medigraphic.com
ENGLISH

Anales Médicos de la Asociación Médica del Centro Médico ABC

ISSN 0185-3252 (Impreso)
Revista de la Asociación Médica del Centro Médico ABC
  • Mostrar índice
  • Números disponibles
  • Información
    • Información general        
    • Directorio
  • Publicar
    • Instrucciones para autores        
  • medigraphic.com
    • Inicio
    • Índice de revistas            
    • Registro / Acceso
  • Mi perfil

2022, Número 1

<< Anterior Siguiente >>

An Med Asoc Med Hosp ABC 2022; 67 (1)


Antropometría de senos paranasales y variaciones anatómicas en población mestiza

Díaz Sáinz, Daniel Eber1; Bravo Arteaga, Sandra Yadmina1; Pineda Cásarez, Fernando2; Durán Ortíz, Mariana2; Estrada Herrera, Aldo3
Texto completo Cómo citar este artículo 10.35366/104361

DOI

DOI: 10.35366/104361
URL: https://dx.doi.org/10.35366/104361
Artículos similares

Idioma: Español
Referencias bibliográficas: 30
Paginas: 5-11
Archivo PDF: 316.82 Kb.


PALABRAS CLAVE

Antropometría, senos paranasales, variantes anatómicas.

RESUMEN

Introducción: Los senos paranasales son regiones con gran variabilidad anatómica. Debido al auge actual que representa la cirugía funcional de senos paranasales, es importante conocer las variantes anatómicas, dimensiones y volumetría de las estructuras que conforman los senos paranasales en la población mestiza. Objetivo: Describir la prevalencia en tomografía computada de las principales variantes anatómicas de los senos paranasales, así como sus dimensiones y volumetría en una muestra de población mestiza mexicana. Material y métodos: Estudio transversal, descriptivo y prospectivo basado en una revisión imagenológica de los senos paranasales de 186 casos, realizadas en el Hospital Regional "General Ignacio Zaragoza", ISSSTE. El análisis de datos consta de medir la longitud de los tres ejes de cada seno para el cálculo del área del mismo, análisis estadístico de las dimensiones y desviación estándar. Se obtuvo la prevalencia y porcentaje de las variantes anatómicas más comunes. El análisis estadístico para obtener moda, mediana, promedio y desviaciones estándar se realizó con SPSS. Resultados: Se obtuvieron las dimensiones y volumen de los senos paranasales, así como la prevalencia de las variantes anatómicas, distancia de la espina nasal a estructuras esfenoidales, inserción de proceso uncinado, altura de techo etmoidal, variantes del seno esfenoidal. Se realizaron tablas comparativas con estudios similares. Conclusiones: Es importante identificar las variantes anatómicas para realizar una cirugía funcional de senos paranasales segura. Analizar la tomografía computarizada nos permite reconocer las dimensiones y variantes de las estructuras que intervienen en la cirugía.



INTRODUCCIóN

Los senos paranasales son una de las regiones anatómicas con múltiples variaciones. Durante la evaluación de un paciente es importante identificar las estructuras y las variaciones que pueden propiciar patología nasosinusal. La adecuada descripción de las variantes anatómicas y su relación con estructuras críticas adyacentes sirven al cirujano como guía, para evitar posibles complicaciones y garantizar un abordaje seguro durante la cirugía funcional endoscópica de senos paranasales (CFESPN).1

Los senos paranasales se originan de divertículos en la pared de las fosas nasales y se extienden en los huesos adyacentes de los que toman sus nombres. Existe mucha variación entre las medidas de los senos.2 Las generalidades de los senos paranasales son conocidas por el personal de salud, por lo que no se hará una descripción detallada de la anatomía básica.3 A continuación se describen las variantes anatómicas más comunes.

