medigraphic.com
ENGLISH

Revista Odontológica Mexicana Órgano Oficial de la Facultad de Odontología UNAM

ISSN 1870-199X (Impreso)
Órgano oficial de la Facultad de Odontología, UNAM
  • Mostrar índice
  • Números disponibles
  • Información
    • Información general        
    • Directorio
  • Publicar
    • Instrucciones para autores        
  • medigraphic.com
    • Inicio
    • Índice de revistas            
    • Registro / Acceso
  • Mi perfil

2021, Número 3

<< Anterior Siguiente >>

Rev Odont Mex 2021; 25 (3)


Tumor de la infancia infrecuente y localmente agresivo: reporte de caso de fibroma ameloblástico

Félix Rojas, Francisco Javier1; Salazar Navarro, Luis Alonso1,2; Benítez Pascual, Julio1; Ríos Burgueño, Efrén Rafael3; Ochoa Viedas, Ricardo3; Urias Barreras, Cynthia Marina1,3
Texto completo Cómo citar este artículo Artículos similares

Idioma: Español/Inglés [English version]
Referencias bibliográficas: 14
Paginas: 264-271
Archivo PDF: 367.11 Kb.


PALABRAS CLAVE

Tumor odontogénico, fibroma ameloblástico, mandíbula, fibroodontoma.

RESUMEN

Introducción: El fibroma ameloblástico es un tumor odontogénico mixto, benigno e infrecuente; constituye 1.5-6.5% de los tumores odontogénicos. Se considera un tumor de la infancia, con ligera predilección por el género masculino y fuerte por la región posterior de la mandíbula. Su tratamiento más común, enucleación y curetaje es controversial, debido a la posibilidad de recurrencia y transformación maligna. Presentación del caso: Se reporta un caso de paciente femenino de 12 años, con aumento de volumen asintomático en mandíbula del lado izquierdo. Radiográficamente, se observó una zona radiolúcida multilocular, en cuerpo mandibular y rama ascendente, asociada a un segundo molar inferior impactado y desplazado. Se realizó enucleación y curetaje con colocación de aloinjerto. En el examen microscópico, se observó una proliferación neoplásica de células mesenquimales sobre un estroma mixoide similar a la papila dental, y de células epiteliales dispuestas en folículos y cordones, sin formación de tejidos dentales duros. Por persistencia de la lesión, se realizó una reintervención quirúrgica con resección mandibular y colocación de placas de titanio. Después de 30 meses de seguimiento, la paciente se encuentra libre de lesión y en proceso de rehabilitación oral. Conclusión: El fibroma ameloblástico puede mostrar un comportamiento agresivo persistente a un tratamiento conservador y requerir una intervención quirúrgica radical, por lo que el seguimiento a largo plazo es indispensable.



INTRODUCCIóN

La Organización Mundial de la Salud (OMS) define al fibroma ameloblástico (FA) como un tumor mixto raro, benigno y verdadero, compuesto por mesénquima odontogénico que se asemeja a la papila dental y tejido epitelial, que a su vez se asemeja a la lámina dental y al órgano del esmalte, en el que no hay tejidos dentales duros. Constituye 1.5-6.5% de todos los tumores odontogénicos, y se presenta principalmente entre la primera y la segunda décadas de la vida, la edad promedio es a los 14.9 años.1-4

Tiene ligera predilección por el género masculino, la proporción M:F es 1.4:1. La región posterior de la mandíbula es su localización más común, con una proporción mandíbula:maxilar de 3.3:1. Clínicamente, aparece con aumento de volumen asintomático, de crecimiento lento y puede causar expansión ósea con deformidad facial.1-6 Radiográficamente, el FA se presenta como una lesión radiolúcida bien definida, unilocular o multilocular, asociada con un diente impactado en la mayoría de los casos y a menudo se observa reabsorción radicular y perforación de las corticales óseas.1,3

Macroscópicamente, el tumor es sólido, con una superficie externa lisa y puede estar encapsulado.1 Microscópicamente, la neoplasia muestra dos componentes, el componente mesenquimal, mixoide y que recuerda a la papila dental; y el componente epitelial, que puede observarse en cordones de células cúbicas a columnares, con engrosamientos que incluyen áreas tipo retículo estrellado entre las células epiteliales periféricas similar a folículos dentales. Además, en algunos casos se observa una cápsula fibrosa.1,3,7-9

El tratamiento del FA generalmente implica un enfoque quirúrgico conservador en lesiones pequeñas; sin embargo, se reporta recurrencia en 16% de los casos tratados de manera ultraconservadora. En caso de lesiones extremadamente destructivas y recurrentes, se recomienda la cirugía radical. La transformación maligna a un fibrosarcoma ameloblástico (FSA) es infrecuente, pero en 50% de los casos surge de un FA recurrente.1,2,4,5,8

Se presenta un caso de FA en mandíbula posterior, persistente a un manejo quirúrgico conservador, requiriendo un tratamiento quirúrgico radical.



