medigraphic.com
ENGLISH

Revista ADM Órgano Oficial de la Asociación Dental Mexicana

ISSN 0001-0944 (Impreso)
Órgano Oficial de la Asociación Dental Mexicana
  • Mostrar índice
  • Números disponibles
  • Información
    • Información general        
    • Directorio
  • Publicar
    • Instrucciones para autores        
    • Envío de artículos
  • medigraphic.com
    • Inicio
    • Índice de revistas            
    • Registro / Acceso
  • Mi perfil

2022, Número 3

<< Anterior Siguiente >>

Rev ADM 2022; 79 (3)


Incidencia de fracturas dentales verticales reportadas en la Ciudad de Chihuahua y su relación con la evolución de la pandemia por COVID-19.

Espinosa Torres, Alfonso1
Texto completo Cómo citar este artículo 10.35366/105826

DOI

DOI: 10.35366/105826
URL: https://dx.doi.org/10.35366/105826
Artículos similares

Idioma: Español
Referencias bibliográficas: 30
Paginas: 136-145
Archivo PDF: 382.25 Kb.


PALABRAS CLAVE

COVID-19, fracturas dentales verticales, pandemia.

RESUMEN

Durante la pandemia por COVID-19, la presencia de un incremento de fracturas y/o fisuras verticales ha sido reportada por Cirujanos Dentistas en diferentes países y foros, Objetivo: Determinar por medio de un análisis si existe una relación con este aumento de casos y la evolución de la pandemia. Material y método: Se recopilaron los casos de fracturas verticales no restaurables durante el periodo de mayor índice de casos de contagio y defunciones por COVID-19 en la Ciudad de Chihuahua, México. Resultados: Durante el primer pico de casos y defunciones causadas por la pandemia, se incrementó el número de casos de fracturas verticales no tratables. Conclusiones: Existió una relación entre la evolución de la pandemia con la aparición de casos de fracturas dentales verticales no restaurables.



INTRODUCCIóN

Una de las primeras acciones tomadas por las autoridades sanitarias con la aparición de la pandemia por COVID-19 (causado por virus SARS-CoV-2) fue establecer una limitación temporal de la atención odontológica, permitiendo llevarse a cabo sólo en pacientes cuyo motivo de consulta se consideraba tratamiento de emergencia, siempre y cuando no tuvieran síntomas respiratorios y su temperatura corporal se encontrara dentro de rangos normales.1

La demanda de tratamiento dental urgente disminuyó en 38% durante el brote COVID-19. Pese a ello, se encontró que aún durante los diferentes periodos de pandemia sigue existiendo necesidad de atención odontológica.2

Las fracturas dentales son un motivo de atención de urgencia dental por el dolor que provocan en el paciente.2 A las fracturas radiculares verticales (FRV) se asocian múltiples factores como endopostes, restauraciones intracoronales, condensación lateral de gutapercha, resorciones radiculares, contactos oclusales prematuros, bruxismo, bricomanía,3 traumatismos,4 iatrogenias5-7 y amelogénesis imperfecta.8

La fractura radicular vertical (FRV) es una lesión que se extiende longitudinalmente a lo largo de la raíz dental, comunicando conducto con periodonto. Esta fractura puede ser completa o incompleta y afectar esmalte, dentina, cemento y pulpa.9

Se ha reportado que la incidencia de FRV es mayor en premolares superiores con tratamiento previo de endodoncia 48.68% y aumenta en dientes restaurados con postes endodóncicos, probablemente debido a dos hipótesis: el diámetro mesiodistal más pequeño propicia la concentración de tensión en la raíz y la falta de una unión efectiva entre la raíz y poste que aumenta el riesgo de FRV, por lo que se recomienda estar alerta cuando pacientes refieren dolor ligero a masticación y cumplen con las características mencionadas.9-11

Por otra parte, la incidencia de FRV se ha reportado en premolares hasta en 82% y en molares hasta 53% y típicamente en direcciones opuestas (no lineales).12

