medigraphic.com
ENGLISH

Orthotips AMOT

ISSN 2007-8560 (Impreso)
Órgano Oficial de Difusión Científica de la Federación Mexicana de Colegios de Ortopedia y Traumatología, A.C. (FEMECOT)
  • Mostrar índice
  • Números disponibles
  • Información
    • Información general        
    • Directorio
  • Publicar
    • Instrucciones para autores        
  • medigraphic.com
    • Inicio
    • Índice de revistas            
    • Registro / Acceso
  • Mi perfil

2022, Número 2

<< Anterior Siguiente >>

Ortho-tips 2022; 18 (2)


Disfagia por osteofitos en la columna cervical. Reporte de un caso y revisión bibliográfica

Bazán, Pedro Luis1; Borri, Álvaro Enrique2; Medina, Martín3; Ciccioli , Nicolás Maximiliano4
Texto completo Cómo citar este artículo 10.35366/105508

DOI

DOI: 10.35366/105508
URL: https://dx.doi.org/10.35366/105508
Artículos similares

Idioma: Español
Referencias bibliográficas: 20
Paginas: 165-169
Archivo PDF: 187.35 Kb.


PALABRAS CLAVE

Osteofitos, columna, disfagia, tratamiento.

RESUMEN

La presencia de osteofitos en la pared anterior de la columna puede deberse a varias causas. La gran mayoría de las veces son asintomáticos o se presentan clínicamente en forma de radiculopatía por compresión de alguna raíz en el agujero de conjunción o limitación de la movilidad. Anatómicamente, la pared anterior de la columna cervical se encuentra separada de la pared posterior del esófago por una delgada capa de tejido conectivo solamente. Muy raras veces la presencia de excrecencias óseas en esta zona se manifiesta con otros síntomas como disfagia, disfonía o sialorrea. Presentamos el caso de una paciente de 66 años de edad que llega a la consulta por presentar disfagia asociada a osteofitosis cervical anterior. Se utilizaron estudios por imágenes con y sin contraste, y luego de haber intentado el tratamiento médico de la patología (antiinflamatorios no esteroideos (AINES) y corticoides, junto con modificación de la conducta alimentaria, relajantes musculares y antibióticos), se decidió realizar la escisión quirúrgica de los osteofitos, obteniendo resultados satisfactorios. Las pautas de tratamiento para este tipo de patología todavía se encuentran en discusión.



INTRODUCCIóN

Los cambios degenerativos en la columna son frecuentes y afectan principalmente a la población adulta. Muchas veces éstos llevan a la formación de exostosis vertebrales (osteofitos), los cuales en 20 a 30% de los casos son asintomáticos.1,2 Generalmente, cuando se hacen evidentes clínicamente, éstos se manifiestan a través de déficits neurológicos derivados de la compresión de alguna raíz nerviosa. En muy raras oportunidades se presentan en la cara anterior de la columna cervical, y debido a que ésta se encuentra separada de la faringe y del esófago por una delgada capa de tejido conectivo, causan disfagia u obstrucción de la vía aérea.3-5 A continuación, presentamos un caso de disfagia producida por osteofitos en la cara anterior de la columna cervical desde C3 a C7.



PRESENTACIóN DEL CASO

Paciente femenino de 66 años de edad que se presenta en nuestra unidad, derivada del Servicio de Neurología, por presentar disfagia asociada a osteofitosis cervical anterior. La paciente presentaba como comorbilidades hipertensión arterial (HTA), diabetes (DBT) y como antecedentes de relevancia la realización de un triple bypass cardiaco por presentar un infarto agudo de miocardio (IAM) en el año 2009 y un accidente cerebrovascular (ACV) en el año 2012, sin secuelas motoras, salvo una leve parálisis facial izquierda. Clínicamente se constataba disfagia progresiva para sólidos, y al momento de la consulta, también para líquidos, aunque estos últimos en menor proporción, y se acompañaba además de ronquera. A pesar de que estos síntomas se manifestaron alejados del ACV, igualmente fue evaluada por el Servicio de Neurología de nuestro hospital, donde se descartó otra causa de dichas manifestaciones.

