medigraphic.com
ENGLISH

Archivos de Investigación Materno Infantil

ISSN 2007-3194 (Impreso)
Órgano de difusión oficial del Instituto Materno Infantil del Estado de México
  • Mostrar índice
  • Números disponibles
  • Información
    • Información general        
    • Directorio
  • Publicar
    • Instrucciones para autores        
  • medigraphic.com
    • Inicio
    • Índice de revistas            
    • Registro / Acceso
  • Mi perfil

2021, Número 1

<< Anterior Siguiente >>

Arch Inv Mat Inf 2021; 12 (1)


Experiencia en la extracción de cuerpos extraños en vía aérea por broncoscopia rígida

Galindo Rocha, Francisco1; Santiago Montor, Miguel Ángel2
Texto completo Cómo citar este artículo 10.35366/102451

DOI

DOI: 10.35366/102451
URL: https://dx.doi.org/10.35366/102451
Artículos similares

Idioma: Español
Referencias bibliográficas: 12
Paginas: 11-15
Archivo PDF: 181.48 Kb.


PALABRAS CLAVE

Cuerpo extraño en vía aérea en niños, extracción, broncoscopia rígida.

RESUMEN

Introducción: Los cuerpos extraños en vía aérea tienen una incidencia que va de 0.66 a 100,000, principalmente en menores de cinco años. La broncoscopia rígida en niños es el procedimiento de elección. Material y métodos: Estudio retrospectivo, observacional, transversal y descriptivo. Incluimos broncoscopias rígidas desde enero de 2015 hasta marzo de 2020. Resultados: En 27 pacientes encontramos cuerpos extraños: cacahuate (nueve), metal (seis), plástico (cinco), maíz (cuatro), frijol (uno), caña (uno), zanahoria (uno); 16 tuvieron signos radiológicos: hiperinsuflación (cinco), radiopacidad (cinco), engrosamiento bronquial (tres) y atelectasia (tres). Encontramos 15 en bronquio derecho y cinco en izquierdo, cuatro en tráquea, uno en cuerdas vocales, uno en laringe y uno en carina. Conclusión: La broncoscopia rígida es eficaz, por lo que la consideramos de elección para la extracción de cuerpos extraños en vía aérea en niños.



INTRODUCCIóN

La aspiración de cuerpos extraños en niños es una urgencia muy frecuente y potencialmente letal. El retraso en el diagnóstico y retención de cuerpo extraño en vía aérea incrementa la mortalidad y morbilidad.1

Se estima una incidencia de 0.66 por 100,000. Es la principal causa de accidentes infantiles muertes y la cuarta entre niños en edad preescolar (≤ 5 años). La aspiración de cuerpo extraño en vía aérea tiene una demografía muy singular, 80% de casos ocurren en menores de tres años, con una frecuencia máxima entre uno y dos años de edad. Los niños menores de cuatro años de edad son más vulnerables a aspirar cuerpos, ya que son conducidos por comportamiento de exploración, la ausencia de una dentición adecuada y una inmadurez en la coordinación de la deglución.2 El predominio del sexo masculino es otra característica de esta condición, la relación hombre mujer es de 1.5:1.0.3 El tipo de cuerpo extraño inhalado tiene una variación global, 91% de los pacientes occidentales aspiran productos orgánicos, los cacahuetes representan la mitad, los huesos son los cuerpos extraños más comunes en el sureste de Asia y China.4 Del mismo modo, las semillas de sandía, girasol y calabaza son más frecuentes en Egipto, Turquía y Grecia, respectivamente. Esto se debe a las diferencias en los hábitos alimenticios que reflejan un impacto cultural.1

La naturaleza del cuerpo extraño determina el grado de respuesta inflamatoria. Los objetos metálicos causan mínima reacción, mientras que los materiales lipofílicos estimulan intensamente inflamación en respuesta a su contenido ácido graso. Los alimentos ricos en almidón adsorben agua, lo que vuelve la obstrucción parcial en completa.5

