medigraphic.com
ENGLISH

Medicina Crítica

  • Mostrar índice
  • Números disponibles
  • Información
    • Información general        
    • Directorio
  • Publicar
    • Instrucciones para autores        
  • Políticas
  • Lineamientos
  • medigraphic.com
    • Inicio
    • Índice de revistas            
    • Registro / Acceso
  • Mi perfil

2022, Número 3

<< Anterior

Med Crit 2022; 36 (3)


Identificación de Lophomonas blattarum en secreción bronquial de un paciente con COVID-19. Reporte de un caso y revisión de la literatura

Vásquez-Revilla, Héctor Romeo1; Revilla-Rodríguez, Eduardo1; Millán-Villavicencio, Itzel Araís1
Texto completo Cómo citar este artículo 10.35366/105386

DOI

DOI: 10.35366/105386
URL: https://dx.doi.org/10.35366/105386
Artículos similares

Idioma: Español
Referencias bibliográficas: 16
Paginas: 183-186
Archivo PDF: 193.69 Kb.


PALABRAS CLAVE

Lophomonas, neumonía, COVID-19.

RESUMEN

La infección por Lophomonas es una infección rara comúnmente asociada con pacientes inmunosuprimidos. El diagnóstico de las infecciones es realizado mediante la observación directa bajo el microscopio de luz de muestras de secreción bronquial obtenido por aspiración, cepillado broncoalveolar o biopsia pulmonar, al buscar otros agentes. En los pacientes con COVID-19, el uso de fármacos inmunosupresores y la presencia de comorbilidades podría contribuir al desarrollo de este tipo de infecciones. Presentamos el caso de una paciente con neumonía por COVID-19 que desarrolló síndrome de insuficiencia respiratoria aguda grave y se documentó Lophomonas en frotis de secreción bronquial.



INTRODUCCIóN

Las infecciones secundarias a protozoarios han adquirido cada vez mayor importancia debido a su asociación con pacientes inmunocomprometidos, como lo es el síndrome de inmunodeficiencia adquirida (SIDA), trasplantes, neoplasias, neumopatía crónica y uso de corticoides.1,2 Las Lophomonas son protozoarios anaeróbicos multiflagelados habituales de la flora intestinal de las cucarachas y termitas, viviendo como comensal para facilitar la digestión de nutrientes como la celulosa.3 Es de forma redondeada o piriforme, con citoplasma granular y flagelos múltiples orientados de forma irregular en el polo apical, con uno o dos núcleos no siempre visibles.4-6 Se han reportado dos tipos, L. blattarum y L. striata; de las cuales la L. blattarum se ha registrado como la única con capacidad para causar infección en seres humanos, siendo los principales sitios a nivel pulmonar (97%), senos paranasales (2%) y vías urinarias (1%).2

En los pacientes con enfermedad por coronavirus (COVID-19) se presenta un estado hiperinflamatorio potencialmente mortal llamado síndrome de liberación de citocinas, que se caracteriza por una disfunción multiorgánica que empeora rápidamente, por lo que la utilización de una terapia inmunosupresora temprana es frecuentemente utilizada. La lophomoniasis pulmonar es una patología poco frecuente que debe tenerse en cuenta en pacientes inmunocomprometidos con neumonía grave que persisten con fiebre y mala respuesta a tratamiento, como es el caso de los pacientes con COVID-19. En la mayoría de los casos, el microorganismo se encuentra casualmente al analizar muestras de lavado broncoalveolar mientras se buscan otros agentes.5 En el presente caso se reporta el hallazgo de L. blattarum en secreción broncoalveolaren un paciente con neumonía grave secundaria a COVID-19.



PRESENTACIóN DEL CASO

Mujer de 57 años, originaria y residente de la ciudad de Oaxaca, empleada de gobierno, sin antecedentes de tabaquismo o alcoholismo, exposición a la combustión de biomasas durante la adolescencia, hipertensión arterial sistémica de un año de diagnóstico en tratamiento con amlodipino 5 mg cada 24 horas; obesidad grado 2 de acuerdo con la clasificación de la Organización Mundial de la Salud (OMS).

