medigraphic.com
ENGLISH

Acta Ortopédica Mexicana

ISSN 2992-8036 (Digital)
ISSN 2306-4102 (Impreso)
Órgano Oficial del Colegio Mexicano de Ortopedia y Traumatología
  • Mostrar índice
  • Números disponibles
  • Información
    • Información general        
    • Directorio
  • Publicar
    • Instrucciones para autores        
  • medigraphic.com
    • Inicio
    • Índice de revistas            
    • Registro / Acceso
  • Mi perfil

2021, Número 5

<< Anterior Siguiente >>

Acta Ortop Mex 2021; 35 (5)


Prótesis total de rodilla primaria en un paciente con ruptura no reciente del tendón rotuliano, tratado en 2 tiempos quirúrgicos

Corres-Franco, I1; Muñoz-Macías, A2; Paredes-Vázquez, R3
Texto completo Cómo citar este artículo 10.35366/104578

DOI

DOI: 10.35366/104578
URL: https://dx.doi.org/10.35366/104578
Artículos similares

Idioma: Español
Referencias bibliográficas: 14
Paginas: 474-478
Archivo PDF: 199.82 Kb.


PALABRAS CLAVE

Tratamiento, rodilla, lesión tendinosa, crónica, cirugía.

RESUMEN

Introducción: La ruptura de tendón rotuliano en pacientes mayores se relaciona con enfermedades sistémicas como la artritis reumatoide, el lupus eritematoso y aquéllos con tratamiento prolongado con corticoides o antibioticoterapia. Es ocasionado por traumatismo con la rodilla en flexión acompañado de una contracción del cuádriceps o fuerza excéntrica, su diagnóstico puede omitirse hasta en 38% de los casos. El tratamiento en las rupturas no recientes es más complejo ya que después de 45 días de la lesión ocurre retracción del cuádriceps, fibrosis, formación de adherencias e hipotrofia muscular. Las opciones de tratamiento son variadas utilizando desde autoinjertos hasta injertos sintéticos con túneles óseos y anclas de fijación. Reporte de caso: Hombre de 71 años con ruptura del tendón rotuliano de 18 años de evolución tratado en dos tiempos, comenzando por la reparación del aparato extensor con tendones de la pata de ganso preservando la inserción de los mismos y realizando después prótesis total de rodilla en un segundo tiempo quirúrgico y mostramos su evolución.



INTRODUCCIóN

La ruptura de tendón rotuliano tiene su pico de incidencia entre la tercera y cuarta década de la vida.1 Se presenta principalmente por traumatismo con la rodilla en flexión acompañado de una contracción del cuádriceps o fuerza excéntrica, su diagnóstico en la etapa aguda es fácil de detectar, debido a que los pacientes presentan una tríada clásica que consiste en dolor, impotencia funcional del mecanismo extensor y una brecha en la zona de ruptura.2,3 Aunado a estos datos clínicos, se cuenta con estudios de imagen de apoyo, como son una radiografía simple que evidencia una rótula alta, hasta estudio de ultrasonido y resonancia magnética donde se observa con claridad la pérdida de continuidad del tendón;4 sin embargo, está reportado que la omisión del diagnóstico puede ser hasta de 38%.1 Esto debido a que estos pacientes son vistos por el médico de primer contacto en un servicio de urgencias sin pasar por atención especializada.1,5,6

Se presenta con mayor prevalencia en pacientes mayores relacionados con enfermedades sistémicas como artritis reumatoide, lupus eritematoso, en tratamiento con antibiótico o corticoterapia.1,5 Sin embargo, existe un grupo en aumento con lesiones traumáticas, principalmente jóvenes y otro grupo muy pequeño por incidentes quirúrgicos.

El tratamiento en las rupturas no recientes del tendón es complejo, ya que las técnicas término-terminales son difíciles de realizar después de 45 días de la lesión5,7 debido a la retracción del cuádriceps, fibrosis, formación de adherencias e hipotrofia muscular.7 En la literatura se encuentra abundante información acerca de la reparación del aparato extensor, ya sean agudas o crónicas; sin embargo, hay muy pocas referencias acerca del protocolo de tratamiento cuando el paciente presenta gonartrosis grado IV.

En este trabajo presentamos un caso clínico acerca de un paciente con ruptura crónica de ligamento rotuliano, tratado con plastía con injerto de pata de ganso con anclas y en un segundo tiempo colocación de prótesis de rodilla primaria.



