medigraphic.com
ENGLISH

Acta Médica Grupo Angeles

Órgano Oficial del Hospital Angeles Health System
  • Mostrar índice
  • Números disponibles
  • Información
    • Información general        
    • Directorio
  • Publicar
    • Instrucciones para autores        
    • Envío de artículos
    • Políticas
    • Nombre y afiliación del Comité Editorial
  • Nosotros
    • Plan de gestión e intercambio de datos
    • Objetivos declarados y alcance
  • medigraphic.com
    • Inicio
    • Índice de revistas            
    • Registro / Acceso
  • Mi perfil

2021, Número 4

<< Anterior Siguiente >>

Acta Med 2021; 19 (4)


Fractura de Tillaux

Ochoa Cázares, René1; Chávez Sevilla, José Antonio2; Valdez Toval, Daniel Arturo2
Texto completo Cómo citar este artículo 10.35366/102544

DOI

DOI: 10.35366/102544
URL: https://dx.doi.org/10.35366/102544
Artículos similares

Idioma: Español
Referencias bibliográficas: 6
Paginas: 547-549
Archivo PDF: 140.08 Kb.


PALABRAS CLAVE

Fractura de Tillaux, esguince de tobillo, periodo de transición, cierre prematuro fisiario.

RESUMEN

La fractura de Tillaux es un tipo de fractura de presentación poco común, muchas veces pasa inadvertida como un simple esguince de tobillo. Tiene implicaciones serias que llevan a la inestabilidad de la articulación tibioastragalina que podría desencadenar en artrosis temprana. La literatura disponible evidencia alta tasa de consolidación ósea y pocas complicaciones. Se presenta en pocas oportunidades el cierre prematuro fisiario debido a que la fisis se encuentra casi cerrada. Presentamos reporte de caso de un paciente adolescente quien sufrió fractura aislada de Tillaux. El paciente fue intervenido quirúrgicamente, se le practicó reducción abierta y fijación interna definitiva con el objetivo de establecer la congruencia articular tibioastragalina.



INTRODUCCIóN

El cierre epifisario de la tibia distal tiene un patrón asimétrico, el cierre fisario inicia en el centro y luego progresa hacia el lado medial, finalmente se produce la fusión del aspecto lateral de la tibia distal. El cierre medio ocurre aproximadamente a los 13-14 años de edad, el cierre lateral inicia entre los 14.5 y 16 años de edad. El intervalo (aproximadamente 18 meses) durante el cual la fisis tibial distal completa su cierre y gana madurez, es referido como el "periodo de transición". La fractura de Tillaux en la adolescencia ocurre durante el periodo de transición cuando la fisis medial y central ha terminado el cierre, pero la fisis lateral aún está abierta. Los ligamentos son más fuertes que el hueso en la adolescencia, por lo que el hueso fallará antes que los ligamentos. La fractura de Tillaux está clasificada como una Salter Harris tipo III, o fractura de la epífisis porque el platillo de crecimiento de la tibia distal lateral aún está abierto.1

Tillaux llevó a cabo experimentos cadavéricos y descubrió que la fractura de la tibia distal es debida a la tracción del ligamento tibioperoneo anteroinferior, este patrón de fractura fue conocido como fractura de Tillaux en adultos y fractura juvenil de Tillaux en adolescentes.2



PRESENTACIóN DEL CASO

Paciente masculino adolescente de 15 años de edad, quien acude a sala de urgencias con historia de trauma a nivel del tobillo derecho que causa dolor agudo e incapacitante para el apoyo y la marcha.

A consecuencia del trauma, el paciente presenta dolor con escala de EVA de 9/10, limitación funcional, tumefacción y equimosis del tobillo principalmente en la cara anterolateral de la articulación.

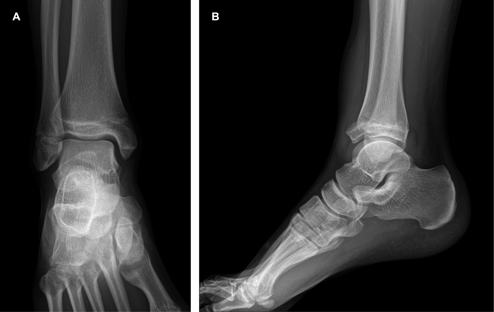
Se realizaron radiografías simples de tobillo (anteroposterior y lateral) y del pie (anteroposterior, lateral y oblicua), las cuales evidenciaron fractura de la porción distal de la tibia derecha, justo en la cara anterolateral, con trazo articular al tobillo y presentando escalón articular mayor de 2 mm. Se clasifica lesión ósea como fractura Salter y Harris tipo III/fractura de Tillaux (Figura 1A y B).



TéCNICA QUIRúRGICA

Paciente masculino que fue llevado a sala de operaciones bajo anestesia regional con bloqueo espinal. Se coloca isquemia en el tercio proximal al muslo derecho, se realiza abordaje anterolateral de tobillo derecho, y se diseca por planos respetando las estructuras anatómicas, siendo gentil con los tejidos blandos.