Se describen tres fases clínicas distintas tras la aspiración de un cuerpo extraño. La primera, periodo inmediato postaspiración, se manifiesta por una tos súbita, violenta, con asfixia, cianosis, ahogo, estridor y sibilancias. La mayor parte de las veces el material aspirado se expulsa en ese momento gracias al reflejo tusígeno. Si la tos no es eficaz y no consigue eliminarlo, son necesarias maniobras de actuación médica inmediata para evitar que la obstrucción sea irreversible. Tras esta fase puede haber un periodo asintomático que puede ser de minutos a meses de duración, dependiendo de la localización del cuerpo extraño, del grado de obstrucción que produce y de la reacción inflamatoria que genere. En esta fase existe el riesgo de retrasar el diagnóstico, dado que la sintomatología no es tan llamativa. Además, en este periodo el material aspirado puede cambiar de localización y por tanto, sus manifestaciones clínicas. En la tercera fase se manifiesta la patología derivada de la reacción de cuerpo extraño generada: inflamación-infección, dando síntomas como tos crónica, expectoración, fiebre, sibilancias y a veces hemoptisis. Este cortejo sintomático se confunde fácilmente con otras entidades clínicas de las que hay que saber diferenciar. Como ya se ha apuntado con anterioridad, los síntomas van a ser diferentes según la localización del cuerpo extraño. De ahí la conveniencia de analizarlos según se sitúe en la laringe, la tráquea o los bronquios.3

El cuerpo extraño con localización laríngea en los menores de un año: si el tamaño del material es lo suficientemente grande para originar una obstrucción completa provocará dificultad respiratoria, cianosis e incluso la muerte, tratándose pues de una urgencia vital.6 Si la obstrucción es parcial producirá estridor, afonía, tos crupal, odinofagia y disnea. Estos síntomas pueden ser debidos al cuerpo extraño por sí mismo o bien a la reacción inflamatoria que ha podido generar, aunque esté ubicado en otro lugar.7

El cuerpo extraño con localización en tráquea: alrededor de 7% se localizan en este lugar, la tos, el estridor y la sofocación son síntomas habituales. Es característico el choque o golpe audible y palpable producido por la detención momentánea de la espiración a nivel subglótico. Se ha comunicado que la incidencia de complicaciones en el grupo de cuerpos extraños laringotraqueales es de cuatro a cinco veces mayor que el reportado para todos los cuerpos extraños en su conjunto.

El cuerpo extraño con localización en bronquios es la más frecuente (80%), con predominio del bronquio principal derecho. La tos y las sibilancias son los síntomas más frecuentes, aunque dependiendo de la fase en la que se estudie al paciente, pueden ser más variables.8 También serán distintos en función del grado de obstrucción: si es leve y el aire pasa en ambas direcciones apenas se percibirá alguna sibilancia; si la obstrucción es mayor permitiendo la entrada, pero no la salida de aire, producirá enfisema, y si es completa, impidiendo la entrada y la salida de aire, producirá una atelectasia. Más tarde, sobre todo si el material aspirado es orgánico, se producirá una gran reacción inflamatoria, probablemente neumonía y más tarde empiema.

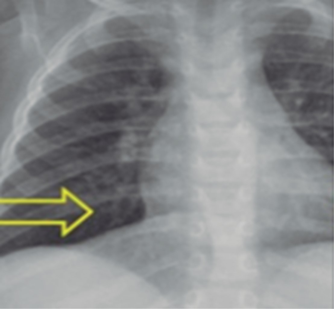
La radiografía de tórax es un estudio de bajo costo que debe realizarse ante la sospecha de aspiración de cuerpo extraño. La radiografía de tórax normal no excluye la presencia de un cuerpo extraño en la vía aérea. Se ha reportado 30-50% de radiografías normales de pacientes con cuerpo extraño alojados en los bronquios.9 Otras series reportan 18% de radiografías normales y 48% con hallazgos inespecíficos como hiperinsuflación o atrapamiento de aire, atelectasia, infiltrados o engrosamiento de la pared bronquial (Figuras 1, 2, 3 y 4).10

