medigraphic.com
ENGLISH

Revista Odontológica Mexicana Órgano Oficial de la Facultad de Odontología UNAM

ISSN 1870-199X (Impreso)
Órgano oficial de la Facultad de Odontología, UNAM
  • Mostrar índice
  • Números disponibles
  • Información
    • Información general        
    • Directorio
  • Publicar
    • Instrucciones para autores        
  • medigraphic.com
    • Inicio
    • Índice de revistas            
    • Registro / Acceso
  • Mi perfil

2021, Número 1

<< Anterior Siguiente >>

Rev Odont Mex 2021; 25 (1)


Reemplazo total de articulación temporomandibular en pacientes con anquilosis: presentación de dos casos clínicos

Vargas López, Doroteo1; Ferraez Castañeda, Esther Diana Carolina2; García Alcaraz, Víctor Abel3
Texto completo Cómo citar este artículo Artículos similares

Idioma: Español/Inglés [English version]
Referencias bibliográficas: 41
Paginas: 76-87
Archivo PDF: 474.79 Kb.


PALABRAS CLAVE

Anquilosis, anquilosis de la articulación temporomandibular, cirugía, prótesis condílea de stock.

RESUMEN

Introducción: La anquilosis de la articulación temporomandibular (ATM) se define como la condición patológica donde la mandíbula se fusiona a la cavidad glenoidea por tejidos óseos y/o fibróticos, limitando la apertura bucal, dificultando la masticación y el habla. Objetivo: Mejorar la función mandibular disminuyendo el dolor y previniendo la reanquilosis de los casos presentados, así como proporcionar información acerca del manejo de la anquilosis de la ATM. Presentación de los casos: Se presentan dos casos clínicos con anquilosis de la ATM, con limitación de la apertura (13 y 10 mm), dolor intenso de tipo punzante en la zona preauricular. En ambos casos realizaron estudios de extensión (radiografías, tomografías, estereolitografía) para la planeación de los tiempos quirúrgicos. Se llevó a cabo un remplazo completo de la ATM mediante un acetábulo y prótesis condílea de stock (Biomet Microfixation), la técnica quirúrgica consistió en abordaje perauricular con extensión anterosuperior y posterior abordaje submandibular, se verificaron los movimientos mandibulares de forma inmediata y se indicaron ejercicios de fisioterapia durante seis meses. Resultados: En el primer caso se logró una apertura de 35 mm con movimientos mandibulares protrusivos y laterales y oclusión estable a cinco años de seguimiento. En el segundo caso se logró una apertura de 30 mm con movimientos mandibulares conservados. En ambos casos las pacientes refirieron satisfacción y seguridad a la masticación de alimentos y de manera asintomática. Conclusiones: Para lograr un tratamiento eficaz, satisfactorio y duradero, es necesario un enfoque individualizado en caso, eligiendo como primera opción el que posea una menor morbilidad para el paciente.



INTRODUCCIóN

La anquilosis de la articulación temporomandibular (ATM) se define como la condición patológica donde la mandíbula se fusiona a la cavidad glenoidea por tejidos óseos y/o fibróticos, limitando la apertura bucal, dificultando la masticación y el habla, pudiendo ser mortal si es necesario el manejo avanzado de la vía aérea en caso de urgencias.1,2 Su etiología es diversa, siendo la más común el trauma (13-100%), seguida por infecciones (10-40%) y enfermedades sistémicas (10%), como espondilitis anquilosante, artritis reumatoide o psoriasis, tuberculosis, gonorrea y escarlatina por la vía hematógena. En caso de trauma existe la hipótesis que se forma un hematoma intraarticular, adherencias y hueso de manera excesiva que da lugar a una anquilosis. La epidemiología de la anquilosis de ATM varía según el país. Generalmente se desarrolla antes de los 10 años, pero se puede encontrar a cualquier edad y habitualmente se diagnostica entre los 10 y 30 años. Presenta una relación hombre:mujer de 1.4:1.2. Siendo la más común la unilateral que la bilateral, en proporción de 1.5:1, con mayor predilección por el lado derecho. La causa más frecuente en México es el trauma directo en mandíbula, seguida por procesos infecciosos y enfermedades sistémicas.3-5