CASO CLíNICO

Hombre de 71 años, jubilado, con antecedente de hace 18 años de caída sobre rodilla izquierda en flexión de 90o contra el piso con incapacidad para la marcha de manera inmediata. Recibió atención hasta después de un año de la lesión de manera empírica, acompañado de marcha asistida con bastón y con incapacidad para la extensión activa de la rodilla. Acude a consulta por crepitación audible de la rodilla acompañada de dolor e incapacidad.

A la exploración física se observó marcha claudicante dependiente de bastón, genu varo de rodilla izquierda, más incapacidad para la extensión activa de la rodilla, con una contractura en flexión de 10o. A la palpación, la rótula se encuentra en tercio medio del muslo, móvil. En rodilla, se palpó subcutáneamente la superficie anterior de los cóndilos femorales y la tróclea, acompañado de dolor. También fragmentos óseos libres acompañados de crepitación y movilidad de los mismos.

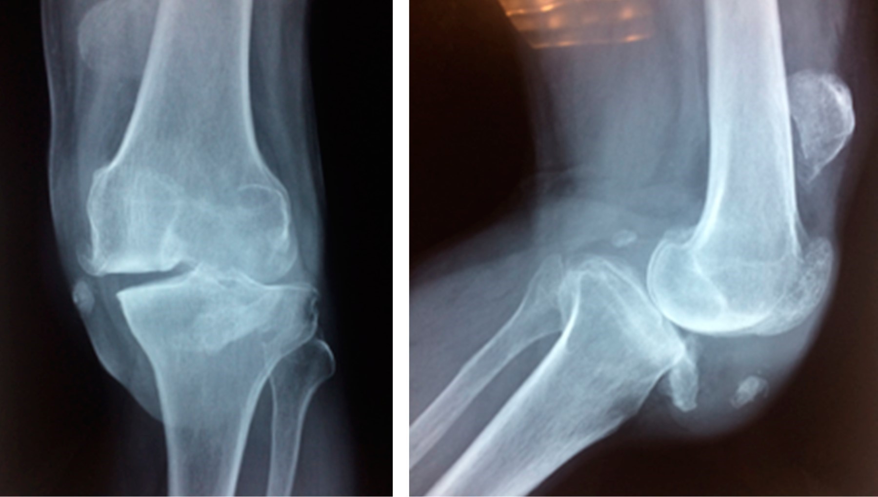
Se solicitó radiografía simple, encontrando en la proyección lateral fragmento avulsionado de tuberosidad tibial con migración proximal de rótula más cambios osteodegenerativos femorotibiales grado IV. En proyección anteroposterior se observa compartimento lateral con artrosis femorotibial grado IV (Figura 1). Se solicita eje mecánico encontrando deformidad en genu varo de 10o (Figura 2).

Se solicitó resonancia magnética donde se confirmó avulsión de tuberosidad tibial con fragmento óseo de tendón rotuliano más migración proximal de rótula en zona diafisiaria de fémur con artrosis fémoro-tibial grado IV.

Se realizó manejo quirúrgico de paciente en dos tiempos, el primero para plastía de ligamento rotuliano más descenso de rótula y después, a los 16 meses, una segunda intervención para artroplastía total de rodilla izquierda.

La primera intervención quirúrgica fue reconstruir el tendón rotuliano. Se realizó túnel en rótula de medial a lateral de 4 mm de diámetro en su tercio medio para poder pasar los dos tendones con aguja viuda recta y así poder llevarlos ligeramente medial a tubérculo de Gerdy, previa liberación de toda la musculatura de cuádriceps desde anterior, posterior, medial y lateral. Se trató de descender lo más posible la rótula, con completa extensión de la rodilla. Una vez con la rótula en su mayor descenso, se usaron dos anclas de 5.0 mm para su fijación (Figura 3). Se colocó vendaje de Jones por 15 días con férula glúteo-podálica posterior, con curación en seco de la herida quirúrgica cada semana y valoración.

Después del retiro de puntos, se colocó rodillera mecánica (bloqueada a 0o) con la cual permaneció seis semanas en estricta extensión, en este período sólo llevó dos sesiones por semana de terapia física, las cuales consistían en analgésica y desinflamatoria. Después de las seis semanas, se liberó la rodillera mecánica graduada para iniciar terapia física acompañada con arcos de movimiento progresivos, divididos en semanas, primera semana (semana nueve postquirúrgica) de 20-40o de flexión, segunda semana de 40-60o, tercera semana de 60-80o (en esta semana se inicia el apoyo con muletas) y la cuarta semana (12 semanas postquirúrgicas) se retira en totalidad la rodillera graduada e inicia con marcha sin muletas. Se logra obtener 110o de flexión y extensión activa de la rodilla.

