medigraphic.com
ENGLISH

Revista Mexicana de Cirugía Endoscópica

ISSN 1665-2576 (Impreso)
  • Mostrar índice
  • Números disponibles
  • Información
    • Información general        
    • Directorio
  • Publicar
    • Instrucciones para autores        
    • Envío de artículos
  • medigraphic.com
    • Inicio
    • Índice de revistas            
    • Registro / Acceso
  • Mi perfil

2021, Número 2

<< Anterior Siguiente >>

Rev Mex Cir Endoscop 2021; 22 (2)


Esplenectomía laparoscópica mano asistida en ruptura esplénica atraumática secundaria a mononucleosis: reporte de un caso

Sagüi-De la Fuente, Lucía1,2; Álvarez-Barragán, Ana Fernanda2; Palacios-Saucedo, Guadalupe Javier2; García-Salas, José Javier3; Almaraz-Celis, Guillermo Daniel4
Texto completo Cómo citar este artículo 10.35366/104407

DOI

DOI: 10.35366/104407
URL: https://dx.doi.org/10.35366/104407
Artículos similares

Idioma: Español
Referencias bibliográficas: 18
Paginas: 89-94
Archivo PDF: 233.86 Kb.


PALABRAS CLAVE

Ruptura esplénica atraumática, mononucleosis infecciosa, esplenectomía laparoscópica mano asistida, esplenomegalia, caso clínico.

RESUMEN

Introducción: La esplenectomía laparoscópica mano asistida (ELMA) se considera como tratamiento electivo en esplenomegalia de más de 20 cm. La incidencia de ruptura atraumática por mononucleosis infecciosa va de 0.1 a 0.5% y tiene mortalidad de 9%. Presentamos el caso de un paciente con ruptura atraumática del bazo secundaria a mononucleosis infecciosa (MI) al cual se le realizó ELMA. Reporte de caso: Paciente masculino de 50 años, con obesidad severa y púrpura trombocitopénica, quien acudió a urgencias con cuadro de dolor abdominal que irradiaba a hombro izquierdo, con serología positiva para dengue y virus de Epstein-Barr (VEB). La tomografía axial computarizada mostró esplenomegalia de 24 cm, líquido libre en correderas parietocólicas y ambas fosas iliacas. Fue hospitalizado y a las 24 horas de su ingreso presentó dolor abdominal intenso y datos de choque hipovolémico grado IV. Técnica quirúrgica: Se decidió efectuar laparoscopía diagnóstica urgente con hallazgos de ruptura esplénica y hemoperitoneo de tres litros. Se llevó a cabo ELMA y control del estado de choche. Conclusiones: La ruptura esplénica por mononucleosis, aunque poco frecuente, debe ser considerada como un probable diagnóstico en casos de esplenomegalia y choque hipovolémico. La ELMA puede considerarse como opción diagnóstica y terapéutica para estos casos, sin necesidad de convertir a cirugía abierta.



INTRODUCCIóN

La causa más común de ruptura esplénica es el traumatismo abdominal, mientras que la ruptura atraumática suele ocurrir por patología secundaria a infiltración infecciosa, hematológica o maligna del bazo y es mucho menos frecuente. De estas últimas, la ruptura esplénica por mononucleosis infecciosa (MI) es una complicación todavía menos común, pero con alta mortalidad. En este artículo se presenta un caso de choque hipovolémico secundario a ruptura esplénica, en un paciente con comorbilidades agravantes que pudo ser resuelto por esplenectomía laparoscópica mano asistida (ELMA) y se discuten las ventajas de este abordaje en una situación de urgencia.



PRESENTACIóN DEL CASO

Paciente masculino de 50 años de edad con antecedente de síndrome de Klinefelter, púrpura trombocitopénica idiopática, cirugía bariátrica nueve años antes, alcoholismo positivo y obesidad grado III con índice de masa corporal (IMC) de 53. Acudió a urgencias por cuadro de dolor abdominal de 24 horas de evolución en hipocondrio izquierdo y epigastrio tipo punzante 8/10 en la escala visual análoga (EVA), irradiado a hombro izquierdo en su cara anterior y posterior, además de diaforesis, evacuaciones pastosas no fétidas, astenia y adinamia.