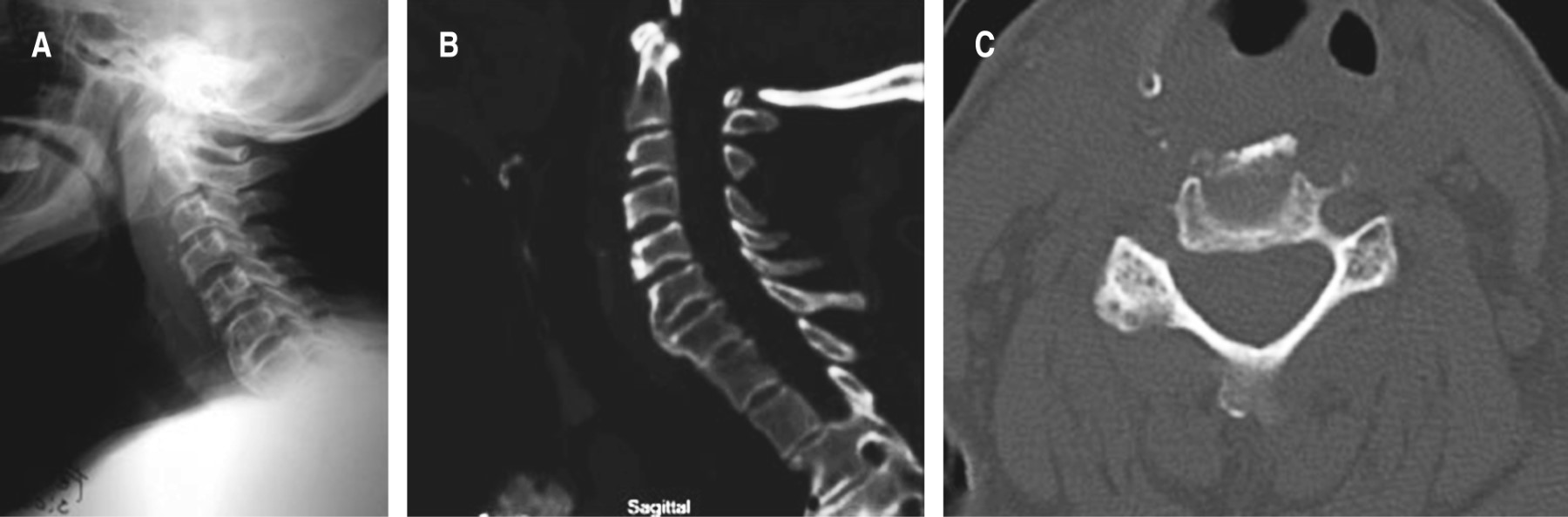
Para investigar la causa de la disfagia se realizaron radiografías de columna cervical, tomografía computada, videodeglución realizada por el Servicio de Fonoaudiología y una fibrolaringoscopia realizada por el Servicio de Otorrinolaringología. Estos estudios mostraron osteofitos en la cara anterior de la columna cervical a nivel de C3, C4 y C5 fusionados entre sí y a nivel de C6 y C7 (Figura 1).

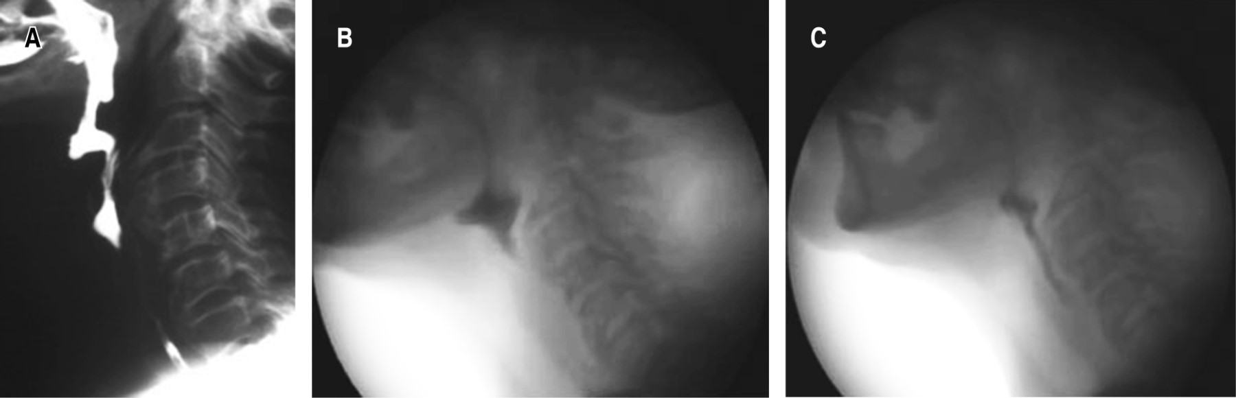
La videodeglución mostró una detención del contraste justo por encima del osteofito de C3, que se corresponde con la zona de la epiglotis, evidenciándose además que una escasa cantidad de contraste se dirigía a la vía aérea (Figura 2).

