medigraphic.com
ENGLISH

Cirugía Plástica

ISSN 2992-8559 (Digital)
ISSN 1405-0625 (Impreso)
  • Mostrar índice
  • Números disponibles
  • Información
    • Información general        
    • Directorio
  • Publicar
    • Instrucciones para autores        
    • Envío de artículos
  • Políticas
    • Políticas éticas
    • Políticas de acceso abierto
    • Políticas de revisión de manuscritos
    • Políticas editoriales generales
  • medigraphic.com
    • Inicio
    • Índice de revistas            
    • Registro / Acceso
  • Mi perfil

2022, Número 1

<< Anterior Siguiente >>

Cir Plast 2022; 32 (1)


Reconstrucción de ventana pleural con colgajo de músculo dorsal ancho y posterior mejoría del patrón restrictivo

Ríos Lara-y López, Rodolfo Luciano1; Mendoza-Ramírez, José Bruno2; Méndez-Chávez, Juan Carlos3; Ugalde-Vitelly, Juan Antonio4; Torres-Piña, Raymundo1
Texto completo Cómo citar este artículo 10.35366/106105

DOI

DOI: 10.35366/106105
URL: https://dx.doi.org/10.35366/106105
Artículos similares

Idioma: Español
Referencias bibliográficas: 27
Paginas: 43-50
Archivo PDF: 411.93 Kb.


PALABRAS CLAVE

Tuberculosis pulmonar, derrame pleural, fístula broncopleural, colgajo dorsal ancho, reconstrucción de la pared torácica, función pulmonar.

RESUMEN

La tuberculosis es una infección causada por el complejo Mycobacterium tuberculosis. Existen dos entidades clínicas: tuberculosis pulmonar y extrapulmonar. La tuberculosis pleural representa 20% de los casos de tuberculosis extrapulmonar, es causa de derrame pleural en zonas endémicas y pacientes inmunocomprometidos. Un derrame pleural con compromiso del parénquima puede causar una fístula alveolo-pleural o broncopleural con neumotórax espontáneo y empiema. Además del tratamiento médico se debe realizar el drenaje del derrame pleural a través de una toracotomía con sonda. La ventana de toracostomía con técnica de Eloesser es una opción de tratamiento quirúrgico para pacientes con tuberculosis e infección del espacio pleural asociadas con fistulas broncopleurales. Tiene como objetivo el drenaje permanente del espacio pleural infectado, es una opción viable cuando una toracotomía con sonda es inadecuada, el paciente no es candidato para una decorticación o si el pulmón no ocupa completamente la cavidad torácica después de una decorticación. La integridad y estabilidad de la pared torácica aseguran la protección de los órganos internos y una función respiratoria adecuada, por tal motivo es importante la reconstrucción de los defectos provocados en procedimientos previos. Presentamos el caso de un paciente atendido en el Hospital General de México "Dr. Eduardo Liceaga" con tuberculosis pulmonar y pleural complicado con fístula broncopleural y derrame pleural persistente que ameritó tratamiento de ventana pulmonar con técnica de Eloesser por el servicio de neumología y reconstrucción del defecto con un colgajo dorsal ancho con su posterior valoración en cuatro meses a través de espirometría para evidenciar una mejoría del patrón restrictivo.