También se considera que las fracturas dentarias constituyen las lesiones de origen traumático más comunes en la dentición permanente.13,14 Se ha establecido una prevalencia que varía de 26 a 76% de las lesiones dentales.15

Las fracturas dentarias se clasifican de acuerdo con Andreasen en infracciones del esmalte, fracturas no complicadas (esmalte o esmalte-dentina) y en fracturas complicadas que afectan esmalte, dentina y pulpa.15 Su prevalencia es alta, siendo los incisivos centrales superiores los dientes más afectados en la arcada. Etiológicamente, se producen al golpear los dientes anteriores de forma directa con objetos duros a alta velocidad.14

La clasificación de las fracturas coronarias se define de la siguiente forma:

  • 1. Fracturas no complicadas de la corona.

    • a. Infracción de esmalte: cuando se produce una fractura incompleta del esmalte (grieta o fisura), sin pérdida de sustancia dental.
    • b. Fractura de esmalte: cuando se produce una fractura con pérdida de sustancia dental, pero localizada en el esmalte.
    • c. Fractura esmalte-dentina: cuando se produce una fractura con pérdida de sustancia dental que abarca al esmalte y a la dentina, pero sin compromiso pulpar.

  • 2. Fracturas complicadas de la corona.

    • a. Fractura esmalte-dentina con compromiso pulpar afectan al esmalte, la dentina y además hay una exposición del tejido pulpar al medio bucal. Se evidencia por lo general un punto de hemorragia que corresponde a la pulpa expuesta, seguida de una respuesta inflamatoria superficial a causa de su contacto con productos de degradación y bacterias.
    • b. Posteriormente se produce coagulación y en días sucesivos pueden aparecer cambios degenerativos (abscesos o necrosis) o proliferativos (hiperplasia pulpar).14-18
    • c. Se considera que las fracturas coronales suelen producirse en los incisivos maxilares con una prevalencia de 96% con respecto al resto de los dientes. Dentro de este grupo, los incisivos centrales se ven afectados en aproximadamente 80% de los casos con respecto a los incisivos laterales.13

De acuerdo con lo descrito en la literatura, el género masculino es el más afectado en una proporción 3:1 con respecto al femenino y las edades más susceptibles oscilan entre los siete y 20 años.17

La Asociación Americana de Endodoncia (AAE) ha identificado y clasificado en cinco tipos las fracturas dentarias.19

  • 1. Líneas de fisura: también pueden denominarse grietas simples del esmalte. Son frecuentes en dientes de adultos, tanto en anteriores como en posteriores. Sólo afectan el esmalte (comúnmente el rodete marginal), no provocan dolor, pueden ser múltiples y alterar la estética. La transiluminación es positiva, dejan pasar la luz y normalmente no requieren tratamiento. Se considera que es posible la penetración de bacterias procedentes de la cavidad bucal, por lo que es mejor sellarlas. Tiene buen pronóstico (Figura 1).
  • 2. Cúspide fracturada: es la lesión cuspídea producida por una grieta que llega a fracturarla, normalmente afecta una cúspide de premolar o molar. La lesión abarca el esmalte y la dentina y los síntomas se derivan de la extensión y profundidad de la lesión. Puede haber dolor a la masticación y al frío. La falta de soporte cuspídeo puede ser total o no. Tiene buen pronóstico y el tratamiento involucra la remoción del fragmento fracturado y la restauración con protección cuspídea (Figura 2).
  • 3. Diente fisurado: es el diente al cual se le ha producido una grieta que se puede extender desde la corona dentaria hasta la raíz, sin separación de fragmentos. La frecuencia es superior en los molares mandibulares o los premolares maxilares y no se produce en dientes anteriores. En general la fisura se dispone en sentido mesiodistal. Si profundiza en un diente vital, da síntomas de pulpitis irreversible. Si el diente no era vital o estaba tratado endodónticamente, los síntomas son periapicales. El tratamiento varía según la localización y extensión de la grieta. El tratamiento de conductos radiculares dependerá del diagnóstico pulpar y periapical. El diente requiere protección cuspídea. La prevención consiste en la eliminación de hábitos nocivos y la protección del remanente dentario coronario. Si la fisura involucra el piso cameral, el acceso endodóntico ha de ser cuidadoso y ensombrece el pronóstico (Figura 3).
  • 4. Diente partido: es una lesión que comporta la separación de fragmentos debido a la extensión de la grieta hacia apical. Involucra tejido coronario y radicular (Figura 4).
  • El dolor a la masticación es notable, ya que produce periodontitis y absceso periodontal. Si la separación de fragmentos es obvia, el tratamiento y el pronóstico dependerán de la zona de fractura.
  • 5. Fractura radicular vertical: involucra sólo a la raíz. La corona dentaria impide observar desde la boca la lesión, es de diagnóstico muy complejo, ya que a veces sólo presenta síntomas periapicales sin que la lesión se observe radiográficamente hasta que se produce el estallido radicular. La causa más frecuente de fractura radicular vertical es el poste inadecuado en forma o tamaño, la remoción excesiva de tejido dentinario radicular y a veces la tendencia en algunos molares por su forma anatómica, sobre todo en raíces anchas en sentido vestíbulo lingual. El tratamiento va desde la extracción del diente hasta el retiro de la raíz comprometida. La prevención contempla el uso de postes de fibra de vidrio, ser conservador con la remoción de dentina radicular o reducir las fuerzas de condensación durante la obturación (Figura 5).

