medigraphic.com
ENGLISH

Revista Mexicana de Pediatría

ISSN 0035-0052 (Impreso)
  • Mostrar índice
  • Números disponibles
  • Información
    • Información general        
    • Directorio
  • Publicar
    • Instrucciones para autores        
    • Envío de artículos
  • medigraphic.com
    • Inicio
    • Índice de revistas            
    • Registro / Acceso
  • Mi perfil

2021, Número 5

<< Anterior Siguiente >>

Rev Mex Pediatr 2021; 88 (5)


Síndrome de Down y hernia de Morgagni en lactante

López-Gulfo, Diana1; de la Peña-Sanabria, Iván2; Gulfo-Revolledo, Jorge Duván3; Sánchez-Peralta, Manuel4; Pineda-Marriaga, José5
Texto completo Cómo citar este artículo 10.35366/103898

DOI

DOI: 10.35366/103898
URL: https://dx.doi.org/10.35366/103898
Artículos similares

Idioma: Español
Referencias bibliográficas: 14
Paginas: 189-191
Archivo PDF: 212.86 Kb.


PALABRAS CLAVE

Lactante, síndrome de Down, hernia de Morgagni, hernia diafragmática congénita.

RESUMEN

Introducción: La hernia de Morgagni es un defecto congénito que se presenta en más de 30% de los pacientes con síndrome de Down. Presentación del caso: Se trata de una paciente de 13 meses, quien ingresa con sintomatología respiratoria, sospechando inicialmente neumonía adquirida en comunidad; sin embargo, posteriormente se corrobora por Rx tórax que se trata de una hernia de Morgagni. Se realizó cirugía laparoscópica para su corrección, teniendo buena evolución postoperatoria. Conclusión: En niños con síndrome de Down con sintomatología respiratoria persistente se debe sospechar de hernia de Morgagni, ya que es una malformación congénita frecuente en este grupo de pacientes.



INTRODUCCIóN

La hernia de Morgagni (HM) fue descrita por primera vez por Giovanni Morgagni en 1761.1-3 Es un defecto congénito poco frecuente,1,4-6 con una incidencia de 1:2,500-5,000 nacidos vivos y comprende de 3-5% de todas las hernias diafragmáticas congénitas,2,3 con una alta mortalidad neonatal aproximadamente de 10-30%.7,8

LA HM se desarrolla debido a una fusión o desarrollo deficiente del diafragma y los arcos costales,2 y se caracteriza por una hernia anterior de los órganos abdominales hacia la cavidad torácica a través de un defecto diafragmático llamado agujero de Morgagni, a través del que puede protruir el epiplón, colon, estómago, hígado e intestino delgado.2,3,5,6 El defecto está localizado en la porción anteromedial del diafragma, entre el xifoides del esternón y las fibras del margen costal.9

El diagnóstico se puede realizar prenatalmente por ultrasonido o resonancia magnética; sin embargo, de 20-30% se detectan por primera vez después del nacimiento.1,10 El principal estudio diagnóstico es la radiografía de tórax,3 pero también son de utilidad las Rx de abdomen, y la tomografía axial computarizada de tórax.4,6 Dentro de los diagnósticos diferenciales se incluyen a atelectasias, derrame pleural, y parálisis diafragmática. En general, el tratamiento es quirúrgico, mediante cirugía abierta (transabdominal o transtorácica) o por laparoscópica3,6,9

En este artículo exponemos el caso de una paciente lactante con síndrome de Down, quien ingresa con sintomatología respiratoria, con sospecha inicial de neumonía adquirida en comunidad, pero posteriormente se confirma HM.



