medigraphic.com
ENGLISH

Revista Mexicana de Ortodoncia

ISSN 2395-9215 (Impreso)
Órgano Oficial de Difusión de la Facultad de Odontología de la UNAM
  • Mostrar índice
  • Números disponibles
  • Información
    • Información general        
    • Directorio
  • Publicar
    • Instrucciones para autores        
  • medigraphic.com
    • Inicio
    • Índice de revistas            
    • Registro / Acceso
  • Mi perfil

2020, Número 3

<< Anterior Siguiente >>

Rev Mex Ortodon 2020; 8 (3)


Manejo ortodóntico de paciente con biprotrusión maxilar tratada con extracción de premolares. Reporte de un caso

Manzur Sandoval, Nahim1; de los Santos Cazares, Guillermo1; García Cortes, José Obed1; Martínez Zumaran, Alan1; Flores Arriaga, Juan Carlos1
Texto completo Cómo citar este artículo Artículos similares

Idioma: Español/Inglés [English version]
Referencias bibliográficas: 27
Paginas: 193-200
Archivo PDF: 259.77 Kb.


PALABRAS CLAVE

Maloclusión, biprotrusión, extracción dental.

RESUMEN

La estética facial es una preocupación para los pacientes y puede influir en los cambios que sufren los tejidos blandos como consecuencia de los movimientos de los incisivos, estos cambios son la morfología, la tonicidad y el patrón muscular del paciente. Se presenta el caso de una paciente de 21 años con apiñamiento severo, mostró una prominencia labial, al sonreír presenta una altura de sonrisa baja, la línea media superior se encuentra desviada a la derecha y la inferior a la izquierda; oclusión clase I esquelética, con bipotrusión dentaria debido a las posiciones e inclinaciones de sus incisivos. Se realizó extracción de los primeros premolares superiores, del primer premolar inferior izquierdo y diente supernumerario. Por la pérdida del primer molar inferior derecho se opta por cerrar el espacio del segundo y tercer molar inferior derecho. Se liberó el apiñamiento, se mesializó el segundo y tercer molar inferior derecho así como las relaciones en clase I, lado derecho y clase II funcional en el lado izquierdo. Mejoraron las posiciones de sus dientes y por lo tanto, su perfil se redujo. El manejo se realizó por medio de extracciones cuidando el anclaje que va de máximo a absoluto, mejorando facialmente el perfil de la paciente.



INTRODUCCIóN

La estética facial es una preocupación para pacientes y profesionales, en los objetivos principales del tratamiento de ortodoncia se incluye la armonía facial. Numerosos factores pueden influir en los cambios que pueden sufrir los tejidos blandos como consecuencia de los movimientos en los incisivos como la morfología, la tonicidad y el patrón muscular del paciente.1,2 Una posición correcta de los incisivos superiores e inferiores es esencial para una función, estabilidad y estética adecuadas.1-4

Los objetivos del tratamiento de ortodoncia de la protrusión incluyen la retracción y retroclinación de los incisivos maxilares y mandibulares con una disminución resultante en la prominencia de los tejidos blandos. La corrección de la maloclusión se obtiene por medio de la extracción de cuatro primeros premolares y la retracción de los dientes anteriores con un anclaje máximo.2-8 El plan de tratamiento se vuelve más complejo y controvertido cuando un paciente tiene segundos molares sin buen pronóstico que deben extraerse y se requiere preservar los premolares maxilares. Para resolver esta situación, los dientes posteriores superiores deben ser distalizados con ortodoncia ortopédica o convencional.8-14

En realidad, en la mayoría de las culturas, la percepción negativa de labios y dentición demasiado protuberantes lleva a muchos pacientes con protuberancias bimaxilares a buscar atención de ortodoncia para disminuir esta condición. Sin embargo, es un tema discutible si existe o no una relación exacta entre los cambios en los tejidos duros y blandos. Puede clasificarse en dos grandes escuelas de pensamiento, la escuela de Edward Angle y la escuela de Charles Tweed.15-18

El anclaje esquelético absoluto ofrece un método alternativo para la distalización molar. El uso de miniplacas y microtornillos como anclaje ha hecho que la distalización de los dientes posteriores se haga sin pérdida de anclaje.19-24