Respecto a la amelogénesis imperfecta (AI), es una alteración que se presenta en el esmalte, básicamente en su estructura, en cuya formación intervienen tres proteínas básicas que son: enamelina, tuftelina y amelogenina. La tuftelina es la proteína más importante porque se encarga de iniciar el proceso de mineralización. Se describen tres tipos de AI: a) hipoplásico, b) hipomineralizado y c) hipomaduro. Las personas que sufren de esta patología presentan alteraciones en el color del diente, sensibilidad dentaria y van a ser más susceptibles a caries dental y a fracturas.20-22

Por su parte, el bruxismo (BX) se considera una parafunción oral-mandibular, caracterizada por la presencia de movimientos músculo-mandibulares repetitivos sin propósitos funcionales aparentes, principalmente apretamiento y/o rechinamiento dental con gran acción nociva para el sistema estomatognático, ya que puede causar pérdida extensa de tejido dental por atrición (bruxofacetas) o abfracción, fracturas dentales, hipersensibilidad dental, dolor en la musculatura orofacial, disfunción masticatoria y articulación temporomandibular, siempre y cuando la intensidad de las fuerzas que se ejerzan logren superar la capacidad adaptativa de los mismos.23,24

La etiopatogenia y fisiopatología exacta del BX es aún desconocida, por lo que en la actualidad se considera de naturaleza multifactorial, regulado principalmente por el sistema nervioso central (SNC) e influido por factores periféricos.23,24

Recientemente se determinó que los pacientes que presentan situaciones de ansiedad tienen más riesgo de sufrir un traumatismo dental.25 Para comprobarlo, se investigaron los niveles de catecolaminas urinarias en personas con historia previa de traumatismos dentales, determinándose que después de una experiencia traumática, se presentaban niveles significativamente altos de epinefrina, comparando esto con personas que no habían sufrido traumatismo.

Para confirmar la hipótesis, los mismos autores realizaron estudios prospectivos con los mismos pacientes durante dos años, confirmando que cerca de 46% volvían a tener una lesión, y que los niveles de catecolaminas urinarias se mantenían altos. Estos datos avalan que el estado emocional es un prominente factor de riesgo en las lesiones dentofaciales.26,27

El presente estudio tiene por objeto analizar la incidencia de fracturas verticales en órganos dentales sufridas por pacientes durante una etapa de la pandemia de COVID-19 en la población del estado de Chihuahua, no relacionadas con traumatismos externos o accidentes, y su relación con la evolución de la pandemia en el mismo periodo de tiempo.