REPORTE DE CASO

Paciente femenino de 12 años de edad, fue remitida al Departamento de Cirugía Oral y Maxilofacial del IMSS (HGR 1), presentando asimetría facial por aumento de volumen en el tercio inferior izquierdo, con tiempo de evolución desconocido (Figura 1A). En el interrogatorio, la paciente negó parestesia, dolor y movilidad de los órganos dentales (OD); además, sus antecedentes médicos personales y heredofamiliares no contribuyeron al padecimiento actual. Intraoralmente, se observó expansión de las corticales óseas y ausencia del OD 37; sin embargo, la mucosa estaba intacta y no dolorosa a la palpación.

Radiográficamente, la ortopantomografía (OPG) evidenció una gran lesión radiolúcida multilocular, expansiva, con bordes escleróticos y diminutas zonas radiopacas, con reabsorción radicular del OD 35 y 36, así como desplazamiento del OD 37 hacia el borde basal mandibular (Figura 1B). Por las características clínicas, radiográficas y el involucramiento de un OD, el diagnóstico diferencial incluyó una lesión de origen odontogénico benigna como quiste dentígero, queratoquiste odontogénico y FA. Bajo anestesia general y con intubación orotraqueal, se procedió a la enucleación y curetaje de la lesión, que mostró características fibrosas y se desprendía en porciones (Figura 1C), el OD 37 también se extrajo. Después se colocó injerto alógeno, la paciente se revirtió sin complicaciones y fue dada de alta siete días después.

Macroscópicamente, el espécimen multifragmentado de tejido blando en conjunto midió 3.0 × 3.0 × 2.0 cm, de forma y superficie irregular, color café claro y de consistencia firme, con pieza dental correspondiente a OD 37 (Figura 2A). Microscópicamente, se observó una neoplasia odontogénica mixta benigna, caracterizada por la proliferación bien delimitada de células cúbicas a columnares de tipo ameloblástico, con núcleos fusiformes y polarización distal a la membrana basal y de moderado a escaso citoplasma, dispuestas en cordones, nidos y folículos, cuyo interior mostró células fusiformes de tipo retículo estrellado, sobre un estroma mixoide, con proliferación de células mesenquimales, con áreas de hipercelularidad, así como un foco de calcificaciones distróficas (Figura 2B-2F). Se emitió el diagnóstico de FA.

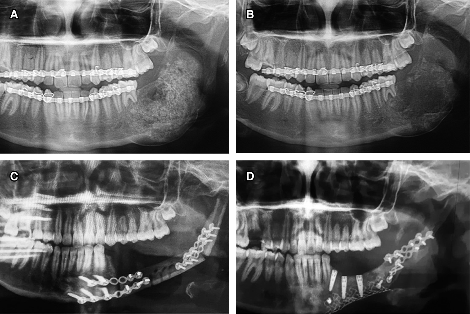
Dos meses después de la cirugía, se solicitó una OPG para el control radiográfico, sin evidencia de alteraciones (Figura 3A). A los seis meses de seguimiento, una OPG evidenció una zona radiolúcida mal definida, con bordes irregulares, en el área del injerto óseo (Figura 3B), se interpretó como persistencia de la lesión y se remitió a la paciente al Centro Médico de Pediatría del IMSS, UMAE, en la ciudad de Guadalajara, Jalisco, para un tratamiento quirúrgico radical, que consistió en una resección mandibular con colocación de placas de titanio e injerto microvascularizado de peroné (Figura 3C).

Ocho meses después, extraoralmente se observó ligera asimetría facial (Figura 4A). Al realizar el examen intraoral, se observó la mucosa en condiciones normales (Figura 4B). Después de 30 meses de seguimiento, la paciente se encuentra libre de lesión y en proceso de rehabilitación oral mediante la colocación de implantes, con el objetivo de devolver la función masticatoria y estética (Figura 3D).



DISCUSIóN

El FA es un tumor odontogénico mixto benigno, relativamente infrecuente, que se presenta principalmente entre la primera y la segunda décadas de vida, con una media de edad a los 14 años y la mayoría de los casos ocurren antes de los 22 años;1 sin embargo, en la literatura existen casos reportados en pacientes de siete semanas de edad,3 y en pacientes de 38 años.4 Este tumor tiene ligera predilección por el género masculino.1 En un análisis de 172 casos de FA, las diferencias en la distribución de género no fueron estadísticamente significativas.5 Su localización más común es la mandíbula en la región posterior y la mayoría de las lesiones del maxilar se presentan en la región anterior.5 No obstante, Côrte et al.6 reportaron un caso de FA en el segmento mastoideo del hueso temporal.

