medigraphic.com
ENGLISH

Latin American Journal of Oral and Maxillofacial Surgery

ISSN 2992-7757 (Digital)
Órgano de difusión de la Asociación Latinoamericana de Cirugía y Traumatología Bucomaxilofacial (ALACIBU)
  • Mostrar índice
  • Números disponibles
  • Información
    • Información general        
    • Directorio
  • Publicar
    • Instrucciones para autores        
  • medigraphic.com
    • Inicio
    • Índice de revistas            
    • Registro / Acceso
  • Mi perfil

2022, Número 2

<< Anterior

Lat Am J Oral Maxillofac Surg 2022; 2 (2)


Uso de la fotobiomodulación en el tratamiento de las complicaciones tisulares tras la resección de un leiomiosarcoma del maxilar

Borim PBF, Nastri LD, Luchini PAL, García GH, Hochuli VE, Sader RA, Capelli GR
Texto completo Cómo citar este artículo 10.35366/104862

DOI

DOI: 10.35366/104862
URL: https://dx.doi.org/10.35366/104862
Artículos similares

Idioma: Ingles.
Referencias bibliográficas: 15
Paginas: 91-96
Archivo PDF: 308.66 Kb.


PALABRAS CLAVE

Leiomiosarcoma, sarcoma, tumores de tejidos blandos, cáncer de cabeza y cuello.

