medigraphic.com
ENGLISH

Acta Ortopédica Mexicana

ISSN 2992-8036 (Digital)
ISSN 2306-4102 (Impreso)
Órgano Oficial del Colegio Mexicano de Ortopedia y Traumatología
  • Mostrar índice
  • Números disponibles
  • Información
    • Información general        
    • Directorio
  • Publicar
    • Instrucciones para autores        
  • medigraphic.com
    • Inicio
    • Índice de revistas            
    • Registro / Acceso
  • Mi perfil

2021, Número 1

<< Anterior Siguiente >>

Acta Ortop Mex 2021; 35 (1)


Extracción compleja de clavos de fémur tipo Küntscher. Trefinas y otras técnicas

López-Orosa, C1; García-Lázaro, FJ1; Ladero-Morales, F2
Texto completo Cómo citar este artículo 10.35366/100935

DOI

DOI: 10.35366/100935
URL: https://dx.doi.org/10.35366/100935
Artículos similares

Idioma: Español
Referencias bibliográficas: 10
Paginas: 75-79
Archivo PDF: 212.95 Kb.


PALABRAS CLAVE

Küntscher, extracción clavo intramedular, trefinas.

RESUMEN

Introducción: La extracción de un clavo intramedular íntegro o roto puede ser un verdadero desafío quirúrgico. Mediante casos clínicos se han descrito diferentes métodos y existen multitud de herramientas que permiten su retirada. En este artículo se presenta la experiencia de una de ellas: el uso de trefinas. Casos clínicos: Se describen tres instancias de clavos intramedulares tipo Küntscher detallando los pasos a seguir en una extracción, tras revisar y organizar las técnicas publicadas y las distintas herramientas que se precisan en su realización, de forma que el cirujano pueda planificar mejor la remoción y disponga de los recursos necesarios para poder realizarlas progresivamente si van fracasando durante la cirugía. Conclusión: El uso de trefinas como sistema de extirpación es una modalidad poco utilizada, reproducible como alternativa cuando fallan los métodos habituales. No requiere nuevos abordajes y no precisa de la integridad del extremo proximal del elemento, pudiendo ser utilizada en la mayoría de los diseños.



INTRODUCCIóN

El uso de enclavados intramedulares (IM) de Küntscher, en el tratamiento de las fracturas diafisarias de fémur, supuso un gran avance en la cirugía traumatológica. Con el paso del tiempo han surgido nuevos modelos y evoluciones en los clavos IM, convirtiéndose en el tratamiento de elección para estas fracturas.1,2 A medida que aumenta su uso también se incrementa la necesidad de su retirada: fracturas periimplante, infecciones, seudoartrosis, molestias relacionadas con el material o interferencia en cirugía protésica de las articulaciones artrósicas vecinas. La técnica de implantación de clavos IM está bien reglada, sin embargo, su descarte en ocasiones supone un desafío frente al cirujano. El crecimiento de hueso alrededor de la varilla, el daño en sus extremos y la rotura del mismo pueden complicar su retirada. Se han descrito múltiples métodos de remoción,1,3,4 lo mismo para piezas rotas que íntegras.2 Se presentan tres ejemplos de extirpación de clavos IM tipo Küntscher de fémur mediante trefinas del sistema de extracción de vástagos de prótesis de cadera.5



CASOS CLíNICOS

Paciente 1: varón de 47 años con dolor crónico en cadera derecha. Antecedente de fractura de acetábulo y diáfisis femoral tras accidente de tráfico, a los 13 años de edad; sus radiografías preoperatorias se revelan con consolidación de las fracturas y coxartrosis derecha, allí se usó un clavo IM tipo Küntscher sin tornillos de bloqueo (Figura 1A), ya se había intentado extraer seis meses antes sin éxito.

Paciente 2: varón de 48 años con dolor crónico en cadera izquierda. Antecedente de fractura diafisaria de fémur intervenida a los 21 años de edad. Los rayos X confirman la consolidación de la fractura y con clavo IM clase Küntscher sin tornillos de bloqueo (Figura 1B).

Paciente 3: varón de 70 años con dolor crónico en cadera izquierda. Fractura diafisaria de fémur en 1965. En las radiografías se observa coxartrosis y consolidación de la fractura con clavo IM tipo Küntscher sin tornillos de bloqueo, con una discrepancia con longitud de 3 cm (Figura 1C).

