medigraphic.com
ENGLISH

Medicina Crítica

  • Mostrar índice
  • Números disponibles
  • Información
    • Información general        
    • Directorio
  • Publicar
    • Instrucciones para autores        
  • Políticas
  • Lineamientos
  • medigraphic.com
    • Inicio
    • Índice de revistas            
    • Registro / Acceso
  • Mi perfil

2022, Número 4

<< Anterior

Med Crit 2022; 36 (4)


Coccidioidomicosis en paciente con COVID-19. Reporte de caso en la Unidad de Terapia Intensiva

Armenta Sánchez, Kenia1; Pacheco Ambriz, Daniel1
Texto completo Cómo citar este artículo 10.35366/105797

DOI

DOI: 10.35366/105797
URL: https://dx.doi.org/10.35366/105797
Artículos similares

Idioma: Español
Referencias bibliográficas: 9
Paginas: 249-253
Archivo PDF: 263.66 Kb.


PALABRAS CLAVE

Coccidioidomicosis, COVID-19, endémico, coinfección.

RESUMEN

Introducción: Coccidioidomicosis y COVID-19 están catalogadas como patologías pulmonares primarias. Ambas presentan un cuadro inicial inespecífico; sin embargo, en fases avanzadas pueden requerir hospitalización, apoyo ventilatorio e ingreso a la unidad de terapia intensiva, manifestándose con un síndrome de insuficiencia respiratoria aguda severo. Caso clínico: Se describe el caso de una paciente, quien es ingresada a la unidad de terapia intensiva por presentar SIRA severo debido a COVID-19; sin embargo, muestra una evolución tórpida, por lo que se continúa su abordaje diagnóstico; se detectó coccidioidomicosis como enfermedad coexistente. Éste es el primer caso de coinfección COVID-19 coccidioidomicosis reportado en México en una revista de medicina crítica. Conclusión: El diagnóstico de coccidioidomicosis es aún más complejo debido a que puede pasar desapercibido, perdiéndose la oportunidad diagnóstica temprana, lo que está relacionado con una mala evolución posterior como sucedió en nuestro caso.



ABREVIATURAS:

  • C. immitis = Coccidioides immitis.
  • C. posadasii = Coccidioides posadasii.
  • UTI = Unidad de Terapia Intensiva.
  • SIRA = Síndrome de insuficiencia respiratoria aguda.
  • UCI = Unidad de Cuidados Intensivos.
  • TAC = Tomografía axial computarizada.
  • SARS-CoV-2 = Síndrome de insuficiencia respiratoria aguda coronavirus 2, por sus siglas en inglés.



INTRODUCCIóN

La fiebre del valle o coccidioidomicosis fue descubierta en Argentina en el siglo XIX por el Dr. Alejandro Posadas, quien inicialmente pensó que el agente causal era un protozoo que ocasionaba una enfermedad grave (de ahí le etimología de Coccidioides immitis: protozoo de Coccidia e immitis "no leve"), posteriormente se identificó como un hongo dismórfico, siendo la mayoría de las enfermedades asintomáticas o leves. Este hongo es endémico, los suelos áridos y semiáridos del suroeste de Estados Unidos, México, Centroamérica y Sudamérica son su reservorio natural.1,2

El ciclo de vida inusual se define por la gran estructura patógena llamada esférula, la cual se desarrolla a partir de una artroconidia inhalada, que es el propágulo asexual que se desarrolla en el medio ambiente. Esta etapa de la vida ambiental consiste en micelios anodinos que maduran en artroconidios alternos a medida que el hongo crece y envejece. Siendo parte de los hongos ascomicetos, son saprófitos en el medio que tiene una asociación con las plantas; no obstante, Coccidioides spp. ha desarrollado la capacidad de infectar mamíferos inmunocompetentes, incluidos los seres humanos. Se ha demostrado que ciertas poblaciones de pacientes tienen mayor riesgo de enfermedad grave, los afroamericanos y filipinos son las poblaciones más comunes así como mujeres embarazadas y personas con afecciones inmunodeprimidas, grupos que están bien documentados con mayor riesgo de diseminación, además la exposición ocupacional como trabajar en la construcción, trabajos agrícolas, limar al aire libre y excavaciones arqueológicas se han asociado con grandes brotes entre trabajadores.2

