medigraphic.com
ENGLISH

Latin American Journal of Oral and Maxillofacial Surgery

ISSN 2992-7757 (Digital)
Órgano de difusión de la Asociación Latinoamericana de Cirugía y Traumatología Bucomaxilofacial (ALACIBU)
  • Mostrar índice
  • Números disponibles
  • Información
    • Información general        
    • Directorio
  • Publicar
    • Instrucciones para autores        
  • medigraphic.com
    • Inicio
    • Índice de revistas            
    • Registro / Acceso
  • Mi perfil

2022, Número 1

<< Anterior Siguiente >>

Lat Am J Oral Maxillofac Surg 2022; 2 (1)


Tumor odontogénico queratoquístico en el arco mandibular central. Una región inusual

Borim Pulino, Bianca de Fátima1; Capelli Guerra, Raphael2; Cunha Collini, Gabriel3; Cunha Collini, Guilherme4; Nastri de Luca, Daniel5; Hochuli Vieira, Eduardo6
Texto completo Cómo citar este artículo 10.35366/103406

DOI

DOI: 10.35366/103406
URL: https://dx.doi.org/10.35366/103406
Artículos similares

Idioma: Español
Referencias bibliográficas: 10
Paginas: 25-29
Archivo PDF: 269.97 Kb.


PALABRAS CLAVE

Quistes odontogénicos, tratamiento conservador, procedimientos quirúrgicos orales.

RESUMEN

El tumor odontogénico queratoquístico (TOQ), antes conocido como queratocisto odontogénico, tiene características únicas, como un comportamiento localmente agresivo, una alta tasa de recurrencia y un aspecto histológico distinto. El TOQ es una de las neoplasias odontogénicas más comunes de la mandíbula, representa alrededor de 12 y 14% de todos los quistes odontogénicos de la mandíbula. Su comportamiento presenta un potencial de destrucción local y extensión en los tejidos, un rápido crecimiento y una mayor tasa de recurrencia. El objetivo de este trabajo es describir un caso de TOQ en una paciente, quien a la exploración física intraoral reveló un abombamiento de las corticales óseas bucal y lingual, y un ligero diastema entre los dientes 31, 32 y 41. Se optó por la enucleación de la cápsula quística, que se realizó mediante legrado local y ostectomía periférica para la extirpación completa de la lesión, con el fin de minimizar las posibles recidivas. Creemos que para conseguir la menor morbilidad posible, las resecciones deben reservarse para las lesiones recurrentes múltiples y posiblemente en los casos sindrómicos. Sin embargo, para lograr la menor recurrencia, la enucleación con aplicación de solución de Carnoy o crioterapia, o la ostectomía periférica son el tratamiento de primera línea para los TOQs primarios.



INTRODUCCIóN

El TOQ se define como una neoplasia benigna, uniquística o multiquística, intraósea de los maxilares que se origina en la lámina dental o en el epitelio odontogénico primordial. El TOQ es una de las neoplasias odontogénicas más comunes de la mandíbula, representando alrededor de 12 y 14% de todos los quistes odontogénicos de los maxilares.2

Tiene predilección por la parte posterior de la mandíbula, con un pico de incidencia en pacientes de entre 10 y 30 años de edad y un ligero predominio masculino. Radiográficamente, la lesión tiene un aspecto radiolúcido unilocular o multilocular característico, rodeado de márgenes lisos y bordes escleróticos.3

Microscópicamente, el TOQ se caracteriza por una pared de tejido conectivo y un epitelio escamoso estratificado interno que contiene de ocho a 10 capas celulares de espesor, con una capa de células basales polarizadas, empalizadas y prominentes y una superficie queratinizada ondulada.4

Su comportamiento muestra una potencial destrucción local y de extensión a los tejidos, crecimiento rápido, mayor tasa de recurrencia y tendencia a la multiplicidad. Esto puede deberse a su activa proliferación epitelial, inducida por la resorción ósea, las prostaglandinas a través de las interleucinas (ILs) y el factor de necrosis tumoral, y las colagenasas activas en la pared quística.5,6