La fibrolaringoscopia mostraba una protrusión sobre la pared posterior de la faringe, la cual se correspondía con la impronta del osteofito de C3 sobre la misma, sin lesiones de la mucosa.

Se intentó primero el tratamiento médico con modificación de los hábitos alimenticios y antiinflamatorios no esteroideos, obteniendo resultados poco satisfactorios, por lo que se decidió por el tratamiento quirúrgico.

Se operó a la paciente en decúbito dorsal, se realizó un abordaje pre-esternocleidomastoideo siguiendo el borde anterior de dicho músculo, se realizó divulsión hasta llegar a la cara anterior de la columna cervical según técnica habitual, se identificaron los osteofitos y mediante drill se realizó la escisión de los mismos. Se cerró la herida por planos dejando drenaje aspirativo y se protegió la misma por siete días con collar cervical tipo Filadelfia.

La paciente mostró mejoría sintomática inmediatamente luego de la cirugía. A las dos semanas se retiró el collar cervical, y se le permitió a la paciente ingerir alimentos sin la presencia de signos de disfagia; 10 meses después se realizaron nuevas imágenes sin la presencia de recidivas (Figura 3).



DISCUSIóN

Las causas de osteofitosis cervical anterior incluyen causas degenerativas, síndrome de Forestier o DISH (Diffuse Hypertrophy Spinal Hyperostosis), espondilitis anquilosante, degeneraciones discales, trauma e infección.4 Este tipo de osteofitosis rara vez causa síntomas debido a la compresión de la faringe, el esófago y la vía aérea superior. Cuando éstos se hacen presentes, se manifiestan en forma de disfagia, sialorrea, ronquera o disfonía.3,5 Los osteofitos que generalmente se manifiestan con disfagia son los que se encuentran en C3, C4 y C5.6

El diagnóstico de esta patología debe realizarse mediante estudios por imágenes, tomografía computada7 y videodeglución con Bario, ayudados con videoscopia para descartar otra patología orgánica causante de la sintomatología.8,9

Aunque en la literatura todavía no se encuentran definidas las pautas para el tratamiento de este tipo de patologías,10 la primera medida de tratamiento siempre debe ser médica, con modificación en los hábitos alimenticios y antiinflamatorios no esteroideos, relajantes musculares y antibióticos, dejando para los casos de disfagia más severa o sintomatología que progresa a pesar del tratamiento médico, la escisión quirúrgica de los osteofitos por vía anterior.6-9,10-14

Yoshioka y colaboradores15 relatan que la mejor indicación se basa en el conocimiento del osteofito sintomático y su resección.

Tampoco existe consenso en la asociación o no con material de osteosíntesis. Hines16 no reporta la necesidad de asociar osteosíntesis; sin embargo, Scholz y su grupo17 con un seguimiento promedio de 70 meses de cinco pacientes, mostraron que tres requirieron una fijación anterior con excelentes resultados.

Bunmaprasert18 en su revisión publicada en 2021, analizó 11 artículos publicados desde el 2005, la mayoría retrospectivos, que justifican la utilización de osteosíntesis en pacientes con radiculopatía o mielopatía asociada a la disfagia. De una población global de 86 pacientes sólo 11 (12.79%) requirieron una estabilización. En este sentido, Glinski y colegas19 reportan 10 pacientes que presentaban una mielopatía asociada y fueron tratados con resección del osteofito, liberación medular y artrodesis anterior.

