medigraphic.com
ENGLISH

Anales Médicos de la Asociación Médica del Centro Médico ABC

ISSN 0185-3252 (Impreso)
Revista de la Asociación Médica del Centro Médico ABC
  • Mostrar índice
  • Números disponibles
  • Información
    • Información general        
    • Directorio
  • Publicar
    • Instrucciones para autores        
  • medigraphic.com
    • Inicio
    • Índice de revistas            
    • Registro / Acceso
  • Mi perfil

2021, Número 4

<< Anterior Siguiente >>

An Med Asoc Med Hosp ABC 2021; 66 (4)


Tumor fibroso solitario retroperitoneal: reporte de caso y revisión de la literatura

Rivera García Granados, Ana1; Robles Vidal, Carlos Daniel2; Kajomovitz Bialostozky, Daniel2
Texto completo Cómo citar este artículo 10.35366/102930

DOI

DOI: 10.35366/102930
URL: https://dx.doi.org/10.35366/102930
Artículos similares

Idioma: Español
Referencias bibliográficas: 10
Paginas: 292-296
Archivo PDF: 316.67 Kb.


PALABRAS CLAVE

Tumor fibroso solitario, retroperitoneo, resección quirúrgica.

RESUMEN

Los tumores fibrosos solitarios son tumores de origen mesenquimatoso, que se presentan más frecuentemente en tórax. Se considera que 34% de ellos son extratorácicos. Presentamos un caso de una mujer de 56 años, quien tras abordaje de cuadro apendicular se reporta lesión abdominal sólida quística, retroperitoneal, paraaórtica izquierda, de 94 × 59 × 143 mm. Al interrogatorio dirigido, negó presencia de síntomas abdominales, dolor, cambios ponderales o alguna otra alteración. Se realizó biopsia por radiología intervencionista, donde se reportó neoplasia fusocelular, compatible con tumor fibroso solitario. Posterior a discusión con equipo multidisciplinario, se realizó resección por medio de laparotomía exploradora, encontrando tumor de aproximadamente 16 × 7 cm, lobulado, ahulado, en estrecha relación con aorta, arteria iliaca izquierda y uréter izquierdo, con vascularidad proveniente de arteria lumbar y arteria mesentérica inferior. La paciente presentó una adecuada evolución postoperatoria y fue dada de alta en su quinto día postoperatorio. Histopatología reportó tumor fibroso solitario, grado histológico (French Fédération Nationale des Centres de Lutte Contre le Cancer, FNCLCC) 1, con mitosis por 10 campos de alto poder, sin necrosis. Los tumores fibrosos solitarios se presentan con más frecuencia en la quinta y sexta décadas de la vida, con frecuencia parecida entre hombres y mujeres. La sintomatología depende de la localización, y el más frecuente es por compresión. El tratamiento consiste en resección quirúrgica, R0. La obtención de márgenes negativos es imperativa ya que aunque se considera un tumor benigno, existe riesgo de malignidad, y éste es el principal riesgo de recurrencia metastásica. El riesgo de malignidad está determinado por histopatología desfavorable y tamaño.



ABREVIATURAS:

  • TFS = Tumores fibrosos solitarios.
  • PET = Tomografía por emisión de positrones.



INTRODUCCIóN

El tumor fibroso solitario (TFS) es una neoplasia fusocelular, poco común, cuya localización más frecuente es intratorácica. La sintomatología que presenta es muy variable, dependiendo de la localización y el tamaño. Por imagen, se encuentra un tumor hipervascular, bien circunscrito, frecuentemente lobulado, con áreas grandes de necrosis. A continuación, presentamos el caso de una paciente con TFS retroperitoneal.



PRESENTACIóN DE CASO

Mujer de 56 años, quien tras abordaje de cuadro apendicular, se reportó en tomografía abdominal lesión sólida-quística retroperitoneal paraaórtica izquierda, asociado a ganglio precaval y adenopatías en cadena obturatriz e iliaca externa derecha. Al interrogatorio dirigido, negó presencia de síntomas abdominales, dolor lumbar, cambios ponderales, o alteraciones en la sensibilidad o motricidad de miembros pélvicos. En la tomografía con contraste intravenoso se identificó a nivel paraaórtico presencia de lesión tumoral heterogénea a expensas de contenido sólido y líquido, presentando dimensiones de 9.7 × 3.3 × 7.6 cm.

