medigraphic.com
ENGLISH

Acta Ortopédica Mexicana

ISSN 2992-8036 (Digital)
ISSN 2306-4102 (Impreso)
Órgano Oficial del Colegio Mexicano de Ortopedia y Traumatología
  • Mostrar índice
  • Números disponibles
  • Información
    • Información general        
    • Directorio
  • Publicar
    • Instrucciones para autores        
  • medigraphic.com
    • Inicio
    • Índice de revistas            
    • Registro / Acceso
  • Mi perfil

2021, Número 3

<< Anterior Siguiente >>

Acta Ortop Mex 2021; 35 (3)


Artroplastia cervical en un luchador profesional de kick-boxing, 7 años de seguimiento

Lindi-Sugino, R1; Hartl, R2; Klezl, Z3
Texto completo Cómo citar este artículo 10.35366/102368

DOI

DOI: 10.35366/102368
URL: https://dx.doi.org/10.35366/102368
Artículos similares

Idioma: Español/Inglés [English version]
Referencias bibliográficas: 14
Paginas: 282-285
Archivo PDF: 157.02 Kb.


PALABRAS CLAVE

Cirugía de la columna vertebral, atleta, artroplastia, deporte, columna cervical.

RESUMEN

La cirugía de columna en atletas profesionales es un tema de mucha discusión. La discectomía y fusión cervical anterior es el procedimiento estándar utilizado por los cirujanos, y otras técnicas utilizadas para tratar a los atletas incluyen foraminotomías, laminoplastías y reemplazo total de disco. El reemplazo total del disco es una técnica inusual utilizada para tratar a los atletas en general y se está convirtiendo en un tema más importante en los deportes de contacto completo. Este informe de caso ilustra a una luchadora profesional de 34 años que sufrió una lesión cervical que evolucionó con dolor axial cervical y dolor irradiado y entumecimiento. Fue sometida a colocación de prótesis de disco en el nivel C5-6, regresando a los deportes competitivos y con un seguimiento de siete años. Hasta la fecha permanece libre de síntomas y además de tener un foramen anterior, la columna vertebral fue capaz de mantener el movimiento a ese nivel. La cirugía puede ser una técnica segura y confiable cuando se trata a atletas de élite.



INTRODUCTION

Spinal surgery in professional athletes is a topic of much discussion not only because they are a population that exceeds normal physiological stress, but also because they do not respect pain, an important early sign that something could be wrong. In contact sports like American football, rugby and fighting, the level of attention needed is extreme because the consequences due to lack of concentration can be devastating.1 Besides the risk, athletes operated on the cervical spine are able to return to professional practice, without any loss in their performance compared with the non-operated.2 Anterior cervical discectomy and fusion (ACDF) is the standard procedure used by surgeons and many authors see no contra indication to return if the radiographs shows a solid arthrodesis, with no neurological deficits and a preserved cervical range of motion.3 The return may not compromise the surgical outcome, however it has a higher risk of developing adjacent disc disease.4 Other techniques used to treat athletes includes foraminotomies, laminoplasties and total disc replacement.5 Total disc replacement is an unusual technique used to treat athletes in general and is becoming a more important issue in full contact sports.6 When we consider both the increasing interest of the population for sports and the new modalities of treatment for pathologies, it is certain that surgeons will come across this rationale of choosing the best treatment for their patients, reducing risks and collateral damage. In general population, total disc replacement when compared to ACDF may offer superior results.7 We present a case of a former champion, professional Kick-boxing fighter where total disc replacement was performed in the cervical spine, with seven year follow up. This report has been waived from IRB approval once it is a case report and does not contain identifiable patient's information. The consent of the patient was obtained.



CASE REPORT



CLINICAL HISTORY

This is the case of a 34-year-old female professional fighter. In the past during her preparations for national championship, she suffered a spinning hook kick to the head followed by some neck discomfort. After defending her national title, she noticed numbness in her left arm, slowly progressing to complete numbness, occasion when she decided to seek medical assistance. During that period her neck discomfort got worse and an arm pain appeared, symptoms which she was struggling with during her practice.

