medigraphic.com
ENGLISH

Medicina Crítica

  • Mostrar índice
  • Números disponibles
  • Información
    • Información general        
    • Directorio
  • Publicar
    • Instrucciones para autores        
  • Políticas
  • Lineamientos
  • medigraphic.com
    • Inicio
    • Índice de revistas            
    • Registro / Acceso
  • Mi perfil

2021, Número 5

<< Anterior Siguiente >>

Med Crit 2021; 35 (5)


Lesión traqueal, neumotórax a tensión y neumomediastino, posterior a traqueostomía percutánea en COVID-19: reporte de un caso

Díaz-del Bosque, María Alicia1; de la Vega-Bravo, Alberto Hilarión1; López-Zamora, Venus Nefte1; Céspedes-Meneses, Erick Eduardo1; Hernández Pacheco, José Antonio2; Nares Torices, Miguel Ángel2
Texto completo Cómo citar este artículo 10.35366/102356

DOI

DOI: 10.35366/102356
URL: https://dx.doi.org/10.35366/102356
Artículos similares

Idioma: Español
Referencias bibliográficas: 8
Paginas: 269-272
Archivo PDF: 231.50 Kb.


PALABRAS CLAVE

COVID-19, síndrome de insuficiencia respiratoria aguda, traqueostomía percutánea, neumotórax.

RESUMEN

La traqueostomía percutánea es un procedimiento generalmente seguro, aunque no exento de complicaciones, se considera el procedimiento de elección en el paciente crítico con ventilación mecánica prolongada. Se presenta el caso de una mujer con síndrome de insuficiencia respiratoria aguda secundario a neumonía COVID-19 que requirió traqueostomía percutánea por ventilación prolongada. La paciente desarrolló complicaciones que requirieron intervención quirúrgica.



INTRODUCCIóN

En la actual pandemia, el síndrome de insuficiencia respiratoria aguda (SDRA) relacionado con COVID-19, a menudo cursa con intubación orotraqueal prolongada y fracasos a la extubación.1 Existen pocas publicaciones acerca del abordaje de la vía aérea definitiva para los pacientes afectados por COVID-19.2,3 Las principales guías recomiendan la traqueostomía percutánea (TP) como el procedimiento de elección.4 En la revisión de Powell se describen las complicaciones de la TP de entre 3 y 18%.5,6 El objetivo de este trabajo es ilustrar las complicaciones asociadas a la realización de TP en pacientes con COVID-19.



PRESENTACIóN DEL CASO

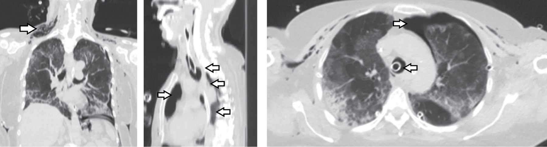
Femenino de 69 años. Ingresa a la Unidad de Terapia Intensiva (UTI) con diagnóstico de neumonía COVID-19, SDRA severo por Berlín con PaO2/FiO2 80 mmHg, pulsioximetría 92%, en ventilación mecánica invasiva (VMI) presión control 17 cmH2O, FiO2 60%, PEEP 12 cmH2O y frecuencia respiratoria 21/minuto. Al día 12 de VMI se realiza TP en la UTI con técnica de Ciaglia Blue Rhino.1 Se realiza incisión transversal de 2 cm a nivel del segundo anillo traqueal y punción entre el segundo y tercer anillo traqueal. A la aspiración se obtiene líquido citrino, por lo que se retira aguja y en una segunda punción se logra acceso efectivo. Se introduce cánula de traqueostomía de 8.5 mm y es conectada a la VMI; al momento presenta broncoespasmo tratado con broncodilatador y se realiza cambio de dispositivo a bolsa válvula mascarilla con reservorio; presenta resistencia a la ventilación con evidencia de enfisema subcutáneo masivo en tórax e hipoxemia por neumotórax a tensión bilateral; evoluciona a bradicardia y finalmente asistolia, se inician maniobras de reanimación, se realiza descompresión bilateral con aguja Punzocat no. 14, se asegura vía aérea con cánula orotraqueal de 8.5 mm al primer intento. Se logra retorno a la circulación espontánea con taquicardia sinusal e hipotensión, se colocan sondas endopleurales bilaterales y se procede a realizar fasciotomías pectorales para drenaje de enfisema subcutáneo; se observa en cámara de succión de Pleur-Evac® fuga aérea bilateral. Se recupera estabilidad hemodinámica a las 4 horas del evento y se realiza tomografía de tórax (Figura 1). La broncoscopia muestra laceración posterior de la tráquea (Figura 2). Por endoscopia se descarta lesión esofágica. El tratamiento inicial es conservador mediante ferulización traqueal durante 15 días. La broncoscopia de control muestra limitación de la perforación y tejido epitelizado; se decide cierre de lesión traqueal con parche de músculo esternohioideo izquierdo, se verifica aerostasia sin observar fuga (Figura 3). Se realiza traqueostomía a nivel de segundo y tercer anillo traqueal, y se coloca cánula de 7 mm Bivona® (Smiths Medical, Minnesota, EEUU), la rama distal queda pasando la perforación, se verifica aerostasia y hemostasia, se coloca drenaje Jackson Pratt® 10 mm (Bard, Covington GA USA) a lecho quirúrgico, con evolución radiográfica que demuestra expansión pulmonar, sin enfisema subcutáneo ni neumomediastino (Figura 4). Al quinto día del procedimiento quirúrgico cursó con broncoespasmo severo y obstrucción traqueal, presenta parada cardiaca sin lograr retorno espontáneo de la circulación.



