medigraphic.com
ENGLISH

Revista Mexicana de Cirugía Torácica General

Sociedad Mexicana de Cirujanos Torácicos Genrales S.C.
  • Mostrar índice
  • Números disponibles
  • Información
    • Información general        
    • Directorio
  • Publicar
    • Instrucciones para autores        
    • Envío de artículos
  • medigraphic.com
    • Inicio
    • Índice de revistas            
    • Registro / Acceso
  • Mi perfil

2020, Número 2

<< Anterior

Rev Mex Cir Torac Gen 2020; 1 (2)


Trasplante pulmonar en México en tiempo de pandemia por COVID-19

Wong-Jaén, Manuel1; Chavarría-Martínez, Uriel2; Fuentes-Puga, Vicente3; Anaya-Medina, Gabriel4; Sánchez-Salazar, Sergio5; Albores-Figueroa, Rosemberg6; Bobadilla-González, Mirta Eunice7; López-Romo, Alicia8; Rizo-Topete, Lilia9; Gómez-Gutiérrez, René10
Texto completo Cómo citar este artículo 10.35366/101152

DOI

DOI: 10.35366/101152
URL: https://dx.doi.org/10.35366/101152
Artículos similares

Idioma: Español
Referencias bibliográficas: 14
Paginas: 67-72
Archivo PDF: 370.68 Kb.


PALABRAS CLAVE

Trasplante pulmonar, pandemia, SARS-CoV-2, COVID-19, ECMO, oxigenación por membrana extracorpórea, Centro Nacional de Trasplantes.

RESUMEN

El trasplante pulmonar ha tenido un desarrollo lento en México. A la fecha únicamente hay un único programa activo en el país. Si bien el camino es difícil, la pandemia hizo que el Centro Nacional de Trasplantes (CENATRA) cancelara todo trasplante de órganos durante varios meses. Durante la nueva "normalidad" se ha dado una reapertura paulatina del trasplante de órganos con reglas muy específicas de protección. En este artículo presentamos la experiencia de nuestro grupo de trasplante pulmonar durante la pandemia COVID-19 y la primera experiencia de trasplante pulmonar por daño severo secundario a enfermedad por COVID-19.



INTRODUCCIóN

En México los inicios del trasplante pulmonar datan de más de 30 años en el Instituto Nacional de Enfermedades Respiratorias (INER).1 Múltiples han sido los intentos de establecer nuevos programas o dar continuidad a la actividad del trasplante pulmonar.2

El 30 de marzo de 2020, México instaura el estado de emergencia sanitaria por SARS-CoV-2,3 19 días posterior a la declaración de pandemia por la Organización Mundial de la Salud (OMS).4

De acuerdo con los datos de la OMS, nuestra situación sanitaria actual en relación con la pandemia es de más de 890 mil afectados y casi 90 mil fallecimientos, colocando a México en el séptimo país con más casos confirmados y el cuarto con más fallecimientos; superado en muertes a países con un índice poblacional considerablemente mayor como Estados Unidos de América (EUA), Brasil e India.5

Debemos recordar que en México la población de pacientes con afectación pulmonar susceptible de necesitar trasplante pulmonar es alta. La enfermedad obstructiva crónica (EPOC) tiene una prevalencia de 7.8% en la población adulta. En fibrosis pulmonar idiopática (FPI) se describe una incidencia anual estimada de hasta ocho casos por cada 100 mil habitantes.6 Sin embargo, el primer consenso nacional sobre FPI claramente define como imposible estimar la magnitud de esta enfermedad para México y Latinoamérica por no contarse con información epidemiológica.7 Esto no es diferente para la fibrosis quística, que tiene una incidencia anual que ronda los 350 nuevos casos o uno por cada 8,500 nacidos vivos.8 Es muy clara la urgente necesidad de mantener la actividad de trasplante pulmonar pese a la pandemia, ante la responsabilidad en nuestro país de dar respuesta a los más de 20 mil pacientes en espera de un trasplante de órganos.

