medigraphic.com
ENGLISH

Revista Odontológica Mexicana Órgano Oficial de la Facultad de Odontología UNAM

ISSN 1870-199X (Impreso)
Órgano oficial de la Facultad de Odontología, UNAM
  • Mostrar índice
  • Números disponibles
  • Información
    • Información general        
    • Directorio
  • Publicar
    • Instrucciones para autores        
  • medigraphic.com
    • Inicio
    • Índice de revistas            
    • Registro / Acceso
  • Mi perfil

2021, Número 1

<< Anterior

Rev Odont Mex 2021; 25 (1)


Transmigración de canino inferior. Reporte de un caso clínico

Pérez-Flores, Antonieta1; Castillo Pino, Gabriela1; Fierro Monti, Claudia1
Texto completo Cómo citar este artículo Artículos similares

Idioma: Español/Inglés [English version]
Referencias bibliográficas: 10
Paginas: 95-100
Archivo PDF: 140.42 Kb.


PALABRAS CLAVE

Transmigración dentaria, canino retenido, erupción dentaria.

RESUMEN

La retención dentaria es el retraso en la erupción dental. Con la excepción de los terceros molares y caninos superiores, la retención dental es rara, al igual que la migración intraósea de los dientes retenidos. Se define transmigración como una anomalía atípica en la que un diente migra cruzando la línea media. Por lo general, el diagnóstico de esta patología se realiza por hallazgo radiográfico y conlleva múltiples tratamientos como extracción o posicionamiento ortodóncico. La transmigración dental generalmente es asintomática, aunque puede relacionarse con complicaciones graves como la reabsorción radicular de dientes adyacentes, daño a estructuras anatómicas, malposición dental, desviación de la línea media y agenesia. El diagnóstico precoz con radiografías de rutina es fundamental en su detección. El presente caso describe la evolución de un paciente entre los ocho y 12 años con un canino mandibular transmigrado y adicionalmente se hace una revisión de la literatura enfocada en los tratamientos a seguir.



INTRODUCCIóN

La alteración en la erupción dentaria es una condición caracterizada por el fallo del diente en erupcionar en la posición adecuada, esto puede llevar a una impactación, translocación o transmigración.1 Con la excepción de los terceros molares, la retención dentaria es poco frecuente, la migración intraósea de los dientes retenidos es una anomalía dental inusual.2,3 La transmigración dentaria se define como la migración de los dientes retenidos hacia el lado contralateral de la línea media.2,4-7 La transmigración canina es el fenómeno en el cual el canino cruza la línea media mandibular, más allá de la mitad de su longitud dental,1 o más de la mitad de la longitud de la corona.3

Se han propuesto varios factores etiológicos asociados con la transmigración tales como la pérdida prematura de dientes temporales, retención del canino temporal, odontomas, apiñamientos, dientes supernumerarios y la excesiva longitud coronaria del canino.5 También se reconocen como una causa directa de la transmigración dental a trastornos de reabsorción y aposición ósea junto con una activación metabólica de un área diferente del folículo dental del germen del canino, lo que resultaría en una ruta de erupción diferente.8 Sin embargo, su etiología y mecanismos exactos involucrados no han sido esclarecidos.5 La transmigración de un germen dental se presenta más comúnmente durante la fase de maduración, cuando los procesos alveolares crecen de manera intensa.

Los dientes transmigrados en general no causan sintomatología.6 Por lo tanto, los pacientes no son conscientes de esta condición y son detectados durante exámenes radiológicos de rutina.3,7 El objetivo de este artículo es presentar un caso clínico de transmigración canino inferior, así como hacer una revisión de la literatura referida a transmigración canino inferior específicamente sobre la decisión de tratamientos a seguir.



PRESENTACIóN DEL CASO

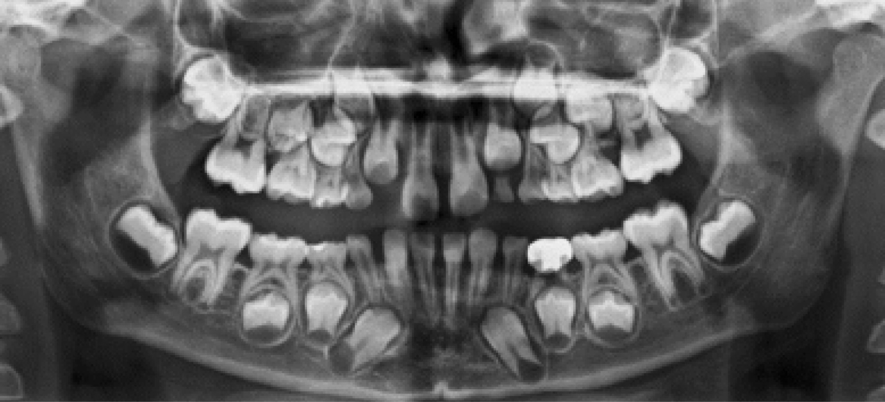
Paciente de 12 años de edad acude en el año 2015, junto a su madre, a la Clínica de Odontopediatría de la Universidad de Concepción para un examen de rutina. El paciente se atendía previamente en controles odontológicos en el área privada y poseía exámenes imagenológicos del año 2012 que evaluaban el desarrollo de la dentición (Figura 1).

