medigraphic.com
ENGLISH

Revista Mexicana de Anestesiología

ISSN 3061-8142 (Digital)
ISSN 0484-7903 (Impreso)
  • Mostrar índice
  • Números disponibles
  • Información
    • Información general        
    • Directorio
  • Publicar
    • Instrucciones para autores        
  • medigraphic.com
    • Inicio
    • Índice de revistas            
    • Registro / Acceso
  • Mi perfil

2022, Número 4

<< Anterior Siguiente >>

Rev Mex Anest 2022; 45 (4)


Intubación orotraqueal a través de mascarilla laríngea Ambu AuraOnce™ en paciente con lesión de médula espinal cervical

López-Hernández, Mercedes Nicté1; Wilson-Manríquez, Eduardo Antonio2; López-Jiménez, Francisco Alejandro1
Texto completo Cómo citar este artículo 10.35366/106348

DOI

DOI: 10.35366/106348
URL: https://dx.doi.org/10.35366/106348
Artículos similares

Idioma: Español
Referencias bibliográficas: 18
Paginas: 280-284
Archivo PDF: 290.56 Kb.


PALABRAS CLAVE

Mascarilla laríngea, lesión espinal cervical, intubación orotraqueal.

RESUMEN

Reportamos el manejo exitoso de la vía aérea con intubación orotraqueal a través de una máscara laríngea AuraOnceTM en un paciente con lesión de la médula espinal cervical. Su uso fue como dispositivo de rescate de la vía aérea tras intubación orotraqueal fallida con laringoscopía directa y dificultad para la ventilación con mascarilla en una paciente traumatizada de 46 años. Se tomó la decisión de utilizar la mascarilla laríngea sin intubación como conducto para la colocación de un tubo orotraqueal, lo cual se realizó con éxito. Este uso alternativo de la mascarilla laríngea Ambu AuraOnce podría ser de gran valor para los trabajadores de la salud en países de escasos recursos donde los dispositivos avanzados para las vías respiratorias no están fácilmente disponibles.



INTRODUCCIóN

El manejo de la vía aérea es el primer paso crucial en el manejo efectivo del paciente politraumatizado; ésta cobra mayor importancia y dificultad cuando se suma una lesión vertebral cervical. En estos casos, el manejo inadecuado de la vía aérea puede causar mayor daño espinal con desenlaces posiblemente letales. A parte de la laringoscopía directa, múltiples herramientas para el manejo de la vía aérea han sido validadas y son ampliamente recomendadas para estas situaciones, entre éstas se encuentran el broncoscopio de fibra óptica flexible y el v ideolaringoscopio. Sin embargo, en países con pocos recursos y pobre infraestructura de salud pueden no estar disponibles.

El paciente politraumatizado tiene diferentes factores de riesgo para una complicación durante el abordaje de la vía aérea, como son: trauma facial, secreciones y sangre, estómago lleno, inestabilidad hemodinámica, lesión cervical y la experiencia del anestesiólogo.

Presentamos el caso del uso novedoso de la mascarilla laríngea Ambu AuraOnce como intermediario hacia la intubación endotraqueal en una paciente con trauma cervical y lesión medular.