PRESENTACIóN DEL CASO

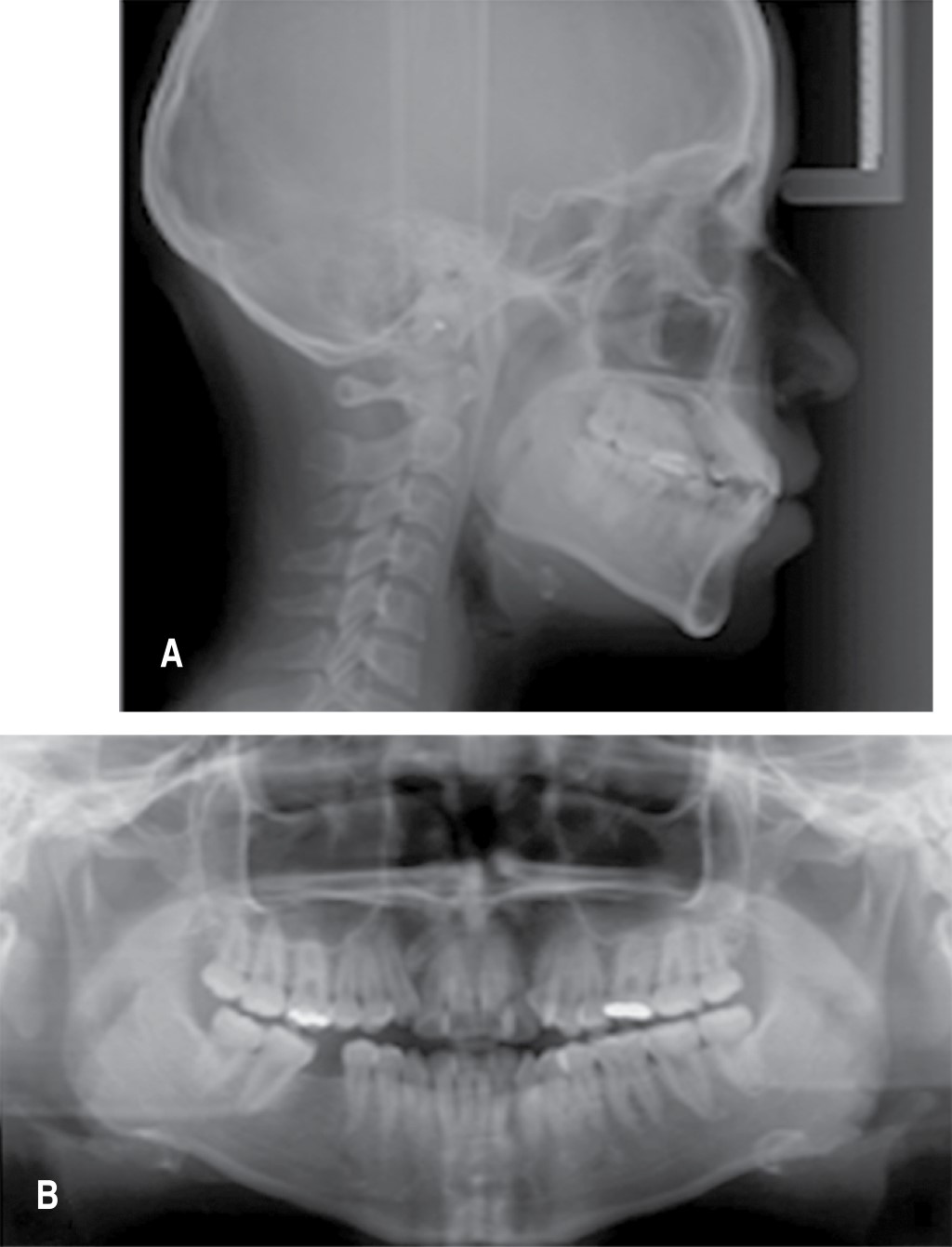
Paciente del sexo femenino de 21 años sistémicamente sana acude a consulta a la clínica de la Especialidad de Ortodoncia y Ortopedia Dentomaxilofacial de la Facultad de Estomatología de la Universidad Autónoma de San Luis Potosí. El motivo de la consulta mencionado por la paciente era: mejorar su sonrisa. Extraoralmente presentaba ligera asimetría facial, con labios prominentes. Al sonreír se observó una altura de sonrisa baja y compleja, la línea media superior se encontraba desviada 1.5 mm a la derecha y la inferior 1 mm a la izquierda (Figura 1A). Intraoralmente se identificaron restauraciones en ambos primeros molares superiores y la pérdida del primer molar inferior derecho, apiñamiento severo y las relaciones molares clase III izquierda y clase II derecha, con mordida borde a borde tanto horizontal como vertical (Figura 1B). Se tomaron radiografías laterales de cráneo y ortopantomografía (Figura 2).

