medigraphic.com
ENGLISH

Revista Mexicana de Cirugía Endoscópica

ISSN 1665-2576 (Impreso)
  • Mostrar índice
  • Números disponibles
  • Información
    • Información general        
    • Directorio
  • Publicar
    • Instrucciones para autores        
    • Envío de artículos
  • medigraphic.com
    • Inicio
    • Índice de revistas            
    • Registro / Acceso
  • Mi perfil

2021, Número 3-4

<< Anterior

Rev Mex Cir Endoscop 2021; 22 (3-4)


Intususcepción yeyuno-yeyunal por hiperperistaltismo, ¿causa o coincidencia?: imágenes clínicas

Garteiz-Martínez, Denzil Eduardo1,2; Jasqui-Bucay, Alan2; Flores-Demetrio, Alicia2
Texto completo Cómo citar este artículo 10.35366/106481

DOI

DOI: 10.35366/106481
URL: https://dx.doi.org/10.35366/106481

Idioma: Español
Referencias bibliográficas: 5
Paginas: 158-160
Archivo PDF: 211.35 Kb.


PALABRAS CLAVE

Sin palabras Clave



El hiperperistaltismo intestinal es una condición clínica que puede diagnosticarse al detectar borborigmos aumentados o visualizar el movimiento intestinal acelerado durante un ultrasonido abdominal. Sin embargo, pocas veces se tiene la oportunidad de observar este fenómeno bajo visión directa y apreciar la intensidad y velocidad de los movimientos intestinales, como en este caso. La asociación del hiperperistaltismo con una intususcepción intestinal, capturada por casualidad durante una tomografía, hace esta coincidencia todavía más interesante y nos obliga a reflexionar sobre su probable efecto causal.

Descrita en Ámsterdam por primera vez en 1674, la intususcepción intestinal es aquella patología en la cual un segmento de tracto gastrointestinal se introduce en la luz del segmento distal contiguo. Se estima una incidencia aproximada en adultos de dos a tres casos por millón de habitantes anualmente.1 Puede clasificarse, de acuerdo a su ubicación en entero-entérica, ileo-cólica, ileo-cecal o cólico-cólica y su etiología puede ser benigna, maligna o idiopática.

Algunas patologías que han sido asociadas a casos de intususcepción incluyen neoplasias, enfermedad celíaca, enfermedad de Crohn, presencia de divertículo de Meckel, pólipos intestinales y algunos factores quirúrgicos como sitios de anastomosis, adherencias, líneas de sutura y yeyunostomías.2

La adenitis mesentérica también ha sido considerada por algunos autores como potencial detonante de cuadros de intususcepción intestinal. En ocasiones es precedida o coexiste con una enfermedad del tracto respiratorio superior y se ha asociado a presencia de microorganismos como Yersinia enterocolitica, Toxoplasma gondii y Bartonella henselae.3

Aunque el mecanismo por el cual se origina la intususcepción no ha sido bien definido, algunos autores han propuesto que el hiperperistaltismo puede ser un factor causal.4

La imagen tomográfica presentada es de una paciente de 18 años de edad con dolor abdominal tipo cólico, intermitente, localizado en epigastrio y acompañado de vómito en varias ocasiones. La paciente decidió acudir a urgencias debido al incremento súbito y sostenido del dolor después de aproximadamente 3 horas de iniciado el cuadro clínico.

No se encontraron alteraciones en sus signos vitales ni en los resultados de laboratorio pero a la exploración física se mostraba agitada, ansiosa, con peristalsis hiperactiva y sin signos francos de irritación peritoneal pero con defensa involuntaria a la palpación abdominal.