MATERIAL Y MéTODOS

Para el presente estudio se convocó a los integrantes del Grupo de Egresados de Odontología de la Universidad Autónoma de Chihuahua, conformado por 200 miembros, a reportar los casos de fisuras o fracturas dentales en pacientes sintomáticos que ameritaran extracción del órgano dental afectado, en el periodo del 01 de julio de 2020 al 31 de marzo de 2021.

No se consideraron en este estudio las fracturas ocasionadas por traumatismos externos.

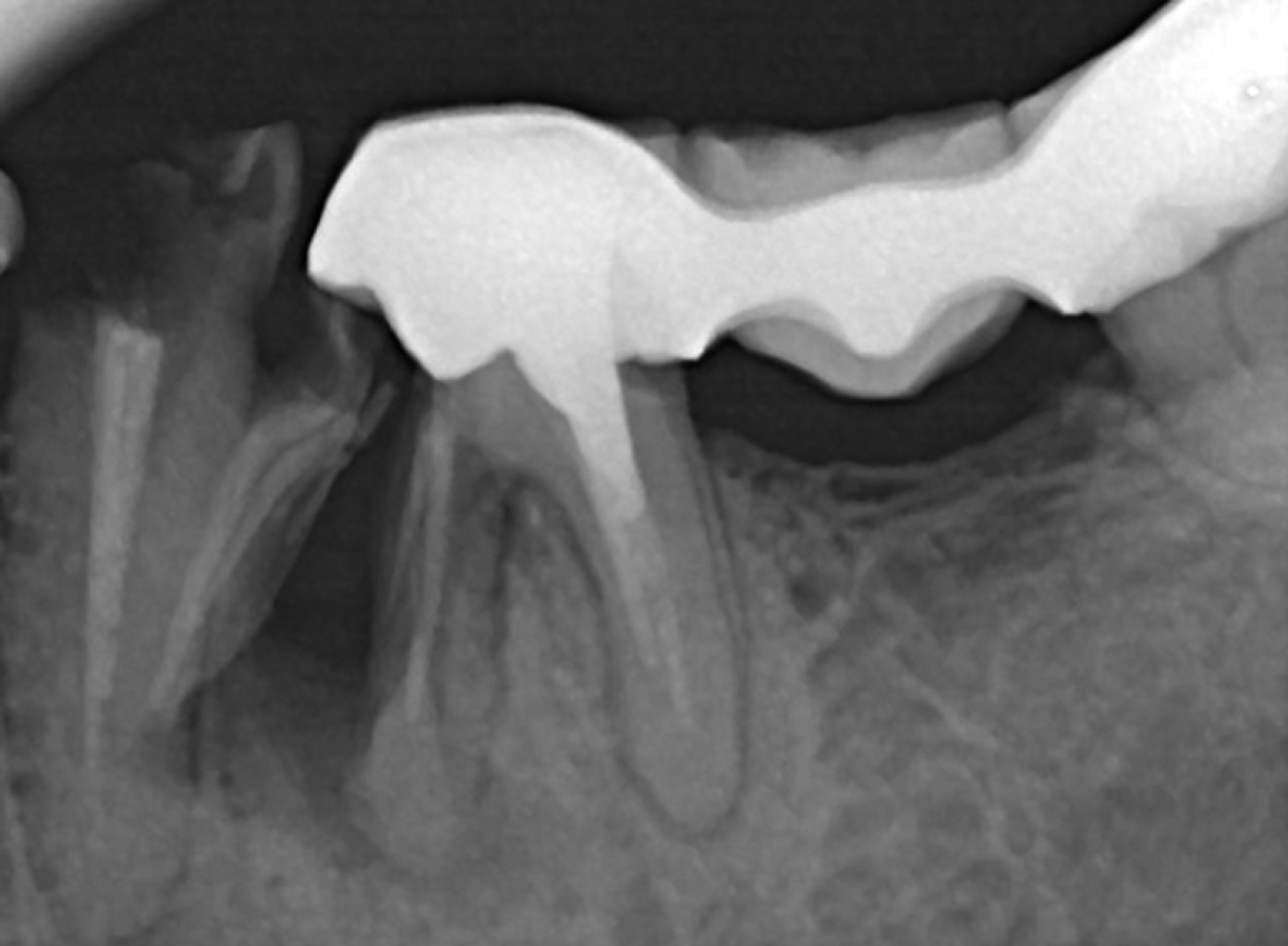
Se seleccionaron únicamente aquellos casos en los que se pudo obtener evidencia clínica, fotográfica y radiográfica de la presencia de por lo menos una fisura vertical o fractura dental que provocara síntomas y que ameritara la extracción del órgano dental por no ser tratable (Figuras 6, 7, 8, 9, 10, 11 y 12).