La anquilosis de ATM se clasifica en cuatro tipos: tipo I, cuando el cóndilo está aplanado o deformado, y existen adherencias fibrosas alrededor de la articulación; tipo II, cuando el cóndilo está deformado, pero aún es distinguible, aunque ya existe fusión ósea del cóndilo con el borde externo de la cavidad glenoidea, pero sin fusión del disco articular; tipo III, cuando existe fusión ósea desde la rama mandibular hasta el arco cigomático, con la parte interna de la cavidad glenoidea y el disco articular intactos; y tipo IV, cuando la fusión ósea es ancha y profunda, y se extiende desde la rama y cavidad glenoidea, reemplazando por completo la arquitectura de la articulación.6 Topazian, en 1964, clasifica la anquilosis en tres estadios: estadio I: anquilosis ósea limitada a la cabeza condilar; estadio II: extendida a la escotadura sigmoidea; y estadio III: extendida al proceso coronoides.7 La anquilosis de la ATM también se clasifica como pseudoanquilosis y anquilosis verdadera. La anquilosis verdadera, a su vez, se subclasifica en fibrosa, cartilaginosa, o?sea y fibro-o?sea.8,9 También la anquilosis de ATM puede clasificarse según el sitio involucrado, siendo la verdadera cuando es intracapsular, y falsa o pseudoanquilosis cuando la limitación del movimiento ocurre como consecuencia de una lesión u obstrucción física por fuera de la ATM.10

Desde los años 60 del siglo pasado, la artroplastia se considera la cirugía de elección para el tratamiento de la anquilosis de la ATM, ya que se han reportado excelentes resultados a largo plazo.11-14 Una revisión de la literatura de 1946 a 1994, sobre los diferentes tipos de prótesis prefabricadas para el reemplazo total de la articulación temporomandibular (RTATM), mostró que la mayoría de los reportes se hacen sobre una muestra pequeña de pacientes y con un seguimiento menor a cinco años.15 En México, sólo existe un estudio enfocado al seguimiento del tratamiento quirúrgico de la anquilosis de ATM realizado por Kimura, que reportó 52 pacientes, los cuales presentaron anquilosis fibrosa tipo I y II en 36.4% y de tipo óseo, clasificación III y IV en 63.6%, con seguimiento de 18 años.5 En los últimos diez años, en nuestro conocimiento, en las bases de datos de la línea media sólo se presentan dos artículos, uno presenta un caso de prótesis prefabricadas y otro reporta un caso de prótesis a la medida.16,17

Existen diferentes tipos de técnicas y materiales involucrados en el tratamiento de la anquilosis de la ATM por artroplastia; por ejemplo, cartílago auricular, colgajo del muscular temporal, grasa, y materiales aloplásticos, como teflón y silastic. En cuanto a injertos autólogos, se proponen injertos costocondrales, esternoclaviculares, de costilla, segundo y cuarto metatarso, cabeza cubital, parte del peroné o la cresta iliaca. Por último, se encuentran las prótesis a medida de titanio.18-25 En pacientes en crecimiento, la mejor opción son los injertos autólogos, mientras que después de los siete años y en pacientes adultos reintervenidos que presenten reabsorción ósea, perdida de dimensión vertical o enfermedad sistémica como artritis reumatoide infantil, se tienen mejores pronósticos utilizando prótesis comerciales a la medida.26

Las complicaciones más comunes del reemplazo total de la ATM son reanquilosis, crecimiento óseo descontrolado, resorción ósea, morbilidad del sitio donador, fractura, dolor, daño de la rama cigomática del nervio facial y presencia de mordida abierta anterior.27-29 Con la finalidad de contribuir a la mejor comprensión del manejo de la anquilosis de la ATM se presentan dos casos de remplazo completo de la ATM.