En ninguno de los casos fue posible determinar modelo ni características de esos pernos. Se propuso la extracción de las piezas y según evolución posterior valorar artroplastía total de cadera. Se informó de los riesgos quirúrgicos y de fracaso en la retirada del aguijón, especialmente en el primer paciente, por el intento previo fallido. En el caso del paciente 3 se decide realizar la remoción y la artroplastía en un mismo tiempo.



RESULTADOS

Se colocaron los pacientes en decúbito lateral. Abordaje de la cadera sobre cicatrices previas. En los dos primeros pacientes, tras la localización de la punta de la varilla, se realizó un primer intento de extracción mediante un gancho óseo insertado en el orificio proximal; sin obtener buen resultado. En un segundo intento se pasó una guía de oliva curvada hasta el extremo distal del clavo y se rellenó el canal con tres agujas más, hasta que quedaron encajadas. Sin embargo, también fracasó, pues no se lograba una buena fijación dentro de la pieza. En uno de los sucesos se pasó una uña metálica hasta el extremo distal del perno, pero tras varios golpes dicha uña se rompió quedando alojada dentro de la diáfisis.

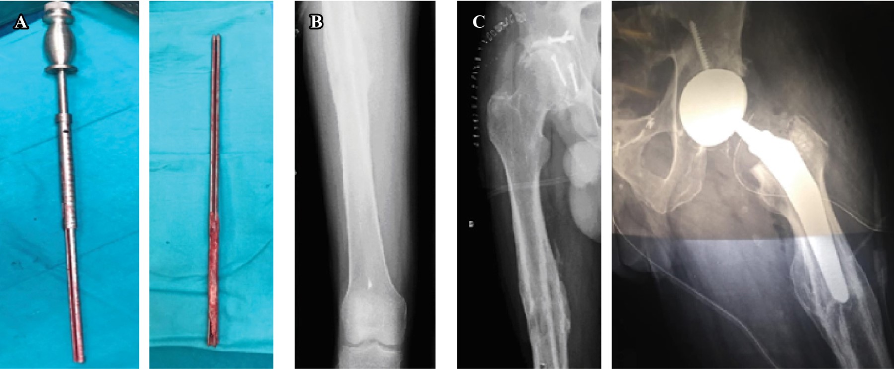
Después, con control radiológico, se fresó alrededor del elemento con trefinas del sistema de remoción de vástagos femorales de Depuy-Synthes Johnson & Johnson© (Warsaw, IN USA).5 Este sistema dispone de trefinas de distintos diámetros (11-18.5 mm) de unos 20 cm de longitud. Una vez comprobado que la trefina alcanzó el callo de hueso y quedó encajada, se realizó la extracción, con diapasón, de la trefina junto con el clavo (Figura 2). Se retiraron los aguijones en su totalidad sin complicaciones. Los pacientes permanecieron ingresados 48 horas para control de dolor, iniciando deambulación con carga protegida con muletas y profilaxis antitrombótica.

En el tercer caso, primero se accedió a la articulación coxofemoral, por un abordaje posterolateral. Una vez luxada la cadera, se realizó una osteotomía cervical femoral, que facilitó la localización y fresado con trefinas de la periferia de la pieza. Posteriormente se extrajo con alicates. Tras la retirada del perno se implanta, según técnica reglada, una prótesis total de cadera no cementada: Cotilo Trilogy Zimmer©, a presión, con fijación adicional consistente en tornillo de 6.5 mm; vástago de anclaje metafisario modular M/L Taper Kinectiv Zimmer©; par cerámica-cerámica, cabeza de 36 mm. Se rellenó la zona metafisaria anterior y posterior con hueso de cabeza femoral, buscando aumentar la reserva ósea, sin necesidad de otras maniobras añadidas. Permanece ingresado 72 horas tras iniciar deambulación protegida con muletas y profilaxis antitrombótica.

A los seis meses tras la cirugía, los tres pacientes no presentan complicaciones clínico radiológicas y no se plantean nuevas operaciones.



DISCUSIóN

El enclavado IM, tratamiento de elección en las fracturas diafisarias de fémur,1,2,6 se realiza mediante una técnica quirúrgica bien establecida y estructurada, sin embargo, su remoción supone, en ocasiones, un reto quirúrgico. Dentro las indicaciones para la extracción de material de osteosíntesis (EMO) se encuentran: la infección, fracturas periimplante, rotura del clavo, seudoartrosis, dolor por protrusión del material2,6 o estar gestionando la implantación de una prótesis articular. En algunos centros se realiza de rutina,2,6 una vez consolidada la fractura, a fin de evitar futuras interferencias con cirugías posteriores, infección por diseminación hematógena o fracturas periimplante.6 La EMO no está exenta de complicaciones: rotura de los sistemas de remoción, hematomas, infección, complicaciones en la herida, refracturas, lesión nerviosa o una extirpación incompleta o imposible.2,6