Es inevitable que COVID-19 y coccidioidomicosis coexistan en pacientes individuales, lo más probable es que una persona que contrae Coccidioides pulmonar posteriormente desarrolle SARS-CoV-2. Es de destacar que los síntomas de ambas enfermedades son extraordinariamente similares e incluyen fiebre, tos, disnea, mialgia y cefalea, estos síntomas logran superponerse. Asimismo, COVID-19 puede complicar al paciente con enfermedad diseminada prolongada o infección primaria con cambios inflamatorios persistentes. La COVID-19 en su mayoría suele tener una progresión más aguda y la coccidioidomicosis tiene una progresión más gradual de presentación.2,3

En este trabajo se presenta un reporte de caso de una paciente, quien es ingresada a la unidad de terapia intensiva con diagnóstico de COVID-19, iniciando posteriormente con infección por C. immitis con evolución tórpida durante su estancia intrahospitalaria, siendo el primer caso reportado en México por una revista de medina crítica.



REPORTE DE CASO

Paciente del sexo femenino de 39 años, originaria de Chiapas, reside en Tijuana desde 2017, antecedentes de importancia: cáncer cervicouterino en remisión desde 2020.

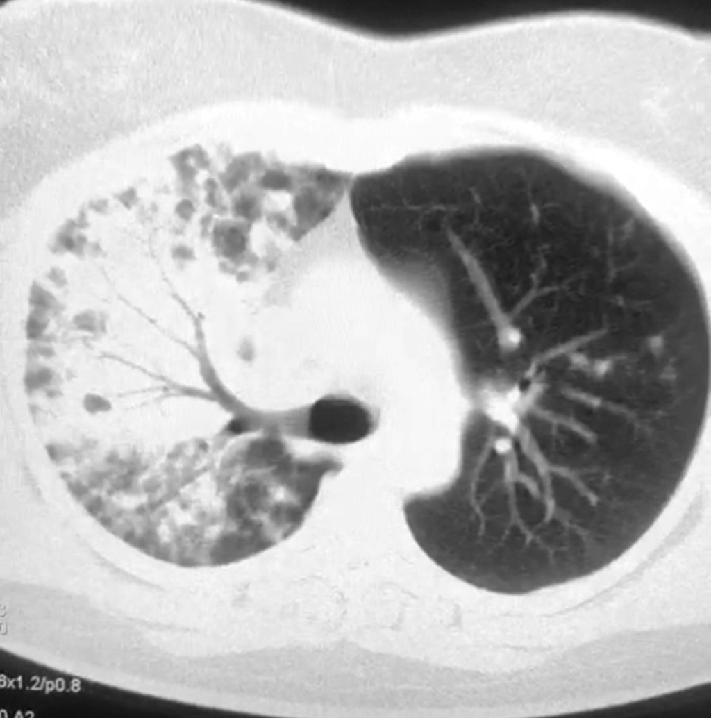
Inicia padecimiento en mayo de 2021 con rinorrea, astenia, adinamia, anosmia, disgeusia, tos, fiebre de 38 oC, dolor intermitente en hemitórax derecho de tipo pleurítico, disnea de medianos esfuerzos, motivo por el cual acude a médico particular, quien ante la sospecha solicita prueba de antígenos para COVID-19, la cual resulta positiva. Inicia tratamiento a base de esteroide y analgésico. Refiere discreta mejoría en las siguientes dos semanas; sin embargo, de manera súbita inicia con disnea de pequeños esfuerzos, por lo que acude al Servicio de Urgencias del Hospital General Tijuana, donde inicia con oxígeno suplementario con puntas nasales. En su abordaje se solicita radiografía de tórax, obteniendo parénquima con lesión radiopaca en región supradiafragmática externa derecha e hiliar externo derecho e izquierdo (Figura 1). Se realiza TAC de tórax, notándose lesión parahiliar derecha y broncograma aéreo de predominio apical e imagen en vidrio despulido en hemitórax izquierdo con un CO-RADS 3 (Figura 2). Además, se solicita hemograma en el cual se encuentran leucocitos de 28,420 a expensas de neutrófilos de 82.86%, iniciándose antibioticoterapia con levofloxacino.

