medigraphic.com
ENGLISH

Acta Ortopédica Mexicana

ISSN 2992-8036 (Digital)
ISSN 2306-4102 (Impreso)
Órgano Oficial del Colegio Mexicano de Ortopedia y Traumatología
  • Mostrar índice
  • Números disponibles
  • Información
    • Información general        
    • Directorio
  • Publicar
    • Instrucciones para autores        
  • medigraphic.com
    • Inicio
    • Índice de revistas            
    • Registro / Acceso
  • Mi perfil

2021, Número 5

<< Anterior Siguiente >>

Acta Ortop Mex 2021; 35 (5)


Fractura intraarticular de calcáneo asociada a lesión de ligamentos colaterales laterales del tobillo

Sánchez-Saba, JE1; De-Cicco, FL1; Abrego, MO1; Llano, L1; Carabelli-Guido, S2; Barla, JD2; Sancineto, CF2; Taype-Zamboni, DRE2
Texto completo Cómo citar este artículo 10.35366/104574

DOI

DOI: 10.35366/104574
URL: https://dx.doi.org/10.35366/104574
Artículos similares

Idioma: Español
Referencias bibliográficas: 17
Paginas: 457-460
Archivo PDF: 224.31 Kb.


PALABRAS CLAVE

Fractura del calcáneo, lesión del ligamento, complejo del ligamento lateral.

RESUMEN

Las fracturas de calcáneo son las más frecuentes del tarso (3.5% de todas las fracturas). Afectan a adultos jóvenes, siendo más frecuentes en hombres (5.9:1). Por otro lado, las lesiones ligamentarias asociadas a fractura de calcáneo no son muy frecuentes. Presentamos un caso de un paciente de 39 años que sufrió entorsis de tobillo. Mostraba inestabilidad en flexión plantar e inversión. Radiografías mostraron una fractura de calcáneo. Durante la cirugía se evidenció una lesión completa del complejo ligamentario lateral. Se realizó la reducción y osteosíntesis asociada a la reconstrucción ligamentaria. Ante fracturas de calcáneo es importante corroborar la estabilidad del tobillo. La falta de diagnóstico en este tipo de lesiones puede generar inestabilidades crónicas.



INTRODUCCIóN

Las fracturas de calcáneo son las más frecuentes del tarso. Corresponden a 3.5% de todas las fracturas. Suelen afectar a adultos jóvenes, siendo más frecuentes en hombres (relación 5.9:1).1 Se producen generalmente por traumatismos por carga axial. Las lesiones ligamentarias asociadas a fractura de calcáneo (lesiones combinadas) son poco comunes.

Los ligamentos colaterales laterales del tobillo incluyen el ligamento peroneo astragalino anterior (LPAA), el ligamento peroneo astragalino posterior (LPAP) y el ligamento peroneo calcáneo (LPC). Las lesiones ligamentarias de tobillo representan hasta 10% de las consultas, comprometiendo al complejo ligamentario lateral en 85% de los esguinces. Es la lesión más común en atletas. Los ligamentos peroneo astragalino anterior (LPAA) y calcáneo peroneo (LCP) tienen un papel primordial en la movilidad del tobillo.2,3,4,5

El objetivo del presente trabajo es reportar un caso de fractura de calcáneo asociado a lesión del complejo ligamentario lateral del tobillo.



