medigraphic.com
ENGLISH

Medicina Crítica

  • Mostrar índice
  • Números disponibles
  • Información
    • Información general        
    • Directorio
  • Publicar
    • Instrucciones para autores        
  • Políticas
  • Lineamientos
  • medigraphic.com
    • Inicio
    • Índice de revistas            
    • Registro / Acceso
  • Mi perfil

2022, Número 1

<< Anterior Siguiente >>

Med Crit 2022; 36 (1)


Trombosis venosa cerebral en paciente embarazada. A propósito de un caso

Ramírez Campaña, Jesús Cleofas1; Arrambí Díaz, Cíbeles1; Galván Gastelum, Miguel Ángel1; Morales Barraza, Jesús Ariel1; Reyes Jiménez, Gerardo1
Texto completo Cómo citar este artículo 10.35366/104478

DOI

DOI: 10.35366/104478
URL: https://dx.doi.org/10.35366/104478
Artículos similares

Idioma: Español
Referencias bibliográficas: 12
Paginas: 59-62
Archivo PDF: 260.53 Kb.


PALABRAS CLAVE

Embarazo, trombosis, edema cerebral.

RESUMEN

Introducción: La trombosis venosa cerebral (TVC) es una enfermedad grave que afecta con mayor frecuencia a adultos jóvenes, con una incidencia de tres casos por cada 1'000,000 de habitantes en edad adulta. Aproximadamente se reporta 0.5% de los eventos vasculares cerebrales, siendo más frecuente en el género femenino, como factores de riesgo importante está el embarazo, parto, puerperio y uso de anticonceptivos orales (ACO). Caso clínico: Femenino de 34 años, con 8.2 semanas de gestación (SDG) normoevolutivo, que inicia siete días previos a su ingreso con cefalea occipital de intensidad moderada, que se intensifica progresivamente y empeoraba al estar acostada, agregándose náuseas y vómitos, sugestivos de cráneo hipertensivo, por lo que acude a hospital, donde ingresa con Glasgow de 15 puntos, se realiza resonancia magnética (RM), que muestra trombosis del seno venoso transverso izquierdo y hemorragia intraparenquimatosa temporoparietal izquierda, presenta deterioro del estado neurológico, requiere manejo avanzado de vía aérea y traslado a Unidad de Cuidados Intensivos (UCI). La tomografía de cráneo (TC) de ingreso a UCI con hematoma parenquimatoso temporoparietal izquierdo, edema cerebral, colapso de sistema ventricular lateral ipsilateral y desviación de la línea media, valorada por neurocirugía, quien descarta procedimiento quirúrgico y se inicia terapia osmolar con soluciones hipertónicas al 7.5%. La TC cinco días después muestra infarto cerebral en hemisferio izquierdo y sangrado intraparenquimatoso antiguo, el cual se encuentra en procesos de reabsorción; sin embargo, edema cerebral severo, que requiere de craniectomía parietofrontal izquierda. La TC de control con disminución del edema, logrando progresar y destetar de la ventilación mecánica, egresándose a piso de ginecología con Glasgow de 14 puntos y embarazo de 10.2 SDG normoevolutivo. Conclusiones: Esta patología es potencialmente reversible con un diagnóstico precoz y atención médica adecuada. La RM es el estudio de elección.



INTRODUCCIóN

La trombosis venosa cerebral (TVC) consiste en la presencia de trombosis en el seno venoso dural, que recibe sangre de venas externas e internas del cerebro; es una enfermedad infrecuente, la incidencia anual varía de 0.22 a 1.57 por 100,000 habitantes1,2 Es una patología más frecuente en relación con la trombosis arterial, la edad media de los pacientes es de 37 años, y en comparación con los hombres, las mujeres son más afectadas a edades tempranas.3