Por lo antes explicado, en el contexto de la nueva normalidad, el Centro Nacional de Trasplantes (CENATRA) implementa el 25 de septiembre de 2020 un plan de reactivación gradual coordinado en función del control de la epidemia de SARS-CoV-2 (COVID-19) en cada entidad federativa.9,10



REACTIVACIóN EN LA "NUEVA NORMALIDAD"

Para la transición hacia la nueva normalidad se propuso una estratificación de riesgo epidemiológico en cuatro niveles: máximo (rojo), alto (naranja), medio (amarillo) y bajo (verde) en función del comportamiento de la pandemia considerando la tasa de nuevos casos detectados, el número de ingresos hospitalarios y de cuidados intensivos (UCI), así como los datos reportados por el sistema de vigilancia epidemiológica de cada centro sanitario. De igual manera, se asignó una semaforización hospitalaria para los centros acreditados para donación y trasplante en todo el país en consenso con los gobiernos estatales. Esta estratificación relaciona el nivel de riesgo epidemiológico con la actividad de donación y trasplante en el establecimiento sanitario. Además, retroalimenta al Centro Nacional de Trasplantes (CENATRA) con datos como la situación de circulación del virus, la disponibilidad de camas de hospitalización y cuidados intensivos, los estudios de laboratorio y gabinete (PCR y TAC), los equipos de protección personal y el recurso humano asignado a trasplante y donación (los cuales no deben tener rotación por áreas COVID)­. También involucra e incentiva la participación de comités hospitalarios de Bioética, Unidades de Vigilancia Epidemiológica y sugiere la confección de un consentimiento informado que incluya el riesgo por COVID-19.

Durante el nivel más bajo de riesgo, se permite la actividad de donación y trasplante irrestricto. En el grado máximo de riesgo, sólo se liberan urgencias nacionales y asignaciones prioritarias. En ningún caso se impuso prohibición de la actividad de trasplante y donación.9-11



VIEJOS Y NUEVOS DESAFíOS

La estadística expuesta en la plataforma del Centro Nacional de Trasplantes confirma que, en México, el trasplante pulmonar es el menos frecuente. En la actualidad el Hospital Christus Muguerza Alta Especialidad de Monterrey N.L., posee el único programa de trasplante pulmonar activo en México. A este viejo desafío se le suman dos nuevos: el funcionar bajo la estructura de reactivación de los programas dentro de la pandemia y enfrentar los primeros pacientes con daño pulmonar en estado terminal por SARS-CoV-2.



TRASPLANTANDO BAJO PANDEMIA

Posterior a la fecha en que se instala el estado de emergencia sanitaria en México, nuestro grupo ha trasplantado bajo las nuevas ordenanzas del ­CENATRA a tres pacientes (Tabla 1). En cada caso los pacientes recibieron pulmones de donantes con PCR negativa para SARS-CoV-2 con TAC torácico que mostraba ausencia de infiltrados pulmonares y gasometrías arteriales que reportaban PO2 superiores a 300 mmHg bajo parámetros ventilatorios estándar (PEEP 5, FiO2 al 100%).

Dentro de la nueva dinámica, y en cada evento de trasplante, cada miembro del equipo requiere una prueba de PCR negativa con vigencia no mayor a 14 días. Durante la cirugía de procuración todos los miembros de los distintos equipos quirúrgicos utilizaron mascarillas de protección con filtrado superior al 95%.

