medigraphic.com
ENGLISH

Revista Mexicana de Cirugía Endoscópica

ISSN 1665-2576 (Impreso)
  • Mostrar índice
  • Números disponibles
  • Información
    • Información general        
    • Directorio
  • Publicar
    • Instrucciones para autores        
    • Envío de artículos
  • medigraphic.com
    • Inicio
    • Índice de revistas            
    • Registro / Acceso
  • Mi perfil

2020, Número 4

<< Anterior Siguiente >>

Rev Mex Cir Endoscop 2020; 21 (4)


Caso inusual: síndrome doloroso abdominal secundario a defecto congénito de ligamento redondo del hígado en paciente adulto

Garibaldi Bernot, Mauro1; de la Vega González, Francisco José1; Alvarado Bachmann, Raúl1; Ruíz Galindo, Gonzalo Hagerman1
Texto completo Cómo citar este artículo 10.35366/101222

DOI

DOI: 10.35366/101222
URL: https://dx.doi.org/10.35366/101222
Artículos similares

Idioma: Español
Referencias bibliográficas: 10
Paginas: 213-216
Archivo PDF: 178.22 Kb.


PALABRAS CLAVE

Ligamento redondo hepático, ligamento falciforme, defecto congénito.

RESUMEN

Introducción: Todos los atrapamientos estructurales provocados por los ligamentos redondo y falciforme del hígado son producidos por un proceso de fijación anormal del peritoneo anterior en su etapa embrionaria. Estos desperfectos son infrecuentes, tienen gran diversidad de presentaciones clínicas y generalmente se determinan de manera intraoperatoria. La manifestación clínica más común asociada con tales defectos es la obstrucción intestinal. La tomografía de abdomen se ejecuta de forma rutinaria en el servicio de urgencias, ésta puede ayudar en el diagnóstico preoperatorio y orientar la actitud terapéutica a tomar, pero no existen datos tomográficos característicos de esta patología. En los eventos en los que no hay un juicio certero o concluyente, está indicada una laparoscopía diagnóstica para poder identificar bajo visión directa la etiología causal. Actualmente hay pocos casos publicados en la literatura, ellos fueron dictaminados en una etapa tardía y en su mayoría en adultos. Presentación del caso: Se expone el proceso de paciente femenina de 45 años que acude al servicio de urgencias con cuadro de dolor abdominal agudo. La paciente nunca se había sometido a cirugía abdominal. La exploración física era irrelevante y no cuadraba con la sintomatología de la paciente. Se practicaron estudios de extensión, en los que por tomografía se evidenció cierta disposición anómala de asas de yeyuno, con situación posterior al estómago, y desplazamiento del colon descendente hacia medial, sin datos de isquemia o perforación. Se realizó la laparoscopía diagnóstica, donde se identificó colon transverso e intestino delgado (yeyuno) atravesando un orificio en la unión de los ligamentos falciforme y redondo del hígado, el cual se resolvió con corte técnica roma del borde trasero de tal estructura y ulterior liberación de asas intestinales, las cuales evidenciaron peristalsis espontánea. Hoy en día, la laparoscopía diagnóstica es un método bastante empleado como dictamen y tratamiento ante cuadros clínicos no concluyentes y diagnósticos no contundentes. En el caso presentado, se encontró que el colon transverso y el intestino delgado (duodeno) cruzaban un orificio en el ligamento redondo/falciforme del hígado, el cual se resolvió con corte técnica roma del borde posterior de dicha unión y subsecuente liberación de asas intestinales, las cuales mostraron peristalsis espontánea. No fue necesaria la resección intestinal con subsecuente anastomosis. Conclusión: Un dictamen certero sólo es posible bajo visión directa en cirugía, la cual, además de ser diagnóstica, resulta terapéutica. Se propone el término "inclusión en el ligamento redondo del hígado/falciforme" como concepto para englobar estas presentaciones clínicas de dolor, oclusión u otra patología digestiva, que se acompañan de una fijación anormal de las estructuras del sistema digestivo hacia los ligamentos falciforme y redondo del hígado.



