medigraphic.com
ENGLISH

Cirugía Plástica

ISSN 2992-8559 (Digital)
ISSN 1405-0625 (Impreso)
  • Mostrar índice
  • Números disponibles
  • Información
    • Información general        
    • Directorio
  • Publicar
    • Instrucciones para autores        
    • Envío de artículos
  • Políticas
    • Políticas éticas
    • Políticas de acceso abierto
    • Políticas de revisión de manuscritos
    • Políticas editoriales generales
  • medigraphic.com
    • Inicio
    • Índice de revistas            
    • Registro / Acceso
  • Mi perfil

2022, Número 1

<< Anterior

Cir Plast 2022; 32 (1)


Gigantomastia asociada a hiperplasia estromal pseudoangiomatosa

Quiñones-Zamudio, Omar1; González-Martínez, José2; Hinojosa-Paniagua, José Renato3
Texto completo Cómo citar este artículo 10.35366/106108

DOI

DOI: 10.35366/106108
URL: https://dx.doi.org/10.35366/106108
Artículos similares

Idioma: Español
Referencias bibliográficas: 23
Paginas: 58-64
Archivo PDF: 467.65 Kb.


PALABRAS CLAVE

Gigantomastia, hiperplasia estromal pseudoangiomatosa, injerto graso.

RESUMEN

La gigantomastia es una patología que tratamos frecuentemente, por lo que es importante conocer los distintos problemas a los que nos podemos enfrentar. Reportamos un caso de gigantomastia donde el acceso de mamoplastia de reducción con técnica de pedículo superior se modificó, debido a los hallazgos transoperatorios, a una mastectomía total con injerto libre de pezón. Se realizó la resección de 4.8 kg en la mama derecha y 3.4 kg en la mama izquierda. El estudio histopatológico definitivo con inmunohistoquímica reportó hiperplasia estromal pseudoangiomatosa, una entidad rara que puede presentarse en la mama de manera localizada, difusa, unilateral o bilateralmente. La paciente se mantuvo en seguimiento durante un año sin realizar manejo reconstructivo, ya que la hiperplasia estromal pseudoangiomatosa presenta una alta tasa de recidiva cuando no se ha realizado la resección completa del tejido mamario. En este caso se realizó reconstrucción mamaria con injerto graso en tres eventos quirúrgicos.



INTRODUCCIóN

La gigantomastia es una condición de la mama caracterizada por crecimiento excesivo del tejido mamario que produce alteraciones físicas y psicosociales importantes.1 Se asocia con dolor en ambas mamas, ulceración, infecciones, dolor de espalda, cuello y hombros; pérdida de la sensibilidad en el pezón y estigma social. Se ha definido arbitrariamente como una mama de tamaño que requiere una reducción de 1.5 kg o más,2 o exceso de tejido mamario que contribuye a 3% o más del peso total del paciente.1 Dancey y colaboradores2 propusieron una clasificación basada en la causa, manejo y pronóstico de la enfermedad.

La gigantomastia secundaria a hiperplasia estromal pseudoangiomatosa (HEPA) es una enfermedad benigna de la mama,3 que se caracteriza por presentar proliferación densa del estroma de la mama.4,5 Se acompaña con tumores blandos, gelatinosos, pudiendo ser únicos o múltiples, de crecimiento localizado o difuso, con o sin dolor y una historia de pocos meses de incremento en el tamaño de la mama.6,7



CASO CLíNICO

Mujer de 22 años con antecedentes de epilepsia, estrés psicosocial y trastorno de la imagen corporal. Inició su sintomatología en 2013 con aumento del tamaño de ambas mamas, pasando de talla 32 A a 42 DDD en un periodo de 12 meses, con un volumen aproximado en marzo de 2014 de 1,600 mL, momento en el que se recibió en el servicio de cirugía plástica y reconstructiva del Hospital de Especialidades del Centro Médico Nacional Siglo XXI (Figura 1). Al examen físico se observó con ptosis severa, humedad y dermatosis, disminución de la sensibilidad en la zona periférica al complejo areola pezón y refería sintomatología asociada al volumen mamario (Figura 2). Previo al envío a nuestro servicio fue sometida a biopsia de tumor de mama izquierda, con reporte histopatológico de fibroadenoma juvenil, de 6 cm de diámetro. Se programó para mamoplastia de reducción en noviembre de 2014, con técnica de Dufourmentel-Mouly. Durante el procedimiento se observó macroscópicamente el tejido mamario infiltrado por múltiples nódulos, con importante acumulación de linfa proveniente del parénquima (Figura 3). Se solicitó estudio histopatológico transoperatorio que reportó "probable linfangioma de mama", por lo que se decidió realizar mastectomía subcutánea con injerto libre del complejo areola pezón.