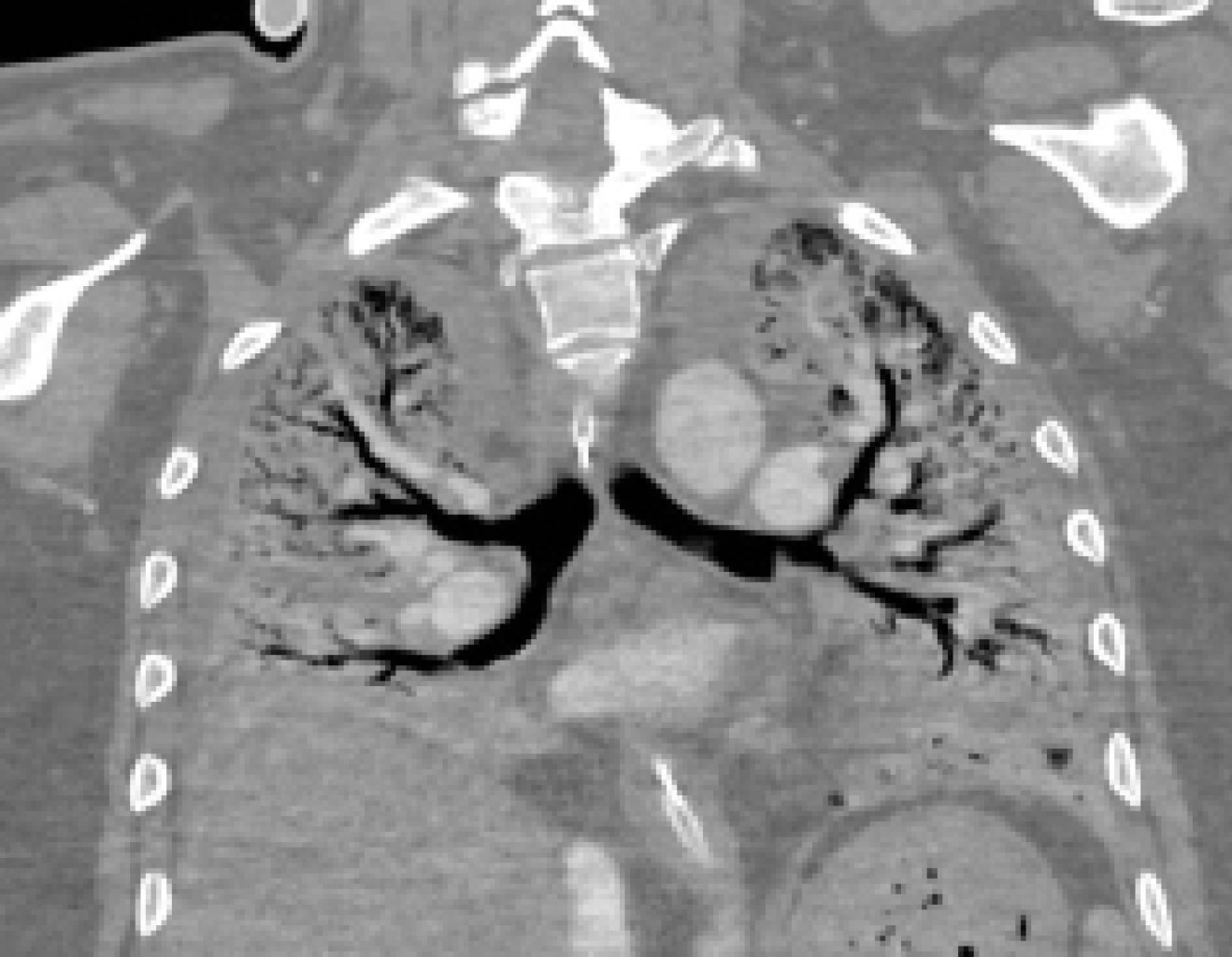
De los pacientes que aquí reportamos, queremos resaltar al paciente de 55 años de edad que fue sometido a trasplante bipulmonar. Su evolución clínica dibuja una imagen que sin duda veremos replicarse globalmente en todos los programas de trasplante. Es aquel paciente afectado por secuelas pulmonares severas por SARS-CoV-2 (Figura 1), que sobrevive generalmente conectado a algún tipo de soporte vital extracorpóreo y que acorde a lo reportado en la literatura,12 cumpliría con los requisitos para ser candidato a trasplante en esta condición.

Criterios:

  • 1. Disfunción únicamente pulmonar.
  • 2. Edad menor de 65 años.
  • 3. Haber superado el período de recuperabilidad pulmonar (aproximadamente seis semanas tras el inicio de soporte).
  • 4. Evidencia radiológica y clínica de daño pulmonar severo que se asume como irreversible.
  • 5. Paciente neurológicamente íntegro, despierto y en capacidad de tomar una decisión.
  • 6. Evaluación médica completa y positiva para trasplante pulmonar.
  • 7. Ausencia de infección activa por SARS-CoV-2, confirmada por PCR.
  • 8. Estar en capacidad de realizar el programa de rehabilitación física.
  • 9. Ser manejado en un centro con experiencia en soporte de oxigenación extracorpóreo y trasplante pulmonar.