DISCUSIóN

La traqueostomía percutánea por dilatación sobre una guía, descrita por Ciaglia en 1985, se ha convertido en el procedimiento de elección en la UTI. Una posible causa de complicación son las variantes anatómicas no percibidas,4 entre otras (Tabla 1). La edad y el género son factores de riesgo asociados a lesión traqueal; la literatura refiere que en el adulto mayor y en mujeres de baja estatura la parte membranosa de la tráquea es más susceptible de desgarro, ambos factores presentes en la paciente.2 Otro factor de riesgo es un inflado excesivo del manguito de la cánula orotraqueal fuera del rango permitido de entre 20-30 mmHg, que genera lesión en la mucosa con debilidad de la pared traqueal.4 La broncoscopia permite la confirmación en tiempo real de la colocación de la aguja, cánula traqueal y la prevención de lesiones en la pared posterior de la tráquea.4

Ante este escenario, las guías publicadas recomiendan el uso del ultrasonido como una herramienta útil y de fácil manejo; se puede realizar junto a la cama del paciente, evita el transporte al quirófano y disminuye el riesgo de contaminación. Dentro de las desventajas se incluyen las condiciones anatómicas desfavorables, la presencia de grandes vasos en la trayectoria de la punción que pueden impedir la TP guiada por ultrasonido.7 Un metaanálisis de Gobatto no encontró diferencias entre la broncoscopia versus ultrasonido, pero sí existió diferencia en las complicaciones menores a favor del ultrasonido.8 Tal técnica es factible con un entrenamiento adecuado. Además, todo el procedimiento puede llevarse a cabo con el manguito del tubo endotraqueal inflado distal a las cuerdas vocales y proximal al lugar de la punción, disminuyendo la aerolización.



CONCLUSIONES

La traqueostomía percutánea por puntos de referencia tiene riesgo de complicaciones como ilustra este caso. La paciente presenta mejoría de la lesión traqueal, persistiendo con afección pulmonar por SARS-CoV-2. La realización del procedimiento guiado por broncoscopio expone al personal de salud a mayor cantidad de aerosoles, una opción para disminuir riesgos es guiar el procedimiento de traqueostomía por ultrasonido.


REFERENCIAS (EN ESTE ARTÍCULO)

  1. Rashid AO, Islam S. Percutaneous tracheostomy: a comprehensive review. J Thorac Dis. 2017;9(9):S1128-S1138.

  2. Deganello A, Sofra MC, Facciolo F, Spriano G. Tracheotomy-related posterior tracheal wall rupture, trans-tracheal repair. Acta Otorhinolaryngol Ital. 2007;27(5):258-262.

  3. Saavedra-Mendoza AGM, Akaki-Caballero M, Caretta-Barradas S, León MRC, Piña-Uribe G, Aguirre-Mariscal H, et al. Traqueotomía en pacientes con COVID-19: recomendaciones de la Sociedad Mexicana de Otorrinolaringología y Cirugía de Cabeza y Cuello. Cuándo y cómo realizarla y cuidados posquirúrgicos. An Orl Mex. 2020;65:1-11.

  4. Mehta C, Mehta Y. Percutaneous tracheostomy. Ann Card Anaesth. 2017;20:S19-S25.

  5. Guillén MA, Moreno-Arrones TR, Smilg NC, Fages CN, Antunes DD, Muñoz GI, et al. Enfisema subcutáneo masivo, neumotórax a tensión y neumomediastino tras traqueotomía percutánea. Rev Otorrinolaringol Cir Cabeza Cuello. 2017;77(3):307-310.

  6. McGrath BA, Brenner MJ, Warrillow SJ, Pandian V, Arora A, Cameron TS, et al. Tracheostomy in the COVID-19 era: global and multidisciplinary guidance. Lancet Respir Med. 2020;8(7):717-725.

  7. Plata P, Gaszy?ski T. Ultrasound-guided percutaneous tracheostomy. Anaesthesiol Intensive Ther. 2019;51(2):126-132.

  8. Gobatto ALN, Besen BAMP, Cestari M, Pelosi P, Malbouisson LMS. Ultrasound-guided percutaneous dilational tracheostomy: a systematic review of randomized controlled trials and meta-analysis. J Intensive Care Med. 2020;35(5):445-452.



AFILIACIONES

1 Centro Médico Nacional "20 de Noviembre", Instituto de Seguridad y Servicios Sociales de los Trabajadores del Estado. México.

2 Instituto Nacional de Perinatología. México.



CORRESPONDENCIA

María Alicia Díaz-del Bosque. E-mail: aly.julieta@gmail.com




Recibido: 04/06/2021. Aceptado: 07/07/2021.







Figura 1
Figura 2
Figura 3
Figura 4
Tabla 1

2020     |     www.medigraphic.com

Mi perfil

C?MO CITAR (Vancouver)

Med Crit. 2021;35

ARTíCULOS SIMILARES

CARGANDO ...