medigraphic.com
ENGLISH

Revista Mexicana de Ortopedia Pediátrica

ISSN 2007-087X (Impreso)
Órgano Oficial de la Sociedad Mexicana de Ortopedia Pediátrica
  • Mostrar índice
  • Números disponibles
  • Información
    • Información general        
    • Directorio
  • Publicar
    • Instrucciones para autores        
  • medigraphic.com
    • Inicio
    • Índice de revistas            
    • Registro / Acceso
  • Mi perfil

2022, Número 1-3

<< Anterior Siguiente >>

Rev Mex Ortop Ped 2022; 24 (1-3)


Fracturas controvertidas de miembro superior en niños y adolescentes: un debate basado en la evidencia

Masquijo, Javier1; Ferreyra, Andrés1; Perez-Lopez, Laura M2; Rinas, Nurhy3; Narbona Cárceles, Francisco Javier4; Montes Medina, Laura5; Campero, Sabrina6; Martínez Álvarez, Sergio7; Amelong, Valeria8; García Alfaro, M Dolores9; Halliburton, Carolina10; Salom Taverner, Marta11
Texto completo Cómo citar este artículo 10.35366/106978

DOI

DOI: 10.35366/106978
URL: https://dx.doi.org/10.35366/106978
Artículos similares

Idioma: Español
Referencias bibliográficas: 109
Paginas: 37-49
Archivo PDF: 314.25 Kb.


PALABRAS CLAVE

Fracturas, miembro superior, niños, adolescentes.

RESUMEN

A pesar de la alta incidencia de las fracturas de miembro superior en la población pediátrica, todavía existe un gran debate sobre los regímenes de tratamiento óptimos. En una sesión virtual recientemente organizada por la Sociedad Española de Ortopedia Pediátrica (SEOP) en conjunto con la Sociedad Argentina de Ortopedia y Traumatología Infantil (SAOTI) se discutieron la evaluación y los principios del tratamiento de cinco fracturas controvertidas de miembro superior. El objetivo principal de este artículo especial es proveer a los lectores un resumen de los argumentos basados en la literatura utilizados en dicha sesión.



INTRODUCCIóN

Las fracturas son lesiones muy frecuentes en los niños. Según estudios epidemiológicos, alrededor de un tercio de todos los niños sufren al menos una fractura antes de los 17 años.1 Los niños sufren un número mayor de fracturas que se atribuye a la mayor participación en deportes y actividades de riesgo,2 siendo las del miembro superior un tercio del total de las fracturas en esta población.3 Muchas de estas lesiones son consideradas inocentes, sin embargo, pueden estar asociadas a una morbilidad significativa y causar una marcada discapacidad si no son tratadas apropiadamente.

A pesar de la alta incidencia de estas fracturas, todavía existe un gran debate sobre los regímenes de tratamiento óptimos. Desde su descripción en los años 90,4,5 la medicina basada en la evidencia (MBE) se ha convertido en una base firmemente establecida para guiar la práctica clínica. En esencia, la MBE tiene como objetivo integrar la evidencia más sólida disponible con la experiencia clínica para tomar decisiones sobre la atención médica. Si bien durante las últimas décadas ha habido un gran desarrollo de nuevas técnicas quirúrgicas y perfeccionamiento de métodos no quirúrgicos, el manejo actual aún se basa más en la experiencia que en la evidencia debido a que la literatura es limitada en ciertas patologías. Por ejemplo, las guías clínicas para el tratamiento de fracturas supracondíleas de húmero distal publicadas por la American Academy of Orthopaedic Surgeons (AAOS) sólo tienen dos recomendaciones con evidencia moderada: inmovilización de fracturas sin desplazamiento y reducción cerrada, así como fijación de fracturas desplazada.6 La calidad, la aplicabilidad y la solidez de la evidencia generaron gran mayoría de recomendaciones con evidencia limitada o inconclusa.

En marzo de 2022 se llevó a cabo una sesión virtual organizada por la Sociedad Española de Ortopedia Pediátrica (SEOP) en conjunto con la Sociedad Argentina de Ortopedia y Traumatología Infantil (SAOTI), donde se discutieron la evaluación y los principios del tratamiento de cinco fracturas controvertidas de miembro superior. Aprovechando la participación de expertos de ambas sociedades, abordamos la evidencia actual en forma de debate y las posibles diferencias en el tratamiento. El objetivo principal de este artículo especial es proveer a los lectores un resumen de los argumentos basados en la literatura utilizados en dicha sesión para defender los distintos tratamientos que pueden utilizarse en ciertas fracturas del miembro superior en niños y adolescentes.



PRESENTACIóN DEL CASO



CASO 1

Masculino 15 años - fractura diafisaria desplazada de radio y cúbito (Figura 1).

  • 1. Fijación con clavos elásticos – Dr. Andrés Ferreyra (SAOTI):

Las fracturas de antebrazo ocurren aproximadamente en uno de cada 100 niños, y representan la tercera fractura más común en los huesos largos en este grupo etario. Su incidencia máxima es entre los 12 y 14 años. Actualmente el tratamiento habitual se divide entre la inmovilización con yeso y la estabilización con clavos elásticos o placas y tornillos, los cuales predominan en pacientes de mayor edad o con fracturas inestables.7,8

Clásicamente se utilizan los criterios de Noonan y Price para evaluar una alineación adecuada de las fracturas de antebrazo en niños; éstos consideran 2 grupos, según sean mayores o menores de nueve años.9 No existen criterios específicos para los pacientes adolescentes, con menos de dos años de crecimiento remanente.10 En las últimas dos décadas se observó una tendencia creciente hacia el tratamiento quirúrgico de las fracturas pediátricas de antebrazo.10-14 Flynn y colaboradores en 2010 reportaron un incremento de la fijación quirúrgica de 1.4 a 10.4%, de los cuales 69% correspondía a enclavado endomedular elástico (EEE) y un 29% a placas y tornillos.12

La fijación con EEE tiene numerosas ventajas sobre otros tipos de osteosíntesis: incisiones más pequeñas, mejor cosmesis, menor daño a las partes blandas y menor desperiostización (incluso en los casos que requieren reducción abierta), menor pérdida sanguínea, menor costo que las placas, posibilidad de "puentear" áreas de conminución sin agregar demasiada disección de tejidos y extracción de implantes más sencilla respecto a las placas y tornillos. Entre sus desventajas destacan: prominencia de implantes, necesidad de retirada de los mismos en la mayoría de los casos, mayor tiempo de inmovilización y retraso de consolidación respecto a las placas.10,11,14-16 Sin embargo, las dos últimas no fueron observadas en publicaciones que evaluaron pacientes adolescentes.15,17

Un estudio reciente reportó los resultados a largo plazo del EEE en 90 pacientes (promedio 12 años de seguimiento) evaluando sus resultados con dos score funcionales. Para el score de DASH obtuvieron entre 0.3 y 0.9 puntos, recordando que 0 es un resultado excelente y 10 un resultado pobre. Mientras que para el score de Mayo obtuvieron 97 puntos, para un máximo de 100 puntos. De esta manera demostraron que los buenos resultados observados a corto y mediano plazo en otros estudios no se deterioran con el tiempo.18 A pesar de que algunos autores sugieren movilización precoz luego de la cirugía con clavos endomedulares,12,19 otros recomiendan algún tipo de protección postquirúrgica, sea con cabestrillo o con una férula de yeso posterior.15,20,21 Esta inmovilización más prolongada con EEE no trajo aparejadas limitaciones de la movilidad en el seguimiento final, incluso en pacientes adolescentes.15,17

Existen numerosos artículos que sostienen que el EEE de fracturas de antebrazo en adolescentes es una opción adecuada.14,15,17,22 A pesar del bajo potencial de remodelación, es una alternativa viable en este grupo etario.14,15,17,20 Los resultados funcionales con clavos endomedulares son similares a los obtenidos con placas y tornillos y la tasa de complicaciones es comparable.15,20,23 Debido a esto y a las ventajas mencionadas previamente, considero que la fijación de fracturas de antebrazo en niños y adolescentes con EEE es la mejor opción.

