medigraphic.com
ENGLISH

Acta Ortopédica Mexicana

ISSN 2992-8036 (Digital)
ISSN 2306-4102 (Impreso)
Órgano Oficial del Colegio Mexicano de Ortopedia y Traumatología
  • Mostrar índice
  • Números disponibles
  • Información
    • Información general        
    • Directorio
  • Publicar
    • Instrucciones para autores        
  • medigraphic.com
    • Inicio
    • Índice de revistas            
    • Registro / Acceso
  • Mi perfil

2021, Número 4

<< Anterior Siguiente >>

Acta Ortop Mex 2021; 35 (4)


Lesiones de Lisfranc: repercusión clínico-funcional

Calle-García, JA1; Pedemonte-Parramon, G1; Matas, M1; Albertí, G1
Texto completo Cómo citar este artículo 10.35366/103309

DOI

DOI: 10.35366/103309
URL: https://dx.doi.org/10.35366/103309
Artículos similares

Idioma: Español
Referencias bibliográficas: 21
Paginas: 311-316
Archivo PDF: 225.78 Kb.


PALABRAS CLAVE

Lisfranc, baja energía, lesión laboral, lesión deportiva, tratamiento.

RESUMEN

Objetivo: Valoración clínica-funcional de pacientes con lesión de Lisfranc sin causa laboral ni deportiva tratados en nuestro centro. Material y métodos: Se analizaron 13 pacientes con lesión de Lisfranc sin causa laboral ni deportiva, divididos en dos grupos, lesiones de alta energía y de baja energía. Valoración del retorno a la actividad laboral y deportiva previa a la lesión y el uso de calzado y plantillas posteriormente. Se recogen las puntuaciones del test AOFAS y EVA postoperatorio así como la aparición de complicaciones posteriores a la recuperación de la lesión. Resultados: El grupo de alta energía lo formaron siete pacientes que fueron intervenidos en una media de 7.3 días; cuatro presentaron secuelas postquirúrgicas. De estos pacientes, un paciente no pudo reincorporarse a su actividad laboral previa y dos pacientes no pudieron realizar el deporte que practicaban previamente a la lesión. El AOFAS fue de 79.4 y el EVA de 2.8. En el grupo de baja energía encontramos seis pacientes intervenidos en 5.6 días de media. Todos ellos pudieron reincorporarse a su actividad laboral y deportiva previa. El AOFAs fue de 84.8 y el EVA de 1.6. En ninguna de las variables estudiadas se observaron diferencias estadísticamente significativas. Conclusión: Los pacientes con lesión de Lisfranc fuera del ámbito laboral y deportivo presentan buenos resultados clínicos y funcionales.



INTRODUCCIóN

Las lesiones del complejo articular de Lisfranc son poco frecuentes, con una incidencia aproximada de 0.2% de todas las fracturas del esqueleto.1 Se componen de lesiones que pueden afectar tanto a las partes blandas como a las estructuras óseas de las articulaciones tarsometatarsianas, intercuneiformes, cubocuneiformes y naviculocuneiformes. Es una zona especialmente vulnerable a lesionarse debido a su poca estabilidad tanto dinámica como estática y las afectaciones descritas van desde las lesiones ligamentosas puras a las fracturas o las disociaciones articulares.2

Existen diferentes mecanismos de producción, pero en la literatura suelen estar divididos en dos grupos, los pacientes que se lesionan realizando actividades de alta energía y los que lo hacen en actividades de baja energía.3 Las lesiones de alta energía suelen ser debidas principalmente a accidentes de tráfico o a aplastamientos durante determinadas actividades laborales. Las lesiones de baja energía suelen ser en el contexto de accidentes deportivos o tras caídas casuales de poca altura en el domicilio o en la vía pública.2,4,5,6,7,8

Son lesiones que con cierta frecuencia pasan desapercibidas en la primera atención en urgencias; esta omisión conlleva un retraso en el diagnóstico y el consiguiente tratamiento, situación que puede asociarse a complicaciones a largo plazo.2,4,9,10

