medigraphic.com
ENGLISH

Orthotips AMOT

ISSN 2007-8560 (Impreso)
Órgano Oficial de Difusión Científica de la Federación Mexicana de Colegios de Ortopedia y Traumatología, A.C. (FEMECOT)
  • Mostrar índice
  • Números disponibles
  • Información
    • Información general        
    • Directorio
  • Publicar
    • Instrucciones para autores        
  • medigraphic.com
    • Inicio
    • Índice de revistas            
    • Registro / Acceso
  • Mi perfil

2022, Número 2

<< Anterior Siguiente >>

Ortho-tips 2022; 18 (2)


Comparación de resultados funcionales después de la reconstrucción del ligamento cruzado anterior con autoinjerto de isquiotibiales: técnica de portal transtibial vs anteromedial

Hernández-Guízar, Gonzalo1; Rangel-Gutiérrez, Fernando2; Rivera-De la Cruz, Eloy3; Guevara-Rodríguez, Víctor Andrés4; Álvarez-Carrillo, Gustavo Adolfo5; Morales-Álvarez, Jesús José6
Texto completo Cómo citar este artículo 10.35366/105500

DOI

DOI: 10.35366/105500
URL: https://dx.doi.org/10.35366/105500
Artículos similares

Idioma: Español
Referencias bibliográficas: 20
Paginas: 112-120
Archivo PDF: 280.88 Kb.


PALABRAS CLAVE

Ligamento cruzado anterior, reconstrucción, transtibial, anteromedial.

RESUMEN

Introducción: Las lesiones del ligamento cruzado anterior totalizan entre 100,000 y 200,000 casos al año, cada año se realizan en Estados Unidos cerca de 100,000 reconstrucciones, cuyos buenos resultados oscilan entre 75 y 90%. La técnica más común de perforación de túnel femoral es la transtibial; sin embargo, actualmente hay un cambio en la elección a la anteromedial, la cual reconstruye el túnel femoral más anatómico, esto con el fin de mejorar la estabilidad rotacional. Objetivo: Comparar los resultados funcionales después de la reconstrucción del ligamento cruzado anterior con la técnica de perforación de túnel femoral transtibial versus anteromedial, en el paciente de la Unidad Médica de Atención Ambulatoria (UMAA) No. 90, Torreón, Coahuila, periodo 2020-2021. Material y métodos: Estudio comparativo, transversal y ambispectivo en pacientes con diagnóstico de lesión de ligamento cruzado anterior, a los cuales se les realizó reconstrucción en la UMAA No. 90 Torreón, Coahuila, México. Resultados: Se incluyeron 32 pacientes sometidos a reconstrucción de ligamento cruzado anterior con autoinjerto de isquiotibiales, 90.6% del sexo masculino. La edad promedio fue 27.7 ± 7.3, con rango de 17 a 45 años, 62.5% (n = 20) presentó lesión en rodilla derecha y 37.5% (n = 12) rodilla izquierda, 53.1% (n = 17) se sometió a técnica con abordaje anteromedial y 46.9% (n = 15) abordaje transtibial. No hubo diferencias significativas en los resultados (p < 0.05) al tercer y quinto mes, ambos grupos tuvieron resultados similares en el test Lysholm e IKDC (International Knee Documentation Committee). Conclusiones: La reconstrucción del ligamento cruzado anterior con autoinjerto de isquiotibiales mediante las técnicas de túnel femoral anteromedial o transtibial demostraron resultados similares sin diferencias significativas a corto plazo.



INTRODUCCIóN

Las lesiones del ligamento cruzado anterior son las más comunes; esto sigue aumentando tanto en la población general como en las personas que practican deportes, los atletas que practican fútbol americano sufren el mayor número de lesiones del ligamento cruzado anterior (53% del total), también los esquiadores y gimnastas corren un alto riesgo.1 Las reconstrucciones del ligamento cruzado anterior presentan buenos resultados (75 a 90% de éxito)2 con tasas de remisión de 1.5 a 20%.