PRESENTACIóN DE LOS CASOS



CASO 1

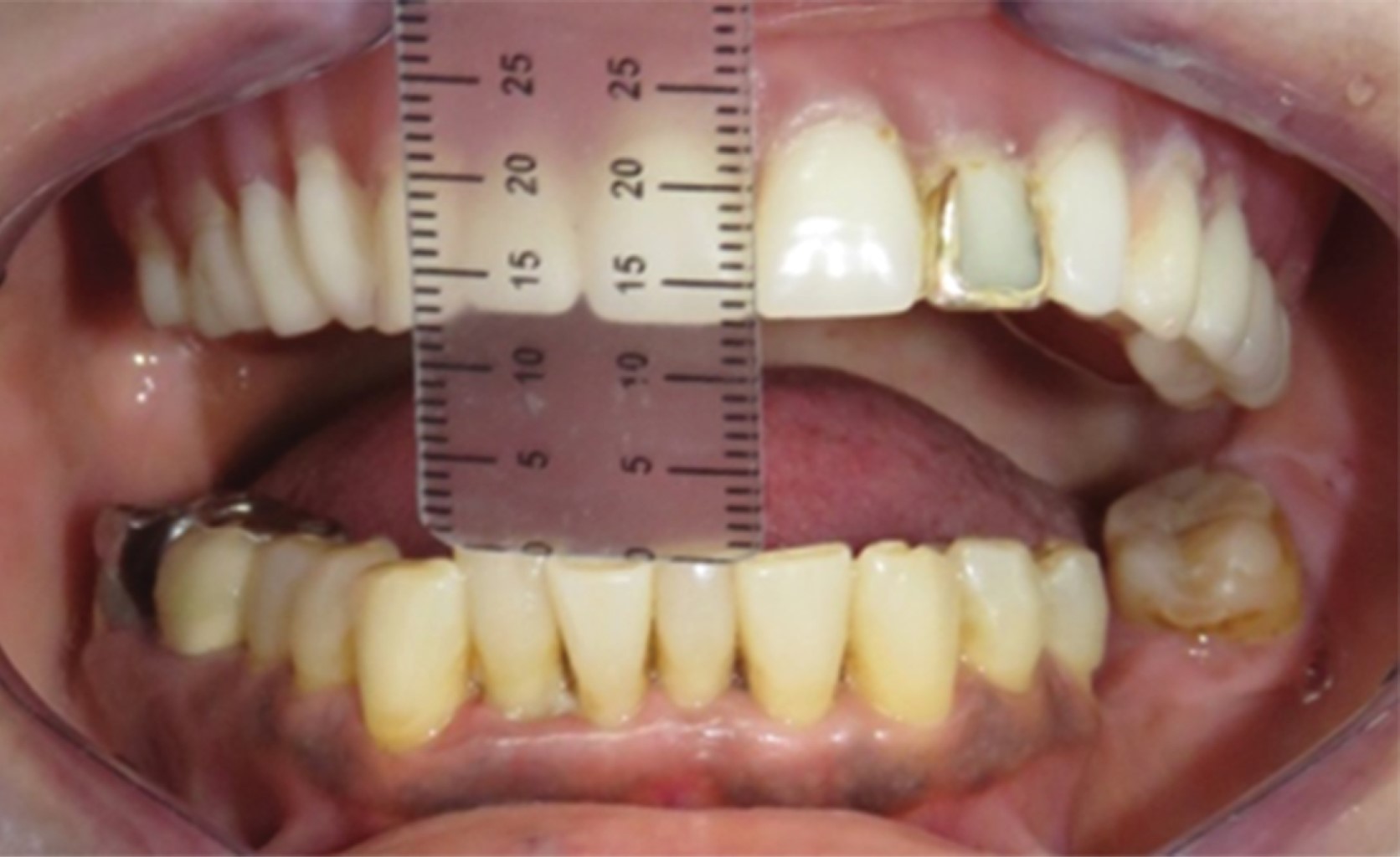
Se trató de una mujer de 60 años, la cual inició su padecimiento en octubre del 2014. Refiere antecedentes de una artroplastia de ATM izquierda en el 2005 y de la ATM derecha en el en el 2012. La paciente refirió dolor intenso de tipo punzante en la zona preauricular derecha durante la masticación, así como desviación mandibular a la apertura mínima, imposibilidad de adecuada alimentación y una limitación a la apertura de 13 mm (Figura 1). En la ortopantomografía (Figura 2A), tomografía y resonancia magnética se observa una anquilosis de ATM derecha tipo II, donde se identifica el cóndilo mandibular deformado con una fusión en el borde externo de la cavidad glenoidea (Figura 2 B y C). La ATM izquierda presenta el cóndilo deformado, pero sin presencia de adherencias de importancia. En un modelo estereolitográfico se diseñó la osteotomía, artroplastia y remodelación, así como la adaptación del acetábulo y prótesis condílea de stock o prefabricada (Biomet Microfixation)30 (Figura 3 A y B).