Se recolectaron en total 26 órganos dentales, los cuales fueron fotografiados con microscopio dental para comprobar la presencia de las fisuras y/o fracturas, en algunos casos se realizó una tinción con azul de metileno para mejorar la visión de las lesiones.

Se agruparon en una tabla por sexo, edad, diente afectado y fecha de presentación, además se estableció si se tenía o no un tratamiento endodóncico en órgano dental afectado y en caso de tener tratamiento endodóncico, se registró si se les había colocado endoposte; también se anotó si el órgano dental estaba restaurado y, de ser así, con qué material; se estableció la dirección de la fisura o fractura en los diferentes planos y, por último, se observó si el diente afectado tenía alguna lesión cariosa (Tabla 1).

Asimismo, se recopiló de fuentes oficiales la evolución de la pandemia respecto a número de contagios, fallecimientos y dosis de vacunas aplicadas en el mismo periodo de estudio.



RESULTADOS

La presente investigación mostró lo siguiente: 38.4% de los casos de fracturas correspondió a varones y 61.6% a mujeres, todos los casos se manifestaron en rangos de edad entre 40 y 60 años, 61.5% de los casos se presentaron en molares inferiores, 19.2% en molares superiores y 19.3% en premolares superiores (Figura 13).

Cuarenta y dos por ciento de los casos tenían tratamiento de endodoncia previo y sólo a uno de ellos le habían colocado un endoposte metálico colado. Cincuenta y ocho por ciento de los casos no tenían tratamiento de endodoncia (Figura 14).

Cincuenta y ocho por ciento de los dientes afectados contaba con algún tipo de restauración coronal, siendo la más frecuente la restauración con resina con 46%.

Sólo una pieza contaba con restauración de corona metal porcelana, ésta era la misma pieza que contaba también con un endoposte.

Por otro lado, 88.5% de los casos no presentaba lesiones por caries visibles al momento de ser extraídas. Se detectó también que seis de los órganos dentales no mostraban lesiones por caries ni tenían restauración alguna, es decir que se trataba de dientes completos y sanos, esto equivalía a 15.6% de los casos.

De los 11 dientes que tenían tratamiento endodóncico previo, cuatro no presentaban restauración coronal, seis contaban sólo con restauración con base de resina y el restante, como ya se mencionó, tenía una restauración de metal-porcelana.

La recolección de los casos se llevó a cabo en las siguientes fechas, se reportaron tres casos en noviembre de 2020, seis en diciembre de 2020, y en 2021 se registraron cuatro en enero, 11 en febrero y dos en marzo (Figura 15).

Respecto a la evolución de la pandemia, la información oficial de las autoridades de salud reporta lo siguiente; el primer caso de COVID-19 presentado en el estado de Chihuahua fue el 17 de marzo de 2020.28

A mediados de septiembre y hasta diciembre del mismo año, se presentó en el estado la primera curva de ascenso tanto de contagios como de defunciones.28

Durante el pico más alto de esta curva ascendente se registraron cerca de 6,000 contagios semanales, la población más afectada con cerca de 1,400 casos estuvo en el rango de edad de entre 30 a 39 años, seguida de los rangos de edad 40 a 49 y 18 a 29 con alrededor de 1,350 casos en cada rango. Las poblaciones de edades comprendidas entre 50 a 59 y 60 y más años tuvieron en promedio cerca de 900 casos cada una de ellas en el mismo periodo28 (Figura 16).