Kolz11 propone ocasionalmente complementar el abordaje anterior para la resección de los osteofitos, que es la práctica esencial, con fijación anterior o posterior, pero Hwang20 sugiere para evitar la recidiva de la osificación y prevenir la inestabilidad la fijación por doble vía.



CONCLUSIONES

Como mensaje final sobre este caso, podemos decir que este tipo de patología poco frecuente debe ser sospechada en pacientes con síntomas de disfagia lentamente progresiva. El paciente siempre debe ser estudiado de ser posible por equipos multidisciplinarios para descartar otras causas de la sintomatología. El tratamiento médico debe ser utilizado como primera opción en todos los casos, aunque una vez que la sintomatología es avanzada, es difícil lograr resultados satisfactorios para el paciente. La cirugía obtuvo en nuestro caso muy buenos resultados de manera inmediata, aunque ésta no se encuentra exenta de potenciales complicaciones, (perforación esofágica, lesión del nervio laríngeo recurrente, hematoma sofocante, etcétera) por lo que debe ser correctamente indicada y solamente utilizada ante la falla del tratamiento conservador.


REFERENCIAS (EN ESTE ARTÍCULO)

  1. Ozgursoy OB, Salassa JR, Reimer R, Wharen RE, Deen HG. Anterior cervical osteophyte dysphagia: manofluorographic and functional outcomes after surgery. Head Neck. 2010; 32 (5): 588-593. Available in: https://doi.org/10.1002/hed.21226

  2. Solaroglu I, Okutan O, Karakus M, Saygili B, Beskonakli E. Dysphagia due to diffuse idiopathic skeletal hyperostosis of the cervical spine. Turk Neurosurg. 2008; 18 (4): 409-411.

  3. Fuerderer S, Eysel-Gosepath K, Schroder U, Delank KS, Eysel P. Retro-pharyngeal obstruction in association with osteophytes of the cervical spine. J Bone Joint Surg Br. 2004; 86 (6): 837-840. Available in: https://doi.org/10.1302/0301-620x.86b6.14933

  4. Kapetanakis S, Vasileiadis I, Papanas N, Goulimari R, Maltezos E. Can a giant cervical osteophyte cause dysphagia and airway obstruction? A case report. Wien Klin Wochenschr. 2011; 123 (9-10): 291-293. Available in: https://doi.org/10.1007/s00508-011-1564-9

  5. De Silva W, Kumara M, De Silva W. An unusual cause of cervical dysphagia. Sri Lanka Journal of Surgery, 2011; 28 (2): 25-26.

  6. Veerabhadraiah P, Rao V, Shankar R, Shivappa N, Kumar P, Nagaraj TM. Dysphagia caused by anterior cervical osteophyte: a rare entity revisited. Int J Head and Neck Surg. 2012; 3 (3): 168-171.

  7. Zhang C, Ruan D, He Q, Wen T, Yang P. Progressive dysphagia and neck pain due to diffuse idiopathic skeletal hyperostosis of the cervical spine: a case report and literature review. Clin Interv Aging. 2014; 9: 553-557. Available in: https://doi.org/10.2147/CIA.S60146

  8. Taguchi Y, Takashima S, Tanaka K. Ossification of the cervical anterior longitudinal ligament presenting dysphagia. Intern Med (Tokyo, Japan). 2011; 50 (3): 261. Available in: https://doi.org/10.2169/internalmedicine.50.4525

  9. Von der Hoeh NH, Voelker A, Jarvers JS, Gulow J, Heyde CE. Results after the surgical treatment of anterior cervical hyperostosis causing dysphagia. Eur Spine J. 2015; 24 Suppl 4: S489-93. Available in: https://doi.org/10.1007/s00586-014-3507-4

  10. Abbas M, Khan AQ, Siddiqui YS, Khan BR. Young adult and giant cervical exostosis. Saudi Med J. 2011; 32 (1): 80-82.

  11. Kolz JM, Alvi MA, Bhatti AR, Tomov MN, Bydon M, Sebastian AS, et al. Anterior cervical osteophyte resection for treatment of dysphagia. Global Spine J. 2021; 11 (4): 488-499. Available in: https://doi.org/10.1177/2192568220912706