  • 2. Reducción abierta fijación interna con placas y tornillos – Dra. Laura M Pérez López (SEOP):

En pacientes próximos a la madurez esquelética, la síntesis mediante EEE está ligada a una consolidación indirecta o perióstica que puede resultar insuficiente. Las placas permiten tiempos más cortos de consolidación y disminuyen el riesgo de retraso de la consolidación y pseudoartrosis,21,24 asociados a la síntesis mediante enclavado en adolescentes. Asimismo, la utilización de placas permite reducciones anatómicas, evitando el componente de rotación del foco de fractura o de angulación, los cuales pueden conducir a pérdida de movimiento y funcionalidad. Por su parte, el enclavado elástico endomedular se relaciona con curvas pronosupinadoras del radio más distales y cortas.25 Debido a que los pacientes mayores de 10 años presentan una menor tasa de remodelación,26 es importante obtener alineaciones que no limiten la función, además de que las placas no comportan un mayor número de complicaciones. Múltiples autores21,25-27 han reportado una mayor tasa de complicaciones mayores en el EEE. Flynn JM y colaboradores12 reportaron una mayor tasa de resultados pobres o intermedios (déficit de movilidad y complicaciones) en el enclavado en mayores de 10 años. Martus y su equipo28 ponen en evidencia una mayor tasa de complicaciones en los pacientes operados mediante enclavado y mayores de 10 años, frente a los menores, siendo la placa una buena alternativa en este grupo de mayor edad.

Otra ventaja es que las placas no generan molestias y se retiran con menor frecuencia que los clavos elásticos endomedulares.24,25 Vopat y colaboradores29 ponen de manifiesto que, si bien 73% de los pacientes refieren notar las placas, sólo 17% piden quitarlas. Por estas razones, considero la reducción abierta y fijación interna con placas mi primera opción para el tratamiento de una fractura de antebrazo en un adolescente.



CASO 2

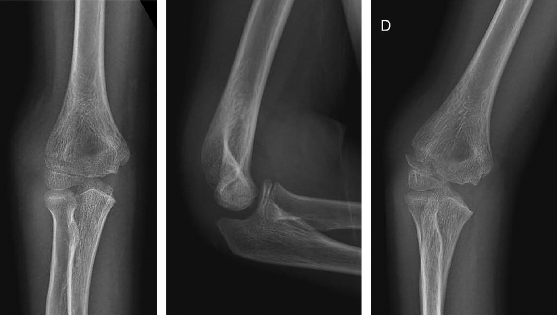
Masculino 14 años – Fractura de epitróclea con 5 mm desplazamiento sin luxación de codo (Figura 2).

  • 1. Tratamiento conservador – Dra. Nurhy Rinas (SAOTI):

Las fracturas de epitróclea representan de 12 a 20% del total de todas las lesiones alrededor del codo.30 Existe gran controversia respecto al tratamiento de las fracturas cerradas con y sin asociación de luxación, en ausencia de un fragmento encarcelado. Algunos autores sostienen que la intervención quirúrgica es necesaria en lesiones abiertas, fragmentos encarcelados, sintomatología cubital o inestabilidad asociada de codo.31,32 Otros autores han recomendado la cirugía para fracturas con desplazamiento > 2 mm.33

Existen varias limitaciones que hacen que el tratamiento de estas fracturas sea tan controversial. La evidencia actual es muy pobre, la mayoría de los estudios son nivel IV, con muestras de insuficiente poder estadístico para demostrar diferencias o carecen de una evaluación con escalas funcionales validadas. Asimismo, las radiografías son imprecisas para la evaluación del grado de desplazamiento34,35 y la evaluación de la estabilidad del codo es dificultosa sin anestesia.

Entendiendo estas limitaciones, múltiples autores han reportado resultados similares tanto en pacientes operados como en aquéllos tratados de manera incruenta.36-39 Ip y Tsang incluso reportan mejores resultados funcionales en pacientes tratados de manera incruenta utilizando el Mayo Clinic Performance Index que enfatiza en el dolor y las actividades de la vida diaria.40,41 Si bien la pseudoartrosis es significativamente superior con un abordaje conservador, los resultados funcionales a largo plazo serían similares en quienes no se presenta esta complicación.37,38 En una revisión de 498 casos, hallaron que después de la fijación quirúrgica, el rango de consolidación fue nueve veces mayor (92.5 vs 49.2%). A pesar de ello, no hubo diferencia significativa en cuanto al dolor o síntomas cubitales.42

Teniendo en cuenta estos datos debemos enfatizar que el tratamiento debe estudiarse minuciosamente adaptándolo al paciente y no a la inversa. El tratamiento quirúrgico debería ofrecerse en situaciones puntuales como encarcelación articular del fragmento, sintomatología cubital o deportistas de alto rendimiento. Para las demás situaciones, el tratamiento incruento ofrecería resultados funcionales satisfactorios, sin riesgos quirúrgicos o anestésicos agregados.

  • 2. Tratamiento quirúrgico – Dr. Javier Narbona Cárceles (SEOP):

Cuando una fractura afecta a elementos estabilizadores de una articulación, la lógica dicta que aquellos tratamientos consistentes en restaurar la anatomía son necesarios para la completa restauración de la función, por lo que son de elección.43 Sin embargo, el caso de las fracturas de epicóndilo medial con gran desplazamiento y sin luxación asociada en edad pediátrica parece refutar este planteamiento. Existen varios estudios que indican que el tratamiento conservador, pese a una elevadísima tasa de pseudoartrosis, obtiene unos resultados funcionales similares a los del tratamiento quirúrgico.37,38,44 Esto hace pensar que la epitróclea no tiene un papel en la estabilización del codo y fuerza del antebrazo tan importante como parece, o que los procesos reparadores mediante fibrosis son suficientes para suplir dicha función. Pese a esta aparente igualdad de resultados la mayoría de cirujanos ortopédicos pediátricos continúan optando por el tratamiento quirúrgico.45,46

Múltiples estudios refieren que los resultados del tratamiento conservador son iguales e incluso superiores al quirúrgico siempre y cuando se cumplan requisitos como ser casos de traumatismos de baja energía, sin luxación asociada y con protocolos de movilización precoz. En estos estudios a menudo se añade una recomendación indicando la cirugía para casos de pacientes con alta exigencia de dicha articulación (atletas de deportes con lanzamiento, estrés repetitivo en valgo, brazo dominante).37,38,44,47-50 De esto se deduce que el factor determinante del resultado a largo plazo es el grado de inestabilidad y demanda articular, y no tanto el grado de desplazamiento.50,51

Lamentablemente es imposible conocer la tasa de luxaciones autorreducidas en el momento de la fractura, y los test de estabilidad en valgo dependen de la subjetividad del examinador y de la colaboración de pacientes muy jóvenes con el dolor de una fractura reciente que puede influir en la decisión terapéutica. Asimismo, la decisión de tratamiento no puede depender de considerar como definitivo el estado de exigencia articular (atleta vs sedentario) de un paciente en etapas tempranas de la vida. Dado que la mayoría de estudios comparativos presentan un tamaño muestral pequeño, resulta de gran valor el estudio de revisión recientemente publicado por Pezzutti y colaboradores,48 en dicho estudio se indica que si bien el resultado funcional a largo plazo es bueno y similar en ambos grupos, el tratamiento quirúrgico se relaciona con una reincorporación a la vida deportiva de forma ligeramente más precoz y menos casos de desarrollo de neuropatía cubital tras tratamiento frente al tratamiento conservador, además otorga una tasa de resultados/complicaciones ligeramente superiores para el tratamiento quirúrgico. Pero ¿estos resultados son lo suficientemente significativos como para compensar los riesgos de una intervención quirúrgica?

El desarrollo de pseudoartrosis es esperable en la mayoría de los casos tras un tratamiento conservador en comparación con el tratamiento quirúrgico, donde es excepcional.48 Si bien no es considerada una complicación en sí misma,44 se asocia en mayor medida con inestabilidad en valgo, siendo muy raro que genere síntomas salvo sobrecargas repetitivas de la articulación.48,49 Es importante reseñar respecto a la demanda articular y percepción de síntomas que el porcentaje de pacientes deportistas y el grado de exigencia es cada vez mayor en la sociedad actual.52 Reflejo de ello es la aparición de un número creciente de artículos, sobre todo en el campo de la artroscopia y medicina deportiva, reseñando la importancia del ligamento colateral cubital como estabilizador del codo y el mayor conocimiento de las consecuencias de una inestabilidad medial crónica a largo plazo, generando cada vez mayor tendencia al tratamiento quirúrgico de estas lesiones.53,54

De los pocos pacientes que desarrollan síntomas, un pequeño porcentaje puede precisar tratamiento quirúrgico. Dicho tratamiento es variable en función del tiempo de evolución y puede incluir la necesidad de transposición del nervio cubital, alargamiento miofascial del complejo flexor-pronador, reconstrucción del ligamento colateral cubital e incluso la eliminación de calcificaciones heterotópicas.55,56 Se desconoce el porcentaje real de pseudoartrosis sintomáticas, aunque se sabe que es muy infrecuente. No obstante debe considerarse una complicación grave y más propia del grupo de tratamiento conservador, que podría por sí sola justificar el tratamiento quirúrgico inicial de la fractura para evitar su aparición.