La patogénesis es multifactorial, lo más importante para esta patología son condiciones protrombóticas, genéticas o adquiridas, anticonceptivos orales, puerperio, malignidad, infección y traumas craneales.4,5 Se asocia con síntomas inespecíficos, de presentación aguda y puede producir aumento de la presión intracraneal, dentro de los signos y síntomas clínicos están: cefalea, alteraciones visuales, afasia, parálisis facial, así como hemiparesia o hemihipoestesia a nivel de las extremidades, crisis epilépticas focales e infarto que afecta principalmente a la corteza parasagital.3,4

No hay estudios bioquímicos que orienten al diagnóstico. Éste se basa en la alta sospecha diagnóstica y en el protocolo de abordaje en los pacientes con focalizaciones neurológicas, crisis convulsiva de primera vez o síndrome de hipertensión craneal. La punción lumbar está indicada para descartar otras entidades como meningitis, sin embargo, los hallazgos para esta patología son inespecíficos en líquido cefalorraquídeo.4,5

La tomografía puede dar imágenes atípicas que rebasen los límites de infarto o edema de las zonas arteriales, infarto hemorrágico o hemorragia intracerebral lobular de origen poco claro. La neuroimagen es el estándar de oro para el diagnóstico de tipo resonancia magnética contrastada y venografía por resonancia magnética.4-6 Esta patología es potencialmente reversible con un diagnóstico rápido y atención médica adecuada.



PRESENTACIóN DEL CASO

Paciente de 34 años, casada, ama de casa. Niega antecedentes crónico-degenerativos y alergias. Con antecedentes ginecoobstétricos gesta 2, cesárea 1, aborto 0, MPF (método de planificación familiar) con ACO, con 8.2 SDG hasta ese momento normoevolutivo.

Inicia padecimiento actual siete días previos a su ingreso con cefalea occipital de intensidad moderada, que se intensifica al paso de los días, haciendo énfasis en que empeoraba al estar acostada, se agregan náuseas y vómitos, sugestivos de cráneo hipertensivo, por lo que acude a hospital, donde ingresa con Glasgow de 15 puntos, se realiza RM, que muestra trombosis del seno venoso transverso izquierdo y hemorragia intraparenquimatosa temporoparietal izquierda (Figura 1). La paciente presenta deterioro del estado neurológico, requiriendo manejo avanzado de vía aérea y es trasladada a Unidad de Cuidados Intensivos.

