medigraphic.com
ENGLISH

Acta Médica Grupo Ángeles

Órgano Oficial del Hospital Ángeles Health System
  • Mostrar índice
  • Números disponibles
  • Información
    • Información general        
    • Directorio
  • Publicar
    • Instrucciones para autores        
    • Envío de artículos
    • Políticas
    • Nombre y afiliación del Comité Editorial
  • Nosotros
    • Plan de gestión e intercambio de datos
    • Objetivos declarados y alcance
  • medigraphic.com
    • Inicio
    • Índice de revistas            
    • Registro / Acceso
  • Mi perfil

2022, Número 4

<< Anterior Siguiente >>

Acta Med 2022; 20 (4)


Complicaciones asociadas a la colocación de dispositivos frecuentes en el paciente crítico. Evaluación radiológica: lo esencial

Lucas Benítez, Laura Nohemy1; Lozano Zalce, Horacio2,3; Chávez Alanís, Ángel César3; Torres Olivas, Eduardo3; Briceño Suárez, María4
Texto completo Cómo citar este artículo 10.35366/107117

DOI

DOI: 10.35366/107117
URL: https://dx.doi.org/10.35366/107117
Artículos similares

Idioma: Español
Referencias bibliográficas: 29
Paginas: 329-337
Archivo PDF: 457.17 Kb.


PALABRAS CLAVE

Complicaciones inmediatas, evaluación radiológica, dispositivos médicos, marcadores anatómicos, catéter central, tubo endotraqueal.

RESUMEN

Introducción: El empleo de dispositivos invasivos (catéteres, sondas, tubos, electrodos, etc.) en pacientes en estado crítico puede ocasionar complicaciones inmediatas que ponen en riesgo la vida; en esta revisión se abordarán las complicaciones asociadas a la colocación de tubo endotraqueal y catéter central, por lo que conocer los marcadores anatómicos que establezcan una guía para reconocer la adecuada colocación de estos dispositivos médicos mediante las diferentes modalidades de imagen favorece la detección temprana de las posibles complicaciones. Material y métodos: Se realizó una revisión bibliográfica detallada del tema, también se obtuvieron y analizaron imágenes representativas procedentes del Departamento de Imagenología del Hospital Angeles Lomas para describir los marcadores anatómicos utilizados con el fin de evaluar la localización del tubo endotraqueal y el catéter central colocados en pacientes críticos, y en el caso de los dispositivos mal localizados y las complicaciones generadas por los mismos. Resultados: Se logró establecer los diferentes marcadores anatómicos que indican una adecuada colocación de los distintos dispositivos. Conclusiones: Es esencial que el personal médico se familiarice con los estudios de imagen que se emplean para el monitoreo de los procedimientos, así como los marcadores anatómicos y la apariencia radiológica normal del adecuado posicionamiento de los dispositivos.



INTRODUCCIóN

El paciente en estado crítico suele requerir dispositivos invasivos (catéteres, sondas, tubos, electrodos, etc.) para facilitar el monitoreo y optimizar el tratamiento. En esta revisión abordaremos el tubo endotraqueal y el catéter central, ya que en algunas ocasiones, la colocación de estos dispositivos genera complicaciones inmediatas que pueden poner en peligro la vida o la función del paciente. Éstas pueden pasar desapercibidas clínicamente, por lo que el uso rutinario de algunas técnicas de imagen después de los procedimientos invasivos es indispensable para la detección temprana y oportuna de complicaciones.1,2

Resulta imperativo que el radiólogo esté familiarizado con la apariencia radiológica, localización normal y posibles complicaciones derivadas de su colocación. El ACR (Colegio Americano de Radiología, por sus siglas en inglés) recomienda obtener una radiografía de tórax después de la colocación de tubo endotraqueal, línea venosa central, catéter de flotación pulmonar (Swan-Ganz), sonda nasogástrica o sonda torácica.2



