medigraphic.com
ENGLISH

Acta Ortopédica Mexicana

ISSN 2992-8036 (Digital)
ISSN 2306-4102 (Impreso)
Órgano Oficial del Colegio Mexicano de Ortopedia y Traumatología
  • Mostrar índice
  • Números disponibles
  • Información
    • Información general        
    • Directorio
  • Publicar
    • Instrucciones para autores        
  • medigraphic.com
    • Inicio
    • Índice de revistas            
    • Registro / Acceso
  • Mi perfil

2021, Número 6

<< Anterior Siguiente >>

Acta Ortop Mex 2021; 35 (6)


Niños andinos con quiste óseo aneurismático tratados con polidocanol (uso fuera de etiqueta)

Ríos-Méndez, RE1; Espin-Villamarin, LG2; Rovalino-Troya, CJ2; Rosero-Lema, VF2; Barona-Freire, EB2; Reinoso-Recalde, DI3
Texto completo Cómo citar este artículo 10.35366/105706

DOI

DOI: 10.35366/105706
URL: https://dx.doi.org/10.35366/105706
Artículos similares

Idioma: Español
Referencias bibliográficas: 14
Paginas: 529-533
Archivo PDF: 247.44 Kb.


PALABRAS CLAVE

Quiste óseo, aneurismático, tratamiento, polidocanol, niños.

RESUMEN

Introducción: El quiste óseo aneurismático es un raro tumor osteolítico benigno, pero agresivo para el que aún no existe tratamiento ideal. Los comunicados sobre tratamiento mediante escleroterapia en población pediátrica son escasos y en nuestra región más aún. El objetivo es comunicar la experiencia del tratamiento del quiste óseo aneurismático con polidocanol 3%. Material y métodos: Estudio retrospectivo, descriptivo y transversal. Período: Junio de 2017 a Junio de 2021. Inclusión: pacientes con diagnóstico histológico de quiste óseo aneurismático. Bajo anestesia general y guía fluoroscópica se realizó punción intralesional con aguja 16G a través de la cual se administró lentamente el polidocanol 3%. Datos: historia clínica. Las variables cuantitativas se expresarán en medidas de tendencia central y de dispersión; las variables cualitativas se expresarán como frecuencias o porcentajes. Resultados: Se incluyeron nueve pacientes consecutivos, todos presentaban dolor y tumoración en alguna de las extremidades. Género: tres femeninos y seis masculinos. Edad: mediana 10.5 años (rango: 2-15.1). Peso: mediana 32.8 kg (rango: 11-44.5). Total de procedimientos: 44, procedimientos por paciente: promedio 4.9 (DE: ± 2.0). Tiempo de procedimiento: promedio 33.9 minutos (DE: ± 18.3); radiación: promedio 1.34 mGy (DE: ± 1.55). Hospitalización: un día, excepto un paciente. Complicaciones: Daño de piel en un caso, no recidivas. Seguimiento: de 12 a 50 meses. Conclusión: En esta serie pediátrica el polidocanol 3% fue útil y efectivo para el tratamiento del quiste óseo aneurismático con escasas complicaciones. Una desventaja es que requiere varias sesiones y además, no se ha demostrado una diferencia significativa entre otras formas de tratamiento en términos de la tasa de recurrencia.



INTRODUCCIóN

El quiste óseo aneurismático (QOA) es un raro tumor osteolítico benigno descrito a mediados del siglo pasado; a pesar de su nombre, no es realmente un aneurisma o quiste, ya que no tiene pared endotelial. Se han propuesto varias teorías con respecto al origen del QOA, entre estas está el que puede ser producido por traumatismos, presencia de fístulas arteriovenosas y aumento de presión venosa en el interior del hueso; también se ha aceptado que una alteración del gen USP6 está involucrado en su génesis.1 Su detección por lo general ocurre en las dos primeras décadas de vida de los pacientes y la localización más frecuente es en las metáfisis de huesos largos causando dolor, tumoración y algunas veces fracturas patológicas. Hasta el momento no existe tratamiento ideal para el QOA, por lo que actualmente la escleroterapia es una de las opciones terapéuticas.2,3,4

Los comunicados sobre tratamiento de QOA con polidocanol en población pediátrica son escasos y en nuestra región más aún.3,4,5,6,7 El objetivo es comunicar la experiencia sobre el tratamiento del QOA con polidocanol 3% en niños y el seguimiento en el corto y mediano plazo en un Hospital Pediátrico Público de Tercer Nivel ubicado en la región andina a 2,860 metros sobre el nivel del mar.