INTRODUCCIóN

La tuberculosis (TB) es una infección causada por el complejo Mycobacterium tuberculosis. El órgano que con más frecuencia se ve afectado es el pulmón, en 80.7%; otras formas extrapulmonares en 17.7% y meníngea en 1.6%. En 2017, México ocupó el tercer lugar de incidencia en América Latina. Del año 2000 al 2017 se han notificado 160,877 casos de tuberculosis en México. La tasa de incidencia nacional en 2010 fue de 13.8 casos por cada 100,000 habitantes. El grupo de edad con mayores casos es de 25 a 44 años, con predominio en hombres. La localización y gravedad de la infección varían dependiendo de múltiples factores como la edad, sexo, comorbilidades, vacunación, estado inmunológico del paciente y forma de transmisión.1,2 El diagnóstico se basa en criterios clínicos, radiológicos, microbiológicos, de laboratorio e histopatológicos que evidencien la presencia del microorganismo. El tratamiento en pacientes con enfermedad pulmonar se basará en una fase inicial con isoniazida (I), rifampicina (R), pirazinamida (P), etambutol (E) y de sostén con I-R, teniendo una duración variable dependiendo de diferentes factores como enfermedad extensa, cultivos positivos o persistencia de cavernas.2 La tasa de éxito del tratamiento para tuberculosis sensible a medicamentos es de 81% y factores como la edad, sexo, consumo de alcohol, tabaco y VIH intervienen en la efectividad.3 Un derrame pleural con compromiso del parénquima puede causar una fistula broncopleural con neumotórax espontáneo y empiema. Se ha descrito como una complicación poco común la presencia de fístula broncopleural posterior a lobectomía y neumonectomía que se asocia con altas tasas de morbilidad y mortalidad.4 La intervención quirúrgica, combinada con terapias conservadoras y endoscópicas, puede ser necesaria para controlar la infección, ocluir las fístulas broncopleurales y obliterar la cavidad del empiema en los casos refractarios durante el tratamiento.5 Existen diferentes métodos utilizados para la reconstrucción de la pared torácica conocidos como "caballos de batalla", como el colgajo pectoral mayor, colgajo recto abdominal, colgajo de músculo serrato anterior y dorsal ancho, siendo este último el preferido, debido a su tamaño y versatilidad. Aún existe controversia en el tipo de alteración respiratoria obstructiva, restrictiva o mixta predominante en estos pacientes.6 Presentamos un caso atendido en el Hospital General de México "Dr. Eduardo Liceaga", con tuberculosis pulmonar y pleural, complicado con fistula broncopleural y derrame pleural persistente que ameritó tratamiento de ventana pulmonar con técnica de Eloesser por el servicio de neumología y reconstrucción del defecto con un colgajo dorsal ancho con su posterior valoración en cuatro meses a través de espirometría, evidenciando una mejoría del patrón restrictivo.



CASO CLíNICO

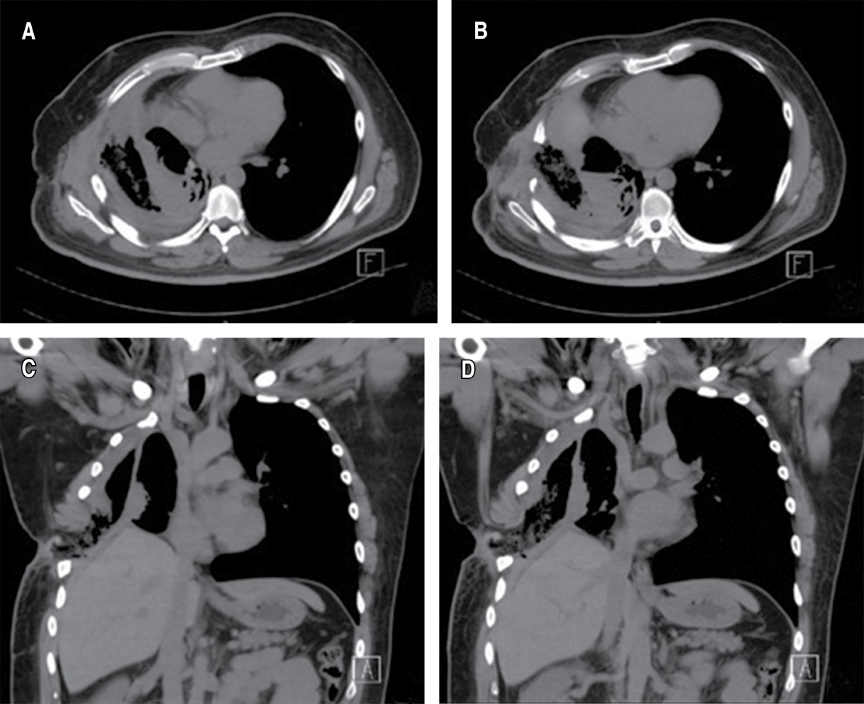
Hombre de 49 años, originario y residente del Estado de México, ocupación: personal de mudanza de equipos de lavandería en hospitales, cárceles y asilos, COMBE negativo, consumo de alcohol negado, tabaco a razón de un cigarrillo por día durante 21 años (IT 1.05). Antecedente de diabetes tipo 2 diagnosticado en 2005, tratado con insulina glargina 20 UI y metformina/glibenclamida. Tuberculosis pulmonar y pleural diagnosticada en mayo de 2017, tratado con IRPE durante un año, actualmente en remisión. Fístula broncopleural derecha de alto flujo y neumotórax espontáneo diagnosticado en junio de 2017, tratado con toracotomía y fistulectomía, ameritando una segunda intervención por persistencia; actualmente en remisión. Derrame pleural tratado con toracotomía y colocación de sonda en junio de 2017 por persistencia de derrame pleural; se realizó ventana torácica con técnica de Eloesser en octubre de 2017, en la actualidad en remisión y en espera de cierre quirúrgico. Fue referido al servicio de cirugía plástica el 17 de octubre de 2018 para valorar cierre de ventana pleural. A la exploración física se observó área cruenta de aproximadamente 6 × 7 cm en la región lateral de tórax derecho, cubierto con sistema de presión negativa, sin datos de fuga y con gasto serohemático. Tórax normolíneo, amplexión y amplexación asimétricas a expensas de hemitórax derecho, disminución de ruidos respiratorios y vibraciones vocales basales derechos, hemitórax izquierdo sin compromiso; el resto de la exploración sin anormalidades. Contaba con espirometría del 03 de octubre de 2018, que reportó evidencia de patrón restrictivo moderadamente severo, con una capacidad vital forzada (FVC) de 58.4 (Tabla 1) y tomografía de tórax realizada el 06 de octubre de 2018, que reportó ventana pulmonar con engrosamiento pleural y presencia de líquido heterogéneo, acompañado de neumotórax derecho (Figura 1 A-D). En el quirófano se realizó el 22 de octubre de 2018 cultivo, que no reportó crecimiento de patógenos y se decidió la colocación de sistema de presión negativa con esponja hidrofóbica de poliuretano. Cuatro días después se decidió realizar reconstrucción tardía mediante colgajo dorsal ancho pediculado para cierre de ventana pleural (Figura 2 A-F). El paciente evolucionó favorablemente, por lo cual fue dado de alta el 31 de octubre de 2018. Se dio seguimiento cuatro meses después de la cirugía, solicitando una espirometría, que reportó patrón restrictivo moderado (Tabla 2), con una FVC de 64.6, mostrando una mejoría de 11% comparado con el estudio previo y una tomografía de tórax donde se observaba el cierre de la ventana pleural (Figura 3 A y B).