Pasa al servicio de medicina interna para continuar con su manejo, donde es valorada por neumología, quien realiza ultrasonido pulmonar con sonda Butterfly iQ+, encontrando imagen hiperecogénica sugestiva de broncograma aéreo, signo de límite irregular, además de signo de consolidación (tissue-like-sing), no se observa derrame pleural, éste sugiere posibilidad de coinfección con COVID-19.

Continúa con evolución incierta, requiriendo apoyo de ventilación mecánica asistida con parámetros ventilatorios altos, se solicita interconsulta a unidad de cuidados intensivos, donde es valorada y aceptada. A su ingreso se realiza cambio de posición supina a pronación sin lograr la mejoría esperada, necesita aumento de parámetros, se encuentra con PEEP 12 mmHg, FiO2 100%, presión inspiratoria 25 PIMax, presión pico 37 mmHg, manteniendo saturaciones por encima de 88% y una PaFi 55 mmHg, se agregan fiebre de difícil control, leucocitos 32,520 103/µl con neutrofilia, por lo que se solicita cultivo de secreción bronquial, en el que se desarrolla Pseudomona aeruginosa, escalándose a antibioticoterapia con meropenem con recuperación lenta.

No obstante, a pesar de los ajustes de antibioticoterapia con base en cultivos, continúa con elevación leucocitaria, siendo en esta ocasión a expensas de eosinófilos, fundamento por el cual se solicita interconsulta al servicio de infectología, quienes en su valoración explican alta posibilidad de coinfección por hongo oportunista pensando en Aspergillus, justificando el inicio de manera empírica con voriconazol, al mismo tiempo se recaba un nuevo cultivo de secreción bronquial en el cual crece C. immitis, confirmando enfermedad de coccidioidomicosis; se hace cambio de voriconazol a anfotericina B, la cual se usa en pacientes con enfermedad severa.

Se realiza broncoscopia donde se observan secreciones mucopurulentas moderadas y cambios inflamatorios crónicos en todo el árbol bronquial. Posteriormente muestra mejoría transitoria, disminución de parámetros ventilatorios PEEP 10 mmHg, FiO2 80%, presión pico 22 mmHg, presión inspiratoria 30 PIMáx, PaFi 135 mmHg, se logra control de hipertermia y disminuye paulatinamente la cuenta leucocitaria, así como de eosinófilos. Evoluciona de manera tórpida, con datos de choque séptico refractario, incremento de apoyo ventilatorio, sin respuesta a hipoxemia, presentando desenlace fatal.



DISCUSIóN

La coccidioidomicosis es una infección por hongos que resulta de la inhalación de esporas de la especie Coccidioides, es endémica del suroeste de Estados Unidos y el norte de México. El informe anual del Departamento de Salud Pública de California para 2018 demuestra un aumento significativo en los casos de coccidioidomicosis desde 2015, aún sin encontrar una razón clara de este aumento. Se describe que COVID-19 y coccidioidomicosis tienen factores de riesgo asociados, la exposición ocupacional como la agricultura presentan 53% de incidencia, y en prisiones o centros de detención donde hay una población encarcelada tiene 19%. Detectar a tiempo, incluir factores de riesgo de severidad de la enfermedad, seguimiento continuo, monitoreo de síntomas, anticuerpos y terapia física son acciones cruciales para mitigar el riesgo de una enfermedad severa.2-4

