medigraphic.com
ENGLISH

Medicina Crítica

  • Mostrar índice
  • Números disponibles
  • Información
    • Información general        
    • Directorio
  • Publicar
    • Instrucciones para autores        
  • Políticas
  • Lineamientos
  • medigraphic.com
    • Inicio
    • Índice de revistas            
    • Registro / Acceso
  • Mi perfil

2021, Número 6

<< Anterior Siguiente >>

Med Crit 2021; 35 (6)


Rabdomiólisis en un caso de síndrome de insuficiencia respiratoria aguda secundario a neumonía por COVID-19

Pinedo-Lechuga, Marcela1; Rodríguez-Lopez, Daniela1
Texto completo Cómo citar este artículo 10.35366/103722

DOI

DOI: 10.35366/103722
URL: https://dx.doi.org/10.35366/103722
Artículos similares

Idioma: Español
Referencias bibliográficas: 16
Paginas: 354-356
Archivo PDF: 156.11 Kb.


PALABRAS CLAVE

Rabdomiólisis, COVID-19, neumonía por SARS-CoV-2.

RESUMEN

La rabdomiólisis es una entidad clínica caracterizada por la destrucción del músculo esquelético con la resultante liberación del contenido intracelular enzimático hacia la circulación sanguínea, puede llevar a complicaciones sistémicas, entre ellas la falla renal como una de las más graves. Las causas descritas son múltiples, desde el ejercicio excesivo, el trauma, medicamentos y drogas, hasta enfermedades infecciosas como las neumonías virales. La enfermedad por coronavirus 2019 es una emergencia de salud pública. Pacientes con infección por SARS-CoV-2 presentan principalmente fiebre, tos y disnea. Esta sintomatología puede evolucionar a un cuadro de dificultad respiratoria severa y neumonía grave. Además, se han notificado manifestaciones sistémicas extrapulmonares, entre ellas, su asociación con rabdomiólisis.



INTRODUCCIóN

La rabdomiólisis es una entidad clínica caracterizada por la destrucción del músculo esquelético con la resultante liberación del contenido intracelular enzimático hacia la circulación sanguínea que puede llevar a complicaciones sistémicas.1,2 La presentación clásica de esta condición es el dolor muscular, la debilidad, la pigmenturia y una elevación marcada de la creatina fosfocinasa (CPK) de cinco a 10 veces por encima del nivel normal superior.3 Las causas han sido clasificadas por diferentes autores, en adquiridas o hereditarias. Algunos ejemplos son trauma, ejercicio excesivo, isquemia por compresión o trombosis, drogas ilícitas, consumo de alcohol, infecciones bacterianas, virales, miopatías metabólicas o estructurales, las mutaciones de genes relacionados con canales, etcétera.4 El algoritmo diagnóstico incluye realizar una historia clínica detallada, confirmando con exploración física, niveles de concentración sérica de creatinfosfoquinasa o mioglobinuria. La lesión renal aguda es una de las complicaciones más graves.5

La enfermedad del coronavirus 2019 es una emergencia de salud pública. Pacientes con infección por SARS-CoV-2 presentan principalmente fiebre, tos y disnea. Esta sintomatología puede evolucionar a un cuadro de dificultad respiratoria severa y neumonía grave.6,7 Además, se han notificado manifestaciones sistémicas extrapulmonares, entre ellas, su asociación con rabdomiólisis.



PRESENTACIóN DEL CASO

Masculino de 54 años ingresa a la unidad hospitalaria con diagnóstico de aneurisma de arteria carótida interna izquierda y hemorragia subaracnoidea Fisher I. Se protocoliza para manejo neuroquirúrgico, y se programa para craneotomía y clipaje de aneurisma.

Como antecedentes de importancia se documenta obesidad grado I con índice de masa corporal de 32.7 kg/m2. Niega otras enfermedades crónico-degenerativas. No existe historia de consumo de drogas ni medicamentos que pudieran llevar a la descomposición muscular.

