medigraphic.com
ENGLISH

Orthotips AMOT

ISSN 2007-8560 (Impreso)
Órgano Oficial de Difusión Científica de la Federación Mexicana de Colegios de Ortopedia y Traumatología, A.C. (FEMECOT)
  • Mostrar índice
  • Números disponibles
  • Información
    • Información general        
    • Directorio
  • Publicar
    • Instrucciones para autores        
  • medigraphic.com
    • Inicio
    • Índice de revistas            
    • Registro / Acceso
  • Mi perfil

2022, Número 2

<< Anterior Siguiente >>

Ortho-tips 2022; 18 (2)


Luxación erecta de hombro con luxación posterior de codo ipsilateral simultánea sin lesión ósea asociada: reporte de caso

Mandujano Sánchez, Juan Ignacio1; Izaguirre Pérez, Marian Eliza2
Texto completo Cómo citar este artículo 10.35366/105504

DOI

DOI: 10.35366/105504
URL: https://dx.doi.org/10.35366/105504
Artículos similares

Idioma: Español
Referencias bibliográficas: 20
Paginas: 141-144
Archivo PDF: 161.41 Kb.


PALABRAS CLAVE

Luxación erecta, luxación hombro, luxación ipsilateral.

RESUMEN

Por orden de frecuencia el hombro y el codo son las articulaciones que más se luxan. Su diagnóstico requiere una exploración física detallada y complementada con estudios de imagen. La presentación de estas dos patologías de forma simultánea es poco frecuente y se encuentra asociada a mecanismos de alta energía. Presentamos el caso de una paciente de 86 años que ingresa a urgencias después de caída desde su propia altura que condicionó luxación erecta de hombro con luxación posterior de codo ipsilateral sin lesión ósea asociada. Se maneja mediante tratamiento conservador, y posterior a la reducción la paciente presenta mejoría inmediata con recuperación de los arcos de movilidad del codo y hombro. A nuestro conocimiento y revisión bibliográfica realizada, éste sería el segundo caso de esta índole y el primero en presentarse posterior a mecanismo de lesión de baja energía.



INTRODUCCIóN

La luxación de la articulación glenohumeral es la más frecuente, corresponde a 50% de las luxaciones en una sala de urgencias, de las cuales la luxación inferior o luxación erecta corresponde a 0.5% del total.1-5 Éstas suelen ser por traumatismo de alta energía.6,7 El mecanismo más común es hiperabducción rápida y violenta del húmero, que eleva su diáfisis encima del acromion con el antebrazo en pronación que al llegar a los 90o, el troquiter entra en contacto con el borde de la glenoides o acromion, los cuales actúan como fulcro deslizando la cabeza humeral de la región de la fosa glenoidea hacia distal donde permanece bloqueada por el deltoides.8-10 Entre las lesiones asociadas se encuentran fractura de húmero, lesión neurovascular, del manguito rotador o del labrum y zona anterior de la cápsula.11-13 La luxación de codo es la más frecuente tras la glenohumeral, encontrándose entre 10 y 25% de las luxaciones.14,15 La luxación posterior es la más habitual (> 90% de los casos). El mecanismo suele ser por caída sobre la mano con el codo en extensión.16,17 La asociación de luxación de hombro inferior y de codo en el mismo hemicuerpo es muy rara, sólo ha sido descrita en una ocasión en la literatura médica y éste es el primero en presentarse posterior a un mecanismo de lesión de baja energía.18,19