A nivel nacional no se cuenta con registros significativos de la enfermedad, por lo que a pesar de ser una enfermedad endémica en Tijuana, aún está infradiagnosticada. En este caso clínico se presenta una paciente que ingresa con diagnóstico de COVID-19, con antecedentes de cáncer cervicouterino, quimioterapia, esteroide con base de tratamiento para paciente con SARS-CoV-2, es decir, paciente con inmunosupresión con alto riesgo de presentar enfermedad grave por coccidioidomicosis. Lo más probable es que una persona que contrae coccidioidomicosis pulmonar posteriormente desarrolle COVID-19; cabe destacar que ambas patologías tienen sintomatología similar y pueden superponerse.2

Existen formas de diferenciarse entre ellas mediante laboratorios, ya que la coccidioidomicosis presenta un recuento absoluto de eosinófilos > 350/μL y los pacientes con SARS-CoV-2 comúnmente evidencian linfopenia y trombocitopenia, elevación de transaminasas y aumento considerable de ferritina. En este caso la paciente desde su inicio presentó elevación leucocitaria principalmente por neutrofilia, y un recuento absoluto de eosinófilos, como se muestra en la Figura 3. Considerando que presentó desarrollo de diferentes patógenos durante su estancia y antibioticoterapia múltiple, no mostró una disminución significativa, sino hasta el inicio de anfotericina B. También mostró elevación de eosinófilos, velocidad de la sedimentación globular y proteína C reactiva, esta última con un aumento muy por encima del límite desde el inicio de la enfermedad, representativo de cambios inflamatorios persistentes asociados con enfermedad diseminada prolongada o enfermedad primaria (Figura 4).5,6

Su diagnóstico puede ser un desafío, puesto que comparte clínica similar a patologías como tuberculosis, la cual se diferencia hasta aislar el bacilo por M. tuberculosis. En el diagnóstico micológico de preferencia se deben tomar muestras de esputo, líquido pleural o realizar un lavado broncoalveolar, en las formas diseminadas se deberá tomar materia según su localización. Otra forma es por hemocultivos por lisis-centrifugación, que también son de utilidad, pero no se realizan sistemáticamente; en cuanto a los cultivos habituales tanto a 28 oC como a 37 oC. El diagnóstico recomendado para pacientes diagnosticados con coccidioidomicosis es la observación. Coccidioides se desarrolla relativamente rápido, de tres a cinco días, como un micelio filamentoso blanquecino grisáceo que microscópicamente presenta hifas divididas en artroconideos, típicamente se diagnostica por medio histopatológico; sin embargo, es tardado, por lo que actualmente se está utilizando reacción rápida en cadena de polimerasa en tiempo real, la cual ya se validó para C. immitis. Ésta se basa en serología o biopsia de tejido con cultivo. Aunque el diagnóstico de coccidioidomicosis que se presenta con nódulos pulmonares puede ser difícil, es necesario excluir malignidad. Jarozsewski y colaboradores describen varios casos de coccidioidomicosis en los que la punción aspirativa con aguja fina (PAAF) no fue diagnóstica y la tomografía por emisión de positrones (PET) fue sugestiva de malignidad; sin embargo, si la PAAF y PET no son diagnósticas, se opta por biopsia quirúrgica, siendo ésta una causa de riesgo de infección diseminada o hemorragia en el paciente.7,8

Considerando que tenemos múltiples estudios para realizar un diagnóstico en el menor tiempo posible, en nuestra institución sólo se contaba con cultivo, por lo que se tomó muestra de tejido pulmonar; no obstante, por fallecimiento de la paciente no se concluyó.

Otra de las situaciones relevantes es que la coccidioidomicosis puede ser reactivada en caso de que el paciente curse con una infección latente, siendo estas enfermedades consideradas graves y difíciles de tratar, ya que por lo general requieren una terapia antimicótica prolongada.8

En este caso se consideró una coinfección por coccidioidomicosis y SARS-CoV-2, ocasionando una enfermedad aguda grave diseminada.