Los cornetes medios paradójicos se presentan cuando la convexidad del cornete medio es lateral y no medial, alejándose del septum nasal. Se asocia con una incidencia más alta de sinusitis aguda y crónica.4

El cornete medio puede estar neumatizado en su porción bulbosa (concha bullosa bulbosa), en su porción lamelar (concha bullosa lamelar) o ambas (concha bullosa extensa), disminuyendo la amplitud del infundíbulo etmoidal.4

Las celdillas etmoidales más anteriores (Agger Nasi), que se extienden anteriormente en el hueso lacrimal se diagnostican cuando en un corte coronal hay neumatización del dorso nasal anterior a la inserción del cornete medio.1

La altura del techo etmoidal es de gran relevancia en procedimientos quirúrgicos de resección frontoetmoidal. Se debe medir en cada lado la distancia entre la lámina cribosa y el techo etmoidal anterior (altura de la lamela lateral de la lámina cribosa). Según la clasificación de Keros (1962) se divide en tres tipos: tipo I < 3 mm; tipo II 3-7 mm; tipo III > 7 mm.4

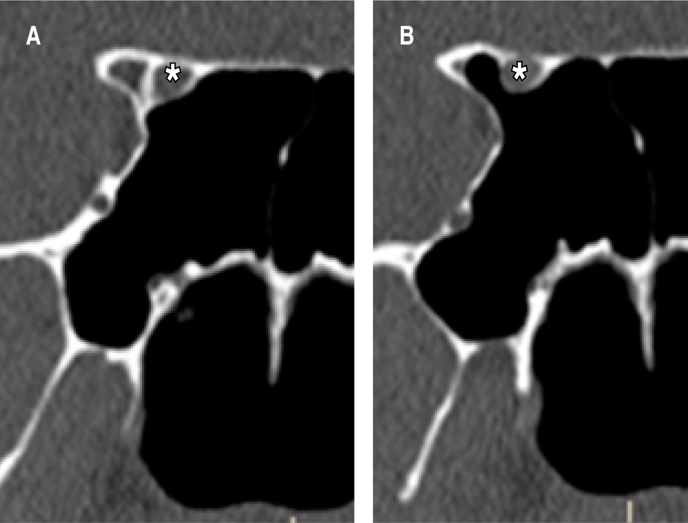
Las celdillas esfenoetmoidales (Onodi) se extienden sobrepasando posteriormente la pared anterior del seno esfenoidal y están localizadas entre el seno esfenoidal y el piso de la fosa craneal anterior. Pueden llegar a contactar el nervio óptico y la arteria carótida interna, exponiéndose a lesión.1

Las celdillas etmoidomaxilares (Haller) son infraorbitarias, se observan localizadas a lo largo del piso orbitario, anterior a la bula etmoidal y adyacente al ostium del antro maxilar. Si no son resecadas durante el procedimiento quirúrgico, pueden ser una de las causas de fracaso de la antrostomía maxilar.4

El proceso uncinado usualmente tiene una orientación a 140o de la pared lateral nasal, pero puede estar desviada en sentido medial o lateral. Puede encontrarse neumatizado (bula uncinada), y eventualmente disminuir la amplitud del infundíbulo. Se describen tres inserciones del proceso uncinado: pared lateral nasal, cornete medio, techo etmoidal.1