A continuación presentamos la evolución de dicho caso:

El paciente ingresó en nuestro hospital proveniente de otra unidad de cuidados intensivos con una estadía de 30 días, de los cuales los últimos 21 días estuvo bajo intubación orotraqueal y ventilación mecánica.

A su ingreso la gasometría mostraba alteración del estado ácido-base secundario a hipoxemia e hipercapnia severa refractarias; por lo que se decide oxigenación por membrana extracorpórea (ECMO) como puente a trasplante pulmonar.

El paciente tuvo soporte extracorpóreo vital con ventilación mecánica ultraprotectora pulmonar. Estando en ECMO se pudo retirar sedación y relajación muscular, y de manera progresiva fue sometido a un programa intenso de rehabilitación física que incluía ejercicios activos en miembros superiores e inferiores (Figura 2). Durante su estancia en ECMO el paciente tuvo complicaciones infecciosas sistémicas que fueron tratadas exitosamente. Además, tuvo una hemorragia retroperitoneal del psoas que fue manejada conservadoramente con el retiro temporal de la heparinización del ECMO.

Cuando se consideró nula la posibilidad de recuperación pulmonar, se inició un proceso intenso de evaluación para trasplante pulmonar que incluyó el traslado del paciente para estudios de imagen, de medicina nuclear y finalmente cateterismos cardíacos izquierdo y derecho. Llevar a cabo dicha evaluación representa un gran reto que requiere un equipo de ECMO extraordinariamente capacitado para mantener la necesaria rehabilitación y trasladar al paciente a los estudios antes mencionados con un margen de seguridad adecuado.

Una vez terminada la evaluación, el paciente fue presentado al Comité Hospitalario de Trasplante Pulmonar siendo aceptado y registrado en la lista de espera nacional del CENATRA. Después de 53 días en soporte extracorpóreo y 83 días después de su primer ingreso hospitalario, nos fue notificado un ofrecimiento de injertos pulmonares de un donador en muerte encefálica del centro del país.



ANESTESIA

En la anestesia participaron dos anestesiólogos con especialidad en anestesia cardiovascular y torácica y un anestesiólogo intensivista, ECMO especialista. Uno de ellos se integró al equipo de procuración pulmonar para proporcionar el manejo propicio al donante durante el preoperatorio inmediato y el transoperatorio en el quirófano con el fin de mantener viables los órganos, ayudando además a preparar el embalaje para trasladar los pulmones extraídos. Simultáneamente dos anestesiólogos se encargaron de la preparación del paciente receptor para la cirugía. Se colocó monitoreo invasivo consistente en línea arterial, catéter venoso central, catéter de arteria pulmonar (SG) y sonda de ecocardiografía transesofágica, así como intubación bronquial selectiva.

Al terminar el implante de los nuevos pulmones y al cierre de la cavidad torácica se estableció la analgesia posoperatoria para una mejor y más rápida recuperación posoperatoria. Finalmente, junto con el personal de ECMO, se trasladó al paciente a la Unidad de Trasplantes.



PRESERVACIóN E IMPLANTE PULMONAR

La procuración se realizó en otro estado de la República, y para la preservación pulmonar se utilizó PERFADEX® Plus13 (Xvivo perfusion) a dosis de 60 ml/kg, previa dilatación del lecho pulmonar con Alprostadil®14 (Pfizer). Ambos pulmones fueron transportados en dispositivos individuales previa preparación del hilio en cirugía de banco.

El implante pulmonar se realizó soportado en ECMO bajo configuración veno-venosa atrio-femoral. Se abordó el tórax mediante toracotomía anterolateral bilateral con sección esternal tipo Clamshell, y se inició la neumonectomía e implante en el lado izquierdo. Llamó la atención el hallazgo de intensa fibrosis en los tejidos y múltiples adherencias mediastinales y pleuropulmonares, así como engrosamiento pleural que obligó a una laboriosa disección y hemostasia en extremo cuidadosa.