En mi opinión, el tratamiento quirúrgico de estas fracturas es preferible. La síntesis con tornillos permite un inicio precoz de la movilización. Una correcta técnica quirúrgica y evitar, si es posible, el uso de arandelas puede disminuir las complicaciones más frecuentes en este grupo que son la rigidez y la intolerancia por protrusión del material de síntesis. La osteosíntesis con materiales absorbibles ha demostrado resultados excelentes eliminando la necesidad de cirugía de retirada compensando de algún modo el superior coste del material.57

Ante traumatismos de baja energía y en ausencia de luxación, ambos tratamientos son correctos y ofrecen buenos resultados siempre y cuando no se someta al codo a sobrecarga.47-51 En caso contrario, el tratamiento conservador presentaría peores resultados como consecuencia de su mayor asociación a inestabilidad. Si bien la mayor parte de los pacientes no intervenidos no desarrollarán síntomas, esta brecha puede aumentar ante la creciente demanda articular de los pacientes y el cada vez mayor conocimiento de las consecuencias a largo plazo de la inestabilidad en valgo del codo. Las potenciales complicaciones derivadas del tratamiento de estos síntomas deben tenerse en cuenta. Considero más apropiado el tratamiento quirúrgico debido a su sencillez, accesibilidad y probados excelentes resultados.



CASO 3

Masculino 13 años – Fractura de extremo proximal de húmero Neer-Horowitz tipo III (Figura 3).

  • 1. Tratamiento conservador – Dra. Laura Montes Medina (SEOP):

En la literatura no existe un criterio absoluto con respecto al desplazamiento o angulación que requiera manejo quirúrgico y el tratamiento de las fracturas severamente desplazadas sigue siendo controvertido. Esto es debido a que gran parte de la información disponible proviene de estudios con poca evidencia, siendo series cortas de casos retrospectivos, con pocos o ningún dato comparativo de resultados. Estas fracturas en general tienen resultados excelentes debido al extraordinario potencial de remodelación del húmero proximal, responsable de 80% del crecimiento del mismo, también a que su fisis se cierra a los 14-17 años en niñas y a los 16-18 en niños.58 Este dato fue recogido por Neer y colaboradores58 en su artículo clásico y constituye la base de la aceptación amplia históricamente del tratamiento no quirúrgico, independientemente del desplazamiento, angulación, rotación o traslación. Neer hizo esta recomendación aun cuando la mayoría de los pacientes de su grupo de fracturas tipo IV presentaron deformidad persistente y acortamiento notable, ya que, según los autores, esto no provocó un mal resultado clínico. No obstante, la descripción de los resultados es muy somera y no incluye una evaluación funcional formal. A pesar de la calidad limitada de los estudios, actualmente existe una tendencia hacia un manejo quirúrgico más agresivo de aquellas fracturas inestables o severamente desplazadas en niños mayores.59-61 La mayoría de estos estudios no hacen diferenciación entre las fracturas tipo III y tipo IV. Otros autores62 refieren que el grado de desplazamiento por sí solo no parece justificar el tratamiento quirúrgico. En un estudio63 de cohortes emparejadas donde se comparan los resultados clínicos y funcionales del hombro entre los pacientes que se sometieron al manejo quirúrgico frente al no quirúrgico de fracturas tipo III o IV, no hay diferencias en complicaciones, tasa de retorno a la actividad o satisfacción estética. Entre las fracturas tratadas sin cirugía, los resultados menos deseables son más comunes en pacientes mayores de 12 años. En una gran serie de casos64 de pacientes no intervenidos seguidos a largo plazo, se demuestra una remodelación completa de las fracturas que quedaron incluso severamente desplazadas. En una revisión sistemática65 los autores recomiendan tratar las fracturas caso por caso, teniendo en cuenta sexo, edad ósea y potencial de remodelación. Se basan en que la literatura publicada es incapaz de estratificar las fracturas de húmero proximal por edad y desplazamiento y en que los resultados a largo plazo de los pacientes mayores de 10 a 13 años tratados de manera quirúrgica y no quirúrgicamente con fracturas severamente desplazadas aún se desconocen. Añaden que los pacientes mayores con fracturas más severamente desplazadas pueden beneficiarse de la reducción anatómica con estabilización, aunque los datos publicados son demasiado débiles para recomendar esta indicación enfáticamente. Recientemente, un artículo66 donde se estudian la incidencia y las tendencias de tratamiento en las fracturas pediátricas de húmero proximal evidencia que, independientemente de la incidencia mantenida de las fracturas, el tratamiento quirúrgico ha aumentado como alternativa al tratamiento conservador. Sin embargo, hay escasa evidencia que apoye este cambio reciente, y no hay ensayos clínicos disponibles que comparen el tratamiento quirúrgico con el no quirúrgico.

Ante lo dicho, no es posible afirmar la indicación quirúrgica de las fracturas tipo III. En pacientes menores de 12 años simplemente la inmovilización parece ser suficiente. En pacientes mayores, con más angulación podrían beneficiarse de una reducción cerrada e inmovilización, convirtiéndolas en tipo I y II. Esto reserva la intervención quirúrgica para aquéllos que permanezcan inestables tras la reducción.

  • 2. Tratamiento quirúrgico – Dra. Sabrina Campero (SAOTI):

Las fracturas de húmero proximal en niños y adolescentes tienen una baja incidencia, representando aproximadamente 2% de todas las fracturas pediátricas.61,66 La mayoría de estas fracturas se presentan sin desplazamiento o mínimamente desplazadas, pudiendo ser tratadas en forma incruenta gracias al gran potencial de remodelación que presenta el húmero proximal.67 Sin embargo, no existe consenso con respecto al tratamiento de fracturas con mayor desplazamiento en pacientes que se encuentran más cercanos a la madurez esquelética. Quienes favorecen el tratamiento conservador argumentan que la fisis proximal del húmero es de las más activas y que la articulación glenohumeral es la articulación más móvil del cuerpo, pudiendo compensar cierta cantidad de deformidad residual. Sin embargo, el tratamiento óptimo en última instancia debe depender del potencial de remodelación (edad ósea), la magnitud de la deformidad, comorbilidades y las demandas funcionales del paciente.

Es difícil determinar a partir de la evidencia disponible qué grado de desplazamiento producirá un resultado clínico inaceptable. Aunque estos valores no han sido consensuados, la mayoría de los autores toman como parámetro de tolerancia angulaciones superiores a 20-45 grados en pacientes mayores de 12 años.59,61,65,68-71 Debido a que la capacidad de remodelación va disminuyendo progresivamente a medida que el paciente se acerca a la madurez esquelética, el resultado podría empeorar con la edad si se opta por tratamiento conservador en una fractura con un desplazamiento no tolerable. Múltiples autores han demostrado una mayor incidencia de deformidades residuales, limitaciones en rango de movimiento y resultados funcionales indeseables en pacientes adolescentes tratados sin cirugía. Un metaanálisis reciente72 que evaluó 643 pacientes de 19 estudios encontró que las fracturas gravemente desplazadas evolucionaron mejor cuando se trataron quirúrgicamente en términos de resultados funcionales (82% de éxito frente a 98%). Si bien este metaanálisis tiene limitaciones propias del nivel de evidencia de los estudios incluidos (nivel III y IV) y del uso de escalas funcionales no validadas en este grupo etario, permite sugerir el tratamiento quirúrgico en mayores de 13 años con fracturas desplazadas.

Si bien la literatura no es definitiva, en adolescentes con ≤ 2 años de crecimiento restantes, la remodelación de fracturas con gran desplazamiento (> 30 grados) no es confiable. Por esta razón, pienso que se debería considerar el tratamiento quirúrgico en fracturas Neer-Horowitz grado III y IV en pacientes adolescentes.



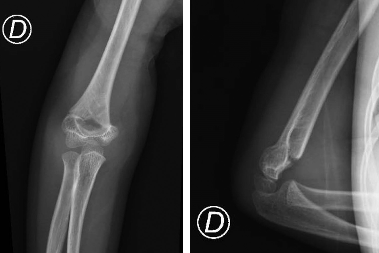
CASO 4

Femenino seis años – Fractura supracondílea Gartland II sin lesión neurovascular (Figura 4).

  • 1. Tratamiento conservador – Dr. Sergio Martínez Álvarez (SEOP):

Las fracturas supracondíleas de húmero son muy frecuentes en la población pediátrica. Existe unanimidad en el método de tratamiento para las Gartland tipo I (inmovilización) y para las Gartland tipo III (reducción y osteosíntesis). Más controvertido es el tratamiento de las fracturas Gartland tipo II, fracturas desplazadas, pero con la cortical posterior intacta. Los defensores del tratamiento conservador han argumentado sobre la capacidad de remodelación del esqueleto inmaduro y las complicaciones asociadas al tratamiento quirúrgico. Los partidarios del tratamiento quirúrgico han argumentado el desplazamiento secundario con la inmovilización, el riesgo de síndrome compartimental cuando se inmoviliza en excesiva flexión y la escasa capacidad de remodelación del extremo distal del húmero.