El tratamiento quirúrgico es el estándar de oro en las lesiones de Lisfranc desplazadas o inestables. El objetivo de éste es restaurar la anatomía y así recuperar la funcionalidad previa y evitar en lo posible la degeneración articular. Será importante individualizar cada caso, pero las técnicas propuestas abarcan desde la reducción abierta o cerrada, asociada a fijación interna, hasta la artrodesis primaria. La bibliografía refleja resultados funcionales diferentes para las lesiones de Lisfranc en función de los distintos mecanismos lesionales y los tratamientos practicados.2,5 El objetivo de nuestro estudio fue realizar una valoración clínica y funcional postoperatoria de una serie de pacientes con esta lesión producida fuera del ámbito laboral y deportivo. Se dividirán los pacientes entre mecanismo de alta y de baja energía y se compararán los resultados entre ellos, incluida la interferencia que la lesión produce en la actividad laboral y/o deportiva de los mismos. En segundo lugar, se contrastarán nuestros dos grupos con los resultados reportados en la literatura sobre las lesiones de Lisfranc en el contexto de los accidentes laborales y deportivos.



MATERIAL Y MéTODOS

Serie de casos retrospectiva de 13 pacientes con lesión del complejo articular de Lisfranc en contexto no laboral ni deportivo, diagnosticada en urgencias de nuestro centro hospitalario durante Enero de 2007 y Diciembre de 2017.

Se dividió a los pacientes en dos grupos, un grupo correspondía a accidente de alta energía y el segundo a baja energía. Se definió como alta energía aquellos pacientes que presentaron la lesión tras un accidente de circulación y baja energía como aquellas lesiones tras una caída de su propia altura o mecanismos de entorsis del pie.

Definimos la lesión de Lisfranc como una lesión articular tarsometatarsiana con fracturas por avulsión, fracturas intraarticulares o desplazamiento de la articulación tarsometatarsiana. La lesión fue objetivada mediante radiografías simples en la sala de urgencias de nuestro centro.

Todos los pacientes de nuestra serie fueron tratados quirúrgicamente por el cirujano ortopédico de guardia mediante dos técnicas quirúrgicas diferentes: reducción cerrada con fijación interna y reducción abierta con fijación interna. Se utilizó una técnica quirúrgica u otra según el criterio del cirujano y los criterios de inestabilidad y reductibilidad de la lesión. Se utilizó en todas las intervenciones isquemia así como profilaxis antibiótica hasta las 24 horas postcirugía con cefazolina 2 g iv. Se realizó también profilaxis antitrombótica mediante heparina de bajo peso molecular durante el período de inmovilización que fue en todos los casos de ocho semanas, las primeras cuatro semanas con yeso y más tarde con una ortesis tipo rom walker. Posteriormente fueron sometidos al mismo protocolo de rehabilitación.

Las variables estudiadas se dividieron en preoperatorias y postoperatorias. Las variables preoperatorias fueron: edad, sexo, mecanismo de lesión, tipo de lesión, tiempo hasta la cirugía, actividad laboral y deportiva previa a la lesión.

Para llevar a cabo la evaluación clínica y funcional postoperatoria, los pacientes fueron citados en nuestras consultas y se registraron las siguientes variables: EVA, AOFAS, secuelas postquirúrgicas, tipo de zapato utilizado, necesidad de usar plantillas, incorporación laboral y deportiva. En la visita postoperatoria también se practicó un estudio radiográfico mediante la realización de radiografías de pie anteroposterior y lateral en carga para evaluar la reducción postquirúrgica de la lesión de Lisfranc, la estabilidad de la articulación así como posibles secuelas estructurales.

El análisis de los datos se llevó a cabo mediante un estudio estadístico descriptivo. Se realizó la prueba de χ2 y test de Fischer para el tratamiento de los datos en tabla de contingencia. En todos los análisis se consideraron estadísticamente significativas las diferencias con una p < 0.05. El software empleado fue SPSS versión 24.

El estudio fue aprobado por el comité de ética científico de nuestro centro y se desarrolló según las normas de la buena práctica clínica de la Declaración de Helsinki.



RESULTADOS

De los 13 pacientes de nuestra serie, 54% eran hombres, con una edad media de 35.5 años y 46% eran mujeres con una edad media de 58.5 años.

