medigraphic.com
ENGLISH

Acta Médica Grupo Angeles

Órgano Oficial del Hospital Angeles Health System
  • Mostrar índice
  • Números disponibles
  • Información
    • Información general        
    • Directorio
  • Publicar
    • Instrucciones para autores        
    • Envío de artículos
    • Políticas
    • Nombre y afiliación del Comité Editorial
  • Nosotros
    • Plan de gestión e intercambio de datos
    • Objetivos declarados y alcance
  • medigraphic.com
    • Inicio
    • Índice de revistas            
    • Registro / Acceso
  • Mi perfil

2021, Número 3

<< Anterior Siguiente >>

Acta Med 2021; 19 (3)


Tumor de células gigantes del sacro: respuesta a tratamiento con denosumab en femenino adulto joven

Chico Carpizo, Fernando1; Barroso Gómez, Gabriel1; García Romo, Víctor Manuel1; Domínguez Gasca, Luis Gerardo2
Texto completo Cómo citar este artículo 10.35366/101735

DOI

DOI: 10.35366/101735
URL: https://dx.doi.org/10.35366/101735

Idioma: Español
Referencias bibliográficas: 3
Paginas: 394-395
Archivo PDF: 156.64 Kb.


PALABRAS CLAVE

Sin palabras Clave



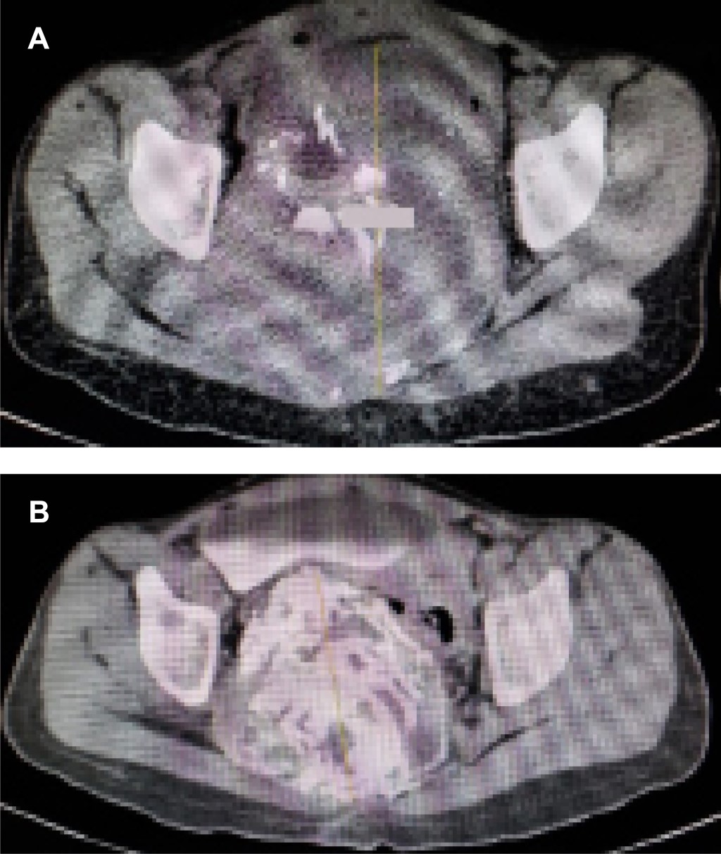
Paciente femenino de 21 años, sin antecedentes heredofamiliares de importancia; menarca a los 12 años, eumenorréica, inicio de vida sexual activa (IVSA) 18 años, parto 1, para 1. Referida al servicio de ortopedia por presentar, en un lapso de tres meses, pérdida progresiva de control de esfínteres, retención urinaria, incapacidad para la marcha, dolor y distensión abdominal. Se realizó ultrasonido abdominopélvico, el cual reveló masa tumoral intrapélvica. Se completaron estudios de tomografía computarizada y gammagrama óseo con 99mTc-MDP (Figura 1) y se efectuó biopsia de sacro, el reporte histopatológico confirmó tumor de células gigantes (TCG) de dicho hueso. Se inició tratamiento utilizando denosumab 60 mg/mes, completando ocho dosis. La evolución fue hacia la mejoría clínica, con desaparición de dolencia y parestesias, recuperación del dominio de esfínteres y marcha con ayuda de andador, el estudio de imagen de control mostró reducción de tamaño tumoral, de inicialmente 452 mm, a 98.7 mm (Figura 2).

Dichos TCG de hueso son tumoraciones óseas primarias intramedulares con agresividad local, representan 5 % de los tumores óseos primarios. Se observan en personas de 20 a 45 años, afectando por igual a ambos sexos. El TCG de sacro representa del dos al ocho por ciento de la totalidad de esas neoplasias, son de crecimiento lento, manifestándose vía síntomas no específicos como: dolor local irradiado a una o ambas extremidades; habitualmente, al momento del diagnóstico son lesiones de gran magnitud. No obstante ser una lesión benigna, la localización en el sacro es un reto diagnóstico y de manejo.1 La resección quirúrgica en bloque es el acercamiento más efectivo, la recurrencia es hasta del 33%. El denosumab parece ser útil en pacientes con tumores irresecables, recurrentes o metastásicos, se utiliza este anticuerpo monoclonal RANKL a fin de bloquear la vía RANKL-RANK, inhibiendo la diferenciación y activación de las células gigantes.2,3 En el caso que se presenta, el medicamento logró mejorar la sintomatología de la paciente y por tomografía se encontró respuesta evidente en relación al tamaño de la lesión.


REFERENCIAS (EN ESTE ARTÍCULO)

  1. Shen CC, Li H, Shi ZL, Tao HM, Yang ZM. Current treatment of sacral giant cell tumour of bone: a review. J Int Med Res. 2012; 40 (2): 415-425.

  2. Yang Y, Li Y, Liu W, Xu H, Niu X. A nonrandomized controlled study of sacral giant cell tumors with preoperative treatment of denosumab. Medicine (Baltimore). 2018; 97 (46): e13139.

  3. van der Heijden L, Dijkstra PDS, Blay JY, Gelderblom H. Giant cell tumour of bone in the denosumab era. Eur J Cancer. 2017; 77: 75-83.



AFILIACIONES

1 Ortopedista. División de Cirugía del Hospital Regional de Alta Especialidad del Bajío, León, Guanajuato. México.

2 Ortopedista. División de Cirugía del Hospital Ángeles León, León, Guanajuato. México.



CORRESPONDENCIA

Dr. Luis Gerardo Domínguez Gasca. Correo electrónico: luisdom88@hotmail.com




Aceptado: 07-07-2020.

Figura 1
Figura 2

2020     |     www.medigraphic.com

Mi perfil

C?MO CITAR (Vancouver)

Acta Med. 2021;19

ARTíCULOS SIMILARES

CARGANDO ...