En la década de 1970, los informes de reparación primaria del ligamento cruzado anterior con o sin aumento tuvieron éxito en aproximadamente 70% de los casos, siendo mayor en los desgarros proximales; sin embargo, la tasa de falla de 20 a 30% condujo al abandono de la reparación.3

Actualmente las lesiones del ligamento cruzado anterior están aumentando lentamente en las mujeres, probablemente por el aumento en la participación deportiva. Estas lesiones representan aproximadamente 60% de las cirugías relacionadas con el deporte y según estudios representan 50% de todas las lesiones de rodilla. En 2006, según los centros para el control y prevención de enfermedades, los costos de la cirugía de reconstrucción del ligamento cruzado anterior se estimaron en casi un billón de dólares.4 En la actualidad, en nuestro país la reconstrucción del ligamento cruzado anterior es un procedimiento artroscópico que se realiza a menudo en pacientes jóvenes con vida deportiva activa, existen diversos puntos de vista basados en la experiencia profesional de cada cirujano con respecto a cuál técnica de perforación de túnel femoral es la más óptima y con mejores resultados funcionales en el paciente, en el mundo existen estudios a corto5 y largo plazo6-16 que respaldan la vía anteromedial y transtibial, con resultados similares o mejores por la técnica anteromedial sin descartar que la transtibial sea una mala técnica.

En México existen estudios que avalan la técnica de portal anteromedial como la de menor tiempo quirúrgico y menores complicaciones transoperatorias. El objetivo de este estudio es comparar los resultados funcionales después de la reconstrucción del ligamento cruzado anterior con autoinjerto de isquiotibiales entre la técnica de portal transtibial versus anteromedial, en la UMAA No. 90, Torreón, Coahuila en el periodo 2020-2021 al tercer y quinto mes de postoperados.



MATERIAL Y MéTODOS

El presente estudio comparativo, transversal y ambispectivo, no aleatorizado se realizó en la Unidad Médica de Atención Ambulatoria No. 90 en Torreón, Coahuila, México, con un grupo de pacientes con diagnóstico clínico de lesión de ligamento cruzado anterior, a los que se les realizó reconstrucción de ligamento cruzado anterior con autoinjerto de isquiotibiales. Se realizó la primera evaluación tres meses después de ser operados y posteriormente se realizó seguimiento cinco meses posteriores a la cirugía. Se incluyeron un total de 32 pacientes, 29 pacientes de género masculino, que cumplían con los siguientes criterios de inclusión: a) pacientes con diagnóstico de lesión de ligamento cruzado anterior sometidos a reconstrucción con autoinjerto de isquiotibiales; b) sin lesiones ligamentosas asociadas ni desgarros meniscales asociados; c) sin restauración de cartílago o procedimientos de reparación de menisco; d) sin antecedentes de lesión de rodilla o patología en la rodilla contralateral; e) sin complicaciones postquirúrgicas graves como infección o fractura; f) edad entre 18 y 45 años; g) sin antecedentes de enfermedad neuromuscular; y h) seguimiento completo en las evaluaciones al tercer y quinto mes de operados. Todos los pacientes completaron las evaluaciones de seguimiento. El cegamiento de los evaluadores se mantuvo durante todo el estudio.

Todos los pacientes que cumplieron con los criterios de inclusión firmaron el formulario de consentimiento informado para participar en el estudio; la información del procedimiento quirúrgico y los datos se extrajeron del expediente clínico. Las reconstrucciones fueron realizadas por tres cirujanos ortopedistas con Alta Especialidad en Cirugía Articular y Artroscopia cada uno de los cuales tienen un mínimo de 10 años de experiencia en el uso de la técnica transtibial o anteromedial. La fijación del injerto se realizó con Endobutton.