MATERIAL Y MéTODOS

Estudio retrospectivo, descriptivo, de corte transversal. Período: de Junio de 2017 a Junio de 2021. La información fue obtenida de la historia clínica y de la base de datos del laboratorio de cateterismo del hospital. Se incluyeron pacientes con diagnóstico histológico de QOA primario tratados con polidocanol 3%. Las variables cuantitativas se expresarán en medidas de tendencia central (mediana = Me o como media = promedio) y de dispersión (r = rango o como DE = desviación estándar); las variables cualitativas se expresarán como frecuencias o porcentajes.

Se obtuvo consentimiento informado por los representantes legales de los pacientes. Este informe tiene aprobación institucional con expediente HBOGDI IC20200021 y ha respetado la Declaración de Helsinki.



RESULTADOS

Se incluyeron nueve pacientes con diagnóstico de QOA primarios por resonancia magnética o tomografía computarizada y confirmado por biopsia; siete de ellos tuvieron QOA nativos y dos fueron recurrentes, todos los pacientes presentaron dolor, tumoración, limitación de movilidad de la extremidad comprometida (Tabla 1); género: tres femeninos y seis masculinos; edad: Me 10.5 años (r = 2-15.1); peso: Me 32.8 kg (r = 11-44.5); talla: Me 131 cm (r = 85-155).

Bajo anestesia general balanceada y guiada por fluoroscopía se realizó una punción transcutánea dentro del QOA con aguja de calibre G16, una vez dentro de la cavidad se obtuvo por aspiración líquido serohemático sólo en cinco de los pacientes, luego se inyectó a través de la misma aguja polidocanol 3% a una velocidad de 0.3 a 0.5 ml por minuto aproximadamente hasta terminar la dosis calculada, luego 0.5 ml de cloruro de sodio al 0.9% fue inyectado por la misma aguja para evitar el reflujo de la sustancia esclerosante. Una vez removida la aguja se realizó compresión digital del sitio de punción durante 10 minutos y se dejó vendaje compresivo durante 24 horas.

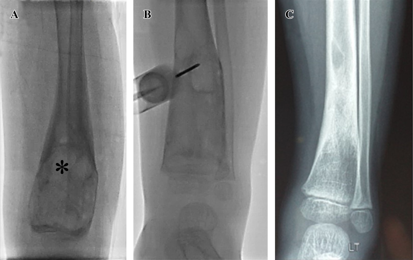
En los casos uno (Figura 1), cuatro, cinco, seis, siete y nueve se inyectaron 5 ml de polidocanol 3% en todas las sesiones. El primer paciente había recibido cirugía con curetaje óseo de la lesión un año antes por presentar recidiva del QOA, por lo que se optó por tratarle con escleroterapia. Al segundo paciente, en otra institución se le había realizado embolización de arterias aferentes del QOA, misma que fue inefectiva, motivo por el que se le realizó curetaje e injerto óseo; en menos de un año de seguimiento se evidenció recurrencia del QOA (Figura 2), razón por la cual se le indicó tratamiento con escleroterapia, recibió 5 ml de polidocanol 3% en la primera dosis y 10 ml en las dosis siguientes. En el tercero (Figura 3) y octavo pacientes se inyectaron 10 ml de la sustancia esclerosante en todas las sesiones. Número total de procedimientos: 44, cantidad de procedimientos por paciente: promedio 4.9 (DE: ± 2.0). Intervalo de dosis: promedio 11.54 semanas (DE: ± 14.57).

Solamente en dos ocasiones, que representa 5% del total de procedimientos, los pacientes refirieron dolor en el sitio tratado con polidocanol durante las primeras 24 horas, que mitigaron con la administración de paracetamol. El segundo paciente presentó necrosis de piel alrededor del sitio de punción de 0.5 cm de diámetro que fue tratado efectivamente de manera tópica. Después de la primera o segunda dosis los pacientes refirieron disminución del dolor y mejoraron la movilidad de la extremidad afectada. El tiempo de hospitalización fue de ocho a 24 horas excepto en el segundo paciente, quien estuvo internado durante cuatro días por la complicación mencionada.