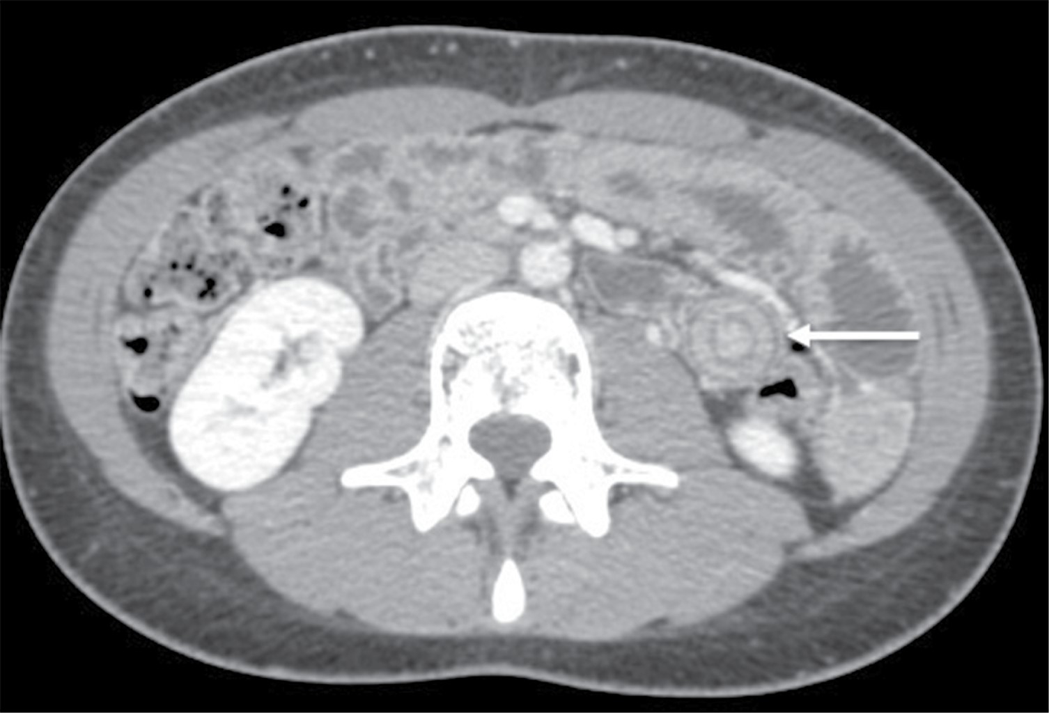
Ante la duda diagnóstica, se solicitó una tomografía con contraste intravenoso. Se reportó poca cantidad de líquido libre intraabdominal y discreto engrosamiento generalizado de las paredes intestinales sin datos de obstrucción o perforación de tubo digestivo. En el corte axial, a nivel del flanco izquierdo y en la topografía del yeyuno, se observó una imagen en "signo de diana" o "tiro al blanco" (Figura 1) misma que, en las imágenes de reconstrucción sagital y coronal, corroboró un deslizamiento de 2.3 cm de intestino invaginado dentro de sí mismo (Figura 2A y B), dando como resultado un diagnóstico compatible con intususcepción yeyuno-yeyunal.5

Ante dicho hallazgo radiológico se decidió realizar laparoscopía exploradora para resolver la intususcepción y valorar la viabilidad del segmento intestinal afectado. Lo primero que llamó la atención al introducir el laparoscopio fue la observación de ondas peristálticas intensas, aumentadas en frecuencia y con un patrón desorganizado e irregular en prácticamente todo el intestino delgado. Algunas de estas ondas ocurrían de forma simultánea en segmentos cortos (Figura 3A), otras eran tan intensas que parecían estenosar por completo la luz intestinal (Figura 3B) y otras parecían estar a punto de provocar intususcepciones parciales debido a la intensidad de su propulsión (Figura 3C).

Durante la exploración minuciosa de todo el trayecto intestinal no fue posible encontrar el sitio intususceptado pero sí se logró identificar un segmento yeyunal con severo edema mesentérico y congestión vascular (Figura 4A), que correspondía en localización al segmento observado en la tomografía. En esta zona también se logró apreciar una adenitis mesentérica importante (Figura 4B). Al no encontrar alteraciones en la viabilidad intestinal ni un sitio de obstrucción, se dio por terminado el procedimiento y se continuó con tratamiento médico.

Aunque no se logró documentar un microorganismo específico, el cuadro clínico inicial era compatible con una gastroenteritis infecciosa y fue manejado en forma correspondiente. La paciente tuvo evolución favorable.

Los hallazgos reportados en este caso apoyan la teoría de que el hiperperistaltismo, secundario a un proceso inflamatorio gastroenteral, puede haber sido la causa de una intususcepción yeyuno-yeyunal, que explicaría el incremento súbito del dolor que presentó la paciente y el descubrimiento tomográfico, que probablemente se resolvió en forma espontánea antes o durante la exploración laparoscópica.


REFERENCIAS (EN ESTE ARTÍCULO)

  1. Aref H, Nawawi A, Altaf A, Aljiffry M. Transient small bowel intussusception in an adult: case report with intraoperative video and literature review. BMC Surg. 2015; 15: 36.

  2. Potts J, Al Samaraee A, El-Hakeem A. Small bowel intussusception in adults. Ann R Coll Surg Engl. 2014; 96: 11-14.

  3. Helbling R, Conficconi E, Wyttenbach M, Benetti C, Simonetti GD, Bianchetti MG et al. Acute nonspecific mesenteric lymphadenitis: more than "no need for surgery". Biomed Res Int. 2017; 2017: 9784565.

  4. Pryma C, Youssef D, Evans D, Yang HM. Small bowel intussusception and Enterobius vermicularis infestation in a 20-year-old woman. BMJ Case Rep. 2021; 14: e238077.

  5. Kim YH, Blake MA, Harisinghani MG, Archer-Arroyo K, Hahn PF, Pitman MB et al. Adult intestinal intussusception: CT appearances and identification of a causative lead point. Radiographics. 2006; 26: 733-744.



AFILIACIONES

1 ORCID: 0000-0002-8479-4076.

2 Hospital Ángeles Lomas.



CORRESPONDENCIA

Dr. Denzil Eduardo Garteiz-Martínez. E-mail: denzilgarteiz@yahoo.com




Recibido: 25/04/2022. Aceptado: 27/04/2022.

Figura 1
Figura 2
Figura 3
Figura 4

2020     |     www.medigraphic.com

Mi perfil

C?MO CITAR (Vancouver)

Rev Mex Cir Endoscop. 2021;22

ARTíCULOS SIMILARES

CARGANDO ...