medigraphic.com
ENGLISH

Revista Mexicana de Cirugía Bucal y Maxilofacial

ISSN 2007-3178 (Impreso)
Asociación Mexicana de Cirugía Bucal y Maxilofacial, Colegio Mexicano de Cirugía Bucal y Maxilofacial, A.C.
  • Mostrar índice
  • Números disponibles
  • Información
    • Información general        
    • Directorio
  • Publicar
    • Instrucciones para autores        
    • Envío de artículos
  • medigraphic.com
    • Inicio
    • Índice de revistas            
    • Registro / Acceso
  • Mi perfil

2021, Número 2

<< Anterior Siguiente >>

Rev Mex Cir Bucal Maxilofac 2021; 17 (2)


Lesión híbrida: manejo de una patología inusual

Alonso-Moctezuma A, Rivas-Barrionuevo V, Salgado-Chavarría F, Ramírez MCM, Jiménez-Jarquin CE
Texto completo Cómo citar este artículo 10.35366/102431

DOI

DOI: 10.35366/102431
URL: https://dx.doi.org/10.35366/102431
Artículos similares

Idioma: Ingles.
Referencias bibliográficas: 31
Paginas: 90-95
Archivo PDF: 302.90 Kb.


PALABRAS CLAVE

Lesión central de células gigantes, lesión híbrida, injerto libre de cresta ilíaca anterior, rehabilitación con implantes.

RESUMEN

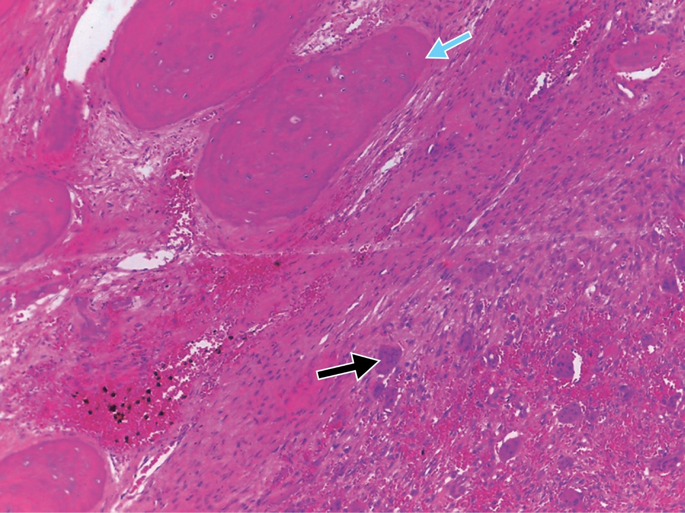
Las lesiones híbridas se consideran una patología rara que presenta elementos de diferentes entidades, cada una de las cuales tiene una categoría tumoral. En la actualidad hay menos de diez casos notificados de lesiones híbridas que muestran la asociación de una lesión central de células gigantes y un fibroma osificante. Dado que un protocolo de tratamiento para este tipo de patologías no está bien establecido en la literatura, presentamos un caso de manejo integral, incluyendo la rehabilitación, basado en la revisión de la literatura. Se trata de una paciente de 31 años con un diagnóstico inicial de lesión central de células gigantes en el cuerpo mandibular izquierdo, que fue tratada con triamcinolona intralesional, sin encontrar respuesta tras seis semanas de tratamiento, por lo que decidimos realizar una resección en bloque de la lesión y la reconstrucción simultánea con un injerto libre de cresta ilíaca anterior, obteniendo un resultado histopatológico definitivo de lesión híbrida (lesión central de células gigantes más fibroma osificante), posteriormente se realizó una rehabilitación protésica implantosoportada. En los casos de lesiones híbridas, consideramos que el manejo quirúrgico es adecuado, dado el comportamiento particular de dicha entidad que no responde adecuadamente al manejo farmacológico, recomendamos evitar el uso de medicamentos antirresortivos ya que perjudicaría el resultado de un tratamiento quirúrgico y reconstructivo posterior.