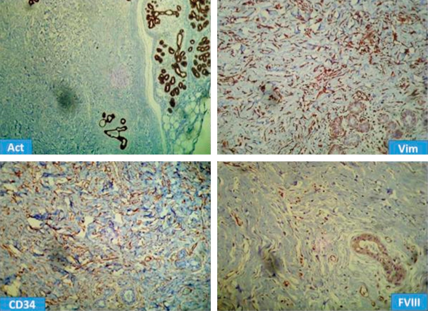
El reporte macroscópico fue: mama derecha de 4.8 kg, de 25 × 22 × 6.5 cm, con tejido subyacente lobulado, con múltiples nódulos intercalados por tejido adiposo, así como tejido fibronectino. La mama izquierda de 3.4 kg, de 24.5 × 19 × 5 cm, con tejido intercalado por septos de tejido fibronectino y tejido adiposo (Figura 4). Al microscopio se observó la proliferación de miofibroblastos del estroma mamario y hendiduras anastomosadas de aspecto vascular, sin presentar cuerpos de Weibel-Palade ni vesículas pinocíticas. Las pruebas de inmunohistoquímica resultaron positivas para actina, vimentina y CD-34, mientras que el Factor VIII fue negativo, siendo compatibles con el inmunofenotipo de la HEPA (Figura 5).

La paciente evolucionó adecuadamente y se mantuvo en vigilancia durante un año. Se realizó resonancia magnética, sin evidencia de presencia o nuevo crecimiento de tejido mamario, por lo que se inició la reconstrucción mamaria con injerto graso en tres sesiones: en noviembre de 2015, mayo y octubre de 2016. En la actualidad no presenta datos de recidiva (Figura 6).



DISCUSIóN

La gigantomastia asociada a HEPA es una entidad rara, descrita en poco más de 200 casos reportados, en un rango de edad de 12 a 75 años, siendo más común en mujeres premenopáusicas.8-10 También se ha descrito en hombres con antecedente de ginecomastia.10,11

Suele manifestarse como un tumor solitario, firme, indoloro, bien delimitado, móvil y unilateral, imitando un fibroadenoma,10 diagnóstico que fue reportado en esta paciente. Este no es el único comportamiento, ya que también puede ser multifocal con un crecimiento masivo y difuso, de una mama y raramente de las dos, con crecimiento rápido que semeja un tumor.10,12

Si bien, el crecimiento mamario de la paciente se presentó en un periodo corto y con el protocolo preoperatorio, estudios de imagen y biopsias, no es lo habitual pensar que una mamoplastia de reducción finalizara en mastectomía. Estamos habituados a manipular tejido mamario y las características del tejido observadas en el transoperatorio dieron la pauta para su manejo.

En comparación con lo que reporta la literatura, nuestro caso no tenía una presentación común, ya que fue en forma difusa bilateral que alcanzó gran volumen mamario.

La HEPA se debe a una respuesta exagerada y aberrante de los miofibroblastos mamarios, debido al estímulo hormonal, que puede ser endógeno o exógeno y la progesterona es la principal hormona implicada,10,13,14 alcanzando tamaños de 0.6 a 12 cm.8,10,15,16

El diagnóstico se realiza por histopatología y lo más común es que sea un hallazgo incidental. Jones y colaboradores17 describieron los hallazgos radiológicos (mastografía, ultrasonido, resonancia magnética y tomografía axial computada), no siendo suficientes para un diagnóstico definitivo.

El reporte en el transoperatorio fue de un probable linfangioma, sin embargo, los primeros análisis del tejido completo reportaron la posibilidad de este diagnóstico, lo que significó un gran acierto por parte del servicio de patología, quienes ya con la inmunohistoquímica lo confirmaron.

Microscópicamente se caracteriza por una proliferación de miofibroblastos. El sobrecrecimiento estromal produce numerosos espacios anastomosados semejando estructuras vasculares, sin ser vasos sanguíneos.11,18 Tuvo prueba de inmunohistoquímica positiva para vimentina, actina, CD-34 y receptores de progesterona, así como marcadores vasculares negativos CD-31 y factor VIII.10

El desconocimiento de la entidad obligó la búsqueda de bibliografía al respecto y el tratamiento quirúrgico es el más efectivo,19 pudiendo ser una escisión con márgenes adecuados;20 sin embargo, en ocasiones una mastectomía será necesaria con base en las características y extensión de tejido afectado, como se realizó en la paciente, debido a la afectación difusa y generalizada en ambas mamas.8,10

La reconstrucción de mama se clasifica en general en tres categorías: basada en aloplásticos, reconstrucción por colgajos pediculados o microquirúrgicos y, de reciente popularidad, la utilización de injerto graso.