RESUMEN

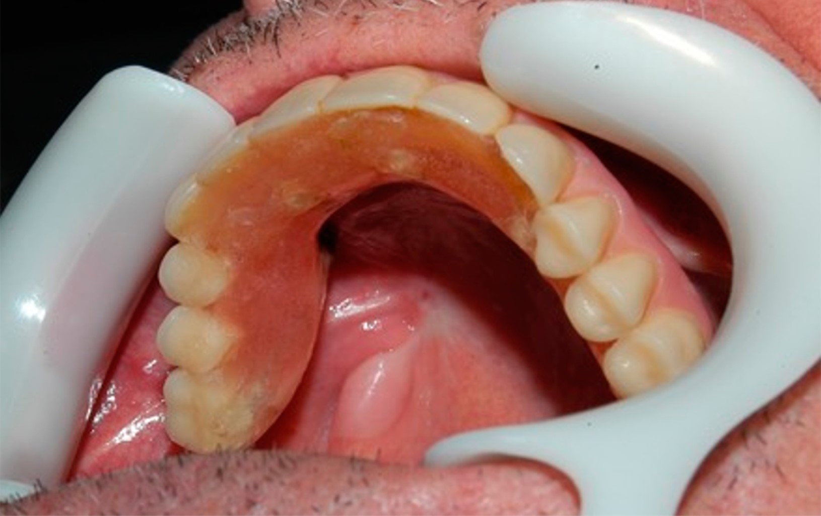
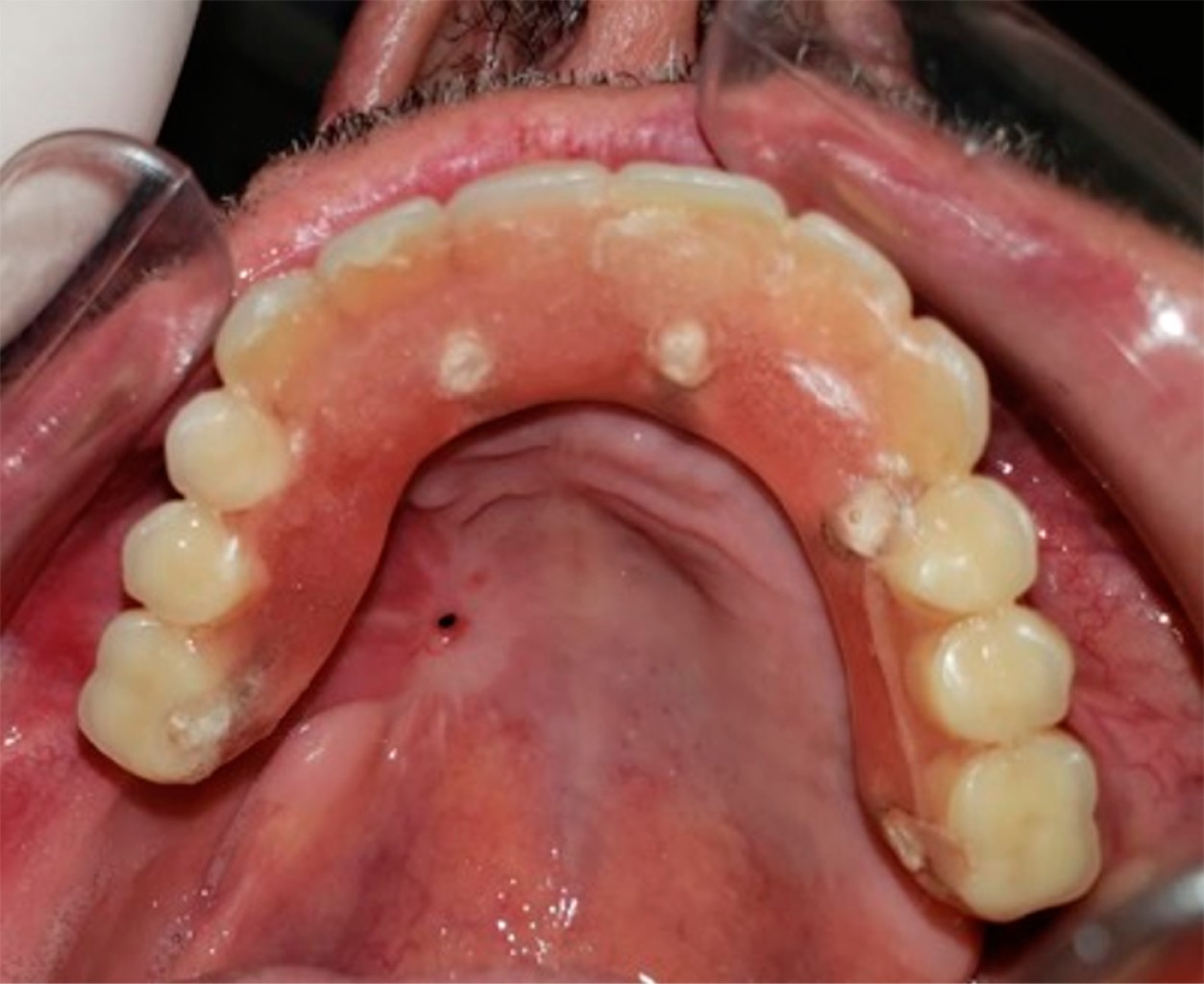
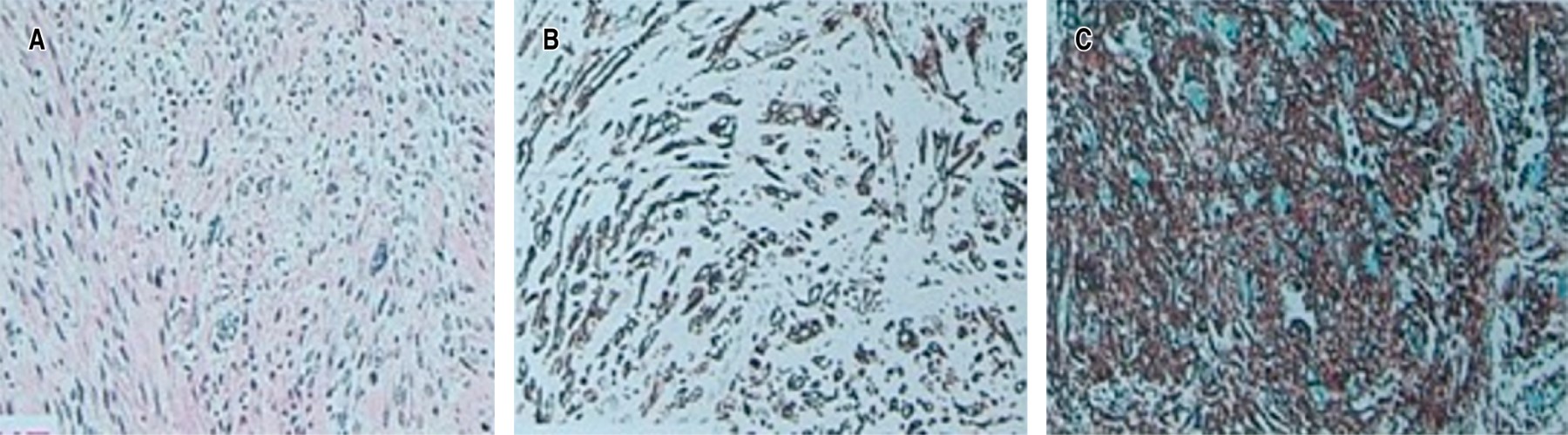
El leiomiosarcoma es un tipo de cáncer que se origina en las células musculares lisas del útero, el tracto gastrointestinal y otros tejidos blandos. La rara aparición del leiomiosarcoma en la cavidad oral se ha correlacionado con la escasez de estructuras musculares lisas en esta localización. Se trata de un tumor de tejidos blandos raro y agresivo que representa aproximadamente 5-10% de todos los sarcomas de tejidos blandos, y sólo 3% de estos tumores se producen en la región de la cabeza y el cuello. El diagnóstico diferencial puede ser problemático. El aspecto físico puede confundirse con afecciones no malignas. El diagnóstico diferencial clínico de la lesión incluye los tumores glandulares (adenoma pleomórfico, carcinoma mucoepidermoide y carcinoma adenoide quístico) y los tumores mesenquimales. Relatamos un caso de leiomiosarcoma maxilar en un paciente de 86 años que fue sometido a una resección tumoral y tuvo como complicación la necrosis casi completa del retallo quirúrgico. Gracias a la terapia con láser, logramos la curación completa del colgajo y el implante y la rehabilitación dental con carga inmediata.