El segundo tiempo quirúrgico se realiza 16 meses después con el objetivo de resolver el daño articular, una vez ya resuelto el problema del mecanismo extensor, se colocó una prótesis primaria Smith & Nephew ANTHEM™; no se colocó el componente rotuliano debido al trayecto del túnel por donde pasan los tendones de la pata de ganso (Figura 4).

En el postoperatorio se mantuvo 15 días con vendaje algodonoso, inició por una semana tres sesiones de terapia física para analgesia, a la cuarta semana inicia con marcha asistida con andadera y arcos de movilidad progresivos; sin embargo, como se preservó todo el mecanismo extensor, se logró llevar de manera pasiva 90o de flexión iniciando la cuarta semana postquirúrgica.

Cuatro meses después de postoperado de artroplastía total de rodilla primaria, consideramos funcional su arco de movimiento (Figura 5) con ciertas limitaciones.



DISCUSIóN

No existe en la literatura un estándar de oro para el tratamiento de las rupturas del tendón rotuliano agudas o crónicas.8

Los objetivos en la reparación y/o reconstrucción del aparato extensor son restaurar el mecanismo del cuádriceps que permita un rango de movimiento funcional, así como la congruencia anatómica patelofemoral, evitando la condromalacia y una articulación patelofemoral dolorosa y por último una movilización precoz.9

En la actualidad, existen diversas técnicas para la reparación del aparato extensor de la rodilla ya sean agudas o crónicas, proximales o distales, traumáticas o quirúrgicas, inclusiva con tracción prequirúrgica o no.1,2,5,10,11 El tratamiento en las lesiones crónicas puede ser complicado, inclusive cuando se tardan más de dos semanas,2 ya que las técnicas término-terminales son más difíciles de realizar después de 45 días de la lesión, debido a la retracción muscular del cuádriceps y la formación de adherencias debido a la fibrosis que se genera.5,7

De la misma manera en lesiones crónicas existen técnicas quirúrgicas que garantizan la reactivación del aparato extensor, desde autoinjertos hasta injertos sintéticos. Kelikian y colegas,12 y Ecker y colaboradores13 fueron los primeros en reportar una reconstrucción de una lesión crónica con tendón de gracilis y semitendinoso, las dos con sus modificaciones en la perforación de los túneles tibiales y rotulianos; sin embargo, a través del tiempo se han agregado nuevas técnicas y modificaciones de las ya descritas1,2,3 como lo hicieron Larson y Simonian.9 Aunque Chen B8 realizó una modificación de cómo preservar la inserción de la pata de ganso ya que tiene muchas ventajas, son ricas en fibras tendinosas en su inserción, al preservar la inserción, la integración es más fuerte y se preserva la irrigación sanguínea. En esta técnica usamos el mismo método pero con túnel tibial de 4 mm a través de la rótula, ya que pasarlo por arriba de la rótula sería mucha tensión para los tendones con probable dificultad al bajarlo y colocar las dos anclas.7 A diferencia de otros autores, no usamos protección con cerclaje de Müller dada la posibilidad de ruptura, y nos iba a dificultar el segundo tiempo quirúrgico debilitando el trayecto del tendón a través de la rótula.

En esta investigación mostramos un caso similar a la reparación de Chen B y su equipo,8 donde se preserva la inserción de la pata de ganso y se inserta en la región lateral de la tuberosidad tibial con anclas.3,14 La decisión de hacerlo en dos tiempos fue para preservar, en primer lugar, el aparato extensor en su mayor capacidad y poder reactivarlo, de aquí la espera de 16 meses para poder reactivar en su totalidad el aparato extensor; y en segundo lugar, realizar una artroplastía total de rodilla con una prótesis convencional o primaria. En nuestra revisión bibliográfica, no encontramos ningún artículo que haga referencia a lesiones tan crónicas del aparato extensor más gonartrosis tratada quirúrgicamente con reemplazo articular, sólo las referencias de lesiones de aparato extensor tienen como consecuencia la gonartrosis.1 Sin embargo, en este caso era importante tratar los dos problemas a su debido tiempo, la lesión crónica del tendón rotuliano con ascenso de rótula, más la gonartrosis grado IV, tratando de no agotar oportunidades quirúrgicas.