TUBO ENDOTRAQUEAL

La intubación endotraqueal se utiliza para conservar la permeabilidad de la vía aérea y así proporcionar ventilación pulmonar bajo un ambiente controlado. La complicación más común de la intubación endotraqueal es la mala posición del tubo, que en algunas series se reporta hasta en 15% de los pacientes.3 El impacto de esta situación abarca desde una atelectasia significativa hasta barotrauma (por ejemplo neumotórax), desencadenando hipoxemia y compromiso hemodinámico, que de forma prolongada puede poner en riesgo la vida del paciente.4 Existen otras complicaciones menos frecuentes, pero con mayor letalidad, como la lesión traqueal aguda.5

En la práctica clínica se emplean distintas herramientas para el monitoreo del tubo endotraqueal como la observación de movimientos respiratorios, auscultación de campos pulmonares y epigastrio, uso de oxímetro de pulso o capnografía; sin embargo, algunos estudios refieren que ninguna conjugación de éstas es el prototipo ideal para confirmar la posición, por lo que es imprescindible tomar una radiografía de tórax.4

Evaluación radiológica: el tubo endotraqueal posee un marcador radiopaco y se observa como una línea blanca a lo largo de la tráquea, por lo que la radiografía de tórax es útil para la evaluación de la posición óptima del mismo.1 El estado clínico de los pacientes dificulta su movilidad, por lo que se adquieren radiografías portátiles, las cuales se obtienen en posición supina y con técnica anteroposterior.6

La situación ideal del tubo endotraqueal está dada por la distancia entre el extremo distal y la carina; en la literatura se considera que la posición correcta es de entre 3 y 7 cm superior a ésta, con el cuello en posición neutra, ya que con la extensión o la flexión del mismo es posible modificar la altura de la punta del tubo de hasta 2 cm de diferencia.6-8 También se describe la relación con las cuerdas vocales, considerando una distancia óptima de 3-4 cm inferior a esta estructura para evitar lesión o extubación espontánea.1,3,9 La tomografía y resonancia magnética son las modalidades de imagen ideales para su evaluación.

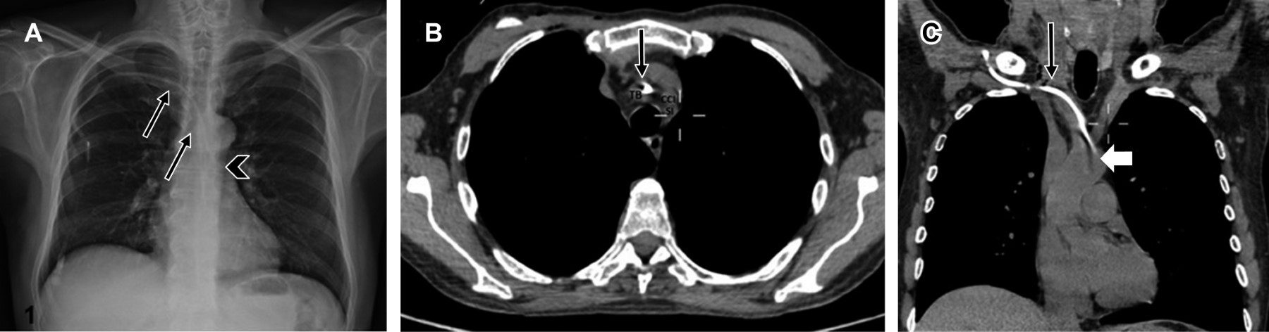
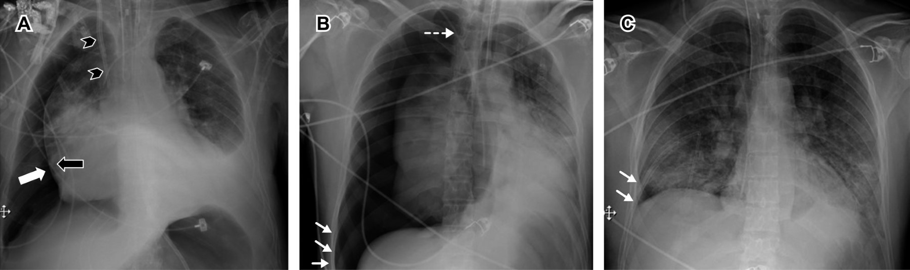
Cuando no se logra identificar la carina, debemos recordar que normalmente se encuentra entre los cuerpos vertebrales T5 y T7 en 95% de los pacientes.1 Existen otros marcadores anatómicos para determinar si el extremo distal del tubo tiene una posición óptima, y podemos usar de referencia los cuerpos vertebrales T2-T4,6,8 los bordes mediales de las clavículas o la porción caudal del arco aórtico (Figura 1A y B).10