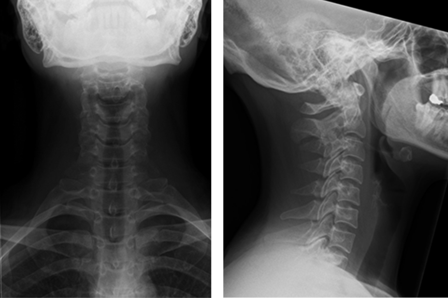
In June 2011 she was referred for an orthopedic review. In July the same year she was diagnosed with a C5-6 left foraminal herniation and started non-operative treatment with physiotherapy. The herniation was compressing left C6 nerve root as seen on MRI (Figures 1 and 2). During the treatment she stated that just mild relief was achieved during neck traction, worsening immediately after. She did seek spinal specialist opinion in August 2011, suffering from an intensive neck and left arm pain with sensitivity loss and transient motor deficit. The motor deficit would occur during her practice when she raised her arm toward the head for protection. Every time the guard was set, a sudden pain would appear with loss of power in the arm and hand, dropping both and dismounting her protection. This deficit would put her in further danger from a blow struck from her opponent to the head.



TREATMENT

The patient was told that the pain would eventually get better over time with a probable collateral of muscle atrophy in her left arm. Conservative treatment would at that point take her out of competition, may have generated atrophy in the arm and the loss of sponsorship. After considering risks and benefits of surgical- and non-surgical treatment, she decided on operative management so that she could compete in the next important championship in three months. The procedure of choice at that moment was cervical total disc replacement (TDR). The potential benefits of this treatment over traditional ACDF that had been considered was the motion preservation in a young and active patient. A posterior foraminotomy was considered, but the hernia was right anterior to the nerve root and that position would risk leaving herniated fragments from a posterior approach. Anterior approach would also avoid too much manipulation over nerves and spinal cord.

In early September, a C5-6 TDR with transverse neck incision from the right side was performed. During her surgery four steps were specially addressed:

  • 1. Minimize collateral damage to longus coli: carefully mobilized so that the blades of the retractor fit. The muscle plane was also well developed.
  • 2. Avoid damage to the endplates: No larger than No. 2 curettes were used to remove cartilaginous endplate.
  • 3. PLL Posterior Longitudinal Ligament was only partially resected: just enough to allow safe and complete removal of the disc fragment.
  • 4. Select the largest dimension of foot plate and adequate height: until facets were parallel on radiographs. A 6.75 mm prosthesis was inserted in the C5-6 space and the patient was discharged the next day.

No adverse events were observed neither during the procedure nor during hospitalization.



OUTCOMES

Three weeks after procedure, with a healed wound and a stable TDR (Figure 3A-D) she was allowed to return to training along with a rehabilitation program. Three months after surgery the patient competed in the world champion winning a medal, losing only the title fight and at that time and more importantly, having no symptoms during and after that event.

The patient has completed seven years follow up, did not stop training, and has become a coach, a natural path of progression for a fighter. Up to this last follow-up visit patient is symptoms free from arm, neck pain and has intact neurological exam. At the level C5-6 there was anterior calcification, but still allowing movement and without clinical relevance. The dynamic radiographs showed a ROM of 13º (Figure 3E and F) and in physical exam there was full ROM in her neck. Although C4-5 had slightly increased motion in flexion, the adjacent levels displayed preserved intervertebral disc height. No complications or adverse events related to the TDR were observed.



PATIENT'S PERSPECTIVE

"This surgery made it possible for me to compete in my last top-ranking championship fights, allowed me to fulfill my contractual agreements which formed the base for my current business of running a gym and continue in the sport I love. I was invited to train to be a boxing coach in 2014, and I went on to be assistant coach to the University boxing team before taking on students at my own gym. I feel so grateful that I could carry on my fighter career long enough to gain so much experience that I can now pass on to others. Nobody would ever guess I have a disc replacement, I train hard and feel very well"!



DISCUSSION

Cervical spine surgery in athletes is always a challenge because they push their bodies to the limit and beyond at all times. Optimal conditioning of their bodies is essential for their profession, sometimes dedicating their whole life for that purpose and involving complex relations with their families, friends, fans, sponsors and themselves. It is always a subject of discussion when is it safe for these patients to return to sports after cervical surgery. More data is present for the safer and standard ACDF for full contact sports, where return-to-sport criteria is almost like a consensus in a scenario where playing safe is almost a rule and aversion to risk is extreme.3,8 Literature shows however that for one level disease in a young patient without severe degenerative disease TDR may show better results compared to traditional ACDF but still a subject of study.9,10,11,1,2,13 In the case presented we have a professional fighter suffering from disc herniation on the left side at C5-6. When basics principles are followed and care is taken before, during and after surgery, TDR can be an excellent option of treatment over ACDF. It is not the first time or case where TDR is the option of choice over ACDF and decision must be shared with the patient and risks and benefits must be discussed. Literature showing athletes where TDR was performed didn't include contact sports like fighting.14 It is the first published case of our knowledge that a professional female fighter was treated with TDR, a sport where sudden and violent blows are given to the head and an immense force is directed toward cervical spine structures. Although the findings, the results reported in this study should be interpreted considering the limitation that this is just a report of one case.