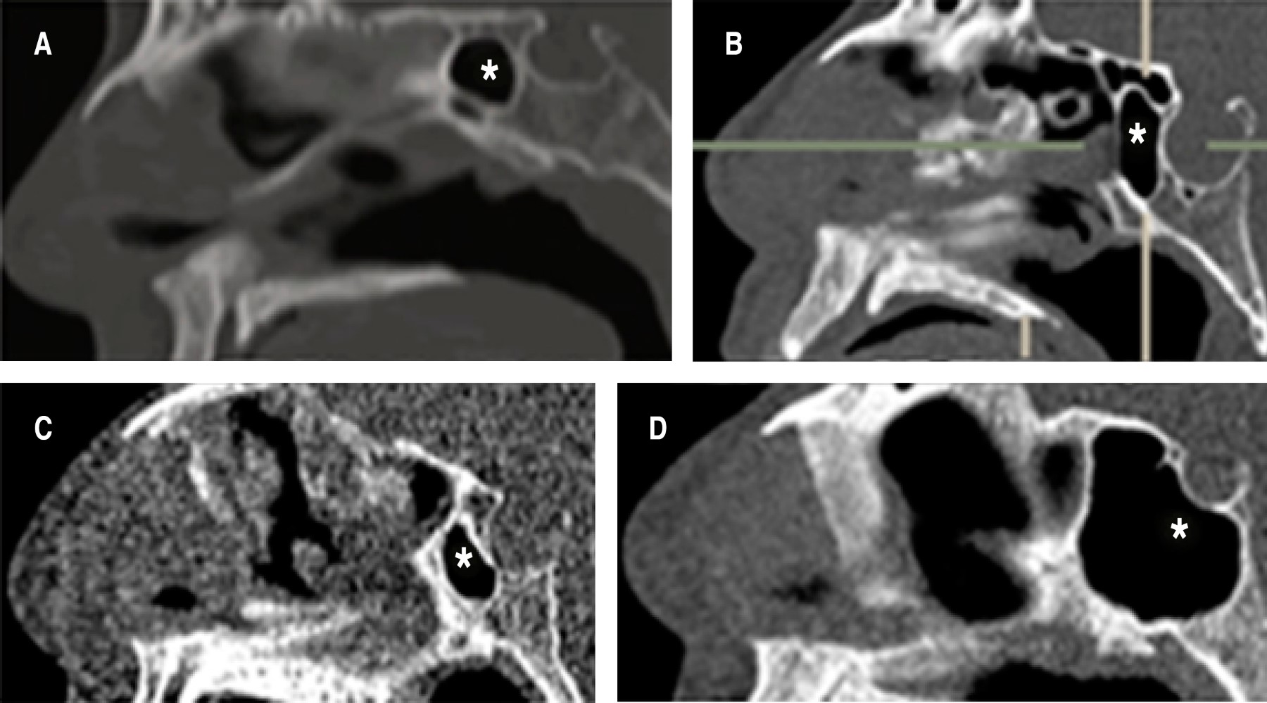
Basado en la extensión de la neumatización, el seno esfenoidal puede clasificarse en: tipo conchal, el seno esfenoidal es un espacio pequeño enfrente de la pared anterior de la silla turca. Tipo presellar, el seno esfenoidal se encuentra en relación a la pared anterior, la pared posterior del seno esfenoidal se localiza enfrente de la pared posterior de la silla turca. Tipo sellar, la pared posterior del seno esfenoidal está localizada entre la pared anterior y posterior de la silla turca. Tipo postsellar: la pared posterior del seno esfenoidal se localiza posterior a la pared de la silla turca (Figura 1).5,6

Según la clasificación de Delano, se puede hablar de cuatro variantes del trayecto del nervio óptico en cuanto a su relación con los senos paranasales. Tipo I, el nervio óptico cursa inmediatamente adyacente al seno esfenoidal pero sin tener contacto con las celdillas etmoidales posteriores, ni indentar la pared. Tipo II, cursa adyacente al seno esfenoidal causando la indentación de la pared del seno. Tipo III, atraviesa el seno esfenoidal y es rodeado en al menos 50% por aire. Tipo IV, está en contacto directo con el seno esfenoidal y con las celdillas etmoidales posteriores (Figura 2).1

Objetivo: describir la prevalencia en tomografía computada de las principales variantes anatómicas de los senos paranasales, así como sus dimensiones y volumetría en una muestra de población mestiza mexicana.



MATERIAL Y MéTODOS

Estudio transversal, descriptivo y prospectivo basado en una revisión imagenológica de los senos paranasales mediante el análisis de 186 casos de tomografías computarizadas (88 mujeres, 98 hombres), realizadas en el centro de imagenología de nuestro hospital. Los exámenes fueron realizados en un tomógrafo SOMATON Sensation® (Siemens®) de 64 canales, con el cual se hizo adquisición volumétrica, tras lo cual se realizaron reconstrucciones axiales cada 5 mm y reconstrucciones coronales y sagitales cada 3 mm, todas en ventana ósea. No se utilizó medio de contraste endovenoso. Las mediciones se realizaron con el visor TESI, parte del sistema institucional. Como criterios de inclusión tenemos los siguientes: pacientes mayores de 18 años, estudios tomográficos de nariz y seno paranasales o macizo facial, con reconstrucción tridimensional, los cuales se encuentran en el acceso remoto del sistema institucional (ISSSTE) de junio de 2018 a diciembre de 2019. Los criterios de exclusión son: patología crónica de los senos paranasales, traumatismo facial con fractura, síndromes craneofaciales, antecedente de CFESPN. El criterio de eliminación es que el estudio tomográfico no tenga la cantidad de cortes necesarios para realizar reconstrucción en tres dimensiones.

