medigraphic.com
ENGLISH

Orthotips AMOT

ISSN 2007-8560 (Impreso)
Órgano Oficial de Difusión Científica de la Federación Mexicana de Colegios de Ortopedia y Traumatología, A.C. (FEMECOT)
  • Mostrar índice
  • Números disponibles
  • Información
    • Información general        
    • Directorio
  • Publicar
    • Instrucciones para autores        
  • medigraphic.com
    • Inicio
    • Índice de revistas            
    • Registro / Acceso
  • Mi perfil

2022, Número 2

<< Anterior Siguiente >>

Ortho-tips 2022; 18 (2)


Espondilodiscitis. Evaluación, diagnóstico y tratamiento

Rosales-Camargo S, Marroquín-Herrera O, Morales-Saenz LC, Rodríguez-Munera A, Bedoya-Viscaya C, Alvarado-Gómez F
Texto completo Cómo citar este artículo 10.35366/105503

DOI

DOI: 10.35366/105503
URL: https://dx.doi.org/10.35366/105503
Artículos similares

Idioma: Ingles.
Referencias bibliográficas: 31
Paginas: 135-140
Archivo PDF: 225.32 Kb.


PALABRAS CLAVE

Discitis, columna vertebral, infección postoperatoria, espondilodiscitis, algoritmo de manejo de la espondilodiscitis.

RESUMEN

La espondilodiscitis es una patología con una incidencia creciente en el ámbito mundial, secundaria al aumento de la esperanza de vida, mayor prevalencia de enfermedades como la diabetes que pueden presentar inmunosupresión a los pacientes, además de que el creciente número de procedimientos en la columna vertebral también presentan un riesgo de desarrollar espondilodiscitis; por ello, la correcta valoración clínica, uso de herramientas diagnósticas de forma protocolizada, manejo multidisciplinar y el tratamiento adecuado por parte del médico especialista en cirugía de la columna vertebral tienen un impacto positivo. Con base en la diversidad de protocolos de manejo y diagnóstico, se decidió realizar una revisión narrativa de la literatura en las bases de datos Google académico, PubMed, con los términos Mesh: discitis, columna vertebral, infección postoperatoria, espondilodiscitis, algoritmo de manejo de la espondilodiscitis; contribuyendo así a la toma de decisiones desde el médico de primer contacto hasta el médico especialista en columna vertebral. Sugerimos el uso de un algoritmo basado en la experiencia de nuestro centro apoyado en la revisión de la literatura disponible y en la actualidad, para tomar decisiones sobre los pacientes que presentan esta patología en concreto.


REFERENCIAS (EN ESTE ARTÍCULO)

  1. Lener S, Hartmann S, Barbagallo GMV, Certo F, Thomé C, Tschugg A. Management of spinal infection: a review of the literature. Acta Neurochir (Wien). 2018; 160 (3): 487-496.

  2. Raghavan M, Lazzeri E, Palestro CJ. Imaging of spondylodiscitis. Semin Nucl Med. 2018; 48 (2): 131-147.

  3. Hong SH, Choi JY, Lee JW, Kim NR, Choi JA, Kang HS. MR imaging assessment of the spine: infection or an imitation? Radiographics. 2009; 29 (2): 599-612.

  4. Boody BS, Jenkins TJ, Maslak J, Hsu WK, Patel AA. Vertebral osteomyelitis and spinal epidural abscess: An evidence-based review. J Spinal Disord Tech. 2015; 28 (6): E316-327.

  5. Arnold PM, Baek PN, Bernardi RJ, Luck EA, Larson SJ. Surgical management of nontuberculous thoracic and lumbar vertebral osteomyelitis: report of 33 cases. Surg Neurol. 1997; 47 (6): 551-561.

  6. Robinson Y, Tschoeke SK, Finke T, Kayser R, Ertel W, Heyde CE. Successful treatment of spondylodiscitis using titanium cages: a 3-year follow-up of 22 consecutive patients. Acta Orthop. 2008; 79 (5): 660-664.

  7. Hempelmann RG, Mater E, Schon R. Septic hematogenous lumbar spondylodiscitis in elderly patients with multiple risk factors: Efficacy of posterior stabilization and interbody fusion with iliac crest bone graft. Eur Spine J. 2010; 19 (10): 1720-1727.

  8. Tsantes AG, Papadopoulos DV, Vrioni G, Sioutis S, Sapkas G, Benzakour A, et al. Spinal infections: an update. Microorganisms. 2020; 8 (4): 476.

  9. McHenry MC, Easley KA, Locker GA. Vertebral osteomyelitis: long-term outcome for 253 patients from 7 Cleveland-area hospitals. Clin Infect Dis. 2002; 34 (10): 1342-1350.

  10. Mann S, Schütze M, Sola S, Piek J. Nonspecific pyogenic spondylodiscitis: clinical manifestations, surgical treatment, and outcome in 24 patients. Neurosurg Focus. 2004; 17 (6): E3.

  11. Marroquin-Herrera O, Rosales-Camargo SA, Morales-Sáenz LC, Alvarado-Gomez F. Clostridium perfringens in the spine: A rare cause of post-surgical infection. Surg Neurol Int. 2021; 12: 544.

  12. Souza CG de, Gasparetto EL, Marchiori E, Bahia PRV. Pyogenic and tuberculous discitis: magnetic resonance imaging findings for differential diagnosis. Radiol Bras. 2013; 46 (3):

  13. Butler JS, Shelly MJ, Timlin M, Powderly WG, O'Byrne JM. Nontuberculous pyogenic spinal infection in adults: a 12-year experience from a tertiary referral center. Spine. 2006; 31 (23): 2695-2700.

  14. Sundaram VK, Doshi A. Infections of the spine: a review of clinical and imaging findings. Vol. 45 (8), Applied Radiology. 2016.