Se realizaron controles radiográficos cada uno a tres meses, si no se observaba opacificación de toda la zona lítica del hueso afectado se indicaba otra sesión de tratamiento; la tomografía computarizada fue solicitada cada seis meses durante el primer año de seguimiento y luego cada año. Tiempo de procedimiento: promedio 33.9 minutos (DE: ± 18.3); tiempo de fluoroscopía: promedio 0.25 minutos (DE: ± 0.14); radiación: promedio 1.28 mGy (DE: ± 1.49). Se evidenció remodelamiento óseo mediante radiografía o tomografía computarizada en la mayoría los casos excepto en los pacientes tercero y octavo. El tercer paciente recibió cirugía para remodelar la clavícula debido al gran tamaño del callo óseo; la octava paciente recibió cirugía con curetaje de la lesión e implante de injerto óseo autólogo después de la cuarta sesión de escleroterapia, debido a la lenta mejoría con la escleroterapia y al gran tamaño del quiste, los traumatólogos indicaron que el sangrado del QOA durante la cirugía fue mínimo. Hasta el momento, ninguno de los pacientes ha tenido recurrencias o recidivas.



DISCUSIóN

Los QOA son 70% primarios y 30% secundarios, los últimos comúnmente se asocian a tumor de células gigantes, condroblastoma, fibroma no osificante, osteosarcoma telangiectásico y enfermedades metastásicas, por este motivo, aunque la imagen por resonancia magnética es indicativa de QOA (burbujas de jabón con niveles hídricos o soap bubble fluid en inglés) es necesaria la confirmación histológica de la muestra obtenida por biopsia.2,8,9

Aunque el QOA ha sido tratado tradicionalmente por cirugía, dado que es muy sangrante durante el acto quirúrgico y la alta tasa de recurrencia, se han aplicado otros tratamientos tales como radioterapia, embolización arterial, criocirugía, denosumab, curopsia, escleroterapia, entre otros.2,9 Se han utilizado algunas sustancias esclerosantes para este propósito como el N-butilcianocrilato (Histoacryl®), matriz hemostática (Surgiflo®), alcohol (Ethibloc®) y polidocanol (Etoxiven®), ya que en nuestra institución disponemos de polidocanol 3%, decidimos utilizarlo para tratar esta patología,2,5,6,7,9,10,11 conociendo por la literatura que pueden presentarse complicaciones tales como necrosis de piel y tejidos blandos, dolor, hipopigmentación, mareo, hipotensión arterial y arritmias.6,12

Polidocanol (hidroxypolyethoxydodecan) al 3% es una sustancia esclerosante surfactante no iónica, con evidencia de que es útil para el tratamiento del QOA (uso fuera de etiqueta u off-label en inglés).13 Aunque no hay dosis establecida para el tratamiento de esta patología, se ha recomendado que sea en cantidad equivalente al volumen calculado de la lesión;3 a pesar del volumen estimado del QOA en los pacientes uno, cuatro-siete y nueve, por seguridad se decidió administrar sólo 5 ml de polidocanol 3% por dosis,3 en los pacientes dos, tres y ocho el volumen de los QOA fue mayor, por lo que se decidió inyectar 10 ml del fármaco,5,6 teniendo como complicación en uno de ellos una pequeña área de necrosis de piel, probablemente debido a reflujo de la sustancia esclerosante. Como hay un componente vascular en la génesis del QOA, el uso del polidocanol está justificado, ya que al causar daño directo del endotelio induce el inicio de la cascada de coagulación y lleva a la oclusión de los vasos.3 Pensamos que el remodelamiento óseo no ocurrió en los pacientes tres y ocho, como sucedió en los otros niños debido al factor edad, ya que la longitud de los huesos no se incrementa mucho durante la adolescencia tardía.

Aunque este estudio no fue comparativo con el tratamiento quirúrgico, los resultados concuerdan con lo descrito en la literatura, es decir, que es menos cruento, hay menor tiempo de hospitalización, no necesita equipos sofisticados y no deja cicatriz. Una desventaja es que requiere varias sesiones, además de que no se ha demostrado una diferencia significativa entre ambas formas de tratamiento en términos de la tasa de recurrencia.3,6,7

Con respecto al intervalo de tiempo de administración del polidocanol se han descrito períodos entre tres y 14 semanas.5,6,7 En nuestros pacientes estos intervalos fueron muy diversos debido a varios factores tales como los económicos, emergencia sanitaria por COVID-19, grandes distancias entre vivienda y hospital, etcétera, dificultades que aumentan el riesgo de retraso o abandono del tratamiento.14

Hasta donde conocemos, no hay otro informe de serie de casos pediátricos en la región acerca de este tema. En nuestros pacientes el polidocanol 3% fue útil y efectivo para el tratamiento del QOA con baja tasa de complicaciones. Es aconsejable realizar estudios en esta región con un número mayor de pacientes y tiempo de seguimiento para poder recomendarlo como tratamiento de primera elección en esta patología.