CONCLUSIóN

Con este caso demostramos que el resolver de manera inicial la reconstrucción del tendón patelar con autoinjerto y preservando la inserción de los tendones de la pata de ganso se logra preservar la vascularidad de los tejidos, a pesar de no descender a una mejor posición la patela, se demostró la factibilidad de colocar una prótesis primaria. Podemos asumir sin certeza que se disminuyen los costos de una prótesis de revisión, la dificultad para conseguir este implante en nuestra institución como parte de un sistema de salud pública es muy tardado y, finalmente, se preserva una mayor reserva ósea en la rodilla.


REFERENCIAS (EN ESTE ARTÍCULO)

  1. Estrada-Malacón CA, García-Estrada GA. Tratamiento de la rotura no reciente del tendón patelar con tendones semitendinoso y gracilis. Acta Ortop Mex. 2011; 25(1): 57-62.

  2. Saragaglia D, Pison A, Rubens-Duval B. Acute and old ruptures of the extensor apparatus of the knee in adults (excluding knee replacement). Orthop Traumatol Surg Res. 2013; 99(1 Suppl): S67-76.

  3. Costa Paz M, Makino A, Paniego G, Narváez R, Ayerza M, Muscolo L. Reparación quirúrgica mediante tenodesis con anclajes óseos de los tendones del aparato extensor de la rodilla. Rev Asoc Argent Ortop Traumatol. 2007; 72 (1): pp. 70-4.

  4. Fazal MA, Moonot P, Haddad F. Radiographic Features of Acute Patellar Tendon Rupture. Orthop Surg. 2015; 7(4): 338-42.

  5. Taylor BC, Tancev A, Fowler T. Bilateral patellar tendon rupture at different sites without predisposing systemic disease or steroid use. Iowa Orthop J. 2009; 29: 100-4.

  6. Clayton RA, Court-Brown CM. The epidemiology of musculoskeletal tendinous and ligamentous injuries. Injury. 2008; 39(12): 1338-44.

  7. Bek D, Demiralp B, Komurcu M, Sehirlioglu A. Neglected patellar tendon rupture: a case of reconstruction without quadriceps lengthening. J Orthop Traumatol. 2008; 9(1): 39-42.

  8. Chen B, Li R, Zhang S. Reconstruction and restoration of neglected ruptured patellar tendon using semitendinosus and gracilis tendons with preserved distal insertions: two case reports. Knee. 2012; 19(4): 508-12.

  9. Larson RV, Simonian PT. Semitendinosus augmentation of acute patellar tendon repair with immediate mobilization. Am J Sports Med. 1995; 23(1): 82-6.

  10. Cadambi A, Engh GA. Use of a semitendinosus tendon autogenous graft for rupture of the patellar ligament after total knee arthroplasty. A report of seven cases. J Bone Joint Surg Am. 1992; 74(7): 974-9.

  11. Burnett RS, Berger RA, Paprosky WG, Della Valle CJ, Jacobs JJ, Rosenberg AG. Extensor mechanism allograft reconstruction after total knee arthroplasty. A comparison of two techniques. J Bone Joint Surg Am. 2004; 86(12): 2694-9.

  12. Kelikian H, Riashi E, Gleason J. Restoration of quadriceps function in neglected tear of the patellar tendon. Surg Gynecol Obstet. 1957; 104(2): 200-4.

  13. Ecker ML, Lotke PA, Glazer RM. Late reconstruction of the patellar tendon. J Bone Joint Surg Am. 1979; 61(6A): 884-6.

  14. Capiola D, Re L. Repair of patellar tendon rupture with suture anchors. Arthroscopy. 2007; 23(8): 906-4.



AFILIACIONES

1 Médico Adscrito del Hospital General de Querétaro. Módulo de Cirugía Articular. Querétaro, México.

2 Médico Adscrito del Hospital General San José Iturbide. Guanajuato. Módulo de Cirugía de Pelvis Acetábulo y Cadera. Guanajuato, México.

3 Médico Adscrito del Hospital General de Querétaro. Modulo de Cirugía de Pelvis Acetábulo y Cadera. Querétaro, México.



CORRESPONDENCIA

Corres-Franco I. E-mail: corres0182@gmail.com




Recibido: 09-12-2020. Aceptado: 01-10-2021.

Figura 1
Figura 2
Figura 3
Figura 4
Figura 5

2020     |     www.medigraphic.com

Mi perfil

C?MO CITAR (Vancouver)

Acta Ortop Mex. 2021 Sep-Oct;35

ARTíCULOS SIMILARES

CARGANDO ...