COMPLICACIONES:

  • 1. Intubación selectiva. Si el tubo endotraqueal sobrepasa los marcadores anatómicos antes descritos, existe el riesgo de realizar una intubación bronquial selectiva, generalmente al bronquio principal derecho.3,6 Esto conduce al colapso del pulmón contralateral, e hiperinflación o neumotórax del pulmón ipsilateral (Figura 1C).6

También puede presentarse intubación esofágica, que se sospecha si en la radiografía de tórax se observa el tubo endotraqueal radiopaco lateral a la columna radiolúcida que corresponde al aire de la tráquea, la proyección del tubo por debajo de la carina, o sobredistensión del estómago.3,8 Para confirmar la posición del tubo se utiliza la proyección oblicua posterior derecha, ya que el esófago se encuentra posterior a la tráquea.3

La lesión faríngea se asocia a intentos múltiples de intubación en pacientes con vía aérea difícil, observando la aparición tardía de enfisema subcutáneo o neumotórax.11 Las estructuras que forman la laringe también pueden involucrarse secundario a la presión ejercida del extremo distal del dispositivo durante el paso por las cuerdas vocales, aunque es poco frecuente. Entre estas complicaciones destacan la dislocación del cartílago aritenoideo en sentido posterolateral o anteromedial,11 que se caracteriza en las imágenes y reconstrucciones multiplanares de la tomografía simple por la asimetría en la altura de las cuerdas vocales.12 De forma crónica, esta condición desencadenará disfonía.

También se ha reportado hematoma o parálisis de las cuerdas vocales, lesión del nervio laríngeo recurrente,11 así como la ulceración o dislocación de los cartílagos aritenoides condicionados por la permanencia mayor de una semana del extremo distal del tubo sobre las cuerdas vocales.11,13

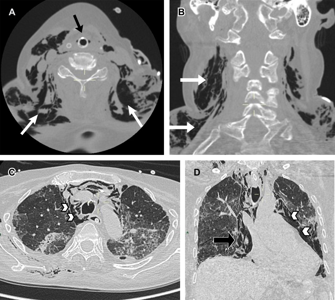
  • 2. Laceración traqueobronquial. La laceración traqueobronquial secundaria a la intubación endotraqueal no es común, se documenta en aproximadamente una de cada 20,000 a 75,000 intubaciones.14 La muerte ocurre en 30% de los pacientes con este tipo de complicación, y 50% de estos casos se da en las primeras dos horas.5

En cuanto a la anatomía, destacamos que la pared posterior de la tráquea es membranosa predisponiéndola al trauma, cuando la lesión se asocia al dispositivo endotraqueal el sitio de lesión más común es éste. Los hallazgos radiológicos incluyen neumotórax bilateral, enfisema subcutáneo masivo (si la lesión involucra la hipofaringe el aire se extiende y diseca la región cervical)1 y neumomediastino (Figura 2).8,14,15

Existen algunas imágenes en relación al dispositivo que nos permiten sospechar una ruptura traqueobronquial como la disposición oblicua del tubo con desviación hacia la derecha, y sobredistensión del globo con un diámetro anteroposterior mayor de 2.5 cm.8,15

Cuando el defecto es significativo y coincide con el nivel de la laceración, el globo mostrará herniación adquiriendo una configuración "en reloj de arena" (ocasionalmente se presenta como complicación de la traqueostomía);14 esto se puede identificar en la tomografía computarizada hasta en 70 y 100% de los casos.16

Por lo regular el sitio puntual de la lesión es sutil, siendo complicado o muchas veces imposible de localizar por medio de los estudios de imagen. Debido a esto, es importante recordar que la membrana posterior de la tráquea es más vulnerable al trauma directo en comparación con los anillos cartilaginosos anteriores, por lo que realizar la búsqueda de la lesión en esta topografía es una recomendación útil.14