DISCUSIóN

La TB es una enfermedad transmisible causada por el complejo Mycobacterium tuberculosis. Se encuentra dentro de las 10 primeras causas de muerte a nivel mundial y es la principal causa de muerte por un solo agente infeccioso. De acuerdo con la Organización Mundial de la Salud (OMS), en 2018 se estimó que 10 millones de personas contrajeron la enfermedad, con un estimado de 1.4 millones de muertes. El continente americano ocupó el quinto lugar de casos reportados en 2018, con un 3%.7 Clínicamente existen dos tipos de manifestación de enfermedad tuberculosa: la tuberculosis pulmonar y la tuberculosis extrapulmonar, que puede afectar ganglios linfáticos, tracto genitourinario, meninges, tejido óseo, articulaciones, pleura, pericardio, peritoneo o piel. La TB extrapulmonar se define como aquélla infección que afecta a tejidos y órganos fuera del parénquima pulmonar, representando 20% de los casos.8,9

La TB pleural es una forma frecuente de tuberculosis extrapulmonar que representa aproximadamente 20% de los casos. Se puede presentar como enfermedad primaria o enfermedad por reactivación. Es causada por una reacción de hipersensibilidad retardada por los antígenos de la micobacteria en el espacio pleural. La TB pleural es una de las causas más frecuentes de exudados pleurales en zonas endémicas y en pacientes inmunocomprometidos. La mayoría de los derrames pleurales tuberculosos son exudados con alto contenido de adenosina desaminasa (ADA), linfocitos y color serohemático con bajo rendimiento para cultivo. En raras ocasiones puede presentarse como un empiema franco de tuberculosis,9,10 se debe sospechar en todo paciente con derrame pleural unilateral de cualquier tamaño. Clínicamente se presenta con fiebre, dolor pleurítico y tos no productiva. Otros datos que pueden presentarse son sudoración nocturna, escalofríos, debilidad, disnea y pérdida de peso.10 A la exploración física se puede encontrar matidez a la percusión en la zona del derrame, disminución o abolición de las vibraciones vocales, disminución del murmullo alveolar y ausencia de transmisión de la voz. El diagnóstico se puede realizar a través de ADA en líquido pleural, determinación de interferón gamma en líquido pleural, presencia del bacilo en esputo o biopsia pleural.10,11 El tratamiento recomendado para tuberculosis pulmonar es de seis meses, dos meses de tratamiento intensivo con IRPE y cuatro meses de tratamiento estándar con IR.11