  15. Mylona E, Samarkos M, Kakalou E, Fanourgiakis P, Skoutelis A. Pyogenic vertebral osteomyelitis: a systematic review of clinical characteristics. Semin Arthritis Rheum. 2009; 39 (1): 10-17.

  16. Nickerson EK, Sinha R. Vertebral osteomyelitis in adults: an update. Br Med Bull. 2016; 117 (1): 121-138.

  17. Arko L 4th, Quach E, Nguyen V, Chang D, Sukul V, Kim BS. Medical and surgical management of spinal epidural abscess: a systematic review. Neurosurg Focus. 2014; 37 (2): E4.

  18. Mückley T, Schütz T, Kirschner M, Potulski M, Hofmann G, Bühren V. Psoas abscess: the spine as a primary source of infection. Spine (Phila Pa 1976). 2003; 28 (6): E106-113.

  19. Shields D, Robinson P, Crowley TP. Iliopsoas abscess--a review and update on the literature. Int J Surg. 2012; 10 (9): 466-469.

  20. Duarte RM, Vaccaro AR. Spinal infection: state of the art and management algorithm. Eur Spine J. 2013; 22 (12): 2787-2799.

  21. Herren C, Jung N, Pishnamaz M, Breuninger M, Siewe J, Sobottke R. Spondylodiscitis: Diagnosis and Treatment Options. Dtsch Arztebl Int. 2017; 114 (51-52): 875-882.

  22. An HS, Seldomridge JA. Spinal infections: diagnostic tests and imaging studies: diagnostic tests and imaging studies. Clin Orthop Relat Res. 2006; 444 (NA): 27-33.

  23. Berbari EF, Kanj SS, Kowalski TJ, Darouiche RO, Widmer AF, Schmitt SK, et al. 2015 infectious diseases society of America (IDSA) clinical practice guidelines for the diagnosis and treatment of native vertebral osteomyelitis in adults. Clin Infect Dis. 2015; 61 (6): 26-46.

  24. Gasbarrini A, Boriani L, Salvadori C, Mobarec S, Kreshak J, Nanni C, et al. Biopsy for suspected spondylodiscitis. Eur Rev Med Pharmacol Sci. 2012; 16 Suppl 2: 26-34.

  25. De Lucas EM, González Mandly A, Gutiérrez A, Pellón R, Martín-Cuesta L, Izquierdo J, Sánchez E, Ruiz E, Quintana F. CT-guided fine-needle aspiration in vertebral osteomyelitis: true usefulness of a common practice. Clin Rheumatol. 2009; 28 (3): 315-320.

  26. Sehn JK, Gilula LA. Percutaneous needle biopsy in diagnosis and identification of causative organisms in cases of suspected vertebral osteomyelitis. Eur J Radiol. 2012; 81 (5): 940-946.

  27. Skaf GS, Domloj NT, Fehlings MG, Bouclaous CH, Sabbagh AS, Kanafani ZA, et al. Pyogenic spondylodiscitis: an overview. J Infect Public Health. 2010; 3 (1): 5-16.

  28. Bernard L, Dinh A, Ghout I, Simo D, Zeller V, Issartel B, et al. Antibiotic treatment for 6 weeks versus 12 weeks in patients with pyogenic vertebral osteomyelitis: An open-label, non-inferiority, randomised, controlled trial. Lancet. 2015; 385 (9971): 875-882.

  29. D'Agostino C, Scorzolini L, Massetti AP, Carnevalini M, D'Ettorre G, Venditti M, et al. A seven-year prospective study on spondylodiscitis: epidemiological and microbiological features. Infection. 2010; 38 (2): 102-107.

  30. Gentile L, Benazzo F, de Rosa F, Boriani S, Dallagiacoma G, Franceschetti G, et al. A systematic review: characteristics, complications and treatment of spondylodiscitis. Eur Rev Med Pharmacol Sci. 2019; 23 (2 Suppl): 117-128.

  31. Pola E, Autore G, Formica VM, Pambianco V, Colangelo D, Cauda R, et al. New classification for the treatment of pyogenic spondylodiscitis: validation study on a population of 250 patients with a follow-up of 2 years. Eur Spine J. 2017; 26 (S4): 479-488.




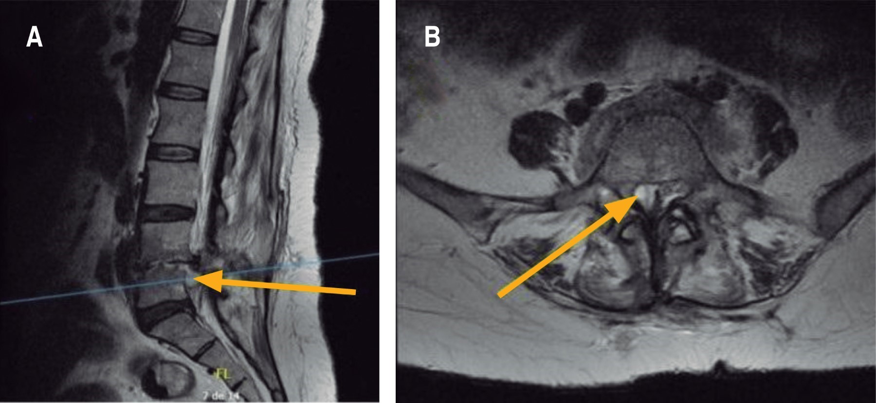
Figura 1
Figura 2
Figura 3
Tabla 1
Tabla 2
Tabla 3

2020     |     www.medigraphic.com

Mi perfil

C?MO CITAR (Vancouver)

Ortho-tips. 2022;18

ARTíCULOS SIMILARES

CARGANDO ...