medigraphic.com
ENGLISH

Cirugía Plástica

ISSN 2992-8559 (Digital)
ISSN 1405-0625 (Impreso)
  • Mostrar índice
  • Números disponibles
  • Información
    • Información general        
    • Directorio
  • Publicar
    • Instrucciones para autores        
    • Envío de artículos
  • Políticas
    • Políticas éticas
    • Políticas de acceso abierto
    • Políticas de revisión de manuscritos
    • Políticas editoriales generales
  • medigraphic.com
    • Inicio
    • Índice de revistas            
    • Registro / Acceso
  • Mi perfil

2021, Número 3

<< Anterior Siguiente >>

Cir Plast 2021; 31 (3)


Síndrome de Ogilvie en un paciente quemado

Tamez-Pedroza, Luis1; Peñarrieta-Daher, Edgar2; Facio-Treviño, José Ángel1; García-Pérez, Mauricio Manuel3
Texto completo Cómo citar este artículo 10.35366/103712

DOI

DOI: 10.35366/103712
URL: https://dx.doi.org/10.35366/103712
Artículos similares

Idioma: Español
Referencias bibliográficas: 10
Paginas: 107-110
Archivo PDF: 246.99 Kb.


PALABRAS CLAVE

Síndrome de Ogilvie, dilatación aguda de colon, quemaduras.

RESUMEN

La pseudoobstrucción aguda de colon, conocida como síndrome de Ogilvie, es una condición rara caracterizada por dilatación aguda de colon en ausencia de obstrucción mecánica. Esta presentación de pseudooclusión intestinal se asocia a varias etiologías y se ha reportado asociación a quemaduras y pacientes graves, por lo que es importante conocer esta enfermedad y su manejo. Se presenta el caso de una mujer de 39 años con antecedente de diabetes mellitus tipo 2, hipertensión e hipotiroidismo. Acudió a urgencias con quemaduras superficiales y profundas de segundo y tercer grado en cara, brazo derecho y extremidades inferiores circunferenciales, con una extensión de quemadura de 24% de la superficie corporal total. A las 48 horas de hospitalización comenzó con dolor abdominal y distensión. Se tomaron radiografías que evidenciaron distensión intestinal, por lo que se realizó tomografía axial computarizada de abdomen contrastado, que mostró distensión del colon, sin evidencia de alguna obstrucción mecánica. Se manejó de manera conservadora con buenos resultados.



INTRODUCCIóN

La pseudoobstrucción aguda del colon (POAC), conocida como síndrome de Ogilvie, es una condición rara caracterizada por dilatación colónica aguda en ausencia de obstrucción mecánica. Sir Heneage Ogilvie describió por primera vez dos casos en dos pacientes con infiltración maligna de los ganglios prevertebrales en 1948.1 Se caracteriza por distensión colónica masiva en ausencia de obstrucción mecánica (80-90%), dolor abdominal (80%), sensibilidad abdominal (62%), náuseas y/o vómitos (60%), estreñimiento (40%) y fiebre (37%) en 400 casos revisados por Vanek en 1986.2

La pseudoobstrucción aguda del colon da como resultado síntomas compatibles con obstrucción intestinal y se asocia a enfermedades sistémicas como postinfarto de miocardio, hipotiroidismo, intervenciones quirúrgicas o traumatismos no quirúrgicos.3