Los tres cirujanos contribuyeron con pacientes tanto para el grupo anteromedial como para el grupo transtibial, el procedimiento quirúrgico no se estandarizó aumentando la validez externa del estudio. El protocolo de rehabilitación se basó en los principios de rehabilitación 12 pasos para la progresión exitosa y retorno al deporte.17 Se enfatizó el retorno temprano al rango de movimiento, la carga de peso temprana, el entrenamiento de fuerza y ejercicios de propiocepción.17,18 Todas las intervenciones, pruebas, test y recopilación de datos fueron realizadas por el mismo evaluador, cegado a la asignación de los grupos, se aplicó el test Lysholm, test subjetivo que tiene una fiabilidad test-retest aceptable (CCI = 0.9)19 y el International Documentation Committee (IKDC2000), el cual incluye un test objetivo de revisión de rodilla y un test subjetivo.20 Estos son instrumentos confiables, válidos y relativamente simples para evaluar la función y los síntomas en pacientes con inestabilidad del ligamento cruzado anterior; se aplicaron los test al tercer y quinto mes de postoperados para valorar la mejoría en la rehabilitación de los dos grupos. El test Lysholm consta de 10 preguntas subjetivas dirigidas principalmente a los síntomas del paciente en las actividades diarias, cada respuesta tiene un puntaje asignado a una escala del 0-100 con rangos de puntuación calificados de la siguiente manera: resultados: < 65 = pobre, 66-83 = regular, 84-94 = buena y > 95 = excelente. El cuestionario IKDC2000 subjetivo consta de una sección de síntomas del paciente, actividades deportivas y funcionalidad, el puntaje que consigue el paciente se interpreta como una medida de funcionalidad, de forma que un puntaje más alto representa niveles más altos de funcionalidad y niveles más bajos de los síntomas. Un puntaje de 100 significa que no hay limitación en las actividades de la vida diaria o actividades deportivas y la ausencia de síntomas. El formulario para el examen de la rodilla test objetivo IKDC2000 contiene siete campos de medición; sin embargo, sólo se da una calificación a los tres primeros campos, los cuales evalúan si existe derrame articular, déficit de movimiento pasivo, examen de ligamentos (prueba Lachman, cajón anterior y pivot shift), evaluación de los compartimentos, patología en el sitio de recolección, resultados en radiografías y prueba funcional. Se aplicaron estos tres test al tercer y quinto mes de valoración de la rodilla lesionada, todas las pruebas funcionales tienen una alta fiabilidad y validez.

Métodos estadísticos: para el cálculo del tamaño de la muestra se utilizó la fórmula para comparación de dos proporciones en dos grupos independientes con una población infinita, p1 = proporción de pacientes a las cuales se les realizó reconstrucción de ligamento cruzado anterior con técnica de perforación de túnel femoral anteromedial; p2 = proporción de pacientes a los cuales se les realizó reconstrucción de ligamento cruzado anterior con técnica de perforación de túnel femoral transtibial, utilizando un nivel de confianza de 95%, nivel de riesgo fijado en 0.05 y un poder estadístico de 80%. Se llevó a cabo un análisis univariado y bivariado, además, se realizó un análisis de varianza (ANOVA) para las puntuaciones del test Lysholm, así como para el test IKDC objetivo al tercer y al quinto mes de haberse realizado la reconstrucción del ligamento cruzado anterior. Las pruebas univariadas y por pares se utilizaron como pruebas post hoc. Sólo se obtuvo p = 0.030 para el test Lysholm aplicado al quinto mes. Todos los análisis se realizaron en SPSS 25.0 (SPSS Inc. Chicago IL).



TéCNICAS DE REALIZACIóN DE TúNEL FEMORAL:



TéCNICA ANTEROMEDIAL

Con la rodilla en flexión de 90 a 110 grados se coloca la guía de broca para hacer la perforación por el portal anteromedial hacia la huella femoral nativa o el punto más anatómico. Se perfora a través de la guía con broca para Endobutton, se hace la medición de la longitud del túnel y finalmente se perfora con la broca de diámetro igual a la del injerto, respetando en promedio los 10 mm de cortical externa con longitud de acuerdo al tamaño del túnel y al tamaño de Endobutton.



TéCNICA TRANSTIBIAL

Con la rodilla en flexión a 90 grados se pasa la guía tibial de tamaño según el diámetro del injerto por el túnel tibial, una vez colocada alrededor de la pared posterior se pasa el clavo guía para hacer la perforación hacia lo más cercano de la huella femoral del ligamento cruzado anterior nativo. Posteriormente, se realizan los mismos pasos del abordaje anteromedial.