A la exploración física al ingreso a urgencias presentó: TA 100/60 mmHg, FC 98 lpm, FR 18 rpm, temperatura 36.7 oC, palidez de tegumentos generalizada, mucosas subhidratadas, tórax con ruidos cardiacos rítmicos, campos pulmonares con disminución del murmullo vesicular, abdomen globoso a expensas de panículo adiposo, dolor a la palpación superficial en epigastrio y flanco izquierdo, sensibilidad aumentada, signo de Blumberg (-), sin resistencia muscular, timpánico a la percusión y peristalsis disminuida.

El reporte de laboratorio fue: hemoglobina (Hb) 11.4 g/dL, leucocitos 4.4 miles/mm3, linfocitos 0.78 x 103/µL, neutrófilos 3.14 x 103/µL, plaquetas 53 miles/mm3, glucosa 117.8 mg/dL, nitrógeno ureico en sangre (BUN) 18 mg/dL, urea 38.5 mg/dL, creatinina 1.0 mg/dL, ácido úrico 5.2 mg/dL, bilirrubina total 2.04 mg/dL, bilirrubina directa 0.79 mg/dL, bilirrubina indirecta 1.25 mg/dL, albúmina 3.0 g/dL, ALT 26 U/L, AST 30 U/L, fosfatasa alcalina (FA) 102 U/L, lactato deshidrogenasa (DHL) 133 U/L, calcio (Ca) 7.8 mg/dL, hierro 80 μg/dL, además serología de inmunoglobulina M (IgM) (+) para dengue.

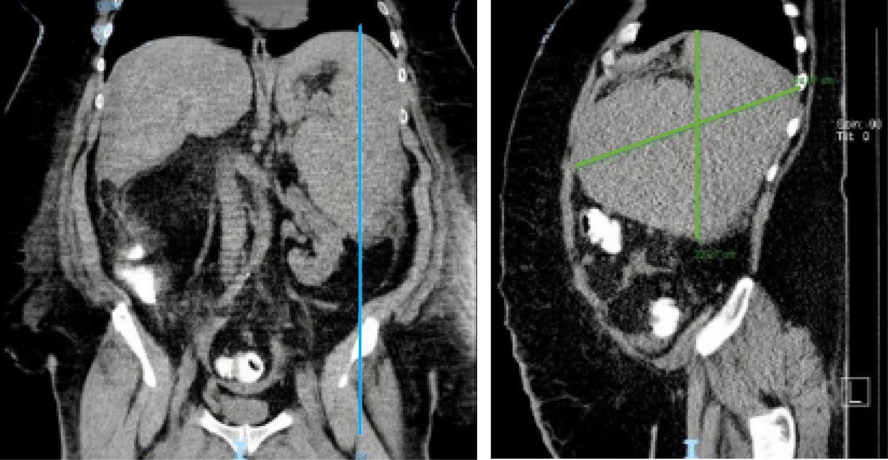
Durante sus primeras horas de estancia intrahospitalaria presentó odinofagia, faringe hiperémica y tos seca, con reporte (+) para virus de Epstein-Barr (VEB). Se solicitó tomografía axial computarizada (TAC) simple de abdomen (Figura 1) reportando derrame pleural bilateral de predominio derecho, esplenomegalia (diámetro máximo de hasta 24 cm), esteatosis hepática con bordes nodulares en su región inferior, presencia de proceso inflamatorio en grasa mesentérica a nivel de mesogastrio con líquido libre en correderas parietocólicas, y en ambas fosas iliacas.

A las 24 horas de su ingreso el paciente nuevamente refirió dolor abdominal de inicio súbito, 10/10 en la EVA, presentó datos de choque hipovolémico grado IV, con datos de irritación peritoneal. Resultados de laboratorio: pancitopenia, plaquetas 31 miles/mm3, Hb 7.0 g/dL, leucocitos 1.7 miles/mm3. Se sospechó de ruptura esplénica espontánea. Se iniciaron medidas de reanimación con cristaloides, paquetes globulares, aféresis plaquetaria y pasó a quirófano para laparoscopía diagnóstica urgente.