Aunque se han documentado varias terapias para el TOQ en la literatura, el enfoque aceptado sigue sin decidirse. Éstos van desde el método conservador, como la enucleación (con o sin legrado), la descompresión y la marsupialización, hasta los tratamientos agresivos que incluyen ostectomía periférica (con instrumentos rotatorios), crioterapia (con nitrógeno líquido), aplicación de la solución de Carnoy (que antes consistía en una mezcla de alcohol absoluto, cloroformo, ácido acético glacial y cloruro férrico; el cloroformo ya no se utiliza por su carcinogenicidad) y resección de la mandíbula. Todas las técnicas tienen objetivos similares: la erradicación del quiste y la reducción de los riesgos de recidiva y de morbilidad quirúrgica. Sin embargo, los resultados del tratamiento son difíciles de comparar, debido al pequeño tamaño de la muestra, su naturaleza retrospectiva, la falta de detalles del tratamiento y los periodos de seguimiento variables.7

Este artículo tiene como objetivo reportar un caso de tumor odontogénico queratoquístico en la mandíbula anterior y discutir los principales métodos de tratamiento quirúrgico descritos en la literatura.



CASO CLíNICO

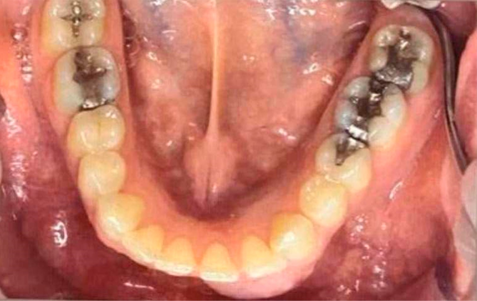
Mujer de 47 años, leucodermia, acude a la consulta de cirugía y traumatología bucomaxilofacial del Grupo Leforte refiriendo aumento de volumen en la región anterior de la mandíbula desde hace seis meses, con empeoramiento progresivo y desplazamiento de dientes. El examen físico intraoral reveló un abultamiento de las corticales óseas bucal y lingual, así como un ligero diastema entre los dientes 31, 32 y 41 (Figura 1).

Se solicitó una tomografía computarizada de la cara, en la que se presentó una lesión hiperdensa unilocular de extensión entre los dientes 34 a 42 de halo hipodenso, con bordes definidos, causando divergencia y reabsorción radicular. La lesión con característica quística presentaba 15.68 mm x 23.29 mm de extensión, con expansión de la cortical bucal (Figura 2).

Se realizó una biopsia incisional bajo anestesia local en la región de los dientes 32 y 33 y se envió para su análisis histopatológico. Microscópicamente presenta pared fibrosa recubierta por epitelio escamoso con presencia de capa basal en empalizada y paraqueratosis en las células de la porción luminal y sin atipia, con diagnóstico de tumor odontogénico queratoquístico.

Ante este diagnóstico, la paciente optó por el tratamiento quirúrgico bajo anestesia general para la enucleación de la lesión y la ostectomía periférica. El procedimiento se realizó con infiltración de anestesia local con lidocaína al 2% en la región del surco mandibular anterior, incisión de Wassmund, con desprendimiento mucoperióstico y entre los dientes 35 a 41, con exposición total de la lesión (Figura 3).

Posteriormente, se realizó la enucleación de la cápsula quística mediante legrado local y ostectomía periférica para la extirpación completa de la lesión, con el fin de minimizar una posible recidiva de la misma (Figura 4).

Se optó por una fijación interna estable con una placa de reconstrucción Stryker® de tipo 2,4 con el fin de prevenir el riesgo de fractura patológica en el postoperatorio, debido a la fragilidad ósea de la cortical lingual, y porque la lesión se encuentra en el arco central mandibular, generando fragilidad a la región debido a las fuerzas musculares vectoriales y a la torsión (Figura 5).