En el caso específico de la HEPA, no existe una guía o recomendación para la reconstrucción mamaria. Existen reportes de casos de reconstrucción secundaria a mastectomía subcutánea bilateral con implantes y soporte dérmico,21 mastectomía con patrón de Wise y reconstrucción a base de expansor y posterior colocación de implante,22 mastectomía subcutánea bilateral y ulterior colocación de prótesis, o mastectomía de reducción con seguimiento.11

La decisión sobre qué método utilizaremos nos lleva a evaluar las herramientas y recursos que tenemos disponibles.20 Probablemente la mejor estrategia de reconstrucción, como está descrito en la literatura en casos similares al de nuestra paciente, habría sido expansor-implante; sin embargo, el manejo fue realizado en una institución pública, donde no contamos con esos recursos. Cuando evaluamos la posibilidad de colgajos pediculados o microquirúrgicos, analizamos la morbilidad que podemos causar a una paciente a los 22 años; es entonces que por nuestra amplia experiencia en el uso de la grasa en reconstrucción mamaria, se optó por dicha estrategia. La paciente tenía áreas donadoras de grasa adecuadas, principalmente en abdomen.20,22

Independientemente del método utilizado, recomendamos un seguimiento a largo plazo para detectar recidivas. Nuestra paciente se mantuvo en vigilancia todo un año, durante el cual se hizo una resonancia magnética, la cual no mostró evidencia de nuevo crecimiento de tejido mamario, mismo seguimiento que se continuó hasta dos años después de la reconstrucción hasta su alta del servicio.11

En los casos descritos donde existe recurrencia, ésta ocurre principalmente en la mama ipsilateral. Las lesiones recurrentes se comportan de manera benigna y se maneja con reescisión.8,10

El tratamiento médico no está bien establecido, se ha estudiado el uso del tamoxifeno, aunque no siempre sea efectivo.7,23

El pronóstico es excelente, no se considera una lesión premaligna y cuando coexiste con procesos malignos se considera un hallazgo incidental. El angiosarcoma de bajo grado es el principal diagnóstico diferencial que hay que descartar.11,15



CONCLUSIONES

La gigantomastia significa un reto en cuanto a la técnica de mamoplastia de reducción que vamos a realizar. No debemos pasar por alto un adecuado protocolo preoperatorio y tener en mente patologías poco frecuentes, como la hiperplasia estromal pseudoangiomatosa, cuyo manejo no está bien establecido, ya que si bien es una patología benigna, su comportamiento es de un crecimiento descontrolado, por lo que tiene que ser resecado en su totalidad debido a la alta recidiva que tiene. El tratamiento entonces consiste en una resección con márgenes adecuados o mastectomía total, evaluar las condiciones de la mama y otorgar el mejor resultado estético, ya sea mediante técnicas de mamoplastia de reducción o técnicas de reconstrucción mamaria, a preferencia y experiencia del cirujano.

Es imperativo reportar este tipo de casos y el manejo que hemos hecho, para seguir estableciendo pautas terapéuticas y algoritmos que permitan la toma de decisiones en el futuro.


REFERENCIAS (EN ESTE ARTÍCULO)

  1. Dafydd H, Roehl KR, Phillips LG, Dancey A, Peart F, Shokrollahi K. Redefining gigantomastia. J Plast Reconstr Aesthet Surg 2011; 64 (2): 160-163.

  2. Dancey A, Khan M, Dawson J, Peart F. Gigantomastia--a classification and review of the literature. J Plast Reconstr Aesthet Surg 2008; 61 (5): 493-502.

  3. Vuitch MF, Rosen PP, Erlandson RA. Pseudoangiomatous hyperplasia of mammary stroma. Hum Pathol 1986; 17 (2): 185-191.

  4. Machado M, Garzón A, Muñoz V, Flores Turk MG. Hiperplasia estromal pseudoangiomatosa de la mama (PASH): presentación de dos casos. Revista Argentina de Radiología 2009; 73 (4): 433-436.

  5. Hanby AM, Walker C, Tavassoli FA, Devilee P. Pathology and genetics: tumors of the breast and female genital organs. WHO Classification of Tumors series - volume IV. Lyon, France: IARC Press. Breast Cancer Res 2004; 6: 133.

  6. Taira N, Ohsumi S, Aogi K et al. Nodular pseudoangiomatous stromal hyperplasia of mammary stroma in a case showing rapid tumor growth. Breast Cancer 2005; 12 (4): 331-336.

  7. Amenomori M, Hayashi T, Abe K, Itoyanagi N, Kohno S. A case of pseudoangiomatous stromal hyperplasia of the breast presenting with chest pain. The Open Breast Cancer Journal 2009; 1: 10-13.

  8. Powell CM, Cranor ML, Rosen PP. Pseudoangiomatous stromal hyperplasia (PASH). A mammary stromal tumor with myofibroblastic differentiation. Am J Surg Pathol 1995; 19 (3): 270-277.

