medigraphic.com
ENGLISH

Neurología, Neurocirugía y Psiquiatría

ISSN 0028-3851 (Impreso)
  • Mostrar índice
  • Números disponibles
  • Información
    • Información general        
    • Directorio
  • Publicar
    • Instrucciones para autores        
  • medigraphic.com
    • Inicio
    • Índice de revistas            
    • Registro / Acceso
  • Mi perfil

2022, Número 1

<< Anterior

Rev Neurol Neurocir Psiquiat 2022; 50 (1)


Herida intracraneal por arma de fuego, un proyectil móvil; reporte de un caso y revisión de literatura

Duarte, Diana Paola1; Serrato Perdomo, Johann David1; Rojas, Luis Orlando2
Texto completo Cómo citar este artículo 10.35366/105548

DOI

DOI: 10.35366/105548
URL: https://dx.doi.org/10.35366/105548
Artículos similares

Idioma: Español
Referencias bibliográficas: 10
Paginas: 33-36
Archivo PDF: 241.32 Kb.


PALABRAS CLAVE

Trauma craneoencefálico, heridas por arma de fuego, neurotrauma, intoxicación plúmbica.

RESUMEN

Las heridas penetrantes por proyectil de arma de fuego en cráneo son una de las causas más frecuentes de trauma craneoencefálico en los países en vías de desarrollo, en algunas ocasiones la ubicación del proyectil impide su extracción, siendo la migración del proyectil retenido una complicación poco frecuente y generalmente asociada a neuroinfección, focalización neurológica y epilepsia. Presentamos el caso de un paciente con herida por proyectil de arma de fuego (HPAF) de baja velocidad, quien con el movimiento corporal presenta migración del artefacto a través del mismo hemisferio cerebral obteniendo como resultado compromiso campimétrico; requirió de resección del fragmento con mejoría del déficit visual.



INTRODUCCIóN

Las heridas penetrantes por proyectil de arma de fuego en cráneo resultan en fragmentos o balas retenidas en la bóveda craneal;1 regularmente estos fragmentos son removidos; sin embargo, en algunas ocasiones la ubicación del fragmento impide su extracción. Una de las complicaciones de los fragmentos o balas retenidas en la bóveda craneal es la migración que ocurre en aproximadamente 4.2% de los pacientes que sobreviven a heridas por proyectil de arma de fuego en contexto civil.

Los mecanismos de migración son variables, incluyen un "reblandecimiento" cerebral dentro de la trayectoria de la bala, migración a través del mismo hemisferio o migración a través de los ventrículos o las cisternas;2 este movimiento del artefacto se asocia en algunos casos a abscesos cerebrales, necrosis licuefactiva del cerebro, epilepsia, focalización neurológica de pares craneanos e hidrocefalia en caso de fragmentos intraventriculares.3

Presentamos el caso de un paciente remitido al servicio de urgencias con una herida por proyectil de arma de fuego (HPAF) de baja velocidad con el proyectil alojado en el lóbulo frontal izquierdo, posteriormente presenta compromiso de vía visual requiriendo extracción del artefacto por vía quirúrgica con mejoría significativa de la visión.