En la radiografía panorámica de control postoperatoria a los cuatro meses se observa una fijación interna estable y una adecuada cicatrización ósea (Figura 6).



DISCUSIóN

El TOQ presenta una alta tasa de recurrencia en muchos estudios. La bibliografía revela que las tasas de recurrencia oscilan entre 0 y 62%. Estas elevadas tasas de recidiva no coinciden con las de otros quistes odontogénicos. El TOQ tiene la capacidad de expandirse a través de las paredes óseas e invadir estructuras más profundas, incluyendo la base craneal. Por esta razón, algunos cirujanos han recomendado una cirugía agresiva que incluye la resección para los pacientes con quistes grandes.8

Otros cirujanos se han inclinado por la resección quirúrgica, que ha demostrado tener la tasa de recurrencia más baja, pero también se asocia con la mayor morbilidad. Las recurrencias son más elevadas en el síndrome del nevo de células basales (SNCB), los quistes multiloculares, las paredes óseas perforadas y los quistes infectados.3

Se considera que la hiperosmolaridad intraluminal, la proliferación epitelial activa y la actividad colagenolítica en la pared del quiste, la síntesis de interleucina (IL)-1 e IL-6 en los queratinocitos, junto con el factor de necrosis tumoral, provocan niveles elevados de prostaglandinas y el aumento de la expresión de las proteínas relacionadas con la hormona paratiroidea influye en la expansión del TOQ dentro del hueso y facilitan así su crecimiento.9

La demostración de la mayor frecuencia de aparición del antígeno nuclear proliferante y de la positividad del Ki67, p53 y bcl-2, así como de la positividad de la Gp38 en los TOQ paraqueratinizados y en los asociados al síndrome del nevus basocelular, confirma el potencial neoplásico y la elevada tasa de recurrencia de los TOQ. Basándose en estas pruebas, los TOQ, en particular la variante paraqueratinizada y los asociados al síndrome del nevus de células basales, deberían tratarse de forma más agresiva.10

La enucleación con un procedimiento adjunto tiene por objeto eliminar el agente causante (islas epiteliales o microquistes) mediante una cistectomía en combinación con un procedimiento adjunto de nitrógeno líquido, solución de Carnoy u ostectomía periférica. Hay un estudio que muestra dos indicaciones para este enfoque. En primer lugar, parece prudente reservar estos procedimientos para los queratoquistes recurrentes, cuando tanto la descompresión (marsupialización) como la enucleación (cistectomía) no han conseguido eliminar completamente el proceso patológico y se prefiere la solución de Carnoy o la crioterapia con nitrógeno líquido, que parecen ser técnicas más precisas y eficaces.7

En los casos en los que el diagnóstico de una lesión radiolúcida no ha sido definido y se presenta relativamente pequeña (dentro de los 2 cm aproximadamente) y en la región del hueso alveolar, es decir, cerca de la cresta alveolar, los dientes y lejos de estructuras importantes y del borde inferior de la mandíbula, el enfoque común y estándar es la enucleación rutinaria con examen histológico. Para estos autores, el diagnóstico de TOQ no implica necesariamente una segunda intervención quirúrgica inmediata; no todos los TOQ son recurrentes. La observación con radiografías periódicas y la evaluación clínica determinarán la siguiente fase del tratamiento. Aproximadamente entre 25% y 50% de todos los TOQ enucleados serán recurrentes. En los casos de recidiva, la enucleación cuidadosa repetida con uno de los procedimientos complementarios (es decir, crioterapia, solución de Carnoy u ostectomía periférica) debe ser el siguiente paso lógico del protocolo quirúrgico.4

En nuestro caso, optamos por realizar una enucleación seguida de una ostectomía periférica en el primer tiempo quirúrgico, debido a la alta tasa de recidiva de los TOQ y para extirpar toda la pared quística y los quistes satélites, reduciendo así la posibilidad de recidiva y sometiendo a la paciente a un segundo tiempo quirúrgico.