El diagnóstico puede ser muy difícil y no existen criterios específicos que indiquen la realización de la broncoscopia. Los cuerpos extraños retenidos no diagnosticados pueden producir tras un periodo asintomático neumonías crónicas o recidivantes, tos crónica, abscesos pulmonares, hemoptisis recurrentes o bronquiectasias.11 En niños que presenten alguno de estos síntomas es obligatorio excluir la existencia de un posible cuerpo extraño no diagnosticado previamente.1 El tratamiento consiste en la extracción del cuerpo de forma urgente mediante broncoscopia rígida y flexible.12

El broncoscopio rígido se considera el principal procedimiento para la extracción de cuerpo extraño debido a su ventaja de un amplio canal de trabajo y disponibilidad del equipo requerido para extracción.2

El propósito de este trabajo es describir los datos clínicos, radiológicos y clasificación del tipo de cuerpo extraño de los pacientes pediátricos a los que se les realizó broncoscopia rígida por aspiración de cuerpo extraño en vía aérea.



MATERIAL Y MéTODOS

Tipo de estudio retrospectivo, observacional, transversal y descriptivo. Se revisó el registro en la base de datos de quirófano de pacientes a los cuales se les realizó algún tipo de procedimiento en quirófano del Hospital del Niño de Toluca IMIEM, buscando pacientes pediátricos con sospecha de cuerpo extraño, los cuales fueron sometidos a broncoscopia rígida desde enero de 2015 hasta marzo de 2020.



RESULTADOS

Se encontró un total de 43 pacientes pediátricos con sospecha de cuerpo extraño, los cuales fueron sometidos a broncoscopia rígida desde enero de 2015 hasta marzo de 2020. Todos los procedimientos se realizaron en quirófano bajo anestesia general, intubación endotraqueal, previa firma de consentimiento informado, sólo en dos pacientes se realizó intubación endotraqueal previa fuera de quirófano, se utilizaron broncoscopios rígidos pediátricos de 3.5 a 7.5 mm de diámetro interno, de 18.5 a 40 cm de longitud. Además, ópticas de cero grados y fuentes de luz; los tamaños y la longitud adecuados de los instrumentos se eligieron de acuerdo con la edad y el peso de cada niño, la extracción del cuerpo extraño fue mediante pinzas endoscópicas de acuerdo al tamaño del broncoscopio; se evaluaron la edad, el género, sintomatología de inicio y llegada al hospital, tiempo de evolución, el tipo de cuerpo extraño, la ubicación del cuerpo extraño y los hallazgos radiológicos, previo a procedimiento. En la Figura 5 se observa el instrumental de broncoscopia del Hospital para el Niño del IMIEM.

De los 43 pacientes sometidos a broncoscopia por sospecha de cuerpo extraño, se encontró cuerpo extraño en 27 niños, de los cuales 19 fueron hombres y ocho mujeres con edades entre nueve meses y 12 años con un promedio de tres años con seis meses. La duración de la retención de cuerpo extraño en vía aérea varió de 30 minutos a tres meses con un promedio de seis días, mediana de 24 horas. Los síntomas iniciales fueron tos en 13 pacientes, disnea en seis, cianosis en cinco, desvanecimiento en uno, sialorrea en uno, y un asintomático; los signos y síntomas a la llegada al hospital fueron disnea en ocho pacientes, sibilancias en siete, tos en cuatro, estridor en cuatro, desvanecimiento en dos, sialorrea en uno y un asintomático. Los alimentos fueron el tipo de cuerpo extraño más común (Figura 6), 41% de los pacientes no tuvieron signos radiológicos, 59% sí los tuvo: hiperinsuflación en cinco, cuerpo extraño radiopaco en cinco, atelectasia en tres, engrosamiento de pared bronquial en tres; el bronquio principal derecho fue el sitio anatómico donde más comúnmente se encontró el cuerpo extraño con 15 pacientes, cinco en bronquio principal izquierdo, cuatro en tráquea, uno en cuerdas vocales, uno en laringe y uno en narina.