CASO CLíNICO

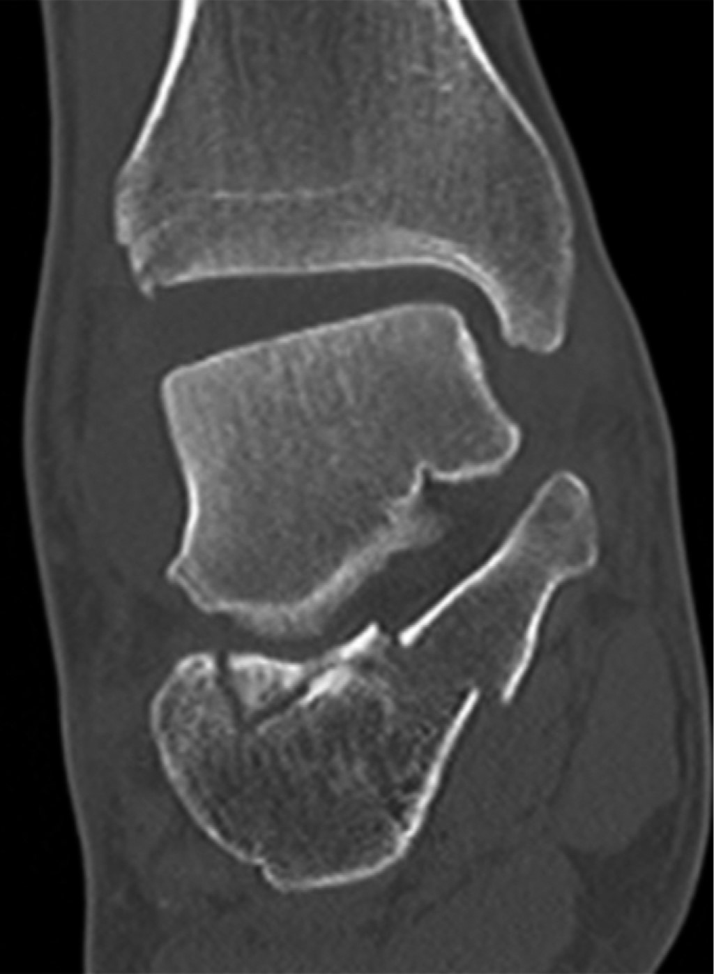
Paciente masculino de 39 años de edad, sin antecedentes de relevancia, sufre traumatismo de moderada energía en miembro inferior derecho. Relató entorsis de tobillo asociado a trauma directo en talón. Presentaba dolor, edema, hematoma e impotencia funcional. El examen físico reveló inestabilidad ante la maniobra de flexión plantar e inversión. Las radiografías evidenciaron fractura de calcáneo desplazada, con marcada alteración de los ángulos de Bohler (-8o) y Gissane (116o) (Figura 1). La tomografía evidenció compromiso de la articulación subastragalina y alteración de la articulación tibioperoneo astragalino 3AC según la clasificación de Sanders6 (Figura 2). Se realizó inmovilización con bota corta de yeso.

Debido a las características de la fractura, se planificó una reducción abierta y fijación interna. Se utilizó un abordaje lateral en "L" extendido, con colgajo incluyendo tendones peroneos y el nervio sural. Llamó poderosamente la atención la presencia de una lesión completa del LPAA y LPC (Figura 3).