INTRODUCCIóN

El manejo del abdomen agudo es uno de los pilares de la cirugía general, y conforme aparecen avances tecnológicos, es posible planear los procedimientos con mayor detalle e incluso ofrecer manejo mínimamente invasivo, siempre y cuando se tenga un diagnóstico de la patología a resolver.

Sin embargo, existen escenarios no tan frecuentes donde no es posible llegar a entender el origen del dolor abdominal. Se pueden utilizar métodos de imagenología avanzados y aun así no encontrar ninguna alteración específica, y que podrían terminar en una inadecuada interpretación, hasta llegar a la conclusión de ser una patología psiquiátrica.

Se presenta el caso de una mujer con dolor abdominal severo en el vientre y con sensibilidad marcada a la exploración física. El abordaje inicial no es concluyente; sin embargo, por la persistencia de ese dolor, se indica laparoscopía diagnóstica, en la cual se logra visualizar una situación anatómica inusual: el colon transverso e intestino delgado atravesando el ligamento redondo del hígado.

Esta entidad es una forma de presentación muy rara de hernia interna. Tiene una incidencia reportada de 0.4%.1 Más que una hernia, es una anomalía en la formación de dicha configuración (ligamento falciforme/redondo) y que lleva a aprisionar estructuras en desarrollo. Con dependencia de la misma, puede producirse un cuadro clínico variado y una edad de presentación distinta.

El evento resulta una lección sobre el estudio del dolor abdominal más allá de las causas comunes, proporciona un entendimiento sobre la importancia de la situación anatómica de ese cordón redondo del hígado, y esclarece que ante la existencia de alguna duda diagnóstica se puede realizar una laparoscopía con fines diagnóstico y terapéutico.



PRESENTACIóN DEL CASO

Al servicio de urgencias acudió paciente de sexo femenino, de 45 años de edad, con cuadro de dolor abdominal opresivo severo (10/10), en mesogastrio, sin irradiaciones, de tres horas de evolución. Al interrogatorio negó fiebre, náusea, vómito, disuria, atenuantes, exacerbantes, última evacuación horas antes de su ingreso de características normales. Únicamente con antecedente de enfermedad ácido péptica con manejo sintomático esporádico con esomeprazol y magaldrato dimeticona. A la exploración física reveló taquicardia e hipertensión durante episodios de dolor, abdomen blando, depresible, escasa distensión del mismo, peristalsis hipoactiva, malestar y queja a la palpación profunda en marco cólico, sin datos de irritación peritoneal, resto sin anormalidades.

