medigraphic.com
ENGLISH

Acta Médica Grupo Ángeles

Órgano Oficial del Hospital Ángeles Health System
  • Mostrar índice
  • Números disponibles
  • Información
    • Información general        
    • Directorio
  • Publicar
    • Instrucciones para autores        
    • Envío de artículos
    • Políticas
    • Nombre y afiliación del Comité Editorial
  • Nosotros
    • Plan de gestión e intercambio de datos
    • Objetivos declarados y alcance
  • medigraphic.com
    • Inicio
    • Índice de revistas            
    • Registro / Acceso
  • Mi perfil

2022, Número 3

<< Anterior Siguiente >>

Acta Med 2022; 20 (3)


Utilidad de la resonancia magnética en la estadificación del cáncer de recto

Mina Romero, Elizabeth1; Alvarez Domínguez, Sergio1; Díaz Sánchez, Mario de Jesús1; Ixtlapale Carmona, Xicohtencatl1; Gómez Pérez, María de Guadalupe2
Texto completo Cómo citar este artículo 10.35366/105734

DOI

DOI: 10.35366/105734
URL: https://dx.doi.org/10.35366/105734
Artículos similares

Idioma: Español
Referencias bibliográficas: 2
Paginas: 275-277
Archivo PDF: 226.92 Kb.


PALABRAS CLAVE

Cáncer de recto, resonancia magnética, estadificación American Joint Committee on Cancer.

RESUMEN

Introducción: Actualmente, la resonancia magnética rectal tiene un papel clave en la evaluación previa y posterior al tratamiento del cáncer de recto, ya que ayuda al equipo multidisciplinario en el manejo de esta patología. El beneficio que se obtiene con la resonancia magnética rectal es la caracterización de las principales estructuras anatómicas y su relación con el tumor. Caso clínico: Paciente masculino de 64 años de edad, con cambios en los hábitos intestinales que acude para valoración de recto mediante resonancia magnética, donde se detecta tumor en recto medio T4aN1b. Conclusión: La resonancia magnética rectal es una pieza clave en la estadificación local de los pacientes con cáncer de recto, ya que identifica factores de riesgo para adaptar el tratamiento y mejorar el pronóstico.



INTRODUCCIóN

El cáncer de recto es el tercer tipo de cáncer más frecuente a nivel de México, causando 7,755 defunciones en 2020, según los datos de la Organización Mundial de la Salud (OMS).1 El pronóstico del cáncer de recto está directamente relacionado con la infiltración del tumor en el mesorrecto y la capacidad de lograr quirúrgicamente márgenes de resección circunferenciales negativos. Actualmente, la resonancia magnética rectal es la modalidad de imagen preferida para la estadificación local del cáncer de recto, ya que ayuda al radiólogo a describir la ubicación y la morfología del tumor, proporcionar sus categorías T y N, detectar la presencia de invasión vascular extramural, e identificar su relación con las estructuras circundantes, incluido el complejo de esfínteres y afectación de la fascia mesorrectal, además de la reestadificación después de la quimiorradioterapia neoadyuvante, es decir, la respuesta al tratamiento.2



PRESENTACIóN DEL CASO

Paciente masculino de 64 años de edad, sin antecedentes personales de importancia, que hace aproximadamente seis meses presenta cambios en los hábitos intestinales con periodos de estreñimiento y diarrea que se acompañan de heces acintadas y rectorragia, por lo que acude a médico tratante quien envía resonancia magnética para valoración de recto.



DISCUSIóN

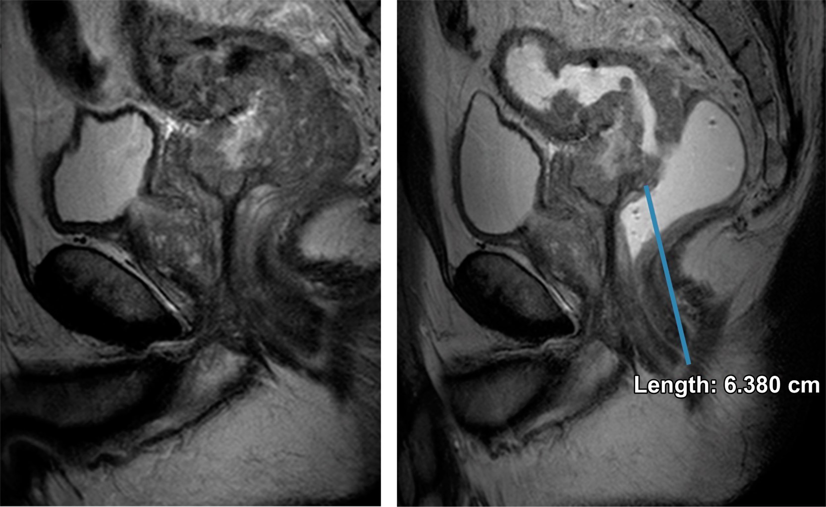
En el caso expuesto se realizó un protocolo de resonancia magnética con secuencias de T2, difusión, ADC y administración de gadolinio en planos axial, sagital y coronal con y sin la aplicación de gel endorrectal, obervándose los hallazgos descritos en las Figuras 1, 2 y 3; características que se valoran con exactitud y gran detalle anatómico, requerimientos indispensables para una correcta estadificación.

Se catalogó esta lesión como T4aN1b.



CONCLUSIóN

La resonancia magnética rectal es una pieza clave en la estadificación local de los pacientes con cáncer de recto antes y después del tratamiento, proporciona información anatómica dellatada que permite identificar factores de riesgo para el manejo integral por el equipo multidisciplinario.


REFERENCIAS (EN ESTE ARTÍCULO)

  1. International Agency for Research on Cancer. Cancer today. WHO. 2020. Available in: http://gco.iarc.fr/today/home

  2. Horvat N, Carlos Tavares Rocha C, Clemente Oliveira B, Petkovska I, Gollub MJ. MRI of rectal cancer: tumor staging, imaging techniques, and management. radiographics. 2019; 39 (2): 367-387.



AFILIACIONES

1 Médico residente del Curso de Alta Especialidad de Resonancia Magnética de la Facultad Mexicana de Medicina de la Universidad La Salle. Ciudad de México, México. Hospital Angeles Pedregal. Ciudad de México, México.

2 Titular del Curso de Alta Especialidad de Resonancia Magnética. Hospital Angeles Pedregal. Ciudad de México, México.



CORRESPONDENCIA

Dra. Elizabeth Mina Romero. Correo electrónico: elizabethmr_14@hotmail.com




Aceptado: 30-09-2021.

Figura 1
Figura 2
Figura 3

2020     |     www.medigraphic.com

Mi perfil

C?MO CITAR (Vancouver)

Acta Med. 2022;20

ARTíCULOS SIMILARES

CARGANDO ...