la pigmentación.7

El diagnóstico de la PPP se basa en las características clínicas; sin embargo, requiere de una evaluación minuciosa que descarte diagnósticos diferenciales tales como la psoriasis palmoplantar, la acrodermatitis continua de Hallopeau, el eccema de manos, dishidrosis de tipo pustuloso, escabiosis y las tiñas de manos y pies, siendo indispensable la realización de cultivos bacterianos y de un estudio micológico (examen directo y cultivo) como parte del plan de estudio para corroborar o descartar la presencia de ácaros o hifas. El estudio histopatológico está indicado ante cuadros con características atípicas, en etapas iniciales de la enfermedad, o cuando los resultados de los exámenes solicitados no son concluyentes. Los cambios histopatológicos característicos muestran una epidermis con paraqueratosis, ausencia de la capa granulosa, acantosis regular, espongiosis (en lesiones tempranas), en el estrato córneo se observan pústulas con alto contenido de neutrófilos y eosinófilos, acúmulo de mastocitos y eosinófilos por debajo de las pústulas y un infiltrado perivascular mixto en la dermis.9,10

El resto de los exámenes de laboratorio no muestran alteraciones significativas, a excepción de una leve leucocitosis en la biometría hemática.

Existe poca evidencia de alta calidad con respecto a la prescripción del mejor tratamiento para esta dermatosis. De forma general, e independientemente de la severidad del cuadro, se deben indicar medidas generales de cuidado de la piel que incluyan el uso frecuente de emolientes, evitar el contacto con irritantes y suspender el hábito de fumar.11,12 Dentro de los tratamientos utilizados, se considera de primera línea el uso de corticosteroides tópicos, retinoides orales y la fototerapia con psoralenos. La administración de estos dos últimos combinados se recomienda en aquellos casos que no evolucionen de manera favorable, o que cursen con recaídas frecuentes, (etretinato 25-50 mg/día o acitetrinoína 1 mg/kg/día y 8-metoxipsoraleno -al 0.1% si es por vía tópica, o 0.6 mg/kg por vía oral), o inmunosupresores como el metotrexato. El uso de glucocorticoides sistémicos es cuestionable. Administrados a grandes dosis (40-50 mg) suprimen la formación de pústulas; sin embargo, al suspender su ingesta, puede haber un rebrote, por lo cual su empleo no es muy recomendable. También se sugiere el uso de ciclosporina (1.5 a 3 mg/kg por día), o colchicina (1 mg por día), y en casos recalcitrantes severos, es útil el empleo de la terapia biológica.

La PPP tiende a seguir un curso crónico, generalmente cursa con exacerbaciones y remisiones parciales, generando prurito, sensaciones de ardor o dolor, lo cual ha demostrado que afecta de forma importante la calidad de vida de los pacientes, de ahí la importancia de realizar un diagnóstico temprano y tratarla de forma oportuna. Por último, así como sucede en la psoriasis en placas, esta dermatosis puede presentar fenómeno de Koebner.