Para el implante pulmonar se realizó la anastomosis bronquial término-terminal con monofilamento absorbible del 3/0 mediante sutura continua tanto en pars membranosa como cartilaginosa (Figura 3). Las anastomosis vasculares fueron hechas con sutura continua, usándose polipropileno del 4/0 para la arteria pulmonar y 3/0 para la anastomosis auriculovenosa. Se colocaron dos drenajes pleurales tipo Blake del 24F en cada hemitórax, uno anterior y otro posterior. El tiempo de isquemia para ambos injertos fue inferior a las siete horas. El tiempo quirúrgico fue de seis horas y 40 minutos.



EVOLUCIóN POSOPERATORIA

El paciente salió a terapia intensiva y las primeras 24 horas tuvo un gasto elevado por las sondas torácicas que hizo necesario reintervenirlo para control de sangrado. A las 72 horas posoperatorias el ECMO fue retirado. Se inició el proceso de rehabilitación física y respiratoria con el retiro lento de la ventilación mecánica. La inmunosupresión utilizada consistió en: tacrolimus, mofetil micofenolato y prednisona. El paciente recibió profilaxis bacteriana para citomegalovirus, hongos (con anfotericina nebulizada) y para Pneumocystis jirovecii. La evolución clínica fue paulatinamente hacia la mejoría hasta que fue decanulado de traqueostomía en el día 30 posoperatorio y fue dado de alta deambulando en el día 41 posoperatorio (Figuras 4 y 5).



CONCLUSIóN

El trasplante pulmonar en México comienza a ser una realidad. Es una opción en casos seleccionados de daño pulmonar severo por COVID-19. Es necesario que existan más programas basados en una preparación y entrenamiento adecuados, un fuerte apoyo institucional y, sobre todo, en trabajo multidisciplinario en equipo. La donación en nuestro país debe ser incentivada siempre para aumentar la tasa de donación y así poder salvar más vidas. Es necesario que nuestro gobierno apoye a los programas de trasplante nacionales y a los pacientes que carecen de recursos suficientes para acceder a estos tratamientos. Cuando todo esto se logre, quizá el trasplante pulmonar y los trasplantes de órganos en general puedan ser una verdadera realidad en México.



AGRADECIMIENTOS

A la memoria de los donadores de órganos y a sus familias que deciden en medio del dolor y el luto dar un regalo de vida.

Al Centro Nacional de Trasplantes (CENATRA), sus directivos, personal administrativo y clínico, con especial mención a los coordinadores de trasplante por su extraordinaria labor siempre.

A nuestro paciente posCOVID y su familia, que confiaron en medio de la incertidumbre, aun cuando después de preguntar "¿qué experiencia se tiene en esta situación?", se les respondió: "ninguna". Y a todos los pacientes de nuestro programa y a sus familias.

Al Grupo Christus Muguerza y su Hospital de Alta Especialidad, así como los equipos de ECMO y de trasplante pulmonar por su entrega y por creer que en México el trasplante pulmonar puede y debe ser una realidad.


REFERENCIAS (EN ESTE ARTÍCULO)

  1. Santillán-Doherty P. Trasplante unilateral de pulmón en un caso de fibrosis pulmonar terminal. Rev Invest Clin. 1990; 42: 127-34.

  2. Iñiguez-García MA, Jasso-Victoria R, Olmos-Zúñiga R et al. Trasplante pulmonar en un modelo experimental. Capacitación para residentes de cirugía torácica. Neumol Cir Torax. 2013; 72(1): 25-31.

  3. Secretaría de Salud. Prensa: Consejo de Salubridad General declara emergencia sanitaria nacional a epidemia por coronavirus COVID-19. (Accesado el 26 de Octubre del 2020) Formato disponible: https://www.gob.mx/salud/prensa/consejo-de-salubridad-general-declara-emergencia-sanitaria-nacional-a-epidemia-por-coronavirus-covid-19-239301.

  4. Cucinotta D, Vanelli M. WHO declares COVID-19 a pandemic. Acta Biomed. 2020; 91 (1): 157-160. https://doi.org/10.23750/abm.v91i1.9397.

  5. World Health Organization. Dashboard. (Access 27 October 2020) Available format: https://covid19.who.int/.

  6. Martínez LM, Rojas GA, Lázaro PRI et al. Enfermedad pulmonar obstructiva crónica (EPOC) bases para el médico general. Rev Fac Med UNAM. 2020; 63(3): 28-35.