LíNEAS VENOSAS CENTRALES

El catéter venoso central se utiliza para diversas situaciones clínicas como medir la presión venosa central, realizar hemodiálisis, reposición de líquidos, administración de fármacos y nutrición parenteral.7 Sin embargo, su colocación conlleva riesgos que pueden presentarse de forma inmediata o tardía.17

Los catéteres venosos centrales generalmente se introducen por la vena yugular, subclavia y en menor frecuencia por la vena femoral.17 Se ha reportado un mal posicionamiento hasta en 40% de los casos.1,18 Se debe considerar que los dispositivos pueden tomar un curso o posición inusual debido a anomalías congénitas o variantes anatómicas.10 Las complicaciones inmediatas tras la colocación de vías venosas centrales se asocian considerablemente con la técnica utilizada al momento de la introducción del catéter.17 Dentro de las complicaciones más comunes destacan las lesiones vasculares (por ejemplo, la lesión arterial o venosa, y la formación de hematomas),3 las pulmonares (neumotórax) y las cardiacas (perforación cardiaca, tamponade cardiaco o una combinación de ambos).19

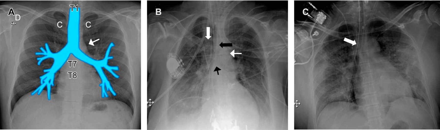
Evaluación radiológica: la evaluación del cateterismo como exitoso, ya sea de acceso yugular o subclavio, debe basarse en el conocimiento de los marcadores anatómicos en la radiografía.3 La identificación inicial del catéter es crucial, y deben tomarse en cuenta los siguientes puntos; el extremo distal del catéter debe localizarse distal a la última válvula venosa que corresponde a la confluencia de ambas venas braquiocefálicas formando la vena cava superior (VCS), que en la placa de tórax se proyecta en el borde interno de la primera costilla y lateral al borde esternal derecho (es valioso comprender que la VCS presenta una estrecha relación con los vasos supraaórticos a este nivel, ya que se localiza anterior a éstos).7,9,18

El trayecto de VCS nos ofrece otras referencias anatómicas, ya que sigue un curso perpendicular y ulterior al segundo y tercer espacio intercostal (línea paratraqueal derecha), alcanzando la unión cavoatrial (Figura 3) antes de ingresar al pericardio (borde superior del tercer cartílago costal derecho), y posteriormente ingresar al saco pericárdico.9 En la radiografía, Baskin KM y colaboradores proponen situar la unión cavoatrial dos cuerpos vertebrales por debajo de la carina. Diversos autores recomiendan que todas las puntas de catéter deben situarse por encima de la carina.9,20

Al revisar la literatura, es notable la falta de consenso en cuanto a las referencias anatómicas, como es el caso de la unión cavoatrial, en el que Chan TY y colaboradores reportan discrepancia interobservador al identificar dicha estructura en hasta 4.3 cm.21

Complicaciones: las lesiones vasculares pueden ir desde complicaciones menores como hematomas hasta traumáticas y potencialmente letales3 como perforación cardiaca o vascular.1

En los casos de lesión vascular venosa, el sangrado suele ser de mayor cuantía por la disposición longitudinal de las diferentes fibras que la constituyen, propiedad que permite desgarros de mayor tamaño.9

Una consideración importante es que la localización del extremo distal del catéter en la aurícula derecha puede desencadenar tempranamente o durante su permanencia arritmias (por lo regular extrasístoles), predisponer a vegetaciones valvulares o incluso ocasionar una perforación miocárdica.1,19



TRAYECTO DEL CATéTER

Dentro de los hallazgos radiológicos que indican mal posicionamiento, se incluyen los trayectos inusuales del catéter.3 Las líneas pueden adquirir una disposición intravascular o extravascular, en este caso el catéter se localizará en una de las siguientes estructuras: arterias, mediastino, pericardio, pleura, tráquea u otros sitios.22

