medigraphic.com
ENGLISH

Acta Médica Grupo Ángeles

Órgano Oficial del Hospital Ángeles Health System
  • Mostrar índice
  • Números disponibles
  • Información
    • Información general        
    • Directorio
  • Publicar
    • Instrucciones para autores        
    • Envío de artículos
    • Políticas
    • Nombre y afiliación del Comité Editorial
  • Nosotros
    • Plan de gestión e intercambio de datos
    • Objetivos declarados y alcance
  • medigraphic.com
    • Inicio
    • Índice de revistas            
    • Registro / Acceso
  • Mi perfil

2022, Número 4

<< Anterior Siguiente >>

Acta Med 2022; 20 (4)


Metaplasia ósea en pulmón y enfisema pulmonar en un individuo sano con tos crónica y pérdida de peso

Mier Odriozola, José Manuel1; Lemus Mercado, Luis Raúl2; Cuevas Bustos, Raúl A3; Gómez Nieto, Gerardo4; Jorge Leonardo, Diego5; Jafif, Marcos3; Cervantes, Óscar3
Texto completo Cómo citar este artículo 10.35366/107124

DOI

DOI: 10.35366/107124
URL: https://dx.doi.org/10.35366/107124
Artículos similares

Idioma: Español
Referencias bibliográficas: 8
Paginas: 358-360
Archivo PDF: 162.40 Kb.


PALABRAS CLAVE

Metaplasia ósea, nódulo pulmonar, enfisema, tos crónica, metaplasias del pulmón.

RESUMEN

La metaplasia ósea pulmonar es una patología poco frecuente, caracterizada por la formación de tejido óseo maduro en el parénquima pulmonar. Hasta hoy en día, el mecanismo de formación de tejido óseo no ha sido esclarecido. La generación de tejido óseo no relacionado con un proceso neoplásico y con la adición de síntomas pulmonares no es algo que se reporte en la literatura con mucha frecuencia. Presentamos el caso de un hombre de 66 años con un hallazgo de metaplasia ósea en pulmón, confirmado por patología. El hallazgo de la metaplasia ósea aislada en pulmón no requiere de manejo médico específico y no modifica el pronóstico clínico.



INTRODUCCIóN

Al ser una patología poco frecuente, sólo se han descrito 100 casos de metaplasia ósea de pulmón; el primero, reportado por Luschka en 1856.1 Esta condición se caracteriza por la formación de tejido óseo maduro en el parénquima pulmonar. Por lo regular no se relaciona con procesos neoplásicos y no presenta con frecuencia sintomatología respiratoria.

En los casos reportados en la literatura hasta el momento, el diagnóstico de esta entidad se realiza mediante el estudio histopatológico del espécimen. Se ha encontrado relación entre la metaplasia ósea y la enfermedad inflamatoria pulmonar difusa crónica, así como con la hipertensión pulmonar crónica.2

Se han descrito dos tipos de metaplasia ósea en pulmón: el tipo nodular, el más frecuente; y el de tipo dendriforme.3 Este último se caracteriza por tener ramificaciones de tejido óseo en la vía aérea distal, y presenta en ocasiones islotes de médula ósea.



DESCRIPCIóN DEL CASO CLíNICO

Se trata de un hombre de 66 años, con historia reciente de tos seca de tres meses de evolución y pérdida de peso de 10 kg desde hace tres meses como única sintomatología. Había recibido medicación sintomática desde hace dos meses para control de la tos sin mejoría importante. Sin historia familiar de enfermedad pulmonar ni cáncer de pulmón. Sin exposición ambiental a agentes tóxicos. Antecedente de tabaquismo, con un índice tabáquico de 35. Se descartó infección por Aspergillus, Mycobacterium avium complex, Mycobacterium tuberculosis, SARS-CoV-2, virus respiratorios, entre otros. En la radiografía de tórax se identificó la presencia de nódulos pulmonares bilaterales múltiples, asociados a zonas de atrapamiento aéreo subpleural. Se confirmó por tomografía de tórax la presencia de múltiples nodulaciones milimétricas bilaterales.

Se realizó una biopsia de las lesiones mediante una videotoracoscopia de incisión única de manera bilateral. Se egresó al paciente a casa sin complicaciones postoperatorias.