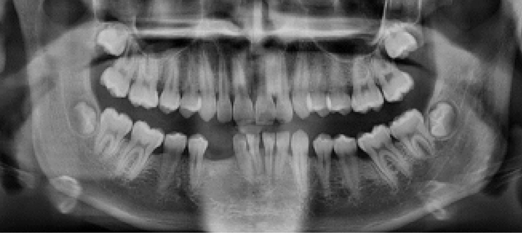
El examen intraoral reveló dentición mixta y ausencia del órgano dentario (OD) 4.3, con abombamiento de la cortical vestibular que se extiende desde el OD 4.2 al OD 3.2. Se solicita tomografía computarizada Cone-Beam (TCCB) y radiografía panorámica, donde se observa el OD 4.3 retenido en la zona anteroinferior de la mandíbula, con una franca mesioversión, con saco pericoronario levemente ensanchando, y asociado a disrupción de la cortical vestibular (Figura 2).

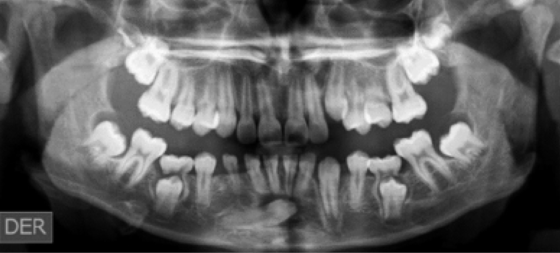
La posición radicular está al centro del reborde y la zona vestibular de la corona en relación a los OD 3.1 y 3.2. No se observan imágenes sugerentes de reabsorción radicular anómala a nivel de incisivos inferiores (Figura 3). Se observa que el canino ya cruzó más allá de la línea media y se encuentra en una etapa de desarrollo muy avanzada con la formación de la raíz casi completa. Por lo anterior, las posibilidades de realizar un tratamiento de ortodoncia exitoso y posicionar la pieza en una posición correcta son casi inexistentes, por lo que el tratamiento a seguir fue la extracción dentaria, descartando el trasplante por ausencia del espacio interdentario necesario.

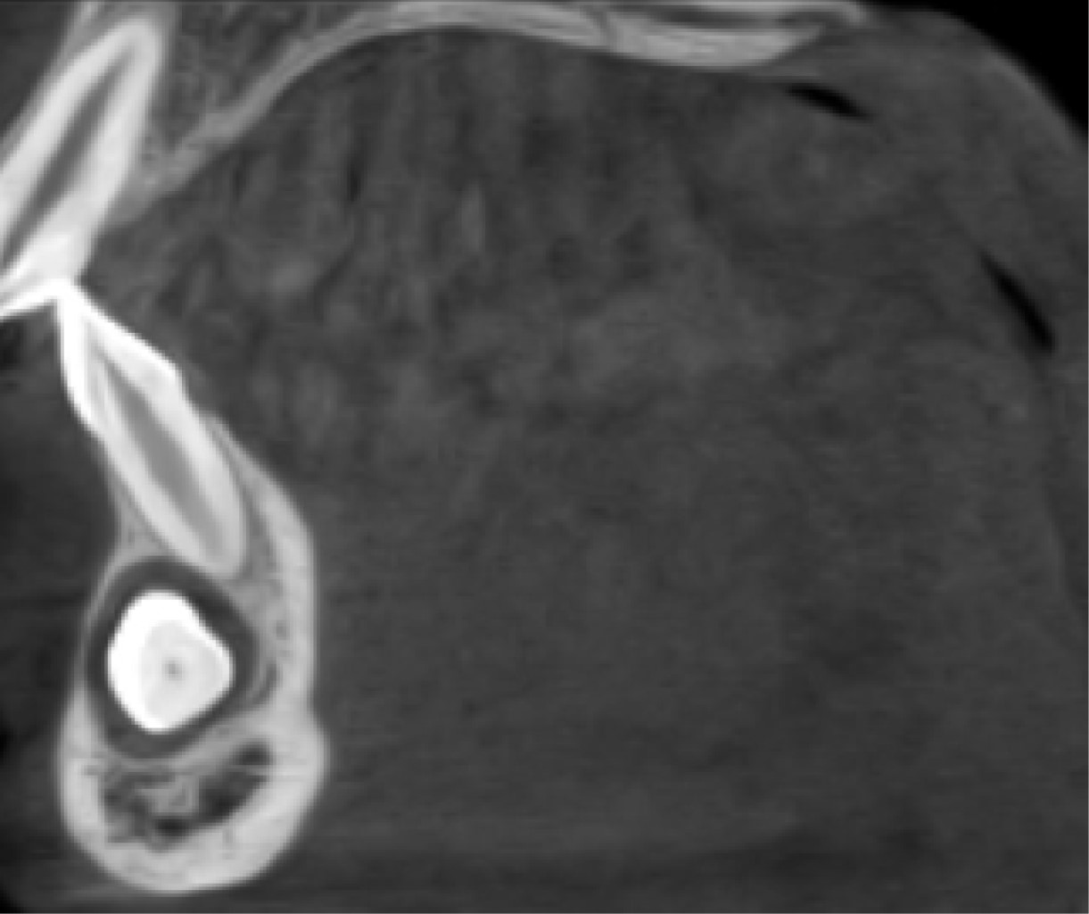
Se indica la exodoncia de la pieza; sin embargo, el paciente no acude a su cita quirúrgica. Un año después, en agosto de 2017, vuelve a acudir a la consulta y es derivado a toma de TCCB, donde se puede apreciar la disposición que adoptó el canino inferior transmigrado (Figura 4).

