medigraphic.com
ENGLISH

Anales Médicos de la Asociación Médica del Centro Médico ABC

ISSN 0185-3252 (Impreso)
Revista de la Asociación Médica del Centro Médico ABC
  • Mostrar índice
  • Números disponibles
  • Información
    • Información general        
    • Directorio
  • Publicar
    • Instrucciones para autores        
  • medigraphic.com
    • Inicio
    • Índice de revistas            
    • Registro / Acceso
  • Mi perfil

2022, Número 2

<< Anterior Siguiente >>

An Med Asoc Med Hosp ABC 2022; 67 (2)


Teratoma sacrococcígeo: reporte de caso clínico y hallazgos imagenológicos

Crespo Smith, Dennise1; Septién Guevara, José Manuel2; García-Rizk, Jorge Arturo3; Zalles Vidal, Cristian4
Texto completo Cómo citar este artículo 10.35366/106033

DOI

DOI: 10.35366/106033
URL: https://dx.doi.org/10.35366/106033
Artículos similares

Idioma: Español
Referencias bibliográficas: 16
Paginas: 156-161
Archivo PDF: 385.11 Kb.


PALABRAS CLAVE

Teratoma sacrococcígeo, resonancia magnética, ultrasonido.

RESUMEN

El teratoma sacrococcígeo es el tumor de células germinales extragonadal más común en recién nacidos. Presenta una frecuencia de uno en 27,000 nacimientos. La prevalencia en el sexo femenino es de 3:1-4:1. El diagnóstico prenatal se realiza durante el ultrasonido obstétrico y/o con resonancia magnética fetal al identificar una masa sacra. Postnatalmente la resonancia magnética ayuda a determinar la extensión de la masa y planificar el tratamiento. Presentación del caso: recién nacido femenino de 38.2 semanas de gestación con diagnóstico ultrasonográfico a las 12 semanas de aparente defecto sacro. A las 26 semanas de gestación, por características ultrasonográficas, se reportó probable teratoma sacro. Al nacimiento presentó una masa de 2 × 2.5 cm en la región sacrococcígea con sangrado en capa. Neurológicamente sin alteraciones. Se realizó radiografía de pelvis que demostró integridad de cuerpos sacros, y arcos posteriores sin aparentes alteraciones. En ultrasonido se identificó una masa con ecotextura heterogénea, áreas de tejido sólido, quístico y de calcificación, con vascularidad central y periférica. La resonancia magnética reveló tumoración sacrococcígea heterogénea con componente sólido, quístico, grasa y calcificaciones, medidas de 4.6 × 2.2 × 3.8 cm, con extensión desde S5-base del coxis hasta el glúteo derecho, condicionando desplazamiento del útero y asas intestinales. Se realizó resección del teratoma con buena evolución de la paciente. Conclusión: El diagnóstico temprano prenatal ultrasonográfico es esencial para evaluar el tamaño del tumor y las complicaciones. Es importante definir características morfológicas, un componente pélvico mayor se asocia a efecto de masa en estructuras adyacentes. La resección quirúrgica es el pilar del manejo del teratoma sacrococcígeo.



INTRODUCCIóN

El teratoma sacrococcígeo es el tumor de células germinales extragonadal más común en el recién nacido. Presenta una frecuencia de uno en 27,000 a 40,000 nacimientos. Predomina en el sexo femenino (3:1 a 4:1).1-3 Con frecuencia son benignos al nacer, pero en el sexo masculino se ha descrito mayor frecuencia de degeneración maligna. Algunos teratomas sacrococcígeos pueden recurrir como malignos después de la resección quirúrgica.3-5

El origen ocurre en la base del coxis derivado del nódulo de Hensen o nodo primitivo. Después de la formación del mesodermo intraembrionario la línea primitiva involuciona y desaparece al final de la cuarta semana, o se convierte en una estructura insignificante en la región sacrococcígea. Si las células totipotenciales permanecen, dan origen al teratoma sacrococcígeo.3,6,7

Histológicamente los teratomas se componen de las tres capas germinales (ectodermo, mesodermo y endodermo). Se clasifican en tres tipos: 1) Maduro: consiste en tejido bien diferenciado (estructuras glandulares pancreáticas, sebáceas, cerebro, hueso, pelo y dientes). 2) Inmaduro: contiene elementos embrionarios inmaduros o focos de diferenciación incompleta, con presencia de características del neuroectodermo primitivo. 3) Malignos: los elementos malignos más comunes son componentes del saco vitelino. También se presenta el carcinoma embrionario y tumores neuroectodérmicos primitivos.2,8