Inicia su cuadro una semana previa a su ingreso hospitalario al presentar fiebre, tos y malestar general, acude a médico privado y recibe tratamiento a base de ceftriaxona de 1 g intramuscular cada 12 horas por cinco días y dexametasona de 8 mg intramuscular cada 24 horas durante tres días sin presentar mejoría. Dos días previos a su ingreso presenta disnea de medianos esfuerzos. Al no presentar mejoría acude por sus propios medios al servicio de urgencias de nuestro hospital, donde se documenta saturación periférica de 35% que mejora con la administración de oxígeno suplementario, se realiza reacción en cadena de la polimerasa para SARS-CoV-2, la cual posteriormente es reportada como positiva y es ingresada al área de hospitalización. El día siguiente a su ingreso a hospitalización presenta datos francos de dificultad respiratoria ameritando intubación orotraqueal e inicio de ventilación mecánica, colocándose en posición prono durante 48 horas.

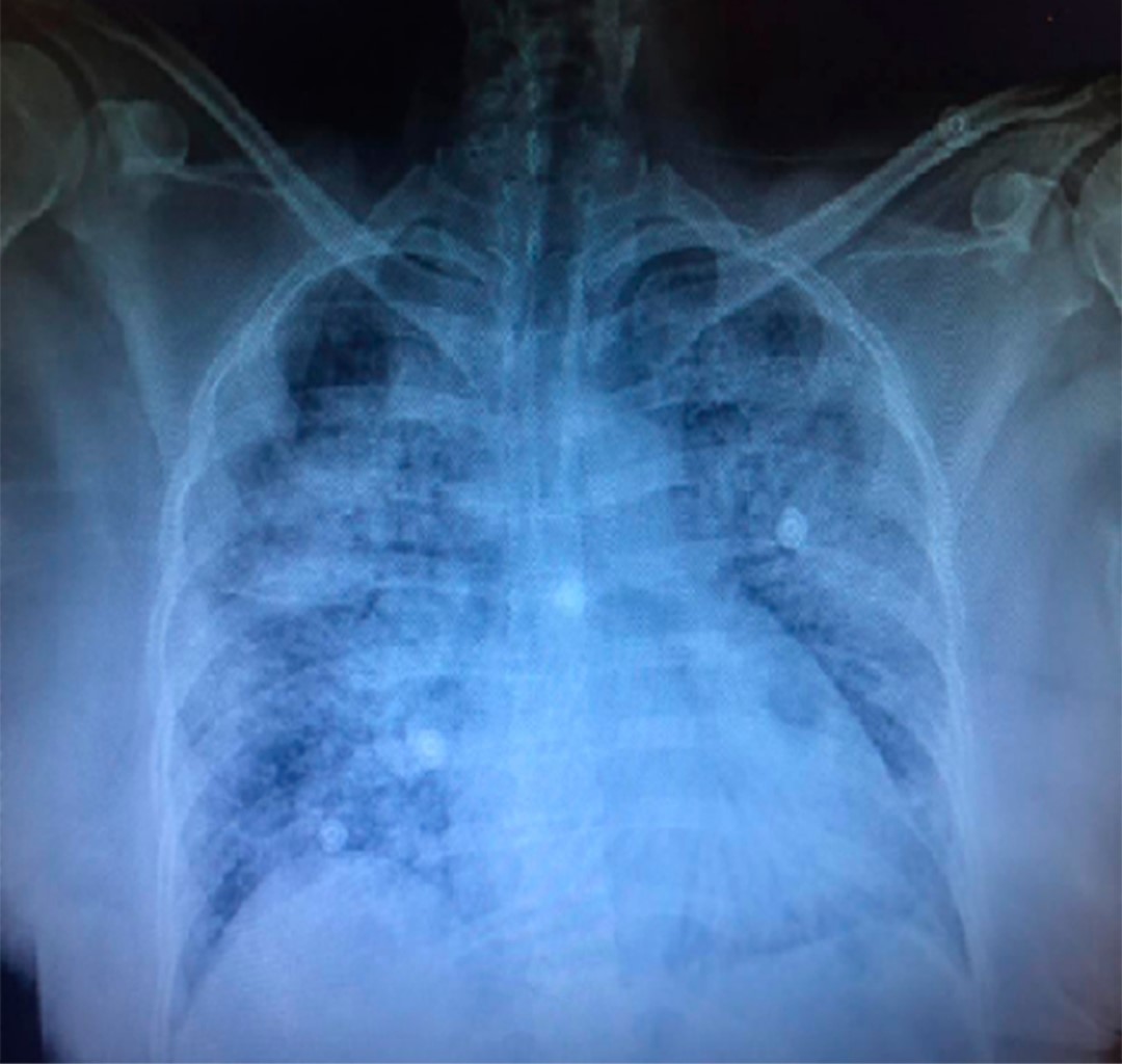
Es ingresada a la Unidad de Cuidados Intensivos (UCI) con los siguientes parámetros ventilatorios: modalidad control volumen con Vt 310 mL (6 mL/kg de peso predicho), PEEP 9 cmH2O, FiO2 70%, presión pico 27 cmH2O, presión media 15 cmH2O, presión meseta 23 cmH2O, driving pressure 14 cmH2O, saturación periférica 92%, manteniéndose en metas de oxigenación, sin requerimientos de vasopresor. La radiografía de tórax a su ingreso mostró infiltrados alveolares heterogéneos (Figura 1). Estudios de laboratorio: hemoglobina 10 g/dL, hematocrito 40.2%, leucocitos 10,000, plaquetas 412,000, neutrófilos 87.9%, linfocitos 8%, monocitos 3.9%, monocitos 0.2%, eosinófilos 0.0%, glucosa 100 mg/dL, BUN 27 mg/dL, creatinina 0.79 mg/dL, sodio 150 mmol/L, potasio 4.5 mmol/L, cloro 114 mmol/L. Gasometría arterial con pH 7.5, PaCO2 