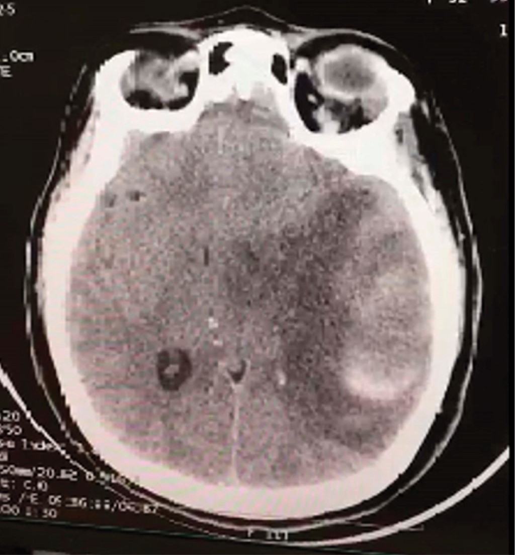
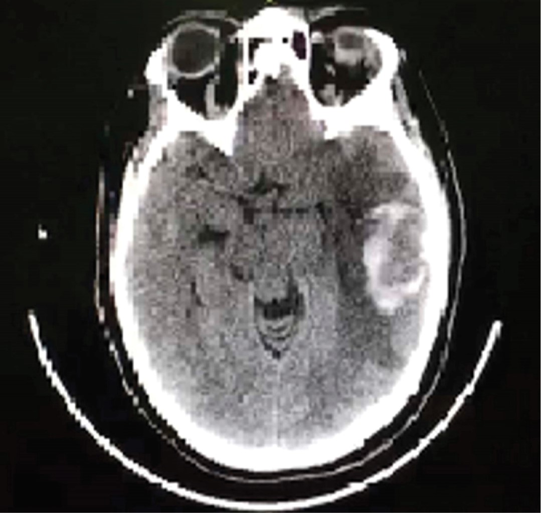
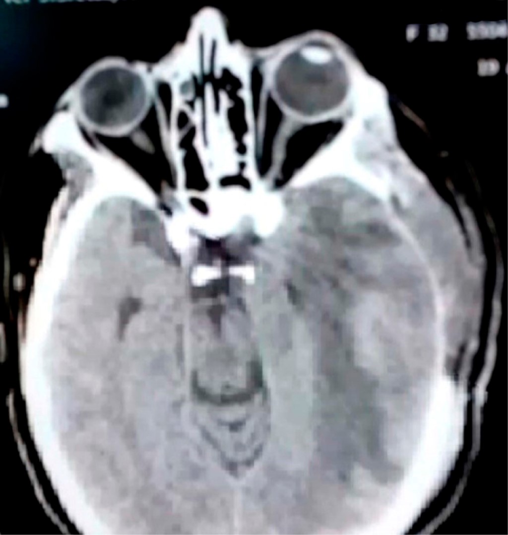
A su ingreso en UCI se recibe paciente bajo intubación orotraqueal y ventilación mecánica invasiva bajo sedación, a su llegada se realiza tomografía de cráneo simple, la cual muestra: hematoma parenquimatoso temporoparietal izquierdo, de 55 × 88 × 50 mm (aproximadamente 38 cm3), edema cerebral, colapso de sistema ventricular lateral ipsilateral y desviación de la línea media 9 mm aproximados (Figura 2), es valorada por neurocirugía, descartándose manejo quirúrgico de urgencia, se inicia terapia osmolar con soluciones hipertónicas al 7.5%, medidas antitrombóticas, y resto de manejo con base en metas internacionales de paciente neurocrítico, manteniendo evolución estacionaria, la nueva tomografía de cráneo cinco días después de su ingreso (Figura 3) muestra infarto cerebral en hemisferio izquierdo y sangrado intraparenquimatoso antiguo, el cual se encuentra en procesos de reabsorción, además de edema cerebral severo, por lo que amerita intervención por neurocirugía, donde se realiza craniectomía parietofrontal izquierda, para mejoría de compliance cerebral. La TAC de control posterior a evento quirúrgico (Figura 4) reporta disminución del edema.

La paciente continuó bajo soporte ventilatorio y sedoanalgesia con propofol y dexmedetomidina por 48 horas posteriores a intervención quirúrgico, iniciándose ventana neurológica que permite observar focalización de hemicuerpo derecho, logrando destete progresivo de ventilación mecánica satisfactorio, valorándose el estado de alerta con una puntuación de 12 en la escala de coma de Glasgow.

Durante su estancia se realizan policultivos reportándose negativos, además, desde su ingreso a terapia intensiva es valorada continuamente por ginecología, que describía embarazo normoevolutivo sin indicación para desembarazo.

Se decide egreso de UCI 72 horas posteriores a su extubación, con mejoría del estado neurológico, Glasgow de 14 puntos, desorientada en tiempo y espacio, queda en piso a cargo de neurocirugía y ginecología, en vigilancia estrecha y en su evolución presenta mejoría de la hemiparesia, fuerza 4/5 en hemicuerpo derecho, con llenado capilar adecuado.

Egresándose a su unidad de adscripción con los diagnósticos mencionados, 10.2 SDG, en seguimiento por la consulta externa de ginecología hasta llegar a término, y en la semana 37.4 de gestación se inicia trabajo de parto, por lo que se decide realizar cesárea, obteniendo producto único vivo, con APGAR 8/10 con peso 2,700 gr y talla 49 cm, sin complicaciones aparentes.