Se describen los pasos a seguir para realizar una EMO:

Primero, planificación: se debe identificar el tipo, tamaño y fabricante del clavo y así disponer del sistema específico de extracción del propio elemento; además, también se debería tener un equipo universal de remoción de varillas o tornillos, puesto que en ocasiones el clavo se encuentra descatalogado y no existe en el mercado material específico para su retirada. Este equipo universal dispondrá de sistemas cónicos de extracción, destornilladores, ganchos óseos, gubias, osteótomos y trefinas; todo ello de distintas formas, diámetros y longitudes.6

Segundo, localización del clavo: los clavados se pueden encontrar enterrados y obstruidos por crecimiento de hueso. Un abordaje amplio y con control radiológico intraoperatorio permitirá visualizar correctamente la entrada del aguijón. Incluso se recomienda fresar la entrada 1-2 mm más que el diámetro del elemento mismo, procurando evitar fracturas periimplante durante su extracción.2,6 En casos excepcionales es necesario realizar osteotomías amplias o extendidas al intentar localizar el clavo.4



TERCERO, TéCNICAS DE EXTRACCIóN:

  • 1. Tracción del extremo proximal

Habitualmente es primera técnica utilizada en la EMO de clavos IM. En los implantes Küntscher originales existe un ojal en los extremos que permite insertar un gancho y traccionar de él. Si este ojal se rompe, lo recomendado es crear uno nuevo con fresas de alta velocidad para metal y continuar traccionando con ganchos.2

En la actualidad, la mayoría de clavos tienen un dispositivo de extracción específico que se atornilla en el extremo del punzón. Por este motivo, al final de la cirugía primaria de osteosíntesis, se recomienda la colocación de tapones de bloqueo proximal que evitan la obstrucción de la entrada de la pieza y así facilitar la futura retirada, sobre todo en clavados de aleación de titanio.

Si esta rosca se rompe, la varilla no dispone de ella o el propio tapón de bloqueo está dañado,7 se pueden usar dispositivos de remoción cónicos de acero inoxidable. Están disponibles comercialmente en distintos diámetros, como parte del sistema de extracción universal, de uso común para tornillos. La punta cónica tiene un efecto cuña y labrará una nueva rosca, por la que se ancla al clavo, ejecutando su retirada. Esta nueva rosca puede hacerse dentro del elemento en sí o de su tapón de bloqueo y se ve facilitada en los clavados actuales por su composición de aleaciones de titanio y aluminio.2,7

Es importante, antes de enroscar el extractor cónico, mantener la estabilidad rotacional del aguijón, generalmente manteniendo los tornillos de bloqueo en su lugar o al introducir clavos de Steinmann por los orificios de bloqueo distal,6 hasta que se aplica el extractor roscado.3,7

En caso de no disponer de extractores cónicos roscados, en sustitución se puede utilizar un pin de Schanz de un diámetro que permita roscarlo en el interior del canal de la varilla y posteriormente traccionar de él.4 Otra opción sería crear un ojal con fresas de alta velocidad y punta diamante y luego usar un gancho para hueso,2 como en los clavos de Küntscher.

  • 2. Ganchos/relleno del interior del clavo

Pueden ser ganchos prefabricados o conformar uno doblando una aguja guía de oliva, como si fuera un anzuelo de pescar.3,4 El "gancho" se pasa a través del canal del clavo hasta el final o hasta un orificio de bloqueo, para traccionar del él y así arrastrar el elemento.3,6 Con la meta de aumentar la fuerza de agarre, habitualmente se rellena el interior del clavo con más agujas y así se obtiene un buen ajuste en la salida del perno. Se aconseja retorcer las agujas entre sí para solidarizarlas y tirar mejor de ellas.3,6 Otras formas de rellenar el interior del clavo es con: Tens, tallos de Ender, Hackethal, Rush o punzones de menor diámetro.2,3,4

También se describe, para bloquear la guía de oliva dentro del canal, la colocación de un tornillo, de 3.5 mm de diámetro y 12 mm de longitud, a través de uno de los orificios de bloqueo del clavo o en la entrada del mismo.3,6

Este método de extracción con ganchos y relleno del clavo es el más sencillo y no requiere ninguna instrumentación específica, no aumenta la morbilidad ya que se accede a través del elemento mismo. Sin embargo, en varillas macizas este sistema es complejo, al tener que actuar por fuera del clavo para llegar al extremo o a los orificios de bloqueo. En el caso de elementos acanalados o con forma de trébol con frecuencia fracasa, porque la apertura del clavo dificulta el ajuste firme de las agujas dentro del mismo, disminuyendo la fuerza de agarre que aplican, como les sucedió a los autores.