Técnica quirúrgica: se colocó al paciente en decúbito lateral derecho a 60o. Un monitor ubicado a la izquierda del paciente, el cirujano a la derecha y el primer ayudante al lado derecho del cirujano. El primer trocar de 10 mm se situó en un punto equidistante entre el ombligo y el reborde costal izquierdo, por el cual se introdujo el laparoscopio, un segundo trocar de 10 mm se colocó 2 cm por debajo del reborde costal a nivel de línea axilar anterior, a través del cual trabajó el cirujano con su mano derecha, el tercer trocar de 5 mm se colocó en un punto equidistante entre el ombligo y el apéndice xifoides a través del cual trabajó el cirujano con su mano izquierda y un cuarto trocar de 5 mm a nivel de la línea axilar media a 2 cm por debajo del reborde costal izquierdo para el trabajo ejecutado por el ayudante.

Al introducir el video-laparoscopio se encontró hemoperitoneo de tres litros aproximadamente, esplenomegalia y ruptura de la cápsula, aspecto moteado y sangrado activo (Figura 2); el hígado se observó con apariencia cirrótica y datos de hipertensión portal con sistema venoso colateral umbilical. Ante los hallazgos y la obesidad del paciente, por el espacio reducido, se hizo incisión de 9 cm en flanco izquierdo para retractor mediano (5-9 cm) para continuar procedimiento mano asistida con levantamiento de bazo y mejor control vascular. Además de bisturí armónico (Figura 3), se usó endograpadora vascular de 45 mm para los vasos esplénicos y vasos cortos, debido a su grosor. Se dejaron hemostáticos en lecho esplénico, se visualizó sangrado hepático en capa, y a causa de las condiciones hemodinámicas y de coagulopatía de consumo, se decidió empaquetamiento hepático con compresas introducidas a través de puerto mano asistida, se colocaron dos superiores al hígado y una inferior. Se colocó drenaje cerrado subfrénico izquierdo, se finalizó evento quirúrgico, trasladando al paciente a la unidad de cuidados intensivos (UCI), la pieza midió 24 cm (Figura 4). Durante las primeras horas posquirúrgicas disminuyó gasto hemático por drenaje y mejoró estabilidad hemodinámica.

A las 48 horas se procedió a nuevo evento quirúrgico para desempaquetamiento bajo visión laparoscópica, y por puerto mano asistida, sin datos de sangrado activo. Se realizó lavado exhaustivo de cavidad, se aplicó hemostático en polvo en superficie hepática, se dejaron drenajes subfrénico izquierdo y derecho, además de pélvico, se cerró aponeurosis de herida de 9 cm de puerto mano asistida y se decidió colocar sistema de cierre asistido al vacío (VAC) en modo intermitente con esponja negra, debido a que se produjo bastante manipulación del puerto, además de tener tejido celular subcutáneo con un grosor de 15 cm. Se egresó de quirófano otra vez a la UCI con ventilación mecánica invasiva.

Durante su estancia en la UCI mejoró condición hemodinámica, respiratoria y nutricional. Se extubó al doceavo día posquirúrgico, con recambios de sistema VAC cada cuatro días por cuatro ocasiones de la herida del puerto mano asistida. En el último recambio se decidió cierre primario tardío de dicha herida. Se dejó VAC sólo incisional para mejor sellado de la misma por siete días. El paciente inició rehabilitación física y respiratoria mostrando evolución favorable. Se aplicó esquema de vacunación correspondiente contra neumococo, meningococo, H. influenzae y se decidió alta hospitalaria a los 31 días de su ingreso. La patología se reportó con esplenomegalia de 1,340 g, fibrosis y congestión difusa de la pulpa roja, hiperplasia linfoide folicular severa de la pulpa blanca, metaplasia mieloide focal y hematoma en cápsula esplénica con ruptura.