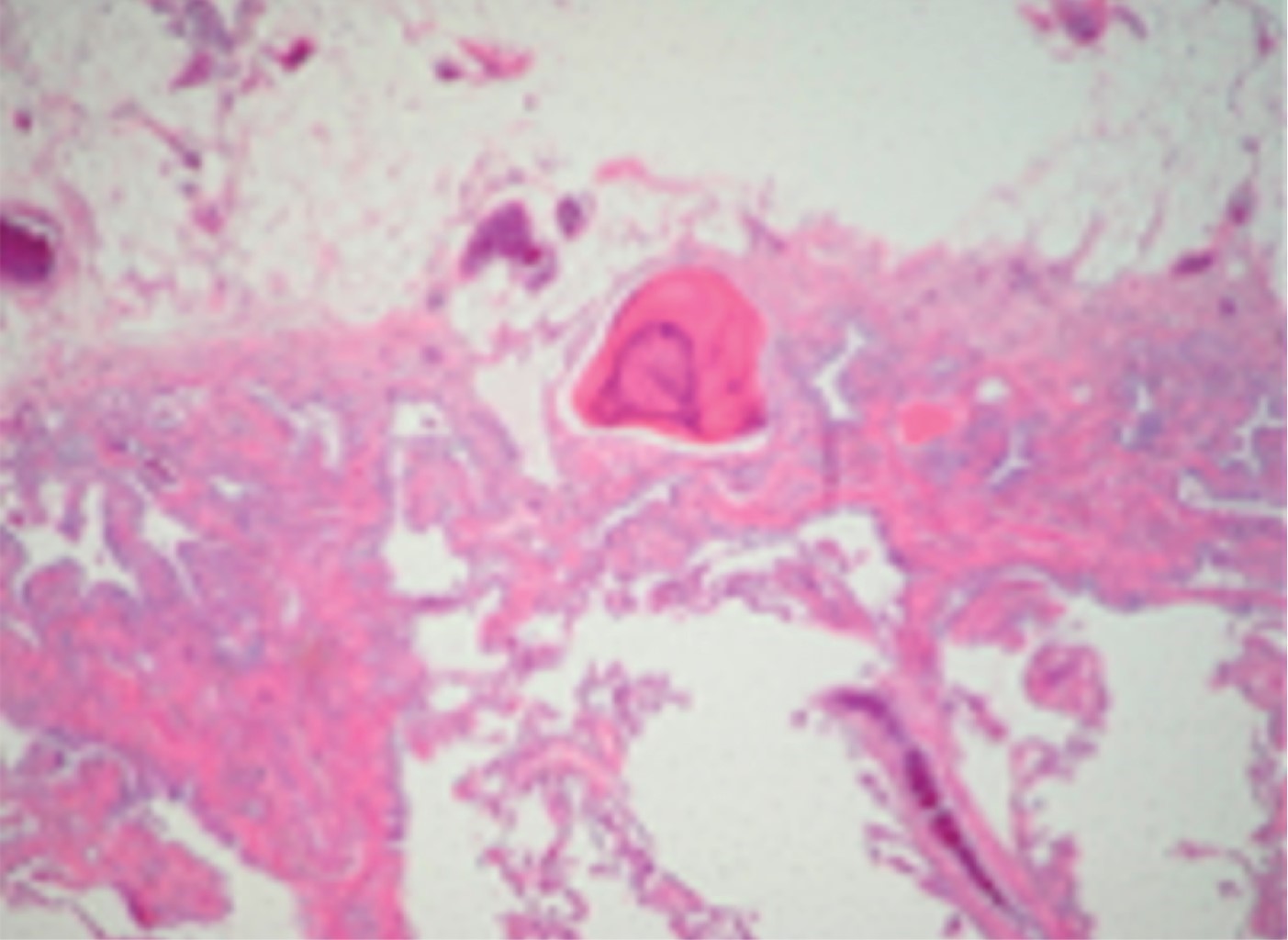
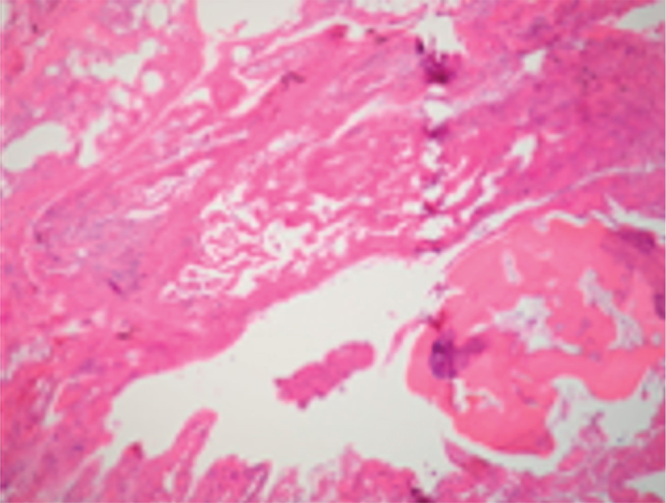
En el reporte de patología se identificaron focos microscópicos de metaplasia ósea, enfisema leve de predominio subpleural y antracosis leve. No se observaron granulomas, proceso inflamatorio intersticial ni neoplasias (Figuras 1 y 2).