El diagnóstico ortodóncico de la paciente consistió en una clase I esquelética con ANB de 1o con crecimiento neutro y biprotrusión dentaria debido a que las posiciones de sus dientes se encontraban alteradas con 1-PP (incisivo superior con respecto a su plano palatino) en 131o y 1-PM (incisivo inferior con respecto al plano mandibular) en 97o; un biotipo facial braquiocefálico y en tejidos blandos se identificó protrusión labial superior e inferior (Li/Ls con Sn-Pg) con 7 y 6 mm respectivamente.

El plan de tratamiento incluyó la extracción de los primeros premolares superiores, del primer premolar inferior izquierdo y un diente supernumerario. Debido a la pérdida del primer molar inferior derecho, se optó por cerrar el espacio mesializando el segundo y tercer molar inferior derecho. Se liberó el apiñamiento y se comenzó la retracción del segmento anterior con anclaje máximo, llegando a clase I canina, y clase II molar derecha.



TRATAMIENTOS ALTERNATIVOS

  • 1. Colocación de TAD (dispositivo de anclaje temporal) y anclaje absoluto para retracción.
  • 2. Arco extraoral con tracción baja como anclaje absoluto.
  • 3. Extracción de segundos molares, distalización de primeros molares y retracción anterior.
  • 4. Extracción de primeros premolares y posteriormente preparación para cirugía segmentaria de los cuatro cuadrantes.



SEGUIMIENTO Y PROGRESIóN DEL TRATAMIENTO

En un inicio se colocó aparatología de filosofía MBT slot 0.022" hasta primeros molares. Se inició la alineación con arcos ligeros de calibre 0.012", 0.014" y 0.016". Posteriormente con arcos rectangulares de calibre 0.016" × 0.022" para comenzar a distalizar los caninos superiores con cadenas elásticas y crear espacio para el lateral con resortes. A continuación se distalizó el canino izquierdo con cadena elástica ayudada con elásticos clase III de calibre 3/16 4.5 onzas y se empezó a trasladar el segundo molar inferior izquierdo al sitio del primero con ayuda de cadena elástica. Una vez conseguida la clase I canina se cerraron todos los espacios y se colocaron tubos en los segundos molares para estabilizar la oclusión. Se comenzó la fase de trabajo con arcos coordinados de acero inoxidable de calibre 0.017" × 0.025" y 0.019" × 0.025". Se remitió a la paciente con el especialista en periodoncia, el cual realizó alargamientos de corona indicados debido al tamaño de las alturas de los dientes y por la irregularidad de los márgenes gingivales (Figura 3). A continuación se retiró la aparatología y se colocaron retenedores removibles con acetato de calibre 0.40.

Después de un año y seis meses de tratamiento, extraoralmente la paciente presenta un perfil recto y la protrusión de los labios disminuyó. Mejoró la exposición de su sonrisa y se encuentra consonante. Se observa un cambio en el tamaño de sus dientes y márgenes de la encía simétricos como resultado de la cirugía de alargamiento de coronas. Intraoralmente se liberó el apiñamiento y se mesializó el segundo y tercer molar inferior derecho. Se logró una relación canina y molar clase I, excepto la molar derecha, la cual terminó en clase II funcional. La sobremordida tanto horizontal como vertical se modificó a parámetros normales de 2 mm (Figura 4). Cefalométricamente hubo una mejoría de la inclinación de los dientes superiores en 118o respecto al plano palatino, los dientes inferiores se mantuvieron en 97o respecto al plano mandibular. Hubo retrusión en la distancia de los incisivos de 2 mm y su perfil mejoró 2 mm respecto a Li/Ls con Sn-Pg, y como consecuencia se observó un aumento de la altura facial de 2o (Figura 4).



DISCUSIóN

Una de las principales problemáticas del tratamiento de la biprotrusión es la necesidad de realizar extracciones. Según Marquezan y Barroso,5 la opción para tratar esta maloclusión es por medio de la extracción de premolares con máximo anclaje. En este caso se efectuaron extracciones de tres premolares debido a la pérdida del molar inferior derecho, logrando mejorar la posición de los dientes anteriores y las relaciones caninas y molares. Chae7 reportó que por medio de la extracción de los segundos molares superiores e inferiores que se encontraban afectados, se realizó la distalización de toda la arcada desde el primer molar hasta los incisivos por medio de TAD (dispositivo de anclaje temoral) y se logró corregir la maloclusión. Sin embargo, en este estudio no recurrimos a esa mecánica, ya que las piezas aún se encontraban sanas, y se optó sólo por la extracción de los primeros premolares.