REPORTE DE CASO

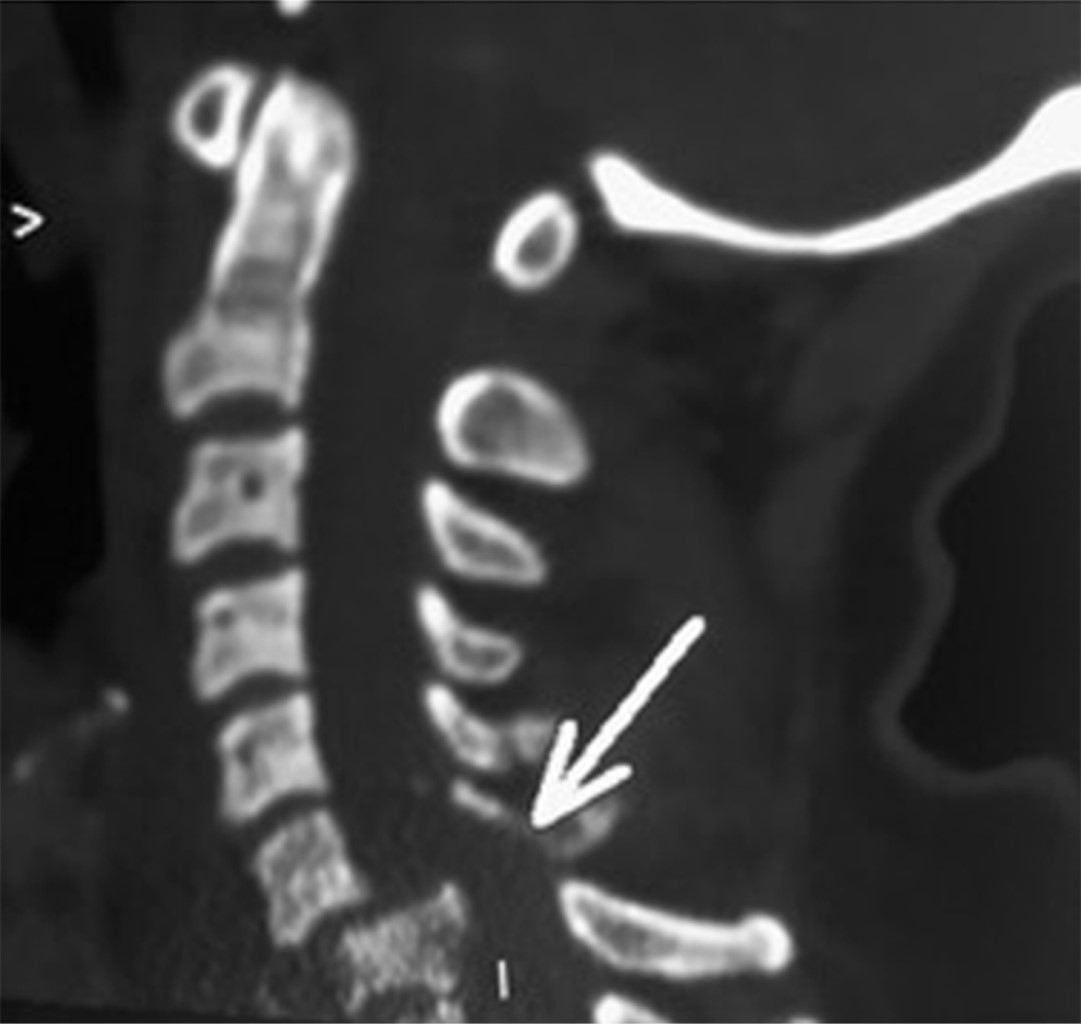
Paciente femenino de 46 años, se presenta en la sala de urgencias con politrauma secundario a accidente automovilístico. A su ingreso refería disnea, dolor de extremidades superiores e inferiores izquierdas y dolor cervical. A la exploración física se encontraba con inmovilización cervical con collarín rígido, saturación de oxígeno de 94% con mascarilla reservorio 10 L/min, presión arterial 74/52 mmHg, frecuencia cardíaca de 52 latidos por minuto, 18 respiraciones por minuto, Glasgow 15/15 con un peso de 88 kilogramos y estatura 1.54 metros (índice de masa corporal de 37.13). En el abordaje radiológico, la tomografía axial computarizada reveló una fractura multifragmentada de cuerpo vertebral de C7 con desplazamiento posterior cercano a 50% con disminución de la amplitud del conducto raquídeo (Figuras 1 y 2). Otros diagnósticos integrados fueron contusiones en hemitórax izquierdo, fracturas de tibia y peroné izquierdas y luxación de codo izquierdo.

Se decidió la intervención quirúrgica para descompresión medular, reducción y fijación de la fractura cervical. Se realizó inducción de secuencia rápida con fentanyl 300 μg, propofol 140 mg y rocuronio 50 mg. Se retiró collar cervical y bajo maniobra de fijación en línea media (MILS, por sus siglas en inglés) se realizó laringoscopía directa con hoja Macintosh #3 visualizando Cormack-Lehane grado IV (Figura 3), con incapacidad para la intubación con sonda endotraqueal armada ferulizada. Ante descenso de la saturación de oxígeno se efectuaron tres ventilaciones manuales con mascarilla y se percibió inadecuada ventilación tanto clínicamente como por capnografía, por lo que se decidió colocar mascarilla laríngea marca Ambu AuraOnce No. 4 (Figura 4), esto debido a la ausencia de fibroscopio flexible y v ideolaringoscopio en el centro hospitalario. Se confirmó adecuada colocación de la mascarilla laríngea y ventilación mediante auscultación de campos pulmonares y por capnografía. Se realizó una intubación endotraqueal a ciegas a través de la mascarilla laríngea al primer intento con un tubo endotraqueal de 6.5 mm de diámetro interno (Figura 5). Se verificó la adecuada colocación con auscultación de campos pulmonares y capnografía; posteriormente, se retiró mascarilla laríngea bajo MILS y nuevamente se verificó el adecuado posicionamiento del tubo endotraqueal con capnografía y auscultación de campos pulmonares (Figura 6).