DISCUSIóN

La esplenectomía laparoscópica (EL) es el abordaje de elección para las enfermedades benignas y malignas del bazo.1,2 La primer EL fue llevada a cabo en 1991 por Delaitre y Maignien y desde entonces se ha demostrado que disminuye la morbilidad y la estancia hospitalaria, hay menor dolor posoperatorio y mejor resultado cosmético.1 La ELMA se inició en casos de esplenomegalia que excedían los 1,000 g y/o 15 cm de longitud, debido a que la EL, por espacio reducido, incrementaba el tiempo quirúrgico, la pérdida de sangre y los índices de conversión con mayores complicaciones. En la actualidad, en estos casos y sobre todo con bazos mayores a 19 cm se sugiere realizar ELMA.2

Con la ELMA primero se efectúa la visión laparoscópica y después se hace una incisión subxifoidea en línea paramedial izquierda o derecha para el puerto mano asistida, además de la colocación de los trocares. La localización del puerto mano asistida estará determinada por el tamaño y la orientación del bazo.1

Entre la ruptura traumática y la atraumática representan 93% de los casos, mientras que el término espontánea, se refiere a la variedad idiopática representando sólo 7% de los casos.3,4 La ruptura esplénica por mononucleosis infecciosa (MI) es una complicación infrecuente con incidencia reportada de 0.1 a 0.5%.5 Se debe realizar un diagnóstico y manejo oportuno, ya que es la causa más común de muerte secundaria a la infección de MI con 9% de mortalidad.6-14

La EL es considerada el tratamiento estándar para las enfermedades quirúrgicas del bazo desde 1991.3,6 Ante una esplenomegalia masiva, con o sin patologías agregadas, hay riesgo quirúrgico incrementado, por lo que está indicada la ELMA. Fue descrita por primera vez en 1995. Existen pacientes con combinación de padecimientos, además del hiperesplenismo, como distorsión de los vasos colaterales periesplénicos, que desarrollan hipertensión portal secundaria a cirrosis hepática, además de trombocitopenia, con lo que aumenta el riesgo de sangrado y conversión a esplenectomía abierta, requiriendo un tratamiento seguro y efectivo: la ELMA, preferida por muchos.5

En la ELMA se coloca al paciente en decúbito lateral derecho, la incisión del puerto mano asistida está determinada por el tamaño del bazo y la orientación, suele ser de 7 cm, además de trocar de 10 mm, otro de 15 mm y uno más de 5 mm.1 En un metaanálisis y otro estudio de 20 años de experiencia donde comparan ambos grupos, ELMA y EL, se observó que la ELMA disminuye el índice de conversión, la pérdida de sangre y el tiempo quirúrgico, preservando las ventajas de la visión laparoscópica, pero con asistencia manual. No hubo diferencias en estancia hospitalaria, complicaciones o mortalidad entre ambos grupos.6,15

La Asociación Europea de Cirugía Endoscópica sugiere ELMA o esplenectomía abierta en el paciente que presenta esplenomegalia masiva (bazo > 1,000 g o > 20 cm), ya que en la EL llega a ser un desafío trabajar en espacio abdominal reducido por el tamaño del bazo, así como en los casos de hipertensión portal.16

El primer caso publicado en la literatura de ruptura esplénica asociada a MI fue en 1941 por King, en la actualidad continúan existiendo pocos casos. La asociación de MI con púrpura trombocitopénica es extremadamente rara, ocurre en 0.2 a 0.6% de los casos.17 La MI es causada por el virus de Epstein-Barr (90%), y con menor frecuencia (10%) se debe a otros agentes como citomegalovirus, toxoplasmosis, virus de inmunodeficiencia humana, herpes simple tipo 1 y virus herpes 6.6-9 Se manifiesta con la triada: fiebre, faringitis y adenopatías cervicales, aunque la mayoría de personas se mantienen asintomáticas.8-13

La ruptura esplénica espontánea es una complicación rara, suele presentarse a 21 días del inicio de los síntomas, debe sospecharse en pacientes con diagnóstico de MI y presencia de dolor abdominal de inicio súbito en flanco izquierdo con irradiación a hombro ipsilateral en su región anterior y/o posterior (signo de Kehr).10-14,17