Méndez y Grageda12 usaron la fuerza extraoral como anclaje absoluto. En este estudio empleamos una mecánica distinta para la retracción del segmento anterior llevándola a cabo en dos partes: primero se distalizaron los caninos y posteriormente se realizó la retracción del segmento anterior. Algunos estudios12,15,19 han informado un alto grado de correlación entre el incisivo superior y la retracción del labio, lo que sugiere una estrecha relación entre el tejido blando y el tejido duro subyacente. Otros autores15,18 han encontrado que una proporción definida en el cambio en el tejido blando no necesariamente sigue a los cambios en la dentición.

Según Rafflenbeul F y colaboradores6 en un estudio realizado en hombres y mujeres de ascendencia africana, la protuberancia del labio superior en relación con Sn-Pg disminuyó 1.5 mm en los hombres y 1.7 mm en las mujeres. La retracción del labio inferior en relación con Li/Ls con Sn-Pg fue de 2.7 mm en los hombres y 2.5 mm en las mujeres. Según Bravo,19 en su estudio realizado en 40 cefalogramas laterales de 20 individuos con maloclusión de clase I sometidos a tratamiento de ortodoncia, los cuales se dividieron en dos grupos: sin extracción dental y extracción de cuatro primeros premolares, demostró que el labio superior e inferior retrocedieron en promedio 3.4 y 3.8 mm respecto a la línea E respectivamente. La protrusión media del labio superior e inferior en relación con la línea Li/Ls con Sn-Pg disminuyó 2.4 y 3.1 mm respectivamente.19

Según Liou25 es posible colocar los incisivos maxilares o mandibulares en posiciones e inclinaciones ideales. Pero la pregunta que surge es si el movimiento lingual de los dientes anteriores contra la placa cortical del alvéolo causaría resorción ósea y exposición de la raíz o compensaría la remodelación del hueso alveolar. DeAngelis26 menciona que el hueso alveolar podría presentar una capacidad de flexión, ya que la mecanoterapia induce una distorsión alveolar y el alveolo distorsionado altera su entorno eléctrico, un proceso que se atribuye a la piezoelectricidad del hueso. La piezoelectricidad es un fenómeno observado en muchas sustancias cristalinas por el cual la deformación de la estructura cristalina produce un flujo de corriente eléctrica al desplazar los electrones de una parte de la retícula cristalina a otra.27



CONCLUSIóN

Debido a la protrusión y proinclinación de los incisivos superiores e inferiores, la biprotrusión es una maloclusion que afecta la estética facial del paciente, la cual es causada por la prominencia que presenta en sus labios respecto a los parámetros normales. Su manejo debe ser por medio de las extracciones cuidando el anclaje que va de máximo a absoluto. De esta manera se puede corregir la estética facial del paciente y llevar a los incisivos a una posición más adecuada dentro de su base ósea.


REFERENCIAS (EN ESTE ARTÍCULO)

  1. Suzuki SS, Previdente LH, Garcez AS, Suzuki H. Camouflage treatment of severe bialveolar protrusion in skeletal Class II using miniscrew anchorage. Int J Orthod Milwaukee. 2013; 24 (1): 51-55.

  2. Petrelli E, Baptista JM. Clinical case. Correction of Angle class I with biprotrusion. Dens (Curitiba). 1989; 5 (1-2): 20-26.

  3. Flores Nonaka A, Gurrola Martínez B, Casasa Araujo A. Manejo ortodóncico, paciente con protrusión dental bimaxilar y perfil convexo. Revista Latinoamericana de Ortodoncia y Ortopedia. 2015. Disponible en: https://www.ortodoncia.ws/publicaciones/2015/art-8/

  4. Tanaka E, Nishi A, Hasegawa T, Nishlo C, Kawai N, Tanne K. Skeletal anchorage for orthodontic correction of severe maxillary protrusion after previous orthodontic treatment. Angle Orthod. 2008; 78 (1): 181-188.

  5. Matos CT, Marquezan M, Chaves IBBM, Martins DGS, Nojima LI, Nojima MCG. Assessment of facial profile changes in Class I biprotrusion adolescent subjects submitted to orthodontic treatment with extractions of four premolars. Dental Press J Orthod. 2012; 17 (3): 132-137.

  6. Rafflenbeul F, Bonomi-Dunoyer H, Siebert T, Bolender Y. First premolar extractions in an adolescent presenting a class I biprotrusion malocclusion with skeletal class II: a case report. Int Orthod. 2019; 17 (4): 817-825.

  7. Chae JM. Treatment of class II malocclusion with bialveolar protrusion by means of unusual extractions and anchorage mini-implant. Dental Press J Orthod. 2012; 17 (5): 165-177.