Respecto a las defunciones, en el periodo de octubre 2020 a enero 2021 se registró la curva de ascenso más alta de toda la pandemia, teniendo el pico más alto con cerca de 600 defunciones en la última semana de noviembre, la población más afectada fue en el rango de más de 60 años, con más de 320 defunciones en el pico de la curva, seguida del rango de entre 50 y 59 años con alrededor de 140 defunciones en la misma semana28 (Figura 17).

Durante este periodo de ascenso de contagios y defunciones no se contaba todavía con vacunación contra COVID-19, la vacunación inicio en el estado de Chihuahua hasta el 29 de marzo de 2021.29



DISCUSIóN

Respecto a las características de las fracturas reportadas en el presente estudio, podemos mencionar lo siguiente; la hipersensibilidad dental puede ser uno de los primeros síntomas que muestran los casos ante la presencia de una fisura de esmalte.27 En esta investigación, la mayoría de los casos que no tenían tratamiento endodóncico sólo manifestaron dolor al aparecer la fractura dental.

Diferentes estudios mencionan que los premolares superiores son los más susceptibles a las fracturas verticales.9-11 En este trabajo, a diferencia de lo anterior, fueron los molares inferiores los que se presentaron en mayor número.

En este estudio, la distribución por sexo no coincide con reportes similares,17 donde los hombres tienden a presentar con mayor frecuencia esta condición de fractura vertical.

Las muestras de este trabajo reportaron 61% de casos en sexo femenino y 39% en sexo masculino.

Diversos autores también mencionan que los dientes con tratamiento endodóncico y una mala restauración coronal tienden a sufrir de fracturas y esta condición se incrementa en dientes con endopostes con un mal diseño;9-11 nuestra publicación por el contrario detectó una mayor proporción de casos en piezas dentales sin tratamiento endodóncico, tanto así que 60% de las muestras no tenían tratamiento de endodoncia, más aún, 23% de las muestras ni siquiera tenían lesiones por caries o restauraciones previas.

Respecto a lo anterior, 57% de las muestras de este estudio tenía algún tipo de restauración coronal, siendo la más frecuente la restauración con resina tanto en piezas con tratamiento endodóncico previo y sin éste.

Dentro de este grupo de muestras con restauraciones coronales, 80% correspondía a restauraciones elaboradas con resina.

Con respecto a la relación de las fracturas mostradas en este estudio con la evolución de la pandemia por COVID-19 encontramos lo siguiente:

Aproximadamente dos meses después del inicio de las curvaturas de ascenso, tanto de contagios como de fallecimientos por COVID-19 en la Ciudad de Chihuahua, México, se comenzó a reportar el incremento de casos de fracturas verticales en piezas dentales,30 estas fracturas no fueron producidas por traumatismos externos, y ameritaron la extracción de la pieza afectada, este incremento de casos continuó su ascenso, generando su propia curvatura, misma que llegó a su punto máximo en el mes de febrero 2021, aproximadamente también dos meses después de que las curvaturas de contagios y decesos disminuían a cifras tan bajas como las presentadas en los meses de mayo a septiembre de 2020 (Figuras 18 y 19).

La población afectada por estas fracturas dentales fueron personas en rangos de edad de los 40 hasta 60 años, estos grupos etarios sumados corresponden al principal grupo afectado tanto de defunciones como de contagios por COVID-19.

El grupo de edad que presentó los casos de fracturas dentales verticales reportados en este estudio fue de entre 40 y 60 años de edad, en el caso de fallecimientos por COVID-19 este mismo grupo de edades integró 90% de los casos de defunciones registradas por las autoridades.

Durante el periodo de máximos contagios, defunciones y fracturas dentales, la población no contaba con ningún tipo de vacunación contra el COVID-19, los centros de trabajo estaban cerrados en su mayoría y muchas personas perdieron empleos o negocios, las autoridades también restringieron los movimientos no indispensables, así como las reuniones familiares y cualquier tipo de evento público.



