medigraphic.com
ENGLISH

Acta Médica Grupo Ángeles

Órgano Oficial del Hospital Ángeles Health System
  • Mostrar índice
  • Números disponibles
  • Información
    • Información general        
    • Directorio
  • Publicar
    • Instrucciones para autores        
    • Envío de artículos
    • Políticas
    • Nombre y afiliación del Comité Editorial
  • Nosotros
    • Plan de gestión e intercambio de datos
    • Objetivos declarados y alcance
  • medigraphic.com
    • Inicio
    • Índice de revistas            
    • Registro / Acceso
  • Mi perfil

2022, Número 4

<< Anterior Siguiente >>

Acta Med 2022; 20 (4)


Displasia fibrosa ósea del esfenoides

Magaña Reyes, Jorge Ignacio1; Domínguez Carrillo, Luis Gerardo2
Texto completo Cómo citar este artículo 10.35366/107127

DOI

DOI: 10.35366/107127
URL: https://dx.doi.org/10.35366/107127

Idioma: Español
Referencias bibliográficas: 0
Paginas: 364-365
Archivo PDF: 142.66 Kb.


PALABRAS CLAVE

Sin palabras Clave



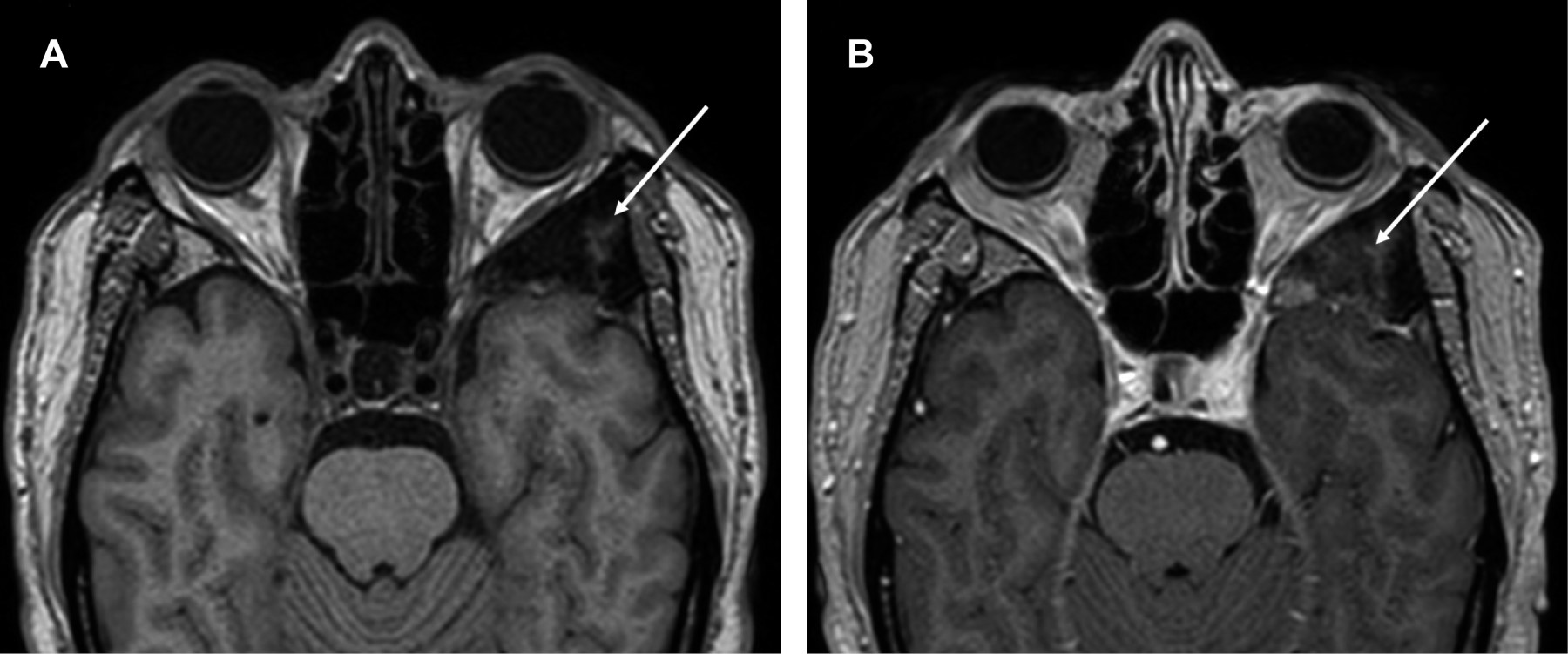
Masculino de 61 años enviado para tomografía de senos paranasales por aparente hiperplasia de cornetes inferiores. Incidentalmente, en el resultado se observaron cambios en la densidad del hueso esfenoides izquierdo. Al interrogatorio se confirmaron datos clínicos de dolor y sensación de opresión periorbitaria de al menos dos años de evolución. Se efectuó resonancia magnética para valorar el resto de las estructuras intraorbitarias. Actualmente el paciente se encuentra en tratamiento con denosumab, un anticuerpo monoclonal dirigido a tratamiento para la osteoporosis y pérdida de mineralización ósea.

La displasia fibrosa es una alteración esquelética benigna caracterizada por proliferación anormal de tejido fibroso intercalado con tejido óseo de características normales, se observa principalmente en adolescentes y en adultos jóvenes con relación de género 2:1 con predominio en el masculino, suele ser monostótica en 70% de los casos. Se debe a la activación de una mutación somática del gen GNAS1, con sustitución de cisteína o histidina por arginina en la posición 201 de la proteína G, que ocasiona incremento de la actividad de adenilciclasa. En cráneo y cara la frecuencia es de 10-25%. Los exámenes radiológicos y la tomografía computarizada son esenciales para determinar la extensión de la lesión (Figuras 1 y 2).




AFILIACIONES

1 Radiología e Imagenología. Gestalt Imagen. León, Guanajuato. México.

2 Especialista en Medicina de Rehabilitación. Catedrático de la Facultad de Medicina de León, Universidad de Guanajuato. México.



CORRESPONDENCIA

Dr. Luis Gerardo Domínguez Carrillo. Correo electrónico: lgdominguez@hotmail.com




Aceptado: 15-03-2022.

Figura 1
Figura 2

2020     |     www.medigraphic.com

Mi perfil

C?MO CITAR (Vancouver)

Acta Med. 2022;20

ARTíCULOS SIMILARES

CARGANDO ...