medigraphic.com
ENGLISH

Acta Médica Grupo Ángeles

Órgano Oficial del Hospital Ángeles Health System
  • Mostrar índice
  • Números disponibles
  • Información
    • Información general        
    • Directorio
  • Publicar
    • Instrucciones para autores        
    • Envío de artículos
    • Políticas
    • Nombre y afiliación del Comité Editorial
  • Nosotros
    • Plan de gestión e intercambio de datos
    • Objetivos declarados y alcance
  • medigraphic.com
    • Inicio
    • Índice de revistas            
    • Registro / Acceso
  • Mi perfil

2022, Número 2

<< Anterior Siguiente >>

Acta Med 2022; 20 (2)


Síndrome de Tietze

González, David Jiónathan Fabián1; Sánchez Cortázar, Julián2; Gómez Pérez, María de Guadalupe3
Texto completo Cómo citar este artículo 10.35366/104287

DOI

DOI: 10.35366/104287
URL: https://dx.doi.org/10.35366/104287

Idioma: Español
Referencias bibliográficas: 0
Paginas: 199-200
Archivo PDF: 95.74 Kb.


PALABRAS CLAVE

Sin palabras Clave



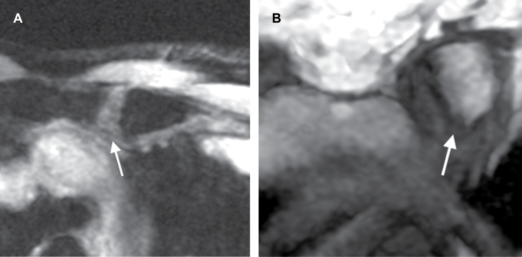
Mujer de 22 años que inicia con dolor focal y aumento de volumen en topografía de la articulación esternoclavicular izquierda de tres semanas de evolución. Negó traumatismos o algún otro factor desencadenante. Su médico le solicitó resonancia magnética, en la cual se aprecia engrosamiento e irregularidad del cartílago articular con predominio en la región inferior-interna de la articulación, asociada a edema subcondral (Figura 1).

El síndrome de Tietze, también llamado costocondritis, fue introducido por Alexander Tietze en 1921 y se caracteriza por una insuflación y engrosamiento doloroso de carácter inflamatorio no supurado, el cual se localiza en uno o más cartílagos costoesternales. Aparece en todas las edades, pero tiene predilección por la segunda y tercera década de la vida, con afinidad por el sexo femenino.

Aún existe debate sobre la etiopatogenia, pero se pueden identificar posibles desencadenantes como traumatismos en la pared torácica anterior, tos crónica, exceso de uso de la extremidad superior, estereotomía en pacientes sometidos a cirugías cardiacas o inflamaciones inespecíficas de las articulaciones costoesternales. Se ha asociado a enfermedades sistémicas inflamatorias como poliartritis reumática, artritis infecciosa, gota, artritis psoriásica, lupus eritematoso así como síntomas psicosomáticos (angustia y estrés). Los hallazgos histopatológicos sólo han demostrado aumento en la vascularización y cambios degenerativos.

Clínicamente se caracteriza por síntomas dolorosos con expresión variable, tiempos de evolución prolongados, progresivos, nunca de aparición brusca o aguda, el dolor precede a la aparición del abultamiento, esta sintomatología se exacerba con el ejercicio y la actividad. A la exploración física se evidencia tumefacción en la zona, dolorosa a la palpación, de aspecto denso y sin fluctuaciones.

Las modalidades por imagen que se utilizan son radiografía convencional, tomografía computarizada, gammagrafía, ultrasonido y resonancia magnética, esta última es excelente para mostrar anomalías cartilaginosas, articulares y óseas.

Los hallazgos característicos por resonancia magnética son engrosamiento del cartílago con aumento en la intensidad de señal de manera focal o generalizada en secuencias T2, STIR o T2 Fat Sat, edema subcondral y reforzamiento tras la administración de medio de contraste (Figura 2).

La importancia de hacer el diagnóstico de síndrome de Tietze radica en que a menudo simula el dolor por isquemia coronaria, motivo por el cual es esencial hacer el diagnóstico diferencial del mismo. Es importante realizar una adecuada anamnesis con el fin de evitar errores en el diagnóstico así como descartar primeramente patología cardiaca isquémica que conlleva a pronósticos desfavorables a través de electrocardiograma, y una vez descartada, realizar una resonancia magnética costoesternal y corroborar el diagnóstico.




AFILIACIONES

1 Médico Residente del Curso de Alta Especialidad en Resonancia Magnética del Sistema Músculo Esquelético. Departamento de Resonancia Magnética. Hospital Angeles Pedregal. Ciudad de México. México.

2 Jefe del Departamento de Resonancia Magnética. Hospital Angeles Pedregal. Ciudad de México. México.

3 Profesor Titular del Curso de Alta Especialidad en Resonancia Magnética del Sistema Músculo Esquelético. Departamento de Resonancia Magnética. Hospital Angeles Pedregal. Ciudad de México. México.



CORRESPONDENCIA

Dr. David Jiónathan Fabián González. Correo electrónico: davidjionathan@gmail.com




Aceptado: 29-09-2020.

Figura 1
Figura 2

2020     |     www.medigraphic.com

Mi perfil

C?MO CITAR (Vancouver)

Acta Med. 2022;20

ARTíCULOS SIMILARES

CARGANDO ...