Moraleda y colaboradores73 realizaron un estudio retrospectivo sobre la historia natural de 46 fracturas Gartland II tratadas de forma conservadora sin reducción, con un seguimiento medio de 6.6 años. Aunque los resultados funcionales fueron excelentes en la mayoría de los pacientes (mediante la evaluación con escalas MEPS, QuickDASH y Flynn), clínicamente se objetivó una hiperextensión del codo, con limitación para la flexión y una deformidad en varo leve en uno de cada cuatro pacientes. Hadlow y su grupo74 afirmaron que la osteosíntesis en 48 pacientes de su estudio con fractura supracondílea de húmero tipo II habría sido innecesaria en 77% de los casos (37 pacientes). Pierantoni y colaboradores75 valoraron los resultados funcionales y radiológicos de 31 pacientes con fractura tipo II, tras reducción cerrada bajo sedación (óxido nitroso) e inmovilización, concluyendo que era un método seguro y apropiado con un desplazamiento secundario de 16.1% que precisó cirugía. Roberts y su equipo76 realizaron un trabajo comparativo de dos tipos de inmovilización: vendaje con método de Blount y férula braquioantebraquial, siendo ambas técnicas similares clínica y radiológicamente. Miranda y colaboradores77 compararon los resultados del tratamiento conservador y quirúrgico en 56 fracturas supracondíleas tipo II, con resultados similares en ambos grupos, concluyendo que el tratamiento conservador es adecuado para las fracturas tipo II, evitando las complicaciones quirúrgicas y disminuyendo la estancia hospitalaria. Iorio y su equipo78 realizaron un estudio similar con ambos tratamientos, observando resultados equiparables y estableciendo un algoritmo de tratamiento basado en la línea humeral anterior, el ángulo de Baumann y la presencia de alteraciones rotacionales. Spencer y colaboradores79 realizaron un estudio prospectivo de 259 fracturas tipo II para determinar cuáles podían tratarse con éxito con tratamiento conservador. Mediante un algoritmo de tratamiento basado en criterios clínico-radiológicos concluyeron que, las fracturas con alteración rotacional, deformidad coronal, desplazamiento severo en extensión y/o excesiva tumefacción debían tratarse de forma quirúrgica. Este abordaje selectivo evitaba el tratamiento quirúrgico en 58% de las fracturas tipo II.

Por lo expuesto anteriormente, considero que ciertas fracturas supracondíleas tipo II podrían ser tratadas exitosamente sin cirugía. Si bien el manejo conservador podría ser una opción terapéutica para casos seleccionados, es importante que las fracturas no presenten tumefacción excesiva, desviaciones en el plano axial o coronal (colapso columna medial o lateral) y que el paciente tenga la posibilidad de concurrir a controles de manera frecuente.

  • 2. Reducción cerrada y enclavijado percutáneo – Dra. Valeria Amelong (SAOTI):

La tendencia actual en el manejo de las fracturas supracondíleas del húmero distal Gartland II ha evolucionado hacia el tratamiento quirúrgico con reducción cerrada y enclavijado percutáneo,80 que en mi opinión es el tratamiento de elección. El húmero distal aporta 20% del crecimiento longitudinal, siendo escasa su capacidad de remodelación. Por lo tanto se requiere una reducción adecuada y una fijación estable para prevenir la consolidación viciosa.81 Otro motivo a favor del tratamiento quirúrgico es que estas fracturas requieren flexión mayor a 90o para mantenerse estables. Está demostrado que la posición de mayor flexión y pronación causa disminución del flujo a la arteria humeral. Por lo tanto es más seguro mantener la reducción con clavijas e inmovilizar el miembro en no más de 90o de flexión.82 Una situación particular que no debe pasar desapercibida es la presencia de colapso del pilar medial, la cual es indicación absoluta de reducción y estabilización con clavijas para evitar la deformidad en varo secuelar.83

La historia natural de las fracturas tipo II tratadas con inmovilización sin reducción muestra en el seguimiento a largo plazo hiperextensión de codo con disminución de la flexión, presentando dolor 15%, inestabilidad 6% y codo varo 26% de los pacientes. Si bien la mayoría no refieren discapacidad, los resultados fueron insatisfactorios en 36%.73 Los defensores del tratamiento conservador afirman que los resultados son satisfactorios, evitando los riesgos anestésicos y quirúrgicos. Sin embargo, al analizar dichos estudios observamos hasta 48% de pérdidas de reducción,84,85 20% de necesidad de cirugía diferida,86 y hasta 14% de resultados pobres, según criterios de Flynn,74 con una incidencia de 44 a 80% de deformidad residual radiográfica.87 En cuanto a los riesgos anestésicos, en muchos casos utilizan sedación endovenosa88 para realizar la reducción, por lo cual no se trata de una ventaja real al momento de decidir la conducta. En muchos centros cuentan con la posibilidad de radioscopia en la sala de guardia, la cual no se encuentra disponible en muchas instituciones de nuestro país. En contraposición, el tratamiento con reducción cerrada y enclavijado percutáneo es un método seguro y efectivo, que muestra uniformemente buenos resultados y permite evitar la necesidad de cirugía adicional y consolidación viciosa, con mínimo riesgo de complicaciones.89,90 La AAOS recomienda el tratamiento quirúrgico de todas las fracturas tipo II basado en meta-análisis que demuestra mejores resultados.91

Al comparar las complicaciones entre ambos tratamientos, observamos que con la reducción cerrada y enclavijado percutáneo la incidencia de infección de las clavijas es de entre 0.5 y 2%, la cual se resuelve en su mayoría con tratamiento antibiótico y retirada de los pines. Afortunadamente, en el momento de ocurrir la infección, la fractura suele ser lo suficientemente estable como para permitir la retirada de las clavijas sin perder la reducción. Otro riesgo descrito es la lesión nerviosa iatrogénica del nervio cubital. Esto puede evitarse ya que estas fracturas presentan cierta estabilidad intrínseca que hace que dos clavijas laterales sean suficientes para mantener la reducción. A diferencia de esto, las complicaciones del tratamiento conservador son más frecuentes y difíciles de tratar. El codo varo residual no es sólo un problema estético sino posible causa de dolor crónico, neuropatía cubital, inestabilidad posterolateral y aumento del riesgo de fracturas de cóndilo externo. A su vez el tratamiento con osteotomías de realineación es más complejo y con resultados no siempre satisfactorios. Otro aspecto a tener en cuenta es que el tratamiento conservador requiere controles semanales durante las primeras tres semanas, lo cual puede ser dificultoso en pacientes de escasos recursos.92

En la actualidad los pacientes y sus familias tienen mayores exigencias con respecto al tratamiento, por lo tanto es más razonable optar por aquel que ofrezca los mejores resultados y minimice el riesgo de complicaciones. Para las fracturas supracondíleas tipo II, considero que es la reducción cerrada y enclavijado percutáneo.



CASO 5

Femenino ocho años – Fractura cóndilo lateral Song tipo 4 (Figura 5)

  • 1. Reducción y fijación con agujas de Kirschner - Dra. M Dolores García Alfaro (SEOP):

Las fracturas del cóndilo lateral del húmero sin desplazamiento o con un desplazamiento mínimo (≤ 2 mm) se pueden tratar con un yeso braquiopalmar con el antebrazo en supinación durante 4-6 semanas.93 Se recomiendan radiografías semanales las tres primeras semanas para ver que no haya desplazamiento secundario. Las fracturas desplazadas (> 2 mm) se manejan con frecuencia quirúrgicamente94 con el fin de evitar la pseudoartrosis, la consolidación defectuosa, los trastornos del crecimiento y la artritis posterior.

Nuestra fractura es un tipo 4 de la clasificación de Song,95 es decir una fractura con un desplazamiento > 2 mm sin rotación del fragmento distal e inestable. Yo intentaría una reducción cerrada y fijación percutánea, comprobando, mediante fluoroscopia intraoperatoria, que la fractura se reduce con menos de 2 mm de desplazamiento y se restaura la superficie articular de forma anatómica.96 Weiss y colaboradores97 observaron que las fracturas con un desplazamiento > 2 mm pero < 4 mm se podían reducir de forma cerrada y fijar percutáneamente de forma estable.