CONCLUSIONES

La presencia de fracturas verticales sintomáticas que ameritaron la extracción de la pieza dental afectada conllevó incrementos concordantes con la evolución de la pandemia por COVID-19.

Cuando la población se vio más afectada por contagios y fallecimientos y se agregaron a estos los problemas en los ámbitos laborales, económicos y familiares, fue cuando se inició también un incremento llamativo en los casos que sufrían de fracturas verticales dentales no provocadas por traumatismos externos.

Al observar reportes previos a la pandemia de este tema y compararlos con este estudio, se encontraron modificaciones en la incidencia y características de las fracturas verticales sintomáticas que se presentaron en órganos dentales y que ameritaron ser extraídos por no ser restaurables.

Las modificaciones observadas están en el sentido de la edad y sexo de las personas afectadas, en la presencia o no de tratamientos endodóncicos y/o restauraciones coronales, y aunque en menor relevancia, y también se notó una ligera variación en el tipo de pieza dental afectada.

Podemos suponer que las modificaciones en el estilo de vida de la población, así como el temor a la enfermedad y sus consecuencias, son elementos que crearon factores emocionales alterados en la población que contribuyeron a la presencia de este fenómeno.


REFERENCIAS (EN ESTE ARTÍCULO)

  1. American Dental Association. ADA Interim Guidance or Management of Emergency and Urgent Dental Care. Available in: https://www.ada.org/~/media/CPS/Files/COVID/ADA_Int_ Guidance_Mgmt_Emerg-Urg_Dental_COVID19.pdf

  2. Guo H, Zhou Y, Liu X, Tan J. The impact of the COVID-19 epidemic on the utilization of emergency dental services. J Dent Sci. 2020; 15 (4): 564-567.

  3. Yeh CJ. Fatigue root fracture: a spontaneous root fracture in nonendodontically treated teeth. Br Dent J. 1997; 182: 261-266.

  4. Bender IB. Adult root fracture. J Am Dent Assoc. 1983; 107: 413-419.

  5. Lam PP, Palamara JE, Messer HH. Fracture strength of tooth roots following canal preparation by hand and rotary instrumentation. J Endod. 2005; 31: 529-532.

  6. Sathorn C, Palamara JE, Palamara D, Messer HH. Effect of root canal size and external root surface morphology on fracture susceptibility and pattern: a finite element analysis. J Endod. 2005; 31: 288-292.

  7. Cohen S, Berman LH, Blanco L, Bakland L, Kim JS. A demographic analysis of vertical root fractures. J Endod. 2006; 32 (12): 1160-1163.

  8. Sapir S, Shapira J. Clinical solutions for developmental defects of enamel and dentin in children. Pediatr Dent. 2007; 29 (4): 330-336.

  9. Pitts DL, Natkin E. Diagnosis and treatment of vertical root fractures. J Endod. 1983; 9: 338-346.

  10. Cohen S, Blanco L, Berman L. Vertical root fractures: clinical and radiographic diagnosis. J Am Dent Assoc. 2003; 134: 434-441.

  11. Huang HM, Ou KL, Wang WN, Chiu WT, Lin CT, Lee SY. Dynamic finite element analysis of the human maxillary incisor under impact loading in various directions. J Endod. 2005; 31: 723-727.

  12. Huang CC, Chang YC, Chuang MC, Lin HJ, Tsai YL, Chang SH et al. Analysis of the width of vertical root fracture in endodontically treated teeth by 2 micro-computed tomography systems. J Endod. 2014; 40: 698-702.

  13. Goenka, P; Marwah, N; Dutta S. Biological approach for management of anterior tooth trauma: triple case report. J Indian Soc Pedod Prev Dent. 2011; 29 (2): 180-186.

  14. García C, Mendoza A. Traumatología oral en odontopediatría. Diagnóstico y Tratamiento Integral. Madrid. Editorial: Ergon. 2003.