FIJACIóN DEL INJERTO

La fijación femoral es con el sistema de corticosuspensión Endobutton. La fijación tibial con tornillo bioabsorbible con la rodilla en flexión en promedio 30 grados, un número más de diámetro que el diámetro del túnel.



PASO DEL INJERTO

Anteromedial. Previa realización de túneles y selección de tamaño de Endobutton se pasa clavo guía por túnel femoral con una sutura de vycril del 0 o 00 para posteriormente recuperarla por el túnel tibial. Ya con la sutura se pasa el injerto con el sistema Endobutton (Figuras 1 y 2).

Transtibial. Es el mismo procedimiento que en el abordaje anteromedial, pero todo se realiza a través del tunel tibial.



RESULTADOS

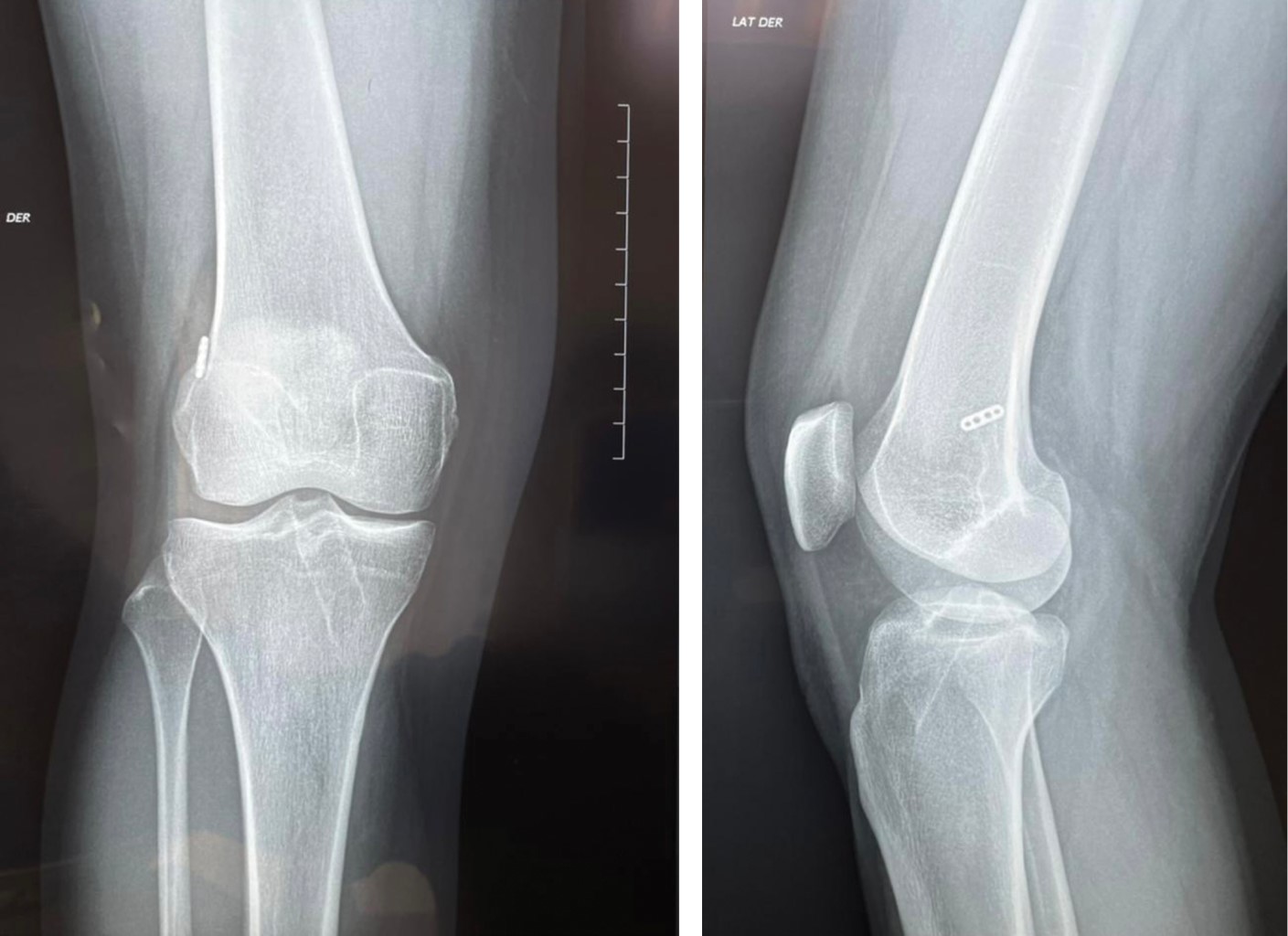
Se incluyeron 32 pacientes que se sometieron a reconstrucción del ligamento cruzado anterior con autoinjerto de isquiotibiales (Figuras 3 y 4), siendo 90.6% del sexo masculino, todos son de un nivel socioeconómico medio y tienen una baja participación deportiva en su vida diaria. La edad promedio del grupo estudiado fue de 27.7 ± 7.3, con un rango de 17 a 45 años. La talla promedio fue de 173.4 ± 6.9 cm. y el peso fue de 84.5 ± 16.4 kg, respecto al índice de masa corporal, fue de 28.15 ± 5.4 kg/m2, 21.9% de pacientes padece obesidad tipo II, 62.5% (n = 20) presentó lesión en su rodilla derecha, 53.1% (n = 17) se sometió a técnica quirúrgica con abordaje anteromedial y 46.9% (n = 15) abordaje transtibial. Sólo un paciente reportó tener una comorbilidad, hígado graso.