DISCUSIóN

Existen enfermedades que pueden causar depósitos cálcicos en el pulmón, como la amiloidosis parenquimatosa pulmonar, salvo que en ella el intersticio pulmonar se encuentra afectado, apreciándose invadido por fibras proteínicas extracelulares.4 En el paciente del caso presentado, el intersticio se encontraba sin alteraciones.

Los tumores carcinoides, bronquiales o pulmonares pueden asociarse a focos de metaplasia ósea y/o a zonas de calcificación.5 Hasta 30% de dichos casos muestran osificación en el estroma vascular adyacente a la masa tumoral, y sólo 10% puede mostrar focos de osificación intratumoral.6 En nuestro caso, no se observó una masa tumoral asociada a las zonas de metaplasia ósea.

Algunas entidades malignas de las que debe ser diferenciada la metaplasia ósea en pulmón son: el osteosarcoma metastásico y el condrosarcoma. No se encontraron células malignas típicas de este tipo de tumores ni de ningún tipo en el estudio histopatológico del caso.7

La metaplasia ósea en pulmón es una entidad poco frecuente, usualmente reportada como hallazgo incidental en autopsias o en estudios histopatológicos. Se relaciona con procesos inflamatorios crónicos, exposición a asbestos y a agentes quimioterapéuticos como el busulfán.8 No requiere de tratamiento específico y su resección no influye en el pronóstico clínico ni en la supervivencia del paciente.


REFERENCIAS (EN ESTE ARTÍCULO)

  1. Katzenstein AL, Myers JL. Idiopathic pulmonary fibrosis: clinical relevance of pathologic classification. Am J Respir Crit Care Med. 1998; 157 (4 Pt 1): 1301-1315.

  2. Trejo O, Xaubet A, Marin-Arguedas A, Torres A, Ramírez J, Luburich P. Dendriform pulmonary ossification associated with idiopathic pulmonary fibrosis. Arch Bronconeumol. 2002; 38 (8): 399-400.

  3. Pereda E, Fernandez-Larrioa A, Ibañez y Lopez J. Dendriform pulmonar ossification. Anatomical-clinical study of 2 cases. Patología. 1995; 28 (2): 189-190.

  4. Guasch M, Ojanguren A, Gómez JR. Pulmonary amyloidosis: a diagnostic challenge. Cir Esp (Engl Ed). 2020; 98 (1): 50-52.

  5. Ozsen M, Yalcinkaya U, Akyildiz E, Bayram AS, Gokalp G. Bronchial carcinoid tumors with massive osseous metaplasia: a case report and review of the literature. Turk Patoloji Derg. 2020; 36 (2):159-163.

  6. Tsubochi H, Endo S, Oda Y, Dobashi Y. Carcinoid tumor of the lung with massive ossification: report of a case showing the evidence of osteomimicry and review of the literature. Int J Clin Exp Pathol. 2013; 6 (5): 957-961.

  7. Konoglou M, Zarogoulidis P, Baliaka A, Boutsikou E, Dramba V, Tsakiridis K et al. Lung ossification: an orphan disease. J Thorac Dis. 2013; 5 (1): 101-104.

  8. Katzenstein AA, Askin FB. Surgical pathology of non-neoplastic lung disease. Major Probl Pathol. 1982; 13: 1-430.



AFILIACIONES

1 Cirujano de tórax. Director del Instituto de Cirugía Torácica Mínimamente Invasiva. Hospital Angeles Lomas, Ciudad de México, México.

2 Cirujano general. Instituto de Cirugía Torácica Mínimamente Invasiva. Hospital Angeles Lomas, Ciudad de México, México.

3 Médico residente de Cirugía General. Hospital Angeles Lomas, Ciudad de México, México.

4 Médico anestesiólogo. Instituto de Cirugía Torácica Mínimamente Invasiva. Hospital Angeles Lomas, Ciudad de México, México.

5 Médico adscrito al Servicio de Patología. Hospital Angeles Lomas, Ciudad de México, México.



CORRESPONDENCIA

Luis Raúl Lemus Mercado. Correo electrónico: dr.luis.lemus@gmail.com




Aceptado: 31-03-2022.

Figura 1
Figura 2

2020     |     www.medigraphic.com

Mi perfil

C?MO CITAR (Vancouver)

Acta Med. 2022;20

ARTíCULOS SIMILARES

CARGANDO ...