Se debe considerar seriamente la elección de realizar una resección en bloque en los siguientes casos: 1. Cuando el TOQ reaparece a pesar de una enucleación previa con un procedimiento adjunto; 2. Cuando el TOQ reaparece a pesar de una marsupialización previa seguida de una enucleación con un procedimiento adjunto; 3. En casos de TOQ multilocular intraósea agresiva; 4. En casos de síndrome de carcinoma nevoide de células basales múltiple no sindrómico y sindrómico TOQ; 5. En un TOQ diagnosticado que muestre particularmente un comportamiento clínico agresivo (por ejemplo, crecimiento, destrucción del tejido) que deba requerir la resección como tratamiento quirúrgico inicial.2

En nuestra opinión, es aceptable realizar primero un tratamiento quirúrgico menos invasivo, como la enucleación y la enucleación seguida de la ostectomía periférica en aproximación a la mayoría de los casos. Si esto falla, y especialmente en los casos de múltiples recidivas, la resección en bloque parece ser la cirugía más efectiva que resulta en poca o ninguna recidiva.

Es posible que existan dos tipos de lesiones de TOQ que actualmente no pueden distinguirse mediante histología, inmunohistoquímica y otras evaluaciones. El primero es un tipo favorable que rara vez se repite y se comporta de forma similar a un quiste dentígero; el segundo es un tipo agresivo que se repite con frecuencia y se comporta como un tumor. Si esta suposición es cierta, existe la esperanza de que la identificación adecuada de estos dos tipos de lesiones puedan demostrar que son entidades odontogénicas separadas que requieren protocolos de tratamiento quirúrgico diferentes.7



CONCLUSIóN

La resección radical sigue siendo la opción correcta para obtener la menor recurrencia del TOQ. Creemos que para lograr la menor morbilidad posible, las resecciones deben reservarse para las lesiones recurrentes múltiples y posiblemente en los casos sindrómicos. Sin embargo, para lograr la menor recurrencia, la enucleación con aplicación de solución de Carnoy o crioterapia, o la ostectomía periférica son el tratamiento de primera línea para los queratoquistes primarios. Además, la marsupialización (cuando está indicada) debe ir seguida de una cistectomía secundaria para minimizar la recidiva.


REFERENCIAS (EN ESTE ARTÍCULO)

  1. Pitak-Arnnop P, Chaine A, Oprean N, Dhanuthai K, Bertrand J-C, Bertolus C. Management of odontogenic keratocysts of the jaws: a ten-year experience with 120 consecutive lesions. J Craniomaxillofac Surg. 2010; 38 (5): 358-364. Available in: http://www.ncbi.nlm.nih.gov/pubmed/19897381

  2. Pazdera J, Kolar Z, Zboril V, Tvrdy P, Pink R. Odontogenic keratocysts/keratocystic odontogenic tumours: biological characteristics, clinical manifestation and treatment. Biomed Pap Med Fac Univ Palacky Olomouc Czech Repub. 2014; 158 (2): 170-174. Available in: http://www.ncbi.nlm.nih.gov/pubmed/23073530

  3. Boffano P, Ruga E, Gallesio C. Keratocystic odontogenic tumor (odontogenic keratocyst): preliminary retrospective review of epidemiologic, clinical, and radiologic features of 261 lesions from University of Turin. J Oral Maxillofac Surg. 2010; 68 (12): 2994-2999. Available in: http://www.ncbi.nlm.nih.gov/pubmed/20970907

  4. Zhao YF, Wei JX, Wang SP. Treatment of odontogenic keratocysts: a follow-up of 255 Chinese patients. Oral Surg Oral Med Oral Pathol Oral Radiol Endod. 2002; 94 (2): 151-156. Available in: http://www.ncbi.nlm.nih.gov/pubmed/12221380