Se solicitó PET-CT con 18F-FDG, donde se evidenció adenopatía mediastinal nivel 8, que midió 10 × 12 mm con SUVmax de 19.3, así como tumor retroperitoneal de 94 × 59 × 143 mm, que se extendía por debajo de la arteria renal izquierda hasta la cadena iliaca común ipsilateral, con centro necrótico en porción caudal, con SUVmáx de 48.3. De igual forma, se reportó miomatosis uterina de grandes elementos. Se realizó toma de biopsia por radiología intervencionista, donde se reportó neoplasia fusocelular de bajo grado cuyo inmunofenotipo fue compatible con TFS. Reportan un índice mitótico de una mitosis por 10 campos de alto poder, sin áreas de necrosis y/o atipia citológica.

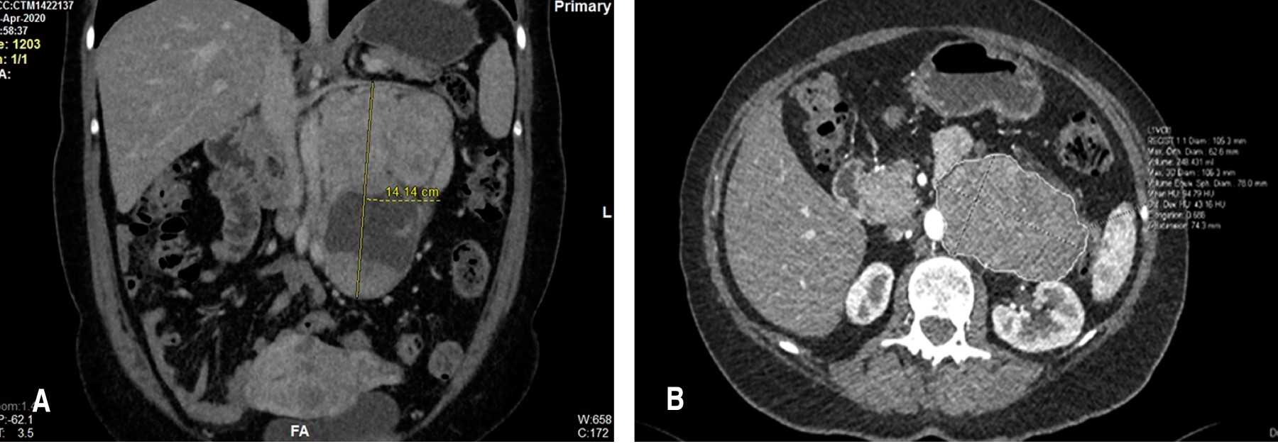
Como planeación quirúrgica, se solicitó angiotomografía axial computarizada (Figura 1) donde se reportaron vasos nutricios de las lesiones lateroaórticas, dependientes de arteria lumbar izquierda a nivel de L2, así como ramas del tercio medio de la arteria mesentérica inferior, con desplazamiento anterior de arteria ovárica izquierda. Lesión lateroaórtica inferior con rama dependiente del tercio proximal de la arteria iliaca común izquierda. Lesiones a nivel de la pelvis con ramas dependientes de arteria iliaca interna derecha.

Después de la discusión con un equipo multidisciplinario, se decidió resolución quirúrgica. Se realizó pielografía ascendente y colocación de catéter doble J en uréter izquierdo para facilitar su identificación. Se realizó laparotomía exploradora, se movilizó el colon izquierdo con maniobra de Mattox para lograr acceder al retroperitoneo. Se realizó disección, encontrando tumor aproximadamente 16 × 7 cm, lobulado, de consistencia ahulada (Figura 2). Se encontró en relación estrecha con aorta y arteria iliaca izquierda en su cara medial, región lateral en relación con uréter izquierdo, el cual se identificó y lateralizó (Figura 3). Polo superior del tumor en relación con arteria ovárica, la cual se visualiza desplazada. Se liga y corta. Se identifica dependencia del tumor del músculo psoas, el cual se separa con bisturí armónico. Se encuentra vaso tributario proveniente de arteria lumbar y arteria mesentérica inferior, se realiza control vascular y se extrae tumor.

La paciente presentó una adecuada evolución postoperatoria, y fue dada de alta en su quinto día postoperatorio.

En el reporte de histopatología se reportó TFS, grado histológico (French Fédération Nationale des Centres de Lutte Contre le Cancer, FNCLCC) 1, con una mitosis por 10 campos de alto poder, sin necrosis. Inmunohistoquímica positiva para STAT6, BCL-2 y receptor de progesterona. Negativo para PAX-8 y CKAE1-3.