Respecto a la presencia de antecedentes quirúrgicos, estos se presentaron sólo en cuatro sujetos, correspondiendo a 12.5% del total, siendo las cirugías en tobillo izquierdo, hombro derecho, mano izquierda y pelvis.

En la Tabla 1 se muestra la distribución de las respuestas en general, a la escala de Lysholm al mes tres y cinco, además de la interpretación de las respuestas; se observa que 56.2% de los pacientes (n = 18) presentó mala funcionalidad al mes tres, mientras que al mes cinco, el porcentaje disminuyó a 31.3% (n = 10).

La Tabla 2 presenta la misma información para la escala de IKDC2000 objetiva al mes tres y cinco. Se observa mejoría total al mes cinco.

En la Tabla 3 se presentan los resultados dados por los pacientes para la escala IKDC2000 subjetiva, además, se incluye la propuesta de interpretación para los resultados, considerando que 60 puntos o más habla de considerar tener una función aceptable, la mitad de los pacientes reportó una función aceptable al mes tres, mientras que este porcentaje subió a 87.5% al mes cinco.

La Tabla 4 muestra la distribución de la técnica quirúrgica realizada de acuerdo con la ubicación de la lesión, se llevó a cabo con mayor frecuencia un abordaje transtibial para la lesión en rodilla derecha (37.5%), mientras que fue más frecuente el abordaje anteromedial en lesión de rodilla izquierda (28.1%).

Cuando se analizó la técnica quirúrgica empleada y las respuestas a las escalas, no se encontró diferencia significativa para la escala de Lysholm en el mes tres (p = 0.482) ni en el mes cinco (p = 0.191). Fue lo mismo para la escala de IKDC2000 objetiva, en el mes tres (p = 0.452) y en el mes cinco (p = 1.000), esto quiere decir que, para este grupo de estudio, no hubo diferencia significativa respecto a la técnica utilizada, ya que las respuestas para las escalas fueron muy similares (Tabla 5).

Al llevar a cabo el análisis de las técnicas con la interpretación de las escalas, los valores se mantuvieron no significativos, escala de Lysholm mes tres presentó p = 0.308 y en el mes cinco su valor fue p = 0.128; mientras que la escala IKDC2000 objetiva al mes tres tuvo una p = 1.000, no pudiendo calcularse para el mes cinco ya que todas las respuestas fueron favorables (Tabla 6).



DISCUSIóN

A pesar de que la literatura internacional actual apoya ampliamente la realización del túnel femoral anteromedial sobre la transtibial,6,9,12,13 ninguno de los participantes en este estudio se quejó de sensación de dolor o inestabilidad con cualquiera de los dos portales, lo que sugiere que las diferencias de mejores resultados en la traslación anterior y rotacional de la rodilla con la técnica de portal anteromedial en comparación con la transtibial6,9-14 son demasiado sutiles para ser identificadas por los pacientes.