Esta enfermedad en los seres humanos presenta un periodo de incubación de siete a 21 días, ambas especies causan enfermedad subclínica, incluso afecciones pulmonares y extrapulmonares potencialmente mortales. Las recomendaciones de tratamiento dependen de la gravedad clínica, éste puede variar de tres a 12 meses o hasta de por vida. Las infecciones más mortales incluyen meningitis o diseminación a sistema nervioso central, éstos son los casos específicos que requieren tratamiento de por vida.9



CONCLUSIóN

Debido a que la COVID-19 puede mimetizarse con coccidioidomicosis, es importante tomar en cuenta el entorno e individualizar al paciente; con base en antecedentes, datos clínicos, enfermedades endémicas de nuestras zonas y teniendo siempre en mente la sospecha de esta enfermedad se logra un abordaje precoz en estos pacientes. Contar con pruebas serológicas o reacción en cadena rápida de polimerasa en tiempo real para el diagnóstico de Coccidioides optimizaría el resultado y se tendría sustento y base para iniciar tratamiento temprano, ya que como sabemos presenta una alta morbimortalidad y con esto conseguiríamos disminuirla.

El diagnóstico de coccidioidomicosis es aún más complejo debido a que puede pasar desapercibido, perdiéndose la oportunidad diagnóstica temprana, lo que se relaciona con una mala evolución posterior como sucedió en nuestro caso. Éste es éste el primer caso reportado de coinfección COVID-19 coccidioidomicosis en México en una revista de medicina crítica.


REFERENCIAS (EN ESTE ARTÍCULO)

  1. Kollath DR, Miller KJ, Barker BM. The mysterious desert dwellers: Coccidioides immitis and Coccidioides posadasii, causative fungal agents of coccidioidomycosis. Virulence. 2019;10(1):222-233. doi: 10.1080/21505594.2019.1589363.

  2. Shah AS, Heidari A, Civelli VF, Sharma R, Clark CS, Munoz AD, et al. The coincidence of 2 epidemics, coccidioidomycosis and SARS-CoV-2: a case report. J Investig Med High Impact Case Rep. 2020;8:2324709620930540.

  3. Heaney AK, Head JR, Broen K, Click K, Taylor J, Balmes JR, et al. Coccidioidomycosis and COVID-19 co-infection, United States, 2020. Emerg Infect Dis. 2021;27(5):1266-1273. Available in: http://dx.doi.org/10.3201/eid2105.204661

  4. Chang CC, Senining R, Kim J, Goyal R. An acute pulmonary coccidioidomycosis coinfection in a patient presenting with multifocal pneumonia with COVID-19. J Investig Med High Impact Case Rep. 2020;8:2324709620972244.

  5. Adams M, Lainhart W. A review of diagnostics for coccidiomycosis. Clin Microbiol Newsl. 2021;43(16):135-141.

  6. Krauth DS, Jamros CM, Rivard SC, Olson NH, Maves RC. Accelerated progression of disseminated coccidioidomycosis following SARS-CoV-2 infection: a case report. Mil Med [Internet]. 2021;186(11-12):1254-1256. Available in: http://dx.doi.org/10.1093/milmed/usab132

  7. Adam RD, Elliott SP, Taljanovic MS. The spectrum and presentation of disseminated coccidioidomycosis. Am J Med. 2009;122(8):770-777.

  8. Voronina A, Prudenti J, Castaneda C, Tong J, Gumpeni R. A cryptic case of coccidioidomycosis masquerading as lung cancer. In: C54. Endemic and unusual fungal infection cases. Am J Respir Crit Care Med. 2020;201:A5480.

  9. Porte L, Valdivieso F, Wilmes D, Gaete P, Díaz MC, Thompson L, et al. Laboratory exposure to Coccidioides: lessons learnt in a non-endemic country. J Hosp Infect. 2019;102(4):461-464.



AFILIACIONES

1 Hospital General de Tijuana. Baja California Norte, México.



CORRESPONDENCIA

Dr. Daniel Pacheco Ambriz. E-mail: tio76@hotmail.com




Recibido: 19/06/2021. Aceptado: 11/01/2022.







Figura 1
Figura 2
Figura 3
Figura 4

2020     |     www.medigraphic.com

Mi perfil

C?MO CITAR (Vancouver)

Med Crit. 2022;36

ARTíCULOS SIMILARES

CARGANDO ...