En el grupo de pacientes de alta energía obtuvimos siete casos, de los cuales seis eran hombres. La media de edad del grupo fue 33.7 años. En este grupo, seis pacientes eran laboralmente activos y cuatro realizaban algún tipo de deporte. En el grupo de mecanismo de baja energía obtuvimos seis casos, de los cuales cinco eran mujeres. La edad media del grupo es de 60.3 años. En este grupo estudiado, cuatro pacientes desempeñaban alguna actividad laboral y dos realizaban algún tipo de deporte.

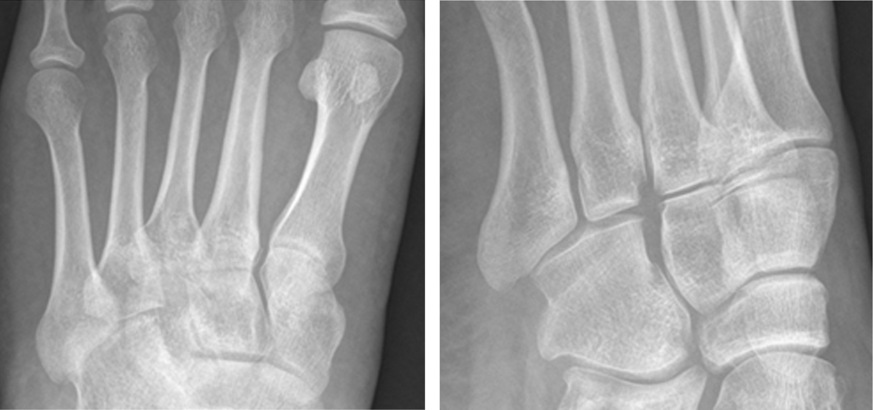
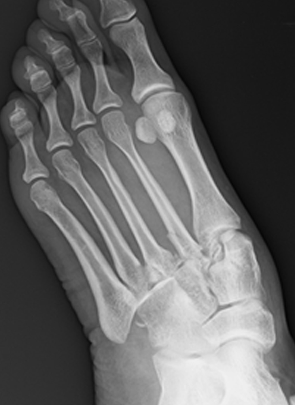
En cuanto al tipo de lesión, en el grupo de alta energía se observaron seis fracturas-luxación y una lesión ligamentosa pura. En el grupo de baja energía encontramos cuatro fracturas-luxación, una lesión ligamentosa pura y una lesión ósea pura (Figuras 1 y 2).

Todos los pacientes fueron intervenidos. En el grupo de alta energía la cirugía se demoró una media de 7.3 días y se practicó reducción abierta y fijación interna en cuatro casos y reducción cerrada con fijación interna en tres casos. En el grupo de baja energía la cirugía se realizó en una media de 5.6 días después de la lesión y se practicó reducción cerrada y fijación interna en cinco casos y sólo en un caso se requirió reducción abierta.

En la Tabla 1 se recogen los resultados preoperatorios y quirúrgicos.

En siete pacientes se presentaron secuelas postquirúrgicas, cuatro en el grupo de alta energía y tres en el de baja energía. De los cuatro casos del primer grupo, dos presentaban cojera; en un paciente la cojera no interfirió en la incorporación laboral y deportiva y en el otro caso sólo condicionó la vida deportiva. El tercer paciente mostraba dolor que no limitó su incorporación laboral (no practicaba deporte) y el cuarto caso desarrolló un síndrome de dolor regional complejo que condujo a una restricción tanto laboral como deportiva. Los pacientes del grupo de baja energía presentaron un caso de dolor sin limitación posterior para el trabajo habitual (no practicaba deporte), un paciente con rigidez significativa del pie sin dolor asociado ni limitación para sus actividades y un caso de deformidad en pie plano debido a la pérdida del arco metatarsal, que tampoco provocó ninguna restricción en sus actividades habituales. Cabe reseñar que estos dos últimos pacientes no eran activos ni laboral ni deportivamente.

Los pacientes del grupo de alta energía presentaron un EVA postoperatorio medio de 2.8 y el grupo de baja energía un EVA de 1.6. El AOFAS postoperatorio medio del grupo de alta energía fue de 79.4 y en el grupo de baja energía fue de 84.8.

