medigraphic.com
ENGLISH

Cardiovascular and Metabolic Science

ISSN 2954-3835 (Digital)
ISSN 2683-2828 (Impreso)
Antes Revista Mexicana de Cardiología

Ver Revista Mexicana de Cardiología


  • Mostrar índice
  • Números disponibles
  • Información
    • Información general        
    • Directorio
  • Publicar
    • Instrucciones para autores        
    • Envío de artículos
  • medigraphic.com
    • Inicio
    • Índice de revistas            
    • Registro / Acceso
  • Mi perfil

2022, Número 1

<< Anterior Siguiente >>

Cardiovasc Metab Sci 2022; 33 (1)


Doble orificio de válvula mitral en mujer asintomática joven con coartación aórtica y válvula aórtica bicúspide

Guevara-Canceco APG, Aceves-Millán R, Zaldivar-Fujigaki JL, Sandoval-Castillo LD, Ixcamparij-Rosales CH, Morales-Portano JD
Texto completo Cómo citar este artículo 10.35366/104033

DOI

DOI: 10.35366/104033
URL: https://dx.doi.org/10.35366/104033
Artículos similares

Idioma: Inglés [English version]
Referencias bibliográficas: 8
Paginas: 17-20
Archivo PDF: 280.06 Kb.


PALABRAS CLAVE

Doble orificio mitral, malformaciones congénitas, técnicas de imagen multimodal.

RESUMEN

Las cardiopatías congénitas en México ocupan el segundo lugar de malformaciones congénitas en los recién nacidos, con una incidencia de 0.8-1.4%. El doble orificio de la válvula mitral (DOVM) es una cardiopatía congénita rara, con una incidencia reportada de 0.05%. Esta malformación consiste en la presentación anatómica de dos orificios mitrales comúnmente asociada a otras malformaciones congénitas como defectos septales, malformaciones completas o parciales del canal atrioventricular, coartación aórtica, tetralogía de Fallot, comunicación interauricular o interventricular, anomalía de Ebstein y persistencia del conducto arterioso. Las características clínicas son variables e incluso pueden pasar desapercibidas y ser diagnosticadas hasta la edad adulta. Se presenta el caso de una mujer joven el cual se encuentra asintomática con diagnóstico de hipertensión arterial, que durante una revisión de rutina fue diagnosticada con múltiples cardiopatías congénitas, de las cuales, su relación está poco descrita en la literatura, siendo este el tercer caso reportado. En la actualidad las técnicas de imagen multimodal permiten la mayor caracterización de las lesiones tanto de la valva como del aparato valvular, con la intención de realizar un abordaje diagnóstico y terapéutico integral para ofrecer el mayor beneficio al paciente.


REFERENCIAS (EN ESTE ARTÍCULO)

  1. Greenfield WS. Double mitral valve. Trans Pathol Soc London. 1876; 27: 128-129.

  2. Kim SJ, Shin ES, Lee SG. Congenital double-orifice mitral valve with mitral regurgitation due to flail leaflet in an elderly patient. Korean J Intern Med. 2005; 20 (3): 251-254.

  3. Izaguirre CE, Valiente MJ, Desdín HY, Valiente TA, Turro FMA. Válvula mitral de doble orificio (VMDO) con anomalía cardiaca asociada a aorta bicúspide y coartación de la aorta en pacientes pediátricos. A propósito de dos casos. Revista Científica Hallazgos. 2017; 2 (2): 1-6.

  4. Sharma S, Loya YS, Daxini BV. Coarctation of aorta with unusual association of diverticulum of the left ventricle and double orifice mitral valve. Int J Cardiol. 1991; 30 (1): 113-115.

  5. Baño-Rodrigo A, Van Praagh S, Trowitzsch E, Van Praagh R. Double-orifice mitral valve: a study of 27 postmortem cases with developmental, diagnostic and surgical considerations. Am J Cardiol. 1988; 61 (1): 152-160.

  6. Han J, He Y, Li Z, Zhang Y, Chen J, Wang L et al. Isolated double-orifice mitral valve anomaly on 3-dimensional transesophageal echocardiography. J Ultrasound Med. 2009; 28 (11): 1589-1592.

  7. Banerjee A, Kohl T, Silverman NH. Echocardiographic evaluation of congenital mitral valve anomalies in children. Am J Cardiol. 1995; 76 (17): 1284-1291.

  8. Laccetta G, Napoli AM. Incidental finding of an isolated double-orifice mitral valve in an asymptomatic man. J Cardiovasc Echogr. 2016; 26 (3): 100-103. doi: 10.4103/2211-4122.187963.