La paciente pasó a quirófano a descompresión y fijación quirúrgica de la columna cervical bajo anestesia general balanceada.



DISCUSIóN

La lesión de médula espinal cervical afecta aproximadamente de 2-5% de los pacientes con trauma contundente y puede ser aún más alto en pacientes con trauma severo(1). La presencia de fracturas cervicales no identificadas al momento de realizar la intubación endotraqueal puede producir lesiones iatrogénicas de la médula espinal cervical con desenlaces catastróficos(2). Por esta razón, la inmovilización espinal es prioridad en todo paciente con sospecha de lesión cervical hasta que se demuestre lo contrario(3). La inmovilización se logra mediante distintos collarines aplicados en el lugar del incidente traumático, esta maniobra dificultará posteriormente la ventilación con mascarilla y la intubación orotraqueal debido a la imposibilidad de alinear los ejes oral, faríngeo y laríngeo, así como disminución de la apertura oral.

Por lo general, el paciente politraumatizado va a requerir manejo avanzado de la vía aérea por presentar hipoxia, apnea, hemorragia masiva, Escala de coma de Glasgow < 8 y lesión cervical y espinal. El encargado de la intubación debe brindar una atención segura al conocer las complicaciones que conlleva instrumentar la vía aérea de estos pacientes, que es, principalmente, la no visualización de la glotis durante la laringoscopía directa por la MILS y dominar el uso de todos los dispositivos para el abordaje de la vía aérea.

La técnica para asegurar una adecuada ventilación, oxigenación y evitar aspiración del contenido gástrico dependerá de los siguientes factores: la urgencia de la necesidad de intubar, si el paciente es cooperador, presencia de secreciones/sangre en la vía aérea, distorsiones anatómicas de la vía aérea secundarias a trauma, recursos del centro hospitalario y la habilidad del médico. Las opciones de primera línea para manejo avanzado de la vía aérea en estos pacientes son laringoscopía directa, fibrobroncoscopio, fibroscopio Bonfil o v ideolaringoscopio.

La visión indirecta de la vía aérea a través de un v ideolaringoscopio (VL) permite una intubación exitosa sin la necesidad de alinear los ejes oral, faríngeo y laríngeo, aunque se ha demostrado un tiempo de intubación más corto con la laringoscopía directa en comparación con el VL(4-6), lo que conlleva a hipoxia y mayor mortalidad.

El fibrobroncoscopio es una alternativa útil para la intubación despierta en el paciente politraumatizado con lesión cervical que no requiere intubación urgente, es cooperador y se va a someter a un procedimiento programado. Además de que brinda la ventaja de poder hacer una valoración neurológica postintubación e incluso después de posicionar al paciente. Es fundamental condicionar la vía aérea con anestésico local tópico y con el bloqueo de los nervios laríngeo recurrente y laríngeo superior(7,8).

Al manipular y establecer una vía aérea definitiva con laringoscopía directa es necesario retirar la parte anterior del collarín debido a la dificultad que éste impone sobre el manejo de la vía aérea y aplicar estabilización manual en línea media (manual in-line stabilization, MILS). En la última edición del manual de soporte vital avanzado de trauma (ATLS) esta maniobra sigue siendo una recomendación primordial en el manejo de la vía aérea en esta subpoblación de pacientes. La maniobra de MILS la realiza el asistente del anestesiólogo durante el manejo de la vía aérea una vez que se retira el collarín rígido, tiene como objetivo mantener la cabeza y el cuello en posición neutra y evitar movimientos inadvertidos que puedan causar o empeorar una lesión medular preexistente(8). El asistente se coloca a un lado del anestesiólogo, sostiene la cabeza entre sus dos manos, toma con sus dedos los procesos mastoideos y ejerce presión con las palmas sobre el hueso occipital buscando igualar y oponer las fuerzas generadas por el profesional que realiza la intubación. El beneficio de MILS sobre el movimiento cervical se ve contrabalanceada con grados más altos en la clasificación de Cormack-Lehane, lo que aumenta el tiempo para completar la intubación endotraqueal y la incidencia de fallas a la intubación(9,10). La paciente del caso clínico requirió de un manejo avanzado de la vía aérea principalmente por la alta sospecha de lesión medular por el mecanismo de lesión y en segundo lugar por la lesión que se evidenció en la TAC cervical, en donde lo más prudente era anticiparse al curso clínico que se observa en este tipo de lesiones.