  • 3. Agarre periférico

En los casos citados, una vez intentadas las técnicas anteriores, lo que se planteó fue capturar el clavo por su periferia, mediante trefinas. La trefina, de diámetro 1-2 mm superior al elemento, se pasa girando hasta que se bloquea alrededor del mismo, junto con el callo óseo, así queda ajustada y apresando el clavo y permitiendo su extracción junto con la trefina. También es posible que, al sobrefresar el hueso unos milímetros más que el diámetro del clavo, éste ya no esté a presión y pueda extraerse mediante un manejo habitual, como en el paciente 3.

Este método es muy útil ante aguijones macizos o acanalados; sin embargo, no se realiza habitualmente puesto que requiere de trefinas específicas de gran longitud, que al menos superen el callo de hueso y provocan un fresado significativo de hueso alrededor de la varilla, con riesgo de fractura.

En lugar de trefinas para capturar por la periferia el clavado incarcerado, también se describe el uso de clavados expandibles o acanalados, acaso clavos o fragmentos de pequeño diámetro.3

  • 4. Extracción a través de ventanas óseas

El siguiente escalón técnico para una EMO implica un aumento mayor de morbilidad, al necesitar varios accesos óseos durante la retirada del clavo.

Se realizarán ventanas óseas, aproximadamente a 2 cm del extremo distal del clavo o se aborda el canal medular del fémur por la escotadura intercondílea, a través de una artrotomía de rodilla.2,3,6 En casos de rotura del elemento, junto a retardos de consolidación o seudoartrosis, se puede utilizar como ventana ósea el propio foco de fractura.3 A través de estas ventanas se golpea de forma retrógrada el clavo con impactadores, separadores,2 otros clavos6 o fresas flexibles y así se extrae a través del trocánter mayor2,3 o a través de la propia ventana.

Son técnicas agresivas que debilitan el hueso, precisan dobles abordajes o lesionan la rodilla, con un aumento de morbilidad. No obstante, son útiles en varillas macizas.

Las ventanas óseas no sólo permiten extraer el elemento, también permiten acceder a él y cortarlo con brocas para metal. En caso de clavos doblados se cortan de modo parcial, procurando debilitarlos y realinearlos. Posteriormente se extrae de forma habitual.1 Otra posibilidad es cortarlo al completo y extraerlo en dos piezas a través del foco/ventana ósea.1,6 En estos métodos existe riesgo de necrosis térmica y depósito de restos metálicos, con riesgo de infección; para disminuirlo se recomienda irrigación abundante con suero salino mientras se corta la varilla.

  • 5. Osteotomías longitudinales/sarcófagos

Como técnica de rescate, la osteotomía longitudinal de fémur en su cara lateral permite el acceso completo al clavo. La extensión de la tal corte dependerá de la longitud del elemento, si éste está doblado o si existe seudoartrosis o una nueva fractura.1,4,6 Con dicha intervención se puede conseguir: o bien agrandar el canal femoral en el lugar de compresión de la pieza y así éste deje de estar a presión y sea más fácilmente extraíble;4 o bien exponer por completo el clavo y eliminar los puntos en los que esté osteointegrado.

Es un método demandante, con mucha morbilidad al precisar abordaje completo del fémur, fijación posterior habitualmente con cerclajes con o sin injerto óseo, pérdidas hemáticas y riesgo de infección y postoperatorio complejo.

  • 6. Extracción parcial del clavo

Como medida paliativa, para evitar los grandes abordajes, osteotomías o exceso de morbilidad, no es descartable cortar el extremo del clavo, con fresas de punta de diamante de alta velocidad, solamente la longitud necesaria que protruya o genere conflicto y dejar el resto de la pieza. En su artículo, Goosen y claboradores,8 mediante una osteotomía trocantérica extendida, acceden al clavo y se corta a la longitud necesaria que permite implantar un vástago femoral cementado, de forma que la punta de éste se introduce en el resto del elemento, solidarizándolos entre sí, evitando crear una zona de estrés entre el vástago y el clavo.