  9. Wieman SM, Landercasper J, Johnson JM et al. Tumoral pseudoangiomatous stromal hyperplasia of the breast. Am Surg 2008; 74 (12): 1211-1214.

  10. Virk RK, Khan A. Pseudoangiomatous stromal hyperplasia: an overview. Arch Pathol Lab Med 2010; 134 (7): 1070-1074.

  11. Bowman E, Oprea G, Okoli J et al. Pseudoangiomatous stromal hyperplasia (PASH) of the breast: a series of 24 patients. Breast J 2012; 18 (3):242-247.

  12. Yoo K, Woo OH, Yong HS et al. Fast-growing pseudoangiomatous stromal hyperplasia of the breast: report of a case. Surg Today 2007; 37 (11): 967-970.

  13. Anderson C, Ricci A Jr, Pedersen CA, Cartun RW. Immunocytochemical analysis of estrogen and progesterone receptors in benign stromal lesions of the breast. Evidence for hormonal etiology in pseudoangiomatous hyperplasia of mammary stroma. Am J Surg Pathol 1991; 15 (2): 145-149.

  14. Zanella M, Falconieri G, Lamovec J, Bittesini L. Pseudoangiomatous hyperplasia of the mammary stroma: true entity or phenotype? Pathol Res Pract 1998; 194 (8): 535-540.

  15. Ferreira M, Albarracin CT, Resetkova E. Pseudoangiomatous stromal hyperplasia tumor: a clinical, radiologic, and pathologic study of 26 cases. Mod Pathol 2008; 21 (2): 201-207.

  16. Polger MR, Denison CM, Lester S, Meyer JE. Pseudoangiomatous stromal hyperplasia: mammographic and sonographic appearances. AJR Am J Roentgenol 1996; 166 (2): 349-352.

  17. Jones KN, Glazebrook KN, Reynolds C. Pseudoangiomatous stromal hyperplasia: imaging findings with pathologic and clinical correlation. AJR Am J Roentgenol 2010; 195 (4): 1036-1042.

  18. Goel NB, Knight TE, Pandey S, Riddick-Young M, de Paredes ES, Trivedi A. Fibrous lesions of the breast: imaging-pathologic correlation. Radiographics 2005; 25 (6): 1547-1559.

  19. Kling RE, Tobler WD Jr, Gusenoff JA, Rubin JP. Avoiding complications in gigantomastia. Clin Plast Surg 2016; 43 (2): 429-439.

  20. Jaunoo SS, Thrush S, Dunn P. Pseudoangiomatous stromal hyperplasia (PASH): a brief review. Int J Surg 2011; 9 (1): 20-22.

  21. Jung BK, Nahm JH, Lew DH, Lee DW. Treatment of pseudoangiomatous stromal hyperplasia of the breast: implant-based reconstruction with a vascularized dermal sling. Arch Plast Surg 2015; 42 (5): 630-634.

  22. Oppenheimer AJ, Oppenheimer DC, Fiala TG, Noori S. Pseudoangiomatous stromal hyperplasia: a rare cause of idiopathic gigantomastia. Plast Reconstr Surg Glob Open 2016; 4 (1):e593.

  23. Pruthi S, Reynolds C, Johnson RE, Gisvold JJ. Tamoxifen in the management of pseudoangiomatous stromal hyperplasia. Breast J 2001; 7 (6): 434-439.



AFILIACIONES

1 Cirujano plástico adscrito del Servicio de Cirugía Plástica y Reconstructiva, Hospital de Especialidades, Centro Médico Nacional Siglo XXI, Instituto Mexicano del Seguro Social (IMSS). Ciudad de México, México.

2 Cirujano plástico, Jefe del Servicio de Cirugía Plástica y Reconstructiva, Hospital de Especialidades, Centro Médico Nacional Siglo XXI, Instituto Mexicano del Seguro Social (IMSS). Ciudad de México, México.

3 Médico residente de Cirugía Plástica y Reconstructiva. Servicio de Cirugía Plástica y Reconstructiva, Centro Médico Nacional 20 de Noviembre, Instituto de Seguridad y Servicios Sociales para los Trabajadores del Estado (ISSSTE). Ciudad de México, México.



Conflicto de intereses: Los autores declaran no tener conflicto de intereses.



CORRESPONDENCIA

Dr. José Renato Hinojosa-Paniagua. E-mail: drenatohinojosacpr@outlook.com




Recibido: 21 abril 2021. Aceptado: 14 febrero 2022

Figura 1
Figura 2
Figura 3
Figura 4
Figura 5
Figura 6

2020     |     www.medigraphic.com

Mi perfil

C?MO CITAR (Vancouver)

Cir Plast. 2022;32

ARTíCULOS SIMILARES

CARGANDO ...