La síntesis de la fractura la realizaría con agujas de Kirschner de 1.6 mm utilizaría dos agujas colocadas divergentes con fijación bicortical desde la porción lateral distal del fragmento, una paralela a la línea articular y la segunda dirigida aproximadamente 60o verticalmente hacia la metáfisis medial proximal del húmero. Las agujas de Kirschner pueden pasar a través del centro de osificación del capitellum si es necesario. Algunos cirujanos utilizan de forma rutinaria una tercera aguja de Kirschner, que aumenta la estabilidad de la fractura durante la carga axial y la rotación del codo.97 Las agujas las dejo por fuera de la piel e inmovilizo el brazo con una férula braquiopalmar; a las cuatro a seis semanas tras comprobar radiológicamente la consolidación de la fractura, retiro las agujas de forma ambulatoria en la consulta. Un metaanálisis reciente98 no mostró diferencias significativas con respecto a las tasas de infección, infección superficial, retardo de consolidación o reintervención, entre dejar las agujas de Kirschner expuestas o enterradas.

Algunos estudios99,100 defienden el uso de tornillos por su menor tasa de infección, menor pseudoartrosis y una recuperación más temprana de la movilidad. Sin embargo, precisan en todos los casos la retirada de estos en el quirófano con el consiguiente aumento del gasto y el riesgo anestésico de una segunda cirugía. Por contrapartida, Wendling-Keim y colaboradores101 observaron que la fijación con agujas de Kirschner presentaba una menor tasa de complicaciones que la fijación con tornillos y no encontraron ningún caso de pseudoartrosis. La fijación con tornillos, además, requiere habilidades técnicas ya que el fragmento óseo metafisario suele ser muy pequeño, lo que hace que sea más difícil que la fijación con agujas de Kirschner para los cirujanos con menor experiencia.

  • 2. Reducción y fijación con tornillo(s) – Dra. Carolina Halliburton (SAOTI):

Las fracturas del cóndilo humeral lateral representan 15% de las fracturas en el codo pediátrico. Estas lesiones implican un desafío por tratarse de una fractura que puede afectar la superficie articular y cuyo tratamiento inadecuado puede dar lugar a retardo de consolidación, pseudoartrosis, necrosis avascular, inestabilidad y deformidad progresiva entre otras complicaciones. Existe consenso en que las fracturas con un desplazamiento > 2 mm requieren estabilización. Sin embargo, hay cierta controversia en cuanto al método de fijación. Las clavijas de Kirschner han sido el método clásico utilizado para estabilizar estas fracturas. Más recientemente la fijación con tornillos canulados de compresión ha sido propuesta como una técnica alternativa más efectiva.102,103

La fijación con clavijas se ha asociado con varias desventajas: una mayor incidencia de pérdida de reducción (debido a la capacidad limitada de producir compresión), mayor incidencia de infecciones superficiales, sobrecrecimiento lateral y necesidad de mayor tiempo de yeso.99 En fracturas Song tipo 4 y 5, mi preferencia es la fijación con uno o dos tornillos canulados de compresión de 3.5 o 4 mm de ubicación metafisaria o perifisaria, perpendicular al trazo de fractura, direccionado desde posterolateral hacia anteromedial.103 Los tornillos permiten generar mayor compresión del foco de fractura, que en este tipo de fracturas intraarticulares con un pequeño fragmento osteocartilaginoso, resulta de vital importancia para lograr la consolidación, disminuyendo el riesgo de consolidación viciosa y pseudoartrosis. Las ventajas biomecánicas del uso de tornillos comparado con clavijas han sido publicadas recientemente en un modelo de hueso sintético.104

La prominencia lateral es una complicación frecuente de las fracturas del cóndilo lateral. En un estudio comparativo,105 la prominencia lateral se presentó en un porcentaje significativamente inferior al utilizar tornillos (36.7 versus 12.5%, p < 0.05). Se ha propuesto que la estabilización relativamente baja de la fractura con clavijas de Kirschner podría causar un callo óseo más exuberante.105

Una desventaja de la fijación con tornillos es la preocupación por complicaciones relacionadas con la fisis al ser atravesada y comprimida por los mismos. Varios estudios con seguimiento entre dos y 10 años103,106,107 han demostrado la ausencia de esta complicación. Otros autores incluso han demostrado resultados fallidos a medio plazo de la hemiepifisiodesis humeral distal para tratar la deformidad en cúbito varo en niños pequeños.108 Estos hallazgos estarían relacionados con que el húmero distal tiene una pequeña contribución al crecimiento longitudinal humeral, por lo que la desviación axial o la dismetría pueden no desarrollarse hasta mucho después de la lesión si es que ocurren en absoluto.

En conclusión considero que, la utilización de tornillos permite incrementar la estabilidad en el foco y disminuir las posibilidades de pérdida de fijación, consolidación viciosa y retardo de consolidación reportada con la fijación con clavijas en fracturas de cóndilo humeral lateral desplazadas. Así también permitiría minimizar la posibilidad de infecciones superficiales y disminuir el tiempo de inmovilización. Por estas razones, considero que debería ser el método de elección en el caso presentado.



CONCLUSIóN

En este artículo evaluamos la literatura de cinco fracturas pediátricas que presentan cierta controversia en el manejo terapéutico, presentando a los lectores las ventajas y desventajas de los tratamientos más frecuentemente utilizados en ese escenario. La medicina basada en la evidencia ha comenzado a incursionar en la ortopedia pediátrica y seguramente mejorará la calidad de atención que brindamos a nuestros pacientes. Sin embargo, muchos de los tratamientos que indicamos habitualmente no han sido probados rigurosamente y aún quedan brechas significativas en el conocimiento de ciertas patologías. Para optimizar la toma de decisiones, los cirujanos debemos conocer la evidencia, tomar decisiones basadas en los ensayos de la más alta calidad disponibles y, en ausencia de éstos, basar nuestro juicio en la evidencia observacional, reconociendo que esto puede ser imperfecto. Simultáneamente, la investigación clínica preferentemente mediante grupos multicéntricos de diverso origen debe contribuir activamente a llenar los vacíos de conocimiento en ensayos controlados bien diseñados. Un buen ejemplo de esto son los estudios prospectivos multicéntricos en fracturas de epitróclea que se están llevando a cabo en la Universidad de Oxford (SCIENCE study) (https://science.octru.ox.ac.uk/), el Hospital de niños de Chicago (COMET study) (https://clinicaltrials.gov/ct2/show/NCT05131672) y la Universidad de Helsinki.109 Hasta que estos estudios y otros de similares características nos permitan tomar mejores decisiones, debemos discutir detalladamente con la familia de nuestros casos los riesgos y beneficios de cada una de las opciones terapéuticas para una toma de decisiones compartida utilizando nuestra experiencia y sentido común.


REFERENCIAS (EN ESTE ARTÍCULO)

  1. Cooper C, Dennison EM, Leufkens HG, Bishop N, van Staa TP. Epidemiology of childhood fractures in britain: a study using the general practice research database. J Bone Miner Res. 2004; 19: 1976-1981.

  2. Randsborg PH, Gulbrandsen P, Saltyte Benth J et al. Fractures in children: epidemiology and activity-specific fracture rates. J Bone Joint Surg Am. 2013; 95(7): e42. doi: 10.2106/JBJS.L.00369.

  3. Adam O, Horhat FG, Amaricai E, David VL, Derzsi Z, Boia ES. Upper Extremity Fractures in Children-Comparison between Worldwide, Romanian and Western Romanian Region Incidence. Children (Basel). 2020; 7(8): 84. doi: 10.3390/children7080084.

  4. Evidence Based Medicine Working Group. Evidence based medicine. A new approach to teaching the practice of medicine. JAMA. 1992; 268: 2420-2425.

  5. Sackett DL, Rosenberg WM, Gray JA et al. Evidence based medicine: what it is and what it isn't. BMJ. 1996; 312: 71-72.

  6. American Academy of Orthopaedic Surgeons Treatment of Pediatric Supracondylar Humerus Fractures Evidence-Based Clinical Practice. Guideline. [Accessed February 19, 2022] Available in: https://www.aaos.org/globalassets/quality-and-practice-resources/pshf/pshf_cpg_10.31.16.pdf

  7. Chung KC, Spilson SV. The frequency and epidemiology of hand and forearm fractures in the United States. J Hand Surg. 2004; 29A: 458-461. doi: 10.1053/jhsu.2001.26322.

  8. Bae DS. Pediatric distal radius and forearm fractures. J Hand Surg Am. 2008; 33(10): 1911-1923. doi: 10.1016/j.jhsa.2008.10.013.

  9. Noonan KJ, Price CT. Forearm and distal radius fractures in children. J Am Acad Orthop Surg. 1998; 6:146-156. doi: 10.5435/00124635-199805000-00002.

  10. Pace JL. Pediatric and adolescent forearm fractures: Current controversies and treatment recommendations. J Am Acad Orthop Surg. 2016; 24: 780-788.