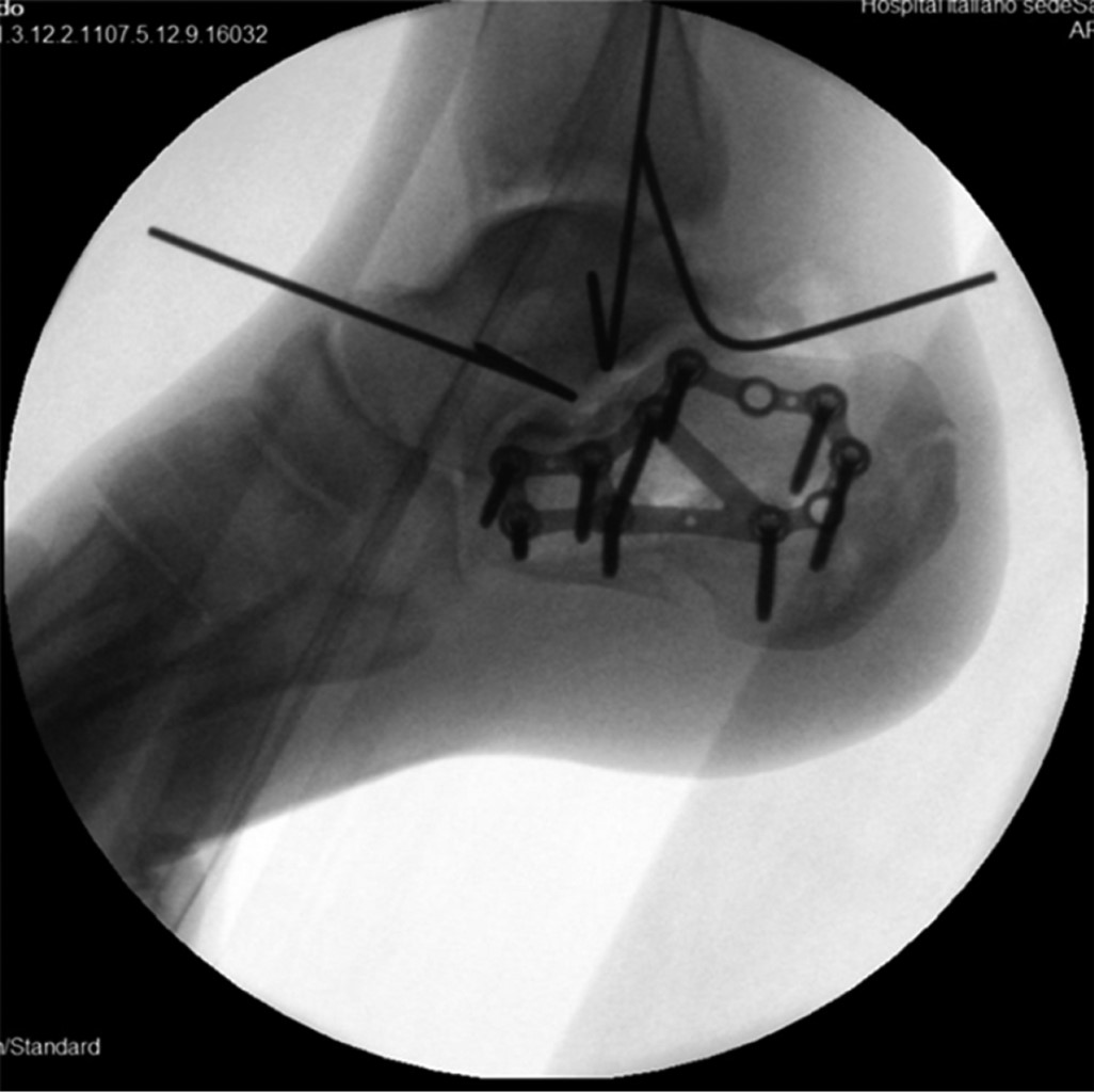
Se decidió realizar primero la reducción del calcáneo mediante clavijas y posteriormente osteosíntesis con placa para calcáneo SCP bloqueada de 3.5 mm (South American Implants, Argentina). Se constató adecuada reducción mediante el intensificador de imágenes (Figura 4). Aprovechando el mismo abordaje, se exploraron los ligamentos LPAA y LPC. Ambos presentaban signos de ruptura aguda, cercanos a su inserción proximal. Se realizó la reconstrucción ligamentaria utilizando anclajes con suturas transóseas al peroné distal. Se constató una adecuada estabilidad ante maniobras de estrés.

El protocolo de rehabilitación incluyó la inmovilización del tobillo durante 10 semanas, sin carga. Cumplido este lapso, se retiró el yeso y se otorgó carga parcial, protegiendo la articulación con una ortesis inmovilizadora. Los controles se continuaron cada tres meses.

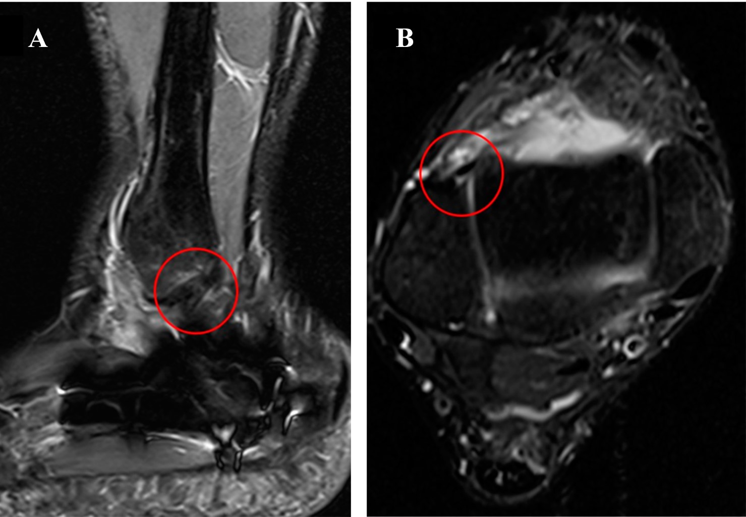
Se evaluó mediante el uso de un goniómetro y un dinamómetro la movilidad y la fuerza del miembro afectado y se la comparó con el lado sano a los 24 meses postoperatorios. El paciente recuperó su rango de movilidad y fuerza. Presentó dolor de 0/10 según la escala visual análoga (EVA). El puntaje según la American Orthopedics Foot and Ankle Society (AOFAS) fue de 92. La resonancia magnética nuclear (RMN) control mostró integridad y continuidad del espesor de ambos ligamentos (Figura 5).



