medigraphic.com
ENGLISH

Revista ADM Órgano Oficial de la Asociación Dental Mexicana

ISSN 0001-0944 (Impreso)
Órgano Oficial de la Asociación Dental Mexicana
  • Mostrar índice
  • Números disponibles
  • Información
    • Información general        
    • Directorio
  • Publicar
    • Instrucciones para autores        
    • Envío de artículos
  • medigraphic.com
    • Inicio
    • Índice de revistas            
    • Registro / Acceso
  • Mi perfil

2022, Número 2

<< Anterior Siguiente >>

Rev ADM 2022; 79 (2)


Ameloblastoma sólido: revisión de la literatura y reporte de un caso.

Carrasco Rueda, Carlos Alberto1; Vinitzky Brener, Ilan2; Miranda Quijano, Teiza Korima3; Fernández Morales, Erick Eduardo4; Aldape Barrios, Beatriz C5
Texto completo Cómo citar este artículo 10.35366/104746

DOI

DOI: 10.35366/104746
URL: https://dx.doi.org/10.35366/104746
Artículos similares

Idioma: Español
Referencias bibliográficas: 23
Paginas: 103-108
Archivo PDF: 336.14 Kb.


PALABRAS CLAVE

Tumor odontogénico, ameloblastoma, hemimandibulectomía.

RESUMEN

El ameloblastoma es un tumor odontogénico benigno que se puede originar a partir del epitelio odontogénico, del órgano del esmalte, de remanentes de la lámina dental del epitelio, de quistes odontogénicos o de las células basales del epitelio de la mucosa oral. Es de crecimiento intraóseo lento, tiene la capacidad de ser localmente invasivo, llega a perforar o expandir las corticales óseas con una alta incidencia a la recurrencia local si no se trata de forma adecuada. De los casos reportados, 87% han sido localizados en la región posterior de la mandíbula (cuerpo, ángulo y rama ascendente). Tiene una predilección por el sexo masculino (53.2%) sobre el género femenino (46.7%), puede manifestarse a cualquier edad; sin embargo, la mayor incidencia es entre los 20 y 50 años. El tratamiento de elección es quirúrgico. Se presenta el caso de paciente masculino de 58 años de edad con diagnóstico de ameloblastoma sólido folicular que abarca porción posterior del cuerpo y rama ascendente tratado de forma radical mediante hemimandibulectomía.



INTRODUCCIóN

A principios de 2017 la Organización Mundial de la Salud (OMS) actualizó la clasificación de tumores de cabeza y cuello, la cual es una referencia internacional que puede ser utilizada por oncólogos, patólogos, cirujanos y especialistas afines. Los tumores odontogénicos son lesiones raras y poco frecuentes que pueden presentarse con un comportamiento agresivo, destructivo y mutilante. Estas lesiones son exclusivas del hueso maxilar y mandibular así como de la mucosa oral, derivan de células epiteliales y mesenquimales, las cuales son o fueron parte de la odontogénesis.1,2

La OMS define el ameloblastoma como una neoplasia polimórfica localmente invasiva que consiste en la proliferación de epitelio odontogénico.1 El ameloblastoma es un tumor odontogénico benigno, localmente invasivo y recidivante, que constituye 11% de los tumores odontogénos de cabeza y cuello, alrededor de 13% de todos los tumores y quistes maxilares y 0.14% de todas las neoplasias (Tabla 1).2

La OMS describe cuatro subtipos de ameloblastomas: sólido/multiquístico con una prevalencia de 67.7%, uniquístico (26.2%), periférico o extraóseo (1%) y metastásico (1-2%).3,4

Actualmente, para la clasificación histológica se usa la clasificación de McMillan, que fue propuesta en 1971 en la OMS, a partir de ahí se establecieron diferentes patrones histológicos, de los cuales el folicular es el más habitual con una prevalencia de 24.8%, seguido del plexiforme en 24.7%, acantomatoso en 5.7%, de células granulares 2.5% y de células basales 0.4%.5

Su apariencia histológica es benigna, sin descartar la posibilidad de que pueda desarrollar un carcinoma ameloblástico, en el que se presenta atipia celular y zonas que aún conservan características de un ameloblastoma benigno.