En todas las citas se les informa a los padres de la importancia de realizar la exodoncia del canino y sus posibles consecuencias, así como el consentimiento informado para la publicación del caso. En enero de 2020, el paciente se somete a la extracción del canino para evitar el daño a los dientes asociados. Al control radiográfico de seis meses se puede observar que las piezas adyacentes se encuentran indemnes y sin cambios de coloración clínica (Figura 5).

Para terminar el caso, se indica tratamiento de ortodoncia a la espera del tratamiento definitivo con un implante dentario para reemplazo del canino.



DISCUSIóN

La clasificación para la transmigración intraósea y erupción ectópica de caninos inferiores, de acuerdo con su patrón migratorio y la posición mandibular respecto a la línea media, describe cinco tipos,2 siendo el tipo 1 el más frecuente.5 El caso descrito corresponde al patrón tipo 1, en relación con la pieza 3.1 y 3.2 y su eje longitudinal se encuentra en una posición inclinada hacia mesial; presenta una migración unilateral que según la literatura científica es más común que la migración bilateral. Así también, el canino inferior izquierdo es el que se ve afectado con más frecuencia en mujeres que hombres.3,5,6,9 El presente caso es, por el contrario, un paciente masculino; la razón de la predilección de género no está clara, se cree que es debido a que las mujeres tienden a consultar con más frecuencia por las complicaciones en la estética que se produce.10

Los pacientes con transmigración canina se caracterizan a menudo por presentar hipodoncia mandibular de los incisivos laterales o segundo premolar, defectos en el desarrollo del esmalte, reducción del número de dientes o caninos superiores retenidos.5,8 Sin embargo, en el caso reportado no se presentó reabsorción de las raíces de las piezas adyacentes ni otras patologías asociadas, excepto por la exfoliación de la pieza temporal al último control registrado.

Sharma y Nagpal10 sugirieron que la angulación del eje longitudinal del canino no erupcionado con respecto al plano medio sagital siempre debe evaluarse en el periodo de dentición mixta, ya que una intervención temprana y oportuna conduce a un mejor manejo del canino transmigrado y, por lo tanto, evita posibles complicaciones asociadas a la migración del canino a través de la línea media.3

Es útil analizar el grado de inclinación canina en una radiografía panorámica en el diagnóstico precoz de la transmigración. El ángulo de inclinación canino entre 30o y 50o puede indicar la presencia de la transmigración. Cuando es mayor de 50o indicaría una clara presencia de una futura transmigración.8 En la Figura 1 se observa una ligera mesioinclinación de los caninos inferiores, aunque no son concluyentes o inducen a sospechar de una futura transmigración en nuestro caso.

Según Koszowski y colaboradores,6 20% de todos los casos de caninos erupcionan en la línea media, o en el lado opuesto de la arcada dental, por lo general hacia la cortical vestibular. En el caso del desplazamiento más largo registrado, un canino migró hasta la raíz mesial del primer molar. La distancia en la migración es variable.6 En esta investigación, por la posición horizontal y el gran trayecto recorrido, se concluye que las posibilidades de erupcionar son casi nulas, por eso se recomendó la extracción del canino.