  7. Mejía M, Buendía-Roldan I, Mateos-Toledo H et al. Primer Consenso Mexicano sobre Fibrosis Pulmonar Idiopática. Neumol Cir Torax. 2016; 75(1): 32-51.

  8. Yokoyama E, Lezana JL, Vigueras-Villaseñor RM et al. Correlación genotipo-fenotipo en una muestra de pacientes mexicanos con fibrosis quística. Rev Invest Clin. 2013; 65(6): 491-499.

  9. Aburto-Morales JS. La pandemia por SARS-CoV-2 (COVID-19) y el replanteamiento de las estrategias en la actividad de donación y trasplantes. Rev Mex Traspl. 2020; 9(2): 49-50. doi: 10.35366/95706.

  10. Aburto-Morales JS, Romero-Méndez J, Lucio-García CA et al. México ante la epidemia de COVID-19 (SARS-CoV-2) y las recomendaciones al Subsistema Nacional de Donación y Trasplante. Rev Mex Traspl. 2020; 9(1): 6-14. doi: 10.35366/94024.

  11. Centro Nacional de Trasplantes. Plan de reactivación de los programas de donación y trasplantes Actualización 11 de agosto de 2020 [Accesado el 27 de octubre de 2020]. Disponible en: www.gob.mx/cenatra.

  12. Cypel M, Keshavjee S. When to consider lung transplantation for COVID-19. Lancet Respir Med. 2020; 8(10): 944-946.

  13. Munshi L, Keshavjee S, Cypel M. Donor management and lung preservation for lung transplantation. Lancet Respir Med. 2013; 1: 318-328.

  14. Von Dossow V, Costa J, D'Ovidio F, Marczin N. Worldwide trends in heart and lung transplantation: guarding the most precious gift ever. Best Pract Res Clin Anaesthesiol. 2017; 31(2): 141-152.



AFILIACIONES

1 Cirujano en Jefe. Programa de Trasplante Pulmonar. Hospital Christus Muguerza Alta Especialidad. Monterrey, México.

2 Director Clínico. Programa de Trasplante Pulmonar. Hospital Christus Muguerza Alta Especialidad. Monterrey, México.

3 Anestesiólogo en Jefe. Programa de Trasplante Pulmonar. Hospital Christus Muguerza Alta Especialidad. Monterrey, México.

4 Cirujano Cardiotorácico y de Trasplante Pulmonar. Programa de Trasplante Pulmonar. Hospital Christus Muguerza Alta Especialidad. Monterrey, México.

5 Neumología de Trasplante y Terapia Intensiva. Programa de Trasplante Pulmonar. Hospital Christus Muguerza Alta Especialidad. Monterrey, México.

6 Anestesiólogo Cardiotorácico y de Trasplante Pulmonar. Programa de Trasplante Pulmonar. Hospital Christus Muguerza Alta Especialidad. Monterrey, México.

7 Médico Rehabilitador de Trasplantes. Programa de Trasplante Pulmonar. Hospital Christus Muguerza Alta Especialidad. Monterrey, México.

8 Infectólogo de Trasplantes. Programa de Trasplante Pulmonar. Hospital Christus Muguerza Alta Especialidad. Monterrey, México.

9 Nefrólogo Crítico y de Trasplantes. Programa de Trasplante Pulmonar. Hospital Christus Muguerza Alta Especialidad. Monterrey, México.

10 Director del Programa de ECMO de Christus Muguerza Alta Especialidad y Vicepresidente de la ELSO Latam. Programa de Trasplante Pulmonar. Hospital Christus Muguerza Alta Especialidad. Monterrey, México.



CORRESPONDENCIA

Sergio Sánchez-Salazar. E-mail: dr.sergio.saul.sanchez@gmail.com
Manuel Wong Jaén. E-mail: manuel.wong@christus.mx




Recibido: 09/11/2020. Aceptado: 11/11/2020

Figura 1
Figura 2
Figura 3
Figura 4
Figura 5
Tabla 1

2020     |     www.medigraphic.com

Mi perfil

C?MO CITAR (Vancouver)

Rev Mex Cir Torac Gen. 2020;1

ARTíCULOS SIMILARES

CARGANDO ...