El análisis de datos consta en la medición de longitud de los tres ejes de cada seno utilizando los límites expuestos en el trabajo de Marino y colaboradores,7 con el cálculo de área del mismo y calculando el promedio de ambos lados, análisis estadístico de las dimensiones y desviación estándar. Para el cálculo del área se utilizará la fórmula de Agnieska y su equipo,8 la cual está validada con dimensiones lineares y comparada con programas tomográficos que realizan la reconstrucción del área. Se realiza incidencia de las variantes anatómicas más comunes y cálculo de porcentaje. El análisis estadístico desde moda, mediana, promedio y desviaciones estándar se realizó con SPSS para Windows 11.9



RESULTADOS

En la Figura 3 se presentan los resultados del promedio de volumen de los senos paranasales. En la Tabla 1 tenemos el promedio de las dimensiones lineales, así como el volumen de cada seno, con desviación estándar para cada valor.

En la Tabla 2 podemos observar la prevalencia de cada variante anatómica medida. Se presenta el número de casos obtenidos y el porcentaje.



DISCUSIóN

Se encontraron dimensiones similares a las reportadas en la literatura como las descritas en los trabajos de Karakas,20 Aydemir29 y Cohen.18 En dimensiones lineales y de volumen, así como en las distancias de la espina nasal a los puntos de referencia en el seno esfenoidal son distancias menores. Si bien la mayoría de las investigaciones se realizaron con población caucásica, no se encontraron estudios con mediciones en población mestiza.

En el estudio de Ariji y colaboradores30 se estudiaron 115 casos de senos maxilares con una media de 14.71 y DE 6.33 cm3. Resultados mayores a los obtenidos en nuestro estudio. Se realiza comparación con estudios publicados del mismo tema, como se puede ver en la Tabla 3.

Para las celdillas de Haller se tenía como referencia el estudio realizado por Shrinivas y su grupo,27 donde se encontró una prevalencia de 10% (30/300 casos). Mientras que Kantarci y su equipo28 obtuvieron 18%. Nuestra prevalencia fue de 13.44% (25/186 casos).

En el estudio de Tramotini y colaboradores1 se obtuvieron los siguientes datos: celdillas de Agger Nasi de 3-100%, celdillas de Onodi de 8-14%, apófisis unciforme neumatizada de 0.4-2.5%, incurvación paradójica del cornete medio 3-30%, concha bullosa de 14-35%. En la prevalencia de las celdillas de Onodi se obtuvieron valores mayores y en la prevalencia de concha bullosa valores menores. En el trabajo de Bolger y colaboradores22 se encontraron las siguientes prevalencias: neumatización de la unciforme 2.5%, neumatización del cornete medio 53%, incurvación paradójica del cornete medio 26.1%, valores mayores a los obtenidos. Se puede observar la comparativa con estudios que midieron la prevalencia de algunas variantes anatómicas en la Tabla 4.



CONCLUSIONES

Es importante conocer las variantes anatómicas y saberlas identificar para realizar una CFESPN segura. El abordaje mediante tomografía computarizada nos permite un análisis preciso tanto de dimensiones como al identificar variantes y estructuras que intervienen en la cirugía. Además de ser el método imagenológico de elección para diagnóstico y planeación quirúrgica. Como parte de la planeación, se deben identificar todas las variantes anatómicas para así realizar un protocolo quirúrgico seguro.


REFERENCIAS (EN ESTE ARTÍCULO)

  1. Tramontini C, Moreno A, Mora J, Ordoñez L. Variantes anatómicas de los senos paranasales: hallazgos por imagen y relevancia quirúrgica. Rev Medica Sanitas. 2015; 18 (1): 39-43.

  2. Leuning A. Cirugía endoscópica de la pared nasal lateral, de los senos paranasales y de la base anterior del cráneo: Principios y casos clínicos. Primera Edición. Alemania: Ed. Straub Druck + Medien AG. 2009. pp. 12-27.