DISCUSIóN

En traumatismos de energía moderada a severa del retropié pueden generarse lesiones, coexistiendo fracturas del calcáneo con lesiones de tendones peroneos, LPAA, LPC que comprometen la estabilidad de la articulación.2,3,4,5,7,8

En la inversión del retropié a 0o de flexión plantar participa el LPC, mientras que en la inversión del retropié a 20º de flexión plantar se involucra principalmente el LPAA.2,3 El LPAA se mantiene horizontal en posición neutra, haciéndose vertical en la dorsiflexión.9 El LPC es el más resistente, limita la inclinación astragalina en la dorsiflexión. Se origina del borde anterior del maléolo lateral y sigue un curso inferior, posterior y medial para insertarse en la cara lateral de la superficie del calcáneo.4

Estos ligamentos se lesionan durante mecanismos de supinación y aducción del tobillo, llevando a inestabilidad y dolor crónico, aumentando la presión en la región medial de la articulación tibioastragalina con la carga.2,4

Según lo descrito por De Asla y su equipo,3 el LPAA es más vulnerable en flexión plantar y supinación, mientras que el LPC es más susceptible en dorsiflexión y pronación. Refuerza esta teoría el trabajo de Rigby y colaboradores, quienes evalúan pacientes con lesiones aisladas del LPC.5

Para el diagnóstico de estas lesiones es necesario realizar radiografías y tomografía computarizada.1,7,10,11 La RMN es superior para observar tejidos blandos por su mejor resolución.7 En la RMN las estructuras ligamentarias se visualizan como bandas de baja intensidad, bien definidas, homogéneas, acentuadas por la grasa periférica. Áreas heterogéneas indican rupturas parciales y las lesiones completas se aprecian como ausencia del ligamento reemplazado por líquido o tejido graso.7,12,13,14,15

El tratamiento conservador es la primera opción. Sin embargo, cuando éste falla se requiere una terapéutica más agresiva para restaurar el correcto contacto entre la tibia y el astrágalo, eliminando la inestabilidad y laxitud sin disminuir el rango de movilidad.2 Se han propuesto varias técnicas para restaurar la estabilidad (Brostrom, Brostrom-Gould, injertos), todas ellas mejoran los patrones de movilidad del retropié disminuyendo la traslación anterior y la rotación interna del astrágalo con la carga.2,16,17



CONCLUSIONES

Según lo detallado, ante fracturas de calcáneo consideramos importante corroborar la estabilidad del tobillo para evitar dolor, artrosis y otras complicaciones. Existen datos sugestivos de estas lesiones tales como el edema en partes blandas y la inestabilidad en el examen físico. Tanto la radiografía como la tomografía pueden brindarnos indicios que instauran la sospecha. No hemos encontrado publicaciones sobre estas lesiones asociadas. Esto puede deberse a la complejidad que conlleva el examen físico debido a la dificultad de movilización del tobillo. La falta de diagnóstico en este tipo de lesiones puede generar inestabilidades crónicas y malos resultados atribuibles a la lesión ósea en primera instancia.


REFERENCIAS (EN ESTE ARTÍCULO)

  1. Cui J, Sun L, Di J, Xing WZ, Zhang CP, Zhang YZ. Calcaneal fracture combined with dislocation of the talonavicular articulation and subluxation of the ankle joint. Orthop Surg. 2010; 2(3): 237-40.

  2. Prisk VR, Imhauser CW, O'Loughlin PF, Kennedy JG. Lateral ligament repair and reconstruction restore neither contact mechanics of the ankle joint nor motion patterns of the hindfoot. J Bone Joint Surg Am. 2010; 92(14): 2375-86.

  3. De Asla RJ, Kozánek M, Wan L, Rubash HE, Li G. Function of anterior talofibular and calcaneofibular ligaments during in-vivo motion of the ankle joint complex. J Orthop Surg Res. 2009; 4: 7.