En las circunstancias en las que la sintomatología sea debida a la degeneración articular existe la tentación de implantar una prótesis de resuperficialización metal-metal y obviar la retirada de la unidad.9 Sin embargo, aunque muy populares a principios de los dos mil, actualmente están en desuso por las complicaciones asociadas (reacciones adversas de tejidos blandos frente a metal, aflojamientos asépticos y niveles iónicos elevados de cromo y cobalto en sangre) y la alta tasa de recambio que presentan a largo plazo.10

Hay publicados numerosos casos clínicos individuales describiendo diferentes técnicas de extracción, con mayor o menor morbilidad y efectividad. No obstante, el paso más importante previo a la EMO es la planificación preoperatoria y así disponer de todo el material necesario para poder realizar diferentes abordajes. Aunque cada clavo posee su sistema de remoción específico, en ocasiones o bien no están disponibles porque el elemento es desconocido/descatalogado o se rompe, por lo que el cirujano debe confiar en su experiencia e ingenio, aspirando a lograr un buen resultado. Se aporta la experiencia obtenida en extracciones complejas, con una serie de tres casos, algo poco frecuente en la literatura, dónde son más habituales los eventos únicos. Se usan de forma secuencial las tácticas descritas hasta lograr la retirada por agarre periférico con trefinas. Parece ser un procedimiento reproducible como alternativa cuando fallan los métodos habituales. No requiere nuevos abordajes y no precisa de la integridad del extremo proximal del clavo, pudiendo ser utilizada en la mayoría de diseños. Sin embargo, requiere de material específico y se debe ser cuidadoso en su ejecución ya que es una técnica agresiva que puede debilitar en exceso el hueso y fracturarlo.


REFERENCIAS (EN ESTE ARTÍCULO)

  1. Kose O, Guler F, Kilicaslan OF, May H, Yuksel HY. Removal of a bent intramedullary nail in lower extremity: report of two cases and review of removal techniques. Arch Orthop Trauma Surg. 2016; 136 (2): 195-202.

  2. Liodakis E, Krettek C, Kenawey M, Hankemeier S. A new technique for removal of an incarcerated expandable femoral nail. Clin Orthop Relat Res. 2010; 468 (5): 1405-9.

  3. Abdelgawad AA, Kanlic E. Removal of a broken cannulated intramedullary nail: review of the literature and a case report of a new technique. Case Rep Orthop. 2013; 2013: 461703.

  4. Kumar V, Singh G, Kansal R, Aggarwal S. Kuntscher's nail removal techniques: an illustrative walkthrough its journey. Eur J Orthop Surg Traumatol. 2019; 29 (7): 1377-81.

  5. Depuy-Synthes. Hip extraction instrumentation. DePuy Synthes Johnson & Johnson. 2014.

  6. Krettek C, Mommsen P. Implant removal after intramedullary osteosyntheses. Literature review, technical details, and tips and tricks. Unfallchirurg. 2012; 115 (4): 299-314.

  7. Tadros AM, Elhelw AM, Eldehi M, Al-Shaeel RA. Removal of a femoral intramedullary nail with impacted nail end cap using a broken screw extraction set: a case report and literature review. Acta Orthop Traumatol Turc. 2015; 49 (2): 217-9.

  8. Goosen JH, Van Hellemondt GG. Primary total hip arthroplasty with a retained intramedullary femoral nail. Acta Orthop Belg. 2013; 79 (1): 114-6.

  9. Mont MA, McGrath MS, Ulrich SD, Seyler TM, Marker DR, Delanois RE. Metal-on-metal total hip resurfacing arthroplasty in the presence of extra-articular deformities or implants. J Bone Joint Surg Am. 2008; 90 (3): 45-51.

  10. Chang JS, Haddad FS. Revision total hip arthroplasty for metal-on-metal failure. J Clin Orthop Trauma. 2020; 11 (1): 9-15.



AFILIACIONES

1 Hospital Universitario de Fuenlabrada. Madrid. España.

2 Hospital Universitario del Tajo. Aranjuez. Madrid. España.



Conflicto de intereses: Los autores declaran no tener ningún conflicto de intereses. El presente artículo ha sido aprobado por el comité de ética de nuestro centro.

Financiamiento: El presente artículo no ha recibido ayudas específicas provenientes de agencias del sector público, sector comercial o entidades sin ánimo de lucro. Ha sido aprobado por el comité ético del Hospital Universitario de Fuenlabrada.



CORRESPONDENCIA

Carlos López-Orosa. E-mail: clorosa@salud.madrid.org




Recibido: 10-09-2020. Aceptado: 21-02-2021.

Figura 1
Figura 2

2020     |     www.medigraphic.com

Mi perfil

C?MO CITAR (Vancouver)

Acta Ortop Mex. 2021 Ene-Feb;35

ARTíCULOS SIMILARES

CARGANDO ...