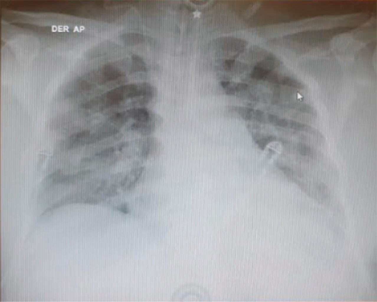
Durante su estancia hospitalaria y 24 horas antes del procedimiento quirúrgico, cursa con un cuadro de odinofagia, tos sin presencia de disnea y fiebre de 39 grados, la cual cede a la administración de antipiréticos orales. Ingresó a quirófano, para craneotomía minipterional izquierda y clipaje de aneurisma, sin embargo, durante el procedimiento, se reportan alteraciones en la mecánica respiratoria, y una alta demanda de soporte ventilatorio (incremento en valores de PEEP). Ingresa a la Unidad de Cuidados Intensivos bajo sedación, orointubado, con PaO2/FiO2 menor a 150. La radiografía de tórax muestra un patrón con infiltrados bilaterales en vidrio esmerilado, y durante las siguientes horas se registra fiebre de 38o grados (Figura 1). Se realiza prueba de reacción en cadena de la polimerasa (PCR) para SARS-CoV-2 por raspado nasofaríngeo, cuyo resultado fue positivo. Se inicia tratamiento con azitromicina, vitamina C, metilprednisolona e inmunoglobulina intravenosa.

Se mantiene bajo ventilación mecánica, en modo asisto/control por volumen, con parámetros de protección pulmonar. Evoluciona rápidamente al deterioro respiratorio, requiriendo incrementos paulatinos de PEEP y FiO2, con un volumen tidal de 6 mL/kg de peso predicho, PEEP de 10, FiO2 55, PaO2/FiO2 de 146, presión plateau 23, presión de distensión 13. Se inició protocolo de pronación por 17 horas.

Se mantiene bajo sedación con dexmedetomidina y propofol, con una dosis máxima de 1.3 mg/kg/hora, fiebre de 38 grados y datos de respuesta inflamatoria sistémica, se asocia a un descenso en cifras de tensión arterial media, por lo que se inician vasopresores sistémicos.

Inicialmente con marcadores de severidad: deshidrogenasa láctica (DHL) 273 UI/L, ferritina 2,573 ng/mL, dímero D 900 ng/mL, creatinfosfoquinasa 509 U/L, creatina quinasa MB 273 U/L, deshidrogenasa láctica 273 U/L. Sin falla orgánica agregada con creatinina 0.7 mg/dL, urea 12.8 mg/dL, leucocitos 5.7 × 109/L, neutrófilos totales 2.9 × 109/L, linfocitos totales 1.2 × 109/L, sodio 138 mmol/L, potasio 3.6 mmol/L, cloro 109 mmol/L, fósforo 3.3 mg/dL, magnesio 1.8 mg/L, calcio 7.1 mg/dL, calcio corregido por albúmina 7.6 mg/dL, alanina aminotransferasa 41 UI/L, transaminasa oxalacética 44 UI/L.

A las 48 horas cursa con un cuadro de acidosis metabólica con pH 7.28, pCO2 38 mmHg, pO2 88 mmHg, HCO3 17.9 mmol/L, déficit de base -8.8 mmol/L, delta de CO2 8, anión Gap 14, saturación 95%, se asocia a deterioro de la función renal, con un índice urinario de 0.3 mL/kg/hora, producción de orina oscura y elevación progresiva de cifras de creatinina sérica (mayor a 1.5 mg/dL.) En las siguientes 24 horas, evoluciona a una lesión renal aguda KDIGO III, con creatinina de 4.4 mg/dL y una elevación importante de CPK 30,434 U/L. Se maneja infusión continua con solución salina 0.9% a 1 mL/kg/h, retirándose fármacos nefrotóxicos.

Se calcula un índice de McMahon de siete. Desarrolla anuria en las siguientes horas, por lo que se inicia terapia de reemplazo renal continua con modalidad hemodiafiltracion veno/venosa continua, con una dosis de efluente de 30 mL/kg.