En cuanto al uso de calzado específico, cuatro pacientes de ambos grupos precisan zapato cómodo. Un paciente de alta energía y cuatro del grupo de baja energía necesitan plantillas para deambular.

Tal y como se ha explicado en el apartado de secuelas, un paciente del grupo de alta energía no pudo incorporarse a su actividad laboral habitual después de la lesión. En cuanto a la actividad deportiva, dos pacientes del grupo de alta energía encontraron dificultad para practicar el deporte con la intensidad que realizaban previamente a la lesión. En el grupo de baja energía, ningún paciente tuvo problemas para su incorporación laboral y/o deportiva.

En la Tabla 2 se recogen los resultados postoperatorios.

El análisis estadístico demostró que no hay diferencias significativas entre los grupos en ninguna de las variables analizadas, tanto las demográficas como los resultados postoperatorios.



DISCUSIóN

La lesión aislada del complejo articular de Lisfranc es poco frecuente; según series representa una proporción de 1/5,500 fracturas o 1/60,000 habitantes/año, cifras que se traducen en una incidencia de 0.2% de todas las fracturas del esqueleto y 9% del total de fracturas de los metatarsianos. Además, en muchos casos se producen en el contexto de pacientes politraumatizados, situación que conlleva a un retraso en el diagnóstico y por tanto, en el tratamiento. En los últimos años se ha observado un aumento en la incidencia de esta lesión debido a la intensificación de la práctica deportiva en la sociedad.1,6,9

Nuestra serie se ha dividido en los dos mecanismos lesionales referidos en la literatura. Tras ello obtenemos dos grupos poblacionales muy diferentes. El primer grupo es predominantemente de sexo masculino, con una edad media cerca de los 35 años y cuya causa fundamental es el accidente de tráfico. El segundo grupo lo componen principalmente pacientes de sexo femenino con una edad media de 60 años, cuyas lesiones son debidas a caídas casuales. El grupo de baja energía de nuestra casuística difiere del descrito por la mayoría de los trabajos, donde predomina el sexo masculino, la década de los 30 años y los accidentes deportivos.1,6,11 Renninger y colaboradores12 concluyen que los pacientes de los dos grupos lesionales no tienen diferencias demográficas; predomina el sexo masculino sobre el femenino (80 vs 20%), la edad media es de 28 años y de los 80 pacientes estudiados 64 son activos. Esta clara diferencia demográfica se explica porque nuestro grupo de baja energía está constituido por pacientes sedentarios (sólo dos de seis hacían deporte) y todos los traumatismos son caídas casuales. La explicación creemos que reside en las características de nuestro hospital (público, tercer nivel), donde se atienden pocos accidentes deportivos.

Respecto la incidencia entre alta y baja energía, nuestra serie se reparte en 53.9% y 46.1%, respectivamente. Estas cifras son parecidas a las publicadas en la literatura. En un trabajo clásico de Vuori y su equipo13 se encontró que las lesiones por baja energía son tan frecuentes como las de alta energía (21 vs 22, respectivamente). En una revisión más reciente y de más de 2,000 casos se establecía que 43% se producía tras accidentes de tráfico, 13% eran por aplastamientos y 10% durante alguna actividad deportiva.14 En otras series se divide la incidencia entre 40-50% debido a accidentes de tráfico y 30-40% por caídas desde la propia altura.4,15 Sin embargo, un estudio reciente de Stodle, y colaboradores16 concluye que los mecanismos de baja energía son más frecuentes de lo esperado y sólo atribuye a los mecanismos de alta energía 31% de las lesiones.