DISCUSIóN

La broncoscopia rígida en pediatría tiene múltiples usos diagnósticos y terapéuticos como toma de biopsias y resolver atelectasias con la eliminación de tapones mucosos. La mayoría de las indicaciones son con fines terapéuticos para la eliminación de la obstrucción localizada en la vía aérea.

La aspiración de cuerpo extraño es más frecuente en niños menores de tres años, esto se debe a varios factores, entre ellos, el proceso de la deglución, el cual involucra estructuras que protegen la vía aérea:

  • 1. La contracción de la lengua dirige el bolo alimenticio hacia la faringe.
  • 2. la elevación del paladar blando evita el reflujo nasal.
  • 3. El cierre de la laringe.

Los niños adquieren estas funciones de forma completa aproximadamente a los cinco años de edad. La curiosidad propia de la edad, la distracción durante el juego y el consumo creciente de comidas tipo botanas aumentan el riesgo de aspirar un cuerpo extraño.

La aspiración de cuerpo extraño en vía aérea es una situación que pone en peligro la vida, se ha documentado una mortalidad de 0.21 a 3%, en nuestra experiencia no se han establecido decesos por dicha causa. Las tos, cianosis y disnea son los síntomas más comunes de presentación; los hallazgos radiológicos son variables, se reporta en la literatura hasta 25% de los casos; sin embargo, en nuestra experiencia se encontró en 59.2%, la presencia de cuerpos radiopacos en vía aérea observada en una radiografía es patognomónica, se reporta entre 7 y 10% de los casos: en nuestra experiencia la detectamos en 18.5%; según lo describe la literatura mundial, los productos alimentarios son el tipo de cuerpo extraño que se observa con más frecuencia, y el bronquio principal derecho es el sitio más común de localización.

La repercusión de un cuerpo extraño implantado en la vía aérea va a depender de su naturaleza, de su localización y del grado de obstrucción que origine. Frente a la sospecha de aspiración, ya sea por los síntomas respiratorios, la auscultación y la radiografía de tórax, se debe realizar broncoscopia rígida. Ésta constituye el mejor método diagnóstico y terapéutico.

Antes del uso de la broncoscopia, la tasa de mortalidad para la aspiración de cuerpo extraño se estimaba en más de 50% en algunas series. Actualmente esta intervención la ha reducido a menos de 1%. Los avances técnicos, instrumentales y anestésicos han permitido que la broncoscopia rígida sea eficaz en el tratamiento de estos pacientes con una baja tasa de complicación.

La sospecha diagnóstica se realiza mediante el adecuado interrogatorio, los signos y síntomas iniciales son los principales factores a considerar para el diagnóstico temprano y tratamiento oportuno. El estudio radiológico es de gran ayuda para confirmar la presencia de cuerpo extraño radiopaco y también de signos indirectos de cuerpo extraño en vía aérea; sin embargo, sólo un pequeño porcentaje muestra signos radiológicos, por lo cual consideramos que ante la sospecha diagnóstica y presencia de sintomatología, todo paciente se tiene que ingresar a quirófano para la realización de broncoscopia diagnóstica y/o terapéutica, ya que el retraso en el diagnóstico y el tiempo de llegada al centro con capacidad resolutiva son los principales factores de morbimortalidad.



CONCLUSIóN

La lección que muestra nuestra experiencia en el uso de la broncoscopia rígida para extracción de cuerpo extraño es que, a pesar del amplio uso actual y algunas ventajas de la broncoscopia flexible, la broncoscopia rígida es una modalidad eficaz, por lo que la consideramos de elección para la extracción de cuerpo extraño en vía aérea en pacientes pediátricos.