Clínicamente, esta lesión generalmente presenta aumento de volumen y expansión ósea con deformidad facial. Radiográficamente, el FA presenta radiolucencias uniloculares o multiloculares bien definidas, con asociación a un diente impactado o retenido hasta en 80% de los casos;1 debido a esto, autores mencionan que a menudo esta lesión suele confundirse con ameloblastoma y quiste dentígero.7 Las lesiones uniloculares generalmente son pequeñas y asintomáticas, mientras que las multiloculares se asocian a lesiones más grandes y destructivas,1,7 siendo estas características clínicas y radiográficas consistentes con nuestros hallazgos.

Dentro de las características histopatológicas del FA, cuando el cambio inductivo ha resultado en el depósito de dentina o dentina más esmalte, se denominaba fibrodentinoma ameloblástico (FDA) y fibroodontoma ameloblástico (FOA), respectivamente.1,7 La actual clasificación de la OMS enfatiza que dicha formación de tejido duro suele ser la primera etapa de la maduración y es más compatible con un odontoma en desarrollo.1,8,9 Esta postura sigue siendo controversial, ya que se reconoce que algunas de estas lesiones (FDA, FOA) pueden alcanzar grandes tamaños y surgir en grupos de edad que no siempre son consistentes con una lesión hamartomatosa como los odontomas,9 tal como Chrcanovic et al.10 observaron en su análisis, en donde algunos casos de FDA y FOA afectaron a pacientes mayores de 20 años, lo que supera la edad de una formación dental esperada. Además, la edad media de los pacientes con estas lesiones fue muy similar, lo que no respalda el concepto de maduración progresiva de estas afecciones tumorales, sugiriendo que algunos FDA y FOA son lesiones verdaderamente neoplásicas.

Últimamente se han reportado características moleculares de estos tumores odontogénicos mixtos, mencionando que FA, FDA y FOA muestran mutaciones en el gen BRAF en su componente mesenquimal, a diferencia del odontoma que no evidencia dicha alteración, sugiriendo que al menos un grupo de FA, FDA y FOA son molecularmente distintos del odontoma, y pueden representar entidades distintas y ser neoplásicas.11

El manejo del FA puede ser un desafío y actualmente no existe un consenso claro con respecto a un enfoque quirúrgico óptimo. El tratamiento puede variar desde un método conservador como enucleación y curetaje, o tratamientos radicales como la resección marginal o segmentaria. Los tumores pequeños y asintomáticos (especialmente en niños pequeños), se extirpan de forma conservadora y para los tumores extensos y destructivos se recomienda cirugía radical.1,2

De Campos et al.8 reportan el caso de un paciente pediátrico con diagnóstico de FA localmente agresivo tratado con cirugía conservadora, con un seguimiento a 12 años y sin recurrencia de la lesión, por lo que sugieren que el tratamiento conservador en pacientes jóvenes es eficaz y tiene la ventaja de reducir la morbilidad quirúrgica. Respecto a esto, Mosby3 y Buchner5 proponen que el tratamiento conservador en ocasiones puede resultar en una recurrencia, que en realidad es la proliferación del tumor residual. Por otra parte, Sanadi et al.2 presentan el caso de una paciente adulta tratada inicialmente con cirugía radical, tomando en cuenta la posibilidad de recurrencia y transformación maligna que tiene esta lesión. Buchner et al.5 exponen que las tasas de recurrencia podrían estar sesgadas, ya que generalmente los estudios que informan las tasas relativamente altas de recurrencia y transformación maligna, se basan principalmente en reportes de casos compilados de la literatura, y por tal razón no pueden estimarse con precisión. No obstante, se ha cuestionado si los protocolos de tratamiento del FA deberían ser revisados, ya que 44% de los FSA surgen de FA recurrentes.12,13 Recientemente, se han identificado características moleculares del FSA, resaltando mutaciones frecuentes en BRAF y ocasionales en NRAS, y se propone que los FSA deberían ser analizados para estas mutaciones, dada la disponibilidad de fármacos prometedores aprobados dirigidos al gen BRAF mutante.14

En nuestro caso se utilizó un enfoque conservador como primera intervención quirúrgica, teniendo en cuenta la edad de la paciente, y posteriormente un enfoque quirúrgico radical por persistencia de la lesión. Cada caso debe tener un tratamiento quirúrgico individualizado, con una inspección cuidadosa, tomando en cuenta la edad del paciente, el tamaño de la lesión, los hallazgos histopatológicos, la posible recurrencia y su transformación maligna.