PRESENTACIóN DEL CASO

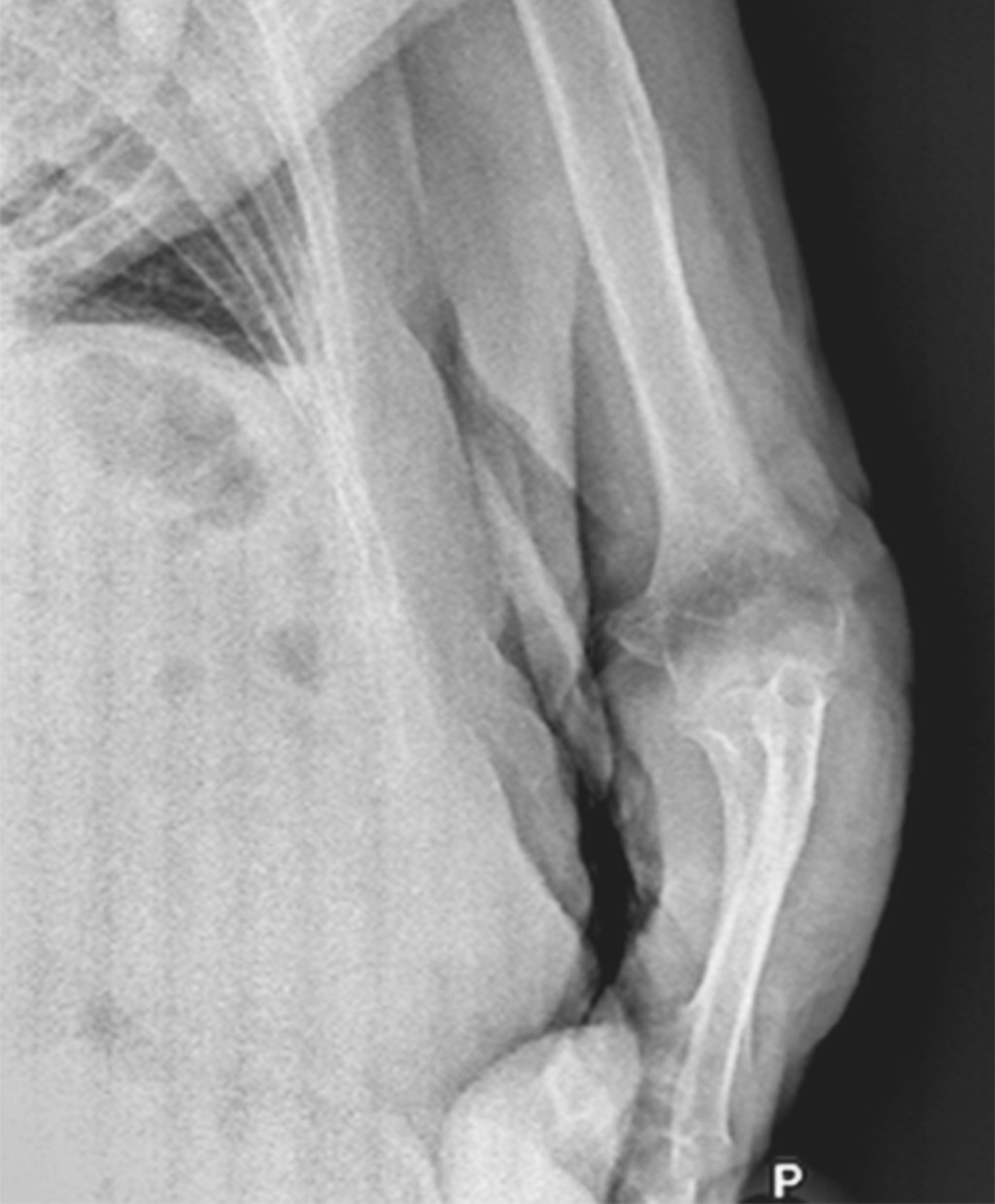
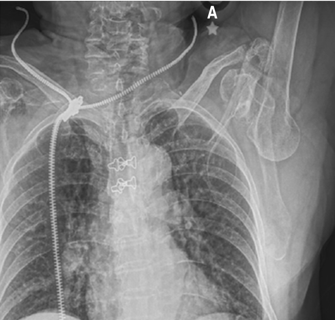
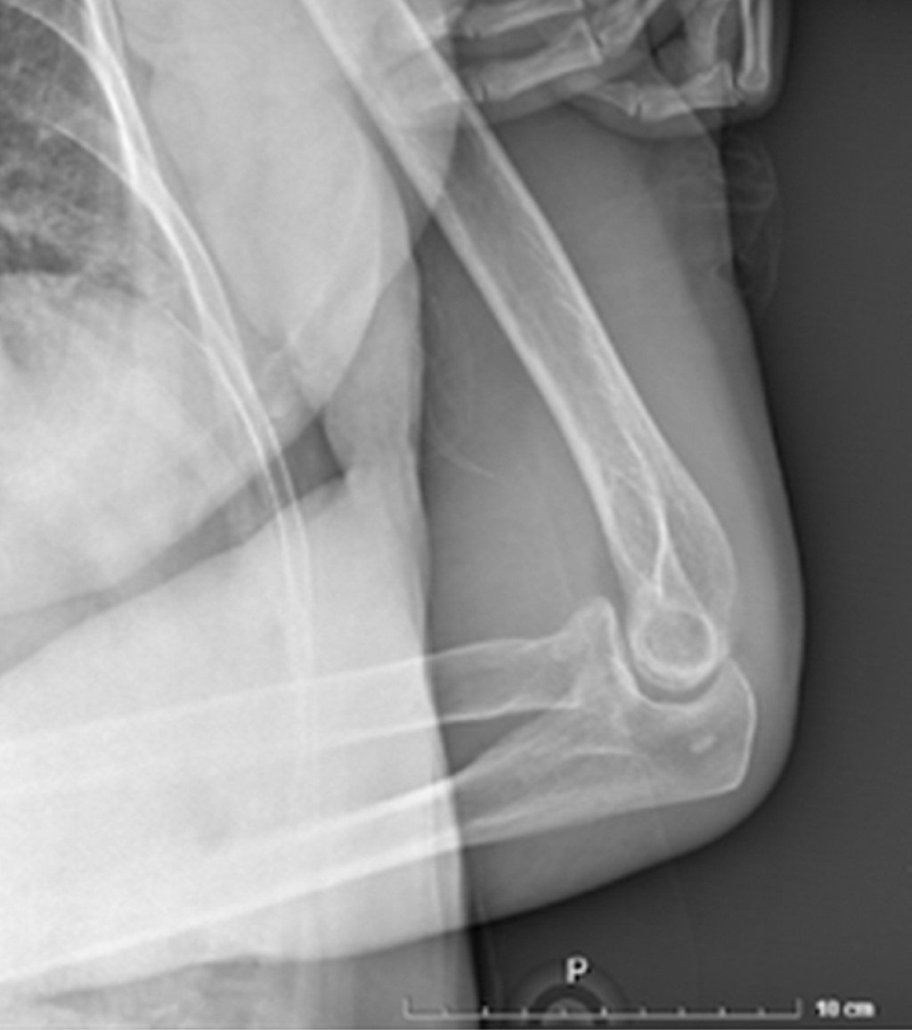
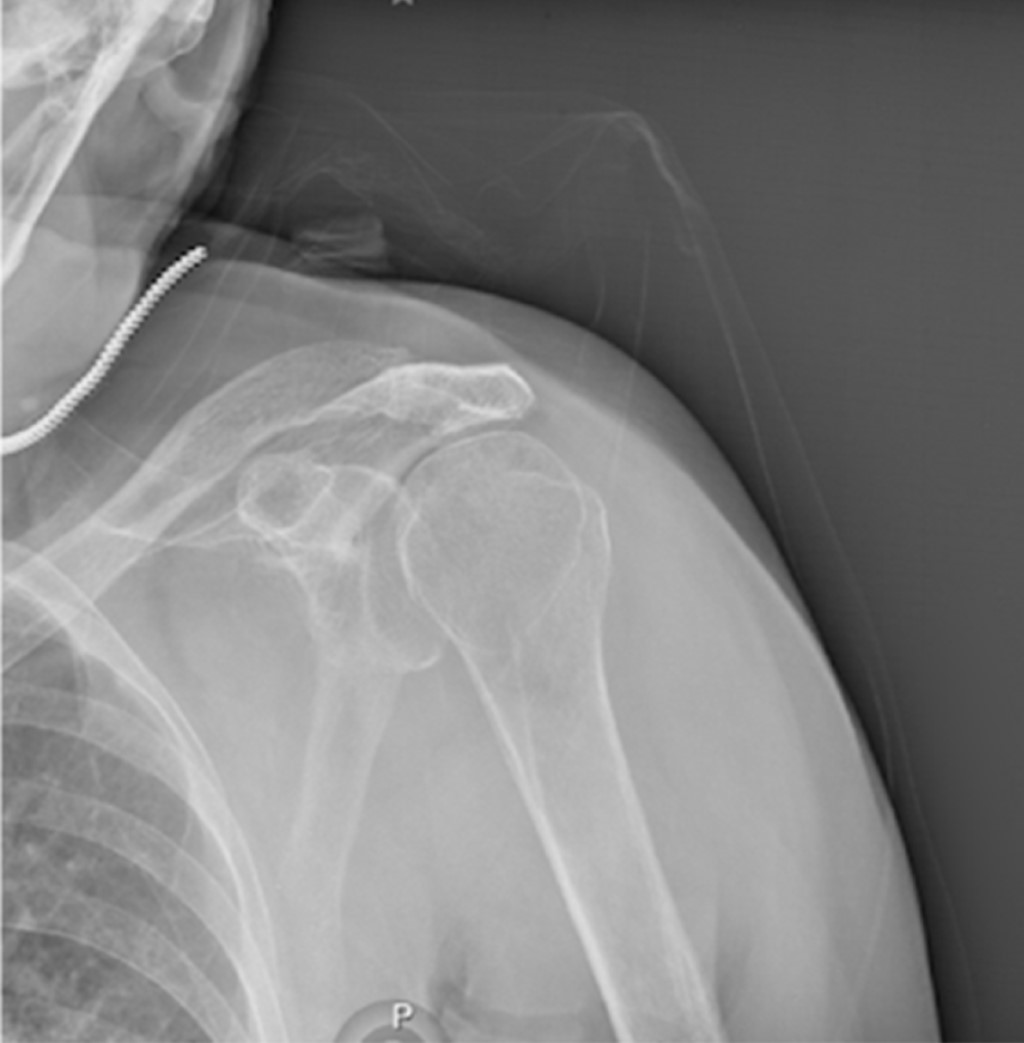
Paciente femenino de 86 años es traída al servicio de urgencias tras caída desde su propio plano de sustentación. El motivo de consulta era dolor en hombro izquierdo y codo ipsilateral. En la exploración física se observaba deformidad en codo y a paciente con miembro torácico por encima de la cabeza, siendo sostenido por extremidad contralateral para disminuir el dolor. La extremidad torácica izquierda se encontraba en abducción máxima y la paciente no era capaz de aducir el hombro. La cabeza humeral era palpable en el borde inferior de la axila. A la exploración neurovascular no se encontraron datos que sugirieran lesión. Radiografías de codo y hombro en proyección anteroposterior y lateral mostraron luxación inferior del hombro (Figuras 1 y 2), así como luxación posterior del codo sin lesión ósea asociada. Ambas lesiones fueron manejadas en quirófano mediante reducción cerrada con paciente bajo sedación. La luxación inferior del hombro fue reducida mediante tracción-contra-tracción del húmero con posterior aducción del hombro. La articulación del codo fue reducida mediante tracción axial con la muñeca en supinación con posterior flexión. Se realizó exploración neurovascular al término donde no se observaron lesiones. Se obtuvieron radiografías de control que evidenciaron correcta localización de la articulación del codo (Figuras 3 y 4) así como de la cabeza humeral (Figura 5). Debido a la mejoría, la paciente fue egresada con férula a 90o e inmovilizador de hombro, iniciando rehabilitación a las 2.5 semanas con movimientos pasivos pendulares de hombro y movimientos de flexión y extensión de codo. El seguimiento se da en la consulta externa a las cuatro semanas, tres y seis meses evolucionando de manera favorable con reincorporación completa a sus actividades de la vida diaria.