41, PaO2 59, HCO3 33.5, saturando 94%, relación PaO2/FiO2 84 mmHg. El tercer día de su ingreso a la UCI inicia con fiebre continua de 39 oC, se realiza toma de hemocultivos central y periféricos, cultivo de secreción bronquial, para posteriormente iniciar tratamiento a base de ceftazidima de 1 g IV cada 8 horas. La muestra de secreción bronquial fue obtenida mediante circuito cerrado, recolectada en un contenedor de plástico estéril y trasportada de manera inmediata al Servicio de Microbiología, donde se estableció que la muestra era idónea y cumplía con los requisitos de calidad establecidos para su análisis. Se realizó un examen en fresco reportando presencia de pseudohifas, cocos y moderada cantidad de protozoarios multiflagelados identificados como L. blattarum (Figura 2). Se solicita por parte del Servicio de Microbiología una segunda muestra donde se realizó una búsqueda intencionada de L. blattarum, documentándose de esta manera su presencia. Se realizó tinción de Gram reportando abundantes cocos Gran positivos agrupados en racimos; escasas levaduras y tinción de Ziehl-Neelsen que se reportó sin presencia de bacilos ácido alcohol resistentes. Se cambia esquema antimicrobiano a imipenem de 500 mg IV cada 6 horas, vancomicina de 1 g IV cada 12 horas y metronidazol de 500 mg IV cada 8 horas, se retira del tratamiento la ceftazidima. Se recaba cultivo de secreción bronquial que reporta moderado desarrollo Staphylococcus haemolyticus, Candida albicans y como observación hay presencia de L. blattarum, agregándose al tratamiento fluconazol de 200 mg IV cada 12 horas. El quinto día de estancia en la UCI persiste fiebre continua requiriendo inicio de vasopresor y presenta descenso progresivo de PaO2/FiO2. El séptimo día de estancia en la UCI la paciente presenta choque refractario y fallece.