Altman y la American Academy of Pediatrics Surgery Section Survey desarrollaron un sistema de clasificación por características morfológicas: Tipo I (frecuencia de 47%): predominantemente externo con mínimo componente presacro. Tipo II (34%): componentes externos e internos en tamaño similar. Tipo III (9%): presenta una porción externa pequeña con un componente intrapélvico predominante. Tipo IV (10%): es enteramente interno, ocupa el área presacra sin componente externo visible.9

El abordaje diagnóstico imagenológico es esencial para demostrar la extensión intraabdominal y los efectos en las estructuras adyacentes. Los hallazgos por imagen del teratoma van acordes a sus componentes. Por radiografía se observará una masa de dimensiones variables que puede estar asociada a calcificaciones.10 El ultrasonido mostrará una masa de ecotextura heterogénea con presencia de focos ecogénicos de calcificaciones y grasa así como áreas quísticas anecoicas. El modo Doppler color demuestra que los componentes sólidos presentan vascularidad de moderada a alta.10,11 La tomografía computarizada muestra una masa con densidad heterogénea por sus componentes de grasa, calcio, tejidos blandos y niveles de líquido. El medio de contraste muestra un patrón de reforzamiento variable en los componentes sólidos. La resonancia magnética presenta hallazgos con intensidad de señal heterogénea. En T1 la grasa se aprecia hiperintensa, los tejidos blandos isointensos, el componente quístico hipointenso y el calcio marcadamente hiperintenso. En T2 se observa el componente quístico hiperintenso y el calcio marcadamente hipointenso. El T1 con contraste presenta un reforzamiento heterogéneo del componente sólido.3,10 Los hallazgos por imagen no pueden predecir subtipos histológicos de tumores, pero existen características de benignidad y malignidad. El componente quístico, las calcificaciones y el contenido graso prominente corresponden a hallazgos más comúnmente observados en lesiones benignas. La hemorragia y/o necrosis dentro de la masa, mayor componente sólido y realce heterogéneo con contraste son más sugestivos de malignidad.3,6 El diagnóstico prenatal se realiza con ultrasonido obstétrico y/o con resonancia magnética fetal, identificando una masa sacra heterogénea con componentes quísticos y sólidos.2,3 Postnatalmente la resonancia magnética permite la diferenciación de tejidos, extensión intramedular y pélvica, siendo superior a la tomografía computarizada al no exponer a una dosis de radiación ionizante.12 Se debe realizar diagnóstico diferencial principalmente con mielomeningocele, lipomas, hemangiomas, quiste pilonidal y epidermoide.2,7 El neonato puede presentar complicaciones cardiacas, anemia e hidrops fetal. Durante el parto puede ocurrir ruptura del teratoma y hemorragia al ser altamente vascular. Si es suficientemente grande puede ocasionar efecto de masa en estructuras adyacentes.2,3,13 El tratamiento es principalmente quirúrgico, ya sea prenatal o postnatal. La cirugía fetal intrauterina es una opción en fetos de alto riesgo como los productos con hidrops fetal. Postnatalmente la resección quirúrgica temprana se realiza para evitar progresión a malignidad y recurrencias. Los pacientes con teratoma maligno requieren manejo combinado de cirugía, quimioterapia y radiación.3,14