La técnica quirúrgica consistió en abordaje preauricular con extensión anterosuperior, en palo de hockey. Previa tricotomía de la zona superior al helix y anterior al trago de la oreja, se marca el abordaje, y se infiltra lidocaína con epinefrina de manera subcutánea (Figura 4A). Se realizó incisión hasta la capa superficial de la fascia temporal, de esta manera los vasos temporales superficiales y el nervio auriculotemporal se retraen junto con el colgajo anterior; se continuó la disección obtusa sobre el arco cigomático justo por delante del trago para proteger las ramas temporales del nervio facial. Posteriormente, cuando la disección estuvo a un centímetro por debajo del arco cigomático, se accedió hasta la cápsula articular.31 Se retiró todo el tejido anquilosado mediante ostectomía del cóndilo y coronoidectomía, verificando movimientos mandibulares (Figura 4B). Previa remodelación de la cavidad glenoidea, se corrobora el tamaño de acetábulo, para fijar el acetábulo definitivo32,33 (Figura 4 C-E).

Posteriormente se realizó el abordaje submandibular, previo marcaje quirúrgico a dos centímetros por debajo del borde de la mandíbula, siguiendo alguna arruga cutánea, se infiltró anestésico con vasoconstrictor. Se realizó incisión, así como disección por planos hasta el músculo plastima, en donde se continúa socavando el mismo mediante el uso de tijeras Metzenbaum hasta la capa superficial de la fascia cervical profunda, donde se localizaron y ligaron la vena y arteria facial cerca del área de la escotadura pregonial. Posteriormente se disecó y desperiostizó el músculo masetero de toda la cara externa y rama de la mandíbula hasta comunicar con el abordaje preauricular. Se adaptó la prótesis condílea a la cara externa mandibular mediante un previo socabado de dicha estructura ósea31-33 (Figura 4F). Se lleva a oclusión, corroboramos posición y altura para posterior fijación mediante tornillos. Enseguida se verificaron los movimientos mandibulares con visión directa. Concluimos con colocación injerto de grasa abdominal periprótesica como interfase y disminuir el riesgo de recidiva. Se inició rehabilitación en las primeras 24 horas con ejercicios de movimiento mandibular.32,33



CASO 2

Se trató de una mujer de 41 años, la cual en 1999 inició su padecimiento de anquilosis temporomandibular izquierda secundario a herida por proyectil de arma de fuego con orificio de entrada a nivel de ATM izquierda. Posteriormente presentó dolor intenso de tipo punzante en la zona preauricular izquierda, imposibilidad de adecuada alimentación y una apertura limitada de 10 mm. En la tomografía se observa una anquilosis tipo IV según Sawhney de ATM izquierda, en donde se observa una fusión ósea ancha, que se extiende desde la rama y cavidad glenoidea, reemplazando por completo la arquitectura de la articulación (Figura 5A). Se realizó el mismo protocolo de estudio (Figura 5 B y C). Con mismo manejo quirúrgico mediante anestesia general balanceada, se realiza abordaje preauricular y submandibular descritos en el caso 1, posteriormente se realiza artroplastia de ATM, coronoidectomía, ajuste y colocación de acetábulo y prótesis condílea de stock (Biomet Microfixation), coincidiendo con la planeación previa en la estereolitografía (Figura 6 A-C).

Los pacientes recibieron instrucciones de repetir cada ejercicio de fisioterapia 10 veces durante cinco veces al día durante al menos dos meses, siguiendo el protocolo de prevención de anquilosis de la ATM. Los cuales consisten en: máxima apertura, excursión lateral derecha e izquierda, excursión protrusiva. Además se le indica ejercicios como masticar chicle y aplicación fomentos calientes durante 10 minutos, cinco veces al día, para facilitar la rehabilitación. Todos estos ejercicios se continuaron durante seis meses de manera regular. Existen dispositivos de apertura bucal en caso de que ésta sea muy limitada y estos se pueden utilizar hasta que puedan colocar sus dedos índice, medio y anular hasta los primeros pliegues interfalángicos distales. En ese punto se reemplaza por un accesorio bucal de tamaño adecuado para mantener la mandíbula dilatada durante una hora, esta apertura forzada se repite cinco veces al día. Los ejercicios de apertura forzada se dejan de llevar a cabo una vez que los pacientes son capaces de lograr una apertura normal.34

La paciente del caso 1 posterior a la cirugía presento 20 milímetros de apertura bucal, iniciando fisioterapia forzada al día siguiente del RTATM y durante seis meses más. Incluso ella refiere continuar con los mismos de manera ocasional por iniciativa propia. Actualmente con un seguimiento a cinco años no hay evidencia de reanquilosis, presentando una apertura de 35 mm (Figura 7 A y B), con movimientos mandibulares protrusivos y laterales y oclusión estable. La comparación de una corte coronal de una vista inferior del cráneo mostró simetría de las articulaciones temporomandibulares (Figura 8 A y B).