DISCUSIóN

A pesar de que las luxaciones de hombro y codo son frecuentes, la presentación simultánea es extremadamente rara y ha sido reportada en menos de 10 ocasiones en la literatura. No se sabe de forma exacta su frecuencia, ya que la literatura menciona la posibilidad de que la luxación de hombro pasa desapercibida debido a que la luxación de codo es más dolorosa, llevando a infraestimación de esta patología. A nuestro conocimiento el primer y único caso de esta índole fue reportado por Utkan en 2020, donde se describía luxación de hombro inferior y codo posterior ipsilateral secundario a caída de una plataforma de 8 m de altura.18 El resto de los casos encontrados en la literatura fueron causados por mecanismos de media-alta energía, los cuales incluían caídas de gran altura, accidentes vehiculares y peatones arrollados. Específicamente en este caso, se cree que debido a la edad de la paciente, ésta cuenta con mayor laxitud de tejidos blandos, por lo que al tener un mecanismo de baja energía existe una alta probabilidad de presentar una luxación sin lesión ósea asociada. Ali y colaboradores hablaron sobre la importancia del examen clínico cuidadoso y de mantener un alto grado de sospecha después de un traumatismo en el húmero y el codo, ya que una dislocación del hombro ipsilateral puede pasarse por alto fácilmente, en especial en pacientes que sufrieron un traumatismo de alta energía o que cuentan con factores de riesgo como la edad avanzada o enfermedades de la colágena, ya que en éstos pueden coexistir múltiples luxaciones.20

La luxación inferior de hombro es causada por hiperabducción. El paciente se presenta con dolor así como postura del hombro en hiperabducción con la extremidad por encima de la cabeza e imposibilidad de cambiar de posición o aducir el hombro. Se debe realizar reducción cerrada de primera instancia y posterior examen neurovascular. La maniobra más efectiva es la técnica tracción-contratracción. Las luxaciones del codo se producen por carga axial de anterior a posterior con fuerza en valgo posterolateral. Dentro de los hallazgos clínicos se encuentra dolor intenso, edema, deformidad e incapacidad para flexionar y extender el codo. El manejo conservador de las lesiones halladas en este caso dio buenos resultados en la paciente, sin limitación funcional residual al cabo de seis meses de seguimiento.



CONCLUSIONES

Éste es el primer caso reportado de luxación de hombro inferior y luxación posterior de codo ipsilateral secundario a traumatismo de baja energía. El manejo deberá ser conservador si no existen lesiones asociadas y se podrán utilizar las maniobras de reducción que se usan cuando estas patologías se presentan por separado.


REFERENCIAS (EN ESTE ARTÍCULO)

  1. Suman RK. Simultaneous dislocations of the shoulder and the elbow. Injury. 1981; 12 (5): 438.

  2. Sankaran-Kutty M, Sadat-Ali M. Dislocation of the shoulder with ipsilateral humeral shaft fracture. Arch Orthop Trauma Surg. 1989; 108: 60-62.

  3. Khan MR, Mirdad TM. Ipsilateral dislocation of the shoulder and elbow. Saudi Med J. 2001; 22 (11): 1019-1021.

  4. Essoh JBS, Kodo M, Traoré A, Lambin Y. Ipsilateral dislocation of the shoulder and elbow: a case report. Nigerian Journal of Surgical Research. 2005; 7 (3): 319-320.

  5. Morales S, Núñez A, Beltramelli D, Teske V. Luxación erecta expuesta de hombro en un niño. Reporte de un caso. An Facultad Med (Univ Repúb Urug). 2019; 6 (2): 58-65.

  6. Fonseca H, Aragón I, Chico M, Sasturaín ME, Chang T. Luxofractura anterior del hombro derecho con luxación posterior del codo: presentación de un caso. Revista Archivo Médico Camagüey. 2012; 16 (1): 77-82.