PRESENTACIóN DEL CASO

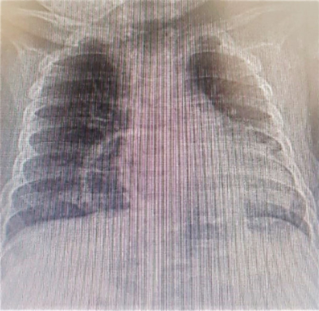
Paciente femenino de 13 meses, originaria y residente de Bogotá, Colombia. El abuelo paterno con diagnóstico de síndrome de Down. Ingresó en compañía de su madre, quien refirió un cuadro clínico de siete días de evolución caracterizado por tos productiva, no emetizante, no cianosante, acompañada de rinorrea hialina y fiebre de 38 oC. Acudió a urgencias de un centro de salud de primer nivel de atención, donde la encuentran con desaturación y aumento de trabajo respiratorio, por lo que indican oxígeno suplementario. Se sospechó neumonía. En biometría hemática se evidencia leucocitosis con neutrofilia, así como anemia microcítica hipocrómica. En Rx de tórax se observó imagen redondeada radiolúcida, con borde radiopaco bien delimitado, lo cual se identificó como hernia diafragmática anterior. Se inició tratamiento con penicilina cristalina. Dado que la paciente presenta deterioro clínico, se decide trasladarla a un centro de salud de mayor complejidad.

En el examen físico a su ingreso a la institución especializada, se encontró en buenas condiciones generales, peso de 10.2 kg, talla de 76 cm, con estado nutricional normal (acorde a las curvas de crecimiento para niños con síndrome de Down), con dificultad respiratoria leve, desaturación que se corregía con oxigenoterapia a bajo flujo. En la exploración del tórax se detectó presencia de crépitos finos en ambas bases pulmonares. Al revisar la Rx de tórax se corrobora diagnóstico de hernia diafragmática, pero sin datos de neumonía.

Al segundo día de ingreso, el servicio de Cirugía Pediátrica confirma que la hernia diafragmática anterior (Figuras 1 y 2) es de tipo HM, y consideran manejo quirúrgico. Al tercer día se corrige por laparoscopía, sin complicaciones. La evolución postquirúrgica fue favorable.



DISCUSIóN

La hernia diafragmática congénita se denomina como de Morgagni, subesternocostal o retrocostoxifoidea cuando se encuentra al lado derecho del tórax,6 existe cierta discrepancia acerca de la frecuencia y el tipo de presentación, siendo menos común el tipo bilateral (21%) que el unilateral (57%);2 el caso presentado se trató de una unilateral derecha. En un estudio realizado por Escarcega y colaboradores se encontró que hubo un número igual de hernias del lado derecho e izquierdo, a pesar de que las hernias del lado izquierdo son históricamente menos frecuentes, debido a las inserciones pericárdicas en el diafragma que confieren protección y apoyo;2 sin embargo, en un estudio en la ciudad de Medellín (Colombia) se encontró un predominio del lado izquierdo (83.3%), con una frecuencia de 4.5 casos por año, entre 1999 y 2009.11

Uno de cada 733 nacidos vivos en los Estados Unidos de Norteamérica nace con síndrome de Down (SD).12 Estos pacientes tienen mayor riesgo de presentar anomalías congénitas; en particular las hernias diafragmáticas ocurren en más de 30%.2,6 En una cohorte de niños con hernia diafragmática realizada en el año 2018 se encontró una prevalencia de 57.1% de SD.9

Los pacientes con SD pueden tener varios motivos de dificultad respiratoria, como infecciones respiratorias, cardiopatía congénita, reflujo gastroesofágico o dificultades para la deglución, lo cual debe incluirse como parte del diagnóstico diferencial de la HM.13 Se ha descrito que los pacientes con HM se presentan con síntomas respiratorios en 56.5%, y 19% con síntomas gastrointestinales; en raras ocasiones puede haber obstrucción intestinal, malrotación intestinal o vólvulo gástrico. 6,9,10 La tos persistente fue la característica de presentación más común (78%) en una serie realizada por Rattan y colegas, seguida de vómitos recurrentes en 37% y estreñimiento en 9%. Se encontró dolor abdominal agudo en 18% de los niños mayores de cuatro años.14


REFERENCIAS (EN ESTE ARTÍCULO)

  1. Karmazyn B, Shold AJ, Delaney LR, Brown BP, Marine MB, Jennings SG et al. Ultrasound evaluation of right diaphragmatic eventration and hernia. Pediatr Radiol. 2019; 49(8): 1010-1017.