CASO CLíNICO

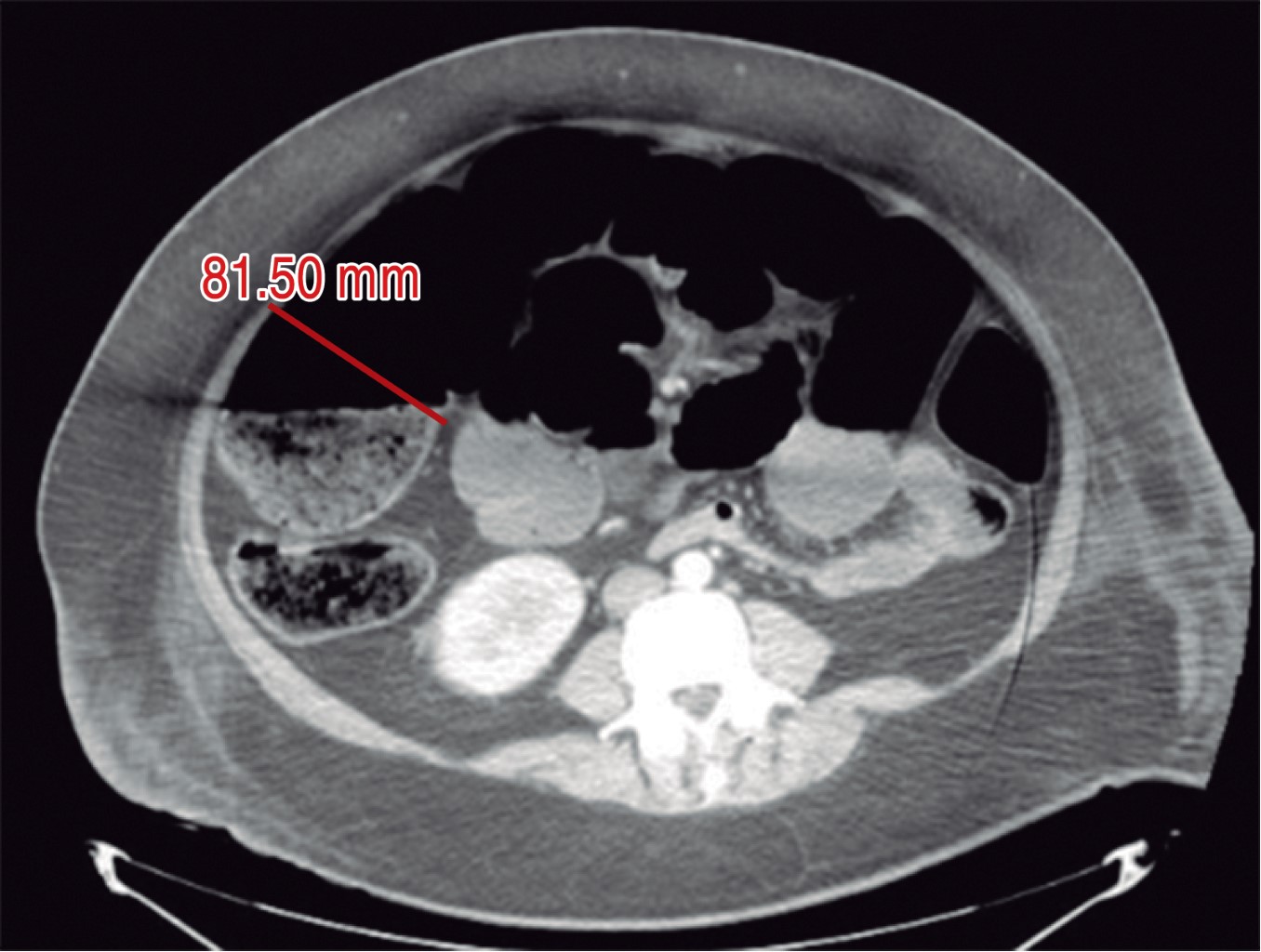
Mujer de 39 años con antecedente de diabetes mellitus tipo 2, hipertensión e hipotiroidismo, acudió a urgencias con quemaduras superficiales y profundas (segundo y tercer grado) en la cara (Figura 1), brazo derecho y extremidades inferiores circunferenciales (Figuras 2 y 3). Se realizó fibronasoendoscopia por otorrinolaringología y se descartó quemadura de la vía aérea. Se calculó la superficie corporal total quemada en 24%, se administró líquidos con la fórmula de Parkland con solución Hartmann 950 mL/h durante las primeras ocho horas, con diuresis a 0.5 mL/kg/h. La paciente fue ingresada en el piso de cirugía plástica para seguimiento. Al segundo día se quejó de dolor y distensión abdominal, por lo que se tomaron radiografías de abdomen (Figura 4) que revelaron distensión intestinal. Se decidió realizar tomografía computarizada que mostraba distensión de hasta 8.5 cm en colon (Figura 5), sin evidencia de obstrucción mecánica. Los electrolitos séricos eran normales. Se decidió dar manejo conservador en piso por 72 horas, con mejoría clínica. Se retiró la sonda nasogástrica y toleró la dieta. Se vigiló por 48 horas y se decidió su egreso por mejoría clínica. Acudió a consulta 10 meses después, negando cuadros de dolor abdominal y tolerando la vía oral. Se encontraba en rehabilitación por las quemaduras.



DISCUSIóN

La pseudoobstrucción aguda de colon (POAC) es más frecuente en pacientes críticamente enfermos con alteraciones médicas o quirúrgicas subyacentes y es una causa importante de morbilidad y mortalidad.3 En 1995 Kadesky y colaboradores4 reportaron ocho casos de POAC en 2,703 pacientes críticamente enfermos con quemaduras. La POAC a menudo se asocia con otras alteraciones como traumatismos, cesáreas, sepsis, insuficiencia respiratoria, trasplante renal, trastornos metabólicos, enfermedad cardiaca, hipotiroidismo, uremia y uso de narcóticos. Este autor concluyó que la POAC parece estar relacionada con otra condición médica en lugar de quemaduras.