PRESENTACIóN DEL CASO

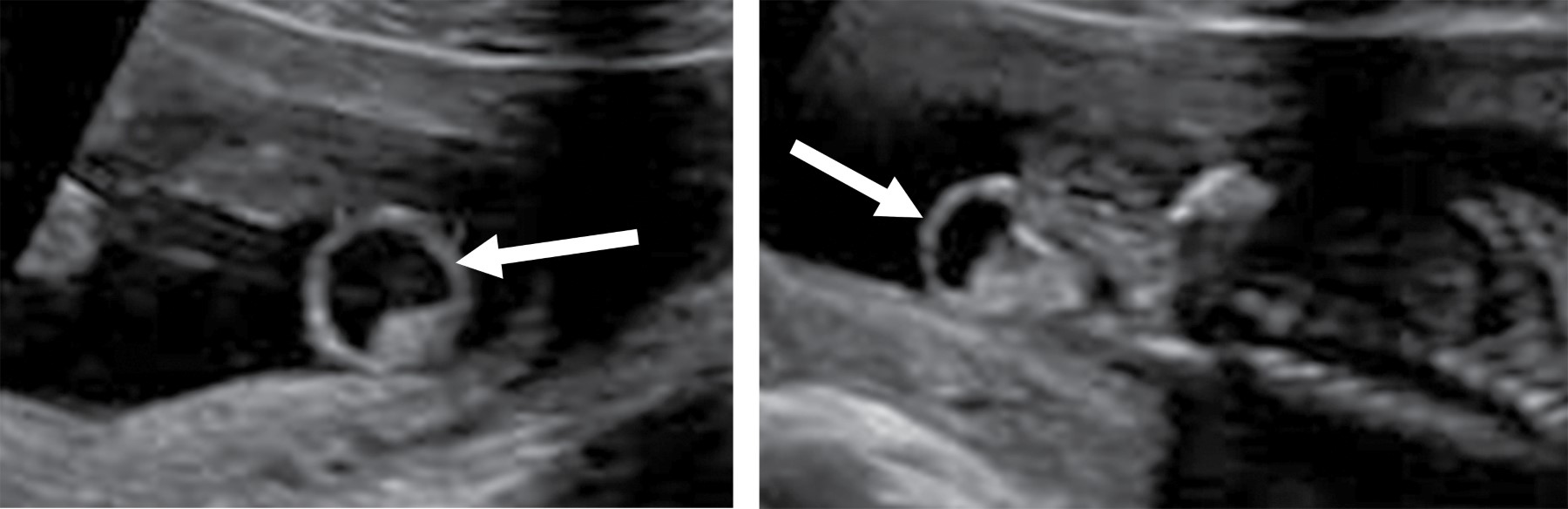
Paciente femenino de 32 años de edad sin antecedentes de importancia. Tomó ácido fólico previo al embarazo. Gesta dos, cesárea uno. Su primera consulta del embarazo actual fue a las 7.2 semanas de gestación (SDG) con longitud cráneo caudal acorde a la edad gestacional estimada por fecha de última menstruación. En la semana 12 se realizó ultrasonido estructural donde se observó aparente defecto a nivel sacro que parecía tener continuidad con médula espinal. En el ultrasonido a la semana 16 se apreció una imagen de contenido anecoico en la región sacra y con aparente continuidad al canal medular, en probable relación con mielomeningocele (Figura 1). En la semana 20 se realizó amniocentesis y posteriormente microarreglos encontrando complemento cromosómico 46 XX, sin alteraciones en las regiones analizadas. Se realizó tamiz de glucosa y curva de tolerancia a la glucosa en la semana 27 diagnosticando diabetes gestacional, sólo requirió manejo dietético. En la semana 26 se realizó ultrasonido identificando en región glútea una imagen con ecotextura heterogénea de predominio anecoico, con medidas aproximadas de 3.3 × 3.2 cm, que no comprometía genitales y parecía corresponder a un teratoma sacro. Se realizan seguimientos ultrasonográficos con Doppler fetal y pruebas de bienestar fetal hasta el término. A las 38.2 SDG nace por cesárea producto femenino con peso de 2,669 g y talla de 48 cm. Llora y respira al nacer, se dan maniobras básicas de reanimación. Se califica con APGAR 9/9 y Silverman Anderson de 0. Ingresa a terapia intermedia. En la exploración física neurológicamente no mostró alteraciones, la fuerza y sensibilidad de las extremidades estaba conservada, sin movimientos anormales. En la región sacra se identificó una masa con tamaño aproximado de 2 × 2.5 cm que presentó sangrado en capa, la cual de forma atípica no tenía una cobertura de piel (Figura 2). Se realizó radiografía de pelvis, ultrasonido abdominal, transfontanelar y de región sacra. Se tomó radiografía anteroposterior y lateral de pelvis que reveló integridad de los cuerpos sacros y los elementos del arco posterior sin alteraciones aparentes así como una masa con densidad de tejidos blandos inferior a la región del sacro (Figura 3). En el ultrasonido abdominal no se reportaron alteraciones, se valoró la vejiga y riñones, mismos que mostraron situación, morfología y ecogenicidad normales. El ultrasonido transfontanelar no mostró anomalías. Se realizó rastreo con transductor lineal multifrecuencia en escala de grises y con modo Doppler color de la columna lumbosacra (Figura 4). Se decidió realizar resonancia magnética para mejor caracterización de la extensión de la masa descrita. Se efectuaron secuencias multiplanares de la columna lumbosacra y panorámica sagital de la columna completa (Figura 5). Se realiza la resección completa de la tumoración, respetando estructuras pélvicas y lográndose una cobertura completa sin tensión de la herida. Adecuada recuperación postoperatoria, por dehiscencia parcial de herida se maneja sistema VAC ambulatorio, el cual es una terapia no invasiva que utiliza presión negativa sobre la herida para ayudar a la cicatrización en un medio húmedo y cerrado, lo que favorece la angiogénesis, el tejido de granulación y disminuye la colonización bacteriana (Figura 6). Niveles séricos de alfa fetoproteína y fracción beta de gonadotropina coriónica preoperatorios normales. El reporte de patología reveló teratoma inmaduro (elementos inmaduros menores de 1%), superficie externa con piel ulcerada. Después de un año de vigilancia, no hay datos de recidiva clínica o por laboratorio.