  2. Escarcega P, Riquelme MA, Lopez S, González AD, Leon VY, Garcia LR et al. Multi-institution case series of pediatric patients with laparoscopic repair of Morgagni hernia. J Laparoendosc Adv Surg Tech A. 2018; 28(8): 1019-1022.

  3. Lauriti G, Zani-Ruttenstock E, Catania VD, Antounians L, Lelli Chiesa P, Pierro A et al. Open versus laparoscopic approach for Morgagni's hernia in infants and children: a systematic review and meta-analysis. J Laparoendosc Adv Surg Tech A. 2018; 28(7): 888-893.

  4. Resch B, Liziczai K, Reiterer F, Freidl T, Haim M, Urlesberger B. Respiratory syncytial virus associated hospitalizations in children with congenital diaphragmatic hernia. Pediatr Neonatol. 2018; 59(2): 184-188.

  5. Arikan S, Dogan MB, Kocakusak A, Ersoz F, Sari S, Duzkoylu Y et al. Morgagni's hernia: analysis of 21 patients with our clinical experience in diagnosis and treatment. Indian J Surg. 2018; 80(3): 239-244.

  6. Slepov O, Kurinnyi S, Ponomarenko O, Migur M. Congenital retrosternal hernias of Morgagni: Manifestation and treatment in children. Afr J Paediatr Surg AJPS. 2016; 13(2): 57-62.

  7. Benoist G, Mokhtari M, Deschildre A, Khen-Dunlop N, Storme L, Benachi A et al. Risk of readmission for wheezing during infancy in children with congenital diaphragmatic hernia. PloS One. 2016; 11(5): e0155556.

  8. Kadir D, Lilja HE. Risk factors for postoperative mortality in congenital diaphragmatic hernia: a single-centre observational study. Pediatr Surg Int. 2017; 33(3): 317-323.

  9. Esposito C, Escolino M, Varlet F, Saxena A, Irtan S, Philippe P et al. Technical standardization of laparoscopic repair of Morgagni diaphragmatic hernia in children: results of a multicentric survey on 43 patients. Surg Endosc. 2017; 31 (8): 3320-3325.

  10. Tan Y-W, Banerjee D, Cross KM, De Coppi P, GOSH team, Blackburn SC et al. Morgagni hernia repair in children over two decades: Institutional experience, systematic review, and meta-analysis of 296 patients. J Pediatr Surg. 2018; 53(10): 1883-1889.

  11. Herrera Toro MN, Arango Rave ME, Tamayo Pérez ME. Hernia diafragmática congénita. Experiencia en el Hospital Universitario San Vicente de Paúl, Medellín, Colombia, 1999-2009. Iatreia. 2012; 25(3): 210-218.

  12. Cua CL, Haque U, Santoro S, Nicholson L, Backes CH. Differences in mortality characteristics in neonates with Down's syndrome. J Perinatol. 2017; 37(4): 427-431.

  13. Jetley NK, Al-Assiri AH, Al-Helal AS, Al-Bin Ali AM. Down's syndrome as a factor in the diagnosis, management, and outcome in patients of Morgagni hernia. J Pediatr Surg. 2011; 46(4): 636-639.

  14. Rattan KN, Singh J, Dalal P. Diagnostic challenges in late-presenting congenital diaphragmatic hernia: a 16-year experience from tertiary care centre in North India. Trop Doct. 2019; 49(2): 138-141.



AFILIACIONES

1 Universidad Autónoma de Bucaramanga, residente de Pediatría, Universidad del Sinú-Seccional Cartagena

2 Universidad del Norte; Fundación Hospital de la Misericordia, Clínica de Occidente

3 Corporación Universitaria Rafael Núñez.

4 Universidad Surcolombiana

5 Universidad Libre de Barranquilla, Colombia.



Conflicto de intereses: Los autores declaran que no tienen.



CORRESPONDENCIA

Jorge Duván Gulfo-Revolledo, E-mail: jgulfor10@gmail.com




Recibido: 19/01/2020. Aceptado: 21/09/2020

Figura 1
Figura 2

2020     |     www.medigraphic.com

Mi perfil

C?MO CITAR (Vancouver)

Rev Mex Pediatr. 2021;88

ARTíCULOS SIMILARES

CARGANDO ...