En las siguientes 24 horas, presentó choque séptico refractario, continúa en anuria, febril y con datos de respuesta inflamatoria sistémica. Fallece al cuarto día de estancia en unidad de cuidados respiratorios.



DISCUSIóN

La infección por SARS-CoV-2 fue identificada por primera vez en diciembre de 2019 como la causa de una enfermedad respiratoria designada COVID-19.6 En ocasiones, los pacientes presentan síntomas atípicos que solamente pueden ser confirmados con prueba de PCR y estudios de imagen, por lo cual, el personal de salud debe ser consciente de las características atípicas de la infección por SARS-CoV-2.8

Pocos casos han sido reportados a nivel mundial de COVID-19 asociado a rabdomiólisis. La rabdomiólisis es un síndrome grave, resultado de una destrucción muscular con la liberación de contenido intracelular. En este reporte de caso, a través de un interrogatorio detallado, fue posible descartar factores etiológicos como el trauma, actividad física extenuante, desequilibrio hidroelectrolítico, consumo de alcohol o drogas ilícitas, exposición a temperaturas elevadas y toxinas.4 Entre los medicamentos comúnmente asociados a rabdomiólisis se encuentran las estatinas, fibratos, salicilatos y esteroides anabólicos, los cuales fueron descartados también como medicamentos de uso crónico.9

Una condición importante a considerar en este caso es el uso de sedación y el síndrome de infusión de propofol, en el cual se presenta una interacción entre una lipólisis excesiva, oxidación alterada de ácidos grasos, y disfunción mitocondrial, con afectación al sistema cardiovascular, hepático, musculoesquelético, renal y metabólico. Se caracteriza por elevación de enzimas hepáticas, acidosis metabólica y rabdomiólisis. Ha sido descrito en pacientes críticamente enfermos, con altas dosis de propofol, comúnmente a dosis de 5 mg/kg/hora por un tiempo de infusión de 48 horas, sin embargo, presentaciones con dosis menores han sido reportadas.10 En este reporte de caso, la infusión de propofol nunca sobrepasó los 2 mg/kg/h.

Otros agentes etiológicos descritos en la literatura son las infecciones virales, las cuales han sido reconocidas como una entidad asociada a desórdenes musculares, con síntomas no específicos como mialgia, hasta síntomas severos como miositis o rabdomiólisis. Un reporte realizado por Tanaka y colegas11 identificó al virus de la influenza como un agente implicado en cerca de 33% de las rabdomiólisis inducidas por virus. El reconocimiento temprano de este síndrome fue llamado "mialgia cruris epidémica",12 una miopatía aguda durante la fase convaleciente de las infecciones virales respiratorias en niños, que presenta dolor y sensibilidad aumentada en extremidades, con dificultad para la deambulación.

En los reportes descritos en pacientes con influenza H1N1, los pacientes con rabdomiólisis de etiología viral reportaban niveles elevados de creatincinasa (CK) entre valores 1,317-1'127,000,13 los cuales parecen presentarse igualmente en pacientes con COVID-19.

La patogénesis de la rabdomiólisis en personas con infección por influenza ha sido una cuestión de debate,9 entre las hipótesis se describe una invasión directa al músculo por el virus de la influenza, la circulación de toxinas virales con lesión directa y la reacción inmunológica "tormenta de citocinas", resultando en daño colateral muscular, como en el caso de la reacción hiperinflamatoria ya descrita en los pacientes con infección por SARS-CoV-2.14

La rabdomiólisis asociada a SARS-CoV-2 es una entidad poco descrita en la actualidad, pero con una incidencia cada vez mayor en los reportes de casos. Suele estar acompañada de dolor muscular y fatiga, y debe ser considerada en pacientes con síntomas de neumonía por SARS-CoV-2 severa.15,16

En este reporte de caso, la asociación entre COVID-19 y rabdomiólisis es evidente. Sin embargo, la administración de otros fármacos cómo propofol, esteroides y macrólidos, pudieron actuar como factores coadyuvantes para el desarrollo de esta entidad y sus complicaciones.