REFERENCIAS (EN ESTE ARTÍCULO)

  1. Ye Y, Pringle LM, Lau AW, Riquelme DN, Wang H, Jiang T, et al. TRE17/USP6 oncogene translocated in aneurysmal bone cyst induces matrix metalloproteinase production via activation of NF-kappaB. Oncogene. 2010; 29(25): 3619-29.

  2. Hauschild O, Lüdermann M, Engelhardt M, Baumhoer D, Baumann T, Elger T, et al. Aneurysmal bone cyst (ABC): treatment options and proposal of a follow-up regime. Acta Orthop Belg. 2016; 82(3): 474-83.

  3. Varshney MK, Rastogi S, Khan SA, Trikha V. Is sclerotherapy better than intralesional excision for treating aneurysmal bone cyst? Clin Orthop Relat Res. 2010; 468(6): 1649-59.

  4. Bavan L, Wijendra A, Kothari A. Efficacy of treatment interventions for primary aneurysmal bone cyst: a systematic review. Bone JT Open. 2021; 2(2): 125-33.

  5. Mohan R, Sreekumaran GT. Secondary aneurysmal bone cyst of the scapula treated by CT guided percutaneous polidocanol injection. A case report. J Clin Diagn Res. 2016; 10(12): RD04-6.

  6. Rastogi S, Varshney MK, Trikha V, Khan SA, Choudhury B, Safaya R. Treatment of aneurysmal bone cyst with percutaneous sclerotherapy using polidocanol. A review of 72 cases with long-term follow-up. J Bone Join Surg Br. 2006; 88(9): 1212-6.

  7. Brosjo O, Pechon P, Hesla A, Tsagozis P, Bauer H. Sclerotherapy with polidocanol for treatment of aneurysmal cyst bone. Acta Orthop. 2013; 84(5): 502-5.

  8. Wootton-Gorges SL. MR Imaging of primary bone tumors and tumor-like conditions in children. Magn Reson Imagine Clin N Am. 2009; 17(3): 469-87.

  9. Park HY, Yang SK, Sheppard WL, Hedge V, Zoller SD, Nelson SD, et al. Current management of aneurysmal cyst bone. Curr Rev Musculoskelet Med. 2016; 9(4): 435-44.

  10. Peraud A, Drake JM, Armstrong D, Hedden D, Babyn P, Wilson G. Fatal ethibloc embolization of vertebrobasilar system following percutaneous injection into aneurysmal bone cyst of the second cervical vertebral. AJNR Am J Neuroradiol. 2004; 25(6): 116-20.

  11. Chartrand-Lefebvre C, Dubois J, Roy D, Mercier C, Raymond J. Direct intraoperative sclerotherapy of an aneurysmal bone cyst of the sphenoid. AJNR Am J Neuroradiol. 1996; 17(5): 870-2.

  12. Gupta G, Pandit RS, Jerath N, Narasimhan R. Severe life-threatening hipersentivity reaction to polidocanol in a case of recurrent aneurysmal bone cyst. J Clin Orthop Trauma. 2019; 10(2): 414-7.

  13. Ebrahimi SRS, Enamzadeh E, Babaei H. An evidence-based review of off-label uses of polidocanol. Curr Clin Pharmacol. 2017; 12(4): 223-30.

  14. Grabois M, Oliveira E, Carvalho M. Childhood cancer and pediatric oncologic care in Brazil: access and equity. Cad Saúde Pública. 2011; 27(9): 1711-20.



AFILIACIONES

1 Hospital Pediátrico Baca Ortiz. Quito, Ecuador. ORCID: 0000-0002-7696-8750.

2 Hospital Pediátrico Baca Ortiz, Quito, Ecuador.

3 Hospital Pediátrico Baca Ortiz, Quito, Ecuador. ORCID: 0000-0002-3985-706.



Fuente de financiamiento: ninguna.



NIVEL DE EVIDENCIA

IV



CORRESPONDENCIA

Raúl E. Ríos-Méndez. MD. E-mail: riosmendez@intramed.net.ar




Recibido: 01-12-2021. Aceptado: 30-12-2021.

Figura 1
Figura 2
Figura 3
Tabla 1

2020     |     www.medigraphic.com

Mi perfil

C?MO CITAR (Vancouver)

Acta Ortop Mex. 2021 Nov-Dic;35

ARTíCULOS SIMILARES

CARGANDO ...