Se visualiza fragmento óseo inestable, pero fácilmente reductible, con ayuda de clavillo Kirschner se realiza fijación temporal del fragmento óseo (técnica de Joystick) y se coloca tornillo canulado de 3.5 mm de rosca parcial más arandela de lateral a medial y paralelo a la línea articular.

Se observa directamente reducción satisfactoria y adecuada congruencia articular, por medio de fluoroscopia se cierra por planos los tejidos blandos, colocando férula con tobillo en 90o.

Al cabo de 10 días de la cirugía se retiran los puntos de la piel, se coloca aparato de yeso podálico de fibra de vidrio por cuatro semanas.

A las 10 semanas el paciente presenta marcha con apoyo total. Se establece evolución satisfactoria en el seguimiento según las escalas de Foot and Ankle Ability Measures de 97%, escala visual análoga de dolor de 0/10, AOFAS de 100 y SF-36 de 98.00 (Figura 2A y B).



DISCUSIóN

Los fragmentos de la fractura de Tillaux-Chaput son pequeños y resultan en leve edema, deformidad y obstrucción del peroné, con lo que estas fracturas tienden a no ser diagnosticadas y pasar inadvertidas como un simple esguince de tobillo. La fractura de Tillaux es una típica fractura intraarticular, así que cuando el fragmento desplazado presenta escalón articular y es mayor de 2 mm, el paciente requiere reducción abierta y fijación interna.

Este tipo de trauma es tratado usando una incisión tibial anterolateral, la reducción se logra por lo regular con uno o dos tornillos de compresión.3,4

Tornillos canulados y alambres de Kirschner empleados en la fijación después de la reducción cerrada son útiles para fracturas epifisarias del maléolo lateral y medial en niños, los resultados confirmaron una alta tasa de unión y respuesta satisfactoria funcional sin complicaciones.5 Por la edad en la que ocurren las fracturas de Tillaux en adolescentes, generalmente no es motivo de preocupación que el tornillo cruce o no el centro de crecimiento, ya que éste no aportará crecimiento significativo a futuro.6



CONCLUSIóN

La fractura de Tillaux es una lesión poco frecuente, por lo cual las imágenes radiológicas tienen un rol fundamental para orientar al clínico en su diagnóstico así como la realización de tomografía computarizada para una mejor caracterización de la lesión, mejor planificación quirúrgica y tratamiento adecuado.

Pese a la complejidad de esta fractura e incluso al compromiso articular, la mayoría de los pacientes tienen buena evolución si el diagnóstico es oportuno y el tratamiento es adecuado.

Debido a la inestabilidad que causa en el tobillo, su tratamiento quirúrgico es indispensable para así evitar la osteoartritis temprana.

Tanto el método tradicional abierto de fijación como el artroscópico tienen más de 85% de resultados satisfactorios.


REFERENCIAS (EN ESTE ARTÍCULO)

  1. Mansur GH, Coelho LT, Barbosa GC, Moreira de Castro JI, Ramos M. Fractura de Tillaux en adultos en asociación con las fracturas Volkmann y Maisonneuve. Reporte de un caso. Rev Col Or Tra. 2019; 33 (3-4): 123-127.

  2. Duchesneau S, Fallat LM. The tillaux fracture. J Foot Ankle Surg. 1996; 35 (2): 127-133.

  3. Torrent GJ, Castillón BP, Anglès CF. Fractura de Tillaux del adulto: a propósito de un caso. Rev del Pie y Tobillo. 2012; 26 (2): 43-46.

  4. Feng SM, Sun QQ, Wang AG, Li CK. "All-inside" arthroscopic treatment of Tillaux-Chaput fractures: clinical experience and outcomes analysis. J Foot Ankle Surg. 2018; 57 (1): 56-59.

  5. Jiang L, Wu J, Li M, Liu X, Luo C, Qu X. Cannulated screw and Kirschner fixation for the treatment of medial and lateral malleolar epiphyseal fractures in children: a retrospective study of 36 cases. J Orthop Surg Res. 2019; 14 (1): 254.

  6. Cuevas AC. Lesiones fisiarias de la tibia distal. Ortho-tips. 2009; 5 (3): 279-285.



AFILIACIONES

1 Director del Curso Artroscopia y Reconstrucción Articular. Hospital Angeles Pedregal, Facultad Mexicana de Medicina Universidad La Salle Campus México.

2 Fellow en Artroscopia y Reconstrucción Articular. Hospital Angeles Pedregal, Facultad Mexicana de Medicina Universidad La Salle Campus México.



CORRESPONDENCIA

Dr. René Ochoa Cázares. Correo electrónico: roc.ortopedia@gmail.com




Aceptado: 10-12-2020.

Figura 1
Figura 2

2020     |     www.medigraphic.com

Mi perfil

C?MO CITAR (Vancouver)

Acta Med. 2021;19

ARTíCULOS SIMILARES

CARGANDO ...