DISCUSIóN

Los TFS son un grupo de tumores de células fibroblásticas mesenquimales, cuyo sitio primario más común es intratorácico.1 Sin embargo, en reportes recientes se ha documentado una frecuencia más elevada de TFS intraabdominales de hasta 34% en una serie de 110 casos.2 El involucro visceral (en especial hepático y sistema genitourinario) puede existir, aunque es raro.3 Se ha visto que tiene una frecuencia parecida entre hombres y mujeres. La edad más frecuente de diagnóstico es entre la quinta y sexta décadas de la vida. A la fecha, no se han identificado factores de riesgo o factores asociados al TFS.4 La presentación clínica depende de la localización del tumor, en los casos de TFS intratorácico, el paciente puede presentar síntomas no específicos pulmonares, como tos, disnea y dolor torácico; sin embargo, los TFS extratorácicos se suelen presentar de forma asintomática. También pueden presentar síntomas de compresión, dependiendo del tamaño y localización del tumor. Si existe compresión de la vejiga, se puede presentar como retención urinaria, o en casos de compromiso del retorno venoso, puede haber trombosis venosa profunda.4-6 En casos en los que el tumor se encuentra superficial, éste se presenta como una masa palpable, esto es más frecuente en extremidades o en pared abdominal.5 En específico, la gran mayoría de los TFS retroperitoneales son asintomáticos o con síntomas no específicos como dolor abdominal, aumento de la circunferencia abdominal o pérdida de peso.7 Aproximadamente 5% de los TFS extratorácicos pueden presentar hipoglucemia; esto se da por la producción de factor de crecimiento insulínico tipo 2, lo cual se conoce como síndrome de Doege-Potter. Se ha visto que esta presentación se relaciona a un peor pronósitco.4,5,8

El diagnóstico se hace con estudios de imagen de manera más frecuente como hallazgo incidental. En una tomografía con contraste se va a ver un tumor hipervascular, bien circunscrito, frecuentemente lobulado, con áreas grandes de necrosis (en especial en tumores grandes). La biopsia es necesaria para establecer el diagnóstico. La toma de ésta depende de la localización del tumor, una biopsia abierta o biopsia por punción son preferibles a biopsia por aspiración de aguja final. Las biopsias guiadas por radiología intervencionista pueden ser útiles en tumores profundos, como es el caso reportado.4 Por histopatología, estos tumores son lesiones bien circunscritas de células fusiformes, sin atipia, con combinación de áreas con hipercelularidad e hipocelularidad, separado por bandas gruesas de colágena hialinizada. La identificación de marcadores tumorales mejora la precisión diagnóstica, 90-95% de los casos son positivos a CD34;5 sin embargo, es poco específico. Otros marcadores como vimentina, CD99, BCL2 y EMA (antígeno epitelial de membrana) presentan expresión variable.4

El tratamiento de esta patología consiste en una resección quirúrgica en bloque, márgenes microscópicos negativos (RO). La obtención de márgenes negativos requiere de una planeación quirúrgica individualizada, con adecuada visualización de estructuras involucradas. Es importante obtener márgenes negativos, ya que aunque se considera un tumor benigno, existe el riesgo de malignidad.1,3,4 Estos tumores suelen tener una pseudocápsula, una membrana delgada, translúcida, que puede contener lesiones satélite pequeñas. Si la cápsula no se reseca en su totalidad, estas pequeñas lesiones pueden desarrollarse en recurrencia local.5 Gold y colaboradores reportaron la presencia de márgenes microscópicos positivos en 40% de recurrencias locales y en 75% de metástasis.1 Existen múltiples estudios que han valorado la utilización de quimioterapia y radioterapia; sin embargo, dada la baja tasa de malignidad, no se ha comprobado su utilidad.4 Existen reportes de la utilidad de radioterapia neoadyuvante para reducir el tamaño del tumor, y después realizar una resección quirúrgica completa.5

Una escala de riesgo de metástasis propuesta por Demicco y su equipo (Tabla 1) incluye la edad del paciente, tamaño del tumor y presencia de mitosis al momento del estudio histopatológico. Con estos datos, se divide en riesgo bajo, moderado y alto. El riesgo de metástasis en el grupo de riesgo bajo es de 0%, mientras que el riesgo en el grupo moderado es de 23% a cinco años, y de 85% en grupo de riesgo alto. A 10 años, el riesgo de desarrollar metástasis en grupos de riesgo moderado y alto son de 36 y 100% respectivamente.2

Otro factor predictor de recurrencia utilizado en los TFS es la histopatología maligna, definida por England y su equipo como hipercelularidad, > 4 figuras mitóticas por campo de alto poder, pleomorfismos/atipia, patrón infiltrativo, necrosis o hemorragia. Tumores que cumplen con estos criterios tienen un 55% de recurrencia, metástasis o invasión; sin embargo, estos criterios no se hicieron específicamente para TFS.9 Wilky y colaboradores reportan una mayor incidencia de recurrencia en TFS extratorácicos, de igual forma, reporta que los TFS extratorácicos presentan de manera más frecuente características histológicas atípicas. En este estudio, no se vio relación entre el tamaño y en la recurrencia, pero sí existió una relación positiva entre el tamaño y los hallazgos histopatológicos de mal pronóstico.10