DISCUSIóN

La infección por L. blattarum es poco frecuente, hay muy pocos casos reportados en la literatura internacional. En el 2013 fue realizada una revisión encontrando 61 casos: 53 (86%) en China, seis (9.8%) en Lima, Perú, y dos casos (3.3%) en España, de los cuales 70.9% eran hombres.5 En el 2014, se realiza una nueva revisión y se encontraron 136 casos con edades entre nueve y 95 años, 60% eran hombres, algunos previamente sanos y otros presentaban inmunosupresión.6 En México se han realizado sólo reportes aislados en pacientes con afectación pulmonar.2,7

La infección por Lophomonas en el tracto respiratorio podría complicar otras infecciones respiratorias preexistentes en pacientes hospitalizados agravando su condición clínica. En algunos estudios, las principales afectaciones preexistentes son la inmunosupresión (70%), pacientes en periodos postrasplante o los pacientes con enfermedades agudas como la leucemia mieloide (30%).2,8 Otros estudios han reportado las neoplasias y la diabetes mellitus como comorbilidades relacionadas.9 En el caso de nuestra paciente, se reportó hipertensión arterial y obesidad como comorbilidades preexistentes, además del uso de corticoesteroides previo a su ingreso y durante su estancia hospitalaria. En los pacientes con COVID-19, la terapia inmunosupresora es frecuentemente utilizada, incluyendo corticosteroides, bloqueadores de interleucinas (tocilizumab, sarilumab y anakinra) y otros inmunomoduladores (ruxolitinib, eculizumab, interferón, cloroquina, ivermectina y colchicina). No todos los tratamientos inmunosupresores han mostrado un beneficio significativo, pero su utilización se ha generalizado, aun cuando su efecto pueda resultar incierto en esta población de pacientes. La terapia inmunosupresora se ha descrito como uno de los factores que contribuye de manera específica en el desarrollo de infecciones oportunistas. Con respecto a la trasmisión de Lophomonas en el ser humano, se ha planteado la hipótesis de que la forma quística del parásito es la forma infectante (vía inhalatoria o líquidos contaminados), realizándose la excistación y liberación de los trofozoítos en las vías respiratorias.1-3,10 Se ha sugerido que la presencia de Lophomonas en el ambiente hospitalario está relacionada con la contaminación por deficiencias en la higiene en los sistemas de ventilación ambiental y mal almacenamiento de equipo de uso médico que está en contacto con los pacientes.9

No han sido considerados como patógenos capaces de ocasionar afectación pulmonar.11 Sin embargo, algunos autores las han señalado como patógenos pulmonares, debido a que se ha reportado su hallazgo en muestras de esputo de pacientes asmáticos.12 El diagnóstico de las infecciones de L. blattarum es realizado mediante la observación directa bajo el microscopio de luz de muestras de secreción bronquial obtenido por aspiración, cepillado broncoalveolar o biopsia pulmonar. Se pueden utilizar distintas tinciones, pudiéndose observar estos parásitos vivos en el microscopio de luz.1,2 Los elementos multiflagelares que corresponden a Lophomonas son de forma ovoide o piriforme con un rango de tamaño aproximado de 15 a 40 µm, presencia de acúmulos de flagelos ondulantes y longitud variable presentes en sus extremos sin barra terminal.2 Pueden ser confundidos con células epiteliales ciliadas, las cuales son de forma cónicas o columnares, provistas de cilios rectos, uniformes y localizados en el extremo apical de la célula e insertados en su barrera terminal, por lo que su identificación requiere de personal capacitado.13 Al no estar considerados previamente como agentes patógenos, cuando se encuentran protozoarios flagelados en secreciones respiratorias no suele pensarse en Lophomonas, por lo que no es reportado en los informes, además de que las técnicas convencionales de tinción como la de Gram, no permiten siempre su visualización.14 La presencia de eosinofilia se ha reportado sólo en 35% de los pacientes,13 por lo que no es un hallazgo común. En el caso de nuestra paciente, el diagnóstico se realizó mediante análisis en fresco y requirió de una segunda muestra para realizar la búsqueda intencionada para corroborar el diagnóstico analizando la morfología y motilidad de este agente. En algunos casos se ha descrito la posibilidad de realizar el diagnóstico molecular mediante una reacción en cadena de la polimerasa (PCR) para confirmar el género Lophomonas spp.14

En cuanto al tratamiento, se emplea principalmente metronidazol de 500 mg cada 8 horas por siete a 10 días,10,15,16 en algunos casos se ha reportado la presencia de Lophomonas vivas hasta por 21 días,2 probablemente relacionado al proceso de inmunosupresión. Se han descrito otras alternativas terapéuticas como tinidazol y albendazol.14 En la literatura no se han reportado casos fallidos al tratamiento, pero la asociación con neumonía grave en la Unidad de Cuidados Intensivos u otros procesos infecciosos (bacterias y hongos) no suele tener un pronóstico favorable.12 Existe poca evidencia científica hasta el momento en cuanto al manejo de estas infecciones en el ámbito de un paciente críticamente enfermo.



CONCLUSIONES

En la actualidad, el uso de terapia inmunosupresora se ha hecho común en los pacientes con COVID-19, lo cual ha dado lugar a la presencia cada vez más frecuente de infecciones oportunistas. En el caso de nuestra paciente se documentó el uso de esteroides incluso antes de su ingreso hospitalario, que pudo contribuir al desarrollo de infección por parte de este parásito pulmonar. Las Lophomonas asociadas a infecciones pulmonares pueden ser difíciles de distinguir, por lo que deben ser consideradas cuando se evalúen muestras de pacientes con factores de riesgo de inmunosupresión, incluidos los pacientes con COVID-19. Por lo que se sugiere realizar como parte del protocolo un análisis de frotis en fresco de las secreciones de estos pacientes para su oportuna identificación y tratamiento.