Respecto al caso 2, la prótesis se encuentra funcional, sin datos de reanquilosis (Figura 9 A y B). Al inicio del protocolo presentó una apertura bucal de tan sólo 10 mm, postquirúrgica de 15 mm y después de 20 años de 30 mm, movimientos mandibulares conservados. Cabe destacar que sólo en la zona preauricular continuó con parestesia, la cual ya presentaba antes de la cirugía como secuela de la herida por proyectil de arma de fuego. Ambas pacientes refieren satisfacción y seguridad a la masticación de alimentos y de manera asintomática hasta el momento.



DISCUSIóN

Las complicaciones pueden ser transoperatorias o postquirúrgicas, ya sean inmediatas o tardías. El manejo quirúrgico de la ATM es delicado. El techo de la cavidad glenoidea está involucrado con la fosa craneal media, por lo que cualquier daño a estas estructuras podría causar un hematoma intracraneal o cerebroespinal. Además, se podría ocasionar un síndrome de Frey al lesionar la glándula parótida. El daño a las estructuras nerviosas es la complicación más frecuente seguida por las infecciones. En los pacientes reportados se prefirió ligar la arteria facial; presentaron parestesia y paresia transitoria asociada al edema posquirúrgico, lo cual revirtió por completo en un lapso de mes y medio a dos meses. Las complicaciones tardías son la reacción a cuerpo extraño o recidiva, las cuales a la fecha no se han presentado. El mejor enfoque para minimizar la tasa de complicaciones de la cirugía de ATM es una planificación quirúrgica cuidadosa.33,35

Al-Moraissi y colaboradores reportaron que se obtienen los mejores resultados utilizando la técnica de artroplastia con interposición del músculo temporal comparada con la artroplastia simple, por lo que sugieren que sea el tratamiento de elección. Además indican que el uso de prótesis de stock tiene mayor tasa de éxito en la reducción del dolor en contra del injerto costocondral.36

Se debe de considerar como candidatos para el uso de una prótesis sólo a aquellos pacientes que hayan sido sometidos a múltiples cirugías sin éxito debido a que diversos estudios establecen que el tejido cicatrizal que se encuentra en pacientes multitratados no proporciona un entorno propicio para el éxito de un injerto de tejido autógeno como el injerto costocondral. Para su integración es necesario la formación de capilares y vasos sanguíneos que deban penetrar en un tejido con un espesor máximo de 180 a 220/μm, siendo que el tejido cicatrizal que rodea una articulación previamente operada tiene un espesor promedio de 440/μm por lo cual fracasaría. La elección en pacientes pediátricos seguirá siendo el injerto costocondral por su potencial de crecimiento, aunque sus desventajas son fracturas, mayor tasa de recidiva y tiempo quirúrgico, un sitio quirúrgico adicional, morbilidad del sitio donante y sobrecrecimiento potencial del injerto. En pacientes adultos multitratados, la elección a largo plazo debe ser el uso de una prótesis de stock con una anatomía más cercana a la real, posibilidad menor de reanquilosis y una fisioterapia inmediata con el consiguiente mayor beneficio para el paciente. Mercuri encontró que los pacientes con artritis reumatoide que se sometieron a una reconstrucción protésica de la articulación temporomandibular experimentaron mejores resultados que aquellos que se sometieron a la reconstrucción con hueso autógeno.37,38

Fanaras y colaboradores mencionan que al elegir el uso de una prótesis de ATM a medida o comerciales brinda una reconstrucción más predecible, reduce el tiempo quirúrgico, disminuye la morbilidad del algún sitio donador y otorga un inicio de la función inmediato. La única desventaja es el costo, pero si se considera que cuando se realiza un autoinjerto, es necesario mayor tiempo quirúrgico y estancia intrahospitalaria y mayor índice de reintervenciones, a largo plazo realmente la diferencia entre uno u otro es mínima, si usamos una prótesis prefabricada como la nuestra.39