A pesar de tratarse de dos mecanismos lesionales distintos así como de dos perfiles poblacionales tan diferentes entre ellos, no encontramos diferencias significativas entre los dos grupos respecto a los resultados postoperatorios. Ambos grupos presentaron buenos resultados tras la cirugía tanto a nivel clínico como funcional. Prueba de ello es que la mayoría de los pacientes pudieron reincorporarse a su vida laboral previa (trabajaban 10/13 y se reincorporaron nueve/13) y su vida deportiva previa (hacían deporte seis de 13 y se reincorporaron sin limitaciones cuatro de 13). No obstante, puede sorprender que a pesar de obtener una alta tasa de incorporación, una puntuación AOFAS alta (media de 81) y un EVA bajo (media de 2.2), la mitad de los pacientes de nuestra serie presenta algún tipo de secuela. Creemos que puede deberse a que en su mayoría se trata de pacientes con baja demanda funcional, quienes para realizar sus actividades diarias, incluidas las laborales y/o deportivas, no presentan limitación alguna. En la literatura encontramos resultados parecidos a los nuestros en el trabajo de Dubois-Ferriere y colaboradores17 publicado en 2016, quienes revisaron de manera retrospectiva 61 pacientes tratados quirúrgicamente, con un seguimiento medio de 10.9 años. La mayoría pudo volver a su ocupación anterior con el mismo nivel de función. El AOFAS medio fue de 79 puntos y el EVA de 2.5. A pesar de estos buenos resultados observaron algún signo de artrosis en 72% de los casos siendo 54% de ellos sintomáticos.

Clásicamente es una lesión que ha reportado malos resultados postoperatorios en la literatura, aunque el tratamiento quirúrgico ha hecho que tales resultados hayan mejorado.7,10 En nuestra serie todos los pacientes fueron intervenidos. El tiempo medio hasta la cirugía fue de 6.4 días desde la lesión. Muchos trabajos apoyan este tiempo de espera y recomiendan operar entre la primera y segunda semana, una vez que han mejorado las partes blandas.5,7,8

El objetivo secundario de nuestro estudio fue comparar nuestros resultados con los reportados tras accidentes laborales y deportivos. Respecto el ámbito laboral, existen pocas referencias y describen resultados peores que los de nuestra serie. Sólo hemos encontrado el trabajo de Wagner y colaboradores,11 donde presentan una incorporación laboral precoz (siete semanas de media) y satisfactoria. Calder y su equipo10 analizaron el efecto de las compensaciones económicas en pacientes que habían sufrido una lesión de Lisfranc en contexto laboral. De los 46 pacientes con lesiones de Lisfranc estudiados, 13 no pudieron volver a su trabajo anterior. Los autores observaron que los pacientes pendientes de compensaciones mostraban peores resultados clínicos y funcionales respecto al resto de pacientes, independientemente de otros factores analizados. A su vez, observaron que aquellos pacientes en los que se había retrasado el diagnóstico y el tratamiento de la lesión también tuvieron peores resultados. En el mismo sentido de este artículo, Garcia-Renedo y colegas9 presentaron un trabajo con resultados similares. Analizaron el resultado de 83 pacientes según criterios quirúrgicos, radiológicos y mecanismo de lesional. Encontraron diferencias en función del grado de desplazamiento, desde la demora hasta la cirugía y de la gravedad de la lesión. Otro dato remarcable del estudio y de acuerdo con los resultados de Calder y colaboradores, los pacientes que recibieron una indemnización económica y que representaron 49.4%, obtuvieron peores resultados.

La literatura sobre lesiones deportivas de la articulación de Lisfranc es más extensa, ahora bien, la mayoría de los artículos analizan población deportista profesional. Los resultados de estos artículos globalmente son buenos, estableciendo tiempos de incorporación entre los seis meses18 y el año,19 dependiendo del deporte. Hay pocos estudios sobre la incorporación deportiva en población no profesional y los resultados, al igual que en nuestra casuística, son relativamente buenos. En el trabajo ya mencionado de Wagner y colaboradores11 se presentaron los resultados de 22 pacientes intervenidos de lesiones producidas por mecanismos de baja energía. El AOFAS medio postoperatorio fue de 94 puntos, la incorporación a las actividades recreativas a las 7.2 semanas, a los entrenamientos a las 7.6 y al deporte sin síntomas a las 12.4 semanas. MacMahon y su equipo20 evaluaron la vuelta al deporte tras artrodesis primarias en 38 pacientes jóvenes (31.8 años). De los pacientes, 97% estaban satisfechos con el resultado de la cirugía, 64% pudo realizar la misma actividad física, 11% mejoró y 25% disminuyó. Recientemente, Mora y colegas21 llevaron a cabo un estudio sobre la recuperación del deportista recreacional después de la lesión de Lisfranc. Es interesante observar que los resultados obtenidos son similares a los que detectamos en nuestra población, ya que se obtiene un AOFAS medio de 87.1 puntos y 94% de los pacientes vuelven a practicar el deporte de forma recreacional.