REFERENCIAS (EN ESTE ARTÍCULO)

  1. Camargo F, Mattar S. González TM. Lophomonas blattarum parásito de cucarachas que causa neumonías infrecuentes en humanos. Rev MVZ Cordoba. 2020; 25(1):e1948.

  2. Morales G, Ceferino Y, Cadenas J, Méndez A. Lophomoniasis pulmonar. Med Crit. 2019;33(3):150-154.

  3. Díaz W, Condori P, Ovalle R, Luque N. Community-acquired pneumonia caused by Lophomona sp. Community Acquir Infec. 2017;2(2):38-40.

  4. Xue J, Li Y, Yu X, Li D, Liu M, Qiu J, et al. Bronchopulmonary infection of Lophomonas blattarum: a case and literature review. Korean J Parasitol. 2014;52(5):521-525.

  5. Martinez-Girón R, Cornelis van Woerden H. Lophomonas blattarum and bronchopulmonary disease. J Med Microbiol. 2013;62(Pt 11):1641-1648.

  6. Zerpa R, Ore E, Patiño L, Espinoza Y. Hallazgo de Lophomonas sp. en secreciones del tracto respiratorio de niños hospitalizados con enfermedad pulmonar grave. Rev Peru Med Exp Salud Pública. 2010;27(4):575-577.

  7. Saldaña N, Mendoza F, Larrauri F, Trujillo D, Montoya E, De La Garza E, et al. Bronchopulmonary infection by Lophomonas blattarum in a pediatric patient after hematopoietic progenitor cell transplantation: first report in México. J Thorac Dis. 2017;9(10):899-902.

  8. Berenji F, Parian M, Fata A, Bakhshaee M, Fattahi F. First case report of sinusitis with Lophomonas blattarum from Iran. Case Rep Infect Dis. 2016;2016:2614187.

  9. Iglesias S, Acosta J. Lophomonas sp. ¿Patógeno respiratorio y posible indicador de contaminación hospitalaria? Rev Chil Enferm Respir. 2020;36:62-64.

  10. Zerpa R, Oré E. Infección del tracto respiratorio humano por Lophomonas spp. Rev Perú Med Exp Salud Pública. 2016;33(4):827-828.

  11. Fernández M, Martínez DM, Tantaleán M, Martínez R. Parásitos presentes en Periplaneta americana Linnaeus "cucaracha doméstica" de la ciudad de Ica. Rev Peru Biol. 2001;8(2):105-113.

  12. Martínez-Girón R, Doganci L. Lophomonas blattarum: a brochopulmonary pathogen. Acta Cytol. 2010;54(Suppl):1050-51.

  13. Failoc-Rojas VE, Iglesias-Osores S, Silva-Díaz H. Lophomonas sp. in the upper and lower respiratory tract of patients from a hospital in Lambayeque, Peru: clinical case studies. Respir Med Case Rep. 2020;31:101142.

  14. Li R, Gao ZC. Lophomonas blattarum infection or just the movement of ciliated epithelial cells? Chin Med J. 2016;129:739-742.

  15. Ribas A, Martínez R, Ponte C, Alonso R, Iglesias F. Immunosuppression, flagellated protozoa in the human airways and metronidazole: observations on the state of the art. Transpl Int. 2007;20(9):811-812.

  16. Zorbozan O, Uysal A, Bacakoglu F, Turgay N, Toz S. Lophomonas blattarum associated broncho-pulmonary infection after immunotherapy: a case report and a smart-phone based video of trophozoite. Turkiye Parazitol Derg. 2019;43(1):44-46.



AFILIACIONES

1 Hospital General de Zona No. 1 "Dr. Demetrio Mayoral Pardo", IMSS. Oaxaca, México.



CORRESPONDENCIA

Héctor Romeo Vásquez-Revilla. E-mail: hromeo81@hotmail.com, dr.vasquezrevilla@hotmail.com




Recibido: 11/05/2021. Aceptado: 08/02/2022.







Figura 1
Figura 2

2020     |     www.medigraphic.com

Mi perfil

C?MO CITAR (Vancouver)

Med Crit. 2022;36

ARTíCULOS SIMILARES

CARGANDO ...