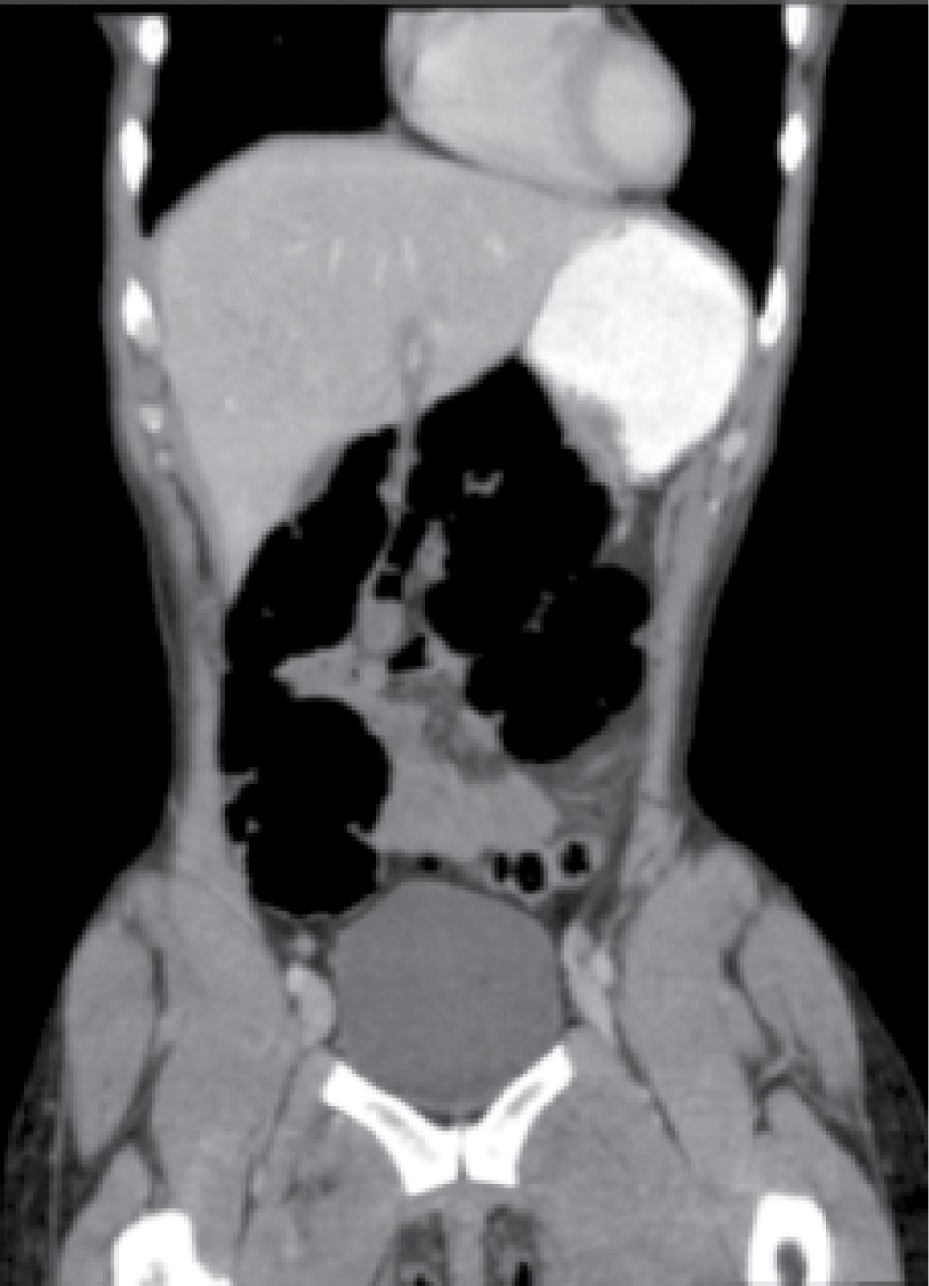
A su ingreso, se tomaron laboratorios los cuales fueron reportados dentro de parámetros normales. Se le practicó un ultrasonido hepático y de vía biliar, en el que no se encontraron alteraciones. A continuación se realizó TAC simple de abdomen donde se reportó una disposición anómala de asas de yeyuno (Figura 1), con situación posterior al estómago, y desplazamiento del colon descendente hacia medial, sin datos de isquemia o perforación, se concluyó estudio como probable hernia interna.

Se indicó el manejo quirúrgico con base en laparoscopía diagnóstica. Se colocaron puertos sin incidentes, no se observó líquido libre ni distensión de asas. Se identificó colon transverso e intestino delgado (yeyuno) atravesando un orificio en la unión de los ligamentos falciforme y el redondo del hígado (Figuras 2 y 3). Ese segmento intestinal no presentaba alteraciones de perfusión, el yeyuno mostraba leve aumento en la vascularidad. Ninguna de las dos estructuras se encontraban fijas al ligamento. Se aplicó corte frío en el borde posterior del cordón y se liberaron ambas asas intestinales, las cuales presentaron peristalsis espontánea. Se efectuó la revisión del resto de la cavidad sin encontrar otras claves y se realizó el cierre de puertos de forma usual. Se reportó un sangrado posoperatorio de 5 mL y un tiempo quirúrgico de una hora con 30 minutos.