  • 1. Intravascular. Respecto a las localizaciones intravasculares anormales de las líneas centrales, se han reportado en la literatura sitios comunes, como la vena ácigos, hasta atípicos como venas tiroideas, mamarias, intercostales superiores, tímicas y pericardiofrénicas izquierdas.18
  • 2. Extravascular. La ubicación atípica del catéter se sospecha en la radiografía de tórax cuando la línea densa que representa éste se localiza hacia la izquierda de la tráquea o de la columna vertebral;22 la confirmación de este marcador se puede realizar con una tomografía computarizada (Figura 4).1
  • La punción y colocación arterial del catéter sucede aproximadamente en 4.2-9.3% de los casos.17 La mayoría de estas complicaciones suceden asociadas al acceso yugular23 por la estrecha proximidad con la arteria carótida común derecha (Figura 5).22 Esta complicación suele ser evidente debido al flujo pulsátil durante la primera punción, pero puede no detectarse a tiempo y existir una introducción arterial inadvertida del catéter que requerirá reparación quirúrgica.17
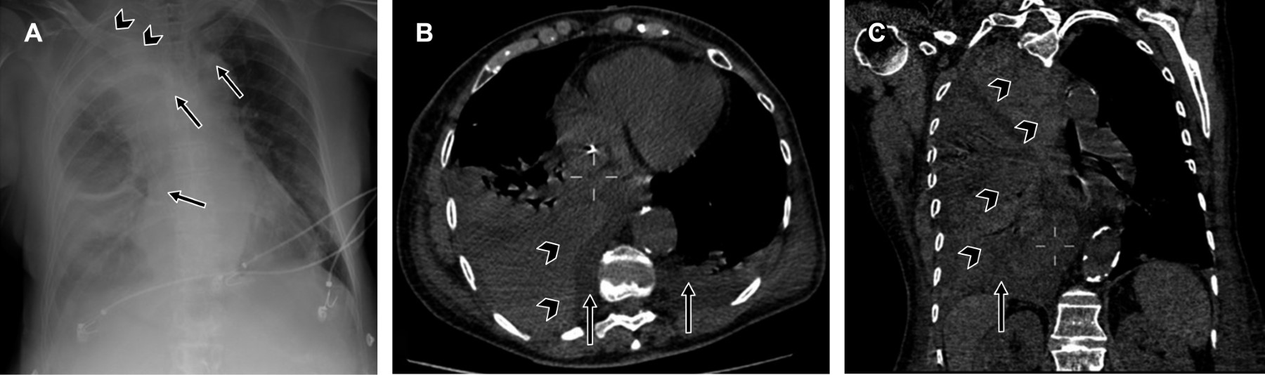
  • 3. Espacios del tórax. También existe involucro del espacio pleural o el mediastino, este último ocurre al emplear fuerza desmesurada al avanzar cualquiera de los componentes del dispositivo a través de la pared de los vasos que ingresan a dicho espacio. Inicialmente el catéter puede hallarse en el sitio adecuado; no obstante, ocurre la lesión vascular (Figura 6).9

La situación habitual de la vena cava superior está en relación cercana a la pleura mediastínica en el tórax superior, lo que incrementa el riesgo de perforación de la pared vascular con la guía metálica, el dilatador o catéter durante la inserción del dispositivo desencadenando un sangrado de baja presión22 que requerirá intervención quirúrgica. Los estudios de imagen pueden revelar borramiento apical debido a un hematoma extrapleural secundario a la perforación vascular, hemotórax y ensanchamiento mediastinal (Figura 7).3

Otras de las lesiones vasculares que también se han reportado en la literatura son las laceraciones de la vena cava, vasos mediastínicos y aurícula.17 Esto ocurre durante la inserción de la vaina desprendible cuando la guía intravascular se dobla o no avanza y perfora la pared vascular o el corazón, generando hemotórax, hematoma mediastínico o tamponade cardiaco.19



TAMPONADE CARDIACO

Es una complicación rara, pero posiblemente fatal que ocurre al perforar de forma inadvertida la aurícula derecha.22 El tamponade cardiaco se produce por la acumulación de líquido, pus, sangre, gas o lesiones neoplásicas en la cavidad pericárdica; esto puede establecerse de forma rápida o lenta.24 La acumulación súbita de líquido en el espacio pericárdico condiciona un aumento brusco de la presión intrapericárdica, rebasando la capacidad del estiramiento pericárdico, esto compromete el llenado diastólico de todas las cámaras cardiacas, disminuye el volumen sistólico, la presión arterial (hipotensión), el flujo sanguíneo coronario y finalmente el gasto cardiaco.24,25