CASO CLíNICO

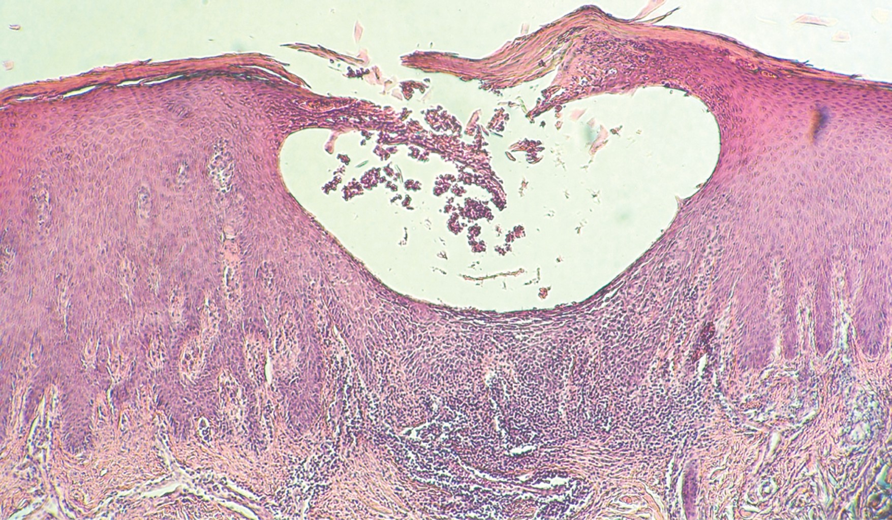
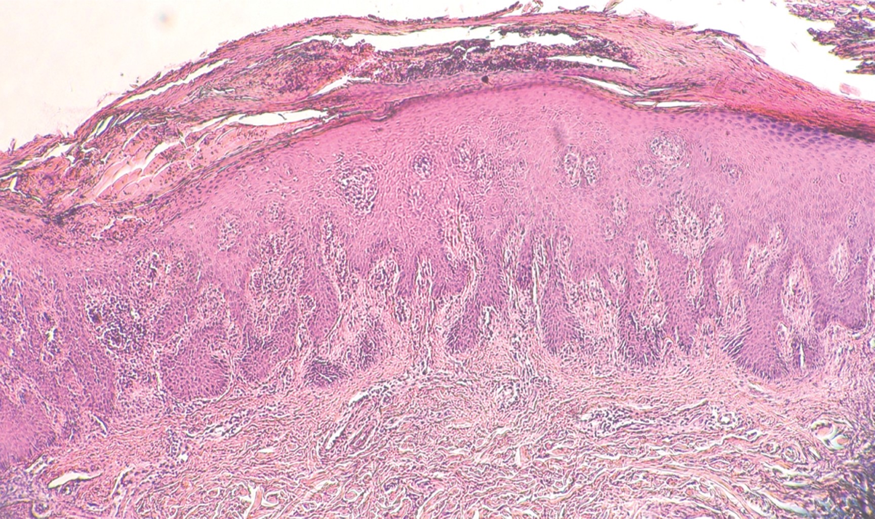
Se presenta el caso de una mujer de 58 años, quien acude a valoración por una dermatosis localizada a extremidad superior derecha de la que afecta la mano y de ésta la palma, a nivel de la eminencia hipotenar, unilateral. La dermatosis estaba constituida por eritema, escama blanquecina e infiltración que confluían en una placa de 0.9 × 0.7 mm, de bordes bien delimitados. De evolución crónica, dolorosa (Figura 1). Sin alteraciones en el resto de la piel y los an exos. Al interrogatorio dirigido, se documentó traumatismo con púas de un erizo de tierra en la zona de la dermatosis tres meses antes. Sin tratamiento previo. Con respecto a sus antecedentes personales patológicos y no patológicos, refirió tabaquismo positivo de hasta cuatro cigarrillos al día desde hace 30 años (índice tabáquico de seis). Se realizaron dos estudios micológicos secuenciados (examen directo y cultivo), los cuales resultaron negativos, y después se programó la realización de una biopsia de piel, cuyos hallazgos histopatológicos evidenciaron la presencia de una capa córnea con hiperqueratosis paraqueratósica, fibrina y restos celulares, así como zonas con microabscesos de neutrófilos, ausencia de capa granulosa en amplias zonas, y una acantosis regular de tipo psoriasiforme. En algunas zonas de la capa espinosa se observaron vesículas espongióticas con neutrófilos y en otras amplias zonas de exocitosis de linfocitos. Dermis con papilomatosis y un infiltrado inflamatorio de predominio linfocitario intersticial superficial, así como vasos dilatados a nivel de la dermis papilar (Figuras 2 y 3). El diagnóstico histopatológico de la biopsia fue psoriasis. La dermatosis empeoró en las semanas posteriores, desarrollando la presencia de pústulas como se muestra en la Figura 4. Por correlación clínico-histopatológica, y tomando en cuenta la evolución de la dermatosis a lo largo de su plan de estudio, aunado al resultado negativo del estudio micológico y al diagnóstico histopatológico, se realizó el diagnóstico definitivo de pustulosis palmoplantar con fenómeno de Koebner.

Se inició tratamiento con base en medidas generales, emolientes y corticosteroides tópicos de mediana potencia, con dosis de reducción, con lo cual se observó mejoría del cuadro. Al momento actual, sin recidiva de la dermatosis.