  11. Dua K, Hosseinzadeh P, Baldwin KD, Abzug JM. Management of pediatric forearm fractures after failed closed reduction. Instr Course Lect. 2019; 68: 395-406.

  12. Flynn JM, Jones KJ, Garner MR, Goebel J. Eleven years experience in the operative management of pediatric forearm fractures. J Pediatr Orthop. 2010; 30: 313-319. doi: 10.1097/BPO.0b013e3181d98f2c

  13. Eismann EA, Little KJ, Kunkel ST, Cornwall R. Clinical research fails to support more aggressive management of pediatric upper extremity fractures. J Bone Joint Surg Am. 2013; 95(15): 1345-1350.

  14. Poutoglidou F, Metaxiotis D, Kazas C, Alvanos D, Mpeletsiotis A. Flexible intramedullary nailing in the treatment of forearm fractures in children and adolescents, a systematic review. J Orthop. 2020; 20: 125-130. doi: 10.1016/j.jor.2020.01.002.

  15. Shah AS, Lesniak BP, Wolter TD, Caird MS, Farley FA, VanderHave KL. Stabilization of adolescent both-bone forearm fractures: a comparison of intramedullary nailing versus open reduction and internal fixation. J Orthop Trauma. 2010; 24(7): 440-447. doi: 10.1097/bot.0b013e3181ca343b.

  16. Lascombes P, Haumont T, Journeau P. Use and abuse of flexible intramedullary nailing in children and adolescents. J Pediatr Orthop. 2006; 26(6): 827-834. doi: 10.1097/01.bpo.0000235397.64783.d6.

  17. Peterlein CD, Modzel T, Hagen L, Ruchholtz S, Krüger A. Long-term results of elastic-stable intramedullary nailing (ESIN) of diaphyseal forearm fractures in children. Medicine. 2019; 98: 11(e14743). doi: 10.1097/MD.0000000000014743.

  18. Schmittenbecher PP. State-of-the-art treatment of forearm shaft fractures. Injury. 2005; 36(Suppl 1): 25-34. doi: 10.1016/j.injury.2004.12.010.

  19. Westacott DJ, Jordan RW, Cooke SJ. Functional outcome following intramedullary nailing or plate and screw fixation of paediatric diaphyseal forearm fractures: a systematic review. J Child Orthop. 2012; 6: 75-80. doi: 10.1007/s11832-011-0379-6.

  20. Puigdevall M, Bosio S, Halliburton C, Hokama J, Maenza R. Uso de clavos endomedulares flexibles de titanio para el tratamiento de fracturas diafisarias de antebrazo en pacientes pediátricos. Rev Asoc Argent Ortop Traumatol. 2013; 78: 180-183. doi: 10.15417/165.

  21. Reinhardt KR, Feldman DS, Green DW, Sala DA, Widmann RF, Scher DM. Comparison of intramedullary nailing to plating for both-bone forearm fractures in older children. J Pediatr Orthop. 2008; 28(4): 403-409. doi: 10.1097/bpo. 0b013e31816d71f2.

  22. Wall L, O'Donnell JC, Schoenecker KKA, Dobbs MB, Luhmann SJ, Gordon EJ. Titanium elastic nailing radius and ulna fractures in adolescents. J Pediatr Orthop B. 2012; 21(5): 482-488. doi: 10.1097/bpb.0b013e3283528db5.

  23. Patel A, Li L, Anand A. Systematic review: functional outcomes and complications of intramedullary nailing versus plate fixation for both-bone diaphyseal forearm fractures in children. Injury. 2014; 45(8): 1135-1143. doi: 10.1016/j.injury.2014.04.020

  24. Baldwin K, Morrison MJ, Tomlinson LA, Ramirez R, Flynn JM. Both bone forearm fractures in children and adolescents, which fixation strategy is superior - Plates or nails? A systematic review and meta-analysis of observational studies. J Orthop Trauma. 2014; 28(1): 8-14.

  25. Freese KP, Faulk LW, Palmer C, Baschal RM, Sibbel SE. A comparison of fixation methods in adolescent patients with diaphyseal forearm fractures. Injury. 2018; 49(11): 2053-2057.

  26. Smith VA, Goodman HJ, Strongwater A, Smith B. Treatment of pediatric both-bone forearm fractures: a comparison of operative techniques. J Pediatr Orthop. 2005; 25(3): 309-313.

  27. Zhao L, Wang B, Bai X, Liu Z, Gao H, Li Y. Plate fixation versus intramedullary nailing for both-bone forearm fractures: a meta-analysis of randomized controlled trials and cohort studies. World J Surg. 2017; 41(3): 722-733.

  28. Martus JE, Preston RK, Schoenecker JG, Lovejoy SA, Green NE, Mencio GA. Complications and outcomes of diaphyseal forearm fracture intramedullary nailing: a comparison of pediatric and adolescent age groups. J Pediatr Orthop. 2013; 33(6): 598-607.

  29. Vopat ML, Kane PM, Christino MA et al. Treatment of diaphyseal forearm fractures in children. Orthop Rev (Pavia). 2014; 6(2): 5325.

  30. Gottschalk HP, Eisner E, Hosalkar HS. Medial epicondyle fractures in the pediatric population. J Am Acad Orthop Surg. 2012; 20: 223-232.

  31. Louahem DM, Bourelle S, Buscayret F et al. Displaced medial epicondyle fractures of the humerus: surgical treatment and results. A report of 139 cases. Arch Orthop Trauma Surg. 2010; 130: 649-655.

  32. Wilkens K. Fractures involving the medial epicondylar apophysis. In: Rockwood C, Wilkins K, King R, eds. Fractures in Children. Philaldephia: Lippincott; 1991; pp. 509-828.

  33. Case SL, Hennrikus WL. Surgical treatment of displaced medial epicondyle fractures in adolescent athletes. Am J Sports Med. 1997; 25: 682-686.

  34. Souder CD, Farnsworth CL, McNeil NP et al. The distal humerus axial view: assessment of displacement in medial epicondyle fractures. J Pediatr Orthop. 2015; 35: 449-454.

  35. Pappas N, Lawrence JT, Donegan D et al. Intraobserver and interobserver agreement in the measurement of displaced humeral medial epicondyle fractures in children. J Bone Joint Surg Am. 2010; 92: 322-327.

  36. Dias JJ, Johnson GV, Hoskinson J, Sulaiman K. Management of severely displaced medial epicondyle fractures. J Orthop Trauma. 1987; 1: 59-62.

  37. Farsetti P, Potenza V, Caterini R, Ippolito E. Long-term results of treatment of fractures of the medial humeral epicondyle in children. J Bone Joint Surg Am. 2001; 83-A: 1299-1305.

  38. Josefsson PO, Danielsson LG: Epicondylar elbow fracture in children: 35-year follow-up of 56 unreduced cases. Acta Orthop Scand 1986; 57(4): 313-315.

  39. Nussberger G, Schadelin S, Mayr J et al. Treatment strategy and long-term & functional outcome of traumatic elbow dislocation in childhood: a single centre study. J Child Orthop. 2018; 12: 129-135.

  40. Leet AI, Young C, Hoffer MM. Medial condyle fractures of the humerus in children. J Pediatr Orthop. 2002; 22: 2-7.

  41. Ip D, Tsang WL: Medial humeral epicondylar fracture in children and adolescents. J Orthop Surg (Hong Kong). 2007; 15(2): 170-173.

  42. Kamath AF, Baldwin K, Horneff J, Hosalkar HS. Operative versus non- operative management of pediatric medial epicondyle fractures: a systematic review. J Child Orthop. 2009; 3(5): 345-357.

  43. Midtgaard KS, Ruzbarsky JJ, Hackett TR, Viola RW. Elbow fractures. Clin Sports Med. 2020; 39(3): 623-636.

  44. Grahn P, Hamalainen T, Nietosvaara Y, Ahonen M. Comparison of outcome between nonoperative and operative treatment of medial epicondyle fractures. Acta Orthop. 2021; 92(1): 114-119.

  45. Hughes M, Dua K, O'Hara NN et al. Variation among pediatric orthopaedic surgeons when treating medial epicondyle fractures. J Pediatr Orthop. 2019; 39(8): e592-e596.

  46. Masquijo JJ, Ferreyra A, Torres-Gomez A, Allende V. Medial epicondyle fractures: current practices and preferences between SLAOTI Members (Sociedad Latinoamericana de Ortopedia y Traumatología Infantil). J Pediatr Orthop. 2020; 40(6): 267-270.

  47. García-Mata S, Arbeloa-Gutierrez L, Brun M, Sánchez-Guardamino D. Prospective study of pediatric medial humeral epicondyle fractures nonoperatively treated. Clinical, radiologic, and functional evaluation at long term. J Pediatr Orthop B. 2021; 30(2): 180-189.