Existen estudios de calidad internacional realizados a corto plazo, similares al presente, los cuales realizaron evaluaciones funcionales al tercer y sexto mes de postoperados de reconstrucción de ligamento cruzado anterior comparando la técnica de perforación de túnel femoral anteromedial versus transtibial.5 En el presente estudio se examinaron resultados funcionales de manera subjetiva y objetiva después de la reconstrucción del ligamento cruzado anterior hasta cinco meses después de la cirugía, algunos estudios consideran que a los seis meses es el momento para volver a los deportes progresivamente.5

Literatura reciente concluye que la reconstrucción del ligamento cruzado anterior con un abordaje de perforación del túnel femoral con portal anteromedial tiene niveles funcionales más altos medidos por la puntuación de Lysholm a tres meses de la cirugía comparado con los que tuvieron un abordaje transtibial,5 además se hace referencia que a pesar de que ambos grupos anteromedial y transtibial demostraron puntuaciones similares en los tests, lo cual concuerda con nuestro estudio, los del grupo anteromedial demostraron un retorno más rápido a la función; comparado con los pacientes evaluados en nuestro estudio no hubo diferencia en el retorno a las actividades funcionales.5 Geli y colaboradores demuestran en su estudio que el grupo de portal anteromedial requiere un tiempo más corto para volver a las actividades funcionales que el grupo transtibial cuando se utiliza autoinjerto óseo patelar,13 el presente estudio es el primero en tener estos hallazgos funcionales en pacientes que se sometieron a una reconstrucción del ligamento cruzado anterior con autoinjerto de isquiotibiales en México,5 y evaluarse con los tests de funcionalidad Lysholm e IKDC2000.

Se ha descrito en la literatura que la mayoría de los pacientes que presentan lesión de ligamento cruzado anterior son de sexo femenino y que dicha lesión ha aumentado principalmente por su participación creciente en las actividades deportivas, demostrando que presentan mayor riesgo de lesión por factores como predisposición genética, niveles hormonales, ancho de muesca más estrecho y diferencias en la biomecánica de corte y aterrizaje,1,4,18 lo cual no concuerda con lo encontrado en esta investigación, ya que más de 90% de los casos fueron del sexo masculino, cabe resaltar que sería conveniente ampliar el tamaño de muestra o en su defecto el tiempo de captación de pacientes para valorar si se sigue conservando el dato para esta población.

Estudios refieren de igual manera que este tipo de lesiones ocurren con mayor frecuencia durante actividades deportivas, principalmente fútbol, básquetbol y fútbol americano,7 lo cual concuerda con los antecedentes de los casos evaluados, ya que más de 90% se lesionaron jugando fútbol, aunque se tratara de una práctica casual. La edad promedio de los pacientes evaluados en este estudio fue de 27 años, más de 90% de los casos refieren tener síntomas clínicos de la lesión de más de tres meses de evolución, lo cual concuerda con la literatura al referir que mayormente es una lesión que ocurre en jóvenes que practican deporte y que con frecuencia no son diagnosticadas al momento inicial.2,18

Más de 70% de los pacientes tenían un índice de masa corporal en niveles normales y sobrepeso, ya que eran personas que, a pesar de no ser atletas de alto rendimiento, realizaban deporte aproximadamente dos o tres veces por semana y se mantenían fuera de rangos de peso de obesidad. La literatura no refiere qué rodilla es la más frecuentemente lesionada, en el presente estudio se observó que 62.5% eran rodilla derecha y 37.6% rodilla izquierda, independientemente de la extremidad dominante, por lo que no podemos concluir si es la que más frecuentemente se lesiona.