DISCUSIóN

Gracias a los avances en el ultrasonido prenatal se pueden realizar diagnósticos más tempranos en pacientes con teratomas sacrococcígeo, permitiendo detectar y tratar complicaciones in utero y además programar su nacimiento.14.15 En el caso presentado se logró detectar la malformación desde semana 12 de gestación, lo que permitió un control estricto durante todo el embarazo. A pesar de que se demostró la presencia de alta vascularidad del tumor con la valoración ultrasonográfica, no se documentaron alteraciones hemodinámicas en el producto.

La caracterización por imagen clásica del teratoma consiste en una masa heterogénea, que por su origen embriológico (tres capas germinales), presenta componentes sólidos y quísticos, con áreas de tejido graso y áreas de calcificación,1-3 los cuales se demostraron en nuestro caso mediante el ultrasonido y la resonancia magnética.

La evaluación de la extensión de la tumoración es muy importante para planear el tratamiento quirúrgico, idealmente se debe realizar con estudios de imagen seccionales como la resonancia magnética o la tomografía computarizada, se prefiere la resonancia para evitar la exposición a radiación ionizante y por su excelente diferenciación entre tejidos.3,12 De acuerdo a la clasificación de Altman, nuestro caso correspondió a un teratoma sacrococcígeo de tipo III,9 por lo que el componente presacro era de pequeñas dimensiones y no ocasionó efecto de masa significativo en las estructuras adyacentes. El ultrasonido abdominal no mostró datos de hidronefrosis obstructiva. Asimismo, durante la exploración física las extremidades inferiores no mostraron alteraciones en su fuerza ni presencia de movimientos anormales en el contexto de la hipoplasia de músculos pélvicos y luxación de cadera asociada con el teratoma sacrococcígeo.13

Es importante hacer el diagnóstico diferencial con el mielomeningocele, lipomas, hemangiomas, quiste pilonidal y epidermoide.3 Éstos tienen una localización posterior al sacro. El teratoma sacrococcígeo tiene una localización entre el coxis y el ano y tiende a estar recubierto por piel.2 Asimismo, se debe evaluar la médula espinal, dado que el mielomeningocele tiene afectación asociada de la misma.11 En este caso se constató la integridad de los cuerpos sacros y del arco posterior así como del canal medular mediante la valoración con radiografías, ultrasonido y resonancia magnética.

El manejo quirúrgico debe ser temprano y completo para evitar recidivas debido a su asociación con progresión a malignidad en edades más avanzadas.5,14 En nuestro caso se realizó una resección completa de la lesión y se obtuvo una adecuada evolución de la paciente. Para la vigilancia postquirúrgica se pueden emplear niveles séricos de alfafetoproteína, debido a que están elevados en 50% de los teratomas malignos y reflejan la presencia de una masa nueva o en crecimiento. La recurrencia global se ha estimado en 11-16.4%. La medición de los niveles séricos de alfafetoproteína se usa de manera rutinaria para seguir el curso de la enfermedad y puede emplearse como una guía para determinar si son necesarias evaluaciones de imagen adicionales.3,16



CONCLUSIóN

El teratoma sacrococcígeo es una entidad rara, pero aun así es el tumor de células germinales más frecuente en neonatos. Debido a que la clasificación morfológica es crucial para las consideraciones de pronóstico y manejo quirúrgico, el objetivo fundamental de las imágenes es determinar la ubicación y extensión del tumor. Con la disponibilidad de imágenes de resonancia magnética fetal y ecografía fetal es posible la detección prenatal de una masa. La resección quirúrgica es el pilar del manejo del teratoma sacrococcígeo; sin embargo, es importante recordar que puede existir recurrencia y en estos casos es esencial el empleo de los niveles de alfafetoproteína de seguimiento para valorar si es necesario realizar estudios adicionales.


REFERENCIAS (EN ESTE ARTÍCULO)

  1. Swamy R, Embleton N, Hale J. Sacrococcygeal teratoma over two decades: Birth prevalence, prenatal diagnosis and clinical outcomes. Prenat Diagn. 2008; 28 (11): 1048-1051.