Un derrame pleural con compromiso del parénquima puede causar una fístula alveolo pleural o broncopleural, con neumotórax secundario y empiema. La fistula broncopleural es una comunicación entre el espacio pleural y el árbol bronquial, se puede presentar como una complicación postoperatoria fatal, con una prevalencia de 1.5 hasta 28% dependiendo de la etiología, la técnica quirúrgica y la experiencia del cirujano.12 En nuestro caso, el paciente se diagnosticó con tuberculosis pulmonar y pleural, después presentó derrame pleural persistente y fístula broncopleural con neumotórax. Se realizó toracotomía y fistulectomía para la fístula broncopleural; sin embargo, durante la hospitalización el paciente presentó neumotórax que ameritó una segunda intervención para la remisión total.

Cuando existe la presencia de fístula broncopleural con empiema, es obligatorio un manejo multidisciplinario adecuado y oportuno, que mejore la morbimortalidad en los pacientes. Entre las opciones de tratamiento se describen terapia conservadora, endoscópicas, embolización selectiva y quirúrgicas.13-15

La ventana de toracostomía con técnica de Eloesser es una opción de tratamiento quirúrgico para pacientes con tuberculosis e infección del espacio pleural asociada con fístulas broncopleurales. Tiene como objetivo el drenaje permanente del espacio pleural infectado y la creación de una válvula unidireccional para la salida del líquido de la cavidad torácica, sin retorno de aire y la posibilidad de un cierre en un segundo tiempo quirúrgico. Para minimizar los cambios de apósito y mejorar el drenaje se ha utilizado un sistema de presión negativa. La ventana de toracostomía con técnica Eloesser es una opción viable cuando una toracotomía con sonda es inadecuada, el paciente no es candidato para una decorticación o si el pulmón no llena completamente la cavidad torácica después de una decorticación; además, es una técnica que se puede utilizar incluso en pacientes inestables.16 En nuestro caso, no tuvo buena respuesta al tratamiento al realizar toracotomía con sonda y se decidió como tratamiento la ventana pleural con técnica de Eloesser para conseguir un drenaje continuo del espacio pleural.

La integridad y estabilidad de la pared torácica aseguran la protección de los órganos internos y el mantenimiento de la mecánica respiratoria, además es un sustento de la extremidad superior, por tal motivo, es necesaria la reconstrucción, ya que juega un papel anatómico y funcional importante y para este propósito se han propuesto diferentes técnicas. Para realizar la reconstrucción es necesario determinar el tamaño del defecto, ubicación, profundidad, viabilidad del tejido circundante, arcos costales comprometidos y procedimientos previos realizados.17

La reconstrucción de la pared torácica en pacientes con fístulas broncopleurales y empiema se puede lograr mediante tratamientos quirúrgicos como toracoplastia y transferencia de colgajo muscular. La toracoplastia ha demostrado ser un procedimiento de obturación confiable, pero, según se informa, sus desventajas incluyen escoliosis progresiva, dolor crónico, insuficiencia pulmonar progresiva y una apariencia estética mutilante, por lo que el procedimiento se ha vuelto obsoleto. Los colgajos musculares pediculados son ideales para llenar un espacio contaminado debido a la basta irrigación y capacidad para llegar a casi cualquier lugar del espacio pleural.18 Los músculos que se utilizan con mayor frecuencia son el dorsal ancho, serrato anterior, pectoral mayor y recto abdominal, para obliterar el espacio muerto y reforzar el muñón bronquial.19