La radiografía de tórax inmediata tras la colocación del catéter venoso central mostrará su extremo en topografía de aurícula derecha.22 La proyección lateral es útil en estas situaciones, ya que facilita la localización exacta, mostrando una curva anterior en topografía de la aurícula y ventrículo derecho, aunque por lo regular no se obtiene.26

Los signos radiológicos del tamponade cardiaco en la radiografía convencional pueden pasar desapercibidos o no manifestarse inicialmente, ya que deben acumularse 200 mL para producir un agrandamiento de la silueta cardiaca (apariencia de imagen en "garrafa").24

La ecocardiografía es la técnica de imagen ideal para el estudio de esta complicación. Los hallazgos descritos incluyen: compresión de las cámaras cardiacas derechas, ingurgitación de la vena cava inferior (VCI) y venas hepáticas,25 velocidad de flujo paradójico (Doppler), compresión del tronco pulmonar y de la VCI torácica, movimiento paradójico del tabique interventricular y movimiento oscilante del corazón en el saco pericárdico.24

Aunque el papel de la tomografía computarizada y la resonancia magnética es limitado en el contexto de una paciente en estado crítico, el radiólogo debe conocer los hallazgos caracterizados por: derrame pericárdico, aplanamiento o inversión del atrio, así como de la pared del ventrículo derecho y el tabique interventricular, distensión de la vena cava superior25 con un diámetro igual o mayor a la aorta torácica adyacente,24 distensión de la vena cava inferior con un diámetro superior al doble de la aorta abdominal adyacente.24 Posterior a la administración de medio de contraste se observa reflujo del mismo en la VCI y en la vena ácigos.24



NEUMOTóRAX

El neumotórax es la segunda complicación inmediata más frecuente y ocurre en 5% de los procedimientos de colocación de catéter venoso central. Se asocia con mayor frecuencia al acceso subclavio, por lo que se recomienda verificar su localización mediante una radiografía de tórax posterior a cualquier intento, sea éste exitoso o no.3 El neumotórax ocurre cuando se produce la pérdida de la presión negativa del espacio pleural, que condiciona colapso del parénquima pulmonar.27 En la radiografía de tórax, el neumotórax usualmente se detecta por la presencia del signo de la "línea blanca pleural visceral", condicionada por la separación de las capas (visceral y parietal) debido a la interposición de aire libre en el espacio pleural,28 lo que hace visible una línea opaca delgada, bien definida, delineada por el pulmón lúcido que presenta componente intersticial y por aire más oscuro del neumotórax adyacente a la pared torácica (Figura 8).27

Otros hallazgos incluyen el aumento de la radiolucidez extrapulmonar y el desplazamiento mediastínico hacia el lado contralateral cuando el neumotórax es prominente o se encuentra en tensión.27

Las radiografías de control en este tipo de pacientes por lo regular son anteroposteriores y en decúbito supino, por lo que los datos radiológicos de neumotórax son más difíciles de detectar. Un signo indirecto útil para inferir o sospechar la presencia de un neumotórax en una radiografía tomada con el paciente en decúbito supino es el signo del surco profundo (Figura 8B), donde el ángulo costofrénico lateral se vuelve más profundo y lúcido en comparación con el contralateral.27 Este signo se produce por el aire que se acumula en las partes no dependientes de la pleura (anterior y basal), en contraste con la posición vertical donde el aire se acumula en el ápice.28

Es también relevante señalar que, ante la posibilidad de un neumotórax pequeño, la proyección del tórax obtenida en espiración forzada puede ser muy útil.