El ameloblastoma se origina del epitelio odontogénico o del órgano del esmalte, remanentes de la lámina dental, del epitelio de quistes odontogénicos o de las células basales del epitelio de la mucosa oral.6 Por lo general es de crecimiento lento, perforante o expansivo sobre las corticales óseas. Este comportamiento se caracteriza por invasión local con una gran capacidad recidivante. Las tasas de recurrencia dependen de la variante de la lesión y de la modalidad quirúrgica empleada, que va de 15 a 25% después de la cirugía radical y de 75 a 90% después de la cirugía conservadora.7,8

Cerca de 87.2% se presentan en la mandíbula con predilección en el sector posterior (cuerpo, ángulo y rama mandibular), a diferencia del maxilar, con una prevalencia de 8.5%, donde puede llegar a desplazar estructuras adyacentes como la cavidad orbitaria o la fosa infratemporal; 1% de los casos ha sido reportado en la periferia.7,9

Radiográficamente estas lesiones se presentan como una imagen radiolúcida unilocular o multilocular cuyo tamaño, forma y número de lóculos es variable, dando lugar a patrones radiográficos conocidos como panal de abeja o pompas de jabón, márgenes festoneados que producen desplazamiento de las corticales y expansión de las tablas óseas, además de reabsorción y migración de las piezas dentarias adyacentes.3,4,10 El uso de la tomografía computarizada es indispensable, ya que permite mostrar información sobre la relación de la lesión con estructuras anatómicas vecinas, así como evaluar sus contornos óseos y si existe o no perforación de las corticales. De acuerdo con la literatura, las imágenes tomográficas del ameloblastoma muestran una lesión osteolítica que expande corticales óseas, en su interior se puede observar un componente sólido e imágenes internas de baja densidad correspondientes a zonas de degeneración quística.11,12

Debido a que comparte características clínicas y radiográficas similares a numerosas lesiones odontogénicas, se debe realizar el diagnóstico diferencial con diversas patologías como el quiste dentígero, queratoquiste, tumor odontogénico calcificante, mixoma, granuloma centrar de células gigantes, fibromas odontogénicos y lesiones fibro-óseas.13,14

Los ameloblastomas pueden desarrollar complicaciones asociadas que incluyen deformación facial, pérdida dental, maloclusión, dolor, parestesia, fractura ósea patológica, infección e incluso obstrucción de la vía aérea.3

Recientemente se ha presentado evidencia de mutaciones frecuentes en la proteína quinasa (MAPK) vía gen BRAF en el ameloblastoma sólido/multiquístico mandibular. La presencia o ausencia de esta mutación se ha asociado con varias propiedades clinicopatológicas, incluyendo ubicación, la edad al momento del diagnóstico, la histología y el pronóstico que tenga esta patología.8,15

El tratamiento de elección del ameloblastoma es quirúrgico, ya que se debe minimizar la probabilidad de recidiva afectando lo menos posible la función y estética del paciente. Referente al tratamiento conservador, se utilizarán técnicas de marsupialización o enucleación, combinadas o no con técnicas de soporte como el curetaje, el uso de solución de Carnoy o el nitrógeno líquido.16,17 En caso de un tratamiento radical se optará por la realización de hemimandibulectomía o resecciones en bloque del área afectada con necesidad de márgenes de seguridad de 1-1.5 cm, ya que las células del ameloblastoma llegan a encontrarse a 8 mm del margen radiográfico y clínico del tumor.18,19 Existe una variedad de opciones reconstructivas que van desde osteoinjertos autólogos libres o microvascularizados, distracción ósea, así como diversos sistemas de reemplazo protésico que en la actualidad presentan alternativas de tratamiento personalizadas a la condición patológica del paciente. Tradicionalmente la reconstrucción mandibular con placa de titanio es una opción aceptable que se utiliza de manera convencional.20



PRESENTACIóN DEL CASO

Se trata de paciente masculino de 58 años de edad con diagnóstico de artritis reumatoide de 10 años de evolución, el cual se encontraba en tratamiento con metrotexato, acemeticina, deflazacor y pregabalina. Como antecedentes personales no patológicos refiere tabaquismo suspendido hace 10 años, así como alcoholismo suspendido hace cuatro meses. Presenta sobrepeso y probable apnea obstructiva del sueño con resultado de cuestionario Stop-Bang de cinco puntos (alto riesgo).