El colgajo dorsal ancho es un colgajo muscular tipo V de la clasificación de Mathes y Nahai, su irrigación arterial dominante proviene de la arteria toracodorsal, es una opción reconstructiva regional que permite dar cobertura y obliterar un espacio importante con mínima tensión; aduce, extiende y rota internamente el brazo. Como pertenece al grupo muscular de la cintura escapular, cuenta con la ventaja de no otorgar una morbilidad importante a la función del miembro torácico.19,20 El músculo puede alcanzar la pared posterior ipsilateral y lateral del tórax, puede cubrir defectos que ocupen la pared anterior del tórax, esternón y mediastino. Este método se ha utilizado para el cierre de fístulas broncopleurales, cierre en segundo tiempo de empiema crónico, empiema tuberculoso y aspergiloma pulmonar, con buenos resultados. Debido a su gran tamaño, la posibilidad de incorporar múltiples tipos de tejido, pedículo relativamente largo y vasos robustos es posiblemente uno de los colgajos más versátiles y adecuados para la reconstrucción del tórax.19-21 Se debe tener en cuenta colocar drenaje apropiado al sitio donante, ya que la aparición de seromas es frecuente. En nuestro caso la opción reconstructiva que se brindó fue un colgajo miocutáneo de dorsal ancho pediculado, que rotó aproximadamente 90o y se invaginó dentro del defecto para obliterarlo; después se realizó una remodelación de la piel para efectuar un cierre primario, previa colocación de dos drenajes abiertos tipo Drenovac, de 1/4 cada uno, resultando una reconstrucción completa en un solo tiempo quirúrgico.

El colgajo pectoral mayor es un colgajo muscular tipo V de la clasificación de Mathes y Nahai. Su origen es doble: una porción clavicular que se origina en la mitad anterior medial de la clavícula y una porción esternal que se origina en el manubrio anterior, el esternón, del primer al sexto cartílago costal y una porción hacia la aponeurosis del oblicuo externo. Su irrigación predominante proviene de la arteria acromio torácica y contiene varios pedículos secundarios. El colgajo pectoral mayor permite la cobertura de defectos del esternón y la región anterior del tórax mediante la modalidad de isla o colgajo de avance. El colgajo se puede voltear sobre las perforantes de la mamaria interna cubriendo defectos del mediastino, se puede utilizar como colgajo musculocutáneo, o incluso osteomusculocutáneo. Puede ocasionar un resultado estético desfavorable debido a la deformidad del sitio donante, la cicatriz y la pérdida del pliegue axilar anterior.22

El colgajo de recto abdominal es un colgajo muscular tipo III de la clasificación de Mathes y Nahai, es irrigado por dos pedículos dominantes: la arteria epigástrica superior y la arteria epigástrica inferior profunda. Se origina en la apófisis xifoides y los cartílagos costales del quinto al octavo, insertándose en la superficie anterior de la sínfisis del pubis. Se pueden cubrir defectos en la pared torácica anterior, la región esternal y obliterar espacios en el mediastino. Se extrae con mayor frecuencia basándose en la parte superior de la arteria epigástrica, ya sea como un músculo o como un colgajo musculocutáneo; se utiliza particularmente cuando se requiere un gran volumen de tejido en la región central, cuando existe pérdida de tejido central que se extiende hacia áreas xifoideas o epigástrica, cuando el colgajo dorsal ancho no es suficiente o ya ha sido utilizado. Cuando se toma con fascia puede debilitar la pared abdominal, aumentando la posibilidad de presentar hernias, esto hace necesaria la colocación de mallas en la pared abdominal para su reforzamiento.23

Se ha descrito el colgajo de epiplón mayor pediculado como tratamiento de la tuberculosis de la pared torácica cuando no existe la posibilidad de utilizar un colgajo muscular, con buenos resultados. Este colgajo se ha utilizado en el tratamiento de infecciones esternales, empiema crónico y como refuerzo de muñón bronquial. El epiplón mayor tiene una gran vascularización con una red linfática extensa, secreta factores de respuesta inmunológica y puede transportar células inmunológicamente competentes. Con este colgajo se pueden cubrir heridas en el mediastino, la pared anterior, la pared lateral y la pared posterior del tórax. Se puede colocar isoniacida o estreptomicina en aerosol sobre la superficie de la herida, previa hemostasia. Se puede obtener a través de laparotomía o laparoscopia. El colgajo posee dos pedículos dominantes: la arteria gastroepiploica derecha e izquierda. La longitud del pedículo es grande, ya que se puede extender dividiendo las arcadas internas, se puede elevar a través de un túnel subcutáneo para llenar el espacio residual y se moviliza hacia el tórax o mediastino a través del diafragma o sobre el margen costal. El hígado ayuda a reforzar la incisión y a prevenir la formación de hernias. Se debe tener precaución en pacientes con intervenciones abdominales previas por la posibilidad de adherencias.24

Se ha reportado una tasa de éxito de 90% en toracomioplastias, con una mortalidad de 5% en transposición de colgajos utilizados como tratamiento en pacientes con tuberculosis activa, infecciones resistentes a múltiples fármacos, empiema postoperatorio, empiema crónico, ruptura intrapleural de cavidad pleural y fistulas broncopleurales. Las complicaciones locales incluyeron infección intratorácica, necrosis cutánea y fístula torácica externa.25 Nuestro paciente no tuvo complicaciones postoperatorias y fue dado de alta cuatro días después de la cirugía por presentar mejoría.