  48. Pezzutti D, Lin JS, Singh S, Rowan M, Balch Samora J. Pediatric medial epicondyle fracture management: a systematic review. J Pediatr Orthop. 2020; 40(8): e697-e702.

  49. Beck JJ, Bowen RE, Silva M. What's new in pediatric medial epicondyle fractures? J Pediatr Orthop. 2018; 38(4): e202-e206.

  50. Canavese F, Marengo L, Tiris A, Mansour M, Rousset M, Samba A, Andreacchio A, Dimeglio A. Radiological, clinical and functional evaluation using the Quick Disabilities of the Arm, Shoulder and Hand questionnaire of children with medial epicondyle fractures treated surgically. Int Orthop. 2017; 41(7): 1447-1452.

  51. Pathy R, Dodwell ER. Medial epicondyle fractures in children. Curr Opin Pediatr. 2015; 27(1): 58-66.

  52. Lawrence JT, Patel NM, Macknin J, Flynn JM, Cameron D, Wolfgruber HC, Ganley TJ. Return to competitive sports after medial epicondyle fractures in adolescent athletes: results of operative and nonoperative treatment. Am J Sports Med. 2013; 41(5): 1152-1157.

  53. Safran M, Ahmad CS, Elattrache NS. Ulnar collateral ligament of the elbow. Arthroscopy. 2005; 21(11): 1381-1395.

  54. Labott JR, Aibinder WR, Dines JS, Camp CL. Understanding the medial ulnar collateral ligament of the elbow: Review of native ligament anatomy and function. World J Orthop. 2018; 9(6): 78-84.

  55. Kulkarni VS, Arora N, Gehlot H, Saxena S, Kulkarni SG, Bajwa S. Symptomatic medial humeral epicondylar fracture non-union- rare presentation of a relatively common injury. Injury. 2017; 48 Suppl 2: S50-S53.

  56. Smith JT, McFeely ED, Bae DS, Waters PM, Micheli LJ, Kocher MS. Operative fixation of medial humeral epicondyle fracture nonunion in children. J Pediatr Orthop. 2010; 30(7): 644-648.

  57. Li J, Rai S, Ze R, Tang X, Liu R, Hong P. Is bioabsorbable screw an alternative choice for displaced medial epicondylar fractures in adolescents: a comparative study of metallic cannulated lag screw versus bioabsorbable screw. Medicine (Baltimore). 2020; 99(35): e22001.

  58. Neer CS II, Horwitz BS: Fractures of the proximal humeral epiphysial plate. Clin Orthop Relat Res. 1965; 41: 24-31.

  59. Dobbs MB, Luhmann SL, Gordon JE, Strecker WB, Schoenecker PL. Severely displaced proximal humeral epiphyseal fractures. J Pediatr Orthop. 2003; 23(2): 208-215.

  60. Bishop JY, Flatow EL. Pediatric shoulder trauma. Clin Orthop Relat Res. 2005; (432): 41-48.

  61. Popkin CA, Levine WN, Ahmad CS. Evaluation and management of pediatric proximal humerus fractures. J Am Acad Orthop Surg. 2015; 23: 77-86.

  62. Beringer DC, Weiner DS, Noble JS et al. Severely displaced proximal humeral epiphyseal fractures: a follow-up study. J Pediatr Orthop. 1998; 18: v31-37.

  63. Chaus GW, Carry PM, Pishkenari AK, Hadley-Miller N. Operative versus nonoperative treatment of displaced proximal humeral physeal fractures: a matched cohort. J Pediatr Orthop. 2015; 35(3): 234-239.

  64. Larsen CF, Kiaer T, Lindequist S. Fractures of the proximal humerus in children. Nine-year follow-up of 64 unoperated on cases. Acta Orthop Scand. 1990; 61(3): 255-257.

  65. Pahlavan S, Baldwin KD, Pandya NK, Namdari S, Hosalkar H: Proximal humerus fractures in the pediatric population: a systematic review. J Child Orthop. 2011; 5(3): 187-194.

  66. Hannonen J, Hyvönen H, Korhonen L, Serlo W, Sinikumpu JJ. The incidence and treatment trends of pediatric proximal humerus fractures. BMC Musculoskelet Disord. 2019; 20(1): 571.

  67. Kim AE, Chi H, Swarup I. Proximal humerus fractures in the pediatric population. Curr Rev Musculoskelet Med. 2021; 14(6): 413-420. doi: 10.1007/s12178-021-09725-4.

  68. Binder H, Tiefenboeck TM, Payr S, Schurz M, Aldrian S, Sarahrudi K. Treatment of proximal humerus fractures in children and young adolescents. Wiener klinische Wochenschrift. 2016; 128: 120-124. doi: 10.1007/s00508-015-0879-3.

  69. Lefevre Y, Journeau P, Angelliaume A, Bouty A, Dobremez E. Proximal humerus fractures in children and adolescents. Orthop Traumatol Surg Res. 2014; 100(Suppl 1): S149-S156. doi: 10.1016/j.otsr.2013.06.010.

  70. Cruz AI, Jr, Kleiner JE, Gil JA, Goodman AD, Daniels AH, Eberson CP. Inpatient surgical treatment of paediatric proximal humerus fractures between 2000 and 2012. J Child Orthop. 2018; 12: 111-116. doi: 10.1302/1863-2548.12.170220.

  71. Shahriar R, Hosseinzadeh P. Proximal humerus fractures: what alignment is acceptable in children 10 and up? J Pediatr Orthop. 2021; 41(Suppl 1): S20-S23. doi: 10.1097/BPO.0000000000001802.

  72. Hohloch L, Eberbach H, Wagner FC et al. Age- and severity-adjusted treatment of proximal humerus fractures in children and adolescents-a systematical review and meta-analysis. PLoS One. 2017; 12: e0183157.

  73. Moraleda L, Valencia M, Barco R, González-Morán G. Natural history of unreduced Gartland type-II supracondylar fractures of the humerus in children. J Bone Joint Surg Am. 2013; 95: 28-34.

  74. Hadlow AT, Devane P, Nicol RO. A selective treatment approach to supracondylar fracture of the humerus in children. J Pediatr Orthop. 1996; 16: 104-106.

  75. Pierantoni S, Alberghina F, Cravino M, Paonessa M, Cavanese F, Andreacchio A. Functional and radiographic outcomes of Gartland type II supracondylar humerus fractures managed by closed reduction undes nitrous oxide as conscious sedation. J Pediatr Orthop B. 2020; 29: 117-125.

  76. Roberts L, Strelzow J, Schaeffer EK, Reilly CW, Mulpuri K. Nonoperative treatmen of type IIA supracondylar humerus fractures: comparing 2 modalities. J Pediatr Orthop. 2018; 38: 521-526.

  77. Miranda I, Sánchez-Arteaga P, Marrachelli VG, Miranda FJ, Salom M. Orthopedic versus surgical treatment of Gartland type II supracondylar humerus fracture in children. J Pediatr Orthop B. 2013; 23: 93-99.

  78. Iorio C, Crostelli M, Mazza O, Rota P, Polito V, Perugia D. Conservative versus surgical treatment of Gartland type 2 supracondylar humeral fractures: what can help us choosing? J Orthop. 2018; 16(1): 31-35. doi: 10.1016/j.jor.2018.12.001.

  79. Spencer HT, Dorey FJ , Zionts LE, Dichter DH, Wong MA, Moazzaz P, Silva M. Type II supracondylar humerus fractures: can some be treated nonoperatively? J Pediatr Orthop. 2012; 38: 675-681.

  80. Sinikumpu JJ, Pokka T, Sirvio M, Serlo W. Gartland Type II supracondylar humerus fractures, their operative treatment and lateral pinning are increasing: a population-based epidemiologic study of extension-type supracondylar humerus fractures in children. Eur J Pediatr Surg. 2017; 27(5): 455-461. doi: 10.1055/s-0036-1597270.

  81. Omid R, Choi PD, Skaggs DL. Supracondylar humeral fractures in children. J Bone Joint Surg Am. 2008; 90(5): 1121-1132. doi: 10.2106/JBJS.G.01354.

  82. Mapes RC, Hennrikus WL. The effect of elbow position on the radial pulse measured by Doppler ultrasonography after surgical treatment of supracondylar elbow fractures in children. J Pediatr Orthop. 1998; 18(4): 441-444.

  83. De Boeck H, De Smet P, Penders W, De Rydt D. Supracondylar elbow fractures with impaction of the medial condyle in children. J Pediatr Orthop. 1995; 15(4): 444-448. doi: 10.1097/01241398-199507000-00006.