  2. Hernández S, Pérez O, Balderas LM, Martínez MG, González Y, Alba JG de. Teratoma sacrococcígeo: reporte de un caso y revisión de la bibliografía. Ginecol Obstet Mex. 2013; 81: 668-673.

  3. Yoon HM, Byeon S, Hwang J-Y, Kim JR, Jung AY, Lee JS et al. Sacrococcygeal teratomas in newborns: a comprehensive review for the radiologists. Acta Radiol. 2018; 59: 236-246.

  4. Yoneda A, Usui N, Taguchi T, Kitano Y, Sago H, Kanamori Y et al. Impact of the histological type on the prognosis of patients with prenatally diagnosed sacrococcygeal teratomas: the results of a nationwide Japanese survey. Pediatr Surg Int. 2013; 29: 1119-1125.

  5. De Backer A, Madern GC, Hakvoort-Cammel FGAJ, Haentjens P, Oosterhuis JW, Hazebroek FWJ. Study of the factors associated with recurrence in children with sacrococcygeal teratoma. J Pediatr Surg. 2006; 41: 173-181.

  6. Keslar PJ, Buck JL, Suarez ES. Germ cell tumors of the sacrococcygeal region: radiologic-pathologic correlation. RadioGraphics. 1994; 14 (3): 607-620.

  7. Bale PM. Sacrococcygeal developmental abnormalities and tumors in children. Perspect Pediatr Pathol. 1984; 8 (1): 9-56.

  8. Gatcombe HG, Assikis V, Kooby D, Johnstone PAS. Primary retroperitoneal teratomas: a review of the literature: primary retroperitoneal teratomas. J Surg Oncol. 2004; 86 (2): 107-113.

  9. Peter Altman R, Randolph JG, Lilly JR. Sacrococcygeal teratoma: American Academy of Pediatrics Surgical section survey-1973. J Pediatr Surg. 1974; 9 (3): 389-398.

  10. Ross JS, Moore KR. Diagnostic imaging: spine e-book [Internet]. Elsevier Health Sciences; 2015. (Diagnostic imaging). Available in: https://books.google.com.mx/books?id=h_L5CQAAQBAJ

  11. Ladino Torres MF, DiPietro MA. Spine ultrasound imaging in the newborn. Semin Ultrasound CT MR. 2014; 35 (6): 652-661.

  12. Danzer E, Hubbard AM, Hedrick HL, Johnson MP, Wilson RD, Howell LJ et al. Diagnosis and characterization of fetal sacrococcygeal teratoma with prenatal MRI. AJR Am J Roentgenol. 2006; 187 (4): W350-356.

  13. Hedrick HL, Flake AW, Crombleholme TM, Howell LJ, Johnson MP, Wilson RD et al. Sacrococcygeal teratoma: prenatal assessment, fetal intervention, and outcome. J Pediatr Surg. 2004; 39 (3): 430-438.

  14. Fumino S, Tajiri T, Usui N, Tamura M, Sago H, Ono S et al. Japanese clinical practice guidelines for sacrococcygeal teratoma, 2017. Pediatr Int. 2019; 61 (7): 672-678.

  15. Sarmiento Portal Y, Piloña Ruiz S, Crespo Campos A, Sánchez Monterrey IA, Portal Miranda ME, Iglesias Castro D. Teratoma sacrococcígeo: revisión de la literatura a propósito de un caso. Rev Cubana Pediatr. 2010; 82 (3): 69-75.

  16. Barreto MWG, Silva LV, Barini R, Oliveira-Filho AG, Sbragia L. Alpha-fetoprotein following neonatal resection of sacrococcygeal teratoma. Pediatr Hematol and Oncol. 2006; 23 (4): 287-291.



AFILIACIONES

1 Pediatría y Neonatología.

2 Ginecología y Obstetricia. Ginecología y Reproducción Santa Fe, Centro Médico ABC.

3 Médico residente de Imagenología Diagnóstica y Terapéutica, Departamento de Radiología e Imagen Molecular.

4 Cirugía Pediátrica.



CORRESPONDENCIA

Dennise Crespo Smith. E-mail: decres@gmail.com




Recibido: 17/02/2021. Aceptado: 26/10/2021.

Figura 1
Figura 2
Figura 3
Figura 4
Figura 5
Figura 6

2020     |     www.medigraphic.com

Mi perfil

C?MO CITAR (Vancouver)

An Med Asoc Med Hosp ABC. 2022;67

ARTíCULOS SIMILARES

CARGANDO ...