CONCLUSIóN

El FA puede mostrar un comportamiento agresivo persistente a un tratamiento conservador y requerir una intervención quirúrgica radical, por lo que el seguimiento a largo plazo es indispensable.


REFERENCIAS (EN ESTE ARTÍCULO)

  1. Takata T, Slootweg PJ. Odontogenic and maxillofacial bone tumours. In: El-Naggar A, Chan J, Grandis J, eds. WHO classification of head and neck tumours. 4th ed. Lyon: International Agency for Research on Cancer; 2017. pp. 222-223.

  2. Sanadi A, Shah SJ, Golgire S, Shetti S. Highly proliferative ameloblastic fibroma: a rare entity. Contemp Clin Dent. 2018; 9 (4): 656-658.

  3. Mosby EL, Russell D, Noren S, Barker BF. Ameloblastic fibroma in a 7-week-old infant: a case report and review of the literature. J Oral Maxillofac Surg. 1998; 56 (3): 368-372.

  4. Tozoglu S, Hatipoglu M, Aytekin Z, Gurer EI. Extensive ameloblastic fibroma of the mandibula in a female adult patient: A case report with a follow-up of 3 years. Eur J Dent. 2016; 10 (1): 139-143.

  5. Buchner A, Vered M. Ameloblastic fibroma: a stage in the development of a hamartomatous odontoma or a true neoplasm? Critical analysis of 162 previously reported cases plus 10 new cases. Oral Surg Oral Med Oral Pathol Oral Radiol. 2013; 116 (5): 598-606.

  6. Côrte AF, Moura CP, Filipe JP, Vaz R, Sucesso MDB, Pereira J et al. Ameloblastic fibroma with an unusual location. Otol Neurotol. 2018; 39 (10): 1176-1178.

  7. Khande KC, Mograwala HJ, Halli RC, Hebbale MA. Ameloblastic fibroma mimicking dentigerous cyst: a diagnostic dilemma. Ann Maxillofac Surg. 2019; 9 (1): 201-204.

  8. De Campos WG, Esteves CV, Paiva GA, Zambon CE, Rocha AC, Lemos CA. Successful management of a gigantic ameloblastic fibroma: a 12-year follow-up. Ann Maxillofac Surg. 2019; 9 (1): 197-200.

  9. Speight PM, Takata T. New tumour entities in the 4th edition of the World Health Organization Classification of Head and Neck tumours: odontogenic and maxillofacial bone tumours. Virchows Arch. 2018; 472 (3): 331-339.

  10. Chrcanovic BR, Gomez RS. Ameloblastic fibrodentinoma and ameloblastic fibro-odontoma: an updated systematic review of cases reported in the literature. J Oral Maxillofac Surg. 2017; 75 (7): 1425-1437.

  11. Coura BP, Bernardes VF, de Sousa SF, Diniz MG, Moreira RG, de Andrade BAB et al. Targeted next-generation sequencing and allele-specific quantitative PCR of laser capture microdissected samples uncover molecular differences in mixed odontogenic tumors. J Mol Diagn. 2020; 22 (12): 1393-1399.

  12. Munisekhar MS, Shylaja S, Kumar RV, Rao KA, Patil SR, Alam MK. Ameloblastic fibrosarcoma - a rarity? JPRAS Open. 2019; 21: 56-62.

  13. Onda T, Yamazaki A, Hayashi K, Iwasaki T, Hashimoto K, Takano M. Ameloblastic fibroma in mandibular anterior tooth region: a case report. Bull Tokyo Dent Coll. 2021; 62 (1): 49-54.

  14. Agaimy A, Skalova A, Franchi A, Alshagroud R, Gill AJ, Stoeher R et al. Ameloblastic fibrosarcoma: clinicopathological and molecular analysis of seven cases highlighting frequent BRAF and occasional NRAS mutations. Histopathology. 2020; 76 (6): 814-821.



AFILIACIONES

1 Facultad de Odontología, Universidad Autónoma de Sinaloa. México.

2 Servicio de Cirugía Oral y Maxilofacial, Hospital General Regional No. 1, IMSS. México.

3 Servicio de Anatomía Patológica, Centro de Investigación y Docencia en Ciencias de la Salud, Universidad Autónoma de Sinaloa. México.



CORRESPONDENCIA

Cynthia Marina Urias Barreras. E-mail: cynthia.urias@uas.edu.mx




Recibido: Mayo 2021. Aceptado: Agosto 2021.

Figura 1
Figura 2
Figura 3
Figura 4

2020     |     www.medigraphic.com

Mi perfil

C?MO CITAR (Vancouver)

Rev Odont Mex. 2021;25

ARTíCULOS SIMILARES

CARGANDO ...