REFERENCIAS (EN ESTE ARTÍCULO)

  1. Flores Hernández SS, García Torrentera R, Núñez Pérez-Redondo C. Extracción de cuerpos extraños de la vía aérea en niños mediante broncoscopia flexible. Rev Inst Nal Enf Resp Mex. 2005; 18 (2): 103-108.

  2. Salih AM, Alfaki M, Alam-Elhuda DM. Airway foreign bodies: A critical review for a common pediatric emergency. World J Emerg Med. 2016; 7 (1): 5-12.

  3. Correa C, González Casas DD, Rincón LC, Peña R, Luengas JP. Diagnóstico y tratamiento de cuerpos extraños en la vía aérea pediátrica: serie de casos. Pediatría. 2016; 49 (4): 122-127.

  4. Ashcraft KW, Whitfield GH, Murphy JP. Pediatric surgery. 4th ed. Philadelphia, USA: Elsevier Saunders; 2005. p. 137-145.

  5. Tang LF, Xu YC, Wang YS, Wang CF, Zhu GH, Bao XE. Airway foreign body removal by flexible bronchoscopy: experience with 1027 children during 2000-2008. World J Pediatr. 2009; 5 (3): 191-195.

  6. Zang CS, Sun J, Huang HT, Sun Y, Qiu J, Jiang Y et al. Inhaled foreign bodies in pediatric patients: a review and analysis of 3028 cases. Int J Clin Exp Pathol. 2017; 10 (1): 97-104.

  7. Reyes-Quintos MRT. Pediatric rigid bronchoscopy for foreign body removal. Philip J Otolaryngol Head Neck Surg. 2009; 24 (1): 39-41.

  8. Sinha V, Umesh ST, Jha SG. Rigid bronchoscopy in pediatric patients. Indian J Otolaryngol Head Neck Surg. 2017; 69 (4): 449-452.

  9. Fernández JF, Gutiérrez SC, Álvarez MV, Peláez MD. Broncoaspiración de cuerpos extraños en la infancia. Revisión de 210 casos. An Esp Pediatr. 2000; 53 (4): 335-338.

  10. Alvarado-León U, Palacios-Acosta JM, León-Hernández A, Chávez-Enríquez EP, Vázquez-Gutiérrez VM, Shalkow-Kincovstein J. Cuerpos extraños alojados en las vías aérea y digestiva. Diagnóstico y tratamiento. Acta Pediatr Mex. 2011; 32 (2): 93-100.

  11. Fernández Landaluce A. Triaje de Urgencias de Pediatría. Protoc Diagn Ter Pediatr. 2020; 1: 1-13.

  12. Pérez-Frías J, Moreno GA, Pérez RE, Barrio Gómez DMI, Escribano MA, Caro AP. Normativa de broncoscopia pediátrica. Arch Bronconeumol. 2011; 47 (7): 350-360.



AFILIACIONES

1 Médico adscrito al Servicio de Cirugía Pediátrica. Hospital para el Niño, Instituto Materno Infantil del Estado de México (IMIEM). México.

2 Residente de Cirugía Pediátrica. Hospital para el Niño, Instituto Materno Infantil del Estado de México (IMIEM). México.



Conflicto de intereses: Sin conflicto de intereses de los autores.



CORRESPONDENCIA

Miguel Ángel Santiago Montor. E-mail: dr.santiago.montor@infinitummail.com




Recibido: 05/01/2021. Aceptado: 26/02/2021.

Figura 1
Figura 2
Figura 3
Figura 4
Figura 5
Figura 6

2020     |     www.medigraphic.com

Mi perfil

C?MO CITAR (Vancouver)

Arch Inv Mat Inf. 2021;12

ARTíCULOS SIMILARES

CARGANDO ...