Se ha reportado mejoría del patrón respiratorio posterior a la cobertura del defecto.26 Para valorar la función respiratoria se debe realizar una espirometría, si existen datos característicos de un patrón restrictivo; como segunda prueba se realizará una pletismografía que valore la capacidad pulmonar total (TLC) que confirme restricción pulmonar.27 En nuestro caso se realizó espirometría previa al procedimiento quirúrgico, reportando una FEV1/FVC de 87.5 y FVC de 58.4, compatible con un patrón restrictivo moderadamente severo. Cuatro meses después se reportó una FEV1/FVC de 83.5 y FVC de 64.6, compatible con un patrón restrictivo moderado. Se obtuvo un aumento de 11% de la FVC comparado con el estudio previo, observando una mejoría del patrón restrictivo.



CONCLUSIóN

La reconstrucción de los defectos de la pared torácica a través de un colgajo de músculo dorsal ancho pediculado es una opción reconstructiva en pacientes con secuelas de tuberculosis pulmonar y pleural complicada con derrame pleural persistente, tratada con ventana pleural con técnica de Eloesser en región lateral del tórax, con resultados estéticos aceptables, obliteración completa del defecto y mejoría del patrón respiratorio predominante, sin morbilidad significativa de la zona donante.


REFERENCIAS (EN ESTE ARTÍCULO)

  1. Manual de procedimientos estandarizados para la vigilancia epidemiológica de las micobacterias (tuberculosis y lepra). Dirección general de epidemiología. Secretaría de Salud. Febrero 2019.

  2. Horsburgh CR, Barry CE, Lange C. Treatment of tuberculosis. New Engl J Med 2015; 373 (22): 2149-2160.

  3. Chaves TNM, Quijano RJJ, Porras APS et al. Factors predictive of success of tuberculosis treatment: A systematic review and meta-analysis. PLoS ONE 2019; 14 (12): e0226507.

  4. Zanotti G, Mitchell JD. Bronchopleural fistula and empyema after anatomic lung resection. Thorac Surg Clin 2015; 25 (4): 421-427.

  5. Boudaya MS, Smadhi H, Zribi H et al. Conservative management of postoperative bronchopleural fistulas. J Thorac Cardiovasc Surg 2013; 146: 575-579. doi: 10.1016/j.jtcvs.2013.04.023

  6. Romero Marín MP, Romero Rondon SK, Sanchez Robayo J et al. Secuelas estructurales y funcionales de tuberculosis pulmonar: una revisión de tema. Revista Americana de Medicina Respiratoria 2016; 2: 163-169.

  7. Global tuberculosis report 2019. Geneva: World Health Organization; 2019. Licence: CC BY-NC-SA 3.0 IGO.

  8. Lee JY. Diagnosis and treatment of extrapulmonary tuberculosis. Tuberc Respir Dis 2015; 78 (2): 47-55.

  9. Ramírez-Lapausa M, Menéndez-Saldaña A, Noguerando-Asensio A. Tuberculosis extrapulmonar, una revisión. Rev Esp Sanid Penit 2015; 17: 3-11.

  10. Ferreiro L, San José E, Valdés L. Derrame pleural tuberculoso. Archivos de Broconeumología 2014; 50 (10): 435-443.

  11. Shaw JA, Irusen EM, Diacon AH et al. Pleural tuberculosis: a concise clinical review. Clin Resp J 2018; 12: 1779-1786.

  12. Zaheer S, Allen MS, Cassivi SD et al. Postpneumonectomy empyema: results after the Clagett procedure. Ann Thorac Surg 2006; 82 (1): 279-286; discussion 86-7.

  13. Cardillo G, Carbone L, Carleo F et al. The rationale for treatment of postresectional bronchopleural fistula: analysis of 52 patients. Ann Thorac Surg 2015; 100: 251-257. doi: 10.1016/j.athoracsur.2015.03.014.