REFERENCIAS (EN ESTE ARTÍCULO)

  1. Bartkowiak Z. Ein fall von sarcoma leiomyoblasticum der haut. Pathol Anat. 1936; 65: 179-180.

  2. Savastano G, Palombini L, Muscariello V, Erra S. Leiomyosarcoma of the maxilla: a case report. J Oral Maxillofac Surg. 1998; 56 (9): 1101-1103.

  3. Yadav J, Bakshi J, Chouhan M, Modi R. Head and neck leiomyosarcoma. Indian J Otolaryngol Head Neck Surg. 2013; 65 (Suppl 1): 1-5.

  4. Montgomery E, Goldblum JR, Fisher C. Leiomyosarcoma of the head and neck: a clinicopathological study. Histopathology. 2002; 40 (6): 518-525.

  5. Neville BW, Damm DD, Allen CM, Bouquout JE. Oral and maxillofacial pathology. Philadelphia : Saunders, ©1995.

  6. Chew YK, Noorizan Y, Khir A, Brito-Mutunayagam S. Leiomyosarcoma of the maxillary sinus. Med J Malaysia. 2009; 64 (2): 174-175.

  7. Sumida T, Hamakawa H, Otsuka K, Tanioka H. Leiomyosarcoma of the maxillary sinus with cervical lymph node metastasis. Journal of Oral and Maxillofacial Surgery. 2001; 59 (5): 568-571.

  8. Prasad KC, Alva TB, Khadilkar U, Madhu D. Leiomyosarcoma of the maxillary sinuses: report of two cases. Ear Nose Throat J. 2004; 83 (2): 122-127.

  9. Sandhu SV, Sodhi SPS, Rai S, Bansal H. Primary leiomyosarcoma of the maxilla: an investigative loom - Report of a challenging case and review of literature. J Oral Maxillofac Pathol. 2014; 18 (3): 453-459.

  10. Ethunandan M, Stokes C, Higgins B, Spedding A, Way C, Brennan P. Primary oral leiomyosarcoma: a clinico-pathologic study and analysis of prognostic factors. Int J Oral Maxillofac Surg. 2007; 36 (5): 409-416.

  11. Azevedo RS, Pires FR, Gouvea AF, Lopes MA, Jorge J. Leiomyosarcomas of the oral cavity: Report of a radiation-associated and a metastatic case. Oral Maxillofac Surg. 2012; 16 (2): 227-232.

  12. Saglam O, Kuvat SV, Task?n U, Yildirim A, HE. Leiomyosarcoma of the soft palate. Kulak Burun Bogaz Ihtis Derg. 2013; 23 (2): 112-114.

  13. Vilos GA, Rapidis AD, Lagogiannis GD, Apostolidis C. Leiomyosarcomas of the oral tissues: clinicopathologic analysis of 50 cases. J Oral Maxillofac Surg. 2005; 63 (10): 1461-1477.

  14. Papoian V, Yarlagadda BB, Devaiah AK. Multifocal, recurrent sinonasal leiomyosarcoma: case report and review of literature. Am J Otolaryngol. 2014; 35 (2): 254-256.

  15. Guerra RC, De Luca DN, Pereira RS, Carvalho PHA, Homsi N, Radaic P, et al. TMJ diode surgical laser approach in a contemporary treatment of tempomandibular joint pathologies. A technical note. Oral Surgery. 2021; 14: 206-208.




Figura 1
Figura 2
Figura 3
Figura 4
Figura 5
Figura 6
Figura 7
Figura 8

2020     |     www.medigraphic.com

Mi perfil

C?MO CITAR (Vancouver)

Lat Am J Oral Maxillofac Surg. 2022;2

ARTíCULOS SIMILARES

CARGANDO ...