  4. Kitsoulis P, Marini A, Pseftinakou A, Iliou K, Galani V, Paraskevas G. Morphological study of the calcaneofibular ligament in cadavers. Folia Morphol (Warsz). 2011; 70(3): 180-4.

  5. Rigby R, Cottom JM, Rozin R. Isolated calcaneofibular ligament injury: a report of two cases. J Foot Ankle Surg. 2015; 54(3): 487-9.

  6. Sanders R, Fortin P, DiPasquale T, Walling A. Operative treatment in 120 displaced intraarticular calcaneal fractures. Results using a prognostic computed tomography scan classification. Clin Orthop Relat Res. 1993; (290): 87-95.

  7. Bradley SA, Davies AM. Computed tomographic assessment of soft tissue abnormalities following calcaneal fractures. Br J Radiol. 1992; 65(770): 105-11.

  8. Wong-Chung J, Marley WD, Tucker A, O'Longain DS. Incidence and recognition of peroneal tendon dislocation associated with calcaneal fractures. Foot Ankle Surg. 2015; 21(4): 254-9.

  9. Sarrafian S. Anatomy of the foot and ankle. 2.ª ed. Philadelphia: Lippincott Williams & Wilkins; 1993.

  10. Ho RT, Smith D, Escobedo E. Peroneal tendon dislocation: CT diagnosis and clinical importance. AJR Am J Roentgenol. 2001; 177(5): 1193.

  11. Veltman ES, Van den Bekerom MP, Doornberg JN, Verbeek DO, Rammelt S, Steller EP, et al. Three-dimensional computed tomography is not indicated for the classification and characterization of calcaneal fractures. Injury. 2014; 45(7): 1117-20.

  12. Schneck CD, Mesgarzadeh M, Bonakdarpour A, Ross GJ. MR imaging of the most commonly injured ankle ligaments. Part I. Normal anatomy. Radiology. 1992; 184(2): 499-506.

  13. Erickson SJ, Smith JW, Ruiz ME, Fitzgerald SW, Kneeland JB, Johnson JE, et al. MR imaging of the lateral collateral ligament of the ankle. AJR Am J Roentgenol. 1991; 156(1): 131-6.

  14. Mesgarzadeh M, Schneck CD, Tehranzadeh J, Chandnani VP, Bonakdarpour A. Magnetic resonance imaging of ankle ligaments. Emphasis on anatomy and injuries to lateral collateral ligaments. Magn Reson Imaging Clin N Am. 1994; 2(1): 39-58.

  15. Beltran J, Munchow AM, Khabiri H, Magee DG, McGhee RB, Grossman SB. Ligaments of the lateral aspect of the ankle and sinus tarsi: an MR imaging study. Radiology. 1990; 177(2): 455-8.

  16. Clanton TO, Viens NA, Campbell KJ, Laprade RF, Wijdicks CA. Anterior talofibular ligament ruptures, part 2: biomechanical comparison of anterior talofibular ligament reconstruction using semitendinosus allografts with the intact ligament. Am J Sports Med. 2014; 42(2): 412-6.

  17. Wainright WB, Spritzer CE, Lee JY, Easley ME, DeOrio JK, Nunley JA, et al. The effect of modified Brostrom-Gould repair for lateral ankle instability on in vivo tibiotalar kinematics. Am J Sports Med. 2012; 40(9): 2099-104.



AFILIACIONES

1 Cirujano ortopedista. Instituto de Ortopedia y Traumatología "Carlos E Ottolenghi", Hospital Italiano de Buenos Aires, Argentina.

2 Sector de Trauma. Instituto de Ortopedia y Traumatología "Carlos E Ottolenghi", Hospital Italiano de Buenos Aires, Argentina.



Conflicto de intereses: Los autores declaran no tener ningún conflicto de intereses.



CORRESPONDENCIA

Sánchez-Saba JE. E-mail: javier.sanchez@hospitalitaliano.org.ar




Recibido: 10-02-2019. Aceptado: 15-10-2021.

Figura 1
Figura 2
Figura 3
Figura 4
Figura 5

2020     |     www.medigraphic.com

Mi perfil

C?MO CITAR (Vancouver)

Acta Ortop Mex. 2021 Sep-Oct;35

ARTíCULOS SIMILARES

CARGANDO ...