La vigilancia posterior a la resección quirúrgica es esencial; sin embargo, no hay guías que especifiquen el tipo de seguimiento que se les tiene que dar a estos casos. El seguimiento se debe individualizar de acuerdo con los hallazgos intraoperatorios y características del paciente. Se ha propuesto que el seguimiento sea de por vida, ya que las metástasis pueden aparecer de forma tardía.4



CONCLUSIONES

El tumor fibroso solitario retroperitoneal es un tumor relativamente infrecuente, que se presenta de forma indolente. El tratamiento debe ser quirúrgico, con una resección con márgenes negativos. Aunque se considera como un tumor en general benigno, existen diferentes datos que sugieren malignidad, prediciendo recurrencia o metástasis a distancia. Utilizando la escala de riesgo de metástasis propuesta por Demicco y su grupo en el caso presentado, la paciente tiene un puntaje de 5, lo cual confiere un riesgo alto de metástasis. El seguimiento es esencial para poder detectar recurrencia de forma temprana y poder así realizar un tratamiento oportuno.


REFERENCIAS (EN ESTE ARTÍCULO)

  1. Gold JS, Antonescu CR, Hajdu C, Ferrone CR, Hussain M, Lewis JJ et al. Clinicopathologic correlates of solitary fibrous tumors. Cancer. 2002; 94 (4): 1057-1068.

  2. Demicco EG, Park MS, Araujo DM, Fox PS, Bassett RL, Pollock RE et al. Solitary fibrous tumor: a clinicopathological study of 110 cases and proposed risk assessment model. Moden Pathology. 2012; 25 (9): 1298-1306. Available in: https://doi.org/10.1038/modpathol.2012.83

  3. Moran CA, Ishak KG, Goodman ZD. Solitary fibrous tumor of the liver: a clinicopathologic and immunohistochemical study of nine cases. Ann Diagn Pathol. 1998; 2 (1): 19-24. Available in: https://doi.org/10.1016/s1092-9134(98)80031-2

  4. Davanzo B, Emerson RE, Lisy M, Koniaris LG, Kays JK. Solitary fibrous tumor. Transl Gastroenterol Hepatol. 2018; 3: 94. Available in: https://doi.org/10.21037/tgh.2018.11.02

  5. Kayani B, Sharma A, Sewell MD, Platinum J, Olivier A, Briggs T et al. A review of the surgical management of extrathoracic solitary fibrous tumors. Am J Clin Oncol. 2018; 41 (7): 687-694. Available in: https://doi.org/10.1097/COC.0000000000000348

  6. Li J, Li J, Xiong Y, Xu T, Xu J, Li Q, Yang G. Atypical/malignant solitary fibrous tumor of the pancreas with spleen vein invasion: case report and literature review. Medicine. 2020; 99 (17): e19783. Available in: https://doi.org/10.1097/MD.0000000000019783

  7. Rajeev R, Patel M, Jayakrishnan TT, Johnston FM, Bedi M, Charlson J et al. Retroperitoneal solitary fibrous tumor: surgery as first line therapy. Clin Sarcoma Res. 2015; 5: 19. Available in: https://doi.org/10.1186/s13569-015-0034-y

  8. Yi B, Bewtra C, Yussef K, Silva E. Giant pelvic solitary fibrous tumor obstructing intestinal and urinary tract: a case report and literature review. Am Surg. 2007; 73 (5): 478-480.

  9. England DM, Hochholzer L, McCarthy MJ. Localized benign and malignant fibrous tumors of the pleura. A clinicopathologic review of 223 cases. Am J Surg Pathol. 1989; 13 (8): 640-658. Available in: https://doi.org/10.1097/00000478-198908000-00003

  10. Wilky BA, Montgomery EA, Guzzetta AA, Ahuja N, Meyer CF. Extrathoracic location and "borderline" histology are associated with recurrence of solitary fibrous tumors after surgical resection. Ann Surg Oncol. 2013; 20 (13): 4080-4089. Available in: https://doi.org/10.1245/s10434-013-3241-x



AFILIACIONES

1 Médico residente de cirugía general. Centro Médico ABC, Ciudad de México.

2 Cirugía oncológica. Centro Médico ABC, Ciudad de México.



CORRESPONDENCIA

Ana Rivera García Granados. E-mail: arivera.gg@gmail.com




Recibido: 09/09/2021. Aceptado: 16/11/2021.

Figura 1
Figura 2
Figura 3
Tabla 1

2020     |     www.medigraphic.com

Mi perfil

C?MO CITAR (Vancouver)

An Med Asoc Med Hosp ABC. 2021;66

ARTíCULOS SIMILARES

CARGANDO ...