COMENTARIO

El caso es muy interesante, ya que ejemplifica las características clínicas de una dermatosis poco frecuente, de la que aún existe controversia en cuanto a su etiopatogenia y clasificación. Tomando en cuenta la presentación clínica inicial del caso, el antecedente de traumatismo con las púas de un erizo de tierra, se descartó que se tratase de una tiña inflamatoria como parte del diagnóstico diferencial. El estudio histopatológico fue necesario para establecer el diagnóstico definitivo e iniciar el tratamiento adecuado. Este caso resalta la importancia de considerar y descartar los diferentes diagnósticos diferenciales, de acuerdo a la presentación clínica y los antecedentes de cada paciente.


REFERENCIAS (EN ESTE ARTÍCULO)

  1. Brunasso AMG, Puntoni M, Aberer W, Delfino C, Fancelli L, Massone C. Clinical and epidemiological comparison of patients affected by palmoplantar plaque psoriasis and palmoplantar pustulosis: a case series study. Br J Dermatol. 2013; 168: 1243-1251.

  2. Murakami M, Ohtake T, Horibe Y, Ishida-Yamamoto A, Morhenn VB, Gallo RL et al. Acrosyringium is the main site of the vesicle/pustule formation in palmoplantar pustulosis. J Invest Dermatol. 2010; 130: 2010-2016.

  3. Bissonnette R, Suárez-Fariñas M, Li X, Bonifacio KM, Brodmerkel C, Fuentes-Duculan J et al. Based on molecular profiling of gene expression, palmoplantar pustulosis and palmoplantar pustular psoriasis are highly related diseases that appear to be distinct from psoriasis vulgaris. PLoS One. 2016; 11: e0155215.

  4. Kubota K, Kamijima Y, Sato T, Ooba N, Koide D, Iizuka H et al. Epidemiology of psoriasis and palmoplantar pustulosis: a nationwide study using the Japanese national claims database. BMJ Open. 2015; 5: e006450.

  5. Becher G, Jamieson L, Leman J. Palmoplantar pustulosis--a retrospective review of comorbid conditions. J Eur Acad Dermatol Venereol. 2015; 29: 1854-1856.

  6. Hellgren L, Mobacken H. Pustulosis palmaris et plantaris. Prevalence, clinical observations and prognosis. Acta Derm Venereol. 1971; 51: 284-288.

  7. Yamamoto T. Extra-palmoplantar lesions associated with palmoplantar pustulosis. J Eur Acad Dermatol Venereol. 2009; 23: 1227-1232.

  8. Kageyama Y, Shimokawa Y, Kawauchi K, Morimoto M, Aida K, Akiyama T, Nakamura T. Dysbiosis of oral microbiota associated with palmoplantar pustulosis. Dermatology. 2021; 237: 347-356.

  9. Burden AD, Kemmett D. The spectrum of nail involvement in palmoplantar pustulosis. Br J Dermatol. 1996; 134: 1079-1082.

  10. Eriksson MO, Hagforsen E, Lundin IP, Michaëlsson G. Palmoplantar pustulosis: a clinical and immunohistological study. Br J Dermatol. 1998; 138: 390-398.

  11. Weedon D. The vesicobullous reaction pattern. In: Weedon D, Strutton G, Adam IR. Weedon's skin pathology. 3rd ed, [Edinburgh] : Churchill Livingstone/Elsevier, 2010. p. 123.

  12. Marsland AM, Chalmers RJ, Hollis S, Leonardi-Bee J, Griffiths CE. Interventions for chronic palmoplantar pustulosis. Cochrane Database Syst Rev. 2006; CD001433.



AFILIACIONES

1 Dermatólogo. Centro Dermatológico "Dr. Ladislao de la Pascua", SSCDMX.

2 Jefe del Servicio de Micología. Centro Dermatológico "Dr. Ladislao de la Pascua", SSCDMX.

3 Jefe de la Clínica de Psoriasis. Centro Dermatológico "Dr. Ladislao de la Pascua", SSCDMX.

4 Dermatopatólogo. Centro Dermatológico "Dr. Ladislao de la Pascua", SSCDMX.



CORRESPONDENCIA

Dr. Miguel Ángel Cardona Hernández. E-mail: drmiguelcardona08@gmail.com


Figura 1
Figura 2
Figura 3
Figura 4

2020     |     www.medigraphic.com

Mi perfil

C?MO CITAR (Vancouver)

Rev Cent Dermatol Pascua. 2021;30

ARTíCULOS SIMILARES

CARGANDO ...