En ambos tratamientos quirúrgicos, injerto costocondral y uso de una prótesis costocondral, es muy importante colocar injertos de grasa autólogos alrededor la prótesis o injerto para eliminar el espacio muerto alrededor de ella, evitando así la formación de un coágulo, minimizando las células pluripotenciales, evitando la formación de fibrosis, calcificación heterotópica y reanquilosis. Wolford y Karras publicaron el primer estudio que evaluaba el uso de los injertos de grasa colocados alrededor de los RTATM, en donde no se presentó evidencia radiográfica o clínica de calcificaciones heterotópicas en ninguno de los grupos de injerto de grasa; mientras que el grupo control sin injertos de grasa desarrollaron hueso heterotópico y requirieron reintervención, demostrando que el injerto graso autólogo era un complemento importante.39,40

Cada año se colocan más de 500,000 prótesis de cadera, así como un gran número de prótesis de articulación de rodilla por lo que existe mayor experiencia con el efecto de los materiales utilizados en las prótesis de articulación de cadera y rodilla que con las prótesis de ATM. A pesar de que debe ser considerada como la última opción de tratamiento de la anquilosis temporomandibular por su alto costo a nivel institucional, se debería comenzar a normalizar su uso como en ortopedia; sobre todo en casos específicos como son los pacientes con enfermedades crónico-degenerativas asociadas con una alta tasa de reanquilosis, en las cuales se podría evitar múltiples cirugías a futuro que ocasionan mayor costo y riesgo para el paciente.41



CONCLUSIONES

El objetivo del tratamiento en la anquilosis de ATM es mejorar la función mandibular disminuyendo el dolor y previniendo la reaquilosis. Existen diferentes tipos de modalidades de tratamiento y de principios de reconstrucción para esta patología de la ATM. Es importante mencionar que el manejo de un individuo en crecimiento siempre será diferente en comparación con el adulto. Las indicaciones de cada técnica varían según la gravedad del problema, la edad del paciente, la capacidad para realizar fisioterapia posoperatoria, la experiencia del cirujano y los factores socioeconómicos. Se debe de individualizar cada caso antes de elegir el tratamiento quirúrgico, prefiriendo como primera opción el que posea una menor morbilidad sin importar el costo, aunque el resultado final siempre dependerá de la cooperación del paciente, la fisioterapia activa y el seguimiento regular. Los autores hemos concluido que, para lograr un tratamiento eficaz, satisfactorio y duradero, es necesario un enfoque individualizado en cada caso. A pesar de contar con una muestra pequeña de tan sólo dos casos; contamos con un seguimiento de 20 años con un buen éxito. En México, en cuanto al uso de prótesis de stock, otros autores no han documentado fracasos y poseen el mismo tamaño de muestra que nosotros, pero con un seguimiento muchísimo menor que el nuestro.


REFERENCIAS (EN ESTE ARTÍCULO)

  1. Movahed R, Mercuri LG. Management of temporomandibular joint ankylosis. Oral Maxillofac Surg Clin North Am. 2015; 27 (1): 27-35.

  2. Cawson RA, & Odell EW. Cawson's essentials of oral pathology and oral medicine. Elsevier Health Sciences, London, Eng, 2017.

  3. Güven O. A clinical study on temporomandibular joint ankylosis in children. J Craniofac Surg. 2008; 19 (5): 1263-1269.

  4. Fonseca RJ, Marciani RD, Turvey TA. Oral and maxillofacial surgery. 2nd, ed. Saunders/Elsevier, St. Louis Mo, 2009.

  5. Kimura-Fujikami T. Resultados del tratamiento quirúrgico de 52 casos de anquilosis temporomandibular. Cir Ciruj. 2003; 71 (1): 12-21.

  6. Sawhney CP. Bony ankylosis of the temporomandibular joint: follow-up of 70 patients treated with arthroplasty and acrylic spacer interposition. Plast Reconstr Surg. 1986; 77 (1): 29-40.

  7. Topazian RG. Etiology of ankylosis of temporomandibular joint: analysis of 44 cases. J Oral Surg Anesth Hosp Dent Serv. 1964; 22: 227-233.