  14. Han XW, Yin MP, Li L et al. Customized airway stenting for bronchopleural fistula after pulmonary resection by interventional technique: single-center study of 148 consecutive patients. Surg Endosc 2018; 32: 4116-4124.

  15. Shin K, Hifumi T, Tsugitomi R, Isokawa S, Shimizu M, Otani N, et al. Empyema with fistula successfully treated with a comprehensive approach including bronchial blocker and embolization receiving veno-venous extracorporeal membrane oxygenation. Acute Med Surg 2021; 8 (1): e621.

  16. Denlinger EC. Eloesser flap thoracostomy window. Operative Techniques in Thoracic and Cardiovascular Surgery 2010; 15 (1): 61-69.

  17. Sanna S, Brandolini J, Pardolesi A et al. Materials and techniques in chest wall reconstruction: a review. J Vis Surg 2017; 3 (7): 95.

  18. He Z, Shen L, Xu W, He X. Effective treatment of bronchopleural fistula with empyema by pedicled latissimus dorsi muscle flap transfer: two case report. Medicine (Baltimore). 2020; 99 (41): e22485

  19. Rubin JP, Neligan P. Reconstruction of the chest. In: Plastic Surgery Volume 4: Lower extremity, trunk and burns. Elsevier. USA. August 8, 2017: 239-255 ISBN: 9780323356978

  20. Kim BJ, Hong IP, Chung CM et al. Treatment of tuberculous empyema by intrathoracic transposition of a latissimus dorsi muscle flap. Arch Plast Surg 2016; 43 (1): 117-119.

  21. Abolhoda A, Bui TD, Milliken JC et al. Pedicled latissimus dorsi muscle flap: routine use in high-risk thoracic surgery. Tex Heart Inst J 2009; 36 (4): 298-302.

  22. Nomori H, Horio H, Hasegawa T, Suemasu K. Intrathoracic transposition of a pectoralis major and pectoralis minor muscle flap for empyema in patients previously subjected to posterolateral thoracotomy. Surgery Today 2001; 31 (4): 295-299.

  23. Bakri K, Mardini S, Evans KK, Carlsen BT, Arnold PG. Workhorse flaps in chest wall reconstruction: the pectoralis major, latissimus dorsi, and rectus abdominis flaps. Sem Plast Surg 2011; 25 (1): 43-54.

  24. Botianu PV-H, Botianu AM. Thoracomyoplasty in the treatment of empyema: current indications, basic principles, and results. Pulm Med 2012; 2012: 418514.

  25. Zhang N, Xu QZ, Fu XN, Sun W. Use of a pedicled omental flap in the treatment of chest wall tuberculosis. Ann Thorac Surg 2012; 93 (3): 1010-1012.

  26. Cicero R, Del Vecchyo C, Porter JK et al. Open window thoracostomy and plastic surgery with muscle flaps in the treatment of chronic empyema. Chest 1986; 89 (3): 374-377.

  27. Guerrero ZS, Vázquez GJC, Gochicoa RL et al. Pletismografía corporal: recomendaciones y procedimiento. Neumol Cir Tórax 2016; 75 (4): 296-307.



AFILIACIONES

1 Cirujano plástico adscrito. Servicio de Cirugía Plástica y Reconstructiva. Hospital General de México "Dr. Eduardo Liceaga".

2 Médico pasante en servicio social. Servicio de Cirugía Plástica y Reconstructiva. Hospital General de México "Dr. Eduardo Liceaga".

3 Médico residente de Cirugía Plástica y Reconstructiva. Servicio de Cirugía Plástica y Reconstructiva. Hospital General de México "Dr. Eduardo Liceaga".

4 Jefe del Servicio de Cirugía Plástica y Reconstructiva. Servicio de Cirugía Plástica y Reconstructiva. Hospital General de México "Dr. Eduardo Liceaga".



Conflicto de intereses: Los autores declaran no tener conflicto de intereses.



CORRESPONDENCIA

Dr. Rodolfo Luciano Ríos Lara-y López. E-mail: cirugiaplastica.dr.rioslara@gmail.com




Recibido: 06 enero 2021. Aceptado: 10 enero 2022

Figura 1
Figura 2
Figura 3
Tabla 1
Tabla 2

2020     |     www.medigraphic.com

Mi perfil

C?MO CITAR (Vancouver)

Cir Plast. 2022;32

ARTíCULOS SIMILARES

CARGANDO ...