Las mascarillas laríngeas (ML) tienen un rol establecido en el manejo de pacientes que se someten a procedimientos cortos que no requieren intubación endotraqueal. También tienen gran utilidad para ventilación de emergencia y como transición hacia la intubación endotraqueal para el manejo de vías aéreas difíciles(11,12). Se ha descrito el uso exitoso de mascarillas laríngeas de intubación en pacientes con politrauma y trauma cervical agudo(13-15). En este contexto, las ML se deben usar de forma cautelosa, ya que se ha descrito una presión superior a 150 cmH2O contra la mucosa faríngea; además, en estudios en cadáveres y en pacientes con lesión cervical se ha demostrado que hay un desplazamiento posterior y flexión desde el occipucio hasta C5 durante la inserción de la ML (1-1.6o), la intubación a través de ésta (1.4-3o) y durante la remoción de la ML (1o)(16,17). La recomendación para el uso de una ML en el caso de tener a un paciente con columna cervical inestable es cuando se encuentran dificultades técnicas para la obtención de una vía aérea segura.

Las ML no se recomiendan como la primera línea para asegurar una vía aérea en situaciones de trauma cervical; sin embargo, son útiles como método alternativo para ventilación y transición hacia intubación en casos selectos donde el método primario de intubación falló. Dentro de sus ventajas se encuentra que son ampliamente distribuidos, son relativamente económicos y tienen alta tasa de colocación exitosa. Sus desventajas son que no protegen contra aspiración (gran problema en esta subpoblación de pacientes), en la mayoría de estos casos no puede considerarse como un método definitivo para vía aérea y la presentación de contraindicaciones para colocación de ML puede ser común en pacientes de trauma (pobre apertura oral, abundante secreción/hemorragia en vía aérea o anormalidades anatómicas de la vía aérea).

La ML Ambu AuraOnce no está diseñada específicamente para intubación traqueal a ciegas según su manual de usuario; no obstante, la paciente estaba en una situación en la que no se podía ventilar ni intubar y el único método alternativo de acuerdo con el algoritmo de la ASA fue la ML, que se utilizó exitosamente para ventilar y posteriormente intubar a la paciente(15).

Al hacer una revisión de la literatura encontramos solamente un estudio donde mencionan el uso de la ML Ambu AuraOnce para intubación endotraqueal(18). Este estudio fue realizado en maniquíes con fijación con collarín (simulando trauma cervical y vía aérea difícil), se realizó colocación de ML Ambu AuraOnce y colocación de tubo endotraqueal utilizando un intercambiador de Frova a través de la ML en un tiempo promedio de 16.79 ± 1.32 segundos. A diferencia de este pequeño ensayo, en nuestro caso colocamos el tubo endotraqueal directamente sin el apoyo de guía o intercambiador y es la primera descripción en la literatura de este uso específico para la mascarilla laríngea Ambu AuraOnce.



CONCLUSIóN

En países con pocos recursos de equipo médico e infraestructura de salud, el uso de la ML Ambu AuraOnce podría ser una posible opción alternativa para establecer una vía aérea definitiva en trauma cervical sospechada o confirmada.


REFERENCIAS (EN ESTE ARTÍCULO)

  1. Crosby E, Lui A. The adult cervical spine: Implications for airway management. Can J Anaesth. 1990; 37: 77-93.

  2. Muckart D, Bhagwanjee S, van der Merwe R. Spinal cord injury as a result of endotracheal intubation in patients with undiagnosed cervical spine fractures. Anesthesiology. 1997; 87: 418-420.