El virus de Epstein-Barr induce proliferación de linfocitos B, que genera expansión clonal de linfocitos T con hiperplasia linfoide, linfocitosis plasmática y liberación de citocinas. La presentación clínica con pródromo de cuatro a cinco días, con los síntomas mencionados antes, suele presentarse en un bajo porcentaje de pacientes con VEB.6 El diagnóstico suele ser clínico, pero las pruebas de laboratorio son esenciales para determinarlo en la fase aguda, los anticuerpos heterófilos descritos por Paul y Bunnell en 1932 se presentan en 85 a 90% de los pacientes. La trombocitopenia asociada a MI puede promover sangrado, porque existe disminución de la enzima dismutasa de manganeso y con ello también la protección contra radicales libres, debido a que los anticuerpos alteran el endotelio capilar e incrementan la fragilidad del bazo, llevándolo a aumentar de tamaño.

En los casos de ruptura esplénica, los pacientes con frecuencia presentan hematoma subcapsular que puede estar precedido por hemorragia subcapsular intermitente, anemia e inestabilidad hemodinámica con choque hipovolémico.17 El manejo de la MI suele ser conservador, ya que la mayoría de pacientes cursa con cuadro benigno y autolimitado, sólo 1% tiene complicaciones sistémicas graves presentándose la ruptura esplénica en 0.1 a 0.5% de los casos, con mortalidad de 9%.6-14,18

De darse la ruptura, la esplenectomía urgente es el tratamiento de elección. La EL realizada, por lo común en pacientes con desórdenes hematológicos, es en ocasiones convertida a esplenectomía abierta por sangrados intraoperatorios, en especial en los casos de esplenomegalia masiva, ya que se caracteriza por ser técnicamente desafiante al disponer de espacio reducido en estos pacientes.

Este caso presenta importancia por varias razones, la ruptura esplénica atraumática es una complicación muy poco frecuente en MI con mortalidad considerable si no se atiende con oportunidad, como ya se comentó antes, su asociación con púrpura trombocitopénica es muy rara como en este caso, además de tratarse de un paciente complejo con varias comorbilidades (obesidad severa, MI, dengue e hipertensión portal), al que se ofreció el tratamiento más eficaz que se comenta en la literatura para estos casos: ELMA.

El beneficio para este paciente fue alto, con menor índice de complicaciones. Incluso con base en lo revisado en la literatura, donde se presenta la ruptura espontánea de origen infeccioso con inestabilidad hemodinámica, en la mayoría de los casos terminan en conversión a esplenectomía abierta.6,7,9,17

En este caso se realizó ELMA mostrando las ventajas que ofrece la visión laparoscópica y el tacto del cirujano de la esplenectomía abierta para evitar mayor hemorragia ante la disección vascular en esplenomegalia mayor de 20 cm, esto incrementa la seguridad quirúrgica, la recuperación del paciente y disminuyen sus complicaciones posquirúrgicas al tratarse de un abordaje menos invasivo y más en paciente con obesidad severa, cirrosis e inestabilidad hemodinámica. Siempre teniendo presente que es posible la conversión, sin comprometer la vida del paciente; sin embargo, en este caso hubieran sido mayores las complicaciones en procedimiento abierto.



CONCLUSIONES

Se debe tener presente la mononucleosis infecciosa como causa de ruptura esplénica en casos de esplenomegalia e inestabilidad hemodinámica, aunque su incidencia sea baja, mostrando que el tratamiento oportuno con la ELMA es factible a pesar de la urgencia, con los beneficios del abordaje laparoscópico y las ventajas de la cirugía abierta para el paciente y el cirujano, con un buen pronóstico y menor índice de complicaciones.


REFERENCIAS (EN ESTE ARTÍCULO)

  1. Gamme G, Birch D, Karmali S. Minimally invasive splenectomy: an update and review. Can J Surg. 2013; 56: 280-285.

  2. Misiakos E, Bagias G, Liakakos T, Machairas A. Laparoscopic splenectomy: current concepts. World J Gastrointest Endosc. 2017; 9: 428-437.

  3. Thapar PM, Philip R, Masurkar VG, Khadse PL, Randive NU. Laparoscopic splenectomy for spontaneous rupture of the spleen. J Minim Access Surg. 2016; 12: 75-78.