REFERENCIAS (EN ESTE ARTÍCULO)

  1. Crusoe-Rebello I, Torres MG, Burgos V, Oliveira C, Santos JN, Azevedo RA et al. Hybrid lesion: central giant cell granuloma and benign fibro-osseous lesion. Dentomaxillofac Radiol. 2009; 38 (6): 421-425.

  2. Rai A, Ahmad SA, Saleem M, Faisal M. Hybrid central giant cell granuloma and central ossifying fibroma: Case report and literature review. J Oral Maxillofac Surg Med Pathol. 2019; 31 (4): 258-263.

  3. El-Naggar AK, Chan JKC, Grandis JR, Takata T, Slootweg PJ. WHO classification of head and neck tumours. 4th ed. Lyon: IARC Press; 2017.

  4. Chrcanovic BR, Gomez RS. Juvenile ossifying fibroma of the jaws and paranasal sinuses: a systematic review of the cases reported in the literature. Int J Oral Maxillofac Surg. 2020; 49 (1): 28-37.

  5. Penfold CN, McCullagh P, Eveson JW, Ramsay A. Giant cell lesions complicating fibro-osseous conditions of the jaws. Int J Oral Maxillofac Surg. 1993; 22 (3): 158-162.

  6. Kaplan I, Manor I, Yahalom R, Hirshberg A. Central giant cell granuloma associated with central ossifying fibroma of the jaws: a clinicopathologic study. Oral Surg Oral Med Oral Pathol Oral Radiol Endod. 2007; 103 (4): e35-e41.

  7. Stolovitzky JP, Waldron CA, McConnel FM. Giant cell lesions of the maxilla and paranasal sinuses. Head Neck. 1994; 16 (2): 143-148.

  8. De Lange J, Van den Akker HP. Clinical and radiological features of central giant-cell lesions of the jaw. Oral Surg Oral Med Oral Pathol Oral Radiol Endod. 2005; 99 (4): 464-470.

  9. Chuong R, Kaban LB, Kozakewich H, Perez-Atayde A. Central giant cell lesions of the jaws: a clinicopathologic study. J Oral Maxillofac Surg. 1986; 44 (9): 708-713.

  10. Sutbeyaz Y, Yoruk O, Bilen H, Gursan N. Primary hyperparathyroidism presenting as a palatal and mandibular brown tumor. J Craniofac Surg. 2009; 20 (6): 2101-2104.

  11. Daniels JS. Primary hyperparathyroidism presenting as a palatal brown tumor. Oral Surg Oral Med Oral Pathol Oral Radiol Endod. 2004; 98 (4): 409-413.

  12. Bataineh AB, Al-Khateeb T, Rawashdeh MA. The surgical treatment of central giant cell granuloma of the mandible. J Oral Maxillofac Surg. 2002; 60 (7): 756-761.

  13. Tosco P, Tanteri G, Iaquinta C, Fasolis M, Roccia F, Berrone S et al. Surgical treatment and reconstruction for central giant cell granuloma of the jaws: a review of 18 cases. J Craniomaxillofac Surg. 2009; 37 (7): 380-387.

  14. Schreuder WH, van den Berg H, Westermann AM, Peacock ZS, de Lange J. Pharmacological and surgical therapy for the central giant cell granuloma: A long-term retrospective cohort study. J Craniomaxillofac Surg. 2017; 45 (2): 232-243.

  15. O'Connell JE, Kearns GJ. Denosumab: an alternative therapy for the management of giant cell lesions. J Oral Maxillofac Surg. 2016; 74 (5): 873.

  16. Nogueira RL, Faria MH, Osterne RL, Cavalcante RB, Ribeiro RA, Rabenhorst SH. Glucocorticoid and calcitonin receptor expression in central giant cell lesions: implications for therapy. Int J Oral Maxillofac Surg. 2012; 41 (8): 994-1000.