La fisiopatología de esta enfermedad no se comprende bien, a menudo se asocia con un desequilibrio en la inervación autónoma colónica.5 El síndrome de Ogilvie ocurre raramente en pacientes quemados y aumenta su mortalidad. Se estima que la incidencia de este síndrome es menor de 1% en los centros de quemados en pacientes con más de 15% de la superficie corporal afectada por las quemaduras.6

Los síntomas más comunes en una POAC son distensión abdominal e hipertimpanismo, taquicardia, fiebre, leucocitosis y dolor abdominal severo.7 Los analgésicos y sedantes utilizados en pacientes quemados pueden también relacionarse con este padecimiento y se dice que es secundario a la depresión del sistema nervioso vagal. La lesión del plexo sacro parasimpático S2-S4 inerva la flexura esplénica del colon y el daño de estos nervios en cirugía pélvica se ha asociado al síndrome de Ogilvie, principalmente la cirugía de cadera y las cesáreas.8

Los pacientes con síndrome de Ogilvie se manejan por lo regular con tratamiento conservador cuando la distención es menor de 12 cm y no muestran ninguna evidencia de isquemia intestinal o perforación. El tratamiento se proporciona con sonda nasogástrica y sonda transrectal para descompresión durante 48-72 horas, junto con la corrección de desbalance hidroelectrolítico, se descontinúan los sedantes y se tratan las infecciones.3 El manejo satisfactorio con el tratamiento conservador durante los primeros dos a seis días suele ser de 83-96% desde el inicio del tratamiento.9

En caso de deterioro o presentar dilatación mayor de 12 cm, se recomienda manejo médico o quirúrgico, dependiendo del paciente. Se recomienda el uso de neostigmina intravenosa, que es un inhibidor reversible de la acetilcolinesterasa que frena indirectamente los receptores muscarínicos y promueve la actividad motora en el colon.10



CONCLUSIóN

Como cirujanos plásticos y reconstructivos es importante conocer las causas relacionadas con la pseudoobstrucción de colon aguda para sospechar de esta entidad, ya que el reconocimiento temprano y buen manejo de esta patología reducirá la morbimortalidad de nuestros pacientes. El manejo conservador es el de elección en el síndrome de Ogilvie. El estudio de imagen ideal es la tomografía contrastada de abdomen para valorar un posible sitio de oclusión o complicación. En nuestro caso, la paciente tuvo un buen resultado con el manejo conservador. Es importante conocer esta etiología y reportarla en pacientes quemados.


REFERENCIAS (EN ESTE ARTÍCULO)

  1. Ogilvie H. Large-intestine colic due to sympathetic deprivation a new clinical syndrome. Br Med J 1948; 2 (4579): 671-673.

  2. Vanek VW, Al-Salti M. Acute pseudo-obstruction of the colon (Ogilvie?s syndrome). Dis Colon Rectum 1986; 29 (3): 203-210.

  3. Navas Nadukkandiyil, Hanadi Khamis Alhamad, Luay Abdel Wahab, Essa Mubarak Al Sulaiti AS. Acute intestinal pseudo-obstruction (Ogilvie's syndrome): a case report. J Clin Gerontol Ger 2014; 5 (4):140-142.

  4. Kadesky K, Purdue GF, Hunt JL. Acute pseudo-obstruction in critically ill patients with burns. J Burn Care Rehabil 1995; 16 (2): 132-135.

  5. Wells CI, O'Grady G, Bissett IP. Acute colonic pseudo-obstruction: a systematic review of aetiology and mechanisms. World J Gastroenterol 2017; 23 (30): 5634-5644.

  6. Tsoutsos D, Tsakou EG, Lykoudis E, Stamatopoulos C, Tatoulis R, Ioannovich J. Acute colonic pseudo obstruction (Ogilvie's syndrome) - a rare complication of severe thermal injury. Report on two cases. Ann Burn Fire Dis 1999; 12 (2): 1-6.

  7. Siah S, Seddik H, Ababou K, Ihrai H, Drissi Kamili N. The Ogilvie syndrome in a severely burned patient. Ann Burn Fire Dis 2011; 24 (3): 157-159.

  8. Caner H, Bavbek M, Albayrak A. Ogilvie's syndrome as a rare complication of lumbar disc surgery. Can J Neurol Sci 2000; 27 (1): 77-78.

  9. MacColl C, MacCannell KL, Baylis B, Lee SS. Treatment of acute colonic pseudoobstruction (Ogilvie's syndrome) with cisapride. Gastroenterology 1990; 98 (3): 773-776.

  10. Saunders MD, Kimmey MB. Systematic review: acute colonic pseudo-obstruction. Aliment Pharmacol Ther 2005; 22 (10): 917-925.



AFILIACIONES

1 Residente de Cirugía General. Hospital Universitario de Monterrey "Dr. José Eleuterio González".

2 Residente Cirugía Plástica. Hospital Universitario de Monterrey "Dr. José Eleuterio González".

3 Jefe del Servicio Cirugía Plástica. Hospital Universitario de Monterrey "Dr. José Eleuterio González".



Conflicto de intereses: Los autores declaran no tener conflicto de intereses.



CORRESPONDENCIA

Dr. Luis Tamez Pedroza. E-mail: luis687@hotmail.com




Recibido: 08 noviembre 2020. Aceptado: 19 abril 2021

Figura 1
Figura 2
Figura 3
Figura 4
Figura 5

2020     |     www.medigraphic.com

Mi perfil

C?MO CITAR (Vancouver)

Cir Plast. 2021;31

ARTíCULOS SIMILARES

CARGANDO ...