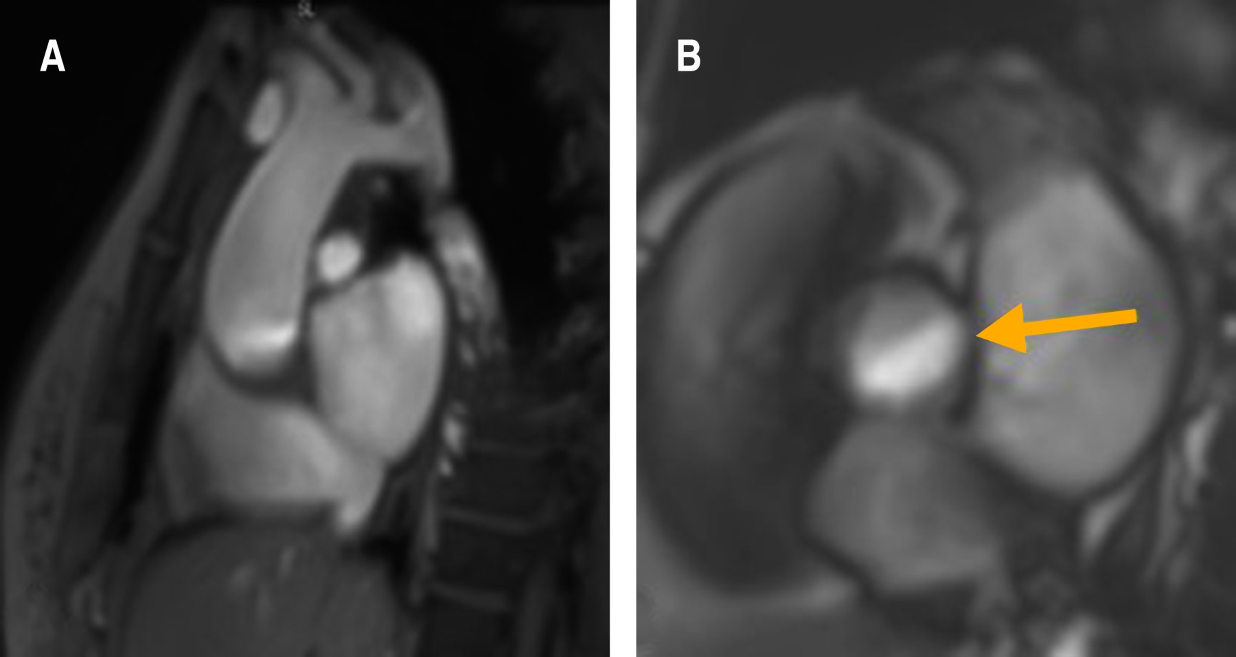
Figura 1
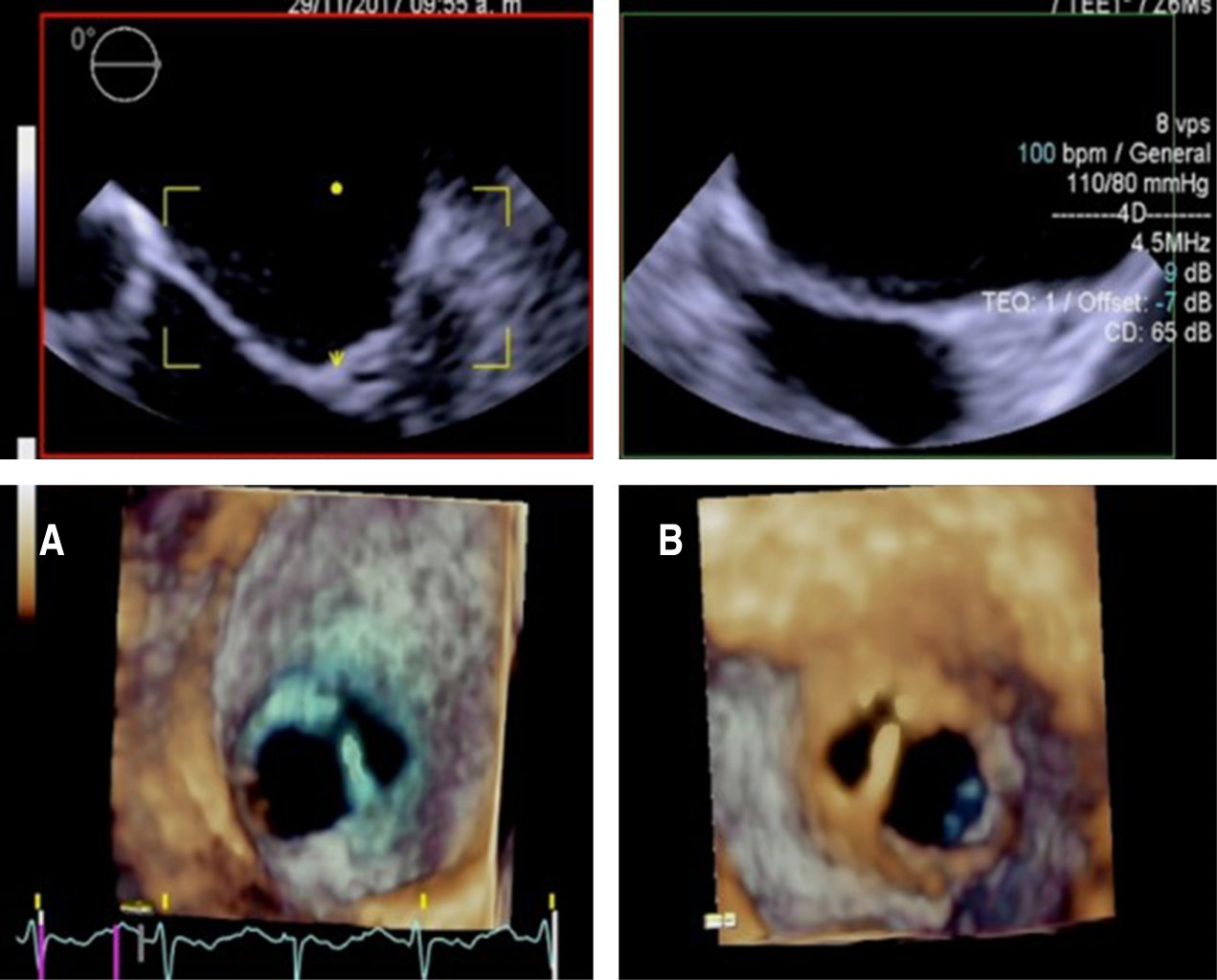
Figura 2
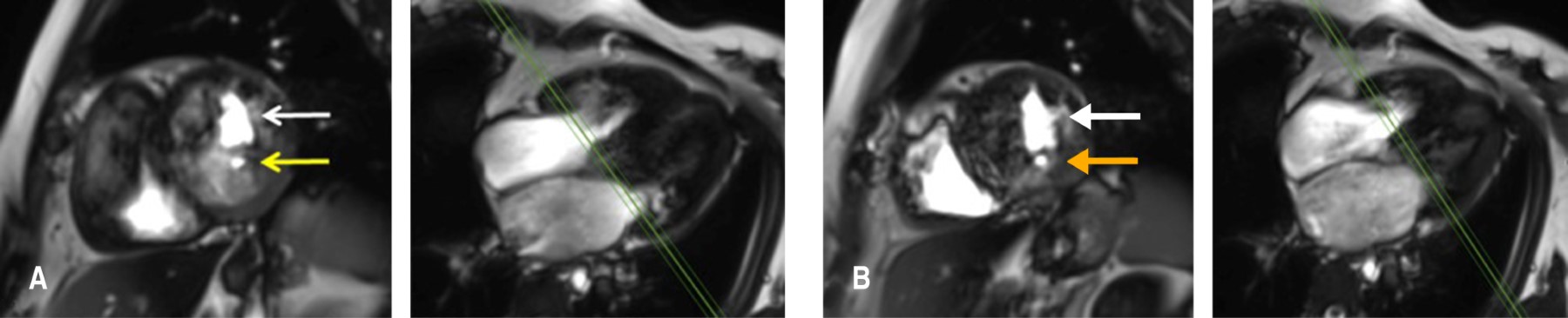
Figura 3
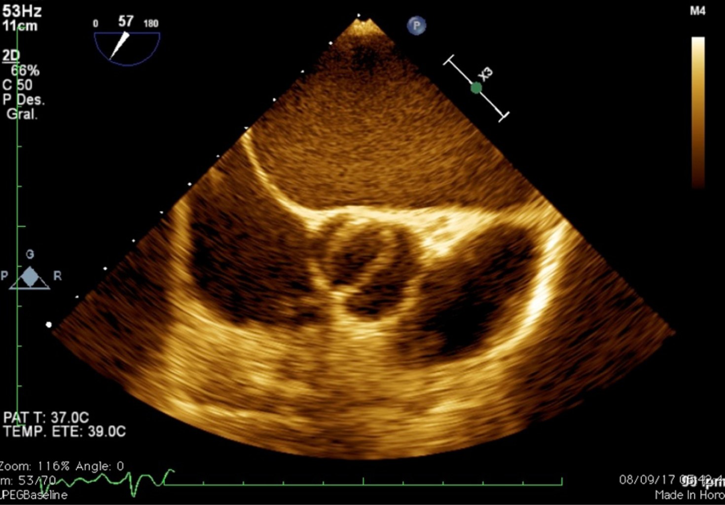
Figura 4
Figura 5

2020     |     www.medigraphic.com

Mi perfil

C?MO CITAR (Vancouver)

Cardiovasc Metab Sci . 2022;33

ARTíCULOS SIMILARES

CARGANDO ...