DISCUSIóN

La trombosis venosa cerebral es una localización infrecuente de la enfermedad venosa trombótica. En México, a través del Registro Nacional Mexicano de Enfermedad Vascular Cerebral (RENAMEVASC) se evidenció que 3% del evento vascular cerebral total se debe a la trombosis venosa cerebral,7 mostrando una prevalencia mayor, en relación a estudios internacionales, que documentan que constituye el 0.5% de todos los eventos vasculares cerebrales, su incidencia es de 1.3 de cada 100,000 personas.

Como ya se describió, dentro de los factores de riesgo relevantes está la sepsis y estados protrombóticos;8 en el caso de esta paciente, se contaba con el antecedente de ingesta de anticonceptivos orales, sin embargo, el embarazo de 8.2 SDG aumentó el riesgo, tal como describe Biousse V y su equipo, argumentando que la presentación en la gestante es mayor, debido a los cambios que se producen en el mecanismo hemostático, expresados por la activación de la coagulación y de las plaquetas, así como por la disminución de la activación del sistema fibrinolítico, se produce un estado de hipercoagulabilidad.9

La presentación clínica en esta paciente fue similar a la descrita en estudios anteriores, en los que la cefalea aparece como el síntoma más frecuente, seguido de las convulsiones y la focalización neurológica. Debido a estos síntomas, la enfermedad tiene una manifestación inicial específica, por lo que deben tenerse en cuenta múltiples diagnósticos diferenciales, entre los cuales se destacan las cefaleas primarias, el síndrome de hipertensión intracraneal idiopática, la hemorragia subarac-noidea, las lesiones que ocupan espacio y el accidente cerebrovascular.10

En cuanto al tratamiento de la paciente, se inició anticoagulación con heparina no fraccionada, sustentado en el consenso general del uso de heparinas, establecido como tratamiento apropiado para la trombosis venosa cerebral aguda,8,11 y se obtuvo evolución satisfactoria. No obstante, para quienes desarrollan un empeoramiento neurológico progresivo a pesar de la anticoagulación adecuada con heparina de bajo peso molecular (HBPM) subcutánea o heparina intravenosa, la trombólisis endovascular o la trombectomía mecánica en los centros con experiencia con estos métodos pueden ser opciones de tratamiento.11

Dentro de los problemas principales que pueden requerir intervención en la fase aguda de la TVC se incluye presión intracraneal elevada, que puede surgir de lesiones hemorrágicas grandes o únicas, infartos y/o edema cerebral,11 como fue el caso de la paciente que describimos, ya que presentó hematoma parenquimatoso temporoparietal izquierdo y edema cerebral severo, requiriendo craniectomía parietofrontal izquierda, la cual se realizó de acuerdo con las guías y recomendaciones de pacientes neurocríticos en general.12

Si no se sospecha este diagnóstico diferencial en contexto de pacientes jóvenes con factores de riesgo, el pronóstico empeora. Tener un flujograma de diagnósticos diferenciales en presencia de cefalea, focalización neurológica no explicada por otra causa, asociado a estados procoagulantes, permite sospechar y solicitar estudios de imagen específicos, como la angiografía por tomografía computarizada (Angio-TC) venosa o RM contrastada. En este caso, el diagnóstico se realizó de forma temprana, interviniéndose a tiempo, lo que nos permitió obtener una evolución satisfactoria.



CONCLUSIONES

El contexto de la paciente referida pertenece al 0.5% de los pacientes que no tienen historia de trombofilias, pero cursa con estado protrombótico. El diagnóstico precoz aumenta la supervivencia y mejora el pronóstico del paciente. En esta paciente la detección e intervención fue oportuna y, por ende, la evolución fue satisfactoria, egresándose de UCI con Glasgow de 14 puntos. Se mantuvo en estrecha vigilancia por ginecología y obstetricia, quien describió un embarazo normoevolutivo, llegando el producto a término con 38.3 SDG, realizando cesárea y obteniendo producto único vivo con APGAR 8/10 sin complicaciones.