También se observará la línea pleural visceral en la región apicolateral, especialmente al aumentar el tamaño del neumotórax.27

En ocasiones la sombra lineal de un pliegue cutáneo puede producir confusión; sin embargo, es posible diferenciarla, ya que ésta es amplia, no sigue el curso esperado de la pleura visceral y puede terminar abruptamente en el parénquima pulmonar o extenderse sobre la pared torácica más allá de los límites del espacio pleural.27

Hay que destacar que la radiografía de tórax en decúbito supino tiene sensibilidad y especificidad reportadas en la literatura de 50.2 y 99.4% respectivamente para la detección de neumotórax. En contraste, en épocas recientes se han introducido técnicas de ecografía torácica que permiten detectar neumotórax, reportando una sensibilidad de 90.9% y una especificidad de 98.2%.29 Una descripción detallada de los hallazgos ultrasonográficos va más allá del alcance de este artículo.



CONCLUSIóN

El paciente crítico comúnmente es sometido a procedimientos invasivos y colocación de instrumentos de monitorización y soporte en el área de urgencias y cuidados intensivos. Es esencial que el personal médico esté familiarizado con los estudios de imagen indicados para la vigilancia y control de un adecuado posicionamiento y posible detección de complicaciones derivadas. El presente documento pretende ser una guía útil para médicos radiólogos y otros especialistas involucrados en el cuidado de estos pacientes, demostrando la apariencia radiológica normal del catéter central y del tubo endotraqueal, así como las complicaciones, ya sean iatrogénicas o no, derivadas de su colocación. El adecuado conocimiento de los marcadores anatómicos en las imágenes de tórax permite establecer una guía al momento de evaluar los dispositivos médicos después de su colocación e identificar más fácilmente las posibles complicaciones.


REFERENCIAS (EN ESTE ARTÍCULO)

  1. Gupta NK. Radiology of ventilatory, feeding, and circulatory lines and tubes in the critically sick. Astrocyte. 2014; 1 (2): 104-123.

  2. Amorosa JK, Bramwit MP, Mohammed TL, Reddy GP, Brown K, Dyer DS et al. ACR appropriateness criteria routine chest radiographs in intensive care unit patients. J Am Coll Radiol. 2013; 10 (3): 170-174.

  3. Godoy MC, Leitman BS, de Groot PM, Vlahos I, Naidich DP. Chest radiography in the ICU: Part 1, Evaluation of airway, enteric, and pleural tubes. AJR Am J Roentgenol. 2012; 198 (3): 563-571.

  4. Cohen A, Tan L, Fargo R, Anholm JD, Gasho C, Yaqub K et al. A multi-center evaluation of a disposable catheter to aid in correct positioning of the endotracheal tube after intubation in critically ill patients. J Crit Care. 2018; 48: 222-227.

  5. Scaglione M, Romano S, Pinto A, Sparano A, Scialpi M, Rotondo A. Acute tracheobronchial injuries: Impact of imaging on diagnosis and management implications. Eur J Radiol. 2006; 59 (3): 336-343.

  6. Gupta P, Gupta K, Jain M, Garg T. Postprocedural chest radiograph: Impact on the management in critical care unit. Anesth Essays Res. 2014; 8 (2): 139-144.

  7. Jain SN. A pictorial essay: Radiology of lines and tubes in the intensive care unit. Indian J Radiol Imaging. 2011; 21 (3): 182-190.

  8. Sandstrom CK, Obelcz Y, Gross JA. Imaging of tubes and lines: a pictorial review for emergency radiologists. Semin Roentgenol. 2020; 55 (2): 197-216.

  9. Gibson F, Bodenham A. Misplaced central venous catheters: Applied anatomy and practical management. Br J Anaesth. 2013; 110 (3): 333-346.

  10. Hunter TB, Taljanovic MS, Tsau PH, Berger WG, Standen JR. Medical devices of the chest. Radiographics. 2004; 24 (6): 1725-1746.

  11. Beebe DS. Complications of tracheal intubation. In: Seminars in Anesthesia, Perioperative Medicine and Pain. 2001; 20 (3): 166-172.

  12. Oppenheimer AG, Gulati V, Kirsch J, Alemar GO. Case 223: arytenoid dislocation. Radiology. 2015; 277 (2): 607-611.

  13. Cooper JD. Tracheal injuries complicating prolonged intubation and tracheostomy. Thorac Surg Clin. 2018; 28 (2): 139-144.