  84. Lucas DE, Willis LM, Klingele KE. Factors predictive of early radiographic failure after closed reduction of Gartland type II supracondylar humeral fractures. J Orthop Trauma. 2013; 27(8): 457-461. doi: 10.1097/BOT.0b013e31827aa78e.

  85. Fitzgibbons PG, Bruce B, Got C, Reinert S, Solga P, Katarincic J, Eberson C. Predictors of failure of nonoperative treatment for type-2 supracondylar humerus fractures. J Pediatr Orthop. 2011; 31(4): 372-376. doi: 10.1097/BPO.0b013e31821adca9.

  86. Parikh SN, Wall EJ, Foad S, Wiersema B, Nolte B. Displaced type II extension supracondylar humerus fractures: do they all need pinning? J Pediatr Orthop. 2004; 24(4): 380-384. doi: 10.1097/00004694-200407000-00007.

  87. Camus T, MacLellan B, Cook PC, Leahey JL, Hyndman JC, El-Hawary R. Extension type II pediatric supracondylar humerus fractures: a radiographic outcomes study of closed reduction and cast immobilization. J Pediatr Orthop. 2011; 31(4): 366-371. doi: 10.1097/BPO.0b013e31821addcf.

  88. Ojeaga P, Wyatt CW, Wilson P, Ho CA, Copley LAB, Ellis HB Jr. Pediatric type II supracondylar humerus fractures: factors associated with successful closed reduction and immobilization. J Pediatr Orthop. 2020; 40(8): e690-e696. doi: 10.1097/BPO.0000000000001586.

  89. Flynn JC, Matthews JG, Benoit RL. Blind pinning of displaced supracondylar fractures of the humerus in children. Sixteen years' experience with long-term follow-up. J Bone Joint Surg Am. 1974; 56(2): 263-272.

  90. Skaggs DL, Sankar WN, Albrektson J, Vaishnav S, Choi PD, Kay RM. How safe is the operative treatment of Gartland type 2 supracondylar humerus fractures in children? J Pediatr Orthop. 2008; 28(2): 139-141. doi: 10.1097/BPO.0b013e3181653ac8.

  91. Howard A, Mulpuri K, Abel MF et al. The treatment of pediatric supracondylar humerus fractures. J Am Acad Orthop Surg. 2012; 20(5): 320-327. doi: 10.5435/JAAOS-20-05-320.

  92. Fletcher ND, Sirmon BJ, Mansour AS, Carpenter WE, Ward LA. Impact of insurance status on ability to return for outpatient management of pediatric supracondylar humerus fractures. J Child Orthop. 2016t; 10(5): 421-427. doi: 10.1007/s11832-016-0769-x.

  93. Song KS, Waters PM. Lateral condylar humerus fractures: which ones should we fix? J Pediatr Orthop. 2012; 32 Suppl 1: S5-59. doi: 10.1097/BPO.0b013e318257642a.

  94. Knapik DM, Gilmore A, Liu RW. Conservative management of minimally displaced (≤ 2 mm) fractures of the lateral humeral condyle in pediatric patients: a systematic review. J Pediatr Orthop. 2017; 37(2): e83-e87. doi: 10.1097/BPO.0000000000000722.

  95. Song KS, Kang CH, Min BW, Bae KC, Cho CH, Lee JH. Closed reduction and internal fixation of displaced unstable lateral condylar fractures of the humerus in children. J Bone Joint Surg Am. 2008; 90(12): 2673-2681. doi: 10.2106/JBJS.G.01227.

  96. Abzug JM, Dua K, Kozin SH, Herman MJ. Current concepts in the treatment of lateral condyle fractures in children. J Am Acad Orthop Surg. 2020; 28(1): e9-e19. doi: 10.5435/JAAOS-D-17-00815.

  97. Weiss JM, Graves S, Yang S, Mendelsohn E, Kay RM, Skaggs DL. A new classification system predictive of complications in surgically treated pediatric humeral lateral condyle fractures. J Pediatr Orthop. 2009; 29(6): 602-605. doi: 10.1097/BPO.0b013e3181b2842c.

  98. Qin YF, Li ZJ, Li CK, Bai SC, Li H. Unburied versus buried wires for fixation of pediatric lateral condyle distal humeral fractures: a meta-analysis. Medicine (Baltimore). 2017; 96(34): e7736. doi: 10.1097/MD.0000000000007736.

  99. Ganeshalingam R, Donnan A, Evans O, Hoq M, Camp M, Donnan L. Lateral condylar fractures of the humerus in children: does the type of fixation matter? Bone Joint J. 2018; 100-B(3): 387-395. doi: 10.1302/0301-620X.100B3.BJJ-2017-0814.R1.

  100. Gilbert SR, MacLennan PA, Schlitz RS, Estes AR. Screw versus pin fixation with open reduction of pediatric lateral condyle fractures. J Pediatr Orthop B. 2016; 25(2): 148-152. doi: 10.1097/BPB.0000000000000238.

  101. Wendling-Keim DS, Teschemacher S, Dietz HG, Lehner M. Lateral condyle fracture of the humerus in children: Kirschner wire or screw fixation? Eur J Pediatr Surg. 2021; 31(4): 374-379. doi: 10.1055/s-0040-1714656.

  102. Sharma JC, Arora A, Mathur NC, Gupta SP, Biyani A, Mathur R. Lateral condylar fractures of the humerus in children: fixation with partially threaded 4.0-mm AO cancellous screws. J Trauma. 1995; 39(6): 1129-1133. doi: 10.1097/00005373-199512000-00021.

  103. Shirley E, Anderson M, Neal K, Mazur J. Screw fixation of lateral condyle fractures: results of treatment. J Pediatr Orthop. 2015; 35(8): 821-824. doi: 10.1097/BPO.0000000000000377.

  104. Schlitz RS, Schwertz JM, Eberhardt AW, Gilbert SR. Biomechanical analysis of screws versus K-wires for lateral humeral condyle fractures. J Pediatr Orthop. 2015; 35(8): e93-97. doi: 10.1097/BPO.0000000000000450.

  105. Li WC, Xu RJ. Comparison of Kirschner wires and AO cannulated screw internal fixation for displaced lateral humeral condyle fracture in children. Int Orthop. 2012; 36(6): 1261-1266. doi: 10.1007/s00264-011-1452-y.

  106. Loke WP, Shukur MH, Yeap JK. Screw osteosynthesis of displaced lateral humeral condyle fractures in children: a mid-term review. Med J Malaysia. 2006; 61 Suppl A: 40-44.

  107. Hasler CC, von Laer L. Prevention of growth disturbances after fractures of the lateral humeral condyle in children. J Pediatr Orthop B. 2001; 10(2): 123-130.

  108. Soldado F, Diaz-Gallardo P, Cherqaoui A, Nguyen TQ, Romero-Larrauri P, Knorr J. Unsuccessful mid-term results for distal humeral hemiepiphysiodesis to treat cubitus varus deformity in young children. J Pediatr Orthop B. 2022. doi: 10.1097/BPB.0000000000000950.

  109. Hamalainen T, Ahonen M, Helenius I, Jalkanen J, Lastikka M, Nietosvaara Y, Salonen A, Sinikumpu JJ, Grahn P. Cast immobilisation in situ versus open reduction and internal fixation of displaced medial epicondyle fractures in children between 7 and 16 years old. A study protocol for a randomised controlled trial. BMJ Open. 2021; 11(5): e044627. doi: 10.1136/bmjopen-2020-044627.



AFILIACIONES

1 Sanatorio Allende, Córdoba, Argentina.

2 Hospital Sant Joan de Déu, Barcelona, España.

3 Hospital Juan P Garrahan, Buenos Aires, Argentina.

4 Hospital Gregorio Marañón, Madrid, España.

5 Hospital Universitario Donostia, San Sebastián, España.

6 Hospital Avellaneda, Tucumán, Argentina.

7 Hospital Universitario Infantil Niño Jesús, Madrid, España.

8 Hospital de Niños Víctor J Vilela, Rosario, Argentina.

9 Hospital Universitario Marqués de Valdecilla, Santander, España.

10 Hospital Italiano, Buenos Aires, Argentina.

11 Hospital Universitari i Politècnic La Fe, Valencia, España.



NIVEL DE EVIDENCIA

V



CORRESPONDENCIA

Dr. Javier Masquijo. E-mail: jmasquijo@gmail.com




Recibido: 09/04/2022. Aceptado: 06/07/2022.

Figura 1
Figura 2
Figura 3
Figura 4
Figura 5

2020     |     www.medigraphic.com

Mi perfil

C?MO CITAR (Vancouver)

Rev Mex Ortop Ped. 2022;24

ARTíCULOS SIMILARES

CARGANDO ...