Un punto interesante de nuestro estudio es que establece un subgrupo de pacientes afectados de lesiones de Lisfranc por baja energía, aparte de los deportistas, que no es descrito en la literatura. Se trata de pacientes predominantemente mujeres, alrededor de los 60 años, sedentarias y cuyo traumatismo es producido por una caída en el domicilio o la vía pública. Son lesiones que fácilmente pueden no diagnosticarse debido a que el mecanismo lesional no genera sospecha de una lesión tan grave.

Ahora bien, nuestro trabajo presenta principalmente dos limitaciones. En primer lugar, es un estudio retrospectivo. En segundo lugar, la muestra es muy pequeña, no tenemos resultados que permitan darnos conclusiones entre los dos grupos. Además, no podemos realizar subdivisiones en los dos grupos en función del tipo concreto de lesión del complejo de Lisfranc. Por supuesto siempre es deseable hacer un estudio, de preferencia prospectivo, con mayor número de pacientes donde puedan evaluarse más variables y realizarse un estudio comparativo entre los dos diferentes mecanismos de lesión del que se obtengan conclusiones.



CONCLUSIóN

En nuestro estudio, los pacientes obtienen buenos resultados clínicos y funcionales postoperatorios, pero con un número significativo de complicaciones. Presentamos una proporción similar de lesiones de alta y baja energía, sin diferencias en los resultados postoperatorios entre ellos.

Secundariamente concluimos que los resultados de nuestra muestra presentan mejores resultados postoperatorios respecto al ámbito laboral y similares al ámbito deportivo no profesional.


REFERENCIAS (EN ESTE ARTÍCULO)

  1. Desmond EA, Chou LB. Current concepts review: Lisfranc injuries. Foot Ankle Int. 2006; 27(8): 653-60. Available in: https://doi.org/10.1177/107110070602700819

  2. Clare MP. Lisfranc injuries. Curr Rev Musculoskelet Med. 2017; 10(1): 81-5. Available in: https://doi.org/10.1007/s12178-017-9387-6

  3. Richter M, Wippermann B, Krettek C, Schratt HE, Hufner T, Thermann H. Fractures and fracture dislocations of the midfoot: occurrence, causes and long-term results. Foot Ankle Int. 2001; 22(5): 392-8. Available in: https://doi.org/10.1177/107110070102200506

  4. Stavlas P, Roberts CS, Xypnitos FN, Giannoudis PV. The role of reduction and internal fixation of Lisfranc fracture-dislocations: a systematic review of the literature. Int Orthop. 2010; 34: 1083-91. Available in: https://doi.org/10.1007/s00264-010-1101-x

  5. Eleftheriou KI, Rosenfeld PF. Lisfranc injury in the athlete: evidence supporting management from sprain to fracture dislocation. Foot Ankle Clin. 2013; 18(2): 219-36. Available in: http://dx.doi.org/10.1016/j.fcl.2013.02.004

  6. Welck MJ, Zinchenko R, Rudge B. Lisfranc injuries. Injury. 2015; 46(4): 536-41. Available in: http://dx.doi.org/10.1016/j.injury.2014.11.026

  7. Lewis Jr JS, Anderson RB. Lisfranc injuries in the athlete. Foot Ankle Int. 2016; 37(12): 1374-80. Available in: https://doi.org/10.1177/1071100716675293

  8. Llopis E, Carrascoso J, Iriarte I, de Prado Serrano M, Cerezal L. Lisfranc injury imaging and surgical management. Semin Musculoskelet Radiol. 2016; 20(2): 139-53. Available in: http://dx.doi.org/ 10.1055/s-0036-1581119

  9. García-Renedo RJ, Carranza-Bencano A, Leal-Gómez R, Cámara-Arrigunaga F. Análisis de las complicaciones en pacientes con fractura-luxación de Lisfranc. Acta Ortopédica Mexicana. 2016; 30(6): 284-90.