  5. Diniz MG, Galvao CF, Macedo PS, Gomes CC, Gomez RS. Evidence of loss of heterozygosity of the PTCH gene in orthokeratinized odontogenic cyst. J Oral Pathol Med. 2011; 40 (3): 277-280. Available from: http://www.ncbi.nlm.nih.gov/pubmed/21138481

  6. Browne RM. The pathogenesis of odontogenic cysts: a review. J Oral Pathol. 1975; 4 (1): 31-46. Available from: http://www.ncbi.nlm.nih.gov/pubmed/807692

  7. Tolstunov L, Treasure T. Surgical treatment algorithm for odontogenic keratocyst: combined treatment of odontogenic keratocyst and mandibular defect with marsupialization, enucleation, iliac crest bone graft, and dental implants. J Oral Maxillofac Surg. 2008; 66 (5): 1025-1036.

  8. Buchbender M, Neukam FW, Lutz R, Schmitt CM. Treatment of enucleated odontogenic jaw cysts: a systematic review. Oral Surgery, Oral Medicine, Oral Pathology and Oral Radiology. 2018; 125 (5): 399-406. Available in: https://doi.org/10.1016/j.oooo.2017.12.010

  9. Shear M. The aggressive nature of the odontogenic keratocyst: is it a benign cystic neoplasm? Part 2. Proliferation and genetic studies. Oral Oncol. 2002; 38 (4): 323-331.

  10. Wang YP, Liu BY. High expression of osteopontin and CD44v6 in odontogenic keratocysts. J Formos Med Assoc. 2009; 108 (4): 286-292. Available in: http://www.ncbi.nlm.nih.gov/pubmed/19369175



AFILIACIONES

1 DDS, MSc, Estudiante de Doctorado de Cirugía Oral y Maxilofacial. Departamento de diagnóstico y cirugía, Facultad de Odontología, Araçatuba. Universidad Estatal Paulista Júlio de Mesquita Filho. Departamento de Cirugía Oral y Maxilofacial, Hospital Leforte/Hospital e Maternidade Dr. Christovão da Gama, Santo André, Brasil.

2 DDS, MSc, Doctorado en Cirugía Oral y Maxilofacial. Departamento de cirugía oral y maxilofacial, Facultad de Odontología, São Bernardo do Campo, Universidad Metodista de São Paulo, Brasil; Departamento de Cirugía Oral y Maxilofacial, Hospital Leforte/Hospital e Maternidade Dr. Christovão da Gama.

3 DDS - Estudiante de Especialización en Cirugía Bucomaxilofacial y Traumatología, Departamento de Cirugía Oral y Maxilofacial, Facultad de Odontología, São Bernardo do Campo, Universidad Metodista de São Paulo, Brasil.

4 Estudiante de la Facultad de Odontología, São Bernardo do Campo, Universidad Metodista de São Paulo, Brasil.

5 DDS Centro de Investigación y Enseñanza de Fototerapia en Ciencias de la Salud - NUPEN, São Carlos, Brasil.

6 DDS, MSc, PhD, Profesor - Cirugía Oral y Maxilofacial, Departamento de Cirugía Oral y Maxilofacial, Hospital Leforte/Hospital e Maternidade Dr. Christovão da Gama, Santo André, Brasil. Department of Diagnosis and Surgery, School of Dentistry, Araraquara, São Paulo State University - UNESP, Brazil.



CORRESPONDENCIA

Bianca de Fátima Borim Pulino. E-mail: bianca.pulino@unesp.br




Recibido: 15/10/2021. Aceptado: 04/11/2021

Figura 1
Figura 2
Figura 3
Figura 4
Figura 5
Figura 6

2020     |     www.medigraphic.com

Mi perfil

C?MO CITAR (Vancouver)

Lat Am J Oral Maxillofac Surg. 2022;2

ARTíCULOS SIMILARES

CARGANDO ...