  15. Andreasen JO, Andreasen FM, Andersson L. Texto y atlas a color de lesiones traumáticas a las estructuras dentales. Cuarta Edición. Oxford, Editorial AMOLCA, 2010.

  16. Henostroza G. Adhesión en odontología restauradora. Editorial Ripano. Asociación Latinoamericana de Operatoria Dental y Biomateriales. 2ª. ed. Madrid. 2010.

  17. Stefanello A, González P, Prates R. Odontología restauradora y estética. Editorial Amolca. Brasil. 2005.

  18. Boj JR, Catalá M, García C, Mendoza A. Odontopediatría. Barcelona. Editorial: Masson. 2005.

  19. American Association of Endodontists. Cracking the cracked tooth code: Detection and Treatment of Various Longitudinal Tooth Fractures Endodontics: Colleagues for Excellence, 2008.

  20. Witkop CJ Jr. Amelogenesis imperfecta, dentinogenesis imperfecta and dentin dysplasia revisited: problems in classification. J Oral Pathol. 1988; 17 (9): 547-553.

  21. Martín-González J, Sánchez-Domínguez B, Tarilonte-Delgado M, Castellanos-Cosano L, Llamas-Carreras J, López-Frías F et al. Anomalías y displasias dentarias de origen genético-hereditario. Avances en Odontoestomatología. 2012; 28 (6): 287-301.

  22. Ceballos O DM, Espinal GE, Jones M. Anomalías en el desarrollo y formación dental: odontodisplasia. Int J Odontostomat. 2015; 9 (1): 129-136.

  23. De La Hoz-Aizpurua JL, Winocur E. Bruxismo del sueño: revisión actualizada de conceptos y utilidad de la toxina botulínica en su tratamiento. Rev Soc Esp Dolor. 2014; 21 (2): 4-13.

  24. Castellanos SJ. Bruxismo. Nociones y conceptos. Rev ADM. 2015; 72 (2): 63-69.

  25. Manfredini D, Restrepo C, Diaz-Serrano K, Winocur E, Lobbezoo F. Prevalence of sleep bruxism in children: a systematic review of the literature. J Oral Rehabil. 2013; 40 (8): 631-642.

  26. Lange M. The bruxism status examination protocol. Journal of Craniomandibular Function. 2017; 9 (1): 57-69.

  27. Alrusayes AA, Assal NA, Althobity AM, Alfraih YK, Alfraih MI et al. Dentin hypersensitivity: a review of its treatment. Annals of International Medical and Dental Research. 2021; 7 (3): 8-15.

  28. https://www.ssch.gob.mx/rendicionCuentas/archivos/CONTENIDO%2031.03.2022.pptx

  29. http://www.chihuahua.gob.mx

  30. Espinosa TA, Morales RJA. Incidencia de fracturas dentales reportadas en la Ciudad de Chihuahua durante la pandemia por COVID-19. Rev ADM. 2021; 78 (3): 135-141. Disponible: https://dx.doi.org/10.35366/100070



AFILIACIONES

1 Maestro en Estomatología. Profesor. AME (Asociación Mexicana de Endodoncia).



Conflicto de intereses: El autor manifiesta no tener conflicto de intereses.

Aspectos éticos: Ninguno.

Financiamiento: Ninguno.



CORRESPONDENCIA

Alfonso Espinosa Torres. E-mail: alfonso.endo@hotmail.com




Recibido: 13 de abril de 2022. Aceptado: 16 de mayo de 2022.

Figura 1
Figura 2
Figura 3
Figura 4
Figura 5
Figura 6
Figura 7
Figura 8
Figura 9
Figura 10
Figura 11
Figura 12
Figura 13
Figura 14
Figura 15
Figura 16
Figura 17
Figura 18
Figura 19
Tabla 1

2020     |     www.medigraphic.com

Mi perfil

C?MO CITAR (Vancouver)

Rev ADM. 2022;79

ARTíCULOS SIMILARES

CARGANDO ...