  10. Calder JD, Saxby TS, Whitehouse SL. Results of isolated Lisfranc injuries and the effect of compensation claims. J Bone Joint Surg Br. 2004; 86(4): 527-30.

  11. Wagner E, Ortiz C, Villalón IE, Keller A, Wagner, P. Early weight-bearing after percutaneous reduction and screw fixation for low-energy lisfranc injury. Foot Ankle Int. 2013; 34(7): 978-83. Available in: https://doi.org/10.1177/1071100713477403

  12. Renninger CH, Cochran G, Tompane T, Bellamy J, Kuhn K. Injury characteristics of low-energy Lisfranc injuries compared with high-energy injuries. Foot Ankle Int. 2017; 38(9): 964-9. Available in: https://doi.org/10.1177/1071100717709575

  13. Vuori JP, Aro HT. Lisfranc joint injuries: trauma mechanisms and associated injuries. J Trauma. 1993; 35(1): 40-5. Available in: https://doi.org/10.1097/00005373-199307000-00007

  14. Lievers WB, Frimenko RE, Crandall JR, Kent RW, Park JS. Age, sex, causal and injury patterns in tarsometatarsal dislocations: a literature review of over 2000 cases. The Foot. 2012; 22(3): 117-24. https://doi.org/10.1016/j.foot.2012.03.003

  15. Thompson MC, Mormino MA. Injury to the tarsometatarsal joint complex. J Am Acad Orthop Surg. 2003; 11(4): 260-7. Available in: https://doi.org/10.5435/00124635-200307000-00005

  16. Stodle AH, Hvaal KH, Enger M, Brogger H, Madsen JE, Husebye EE. Lisfranc injuries: Incidence, mechanisms of injury and predictors of instability. Foot Ankle Surg. 2019; Available in: https://doi.org/10.1016/j.fas.2019.06.002

  17. Dubois-Ferriere V, Lu?bbeke A, Chowdhary A, Stern R, Dominguez D, Assal M. Clinical outcomes and development of symptomatic osteoarthritis 2 to 24 years after surgical treatment of tarsometatarsal joint complex injuries. J Bone Joint Surg Am. 2016; 98: 713-20. Available in: https://doi.org/10.2106/JBJS.15.00623

  18. Deol RS, Roche A, Calder JD. Return to training and playing after acute Lisfranc injuries in elite professional soccer and rugby players. Am J Sports Med. 2016; 44(1): 166-70. Available in: https://doi.org/10.1177/0363546515616814

  19. McHale KJ, Rozell JC, Milby AH, Carey JL, Sennett BJ. Outcomes of Lisfranc injuries in the National Football League. Am J Sports Med. 2016; 44(7): 1810-7. Available in: https://doi.org/10.1177/0363546516645082

  20. MacMahon A, Kim P, Levine DS, Burket J, Roberts MM, Drakos MC, et al. Return to sports and physical activities after primary partial arthrodesis for Lisfranc injuries in young patients. Foot Ankle Int. 2016; 37(4): 355. Available in: https://doi.org/10.1177/1071100715617743

  21. Mora AD, Kao M, Alfred T, Shein G, Ling J, Lunz D. Return to sports and physical activities after open reduction and internal fixation of Lisfranc injuries in recreational athletes. Foot Ankle Int. 2018; 39(7): 801-7. Available in: https://doi.org/10.1177/1071100718765176



AFILIACIONES

1 Servicio de Cirugía Ortopédica y Traumatología, Hospital Universitari Germans Trias i Pujol, Badalona, Barcelona, España.



Conflicto de intereses: Los autores declaran no tener ningún conflicto de intereses.

Financiación: La presente investigación no ha recibido ayudas específicas provenientes de agencias del sector público, sector comercial o entidades sin ánimo de lucro.



NIVEL DE EVIDENCIA

IV



CORRESPONDENCIA

Juan Antonio Calle-García. E-mail: jcallegarc@gmail.com




Recibido: 07-08-2020. Aceptado: 20-08-2021.

Figura 1
Figura 2
Tabla 1
Tabla 2

2020     |     www.medigraphic.com

Mi perfil

C?MO CITAR (Vancouver)

Acta Ortop Mex. 2021 Jul-Ago;35

ARTíCULOS SIMILARES

CARGANDO ...