Los hallazgos de esta investigación deben interpretarse con cautela por las diversas limitaciones presentes, por ejemplo, la asignación de grupos no fue aleatoria, las reconstrucciones del ligamento cruzado anterior fueron realizadas por cirujanos expertos en la técnica realizada, la existencia de escalas más sensibles para identificar diferencias funcionales entre los dos grupos. El breve seguimiento plantea la cuestión de la superioridad del portal anteromedial sobre el transtibial a largo plazo, ya que en este estudio ambas técnicas quirúrgicas produjeron resultados similares sin diferencia significativa a corto plazo. Aunque este estudio proporciona información importante para pacientes, cirujanos ortopedistas y fisioterapeutas, está limitado por el breve seguimiento. Estudios futuros deben seguir los casos de ambos grupos durante periodos más prolongados para determinar si existen diferencias significativas, principalmente dirigidos a la población de México.



CONCLUSIONES

La reconstrucción del ligamento cruzado anterior con autoinjerto de isquiotibiales mediante las técnicas de túnel femoral anteromedial o transtibial demostró resultados similares a corto plazo. Se observó mejoría funcional en ambos grupos a los tres y cinco meses de postoperados. Estudios futuros deben dar seguimiento a los casos de ambos grupos por periodos más prolongados, para determinar si existen diferencias funcionales, principalmente dirigidos hacia la población de México. Los pacientes deben tener un proceso de rehabilitación progresivo y completo en las diferentes fases de recuperación para óptimos resultados.



AGRADECIMIENTOS

Quiero agradecer a mis tutores: Dr. Fernando Rangel Gutiérrez, Dr. Eloy Rivera De la Cruz, Dr. Víctor Guevara Rodríguez, Dr. Gustavo Adolfo Álvarez Carrillo y el Dr. Jesús José Morales Álvarez, quienes con sus conocimientos me apoyaron, enseñaron y guiaron para la realización de esta investigación.


REFERENCIAS (EN ESTE ARTÍCULO)

  1. Siegel L, Vandenakker-Albanese C, Siegel D. Anterior cruciate ligament injuries: anatomy, physiology, biomechanics, and management. Clin J Sport Med. 2012; 22 (4): 349-355.

  2. Ayala-Mejías JD, García-Estrada GA, Alcocer Pérez-España L. Anterior cruciate ligament lesions. Acta Ortop Mex. 2014; 28 (1): 57-67.

  3. Sgaglione NA, Lubowitz JH, Provencher MT. The knee. ANAA Advanced Arthroscopic Surgical Techniques. 2016; (1): 389-404.

  4. Kaeding CC, Léger-St-Jean B, Magnussen RA. Epidemiology and diagnosis of anterior cruciate ligament injuries. Clin Sports Med. 2017; 36 (1): 1-8.

  5. Koutras G, Papadopoulos P, Terzidis IP, Gigis I, Pappas E. Short-term functional and clinical outcomes after ACL reconstruction with hamstrings autograft: transtibial versus anteromedial portal technique. Knee Surg Sports Traumatol Arthrosc. 2013; 21 (8): 1904-1909.

  6. Liu A, Sun M, Ma C, et al. Clinical outcomes of transtibial versus anteromedial drilling techniques to prepare the femoral tunnel during anterior cruciate ligament reconstruction. Knee Surg Sports Traumatol Arthrosc. 2017; 25 (9): 2751-2759.

  7. Rezazadeh S, Ettehadi H, Vosoughi AR. Outcome of arthroscopic single-bundle anterior cruciate ligament reconstruction: anteromedial portal technique versus transtibial drilling technique. Musculoskelet Surg. 2016; 100 (1): 37-41.

  8. Ozer M, Ozer H, Selek H, et al. Radiological and functional comparison of single-bundle anterior cruciate ligament reconstruction: transtibial versus anteromedial technique. Turk J Med Sci. 2018; 48 (3): 455-461.

  9. Kilinc BE, Kara A, Oc Y, et al. Transtibial vs anatomical single bundle technique for anterior cruciate ligament reconstruction: a retrospective cohort study. Int J Surg. 2016; 29: 62-69.

  10. Chalmers PN, Mall NA, Cole BJ, Verma NN, Bush-Joseph CA, Bach BR Jr. Anteromedial versus transtibial tunnel drilling in anterior cruciate ligament reconstructions: a systematic review. Arthroscopy. 2013; 29 (7): 1235-1242.