  14. Moser JB, Stefanidis K, Vlahos I. Imaging evaluation of tracheobronchial injuries. Radiographics. 2020; 40 (2): 515-528.

  15. Tack D, Defrance P, Delcour C, Gevenois PA. The CT fallen-lung sign. Eur Radiol. 2000; 10 (5): 719-721.

  16. Kaewlai R, Avery LL, Asrani AV, Novelline RA. Multidetector CT of blunt thoracic. Radiographics. 2008; 28 (6): 1555-1570.

  17. Kornbau C, Lee K, Hughes G, Firstenberg MS. Central line complications. Int J Crit Illn Inj Sci. 2015; 5 (3):170-178.

  18. Godoy MCB, Leitman BS, De Groot PM, Vlahos I, Naidich DP. Chest radiography in the ICU: Part 2, Evaluation of cardiovascular lines and other devices. AJR Am J Roentgenol. 2012; 198 (3): 572-581.

  19. Funaki B. Central venous access: a primer for the diagnostic radiologist. AJR Am J Roentgenol. 2002; 179 (2): 309-318.

  20. Baskin KM, Jimenez RM, Cahill AM, Jawad AF, Towbin RB. Cavoatrial junction and central venous anatomy: implications for central venous access tip position. J Vasc Interv Radiol. 2008; 19 (3): 359-365.

  21. Chan TY, England A, Meredith SM, Mcwilliams RG. Radiologist variability in assessing the position of the cavoatrial junction on chest radiographs. Br J Radiol. 2016; 89 (1065): 20150965.

  22. Wang L, Liu ZS, Wang CA. Malposition of central venous catheter: presentation and management. Chin Med J (Engl). 2016; 129 (2): 227-234.

  23. McGee DC, Gould MK. Preventing complications of central venous catheterization. N Engl J Med. 2003; 348 (12): 1123-1133.

  24. Restrepo CS, Lemos DF, Lemos JA, Velasquez E, Diethelm L, Ovella TA et al. Imaging findings in cardiac tamponade with emphasis on CT. Radiographics. 2007; 27 (6): 1595-1610.

  25. Bogaert J, Francone M. Pericardial disease: value of CT and MR imaging. Radiology. 2013; 267 (2): 340-356.

  26. Machat S, Eisenhuber E, Pfarl G, Stübler J, Koelblinger C, Zacherl J et al. Complications of central venous port systems: a pictorial review. Insights Imaging. 2019; 10 (1): 86.

  27. Kattea MO, Lababede O. Differentiating pneumothorax from the common radiographic skinfold artifact. Ann Am Thorac Soc. 2015; 12 (6): 928-931.

  28. Kumaresh A, Kumar M, Dev B, Gorantla R, Sai PV, Thanasekaraan V. Back to basics – 'Must Know' classical signs in thoracic radiology. J Clin Imaging Sci. 2015; 5: 43.

  29. Tsotsolis N, Tsirgogianni K, Kioumis I, Pitsiou G, Baka S, Papaiwannou A et al. Pneumothorax as a complication of central venous catheter insertion. Ann Transl Med. 2015; 3 (3): 40.



AFILIACIONES

1 Médico residente de cuarto año de Imagenología Diagnóstica y Terapéutica. Universidad Nacional Autónoma de México. Hospital Angeles Lomas. Estado de México, México.

2 Jefe del Departamento de Imagenología. Hospital Angeles Lomas. Estado de México, México.

3 Médico radiólogo. Hospital Angeles Lomas. Estado de México, México.

4 Médico interno de pregrado. Universidad Nacional Autónoma de México. Hospital Angeles Lomas. Estado de México, México.



CORRESPONDENCIA

Laura Nohemy Lucas Benítez. Correo electrónico: lauralucas4181@gmail.com




Aceptado: 09-12-2021.

Figura 1
Figura 2
Figura 3
Figura 4
Figura 5
Figura 6
Figura 7
Figura 8

2020     |     www.medigraphic.com

Mi perfil

C?MO CITAR (Vancouver)

Acta Med. 2022;20

ARTíCULOS SIMILARES

CARGANDO ...