  8. Bradley PF. Injuries of the condylar and coronoid processes. In: Rowe and Williams' Maxillofacial injuries. NL Rowe and JL Williams (ed)s. Churchill Livingstone, Edinburgh. 1985, 337-360.

  9. Rowe NL. Ankylosis of the temporomandibular joint. J R Coll Surg Edinb. 1982; 7 (2): 67-79.

  10. Kazanjian VH. Ankylosis of the temporomandibular joint. Am J Orthodontics & Oral Surg. 1938; 24 (12): 1181-206.

  11. Indresano AT, Mobati DA. History of temporomandibular joint surgery. Oral Maxillofac Surg Clin North Am. 2006; 18 (3): 283-289.

  12. Wolford LM, Pitta MC, Reiche-Fischel O, Franco PF. TMJ Concepts/Techmedica custom-made TMJ total joint prosthesis: 5-year follow-up study. Int J Oral Maxillofac Surg. 2003; 32 (3): 268-274.

  13. Mercuri LG, Wolford LM, Sanders B, White RD, Giobbie-Hurder A. Long-term follow-up of the CAD/CAM patient fitted total temporomandibular joint reconstruction system. J Oral Maxillofac Surg. 2002; 60 (12): 1440-1448.

  14. Mercuri LG, Edibam NR, Giobbie-Hurder A. Fourteen-year follow-up of a patient-fitted total temporomandibular joint reconstruction system. J Oral Maxillofac Surg. 2007; 65 (6): 1140-1148.

  15. Van Loon JP, de Bont GM, Boering G. Evaluation of temporomandibular joint prostheses: review of the literature from 1946 to 1994 and implications for future prosthesis designs. J Oral Maxillofac Surg. 1995; 53 (9): 984-996.

  16. García-Huerta MA, Romero-Flores J, Mena-Gómez E. Articulación temporomandibular. Reemplazo con prótesis aloplástica. Rev Med Inst Mex Seguro Soc. 2012; 50 (4): 437-440.

  17. Chaurand J, Pacheco-Ruíz L. Bilateral total mandibular reconstruction with patient specific implants for temporomandibular joint ankylosis. J Stomatol Oral Maxillofac Surg. 2018; 119 (4): 354-356.

  18. Cope MR, Moos KF, Hammersley N. The compressible silicone rubber prosthesis in temporomandibular joint disease. Br J Oral Maxillofac Surg. 1993; 31 (6): 376-384.

  19. Danda AK, S R, Chinnaswami R. Comparison of gap arthroplasty with and without a temporalis muscle flap for the treatment of ankylosis. J Oral Maxillofac Surg. 2009; 67 (7): 1425-1431.

  20. Svensson B, Wennerblom K, Adell R. Auricular cartilage grafting in arthroplasty of the temporomandibular joint: a retrospective clinical follow-up. Oral Surg Oral Med Oral Pathol Oral Radiol Endod. 2010; 109 (3): e1-7.

  21. Babu L, Jain MK, Ramesh C, Vinayaka N. Is aggressive gap arthroplasty essential in the management of temporomandibular joint ankylosis? A prospective clinical study of 15 cases. Br J Oral Maxillofac Surg. 2013; 51 (6): 473-478.

  22. Karamese M, Duymaz A, Seyhan N, Keskin M, Tosun Z. Management of temporomandibular joint ankylosis with temporalis fascia flap and fat graft. J Craniomaxillofac Surg. 2013; 41 (8): 789-793.

  23. Karaca C, Barutcu A, Baytekin C, Yilmaz M, Menderes A, Tan O. Modifications of the inverted T-shaped silicone implant for treatment of temporomandibular joint ankylosis. J Craniomaxillofac Surg. 2004; 32 (4): 243-246.

  24. Mehrotra D, Pradhan R, Mohammad S, Jaiswara C. Random control trial of dermis-fat graft and interposition of temporalis fascia in the management of temporomandibular ankylosis in children. Br J Oral Maxillofac Surg. 2008; 46 (7): 521-526.

  25. Gupta S, Gupta H, Mohammad S, Mehra H, Natu SS, Gupta N. Silicone vs temporalis fascia interposition in TMJ ankylosis: a comparison. J Oral Biol Craniofac Res. 2016; 6 (2): 107-110.