  17. Upadhyaya JD, Cohen DM, Islam MN, Bhattacharyya I. Hybrid central odontogenic fibroma with giant cell granuloma like lesion: a report of three additional cases and review of the literature. Head Neck Pathol. 2018; 12 (2): 166-174.

  18. Mosqueda Taylor A, Bermudez Flores V, Diaz Franco MA. Combined central odontogenic fibroma and giant cell granuloma-like lesion of the mandible: report of a case and review of the literature. J Oral Maxillofac Surg. 1999; 57 (10): 1258-1262.

  19. Robinson PD. Aneurysmal bone cyst: a hybrid lesion? Br J Oral Maxillofac Surg. 1985; 23 (3): 220-226.

  20. Shetty K, Giannini P, Leigh J. A hybrid giant cell granuloma and fibro-osseous lesion of the mandible. Oral Oncol Extra. 2004; 40: 81-84.

  21. Kurra S, Reddy DS, Gunupati S, K S, Reddy MS. Fibrous dysplasia and central giant cell granuloma: a report of hybrid lesion with its review and hypotheticated pathogenesis. J Clin Diagn Res. 2013; 7 (5): 954-958.

  22. Kawakami T, Antoh M, Minemura T. Giant cell reaction to ameloblastoma: an immunohistochemical and ultrastructural study of a case. J Oral Maxillofac Surg. 1989; 47 (7): 737-741.

  23. Yoon JH, Kim SG, Lee SH, Kim J. Simultaneous occurrence of an odontogenic keratocyst and giant cell granuloma-like lesion in the mandible. Int J Oral Maxillofac Surg. 2004; 33 (6): 615-617.

  24. Kademani D, Keller E. Iliac crest grafting for mandibular reconstruction. Atlas Oral Maxillofac Surg Clin North Am. 2006; 14 (2): 161-170.

  25. Fernandes R. Fibula free flap in mandibular reconstruction. Atlas Oral Maxillofac Surg Clin North Am. 2006; 14 (2): 143-150.

  26. Chiapasco M, Colletti G, Romeo E, Zaniboni M, Brusati R. Long-term results of mandibular reconstruction with autogenous bone grafts and oral implants after tumor resection. Clin Oral Implants Res. 2008; 19 (10): 1074-1080.

  27. Moura LB, Carvalho PH, Xavier CB, Post LK, Torriani MA, Santagata M et al. Autogenous non-vascularized bone graft in segmental mandibular reconstruction: a systematic review. Int J Oral Maxillofac Surg. 2016; 45 (11): 1388-1394.

  28. Benzaouia A, Serghini S, Oukessou Y, Abada R, Rouadi S, Mahtar M et al. Free non vascularized bone graft evolution after mandibular resections: 45 cases report. Rev Laryngol Otol Rhinol (Bord). 2014; 135 (3): 145-150.

  29. Kim A, Kar K, Nowzari H, Cha HS, Ahn KM. Immediate free iliac bone graft after nonsegmental mandibular resection and delayed implant placement: a case series. Implant Dent. 2013; 22 (5): 438-443.

  30. Chiapasco M, Abati S, Ramundo G, Rossi A, Romeo E, Vogel G. Behavior of implants in bone grafts or free flaps after tumor resection. Clin Oral Implants Res. 2000; 11 (1): 66-75.

  31. Wilkman T, Apajalahti S, Wilkman E, Tornwall J, Lassus P. A comparison of bone resorption over time: an analysis of the free scapular, iliac crest, and fibular microvascular flaps in mandibular reconstruction. J Oral Maxillofac Surg. 2017; 75 (3): 616-621.




Figura 1
Figura 2
Figura 3
Figura 4
Figura 5

2020     |     www.medigraphic.com

Mi perfil

C?MO CITAR (Vancouver)

Rev Mex Cir Bucal Maxilofac. 2021;17

ARTíCULOS SIMILARES

CARGANDO ...