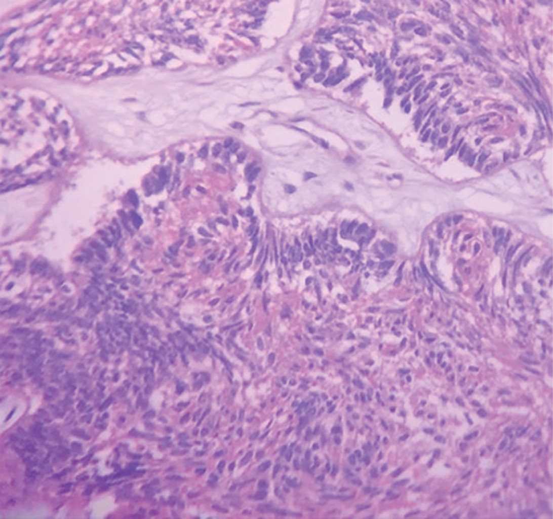
Inició padecimiento 19 meses previo a su primera valoración refiriendo chasquido súbito tras apertura máxima de la cavidad bucal, presentando dolor y aumento de volumen en la región posterior de la mandíbula derecha. En ortopantomografía se observa una zona radiolúcida, multilocular que abarca la rama ascendente derecha de la mandíbula y porción posterior del cuerpo mandibular con desplazamiento de tercer molar hacia borde cervical mandibular (Figura 1). En tomografía computarizada se observa lesión patológica multilocular que abarca la rama ascendente de la mandíbula, apófisis coronoides y hasta el cuello del cóndilo, la de mayor diámetro es de 35 × 32 mm con perforación de corticales casi en su totalidad y expansión de las corticales residuales (Figura 2). Se procede a realizar toma de biopsia incisional con un resultado de ameloblastoma folicular con datos de atipia celular (Figura 3), por lo que se decide solicitar gammagrama óseo que muestra una captación anormal en la rama mandibular derecha desde el cóndilo que correlacionan con la tumoración presente, así como un resultado negativo a la extensión metastásica ósea (Figura 4). Se decide realizar hemimandibulectomía y colocación de placa de reconstrucción con componente condilar. Se solicita estereolitografía para la preconformación de la placa de titanio y así disminuir el tiempo transoperatorio y márgenes de error en su colocación (Figura 5). Bajo anestesia general balanceada (AGB) se realizó fijación intermaxilar con ayuda de tornillos y cadena elástica. Se hizo incisión submandibular, se diseco el tejido por planos hasta llegar al hueso mandibular, se procedió a realizar hemimandibulectomía derecha, posteriormente se colocó placa de reconstrucción (Medartis MODUS®) con bloqueo y dispositivo condilar para reconstruir el cuerpo y rama mandibular (Figura 6), se verificó la oclusión, y el ajuste de la placa mediante toma de radiografía de control transoperatoria (Figura 7), se suturó por planos con sutura Vycril 3.0 y Polipropileno 5-0 para confrontar tejidos. El postoperatorio cursa sin complicaciones, por lo que se decide su egreso hospitalario para continuar su tratamiento por consulta externa en servicio de cirugía maxilofacial (Figura 8). El resultado histopatológico de la muestra completa reporta un espécimen formado por islas y cordones de epitelio ameloblástico de aspecto folicular y acantomatoso y displasia leve en un tejido conectivo fibroso denso bien vascularizado. Dos años después del procedimiento quirúrgico el paciente se encuentra asintomático y sin datos clínicos o radiográficos de recidiva.



DISCUSIóN

El ameloblastoma es una lesión de comportamiento agresivo e infiltrante que presenta varias alternativas para su tratamiento. Éstas pueden dividirse en radicales (resección marginal, en bloque, segmentaria o hemisección) y en técnicas conservadoras (curetaje y enucleación). Para establecer el tratamiento de mejor elección se debe tomar en cuenta el tipo clínico e histológico de la lesión, extensión y la edad del paciente, por lo que su tratamiento debe ser individualizado entre cada paciente que llegue a padecer este tipo de lesiones.2,8,15

Este caso resulta de particular interés, ya que clínicamente presentó comportamiento agresivo e histológicamente atipia celular y displasia en ciertas zonas de la lesión, lo que nos hace considerar que se podría tratar de un ameloblastoma atípico, el cual según Lei Y-Jaradat JM y colaboradores21 se describe como una variante intermedia entre el ameloblastoma convencional y el carcinoma ameloblástico, el cual muestra una ausencia de invasión angiolinfática o perineural, por lo que consideramos que si esta lesión no hubiese sido tratada, probablemente habría evolucionado a un carcinoma ameloblástico. Martínez-Martínez M y su equipo20 compararon características inmunohistoquímicas presentes en el ameloblastoma convencional y en el carcinoma ameloblástico con marcadores expresados en las células basales y suprabasales (Ki61, p53, p63, CK5, CK14, CK19, CD138, ECAD y BCAD), mostrando una alta expresión del marcador Ki61 (23.46%) y p53 (56.01%) en el carcinoma ameloblástico en comparación con la expresión observada en el ameloblastoma convencional (2.37 y 1.77%, respectivamente), estos dos marcadores son los más relevantes en estas entidades, ya que los demás marcadores mencionados se han mostrado con expresiones variables en ambas entidades.