La paciente recibió profilaxis con ceftriaxona y ulterior manejo con pantoprazol, ketoprofeno y paracetamol. A las 12 horas posoperatorias, reinició con dieta líquida por vía oral y subsiguiente progresión a dieta blanda con adecuada tolerancia. Por su adecuada evolución, fue dada de alta en el posoperatorio dos. Acudió a seguimiento a la semana y a un mes después de la cirugía, con adecuada evolución posoperatoria, sin volver a presentar dolencia abdominal ni alguna otra sintomatología.



DISCUSIóN

La presentación clínica de este caso llevó a alejar en primer lugar las causas comunes de abdomen agudo. La TAC no era común y la ausencia de antecedentes quirúrgicos descartaba la presencia de un proceso adherencial. Sin embargo, era necesario verlo para entenderlo: el colon y el yeyuno verdaderamente "aprisionados" a través del ligamento redondo del hígado. El concepto inicial que surge es el de brida o banda congénita, sin embargo éste no fue el hecho, ya que más que una estructura agregada, lo que se observó fue dicho cordón redondo con un defecto congénito.

La búsqueda de información ha sido también un reto ya que no hay un concepto estandarizado para tal situación. En el caso expuesto, se encontró un desperfecto en la unión del ligamento falciforme con el redondo, las revisiones en general abordan dos tipos de situaciones: 1) Defecto de formación del ligamento falciforme (en estos incidentes lo denominan hernia interna por "ventana de ligamento falciforme"), o bien 2) Defecto en la formación del ligamento redondo (no tiene un nombre específico).

Martins y sus colaboradores reportan un deterioro en dicho cordón que produce un atrapamiento, el cual puede incluir al estómago, duodeno o incluso al colon.2 En esta publicación se citan pocos antecedentes (nueve referencias), los cuales sólo mencionan en sus títulos el desarrollo de cuadros clínicos de obstrucción intestinal que requirieron manejo quirúrgico y donde se encontraron anomalías asociadas al ligamento redondo.3-8 Mencionan que este menoscabo fue descrito por primera vez por Langenbeck en 1894, que a su vez es referido en el artículo original de De Yoe y Ianacone de 1951, haciendo descripción de una estenosis pilórica secundaria al defecto del ligamento redondo.9

Stehr y Gingalewski (2006-2012) describen la formación de esos desperfectos, mencionan que el fallo en la peritonización de la vena umbilical, junto al desarrollo de esa doble hoja que se fija anteriormente al diafragma, desde la pared anterior hasta nivel del ombligo y al hígado hasta su cara inferior, causa que la configuración resultante forme un espacio en el cual las estructuras libres del abdomen pueden quedar atrapadas.10

La TAC es el estudio de gabinete ideal. Yamaoka K y sus colegas hacen una revisión acerca de la importancia del estudio de cuatro estructuras finas de la pared anterior que son: los ligamentos redondos del hígado, el umbilical mediano y los umbilicales mediales. En estas conexiones es en las que se pueden observar anomalías innatas importantes, incluyendo el defecto congénito o no congénito de una hernia del ligamento falciforme.1 Stehr menciona que, aquella TAC adonde se observe el intestino por arriba del hígado y centrado en el ligamento falciforme, debe hacer sospechar de esta irregularidad.10

Los reportes concuerdan en que la liberación quirúrgica (ya sea con división completa o parcial del tejido conectivo) resuelven el cuadro clínico y no deja otras secuelas.2-10

El caso presentado muestra un cuadro clínico de dolencia vaga en el abdomen, a la cual se le descartaron causas comunes de dolor abdominal agudo. La TAC concluye con la determinación de hernia interna, con una "disposición anormal de las asas de yeyuno, las cuales se encuentran en situación posterior al estómago con desplazamiento del colon descendente hacia medial". Ante la persistencia de la sintomatología y los hallazgos de la TAC, se decidió realizar dicha laparoscopía diagnóstica.