This is a case showing a patient where surgery in the cervical spine was performed with TDR over ACDF where patient could continue with her career without any symptoms after seven years of follow up. TDR may be considered in well-selected cases even for elite athletes.


REFERENCIAS (EN ESTE ARTÍCULO)

  1. Brauge D, Sol JC, Djidjeli I, Roux FE. Catastrophic return to play in rugby after double cervical arthrodesis. Clin J Sport Med. 2020; 30(1): e8-e10.

  2. Mai HT, Burgmeier RJ, Mitchell SM, Hecht AC, Maroon JC, Nuber GW, et al. Does the level of cervical disc herniation surgery affect performance-based outcomes in national football league athletes? Spine (Phila Pa 1976). 2016; 41(23): 1785-9.

  3. Dailey A, Harrop JS, France JC. High-energy contact sports and cervical spine neuropraxia injuries: what are the criteria for return to participation? Spine (Phila Pa 1976). 2010; 35(21 Suppl): S193-201.

  4. Maroon JC, Bost JW, Petraglia AL, Lepere DB, Norwig J, Amann C, et al. Outcomes after anterior cervical discectomy and fusion in professional athletes. Neurosurgery. 2013; 73(1): 103-12.

  5. Molinari RW, Pagarigan K, Dettori JR, Molinari RW, Dehaven KE. Return to play in athletes receiving cervical surgery: a systematic review. Global Spine J. 2016; 6(1): 89-96.

  6. Mai HT, Chun DS, Schneider AD, Hecht AC, Maroon JC, Hsu WK. The difference in clinical outcomes after anterior cervical fusion, disk replacement, and foraminotomy in professional athletes. Clin Spine Surg. 2018; 31(1): E80-4.

  7. Hisey MS, Bae HW, Davis RJ, Gaede S, Hoffman G, Kim KD, et al. Prospective, randomized comparison of cervical total disk replacement versus anterior cervical fusion. J Spinal Disord Tech. 2015; 28(4): E237-43.

  8. Kepler CK, Vaccaro AR, Hilibrand AS, Anderson DG, Rihn JA, Albert TJ, et al. National trends in the use of fusion techniques to treat degenerative spondylolisthesis. Spine (Phila Pa 1976). 2014; 39(19): 1584-9.

  9. Jackson RJ, Davis RJ, Hoffman GA, Bae HW, Hisey MS, Kim KD, et al. Subsequent surgery rates after cervical total disc replacement using a Mobi-C Cervical Disc Prosthesis versus anterior cervical discectomy and fusion: a prospective randomized clinical trial with 5-year follow-up. J Neurosurg Spine. 2016; 24(5): 734-45.

  10. Zou S, Gao J, Xu B, Lu X, Han Y, Meng H. Anterior cervical discectomy and fusion (ACDF) versus cervical disc arthroplasty (CDA) for two contiguous levels cervical disc degenerative disease: a meta-analysis of randomized controlled trials. Eur Spine J. 2017; 26(4): 985-97.

  11. Lu H, Peng L. Efficacy and safety of Mobi-C cervical artificial disc versus anterior discectomy and fusion in patients with symptomatic degenerative disc disease: a meta-analysis. Medicine (United States). 2017; 96(49): e8504.

  12. Findlay C, Ayis S, Demetriades AK. Total disc replacement versus anterior cervical discectomy and fusion. Bone Joint J. 2018; 100-B(8): 991-1001.

  13. Reinke A, Behr M, Preuss A, Villard J, Meyer B, Ringel F. Return to sports after cervical total disc replacement. World Neurosurg. 2017; 97: 241-6.

  14. France JC, Karsy M, Harrop JS, Dailey AT. Return to play after cervical spine injuries: a consensus of opinion. Global Spine Journal. 2016; 6(8): 792-7.



AFILIACIONES

1 Spine Surgery Department, Instituto Vita, Spine Surgery Department, Hospital Israelita Albert Einstein. São Paulo, Brazil.

2 Neurosurgery Department, New York-Presbyterian, New York, USA.

3 Spine Surgery Department, Royal Derby Hospital, Derby, England.



Funding: None. The content of this manuscript has not been published elsewhere or are currently under review at another journal.



CORRESPONDENCIA

Rafael Lindi-WSugino. E-mail: rsugino@gmail.com




Received: 01-10-2020. Accepted: 30-06-2021.

Figura 1
Figura 2
Figura 3

2020     |     www.medigraphic.com

Mi perfil

C?MO CITAR (Vancouver)

Acta Ortop Mex. 2021 May-Jun;35

ARTíCULOS SIMILARES

CARGANDO ...