  12. Chung YS, Zhang H, Ha Y, Park JY. Surgical outcomes of dysphagia provoked by diffuse idiopathic skeletal hyperostosis in the cervical spine. Yonsei Med J. 2020; 61 (4): 341-348. Available in: https://doi.org/10.3349/ymj.2020.61.4.341

  13. Lui Jonathan YC, Sayal P, Prezerakos G, Russo V, Choi D, Casey ATH. The surgical management of dysphagia secondary to diffuse idiopathic skeletal hyperostosis. Clin Neurol Neurosurg. 2018; 167: 36-42. Available in: https://doi.org/10.1016/j.clineuro.2018.02.010

  14. Dabrowski M, Sulewski A, Kaczmarczyk J, Kubaszewski L. Surgical treatment of diffuse idiopathic skeletal hyperostosis of cervical spine with dysphagia – Case report. Ann Med Surg (Lond). 2020; 57: 37-40. Available in: https://doi.org/10.1016/j.amsu.2020.07.009

  15. Yoshioka K, Murakami H, Demura S, Kato S, Yonezawa N, Takahashi N, et al. Surgical treatment for cervical diffuse idiopathic skeletal hyperostosis as a cause of dysphagia. Spine Surg Relat Res. 2018; 2 (3): 197-201. Available in: https://doi.org/10.22603/ssrr.2017-0045

  16. Hines K, Elmer N, Detweiler M, Fatema U, Gonzalez GA, Montenegro TS, et al. Combined anterior osteophytectomy and cricopharyngeal myotomy for treatment of DISH-associated dysphagia. Global Spine J. 2020; 2192568220967358. Available in: https://doi.org/10.1177/2192568220967358

  17. Scholz C, Naseri Y, Hohenhaus M, Hubbe U, Klingler JH. Long-term results after surgical treatment of diffuse idiopathic skeletal hyperostosis (DISH) causing dysphagia. J Clin Neurosci. 2019; 67: 151-155. Available in: https://doi.org/10.1016/j.jocn.2019.05.057

  18. Bunmaprasert T, Keeratiruangrong J, Sugandhavesa N, Riew KD, Liawrungrueang W. Surgical management of diffuse idiopathic skeletal hyperostosis (DISH) causing secondary dysphagia (Narrative review). J Orthop Surg (Hong Kong). 2021; 29 (3): 23094990211041783. Available in: https://doi.org/10.1177/23094990211041783

  19. Glinski AV, Takayanagi A, Elia C, Ishak B, Listmann M, Pierre CA, et al. Surgical treatment of ossifications of the cervical anterior longitudinal ligament: a retrospective cohort study. Global Spine J. 2021; 11 (5): 709-715. Available in: https://doi.org/10.1177/2192568220922195

  20. Hwang JS, Chough CK, Joo WI. Giant anterior cervical osteophyte leading to dysphagia. Korean J Spine. 2013; 10 (3): 200-202. Available in: https://doi.org/10.14245/kjs.2013.10.3.200



AFILIACIONES

1Jefe de Servicio de Ortopedia y Traumatología, Instituto de Diagnóstico La Plata, Director del Curso Post-básico en Patología de Columna Vertebral del Adulto. ORCID: 000-0003-0060-6558

2ORCID: 000-0002-5568-867X

3ORCID: 000-0002-5281-5645

4Clínica Pueyrredón Mar del Plata, Buenos Aires, Argentina. ORCID: 000-0002-5851-2821. Hospital Interzonal General de Agudos (HIGA) San Martín La Plata, Hospital Italiano La Plata. La Plata, Buenos Aires, Argentina.



Conflicto de intereses: Los autores declaran no tener conflicto de intereses en la presente publicación.



CORRESPONDENCIA

Pedro Luis Bazán. E-mail: pedroluisbazan@gmail.com




Recibido: 12-02-2022. Aceptado: 19-02-2022.

Figura 1
Figura 2
Figura 3

2020     |     www.medigraphic.com

Mi perfil

C?MO CITAR (Vancouver)

Ortho-tips. 2022;18

ARTíCULOS SIMILARES

CARGANDO ...