De acuerdo a las características clínicas e histopatológicas que se presentan en este caso, se decidió realizar un tratamiento radical (hemimandibulectomía) debido a la gran extensión de la lesión, esperando una adecuada respuesta al tratamiento y una buena evolución, sin el uso de la terapia coadyuvante que Kalaskar R y colaboradores22 recomiendan, el cual ha aumentado la eficacia de este tipo de tratamientos con el uso de crioterapia, electrocauterio y solución de Carnoy, aunque se ha comprobado que estas terapias coadyuvantes no son apropiadas donde el tejido blando y la cortical se encuentren adelgazados o existan perforaciones.21

Actualmente el tratamiento farmacológico de las neoplasias con mutaciones de la vía MAPK se encuentra en investigación, el cual puede ser útil en los casos metastásicos y localmente agresivos.19 Entre los tratamientos moleculares23 que se están investigando para el tratamiento no quirúrgico del ameloblastoma se proponen inhibidores de la vía de Sonic Hedgehog, que incluyen la Cyclopamina, Robotnikinin, KAAD-cyclopamina, Jervine, IPI926, GDC-0449, biarylcarboxamida, CUR61414, SANT1, SANT2, SANT3, SANT4, JK184, y GANT61.19



CONCLUSIONES

El ameloblastoma es el segundo tumor odontogénico más común, se considera benigno; sin embargo, tiene un comportamiento localmente agresivo, por lo que el tratamiento para la variante sólida es quirúrgico con márgenes de seguridad para evitar recidivas. La reconstrucción con placas de titanio ofrece una correcta función y estética al paciente. El odontólogo debe tener el conocimiento sobre esta patología para poder identificar lesiones sospechosas y referirlas oportunamente al especialista para un tratamiento adecuado y oportuno.


REFERENCIAS (EN ESTE ARTÍCULO)

  1. Laxmidevi BL, Kokila G, Mahadesh J. Ameloblastoma-adding perspectives. Journal of Dental Sciences and Research. 2010; 1 (2): 11-22.

  2. Wright JM, Vered M. Update from the 4th edition of the World Health Organization classification of head and neck tumours: odontogenic and maxillofacial bone tumors. Head Neck Pathol. 2017; 11 (1): 68-77.

  3. Cueva Y, Calderón V, Trevejo-Bocanegra AP. El uso del contraste para el diagnóstico de ameloblastoma: a propósito de un caso. Revista Estomatológica Herediana. 2017; 27 (1): 44-50.

  4. Heikinheimo K, Kurppa KJ, Elenius K. Novel targets for the treatment of ameloblastoma. J Dent Res. 2015; 94 (2): 237-240.

  5. Hendra FN, Van Cann EM, Helder MN, Ruslin M, de Visscher JG, Forouzanfar T et al. Global incidence and profile of ameloblastoma: a systematic review and meta-analysis. Oral Dis. 2020; 26 (1): 12-21. doi: 10.1111/odi.13031.

  6. Mendenhall WM, Werning JW, Fernandes R, Malyapa RS, Mendenhall NP. Ameloblastoma. Am J Clin Oncol. 2007; 30 (6): 645-648.

  7. Yang R, Liu Z, Peng C, Cao W, Ji T. Maxillary ameloblastoma: factors associated with risk of recurrence. Head Neck. 2017; 39 (5): 996-1000.

  8. Bilodeau EA, Seethala RR. Update on Odontogenic tumors: proceedings of the North American head and neck pathology society. Head Neck Pathol. 2019; 13 (3): 457-465.

  9. Bianchi B, Ferri A, Ferrari S, Leporati M, Copelli C, Ferri T et al. Mandibular resection and reconstruction in the management of extensive ameloblastoma. Oral Maxillofac Surg. 2013; 71 (3): 528-537.

  10. Ruquaya M, Singh VP. Ameloblastoma - a locally destructive and invasive tumour-review of literature. Int J Otolaryngol Head Neck Surg. 2014; 3: 216-222.