AGRADECIMIENTOS

A las instalaciones del Instituto Mexicano del Seguro Social y al personal de salud de la Unidad de Cuidados Intensivos Metabólicos.


REFERENCIAS (EN ESTE ARTÍCULO)

  1. Cruz-Hernández V, León-Tapia S, López-Gómez P, et al. Trombosis del seno venoso cerebral durante el puerperio. Med Interna Mex. 2018;34(3):3888-3893.

  2. Arauz A, Vargas-González JC, Arguelles-Morales N, et al. Time to recanalisation in patients with cerebral venous thrombosis under anticoagulation therapy. J Neurol Neurosurg Psychiatry. 2016;87(3):247-251. Available in: http://dx.doi.org/10.1136/jnnp-2014-310068

  3. Ferro JM, Canhao P, Stam J, et al. Prognosis of cerebral vein and dural sinus thrombosis: results of the international study on cerebral vein and dural sinus thrombosis (ISCVT). Stroke. 2004;35(3):664-670. doi: 10.1161/01.STR.0000117571.76197.26.

  4. Celorrio CSY, Palma BL, Rodríguez PLR. Trombosis venosa cerebral. Rev Cubana Neurol Neurocir. 2018;8(2):1-23.

  5. Saposnik G, Barinagarrementeria F, Brown RD Jr, et al. Diagnosis and management of cerebral venous thrombosis: a statement for healthcare professionals from the American Heart Association/American Stroke Association. Stroke. 2011;42(4):1158-1192.

  6. De la Torre-León T, de la Torre-León MA. Trombosis venosa cerebral. Rev Mex Anest. 2015;38(Suppl: 3):437-438.

  7. Rebolledo-García D, Domínguez-Moreno R, González-Vargas O. Trombosis venosa cerebral: lo que hay que saber. Med Int Méx. 2019;35(4):537-552. Disponible en: https://doi.org/10.24245/mim.v35i4.2503

  8. Coutinho JM. Cerebral venous thrombosis. J Thromb Haemost. 2015;13(Suppl 1):S238-244.

  9. Biousse V, Ameri A, Bousser MG. Isolated intracranial hypertension as the only sign of cerebral venous thrombosis. Neurology. 1999;53(7):1537-1542.

  10. María Isabel Zuluaga, Mónica Massaro, César Augusto Franco. Trombosis de senos venosos cerebrales: epidemiología, características clínicas, imagenología y pronóstico. Biomédica. 2015;35:196. Disponible en: http://dx.doi.org/10.7705/biomedica.v35i2.2300

  11. Coutinho JM, Ferro JM, Zuurbier SM, et al. Thrombolysis or anticoagulation for cerebral venous thrombosis: rationale and design of the TO-ACT trial. Int J Stroke. 2013;8(2):135-140.

  12. Stam J, Majoie CB, van Delden OM, et al. Endovascular thrombectomy and thrombolysis for severe cerebral sinus thrombosis: a prospective study. Stroke. 2008;39(5):1487-1490.



AFILIACIONES

1 Hospital de Especialidades No. 2 Instituto Mexicano del Seguro Social. Ciudad Obregón. Sonora, México.



Financiamiento: Autofinanciado por los autores.

Conflicto de intereses: Los autores declaran no tener conflicto de intereses.



CORRESPONDENCIA

Dra. Cíbeles Arrambí Díaz. E-mail: cibelesarrambi@hotmail.com




Recibido: 12/07/2020. Aceptado: 18/10/2021.







Figura 1
Figura 2
Figura 3
Figura 4

2020     |     www.medigraphic.com

Mi perfil

C?MO CITAR (Vancouver)

Med Crit. 2022;36

ARTíCULOS SIMILARES

CARGANDO ...