  26. Singh V, Verma A, Kumar I, Bhagol A. Reconstruction of ankylosed temporomandibular joint: Sternoclavicular grafting as an approach to management. Int J Oral Maxillofac Surg. 2011; 40 (3): 260-265.

  27. Mehrotra D, Pradhan R, Mohammad S, Kumar S. Complications associated with different surgical modalities for management of temporomandibular ankylosis in a series of 791 cases. Asian J Oral Maxillofac Surg. 2011; 23 (3): 122-127.

  28. Quinn PD, Giannakopoulos H, Carrasco L. Management of surgical failures. Oral Maxillofac Surg Clin North Am. 2006; 18 (3): 411-417.

  29. Bulgannawar BA, Rai BD, Nair MA, Kalola R. Use of temporalis fascia as an interpositional arthroplasty in temporomandibular joint ankylosis: analysis of 8 cases. J Oral Maxillofac Surg. 2011; 69 (4): 1031-1035.

  30. Vega LG, Gutta R, Louis P. Reoperative temporomandibular joint surgery. Oral Maxillofacial Surgery Clinics. 2011; 23 (1): 119-132.

  31. Al-Kayat A, Bramley P. A modified pre-auricular approach to the temporomandibular joint and malar arch. Br J Oral Surg. 1979; 17 (2): 91-103.

  32. Granquist EJ, Quinn PD. Total reconstruction of the temporomandibular joint with a stock prosthesis. Atlas Oral Maxillofac Surg Clin North Am. 2011; 19 (2): 221-232.

  33. Edward Ellis III, Michael F Zide. Abordajes quirúrgicos del macizo facial. 2a. ed. Argentina, Amolca. 2008.

  34. Khalifa GA, El-Kilani NS, Shokier HM. Physiotherapy maneuver is critical to recover mouth opening after pediatric trauma. J Oral Maxillofac Surg. 2016; 74 (12): 2465-2479.

  35. Hoffman D, Puig L. Complications of TMJ surgery. Oral and Maxillofacial Surgery Clinics. 2015; 27 (1): 109-124.

  36. Al-Moraissi EA, El-Sharkawy TM, Mounair RM, El-Ghareeb TI. A systematic review and meta-analysis of the clinical outcomes for various surgical modalities in the management of temporomandibular joint ankylosis. Int J Oral Maxillofac Surg. 2015; 44 (4): 470-482.

  37. Mercuri LG. Total joint reconstruction-autologous or alloplastic. Oral and Maxillofacial Surgery Clinics. 2006; 18 (3): 399-410.

  38. Mercuri LG. Alloplastic temporomandibular joint reconstruction. Oral Surg Oral Med Oral Pathol Oral Radiol Endod. 1998; 85 (6): 631-637.

  39. Fanaras N, Parry NS, Matthews NS. Multidisciplinary approach in the management of absolute trismus with bilateral temporomandibular joint replacements for a patient with juvenile idiopathic arthritis. J Oral Maxillofac Surg. 2014; 72 (11): 2262-2272.

  40. Wolford LM, Karras SC. Autologous fat transplantation around temporomandibular joint total joint prostheses: preliminary treatment outcomes. J Oral Maxillofac Surg. 1997; 55 (3): 245-251.

  41. Van Loon JP, de Bont GM, Boering G. Evaluation of temporomandibular joint prostheses: review of the literature from 1946 to 1994 and implications for future prosthesis designs. J Oral Maxillofac Surg.1995; 53 (9): 984-96.



AFILIACIONES

1 Jefe de Servicio de Cirugía Maxilofacial del Hospital Regional "Lic. Adolfo López Mateos", ISSSTE.

2 Cirujano Maxilofacial del Hospital Naval de Acapulco, Secretaría de Marina.

3 Médico adscrito al Servicio de Cirugía Maxilofacial del Hospital Regional "Lic. Adolfo López Mateos", ISSSTE.



CORRESPONDENCIA

Doroteo Vargas Lo?pez. E-mail: doroteovargas@hotmail.com




Recibido: Enero 2020. Aceptado: Julio 2020.

Figura 1
Figura 2
Figura 3
Figura 4
Figura 5
Figura 6
Figura 7
Figura 8
Figura 9

2020     |     www.medigraphic.com

Mi perfil

C?MO CITAR (Vancouver)

Rev Odont Mex. 2021;25

ARTíCULOS SIMILARES

CARGANDO ...