  11. Robin BN, Lubowitz JH. Disadvantages and advantages of transtibial technique for creating the anterior cruciate ligament femoral socket. J Knee Surg. 2014; 27 (5): 327-330.

  12. Wang H, Fleischli JE, Zheng NN. Transtibial versus anteromedial portal technique in single-bundle anterior cruciate ligament reconstruction: outcomes of knee joint kinematics during walking. Am J Sports Med. 2013; 41 (8): 1847-1856.

  13. Alentorn-Geli E, Samitier G, Alvarez P, Steinbacher G, Cugat R. Anteromedial portal versus transtibial drilling techniques in ACL reconstruction: a blinded cross-sectional study at two- to five-year follow-up. Int Orthop. 2010; 34 (5): 747-754.

  14. Franceschi F, Papalia R, Rizzello G, Del Buono A, Maffulli N, Denaro V. Anteromedial portal versus transtibial drilling techniques in anterior cruciate ligament reconstruction: any clinical relevance? A retrospective comparative study. Arthroscopy. 2013; 29 (8): 1330-1337.

  15. Mayr R, Rosenberger R, Agraharam D, Smekal V, El Attal R. Revision anterior cruciate ligament reconstruction: an update. Arch Orthop Trauma Surg. 2012; 132 (9): 1299-313.

  16. Loucas M, Loucas R, D'Ambrosi R, Hantes ME. Clinical and radiological outcomes of anteromedial portal versus transtibial technique in ACL recosntruction. A systemactic review. Orthop J Sports Med. 2021; 9 (7): 23259671211024591.

  17. Wilk KE, Arrigo CA. Rehabilitation Principles of the Anterior Cruciate Ligament Reconstructed Knee: Twelve Steps for Successful Progression and Return to Play. Clin Sports Med. 2017; 36 (1): 189-232.

  18. Guerrero Molina JA, Espregueira MJ. Retorno al deporte tras la reconstrucción del ligamento cruzado anterior. Rev Esp Artrosc Cir Articul. 2020: 27 (3); 251-259.

  19. Tegner Y, Lysholm J. Rating systems in the evaluation of knee ligament injuries. Clin Orthop Relat Res. 1985; 198: 43-49.

  20. Hefti F, Muller W, Jakob RP, Staubli HU. Evaluation of knee ligament injuries with the IKDC form. Knee Surg Sports Traumatol Arthrosc. 1993; 1: 226-234.



AFILIACIONES

1Médico residente de cuarto año de Traumatología y Ortopedia. Hospital General de Zona No. 16 IMSS, Torreón, Coahuila, México

2Especialista en Traumatología y Ortopedia. Alta Especialidad en Artroscopia y Traumatología Deportiva. Unidad Médica de Atención Ambulatoria (UMAA) No. 90

3Especialista en Traumatología y Ortopedia. Alta especialidad en Artroscopia Rodilla y Hombro. Unidad Médica de Atención Ambulatoria (UMAA) No. 90

4Especialista en Traumatología y Ortopedia. Alta Especialidad en Cirugía Articular Artroscópica. Jefe de Servicio de Traumatología y Ortopedia. Hospital General de Zona No. 16 IMSS, Torreón, Coahuila, México

5Especialista en Traumatología y Ortopedia. Profesor Titular de la Academia de Traumatología y Ortopedia. Hospital General de Zona No. 16 IMSS, Torreón, Coahuila, México

6Especialista en Medicina Interna. Coordinador de Educación e Investigación en Salud. Hospital General de Zona No. 16 IMSS, Torreón, Coahuila, México.



Conflicto de intereses: Este estudio no cuenta con conflicto de intereses.



CORRESPONDENCIA

Dr. Gonzalo Hernández-Guízar. E-mail: gonzguizar@gmail.com




Recibido: 24-09-2021. Aceptado: 22-03-2022.

Figura 1
Figura 2
Figura 3
Figura 4
Tabla 1
Tabla 2
Tabla 3
Tabla 4
Tabla 5
Tabla 6

2020     |     www.medigraphic.com

Mi perfil

C?MO CITAR (Vancouver)

Ortho-tips. 2022;18

ARTíCULOS SIMILARES

CARGANDO ...