Gracias a este suceso, se puede entender que el proceso de peritonización irregular puede provocar defectos con variantes a lo largo de su fijación anterior, y por lo tanto los cuadros clínicos también cambian.



CONCLUSIóN

Actualmente no existe un consenso en la literatura, ya que unos hablan de desperfecto en el ligamento falciforme y otros en el ligamento redondo, pero la conclusión de estas observaciones debe ser que todos los atrapamientos estructurales son producidos por un proceso de unión anormal del peritoneo anterior en su etapa embrionaria. El cuadro clínico más común asociado a estos defectos son cuadros de obstrucción, aunque el caso presentado aquí fue de abdomen agudo.

Se propone el término "inclusión en el ligamento redondo/falciforme" como concepto para englobar dichos cuadros clínicos de dolor, oclusión u otra patología digestiva, que se acompañan de una unión anómala de arreglos del tubo digestivo hacia los ligamentos redondo y/o falciforme.

La TAC es capaz de describir alguna sujeción anormal de esas estructuras, aunque el diagnóstico certero solo es posible bajo visión directa en cirugía (abierta o laparoscópica) donde se logra la liberación y resolución de la fijación imperfecta.


REFERENCIAS (EN ESTE ARTÍCULO)

  1. Yamaoka T, Kurihara K, Kido A, Togashi K. Four "fine" messages from four kinds of "fine" forgotten ligaments of the anterior abdominal wall: have you heard their voices? Jpn J Radiol. 2019; 37: 750-772. doi: 10.1007/s11604-019-00869-5.

  2. Martins JL, Faria DJ, Abreu MC. Congenital thickening and shortening of the round ligament of the liver causing gastric outlet obstruction. J Pediatr Surg. 2008; 43: 1557-1559. doi: 10.1016/j.jpedsurg.2008.03.048.

  3. Santa L. Painful epigastric syndromes caused by abnormal shortness of the round ligament of the liver. Minerva Chir. 1955; 10: 888-891.

  4. Sampliner JE, Lee YC. Small-bowel obstruction due to congenital anomaly of the falciform ligament. Arch Surg. 1976; 111: 200.

  5. Levantovskii BV, Lebedev NV. Strangulation of the small intestine at the foramen of the round ligament of the liver. Vestn Khir Im II. 1994; 152: 50-51.

  6. Prust FW, Eskandari F. Intestinal obstruction due to an aberrant umbilical vein: a case report. Ann Surg. 1967; 165: 464-465.

  7. Blunt A, Rich GF. Intestinal strangulation through an aperture in the falciform ligament. Aust N Z J Surg. 1968; 37: 310.

  8. Davies CJ, Franks RE. Herniation through a defect in the falciform ligament. Guys Hosp Rep. 1974; 123: 171-175.

  9. De Yoe LE, Ianacone JA. Unusual course and thickening of the round ligament of the liver causing symptoms simulating pyloric stenosis. J Med Soc N J. 1951; 48: 417-418.

  10. Stehr W, Gingalewski CA. Other causes of intestinal obstruction. In: Coran AG, Krummel TM, Laberge LM, Shamberger RC, Caldamone AA, editors. Pediatric surgery. Elsevier; Philadelphia: 2012. pp. 1127-1134.



AFILIACIONES

1 American British Cowdray Medical Center, CDMX.



CORRESPONDENCIA

Mauro Garibaldi Bernot. E-mail: drmaurogaribaldib@gmail.com




Recibido: 17/01/2021. Aceptado: 02-02-2021.

Figura 1
Figura 2
Figura 3

2020     |     www.medigraphic.com

Mi perfil

C?MO CITAR (Vancouver)

Rev Mex Cir Endoscop. 2020;21

ARTíCULOS SIMILARES

CARGANDO ...