  4. Lopez EM, Delgado L, Arteaga I et al. Atraumatic rupture of the spleen: experience of 10 cases. Gastroenterol Hepatol. 2007; 30: 585-591.

  5. Huang Y, Wang X, Wang K. Hand-assisted laparoscopic splenectomy is a useful surgical treatment method for patients with excessive splenomegaly: a meta-analysis. World Clin Cases. 2019; 6: 320-334.

  6. Gatica C, Soffia P, Charles R, Vicentela A. Rotura esplénica espontánea secundaria a mononucleosis infecciosa. Rev Chilena Infectol. 2021; 38: 292-296.

  7. Solar MC, Benoit E, Cerda MF, Agüero R. Rotura del bazo espontánea en mononucleosis infecciosa: Revisión de literatura a partir de un caso clínico. Revista Confluencia. 2021; 3: 161-164.

  8. Fugl A, Andersen CL. Epstein-Barr virus and its association with disease - a review of relevance to general practice. BMC Fam Pract. 2019; 20: 62.

  9. Elliot AF, James RL, Stanley O. Nontraumatic splenic rupture due to infectious mononucleosis. J Acute Care Surg. 2019; 9: 69-71.

  10. Ortega Vázquez I, Núñez O'Sullivan S, Cuadrado García A, Fernández Sánchez R, Zorrilla Matilla L, García Virosta M et al. Rotura esplénica: complicación grave de la mononucleosis infecciosa. Cir Esp. 2019; 97: 86.

  11. Baker CR, Kona S. Spontaneous splenic rupture in a patient with infectious mononucleosis. BMJ Case Rep. 2019; 12: e230259.

  12. Sylvester JE, Buchanan BK, Paradise SL, Yauger JJ, Beutler AI. Association of splenic rupture and infectious mononucleosis: a retrospective analysis and review of return-to-play recommendations. Sports Health. 2019; 11: 543-549.

  13. Martín-Lagos Maldonado A, Gallart-Aragón T. Rotura esplénica atraumática. RAPD online. 2018; 41: 55-56.

  14. Barnwell J, Deol PS. Atraumatic splenic rupture secondary to Epstein-Barr virus infection. BMJ Case Rep. 2017; 2017: bcr2016218405.

  15. Swanson TW, Meneghetti AT, Sampath S, Connors JM, Panton ON. Hand-assisted laparoscopic splenectomy versus open splenectomy for massive splenomegaly: 20-year experience at a Canadian centre. Can J Surg. 2011; 54: 189-193.

  16. Kawanaka H, Akahoshi T, Kinjo N, Harimoto N, Itoh S, Tsutsumi N et al. Laparoscopic splenectomy with technical standardization and selection criteria for standard or hand-assisted approach in 390 patients with liver cirrhosis and portal hypertension. J Am Coll Surg. 2015; 221: 354-366.

  17. Cortés AS, García V, Vázquez RM, Cortés NY, Suarez U. Splenic rupture associated with thrombocytopenic purpura caused by infectious mononucleosis. Case Reports. 2017; 3: 70-76.

  18. Bartlett A, Williams R, Hilton M. Splenic rupture in infectious mononucleosis: a systematic review of published case reports. Injury. 2016; 47: 531-538.



AFILIACIONES

1 Fellow American College of Surgeons. Hospital General del ISSSTE "Dr. Francisco Galindo Chávez". Torreón, Coahuila.

2 Sanatorio Español. Torreón, Coahuila.

3 Unidad Médica de Alta Especialidad No. 71 del Instituto Mexicano del Seguro Social. Torreón, Coahuila.

4 Hospital General de Zona No. 51 del Instituto Mexicano del Seguro Social. Durango, México.



CORRESPONDENCIA

Dra. Lucía Sagüi-De la Fuente. E-mail: lucysagui@hotmail.com




Recibido: 03/02/2022. Aceptado: 23/02/2022.

Figura 1
Figura 2
Figura 3
Figura 4

2020     |     www.medigraphic.com

Mi perfil

C?MO CITAR (Vancouver)

Rev Mex Cir Endoscop. 2021;22

ARTíCULOS SIMILARES

CARGANDO ...