  3. Jankowski R, Nguyen D, Poussel M, Chenuel B, Gallet P et al. Sinusology. Eur Ann Otorhinolaryngol Head Neck Dis. 2016; 133 (4): 263-268. Available in: http://dx.doi.org/10.1016/j.anorl.2016.05.011

  4. Vaid S, Vaid N. Normal anatomy and anatomic variants of the paranasal sinuses on computed tomography. Neuroimaging Clin N Am. 2015; 25 (4): 527-548. Available in: http://dx.doi.org/10.1016/j.nic.2015.07.002

  5. Pirinc B, Fazliogullari Z, Guller I, Dogan UN, Uysal II et al. Classification and volumetric study of the sphenoid sinus on MDCT images. Eur Arch Otorhinolaryngol. 2019; 276 (10): 2887-2894. Available in: https://doi.org/10.1007/s00405-019-05549-8

  6. Dharambir S, Krishan K. Endoscopic pituitary surgery. Oper Tech Otolaryngol. 2007; 18: 57-64.

  7. Marino M, Weinstein J, Riley C, Levy J, Emerson M et al. Assessment of pneumatization of the paranasal sinuses: a comprenhensive and validated metric. Int Forum Allergy Rhinol. 2016; 6: 429-436.

  8. Przystanska A, Kulczyk T, Rewekant A, Sroka A, Jonczyk-Potoczna K, Lorkiewicz-Muszy?ska D, Gawrio?ek K, Czajka-Jakubowska A. Introducing a simple method of maxillary sinus volume assessment based on linear dimensions. Ann Anat. 2018; 215: 47-51. Available in: https://doi.org/10.1016/j.aanat.2017.09.010

  9. Wanzeler A, Melo S, Ayres L, Costa M, Teixeira J et al. Sex estimation using paranasal sinus discriminant analysis: a new approach via cone beam computerized tomography volume analysis. Int J Legal Med. 2019; 133 (6): 1977-1984. Available in: https://doi.org/10.1007/s00414-019-02100-6

  10. Kawarai Y, Fukushima K, Ogawa T, Nishizaki K, Gunduz M, Fujimoto M et al. Volume quantification of healthy paranasal cavity by three-dimensional CT imaging. Acta Otolaryngol Suppl. 1999; 540: 45-49.

  11. Yonetsu K, Watanabe M, Nakamura T. Age-related expansion and reduction in aeration of the sphenoid sinus: volume assessment by helical CT scanning. AJNR Am J Neuroradiol 2000; 21: 179-182.

  12. Fernandes CL. Volumetric analysis of maxillary sinuses of Zulu and European crania by helical, multislice computed tomography. J Laryngol Otol 2004; 118 (11): 877-881.

  13. Emirzeoglu M, Sahin B, Bilgic S, Celebi M, Uzun A. Volumetric evaluation of the paranasal sinuses in normal subjects using computer tomography images: a stereological study. Auris Nasal Larynx. 2007; 34 (2): 191-195.

  14. Park IH, Song JS, Choi H, Kim TH, Hoon S, Lee SH et al. Volumetric study in the development of paranasal sinuses by CT imaging in Asian: a pilot study. Int J Pediatr Otorhinolaryngol. 2010; 74 8(12): 1347-1350.

  15. Mokhasanavisu V, Singh R, Balakrishnan R, Kadavigere R. Ethnic Variation Anatomy on CT Scan and Volumetric Analysis. Indian J Otolaryngol Head Neck Surg. 2019; 71 (Suppl 3): 2157-2164. Available in: https.//doi.org/10.1007/s12070-019-01600-6

  16. Selcuk OT, Erol B, Renda L, Osma U, Eyigor H, Gunsoy B et al. Do altitude and climate affect paranasal sinus volume? J Craniomaxillofac Surg. 2015; 43 (7): 1059-1064. Available in: http://dx.doi.org/10.1016/j.jcms.2015.05.013

  17. Marino M, Riley C, Kessler R, McCoul ED. Clinical assessment of paranasal sinus pneumatization is correlated with total sinus volume. Int Forum Allergy Rhinol. 2016; 6 (10): 1088-1093.