  8. Lew K. Profile changes following orthodontic treatment of bimaxillary protrusion in adults with the Begg appliance. Eur J Orthod. 1989; 11 (4): 375-381.

  9. Brickman CD, Sinha PK, Nanda RS. Evaluation of the Jones jig appliance for distal molar movement. Am J Orthod Dentofacial Orthop. 2000; 118 (5): 526-534.

  10. Bussick T, McNamara JA Jr. Dentoalveolar and skeletal changes associated with the pendulum appliance. Am J Orthod Dentofacial Orthop. 2000; 117 (3): 333-343.

  11. Langberg BJ, Todd A. Treatment of a class I malocclusion with severe bimaxillary protrusión. Am J Orthod Dentofacial Orthop. 2004; 126 (6): 739-746.

  12. Mendez MS, Grageda NE. Orthodontic treatment of a skeletal class I patient with dental biprotrusion and vertical growth pattern. Rev Odont Mex. 2010; 14 (1): 44-51.

  13. Camargo RSA, Gurrola MB, Casasa AA. Orthopedic orthodontic treatment in a patient with anterior open bite due to tongue thrust. Rev Odont Mex. 2018; 6 (1): 43-49.

  14. Viora E, Visca L. Use of a functional appliance in initial orthodontic treatment of a case of dental and basal class II with dental biprotrusion at age 12. Minerva Ortognatod. 1990; 8 (1): 41-58.

  15. Leonardi R, Annunziata, A, Licciardello V, Barbato E. Soft tissue changes following the extraction of premolars in nongrowing patients with bimaxillary protrusion. Angle Orthod. 2010; 80 (1): 211-216.

  16. Ramos JC. Treatment of dental and skeletal bimaxillary protrusion in patient with Angle class I malocclusion. Dental Press J Orthod. 2013; 18 (6): 130-137.

  17. Scott SH, Johnston LE Jr. The perceived impact of extraction and nonextraction treatments on matched samples of African American patients. Am J Orthod Dentofacial Orthop. 1999; 116 (3): 352-360.

  18. Waldman BH. Change in lip contour with maxillary incisor retraction. Angle Orthod. 1982; 52 (2): 129-134.

  19. Bravo LA. Soft tissue facial profile changes after orthodontic treatment with four premolars extracted. Angle Orthod. 1994; 64 (1): 31-42.

  20. Yong-Ming C, Bergeron L, Chen YR. Bimaxillary protrusion: an overview of the surgical-orthodontic treatment. Semin Plast Surg. 2009; 23 (1): 32-39.

  21. Sugawara J, Kanzaki R, Takahashi I, Nagasaka H, Nanda R. Distal movement of maxillary molars in nongrowing patients with the skeletal anchorage system. Am J Orthod Dentofacial Orthop. 2006; 129 (6): 723-733.

  22. Singh RN. Changes in the soft tissue chin after orthodontic treatment. Am J Orthod Dentofacial Orthop. 1990; 98 (1): 41-46.

  23. Qamar Y, Mian F, Tariq M, Kumar Verma S. Management of bimaxillary protrusion in hyperdivergent case; a case report. Int J Contemp Res. 2018; 5 (3): C1-C3.

  24. Garner LD. Soft-tissue changes concurrent with orthodontic tooth movement. Am J Orthod. 1974; 64 (4): 367-377.

  25. Liou EJW, Chang PMH. Apical root resorption in orthodontic patients with en-masse maxillary anterior retraction and intrusion with miniscrews. Am J Orthod Dentofacial Orthop. 2010; 137 (2): 207-212.

  26. DeAngelis V. Observations on the response of alveolar bone to orthodontic force. Am J Orthod. 1970; 58 (3): 284-294.

  27. Proffit WR, Fields H, Sarver DM. Ortodoncia contemporánea. 5a ed. España: Elsevier; 2013.



AFILIACIONES

1 Especialidad en Ortodoncia y Ortopedia Dentomaxilofacial, Facultad de Estomatología, Universidad Autónoma de San Luis Potosí.



CORRESPONDENCIA

Juan Carlos Flores Arriaga. E-mail: carlos.flores@uaslp.mx




Recibido: Julio 2020. Aceptado: Noviembre 2020.

Figura 1
Figura 2
Figura 3
Figura 4

2020     |     www.medigraphic.com

Mi perfil

C?MO CITAR (Vancouver)

Rev Mex Ortodon. 2020;8

ARTíCULOS SIMILARES

CARGANDO ...