  11. Harnsberger R. Ameloblastoma. En: Diagnostic imaging head and neck. Utah: Amirsys. 2004, 10-13.

  12. Chauhan DS, Guruprasad Y. Plexiform ameloblastoma of the mandible. J Clin Imaging Sci. 2011; 1 (4): 61.

  13. Hertog D, Van der Waal I. Ameloblastoma of the jaws: a critical reappraisal based on a 40-years single institution experience. Oral Oncol. 2010; 46 (1): 61-64.

  14. Chaine A, Pitak-Arnnop P, Dhanuthai K, Ruhin-Poncet B, Bertrand JC, Bertolus C. A treatment algorithm for managing giant mandibular ameloblastoma: 5-year experiences in a Paris university hospital. Eur J Surg Oncol. 2009; 35 (9): 999-1005.

  15. Hammarfjord O, Roslund J, Abrahamsson P, Nilsson P, Thor A, Magnusson M et al. Surgical treatment of recurring ameloblastoma, are there options? Br J Oral Maxillofac Surg. 2013; 51 (8): 762-766.

  16. Camargo P, Olaya GE, Torres ME. Teorías del crecimiento craneofacial: una revisión de literatura. Ustasalud. 2017; 16: 78-88.

  17. Kurppa KJ, Catón J, Morgan PR, Ristimaki A, Ruhin B, Kellokoski J et al. High frequency of BRAF V600E mutations in ameloblastoma. J Pathol. 2014; 232 (5): 492-498.

  18. Mishra P, Panda A, Bandyopadhyay A, Kumar H, Mohiddin G. Sonic hedgehog signalling pathway and ameloblastoma – a review. J Clin Diagn Res. 2015; 9 (11): ZE10-ZE13.

  19. Vidal GM, Anguiano JLC, Galindo PM. Tratamiento de ameloblastoma convencional: hemimandibulectomía, y reconstrucción con placa 2.4 bloqueada con aditamento condilar Synthes. Reporte de un caso. Revista ADM. 2015; 72 (3): 153-159.

  20. Martínez-Martínez M, Mosqueda-Taylor A, Carlos-Bregni R, Pires FR, Delgado-Azañero W, Neves-Silva R et al. Comparative histological and immunohistochemical study of ameloblastomas and ameloblastic carcinomas. Med Oral Patol Oral Cir Bucal. 2017; 22 (3): e324-e332.

  21. Lei Y, Jaradat JM, Owosho A, Adebiyi KE, Lybrand KS, Neville BW et al. Evaluation of SOX2 as a potential marker for ameloblastic carcinoma. Oral Surg Oral Med Oral Pathol Oral Radiol. 2014; 117 (5): 608-616.e1. doi: 10.1016/j.oooo.2014.01.017.

  22. Kalaskar R, Unawane AS, Kalaskar AR, Pandilwar P. Conservative management of unicystic ameloblastoma in a young child: report of two cases. Contemp Clin Dent. 2011; 2 (4): 359-363.

  23. Brown NA, Betz BL. Ameloblastoma: a review of recent molecular pathogenetic discoveries. Biomark Cancer. 2015; 7 (Suppl 2): 19-24.



AFILIACIONES

1 Cirujano dentista especialista en cirugía oral y maxilofacial. Jefe de Servicio de Estomatología. INER (Instituto Nacional de Enfermedades Respiratorias).

2 Cirujano dentista especialista en cirugía oral y maxilofacial. Adscrito al Servicio de Estomatología. INER (Instituto Nacional de Enfermedades Respiratorias).

3 Pasante de servicio social en Estomatología. INER (Instituto Nacional de Enfermedades Respiratorias).

4 Pasante de servicio social en Estomatología en el Hospital General "Dr. Salvador Zubirán Anchondo", Chihuahua.

5 Especialista en patología bucal. Universidad Nacional Autónoma de México.



Conflicto de intereses: Los autores declaran no tener conflicto de intereses en la realización de este artículo.

Aspectos éticos: El estudio se llevó a cabo de acuerdo a las normas éticas de la Declaración de Helsinki y fue aprobado por el comité de ética del instituto.

Financiamiento: Los autores declaran no haber recibido financiamiento alguno en la elaboración de este trabajo.



CORRESPONDENCIA

Dr. Carlos Alberto Carrasco Rueda. E-mail: drcarrascor@hotmail.com




Recibido: 06 de agosto de 2021. Aceptado: 17 de febrero de 2022.

Figura 1
Figura 2
Figura 3
Figura 4
Figura 5
Figura 6
Figura 7
Figura 8
Tabla 1

2020     |     www.medigraphic.com

Mi perfil

C?MO CITAR (Vancouver)

Rev ADM. 2022;79

ARTíCULOS SIMILARES

CARGANDO ...