PRESENTACIóN DEL CASO

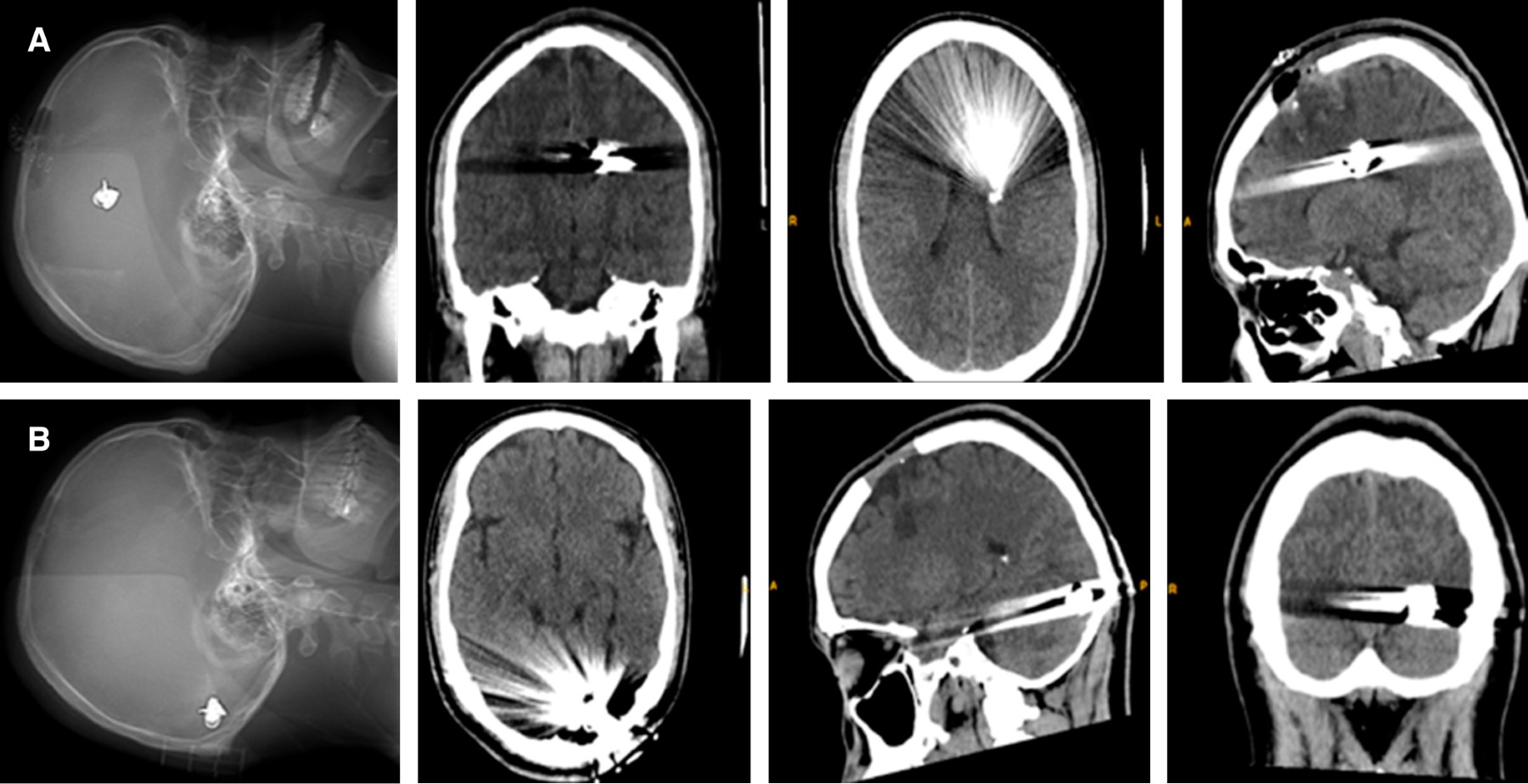
Masculino de 22 años con antecedente de trauma craneoencefálico (TEC) moderado secundario a HPAF frontal izquierda asociado con hematoma subdural y hemorragia intraparenquimatosa (Figura 1), requiriendo esquirlectomía de fractura de bóveda craneana + drenaje de colecciones. Posterior a su estancia hospitalaria es dado de alta con secuelas neurológicas dadas por hemiparesia 4/5 derecha e hipoestesia ipsilateral.

Reconsulta por cefalea de alta intensidad sin mejoría con analgésicos, bradipsiquia y bradilalia, disminución en agudeza visual asociada con fotofobia y fonofobia, por lo que se realiza TAC cerebral evidenciando migración del proyectil a región occipital izquierda (Figura 1). Como estudio complementario se realizan campos visuales electrónicos (Figura 2A) evidenciando amaurosis izquierda con hemianopsia temporal derecha. Por el déficit visual de novo se decide realizar extracción del proyectil guiado por fluoroscopia (Figura 3). En el postoperatorio presenta mejoría gradual de la visión y disminución de cefalea, una vez completado esquema antimicrobiano y rehabilitación intrahospitalaria es egresado.

Seis meses posterior a la extracción del proyectil, el paciente se presenta con mejoría de su estado funcional sin presencia de hemiplejia y mejoría en la sensibilidad. Se realizan campos visuales de control con mejoría de 80% y hemianopsia homónima derecha secuelar (Figura 2B).



DISCUSIóN

La incidencia del trauma craneoencefálico es de 200-600 casos por cada 100,000 habitantes, afecta principalmente a personas jóvenes en edad reproductiva y económicamente activas; en países en vías de desarrollo los accidentes de tránsito son una de las causas más frecuentes de TCE; sin embargo, en los países en vías de desarrollo la violencia interpersonal se convierte en la causa más frecuente.4 Desde 1917 las descripciones de Harvey Cushing proponen un manejo quirúrgico temprano con desbridamiento agresivo de la lesión para prevenir la neuroinfección y disminuir la tasa de mortalidad;5 sin embargo, es frecuente encontrar fragmentos intracraneales retenidos en personas sobrevivientes a estas heridas por proyectil de arma de fuego; la migración de estos fragmentos se ha reportado en aproximadamente 4.2% de los pacientes; ésta generalmente es limitada, tendiendo a seguir la trayectoria recorrida previamente por la bala o a migrar a través de los espacios de líquido cefalorraquídeo o el cerebelo, siendo asintomática cuando el cuerpo extraño atraviesa áreas no elocuentes, en algunos casos se asocia a neuroinfección, convulsiones, déficit neurológico transitorio por contacto de estructuras elocuentes e hidrocefalia.6,7