  18. Cohen O, Warman M, Fried M, Shoffel H, Adi M et al. Volumetric analysis of the maxillary, sphenoid and frontal sinuses: a comparative computarized tomography based study. Auris Nasus Larynx. 2018; 45 (1): 96-102.

  19. Sahlstrand-Johnson P, Jannert M, Strombeck A, Abul-Kasim K. Computed tomography measurements of different dimensions of maxillary and frontal sinuses. BMC Med Imaging. 2011; 11: 8.

  20. Karakas S, Kavakli A. Morphometric examination of the paranasal sinuses and mastoid air cells using computed tomography. Ann Saudi Med. 2005; 25 (1): 41-45.

  21. Rowe-Jones J, Mackay I, Colguhoun I. Charing cross CT protocol for endoscopic sinus surgery. J Laryngol Otol. 1995; 109 (11): 1057-1060.

  22. Bolger W, Butzin C, Parsons D. Paranasal sinus bony anatomic variations and mucosal abnormalities: CT analysis for endoscopic sinus surgery. Laryngoscope. 1991; 101: 56-64.

  23. Badia L, Lund VJ, Wei W, Ho WK. Ethnic variation in sinonasal anatomy on CT-scanning. Rhinology. 2005; 43 (3): 210-214.

  24. Tonai A, Baba S. Anatomic variations of the bone in sinonasal CT. Acta Otolaryngol Suppl 1996; 525: 9-13.

  25. Lloyd GA, Lund VJ, Scadding GK. CT of the paranasal sinuses and functional endoscopic surgery: a critical analysis of 100 symptomatic patients. J Laryngol Otol. 1991; 105 (3): 181-185.

  26. Pérez-Piñas, Sabaté J, Carmona A, Catalina-Herrera CJ, Jiménez-Castellanos J. Anatomical variations in the human paranasal sinus region studied by CT. J Anat. 2000; 197: 221-227.

  27. Shrinivas R, Sagar K, Sagar N, Sanjeev O, Abhay K et al. Prevalence of Haller's cells: a panoramic study. Ann Maxillofac Surg. 2019; 9: 72-77.

  28. Kantarci M, Karasen RM, Alper F, Onbas O, Okur A, Karaman A. Remarkable anatomic variations in paranasal sinus region and their clinical importance. Eur J Radiol. 2004; 50 (3): 296-302.

  29. Aydemir L, Doruk C, Caytemel B, Sahin B, Sahin E et al. Paranasal sinus volumes and headache: is there a relation? Eur Archs Otorhinolaryngol. 2019; 276: 2267-2271.

  30. Ariji Y, Kuroki T, Moruguchi S, Ariji E, Kanda S. Age changes in the volume of the human maxillary sinus: a study used computed tomography. Dentomaxillofac Radiol. 1994; 23 (3): 163-168.



AFILIACIONES

1 Médico residente de Otorrinolaringología y Cirugía de Cabeza y Cuello, Facultad Mexicana de Medicina Universidad La Salle México, Hospital Regional "General Ignacio Zaragoza", ISSSTE. Ciudad de México, CDMX.

2 Médico adscrito al Servicio de Otorrinolaringología y Cirugía de Cabeza y Cuello del Hospital Regional "General Ignacio Zaragoza", ISSSTE; Profesor de postgrado Facultad Mexicana de Medicina Universidad La Salle México. Ciudad de México, CDMX.

3 Médico Especialista en Otorrinolaringología y Cirugía de Cabeza y Cuello, práctica privada. Ciudad de México, CDMX.



NIVEL DE EVIDENCIA

III



CORRESPONDENCIA

Daniel Eber Díaz Sáinz. E-mail: dr.dandiazs@gmail.com




Recibido: 14/10/2020. Aceptado: 05/07/2021.

Figura 1
Figura 2
Figura 3
Tabla 1
Tabla 2
Tabla 3
Tabla 4

2020     |     www.medigraphic.com

Mi perfil

C?MO CITAR (Vancouver)

An Med Asoc Med Hosp ABC. 2022;67

ARTíCULOS SIMILARES

CARGANDO ...