  3. Walters B, Hadley M, Hurlbert J, Aarabi B, Dhall S, Gelb D. Guidelines for the management of acute cervical spine and spinal cord injuries: 2013 update. Neurosurgery. 2013; 60: 82-91.

  4. Kaplan A, Goksu E, Yildiz E, Kilic T. Comparison of the C-MAC videolaryngoscope and rigid fiberscope with direct laryngoscopy in easy and difficult airway scenarios: a manikin study. J Emerg Med. 2016; 50: 107-114.

  5. Hippard H, Kalyani G, Olutoye O, Mann D, Watcha M. A comparison of the truview PCD and the glidescope cobalt AVL video-laryngoscopes to the Miller blade for successfully intubating manikins simulating normal and difficult pediatric airways. Paediatr Anaesth. 2016; 26: 613-620.

  6. Smereka J, Ladny J, Naylor A, Ruetzler K, Szarpak L. C-MAC compared with direct laryngoscopy for intubation in patients with cervical spine immobilization: a manikin trial. Am J Emerg Med. 2017; 35: 1142-1146.

  7. Singh J, Shakya S, Shrestha B, Subedi B, Singh P. Awake fiberoptic intubation in cervical spine injury: a comparison between atomized local anesthesia versus airway nerve blocks. Kathmandu Univ Med J. 2018; 16: 323-327.

  8. Austin N, Krishnamoorthy V, Dagal A. Airway management in cervical spine injury. Int J Crit Illn Inj Sci. 2014; 4: 50-56.

  9. Nolan J, Wilson M. Orotracheal intubation in patients with potential cervical spine injuries. An indication for the gum elastic bougie. Anaesthesia. 1993; 48: 630-633.

  10. Watts A, Gelb A, Bach D, Pelz D. Comparison of the bullard and macintosh laryngoscopes for endotracheal intubation of patients with a potential cervical spina injury. Anesthesiology. 1997; 87: 1335-1342.

  11. Ferson D, Rosenblatt W, Johansen M, Osborn I, Ovassapian A. Use of intubating LMA-Fastrach in 254 patients with difficult-to-manage airways. Anesthesiology. 2001; 95: 1175-1181.

  12. Frappier J, Guenoun T, Journois D, Philippe H, Aka E, Cadi P, et al. irway management using the intubating laryngeal mask airway for the morbidly obese patient. Anesth Analg. 2003; 96: 1510-1515.

  13. Komatsu R, Nagata O, Kamata K, Yamagata K, Sessler D, Ozaki M. Intubating laryngeal mask airway allows tracheal intubation when the cervical spine is immobilized by a rigid collar. Br J Anaesth. 2004; 93: 655-659.

  14. Gerstein N, Braude D, Hung O, Sanders J, Murphy M. The fastrach intubating laryngeal mask airway: an overview and update. Can J Anaesth. 2010; 57: 588-601.

  15. Ambu A. Product Information Ambu® AuraOnce™ Single Use Laryngal Mask-Sterile. 2008.

  16. Keller C, Brimacombe J, Keller K. Pressures exerted against the cervical vertebrae by the standard and intubating laryngeal mask airways: a randomized, controlled, cross-over study in fresh cadavers. Anesth Analg. 1999; 89: 1296-1300.

  17. Keller C, Brimacombe J. Pharyngeal mucosal pressures, airway sealing pressures, and fiberoptic position with the intubating versus the standard laryngeal mask airway. Anesthesiology. 1999; 90: 1001-1006.

  18. Beleña JM, Gasco C, Polo CE, Vidal A, Núñez M, Lopez-Timoneda F. Laryngeal mask, laryngeal tube, and Frova introducer in simulated difficult airway. J Emerg Med. 2015; 48: 254-259.



AFILIACIONES

1 Departamento de Anestesiología. Hospital Ángeles Lomas.

2 Residente de 3er año del Instituto Nacional de Ciencias Médicas y Nutrición "Salvador Zubirán".



CORRESPONDENCIA

Mercedes Nicté López-Hernández. E-mail: wniclop.09@gmail.com




Recibido: 14-06-2021. Aceptado: 23-09-2021

Figura 1
Figura 2
Figura 3
Figura 4
Figura 5
Figura 6

2020     |     www.medigraphic.com

Mi perfil

C?MO CITAR (Vancouver)

Rev Mex Anest. 2022;45

ARTíCULOS SIMILARES

CARGANDO ...