La penetración inicial de la bala crea una vía en el parénquima por destrucción de la sustancia blanca, el edema que se desarrolla no permite la migración del proyectil; sin embargo, una vez resuelto el edema, el "reblandecimiento" del tejido circundante, la gravedad y la pulsación de líquido cefalorraquídeo (LCR) puede generar movimiento de éste dentro del parénquima cerebral. La mayoría de los casos reportados fueron heridas por proyectil de arma de fuego de alta velocidad usadas en contextos militares; en el contexto civil, los proyectiles de baja velocidad generan menos necrosis del tejido circundante y los proyectiles que se deforman al ingreso al cráneo generan mayor resistencia al movimiento por su forma irregular, siendo menos propensos a la migración del artefacto. Se presume que las balas que no se mueven dentro del parénquima cerebral se encuentran rodeadas de áreas de gliosis y cicatrices fibróticas.8,9

La decisión de la extracción de un proyectil intracraneal que ha migrado puede ser un dilema para el neurocirujano; sin embargo, dentro de la revisión de la literatura se puede establecer un consenso: los proyectiles intraparenquimatosos deben extraerse si se puede acceder a ellos de forma razonable sin causar daño neurológico adicional, ya que la migración del proyectil puede resultar en lesiones de áreas elocuentes o incluso en la muerte del paciente,10 y los proyectiles intraventriculares deben ser removidos por el alto riesgo de hidrocefalia al migrar y obstruir el foramen de Monro o el acueducto de Silvio.9



CONCLUSIONES

La migración de un proyectil de arma de fuego intracraneal es una rara complicación de TEC penetrante que puede ser en algunos casos asintomática o puede tener implicaciones neurológicas graves e incluso llevar a la muerte. Se propone el manejo quirúrgico de las HPAF cuando los proyectiles, esquirlas o artefactos que ingresen al cráneo se alojen en la masa encefálica y estén al alcance del cirujano sin generar más lesión del tejido o compromiso neurológico del paciente. En caso de alojamiento en el sistema ventricular, siempre requerirá manejo y retiro por el alto riesgo de causar una hidrocefalia obstructiva. En pacientes que presenten sintomatología por migración de proyectiles o esquirlas, se requiere de manejo quirúrgico para resección con el fin de mejorar el déficit establecido o prevenir futuras complicaciones.


REFERENCIAS (EN ESTE ARTÍCULO)

  1. Zafonte RD, Watanabe T, Mann NR. Moving bullet syndrome: a complication of penetrating head injury. Arch Phys Med Rehabil. 1998; 79: 1469-1472.

  2. Rammo RA, DeFazio MV, Bullock MR. Management of migrating intracranial bullets: lessons learned from surviving an AK-47 bullet through the lateral brainstem. World Neurosurg. 2012; 77 (3-4): 591.e19-24.

  3. Rapp LG, Arce CA, McKenzie R, Darmody WR, Guyot DR, Michael DB. Incidence of intracranial bullet fragment migration. Neurol Res. 1999; 21 (5): 475-480.

  4. Ospina-Delgado D, Mosquera Salas LM, Enríquez-Marulanda A et al. Caracterización de 95 pacientes adultos con trauma craneoencefálico debido a herida por proyectil de arma de fuego en un centro de referencia en Cali, Colombia. Neurocirugia. 2018; 29: 217-224.

  5. Cushing H. A study of a series of wounds involving the brain and its enveloping structures. Brit J Surg. 1917; 5 (20): 558-684.

  6. Leone A, Parsons AD, Willis S, Moawad SA, Zanzerkia R, Rahme R. Sinking bullet syndrome: A unique case of transhemispheric migration. Clin Neurol Neurosurg. 2021; 204: 106607. doi: 10.1016/j.clineuro.2021.106607.

  7. Fujimoto Y, Cabrera HT, Pahl FH, de Andrade AF, Marino JR. Spontaneous migration of a bullet in the cerebellum--case report. Neurol Med Chir (Tokyo). 2001; 41 (10): 499-501. doi: 10.2176/nmc.41.499.

  8. Ozkan U, Ozates M, Kemaloglu S, Güzel A. Spontaneous migration of a bullet into the brain. Clin Neurol Neurosurg. 2006; 108 (6): 573-575. doi: 10.1016/j.clineuro.2005.03.002.

  9. Arslan M, Eseoglu M, Güdü BO, Demir I, Kozan AB. Spontaneous migration of a retained bullet within the brain: a case report. Ulus Travma Acil Cerrahi Derg. 2012; 18 (5): 449-452. doi: 10.5505/tjtes.2012.88965.

  10. Hussain M, Bari E. Intracerebral migration of stray bullet leading to sudden and fatal worsening. J Coll Physicians Surg Pak. 2011; 21 (3): 182-183.



AFILIACIONES

1 Residente de Neurocirugía, Universidad Militar Nueva Granada. Hospital Militar Central. Bogotá, Colombia.

2 Neurocirujano, Departamento de Neurocirugía. Hospital Militar Central. Bogotá, Colombia.



CORRESPONDENCIA

Dr. Johann David Serrato Perdomo. E-mail: johannserrato13@gmail.com




Recibido: 25/02/2022. Aceptado: 03/05/2022.



Figura 1
Figura 2
Figura 3

2020     |     www.medigraphic.com

Mi perfil

C?MO CITAR (Vancouver)

Rev Neurol Neurocir Psiquiat. 2022;50

ARTíCULOS SIMILARES

CARGANDO ...