  7. Trigo L, Lamas C, Sarasquete J, de Caso J, Proubasta I. Luxación de codo con fractura ipsilateral del extremo distal del radio asociada a lesión de la arteria braquial. Una nueva entidad patológica de origen traumático. Rev Esp Cir Ortop Traumatol. 2017; 61 (3): 143-153.

  8. Prada C, Romero L, Espinosa Á. Ipsilateral elbow and shoulder dislocation: a case report. J Shoulder Elbow Surg. 2019; 28 (7): e232-e237.

  9. Matehuala J, Peñafort JA. Luxación glenohumeral erecta bilateral: revisión de la literatura, y reporte de un caso. Acta Ortop Mex. 2006; 20 (6): 284-288.

  10. Gosack A. La fisiología del hombro. Prensa Med Argentina. 2007; 94 (9/10): 542-550.

  11. Kerimoglu S, Turgutoglu O, Aynaci O, Turhan AU. Ipsilateral dislocation of the shoulder and elbow joints with contralateral comminuted humeral fracture. Saudi Med J. 2006; 27 (12): 1908-1911.

  12. Arce A, Blanco C. Manejo y tratamiento no quirúrgico de la luxación de hombro. Rev Med Sinerg. 2020; 5(1): e336.

  13. Cobo CEC, González ADP, Medina JAV. Luxación abierta de codo con rotura de la arteria humeral: una emergencia infrecuente. Rev And Tram y Ort. 2015; 33: 95-98.

  14. De Pablo B, Castillón P, Bernaus MC, Ibañez NM. Luxación de codo. Semergen. 2017; 1188: 1-4.

  15. Haan J N, Tuinebreijer W E. Simple elbow dislocations. A systematic review of the literature. Arch Orthop Trauma Surg. 2010; 130 (2): 240-249.

  16. Asenjo JJ, López F. Parálisis del nervio interóseo posterior tras luxación posterolateral de codo. Rev Esp Cir Osteoart. 1998; 33: 27-28.

  17. Cobanoglu M, Yumrukcal F, Karatas C, Duygun F. Simultaneous shoulder and elbow dislocation. BMJ Case Rep. 2014; 2014: bcr2014204686.

  18. Utkan, A, A?ar A, Fak?o?lu RC, Kose CC, Ozkurt B. Ipsilateral simultaneous inferior shoulder dislocation and posterior elbow dislocation: a case report. Jt Dis Relat Surg. 2020; 31 (3): 614-618.

  19. Meena S, Saini P. Ipsilateral shoulder and elbow dislocation: a case report. Malaysian Orthop J. 2012; 6 (1): 43-45.

  20. Ali FM, Krishnan S, Farhan MJ. A case of ipsilateral shoulder and elbow dislocation: an easily missed injury. J Accid Emerg Med. 1998; 15 (3): 198.



AFILIACIONES

1Médico residente del Servicio de Ortopedia y Traumatología, Hospital Lomas Verdes, Ortopedia y Traumatología, Universidad Autónoma de México, Instituto Mexicano del Seguro Social (IMSS), Naucalpan de Juárez, Edo. de México, México

2Médico residente del Servicio de Cirugía General, Hospital Regional "Dr. Valentín Gómez Farías", Cirugía General, Universidad de Guadalajara, Instituto de Seguridad y Servicios Sociales de los Trabajadores del Estado (ISSSTE), Jalisco, Zapopan, México.



Conflicto de intereses: No existe relación financiera o personal que pudiera dar lugar a un conflicto de intereses en relación con este artículo.



CORRESPONDENCIA

Marian Eliza Izaguirre Pérez. E-mail: marian_eliza@hotmail.es




Recibido: 01-08-2021. Aceptado: 08-08-2021.

Figura 1
Figura 2
Figura 3
Figura 4
Figura 5

2020     |     www.medigraphic.com

Mi perfil

C?MO CITAR (Vancouver)

Ortho-tips. 2022;18

ARTíCULOS SIMILARES

CARGANDO ...