En la literatura hay una amplia gama de tratamientos que incluyen extracción, tratamientos de ortodoncia, trasplante y observación. El tratamiento depende en parte de la posición radiográfica, madurez del diente, signos clínicos, deseos del paciente y el plan general de tratamiento dental, y principalmente las posibilidades de erupción. Sin embargo, en la mayoría de los casos el tratamiento implica la extracción del diente retenido.2,3 Se sugiere que cuando la corona del canino ha migrado más allá del incisivo contralateral, o si el vértice ha migrado más allá de la cúspide del incisivo lateral adyacente, podría ser mecánicamente imposible llevar el canino a su posición correcta.2 Para esta publicación se realizó la extracción quirúrgica del canino en transmigración y controles posteriores de un posible cierre de espacio, a la espera de realizar el tratamiento final de reemplazo por implante, una vez terminado el crecimiento del paciente.



CONCLUSIóN

El diagnóstico, evaluación y tratamiento de la transmigración canina es crucial para prevenir complicaciones estéticas y funcionales. A través del reconocimiento precoz de anomalías dentales, muchas complicaciones pueden evitarse, en especial la extracción de la pieza involucrada.

El tratamiento ideal a seguir en el caso descrito es la extracción de la pieza y del folículo dental inflamado, con un posterior tratamiento de ortodoncia para estabilización de las arcadas, para después entregar una solución estética y definitiva por medio de un implante dentario una vez terminado el crecimiento del paciente.


REFERENCIAS (EN ESTE ARTÍCULO)

  1. Dalessandri D, Parrini S, Rubiano R, Gallone D, Migliorati M. Impacted and transmigrant mandibular canines incidence, aetiology, and treatment: a systematic review. Eur J Orthod. 2017; 39 (2): 161-169.

  2. Díaz-Sánchez RM, Castillo-De-Oyagüe R, Serrera-Figallo MA, Hita-Iglesias P, Gutiérrez-Pérez JL, Torres-Lagares D. Transmigration of mandibular cuspids: Review of published reports and description of nine new cases. Br J Oral Maxillofac Surg. 2016; 54 (3): 241-247.

  3. Vaida L, Todor BI, Corega C, Baciut M, Baciut G. A rare case of canine anomaly - A possible algorithm for treating it. Rom J Morphol Embryol. 2014; 55 (3 Suppl): 1197-1202.

  4. Bhullar MK, Aggarwal I, Verma R, Uppal AS. Mandibular canine transmigration: report of three cases and literature review. J Int Soc Prev Community Dent. 2017; 7 (1): 8-14.

  5. Cavuoti S, Matarese G, Isola G, Abdolreza J, Femiano F, Perillo L. Combined orthodontic-surgical management of a transmigrated mandibular canine. Angle Orthod. 2016; 86 (4): 681-691.

  6. Koszowski R, Pisulska-Otremba A, Wójcik S, Smieszek-Wilczewska J. Canine transmigration accompanying mandibular retrognathism secondary to osteitis. Open Med (Wars). 2015; 10 (1): 566-571.

  7. Kamiloglu B, Kelahmet U. Prevalence of impacted and transmigrated canine teeth in a Cypriote orthodontic population in the Northern Cyprus area. BMC Res Notes. 2014; 7: 346.

  8. Gruszka K, Rózylo TK, Rózylo-Kalinowska I, Denkiewicz K, Maslowska K. Transmigration of mandibular canine – case report. Pol J Radiol [Internet]. 2014; 79: 20-23.

  9. Pérez Flores MA, Pérez Flores P, Fierro Monti C. Alteraciones en la erupción de caninos permanentes. Int J Morphol. 2009; 27 (1): 139-143.

  10. Sharma G, Nagpal A. A study of transmigrated canine in an Indian population. Int Sch Res Notice. 2014; 2014: 756516.



AFILIACIONES

1 Departamento de Pediatría Bucal, Facultad de Odontología de la Universidad de Concepción, Chile.



CORRESPONDENCIA

Antonieta Pérez-Flores. E-mail: mperezf@udec.cl




Recibido: Agosto 2019. Aceptado: Marzo 2020.

Figura 1
Figura 2
Figura 3
Figura 4
Figura 5

2020     |     www.medigraphic.com

Mi perfil

C?MO CITAR (Vancouver)

Rev Odont Mex. 2021;25

ARTíCULOS SIMILARES

CARGANDO ...