CONCLUSIONES

La rabdomiólisis es una complicación reportada en infecciones de etiología viral y en este caso, por SARS-CoV-2. Debe sospecharse en pacientes con neumonías graves, como medida para evitar el desarrollo de posibles complicaciones.


REFERENCIAS (EN ESTE ARTÍCULO)

  1. Huerta-Alardín AL, Varon J, Marik PE. Bench-to-bedside review: rhabdomyolysis-an overview for clinicians. Crit Care. 2005;9(2):158-169.

  2. Giannoglou GD, Chatzizisis YS, Misirli G. The syndrome of rhabdomyolysis: Pathophysiology and diagnosis. Eur J Intern Med. 2007;19(2):90-100.

  3. Bagley WH, Yang H, Shah KH. Rhabdomyolysis. Intern Emerg Med. 2007;2(3):210-218.

  4. Chavez LO, Leon M, Einav S, Varon J. Beyond muscle destruction: a systematic review of rhabdomyolysis for clinical practice. Crit Care. 2016;20(1):135.

  5. Bosch X, Poch E, Grau JM. Rhabdomyolysis and acute kidney injury. N Engl J Med. 2009;361(1):62-72.

  6. Helmy YA, Fawzy M, Elaswad A, Sobieh A, Kenney SP, Shehata AA. The COVID-19 pandemic: a comprehensive re- view of taxonomy, genetics, epidemiology, diagnosis, treatment, and control. J Clin Med. 2020;9(4): 1225.

  7. Berlin D, Gulick R, Martinez F. Severe Covid-19. N Engl J Med. 2020; 383:2451-2460.

  8. Li RL, Chu SG, Luo Y, Huang ZH, Hao Y, Fan CH. Atypical presentation of SARS-CoV-2 infection: A case report. World J Clin Cases. 2020;8(7):1265-1270.

  9. Fadila M, Wool K. Rhabdomyolysis secondary to influenza a infection: A case report and review of the literature. N Am J Med Sci. 2015;7(3):122.

  10. Subirá González A, Fernández Morales M, Sánchez Royo E, Boliart de San Félix Y, Vila Lolo C. Propofol infusion syndrome; are high doses always required? Rev Esp Anestesiol Reanim (Engl Ed). 2020;67(3):163-166.

  11. Tanaka T, Takada T, Takagi D, Takeyama N, Kitazawa Y. Acute renal failure due to rhabdomyolysis associated with echovirus 9 infection: A case report and review of literature. Jpn J Med. 1989;28:237-242.

  12. Lundberg A. Myalgia cruris epidemica. Acta Paediatr. 1957;46(1):18-31.

  13. Parikh M, Dolson G, Ramanathan V, Sangsiraprapha W. Novel H1N1-associated rhabdomyolysis leading to acute renal failure. Clin Microbiol Infect. 2010;16(4):330-332.

  14. Sinha P, Matthay M, Calfee C. Is a "Cytokine Storm" Relevant to COVID-19? JAMA Intern Med. 2020;180(9):1152-1154.

  15. Jin M, Tong Q. Rhabdomyolysis as Potential Late Complication Associated with COVID-19. Emerg Infect Dis. 2020;26(7):1618-1620. Available in: https://dx.doi.org/10.3201/eid2607.200445

  16. Borku Uysal B, Ikitimur H, Yavuzer S, Islamoglu M, Cengiz M. Case Report: A COVID-19 Patient Presenting with Mild Rhabdomyolysis. Am J Trop Med Hyg. 2020;103(2):847-850.



AFILIACIONES

1 Unidad de Cuidados Intensivos. Unidad Médica de Alta Especialidad del IMSS. UMAE 25. Monterrey, Nuevo León.



CORRESPONDENCIA

Marcela Pinedo-Lechuga. E-mail: marce_pinedo@hotmail.com




Recibido: 06/10/2020. Aceptado: 19/02/2021.







Figura 1

2020     |     www.medigraphic.com

Mi perfil

C?MO CITAR (Vancouver)

Med Crit. 2021;35

ARTíCULOS SIMILARES

CARGANDO ...